JavaScript is disabled in your browser. Please enable JavaScript to view this website.
AB271867

Anti-Clusterin antibody [EPR2911] - BSA and Azide free

  • BOND RX™ Validated
  • RabMAb
  • Recombinant
  • KO Validated
  • What is this?

3

(1 Review)

|

(0 Publication)

Rabbit Recombinant Monoclonal Clusterin antibody. Carrier free. Suitable for WB, IHC-P and reacts with Human samples.

View Alternative Names

APOJ, CLI, KUB1, AAG4, CLU, Clusterin, Aging-associated gene 4 protein, Apolipoprotein J, Complement cytolysis inhibitor, Ku70-binding protein 1, NA1/NA2, Sulfated glycoprotein 2, Testosterone-repressed prostate message 2, Apo-J, SGP-2, TRPM-2

7 Images
Immunohistochemistry (Formalin/PFA-fixed paraffin-embedded sections) - Anti-Clusterin antibody [EPR2911] - BSA and Azide free (AB271867)
  • IHC-P

Lab

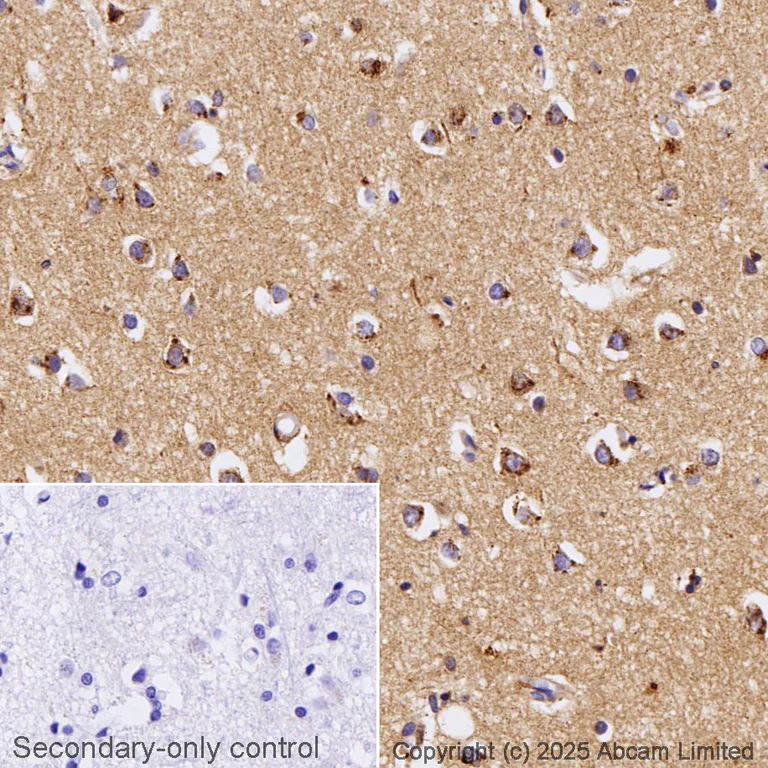
Immunohistochemistry (Formalin/PFA-fixed paraffin-embedded sections) - Anti-Clusterin antibody [EPR2911] - BSA and Azide free (AB271867)

This data was developed using ab92548, the same antibody clone in a different buffer formulation.

Immunohistochemical analysis of paraffin-embedded human Alzheimer's brain tissue* labelling CLU with ab92548 at 0.1ug/ml followed by a ready to use LeicaDS9800 (Bond Polymer Refine Detection).

Positive staining in human Alzheimer's brain.

The section was incubated with ab92548 for 30 mins at room temperature. The immunostaining was performed on a Leica Biosystems BOND® RX instrument. Counterstained with Hematoxylin.

Secondary antibody only control : Secondary antibody is a ready to use LeicaDS9800 (Bond Polymer Refine Detection).

Heat mediated antigen retrieval with sodium citrate buffer (pH 6.0 epitope retrieval solution1) for 20 mins.

*Tissue obtained from the Human Research Tissue Bank, supported by the NIHR Cambridge Biomedical Research Centre.

Immunohistochemistry (Formalin/PFA-fixed paraffin-embedded sections) - Anti-Clusterin antibody [EPR2911] - BSA and Azide free (AB271867)
  • IHC-P

Unknown

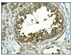
Immunohistochemistry (Formalin/PFA-fixed paraffin-embedded sections) - Anti-Clusterin antibody [EPR2911] - BSA and Azide free (AB271867)

ab92548 (unpurified) at 1/100 dilution staining Apolipoprotein J in Human testis tissue by Immunohistochemistry Formalin-fixed, Paraffin-embedded tissue.

Heat mediated antigen retrieval was performed before commencing with IHC staining protocol.

This data was developed using the same antibody clone in a different buffer formulation containing PBS, BSA, glycerol, and sodium azide (ab92548).

Immunohistochemistry (Formalin/PFA-fixed paraffin-embedded sections) - Anti-Clusterin antibody [EPR2911] - BSA and Azide free (AB271867)
  • IHC-P

Unknown

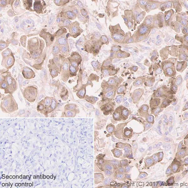
Immunohistochemistry (Formalin/PFA-fixed paraffin-embedded sections) - Anti-Clusterin antibody [EPR2911] - BSA and Azide free (AB271867)

Immunohistochemistry (Formalin/PFA-fixed paraffin-embedded sections) analysis of human breast carcinoma tissue sections labeling Clusterin with purified ab92548 at 1/450 dilution (0.23 μg/ml). Heat mediated antigen retrieval was performed using ab93684 (Tris/EDTA buffer, pH 9.0). ImmunoHistoProbe one step HRP Polymer (ready to use) was used as the secondary antibody. Negative control : PBS instead of the primary antibody. Hematoxylin was used as a counterstain.

This data was developed using the same antibody clone in a different buffer formulation containing PBS, BSA, glycerol, and sodium azide (ab92548).

Western blot - Anti-Clusterin antibody [EPR2911] - BSA and Azide free (AB271867)
  • WB

Lab

Western blot - Anti-Clusterin antibody [EPR2911] - BSA and Azide free (AB271867)

This data was developed using ab92548, the same antibody clone in a different buffer formulation.

Western blot : Rabbit Monoclonal[EPR2911] to Clusterin ab92548 staining at 1/1000 dilution, shown in green; Mouse anti alpha Tubulin (ab7291) loading control staining at 1/20,000 dilution, shown in magenta. A band was observed at 60 kDa in Wild-type U-87 MG cell lysates with no signal observed at this size in CLU knockout U-87 MG cell line. To generate this image, samples were run on an SDS-PAGE gel then transferred onto a nitrocellulose membrane. Membranes were blocked in 3pc Milk in TBS-0.1 % Tween® 20 (TBS-T) before incubation with primary antibodies overnight at 4°C. Blots were washed four times in TBS-T, incubated with secondary antibodies for 1 h at room temperature, washed again four times then imaged. Secondary antibodies used were Goat anti-Rabbit 800CW & Goat anti-Mouse 680RD at 1/20,000 dilution.

All lanes:

Western blot - Anti-Clusterin antibody [EPR2911] (<a href='/en-us/products/primary-antibodies/clusterin-antibody-epr2911-ab92548'>ab92548</a>) at 1/1000 dilution

Lane 1:

Wild-type U-87 MG at 20 µg

Lane 2:

Human CLU knockout U-87 MG cell line at 20 µg

Lane 3:

Wild-type HAP1 at 20 µg

Lane 4:

CLU knockout HAP1 at 20 µg

Secondary

All lanes:

Goat anti-Rabbit 800CW & Goat anti-Mouse 680RD at 1/20000 dilution

Predicted band size: 60 kDa

Observed band size: 60 kDa

false

Western blot - Anti-Clusterin antibody [EPR2911] - BSA and Azide free (AB271867)
  • WB

Unknown

Western blot - Anti-Clusterin antibody [EPR2911] - BSA and Azide free (AB271867)

This data was developed using the same antibody clone in a different buffer formulation containing PBS, BSA, glycerol, and sodium azide (ab92548).

Lane 1 : Wild-type HAP1 whole cell lysate (20 μg)
Lane 2 : Clusterin knockout HAP1 whole cell lysate (20 μg)
Lane 3 : U87-MG whole cell lysate (20 μg)

Lanes 1 - 3 : Merged signal (red and green). Green - ab92548 observed at 68 kDa. Red - loading control, ab9484, observed at 37 kDa.

ab92548 was shown to recognize Clusterin in wild-type HAP1 cells as signal was lost at the expected MW in Clusterin knockout cells. Additional cross-reactive bands were observed in the wild-type and knockout cells. Wild-type and Clusterin knockout samples were subjected to SDS-PAGE. ab92548 and ab9484 (Mouse anti-GAPDH loading control) were incubated overnight at 4°C at 1/1000 dilution and 1/20000 dilution respectively. Blots were developed with Goat anti-Rabbit IgG H&L (IRDye® 800CW) preabsorbed ab216773 and Goat anti-Mouse IgG H&L (IRDye® 680RD) preabsorbed ab216776 secondary antibodies at 1/20000 dilution for 1 hour at room temperature before imaging.

All lanes:

Western blot - Anti-Clusterin antibody [EPR2911] - BSA and Azide free (ab271867)

Predicted band size: 52 kDa

Observed band size: 68 kDa

false

Western blot - Anti-Clusterin antibody [EPR2911] - BSA and Azide free (AB271867)
  • WB

Unknown

Western blot - Anti-Clusterin antibody [EPR2911] - BSA and Azide free (AB271867)

This data was developed using the same antibody clone in a different buffer formulation containing PBS, BSA, glycerol, and sodium azide (ab92548).

Clusterin precursor could be cleaved to produce an N-terminal α-chain and a C-terminal β-chain as was described by PMID : 25402950. ab92548 recognizes α-chain.

All lanes:

Western blot - Anti-Clusterin antibody [EPR2911] - BSA and Azide free (ab271867) at 1/1000 dilution

Lane 1:

Human testis lysates at 20 µg

Lane 2:

Human brain lysates at 20 µg

Secondary

All lanes:

Goat Anti-Rabbit IgG (HRP) with minimal cross-reactivity with human IgG at 1/2000 dilution

Predicted band size: 52 kDa

Observed band size: 37 kDa,68 kDa

false

Western blot - Anti-Clusterin antibody [EPR2911] - BSA and Azide free (AB271867)
  • WB

Unknown

Western blot - Anti-Clusterin antibody [EPR2911] - BSA and Azide free (AB271867)

This data was developed using the same antibody clone in a different buffer formulation containing PBS, BSA, glycerol, and sodium azide (ab92548).

All lanes:

Western blot - Anti-Clusterin antibody [EPR2911] - BSA and Azide free (ab271867) at 1/1000 dilution

Lane 1:

Human tonsil tissue lysate at 10 µg

Lane 2:

Fetal brain tissue lysate at 10 µg

Lane 3:

Human Plasma lysate at 10 µg

Secondary

All lanes:

HRP labelled goat anti-rabbit at 1/2000 dilution

Predicted band size: 52 kDa

false

Key facts

Host species

Rabbit

Clonality

Monoclonal

Clone number

EPR2911

Isotype

IgG

Carrier free

Yes

Reacts with

Human

Applications

WB, IHC-P

applications

Immunogen

The exact immunogen used to generate this antibody is proprietary information.

Reactivity data

{ "title": "Reactivity Data", "filters": { "stats": ["", "Species", "Dilution Info", "Notes"], "tabs": { "all-applications": {"fullname" : "All Applications", "shortname": "All Applications"}, "WB" : {"fullname" : "Western blot", "shortname":"WB"}, "IHCP" : {"fullname" : "Immunohistochemistry (Formalin/PFA-fixed paraffin-embedded sections)", "shortname":"IHC-P"} }, "product-promise": { "all": "all", "testedAndGuaranteed": "tested", "guaranteed": "expected", "predicted": "predicted", "notRecommended": "not-recommended" } }, "values": { "Human": { "WB-species-checked": "testedAndGuaranteed", "WB-species-dilution-info": "", "WB-species-notes": "<p></p>", "IHCP-species-checked": "testedAndGuaranteed", "IHCP-species-dilution-info": "", "IHCP-species-notes": "<p></p>" } } }

Product details

ab271867 is the carrier-free version of ab92548.

Species reactivity
Mouse, Rat: We have preliminary internal testing data to indicate this antibody may not react with these species.
Please contact us for more information.

Patented technology
Our RabMAb® technology is a patented hybridoma-based technology for making rabbit monoclonal antibodies. For details on our patents, please refer to RabMAb® patents.

What are the advantages of a recombinant monoclonal antibody?
This product is a recombinant monoclonal antibody, which offers several advantages including:

  • - High batch-to-batch consistency and reproducibility
  • - Improved sensitivity and specificity
  • - Long-term security of supply
  • - Animal-free batch production

For more information, read more on recombinant antibodies.

Conjugation ready
Our carrier-free antibodies are typically supplied in a PBS-only formulation, purified and free of BSA, sodium azide and glycerol. This conjugation-ready format is designed for use with fluorochromes, metal isotopes, oligonucleotides, and enzymes, which makes them ideal for antibody labelling, functional and cell-based assays, flow-based assays (e.g. mass cytometry) and Multiplex Imaging applications.

Use our conjugation kits for antibody conjugates that are ready-to-use in as little as 20 minutes with 1 minute hands-on-time and 100% antibody recovery: available for fluorescent dyes, HRP, biotin and gold.

Compatibility
This product is compatible with the Maxpar® Antibody Labeling Kit from Fluidigm, without the need for antibody preparation. Maxpar® is a trademark of Fluidigm Canada Inc.

Properties and storage information

Form
Liquid
Purification technique
Affinity purification Protein A
Storage buffer
pH: 7.2 - 7.4 Constituents: PBS
Shipped at conditions
Blue Ice
Appropriate short-term storage conditions
+4°C
Appropriate long-term storage conditions
+4°C
Storage information
Do Not Freeze

Supplementary information

This supplementary information is collated from multiple sources and compiled automatically.

Clusterin also known as Apolipoprotein J (ApoJ) is a glycoprotein with a mass of approximately 75-80 kDa. Scientists find clusterin expressed widely in the human body including the brain kidney and reproductive organs. This protein exists in two isoforms a secreted form and a nuclear form each with different locations and functions within the cells.
Biological function summary

Clusterin plays multiple roles particularly in lipid transport apoptosis and cell-cell interactions. It does not form part of a larger protein complex but it acts as a molecular chaperone that helps in folding and clearance of damaged proteins. This capability allows clusterin to protect cells against stress conditions such as oxidative stress by preventing abnormal protein aggregation.

Pathways

Clusterin is involved in pathways related to cell survival and lipid metabolism. It plays a role in the insulin signaling pathway and interacts with proteins like Heat Shock Protein 70 (HSP70) to assist in protein folding and in the activation of apoptotic pathways when needed. Clusterin's function in these processes helps in maintaining cellular homeostasis.

Scientists associate clusterin with Alzheimer’s disease and cancer progression. Elevated levels of clusterin have been observed in Alzheimer's patients suggesting a role in amyloid-beta plaque formation. In cancer clusterin expression influences tumor progression and resistance to therapies. Its interaction with other proteins such as Bax modulates the apoptotic pathways impacting cancer cell survival and chemotherapy resistance.

Product protocols

For this product, it's our understanding that no specific protocols are required. You can visit:

Target data

Isoform 1. Functions as extracellular chaperone that prevents aggregation of non native proteins (PubMed : 11123922, PubMed : 19535339). Prevents stress-induced aggregation of blood plasma proteins (PubMed : 11123922, PubMed : 12176985, PubMed : 17260971, PubMed : 19996109). Inhibits formation of amyloid fibrils by APP, APOC2, B2M, CALCA, CSN3, SNCA and aggregation-prone LYZ variants (in vitro) (PubMed : 12047389, PubMed : 17407782, PubMed : 17412999). Does not require ATP (PubMed : 11123922). Maintains partially unfolded proteins in a state appropriate for subsequent refolding by other chaperones, such as HSPA8/HSC70 (PubMed : 11123922). Does not refold proteins by itself (PubMed : 11123922). Binding to cell surface receptors triggers internalization of the chaperone-client complex and subsequent lysosomal or proteasomal degradation (PubMed : 21505792). Protects cells against apoptosis and against cytolysis by complement (PubMed : 2780565). Intracellular forms interact with ubiquitin and SCF (SKP1-CUL1-F-box protein) E3 ubiquitin-protein ligase complexes and promote the ubiquitination and subsequent proteasomal degradation of target proteins (PubMed : 20068069). Promotes proteasomal degradation of COMMD1 and IKBKB (PubMed : 20068069). Modulates NF-kappa-B transcriptional activity (PubMed : 12882985). A mitochondrial form suppresses BAX-dependent release of cytochrome c into the cytoplasm and inhibit apoptosis (PubMed : 16113678, PubMed : 17689225). Plays a role in the regulation of cell proliferation (PubMed : 19137541). An intracellular form suppresses stress-induced apoptosis by stabilizing mitochondrial membrane integrity through interaction with HSPA5 (PubMed : 22689054). Secreted form does not affect caspase or BAX-mediated intrinsic apoptosis and TNF-induced NF-kappa-B-activity (PubMed : 24073260). Secreted form act as an important modulator during neuronal differentiation through interaction with STMN3 (By similarity). Plays a role in the clearance of immune complexes that arise during cell injury (By similarity).. Isoform 6. Does not affect caspase or BAX-mediated intrinsic apoptosis and TNF-induced NF-kappa-B-activity.. Isoform 4. Does not affect caspase or BAX-mediated intrinsic apoptosis and TNF-induced NF-kappa-B-activity (PubMed : 24073260). Promotes cell death through interaction with BCL2L1 that releases and activates BAX (PubMed : 21567405).
See full target information CLU

Product promise

We are committed to supporting your work with high-quality reagents, and we're here for you every step of the way. In the unlikely event that one of our products does not perform as expected, you're protected by our Product Promise.
For full details, please see our Terms & Conditions

Please note: All products are 'FOR RESEARCH USE ONLY. NOT FOR USE IN DIAGNOSTIC OR THERAPEUTIC PROCEDURES'.

For licensing inquiries, please contact partnerships@abcam.com