JavaScript is disabled in your browser. Please enable JavaScript to view this website.
AB184100

Anti-Clusterin alpha chain antibody [EPR17539-95]

Be the first to review this product! Submit a review

|

(8 Publications)

Rabbit Recombinant Monoclonal Clusterin antibody. Suitable for IP, WB, IHC-Fr, IHC-P and reacts with Mouse, Rat samples. Cited in 8 publications.

View Alternative Names

Apoj, Msgp-2, Clu, Clusterin, Apolipoprotein J, Clustrin, Sulfated glycoprotein 2, Apo-J, SGP-2

10 Images
Immunohistochemistry (Formalin/PFA-fixed paraffin-embedded sections) - Anti-Clusterin alpha chain antibody [EPR17539-95] (AB184100)
  • IHC-P

Supplier Data

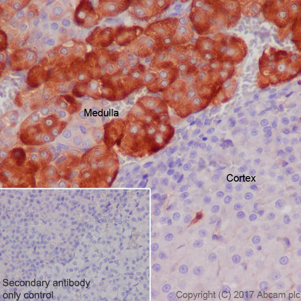
Immunohistochemistry (Formalin/PFA-fixed paraffin-embedded sections) - Anti-Clusterin alpha chain antibody [EPR17539-95] (AB184100)

Immunohistochemical analysis of paraffin-embedded rat adrenal gland tissue labeling Clusterin alpha chain with ab184100 at 1/4000 dilution, followed by a ready to use Goat Anti-Rabbit IgG H&L (HRP). Stronger cytoplasmic staining in the medulla of rat adrenal gland than the cortex (PMID : 16436671) is observed. Counter stained with Hematoxylin.

Secondary antibody only control : Used PBS instead of primary antibody, secondary antibody is a ready to use Goat Anti-Rabbit IgG H&L (HRP).

Perform heat mediated antigen retrieval using ab93684 (Tris/EDTA buffer, pH 9.0).

Immunohistochemistry (Formalin/PFA-fixed paraffin-embedded sections) - Anti-Clusterin alpha chain antibody [EPR17539-95] (AB184100)
  • IHC-P

Supplier Data

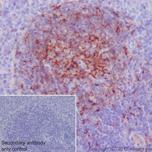
Immunohistochemistry (Formalin/PFA-fixed paraffin-embedded sections) - Anti-Clusterin alpha chain antibody [EPR17539-95] (AB184100)

Immunohistochemical analysis of paraffin-embedded rat spleen tissue labeling Clusterin alpha chain with ab184100 at 1/4000 dilution, followed by a ready to use Goat Anti-Rabbit IgG H&L (HRP). Positive staining on rat spleen (PMID : 24865838) is observed. Counter stained with Hematoxylin.

Secondary antibody only control : Used PBS instead of primary antibody, secondary antibody is a ready to use Goat Anti-Rabbit IgG H&L (HRP).

Perform heat mediated antigen retrieval using ab93684 (Tris/EDTA buffer, pH 9.0).

Immunohistochemistry (Frozen sections) - Anti-Clusterin alpha chain antibody [EPR17539-95] (AB184100)
  • IHC-Fr

Supplier Data

Immunohistochemistry (Frozen sections) - Anti-Clusterin alpha chain antibody [EPR17539-95] (AB184100)

Immunohistochemical analysis of 4% paraformaldehyde-fixed, 0.2% Triton X-100 permeabilized frozen mouse brain (lateral ventricle) tissue labeling Clusterin alpha chain with ab184100 at 1/250 dilution (green), followed by ab150077 AlexaFluor®488 Goat anti-Rabbit secondary at a 1/1000 dilution. Positive cytoplasmic staining in endothelial cells of choroid plexus and astrocytes in mouse brain (PMID : 18620027; 21385939) is observed.

The nuclear counterstain is DAPI (blue).

Secondary antibody only control : Used PBS instead of primary antibody, secondary antibody is ab150077 AlexaFluor®488 Goat anti-Rabbit used at a 1/1000 dilution.

Perform heat mediated antigen retrieval using ab94681 (Tris/EDTA buffer, pH 9.0).

Immunohistochemistry (Frozen sections) - Anti-Clusterin alpha chain antibody [EPR17539-95] (AB184100)
  • IHC-Fr

Supplier Data

Immunohistochemistry (Frozen sections) - Anti-Clusterin alpha chain antibody [EPR17539-95] (AB184100)

Immunohistochemical analysis of 4% paraformaldehyde-fixed, 0.2% Triton X-100 permeabilized frozen rat testis tissue labeling Clusterin alpha chain with ab184100 at 1/250 dilution (green), followed by ab150077 AlexaFluor®488 Goat anti-Rabbit secondary at a 1/1000 dilution. Positive staining in Sertoli cells, immature spermatozoa and Leydig cells (PMID : 22552734) is observed.

The nuclear counterstain is DAPI (blue).

Secondary antibody only control : Used PBS instead of primary antibody, secondary antibody is ab150077 AlexaFluor®488 Goat anti-Rabbit used at a 1/1000 dilution.

Perform heat mediated antigen retrieval using ab94681 (Tris/EDTA buffer, pH 9.0).

Immunohistochemistry (Frozen sections) - Anti-Clusterin alpha chain antibody [EPR17539-95] (AB184100)
  • IHC-Fr

Supplier Data

Immunohistochemistry (Frozen sections) - Anti-Clusterin alpha chain antibody [EPR17539-95] (AB184100)

Immunohistochemical analysis of frozen rat brain (lateral ventricle) tissue labeling Clusterin alpha chain with ab184100 at 1/250 dilution (green), followed by ab150077 AlexaFluor®488 Goat anti-Rabbit secondary at a 1/1000 dilution. Positive cytoplasmic staining in endothelial cells of choroid plexus and astrocytes in rat brain (PMID : 18620027; 21385939) is observed.

The nuclear counterstain is DAPI (blue).

Secondary antibody only control : Used PBS instead of primary antibody, secondary antibody is ab150077 AlexaFluor®488 Goat anti-Rabbit used at a 1/1000 dilution.

Perform heat mediated antigen retrieval using ab94681 (Tris/EDTA buffer, pH 9.0).

Immunohistochemistry (Frozen sections) - Anti-Clusterin alpha chain antibody [EPR17539-95] (AB184100)
  • IHC-Fr

Supplier Data

Immunohistochemistry (Frozen sections) - Anti-Clusterin alpha chain antibody [EPR17539-95] (AB184100)

Immunohistochemical analysis of 4% paraformaldehude-fixed, 0.2% Triton X-100 permeabilized frozen mouse testis tissue labeling Clusterin alpha chain with ab184100 at 1/250 dilution (green), followed by ab150077 AlexaFluor®488 Goat anti-Rabbit secondary at a 1/1000 dilution. Positive staining in Sertoli cells, immature spermatozoa and Leydig cells is observed; also observe particles deposited on sperm membrane (PMID : 22552734).

The nuclear counterstain is DAPI (blue).

Secondary antibody only control : Used PBS instead of primary antibody, secondary antibody is ab150077 AlexaFluor®488 Goat anti-Rabbit used at a 1/1000 dilution.

Perform heat mediated antigen retrieval using ab94681 (Tris/EDTA buffer, pH 9.0).

Immunohistochemistry (Formalin/PFA-fixed paraffin-embedded sections) - Anti-Clusterin alpha chain antibody [EPR17539-95] (AB184100)
  • IHC-P

Supplier Data

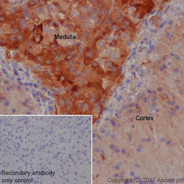
Immunohistochemistry (Formalin/PFA-fixed paraffin-embedded sections) - Anti-Clusterin alpha chain antibody [EPR17539-95] (AB184100)

Immunohistochemical analysis of paraffin-embedded mouse adrenal gland tissue labeling Clusterin alpha chain with ab184100 at 1/4000 dilution, followed by a ready to use Goat Anti-Rabbit IgG H&L (HRP). Stronger cytoplasmic staining in the medulla of mouse adrenal gland than the cortex (PMID : 16436671) is observed. Counter stained with Hematoxylin.

Secondary antibody only control : Used PBS instead of primary antibody, secondary antibody is a ready to use Goat Anti-Rabbit IgG H&L (HRP).

Perform heat mediated antigen retrieval using ab93684 (Tris/EDTA buffer, pH 9.0).

Immunohistochemistry (Formalin/PFA-fixed paraffin-embedded sections) - Anti-Clusterin alpha chain antibody [EPR17539-95] (AB184100)
  • IHC-P

Supplier Data

Immunohistochemistry (Formalin/PFA-fixed paraffin-embedded sections) - Anti-Clusterin alpha chain antibody [EPR17539-95] (AB184100)

Immunohistochemical analysis of paraffin-embedded mouse spleen tissue labeling Clusterin alpha chain with ab184100 at 1/4000 dilution, followed by a ready to use Goat Anti-Rabbit IgG H&L (HRP). Positive staining on mouse spleen (PMID : 24865838) is observed. Counter stained with Hematoxylin.

Secondary antibody only control : Used PBS instead of primary antibody, secondary antibody is a ready to use Goat Anti-Rabbit IgG H&L (HRP).

Perform heat mediated antigen retrieval using ab93684 (Tris/EDTA buffer, pH 9.0).

Immunoprecipitation - Anti-Clusterin alpha chain antibody [EPR17539-95] (AB184100)
  • IP

Supplier Data

Immunoprecipitation - Anti-Clusterin alpha chain antibody [EPR17539-95] (AB184100)

Clusterin alpha chain was immunoprecipitated from 0.35 mg mouse serum lysate with ab184100 at 1/30 dilution. Western blot was performed from the immunoprecipitate using ab184100 at 1/1,000 dilution. VeriBlot for IP Detection Reagent (HRP) (ab131366), was used for detection at 1/10,000 dilution.

Lane 1 : Mouse serum lysate 10 μl (Input).
Lane 2 : ab184100 IP in mouse serum lysate (+).
Lane 3 : Rabbit monoclonal IgG (ab172730) instead of ab184100 in mouse serum lysate (-).

Blocking/Dilution buffer and concentration : 5% NFDM/TBST.
Exposure time : 1 second.

All lanes:

Immunoprecipitation - Anti-Clusterin alpha chain antibody [EPR17539-95] (ab184100)

Predicted band size: 52 kDa

Observed band size: 38 kDa

false

Western blot - Anti-Clusterin alpha chain antibody [EPR17539-95] (AB184100)
  • WB

Supplier Data

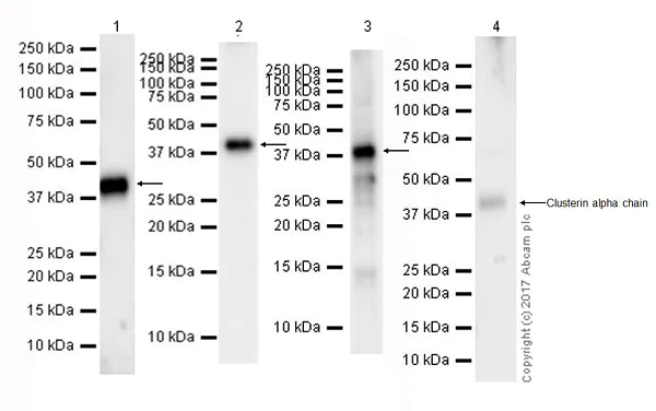
Western blot - Anti-Clusterin alpha chain antibody [EPR17539-95] (AB184100)

Blocking/Dilution buffer and concentration : 5% NFDM/TBST.

Exposure times :

Lanes 1,3,4 : 24 seconds;

Lane 2 : 3 seconds.

The molecular mass observed is consistent with what has been described in the literature (PMID : 8373947).

The blot was developed on a BIO-RAD® ChemiDoc™ MP instrument

All lanes:

Western blot - Anti-Clusterin alpha chain antibody [EPR17539-95] (ab184100) at 1/1000 dilution

Lane 1:

Mouse serum lysate at 20 µg

Lane 2:

Rat serum lysate at 10 µg

Lane 3:

Mouse lung lysate at 10 µg

Lane 4:

Mouse adrenal gland lysate at 20 µg

Secondary

All lanes:

Western blot - Goat Anti-Rabbit IgG H&L (HRP) (<a href='/en-us/products/secondary-antibodies/goat-rabbit-igg-h-l-hrp-ab97051'>ab97051</a>) at 1/100000 dilution

Predicted band size: 52 kDa

true

  • Carrier free

    Anti-Clusterin alpha chain antibody [EPR17539-95] - BSA and Azide free

Key facts

Host species

Rabbit

Clonality

Monoclonal

Clone number

EPR17539-95

Isotype

IgG

Carrier free

No

Reacts with

Mouse, Rat

Applications

IHC-Fr, IHC-P, WB, IP

applications

Immunogen

The exact immunogen used to generate this antibody is proprietary information.

Reactivity data

{ "title": "Reactivity Data", "filters": { "stats": ["", "Species", "Dilution Info", "Notes"], "tabs": { "all-applications": {"fullname" : "All Applications", "shortname": "All Applications"}, "IP" : {"fullname" : "Immunoprecipitation", "shortname":"IP"}, "WB" : {"fullname" : "Western blot", "shortname":"WB"}, "IHCFr" : {"fullname" : "Immunohistochemistry (Frozen sections)", "shortname":"IHC-Fr"}, "IHCP" : {"fullname" : "Immunohistochemistry (Formalin/PFA-fixed paraffin-embedded sections)", "shortname":"IHC-P"}, "ICCIF" : {"fullname" : "Immunocytochemistry/ Immunofluorescence", "shortname":"ICC/IF"} }, "product-promise": { "all": "all", "testedAndGuaranteed": "tested", "guaranteed": "expected", "predicted": "predicted", "notRecommended": "not-recommended" } }, "values": { "Human": { "IP-species-checked": "notRecommended", "IP-species-dilution-info": "", "IP-species-notes": "", "WB-species-checked": "notRecommended", "WB-species-dilution-info": "", "WB-species-notes": "", "IHCFr-species-checked": "notRecommended", "IHCFr-species-dilution-info": "", "IHCFr-species-notes": "", "IHCP-species-checked": "notRecommended", "IHCP-species-dilution-info": "", "IHCP-species-notes": "", "ICCIF-species-checked": "notRecommended", "ICCIF-species-dilution-info": "", "ICCIF-species-notes": "<p></p>" }, "Mouse": { "IP-species-checked": "testedAndGuaranteed", "IP-species-dilution-info": "1/30", "IP-species-notes": "<p></p>", "WB-species-checked": "testedAndGuaranteed", "WB-species-dilution-info": "1/1000", "WB-species-notes": "<p></p>", "IHCFr-species-checked": "testedAndGuaranteed", "IHCFr-species-dilution-info": "1/250", "IHCFr-species-notes": "<p>Perform heat-mediated antigen retrieval by using Tris-EDTA buffer (pH9.0) (<a href='/en-us/products/unavailable/antigen-retrieval-buffer-100x-tris-edta-buffer-ph-90-ab94681'>ab94681</a>).</p>", "IHCP-species-checked": "testedAndGuaranteed", "IHCP-species-dilution-info": "1/8000", "IHCP-species-notes": "<p></p> Perform heat-mediated antigen retrieval with Tris/EDTA buffer pH 9.0 before commencing with IHC staining protocol.", "ICCIF-species-checked": "notRecommended", "ICCIF-species-dilution-info": "", "ICCIF-species-notes": "<p></p>" }, "Rat": { "IP-species-checked": "guaranteed", "IP-species-dilution-info": "", "IP-species-notes": "", "WB-species-checked": "testedAndGuaranteed", "WB-species-dilution-info": "1/1000", "WB-species-notes": "<p></p>", "IHCFr-species-checked": "testedAndGuaranteed", "IHCFr-species-dilution-info": "1/250", "IHCFr-species-notes": "<p>Perform heat-mediated antigen retrieval by using Tris-EDTA buffer (pH9.0) (<a href='/en-us/products/unavailable/antigen-retrieval-buffer-100x-tris-edta-buffer-ph-90-ab94681'>ab94681</a>).</p>", "IHCP-species-checked": "testedAndGuaranteed", "IHCP-species-dilution-info": "1/8000", "IHCP-species-notes": "<p></p> Perform heat-mediated antigen retrieval with Tris/EDTA buffer pH 9.0 before commencing with IHC staining protocol.", "ICCIF-species-checked": "notRecommended", "ICCIF-species-dilution-info": "", "ICCIF-species-notes": "<p></p>" } } }

Product details

Patented technology
Our RabMAb® technology is a patented hybridoma-based technology for making rabbit monoclonal antibodies. For details on our patents, please refer to RabMAb® patents.

What are the advantages of a recombinant monoclonal antibody?
This product is a recombinant monoclonal antibody, which offers several advantages including:

  • - High batch-to-batch consistency and reproducibility
  • - Improved sensitivity and specificity
  • - Long-term security of supply
  • - Animal-free batch production

For more information, read more on recombinant antibodies.

Properties and storage information

Form
Liquid
Purification technique
Affinity purification Protein A
Storage buffer
pH: 7.2 Preservative: 0.01% Sodium azide Constituents: PBS, 40% Glycerol (glycerin, glycerine), 0.05% BSA
Shipped at conditions
Blue Ice
Appropriate short-term storage duration
1-2 weeks
Appropriate short-term storage conditions
+4°C
Appropriate long-term storage conditions
-20°C
Aliquoting information
Upon delivery aliquot
Storage information
Avoid freeze / thaw cycle

Supplementary information

This supplementary information is collated from multiple sources and compiled automatically.

Clusterin also called apolipoprotein J has an important role in various biological processes. The clusterin alpha chain which is a segment of the clusterin protein is synthesized as part of a precursor that is then cleaved into alpha and beta chains. The mass of this alpha chain is around 34 kDa. Clusterin is expressed in multiple tissues including the liver brain and testes. It often appears in bodily fluids such as plasma and cerebrospinal fluid.
Biological function summary

The clusterin protein operates as a chaperone that prevents non-specific aggregation of proteins which is important in maintaining cellular protein homeostasis. It forms part of a heterodimeric complex composed of alpha and beta chains. This protein also contributes to lipid transport due to its apolipoprotein nature. Its expression levels can increase in response to stress-related conditions suggesting an adaptive function to protect cells.

Pathways

Clusterin is involved in the regulation of cell death and survival pathways. It plays a role in the complement cascade providing protective effects against membrane attack complexes. Clusterin interacts with other proteins such as CRP which assists in modulating these pathways and influences inflammation as part of the immune response.

Disruption of clusterin expression or function relates to neurodegenerative disorders including Alzheimer's disease. The clusterin protein associates with amyloid-beta affecting its aggregation and clearance. It also connects to prostate cancer where altered expression of clusterin might influence tumor cell survival and treatment resistance. Understanding these interactions might offer potential therapeutic strategies with clusterin acting as a target or biomarker in diagnostics or treatment development.

Product protocols

For this product, it's our understanding that no specific protocols are required. You can visit:

Target data

Functions as extracellular chaperone that prevents aggregation of non native proteins. Prevents stress-induced aggregation of blood plasma proteins (By similarity). Inhibits formation of amyloid fibrils by APP, APOC2, B2M, CALCA, CSN3, SNCA and aggregation-prone LYZ variants (in vitro) (PubMed : 14741101). Does not require ATP. Maintains partially unfolded proteins in a state appropriate for subsequent refolding by other chaperones, such as HSPA8/HSC70. Does not refold proteins by itself. Binding to cell surface receptors triggers internalization of the chaperone-client complex and subsequent lysosomal or proteasomal degradation. When secreted, protects cells against apoptosis and against cytolysis by complement. Intracellular forms interact with ubiquitin and SCF (SKP1-CUL1-F-box protein) E3 ubiquitin-protein ligase complexes and promote the ubiquitination and subsequent proteasomal degradation of target proteins. Promotes proteasomal degradation of COMMD1 and IKBKB. Modulates NF-kappa-B transcriptional activity (By similarity). Following stress, promotes apoptosis (PubMed : 12551933). Inhibits apoptosis when associated with the mitochondrial membrane by interference with BAX-dependent release of cytochrome c into the cytoplasm. Plays a role in the regulation of cell proliferation. Following ER stress, suppresses stress-induced apoptosis by stabilizing mitochondrial membrane integrity through interaction with HSPA5. When secreted, does not affect caspase or BAX-mediated intrinsic apoptosis and TNF-induced NF-kappa-B-activity (By similarity). When secreted, acts as an important modulator during neuronal differentiation through interaction with STMN3 (By similarity). Plays a role in the clearance of immune complexes that arise during cell injury (PubMed : 11865066).
See full target information Clu

Publications (8)

Recent publications for all applications. Explore the full list and refine your search

Cell & bioscience 15:98 PubMed40624542

2025

Regulation of revival stem cell differentiation by CREPT/RPRD1B during intestinal regeneration.

Applications

Unspecified application

Species

Unspecified reactive species

Tingwei Lan,Mengdi Li,Xiaolin Duan,Huihui Jia,Yajun Cao,Yinyin Wang,Fangli Ren,Jianqiu Sheng,Junfeng Xu,Zhijie Chang

Heliyon 11:e41635 PubMed39866464

2025

Clusterin induced by OPC phagocytosis blocks IL-9 secretion to inhibit myelination in a model of Alzheimer's disease.

Applications

Unspecified application

Species

Unspecified reactive species

Rebecca M Beiter,Tula P Raghavan,Olivia Suchocki,Hannah E Ennerfelt,Courtney R Rivet-Noor,Andrea R Merchak,Jennifer L Phillips,Tim Bathe,John R Lukens,Stefan Prokop,Jeffrey L Dupree,Alban Gaultier

BMC genomics 25:969 PubMed39415084

2024

Clusterin from endometrial glands plays a critical role in decidualization via Trem2.

Applications

Unspecified application

Species

Unspecified reactive species

Sitong Yao,Yingni Chen,Rui Cao,Lin Lu,Jingsi Yang,Wei Lei,Yugu Li,Xiaohuan Liang

Developmental cell 59:1972-1987.e8 PubMed38815584

2024

Epithelial aPKC deficiency leads to stem cell loss preceding metaplasia in colorectal cancer initiation.

Applications

Unspecified application

Species

Unspecified reactive species

Hiroto Kinoshita,Anxo Martinez-Ordoñez,Tania Cid-Diaz,Qixiu Han,Angeles Duran,Yu Muta,Xiao Zhang,Juan F Linares,Yuki Nakanishi,Hiroaki Kasashima,Masakazu Yashiro,Kiyoshi Maeda,Ana Albaladejo-Gonzalez,Daniel Torres-Moreno,José García-Solano,Pablo Conesa-Zamora,Giorgio Inghirami,Maria T Diaz-Meco,Jorge Moscat

Cancer cell 41:252-271.e9 PubMed36525970

2022

Hyaluronan driven by epithelial aPKC deficiency remodels the microenvironment and creates a vulnerability in mesenchymal colorectal cancer.

Applications

Unspecified application

Species

Unspecified reactive species

Anxo Martinez-Ordoñez,Angeles Duran,Marc Ruiz-Martinez,Tania Cid-Diaz,Xiao Zhang,Qixiu Han,Hiroto Kinoshita,Yu Muta,Juan F Linares,Hiroaki Kasashima,Yuki Nakanishi,Mohamed Omar,Sadaaki Nishimura,Leandro Avila,Masakazu Yashiro,Kiyoshi Maeda,Tania Pannellini,Alessio Pigazzi,Giorgio Inghirami,Luigi Marchionni,Darren Sigal,Maria T Diaz-Meco,Jorge Moscat

Gastroenterology 163:411-425.e4 PubMed35487288

2022

Toll-like Receptor 9 Pathway Mediates Schlafen-MDSC Polarization During Helicobacter-induced Gastric Metaplasias.

Applications

Unspecified application

Species

Unspecified reactive species

Lin Ding,Jayati Chakrabarti,Sulaiman Sheriff,Qian Li,Hahn Nguyen Thi Hong,Ricky A Sontz,Zoe E Mendoza,Amanda Schreibeis,Michael A Helmrath,Yana Zavros,Juanita L Merchant

Nature 600:494-499 PubMed34880498

2021

Exercise plasma boosts memory and dampens brain inflammation via clusterin.

Applications

Unspecified application

Species

Unspecified reactive species

Zurine De Miguel,Nathalie Khoury,Michael J Betley,Benoit Lehallier,Drew Willoughby,Niclas Olsson,Andrew C Yang,Oliver Hahn,Nannan Lu,Ryan T Vest,Liana N Bonanno,Lakshmi Yerra,Lichao Zhang,Nay Lui Saw,J Kaci Fairchild,Davis Lee,Hui Zhang,Patrick L McAlpine,Kévin Contrepois,Mehrdad Shamloo,Joshua E Elias,Thomas A Rando,Tony Wyss-Coray

Frontiers in genetics 11:565479 PubMed33250918

2020

Comprehensive Proteomic Profiling of Urinary Exosomes and Identification of Potential Non-invasive Early Biomarkers of Alzheimer's Disease in 5XFAD Mouse Model.

Applications

Unspecified application

Species

Unspecified reactive species

Zhiqi Song,Yanfeng Xu,Ling Zhang,Li Zhou,Yu Zhang,Yunlin Han,Xianglei Li,Pin Yu,Yajin Qu,Wenjie Zhao,Chuan Qin
View all publications

Product promise

We are committed to supporting your work with high-quality reagents, and we're here for you every step of the way. In the unlikely event that one of our products does not perform as expected, you're protected by our Product Promise.
For full details, please see our Terms & Conditions

Please note: All products are 'FOR RESEARCH USE ONLY. NOT FOR USE IN DIAGNOSTIC OR THERAPEUTIC PROCEDURES'.

For licensing inquiries, please contact partnerships@abcam.com