JavaScript is disabled in your browser. Please enable JavaScript to view this website.
AB237620

Anti-CLPTM1L antibody

Be the first to review this product! Submit a review

|

(1 Publication)

Rabbit Polyclonal CLPTM1L antibody. Suitable for IHC-P, ICC/IF and reacts with Human samples. Cited in 1 publication. Immunogen corresponding to Recombinant Fragment Protein within Human CLPTM1L aa 1-200.

View Alternative Names

CRR9, CLPTM1L, Lipid scramblase CLPTM1L, Cisplatin resistance-related protein 9, Cleft lip and palate transmembrane protein 1-like protein, CRR9p, CLPTM1-like protein

3 Images
Immunocytochemistry/ Immunofluorescence - Anti-CLPTM1L antibody (AB237620)
  • ICC/IF

Supplier Data

Immunocytochemistry/ Immunofluorescence - Anti-CLPTM1L antibody (AB237620)

A549 (human lung carcinoma cell line) cells stained for CLPTM1L (green) using ab237620 at 1/266 dilution in ICC/IF, followed by Alexa Fluor 488-congugated Goat Anti-Rabbit IgG (H+L) secondary antibody.

The cells were fixed in 4% formaldehyde, permeabilized using 0.2% Triton X-100 and blocked in 10% normal Goat Serum. The cells were then incubated with the antibody overnight at 4°C. Counterstained with DAPI.

Immunohistochemistry (Formalin/PFA-fixed paraffin-embedded sections) - Anti-CLPTM1L antibody (AB237620)
  • IHC-P

Supplier Data

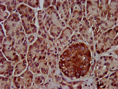
Immunohistochemistry (Formalin/PFA-fixed paraffin-embedded sections) - Anti-CLPTM1L antibody (AB237620)

Paraffin-embedded human pancreatic tissue stained for CLPTM1L using ab237620 at 1/800 dilution in immunohistochemical analysis.

After dewaxing and hydration, antigen retrieval was mediated by high pressure in a citrate buffer (pH 6.0). Section was blocked with 10% normal goat serum 30min at RT. Then primary antibody (1% BSA) was incubated at 4°C overnight. The primary is detected by a biotinylated secondary antibody and visualized using an HRP conjugated SP system.

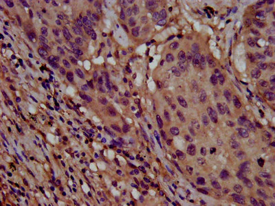
Immunohistochemistry (Formalin/PFA-fixed paraffin-embedded sections) - Anti-CLPTM1L antibody (AB237620)
  • IHC-P

Supplier Data

Immunohistochemistry (Formalin/PFA-fixed paraffin-embedded sections) - Anti-CLPTM1L antibody (AB237620)

Paraffin-embedded human lung cancer tissue stained for CLPTM1L using ab237620 at 1/800 dilution in immunohistochemical analysis.

After dewaxing and hydration, antigen retrieval was mediated by high pressure in a citrate buffer (pH 6.0). Section was blocked with 10% normal goat serum 30min at RT. Then primary antibody (1% BSA) was incubated at 4°C overnight. The primary is detected by a biotinylated secondary antibody and visualized using an HRP conjugated SP system.

Key facts

Host species

Rabbit

Clonality

Polyclonal

Isotype

IgG

Carrier free

No

Reacts with

Human

Applications

IHC-P, ICC/IF

applications

Immunogen

Recombinant Fragment Protein within Human CLPTM1L aa 1-200. The exact immunogen used to generate this antibody is proprietary information.

Q96KA5

Reactivity data

{ "title": "Reactivity Data", "filters": { "stats": ["", "Species", "Dilution Info", "Notes"], "tabs": { "all-applications": {"fullname" : "All Applications", "shortname": "All Applications"}, "IHCP" : {"fullname" : "Immunohistochemistry (Formalin/PFA-fixed paraffin-embedded sections)", "shortname":"IHC-P"}, "ICCIF" : {"fullname" : "Immunocytochemistry/ Immunofluorescence", "shortname":"ICC/IF"} }, "product-promise": { "all": "all", "testedAndGuaranteed": "tested", "guaranteed": "expected", "predicted": "predicted", "notRecommended": "not-recommended" } }, "values": { "Human": { "IHCP-species-checked": "testedAndGuaranteed", "IHCP-species-dilution-info": "1/500 - 1/1000", "IHCP-species-notes": "<p></p> Perform heat-mediated antigen retrieval with citrate buffer pH 6 before commencing with IHC staining protocol.", "ICCIF-species-checked": "testedAndGuaranteed", "ICCIF-species-dilution-info": "1/200 - 1/500", "ICCIF-species-notes": "<p></p>" }, "Orangutan": { "IHCP-species-checked": "predicted", "IHCP-species-dilution-info": "", "IHCP-species-notes": "", "ICCIF-species-checked": "predicted", "ICCIF-species-dilution-info": "", "ICCIF-species-notes": "" } } }

Properties and storage information

Form
Liquid
Purification technique
Affinity purification Protein G
Purification notes
Purity greater than 95%.
Storage buffer
pH: 7.4 Preservative: 0.03% Proclin 300 Constituents: PBS, 50% Glycerol (glycerin, glycerine)
Shipped at conditions
Blue Ice
Appropriate short-term storage duration
1-2 weeks
Appropriate short-term storage conditions
+4°C
Appropriate long-term storage conditions
-20°C
Aliquoting information
Upon delivery aliquot
Storage information
Avoid freeze / thaw cycle

Product protocols

For this product, it's our understanding that no specific protocols are required. You can visit:

Target data

Scramblase that mediates the translocation of glucosaminylphosphatidylinositol (alpha-D-GlcN-(1-6)-(1,2-diacyl-sn-glycero-3-phospho)-1D-myo-inositol, GlcN-PI) across the endoplasmic reticulum (ER) membrane, from the cytosolic leaflet to the luminal leaflet of the ER membrane, where it participates in the biosynthesis of glycosylphosphatidylinositol (GPI) (PubMed : 35344438). GPI is a lipid glycoconjugate involved in post-translational modification of proteins (PubMed : 35344438). Can also translocate 1,2-diacyl-sn-glycero-3-phospho-(1D-myo-inositol) (phosphatidylinositol or PI), as well as several other phospholipids (1,2-diacyl-sn-glycero-3-phosphocholine, 1,2-diacyl-sn-glycero-3-phosphoethanolamine), and N-acetylglucosaminylphosphatidylinositol (GlcNAc-PI) in vitro (PubMed : 35344438).
See full target information CLPTM1L

Publications (1)

Recent publications for all applications. Explore the full list and refine your search

Nature communications 16:2998 PubMed40148322

2025

Keratin-72 restricts HIV-1 infection in resting CD4 T cells by sequestering capsids in intermediate filaments.

Applications

Unspecified application

Species

Unspecified reactive species

Yang He,Meng Xu,Jiayue Ouyang,Li Zhao,Tiankui Ma,Xiaowei Zhang,Ruolin Wang,Hong Shang,Guoxin Liang
View all publications

Product promise

We are committed to supporting your work with high-quality reagents, and we're here for you every step of the way. In the unlikely event that one of our products does not perform as expected, you're protected by our Product Promise.
For full details, please see our Terms & Conditions

Please note: All products are 'FOR RESEARCH USE ONLY. NOT FOR USE IN DIAGNOSTIC OR THERAPEUTIC PROCEDURES'.

For licensing inquiries, please contact partnerships@abcam.com