JavaScript is disabled in your browser. Please enable JavaScript to view this website.
AB153916

Anti-CLUL1 antibody

Be the first to review this product! Submit a review

|

(1 Publication)

Rabbit Polyclonal CLUL1 antibody. Suitable for IHC-P, WB and reacts with Human samples. Cited in 1 publication. Immunogen corresponding to Recombinant Fragment Protein within Human CLUL1 aa 150-450.

View Alternative Names

Clusterin-like protein 1, Retinal-specific clusterin-like protein, CLUL1

2 Images
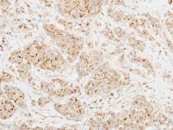
Immunohistochemistry (Formalin/PFA-fixed paraffin-embedded sections) - Anti-CLUL1 antibody (AB153916)
  • IHC-P

Unknown

Immunohistochemistry (Formalin/PFA-fixed paraffin-embedded sections) - Anti-CLUL1 antibody (AB153916)

Immunohistochemical analysis of paraffin-embedded Human breast carcinoma tissue labeling CLUL1 with ab153916 at 1/250 dilution.

Western blot - Anti-CLUL1 antibody (AB153916)
  • WB

Unknown

Western blot - Anti-CLUL1 antibody (AB153916)

10% SDS PAGE

All lanes:

Western blot - Anti-CLUL1 antibody (ab153916) at 1/1000 dilution

All lanes:

U87 MG whole cell lysate at 30 µg

Predicted band size: 54 kDa

false

Key facts

Host species

Rabbit

Clonality

Polyclonal

Isotype

IgG

Carrier free

No

Reacts with

Human

Applications

IHC-P, WB

applications

Immunogen

Recombinant Fragment Protein within Human CLUL1 aa 150-450. The exact immunogen used to generate this antibody is proprietary information.

Q15846

Reactivity data

{ "title": "Reactivity Data", "filters": { "stats": ["", "Species", "Dilution Info", "Notes"], "tabs": { "all-applications": {"fullname" : "All Applications", "shortname": "All Applications"}, "IHCP" : {"fullname" : "Immunohistochemistry (Formalin/PFA-fixed paraffin-embedded sections)", "shortname":"IHC-P"}, "WB" : {"fullname" : "Western blot", "shortname":"WB"} }, "product-promise": { "all": "all", "testedAndGuaranteed": "tested", "guaranteed": "expected", "predicted": "predicted", "notRecommended": "not-recommended" } }, "values": { "Human": { "IHCP-species-checked": "testedAndGuaranteed", "IHCP-species-dilution-info": "1/100 - 1/1000", "IHCP-species-notes": "<p></p> Perform heat-mediated antigen retrieval with citrate buffer pH 6 before commencing with IHC staining protocol.", "WB-species-checked": "testedAndGuaranteed", "WB-species-dilution-info": "1/500 - 1/3000", "WB-species-notes": "<p></p>" } } }

Properties and storage information

Form
Liquid
Purification technique
Affinity purification Immunogen
Storage buffer
pH: 7 Preservative: 0.01% Thimerosal (merthiolate) Constituents: 20% Glycerol (glycerin, glycerine), 1.21% Tris, 0.75% Glycine
Shipped at conditions
Blue Ice
Appropriate short-term storage conditions
+4°C
Appropriate long-term storage conditions
-20°C
Aliquoting information
Upon delivery aliquot
Storage information
Avoid freeze / thaw cycle

Product protocols

For this product, it's our understanding that no specific protocols are required. You can visit:

Publications (1)

Recent publications for all applications. Explore the full list and refine your search

Cells 14: PubMed40801656

2025

Notch2 Deletion Compromises Epithelial Integrity and Enamel Formation in Rodent Incisors.

Applications

Unspecified application

Species

Unspecified reactive species

Argyro Lamprou,Cristina Porcheri,Thimios A Mitsiadis
View all publications

Product promise

We are committed to supporting your work with high-quality reagents, and we're here for you every step of the way. In the unlikely event that one of our products does not perform as expected, you're protected by our Product Promise.
For full details, please see our Terms & Conditions

Please note: All products are 'FOR RESEARCH USE ONLY. NOT FOR USE IN DIAGNOSTIC OR THERAPEUTIC PROCEDURES'.

For licensing inquiries, please contact partnerships@abcam.com