JavaScript is disabled in your browser. Please enable JavaScript to view this website.
AB229445

Anti-Clusterin antibody [EPR2911] - Low endotoxin, Azide free

Be the first to review this product! Submit a review

|

(1 Publication)

Rabbit Recombinant Monoclonal Clusterin antibody. Carrier free. Suitable for IHC-P, WB and reacts with Human samples. Cited in 1 publication.

View Alternative Names

APOJ, CLI, KUB1, AAG4, CLU, Clusterin, Aging-associated gene 4 protein, Apolipoprotein J, Complement cytolysis inhibitor, Ku70-binding protein 1, NA1/NA2, Sulfated glycoprotein 2, Testosterone-repressed prostate message 2, Apo-J, SGP-2, TRPM-2

2 Images
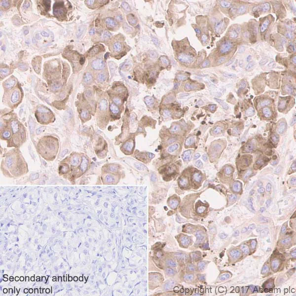
Immunohistochemistry (Formalin/PFA-fixed paraffin-embedded sections) - Anti-Clusterin antibody [EPR2911] - Low endotoxin, Azide free (AB229445)
  • IHC-P

Unknown

Immunohistochemistry (Formalin/PFA-fixed paraffin-embedded sections) - Anti-Clusterin antibody [EPR2911] - Low endotoxin, Azide free (AB229445)

Immunohistochemistry (Formalin/PFA-fixed paraffin-embedded sections) analysis of human breast carcinoma tissue sections labeling Clusterin with purified ab92548 at 1/450 dilution (0.23 μg/ml). Heat mediated antigen retrieval was performed using ab93684 (Tris/EDTA buffer pH 9.0). ImmunoHistoProbe one step HRP Polymer (ready to use) was used as the secondary antibody. Negative control : PBS instead of the primary antibody. Hematoxylin was used as a counterstain. This data was developed using the same antibody clone in a different buffer formulation containing PBS BSA glycerol and sodium azide (ab92548)

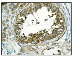
Immunohistochemistry (Formalin/PFA-fixed paraffin-embedded sections) - Anti-Clusterin antibody [EPR2911] - Low endotoxin, Azide free (AB229445)
  • IHC-P

Unknown

Immunohistochemistry (Formalin/PFA-fixed paraffin-embedded sections) - Anti-Clusterin antibody [EPR2911] - Low endotoxin, Azide free (AB229445)

This IHC data was generated using the same anti-Clusterin antibody clone EPR2911 in a different buffer formulation (cat# ab925480).

ab92548 (unpurified) at 1/100 dilution staining Apolipoprotein J in Human testis tissue by Immunohistochemistry Formalin-fixed Paraffin-embedded tissue.

Heat mediated antigen retrieval was performed before commencing with IHC staining protocol.

  • Unconjugated

    Anti-Clusterin antibody [EPR2911]

  • Carrier free

    Anti-Clusterin antibody [EPR2911] - BSA and Azide free

  • 660 APC

    APC Anti-Clusterin antibody [EPR2911]

  • 578 PE

    PE Anti-Clusterin antibody [EPR2911]

  • 519 Alexa Fluor® 488

    Alexa Fluor® 488 Anti-Clusterin antibody [EPR2911]

  • 665 Alexa Fluor® 647

    Alexa Fluor® 647 Anti-Clusterin antibody [EPR2911]

  • 617 Alexa Fluor® 594

    Alexa Fluor® 594 Anti-Clusterin antibody [EPR2911]

  • 565 Alexa Fluor® 555

    Alexa Fluor® 555 Anti-Clusterin antibody [EPR2911]

  • 775 Alexa Fluor® 750

    Alexa Fluor® 750 Anti-Clusterin antibody [EPR2911]

Key facts

Host species

Rabbit

Clonality

Monoclonal

Clone number

EPR2911

Isotype

IgG

Carrier free

Yes

Reacts with

Human

Applications

WB, IHC-P

applications

Immunogen

The exact immunogen used to generate this antibody is proprietary information.

Reactivity data

{ "title": "Reactivity Data", "filters": { "stats": ["", "Species", "Dilution Info", "Notes"], "tabs": { "all-applications": {"fullname" : "All Applications", "shortname": "All Applications"}, "IHCP" : {"fullname" : "Immunohistochemistry (Formalin/PFA-fixed paraffin-embedded sections)", "shortname":"IHC-P"}, "WB" : {"fullname" : "Western blot", "shortname":"WB"} }, "product-promise": { "all": "all", "testedAndGuaranteed": "tested", "guaranteed": "expected", "predicted": "predicted", "notRecommended": "not-recommended" } }, "values": { "Human": { "IHCP-species-checked": "testedAndGuaranteed", "IHCP-species-dilution-info": "", "IHCP-species-notes": "<p></p>", "WB-species-checked": "testedAndGuaranteed", "WB-species-dilution-info": "", "WB-species-notes": "<p></p>" } } }

Product details

ab229445 is the carrier-free version of ab92548.

Species reactivity
Mouse, Rat: We have preliminary internal testing data to indicate this antibody may not react with these species.
Please contact us for more information.

Patented technology
Our RabMAb® technology is a patented hybridoma-based technology for making rabbit monoclonal antibodies. For details on our patents, please refer to RabMAb® patents.

What are the advantages of a recombinant monoclonal antibody?
This product is a recombinant monoclonal antibody, which offers several advantages including:

  • - High batch-to-batch consistency and reproducibility
  • - Improved sensitivity and specificity
  • - Long-term security of supply
  • - Animal-free batch production

For more information, read more on recombinant antibodies.

Conjugation ready
Our carrier-free antibodies are typically supplied in a PBS-only formulation, purified and free of BSA, sodium azide and glycerol. This conjugation-ready format is designed for use with fluorochromes, metal isotopes, oligonucleotides, and enzymes, which makes them ideal for antibody labelling, functional and cell-based assays, flow-based assays (e.g. mass cytometry) and Multiplex Imaging applications.

Use our conjugation kits for antibody conjugates that are ready-to-use in as little as 20 minutes with 1 minute hands-on-time and 100% antibody recovery: available for fluorescent dyes, HRP, biotin and gold.

What does low endotoxin mean?
Our low endotoxin, azide-free formats have low endotoxin level (1 EU/mg, determined by the TAL assay) and are free from azide, to achieve consistent experimental results in functional assays.

Properties and storage information

Form
Liquid
Purification technique
Affinity purification Protein A
Storage buffer
pH: 7.2 - 7.4 Constituents: PBS
Shipped at conditions
Blue Ice
Appropriate short-term storage conditions
+4°C
Appropriate long-term storage conditions
+4°C
Storage information
Do Not Freeze

Supplementary information

This supplementary information is collated from multiple sources and compiled automatically.

Clusterin also known as Apolipoprotein J (ApoJ) is a glycoprotein with a mass of approximately 75-80 kDa. Scientists find clusterin expressed widely in the human body including the brain kidney and reproductive organs. This protein exists in two isoforms a secreted form and a nuclear form each with different locations and functions within the cells.
Biological function summary

Clusterin plays multiple roles particularly in lipid transport apoptosis and cell-cell interactions. It does not form part of a larger protein complex but it acts as a molecular chaperone that helps in folding and clearance of damaged proteins. This capability allows clusterin to protect cells against stress conditions such as oxidative stress by preventing abnormal protein aggregation.

Pathways

Clusterin is involved in pathways related to cell survival and lipid metabolism. It plays a role in the insulin signaling pathway and interacts with proteins like Heat Shock Protein 70 (HSP70) to assist in protein folding and in the activation of apoptotic pathways when needed. Clusterin's function in these processes helps in maintaining cellular homeostasis.

Scientists associate clusterin with Alzheimer’s disease and cancer progression. Elevated levels of clusterin have been observed in Alzheimer's patients suggesting a role in amyloid-beta plaque formation. In cancer clusterin expression influences tumor progression and resistance to therapies. Its interaction with other proteins such as Bax modulates the apoptotic pathways impacting cancer cell survival and chemotherapy resistance.

Product protocols

For this product, it's our understanding that no specific protocols are required. You can visit:

Target data

Isoform 1. Functions as extracellular chaperone that prevents aggregation of non native proteins (PubMed : 11123922, PubMed : 19535339). Prevents stress-induced aggregation of blood plasma proteins (PubMed : 11123922, PubMed : 12176985, PubMed : 17260971, PubMed : 19996109). Inhibits formation of amyloid fibrils by APP, APOC2, B2M, CALCA, CSN3, SNCA and aggregation-prone LYZ variants (in vitro) (PubMed : 12047389, PubMed : 17407782, PubMed : 17412999). Does not require ATP (PubMed : 11123922). Maintains partially unfolded proteins in a state appropriate for subsequent refolding by other chaperones, such as HSPA8/HSC70 (PubMed : 11123922). Does not refold proteins by itself (PubMed : 11123922). Binding to cell surface receptors triggers internalization of the chaperone-client complex and subsequent lysosomal or proteasomal degradation (PubMed : 21505792). Protects cells against apoptosis and against cytolysis by complement (PubMed : 2780565). Intracellular forms interact with ubiquitin and SCF (SKP1-CUL1-F-box protein) E3 ubiquitin-protein ligase complexes and promote the ubiquitination and subsequent proteasomal degradation of target proteins (PubMed : 20068069). Promotes proteasomal degradation of COMMD1 and IKBKB (PubMed : 20068069). Modulates NF-kappa-B transcriptional activity (PubMed : 12882985). A mitochondrial form suppresses BAX-dependent release of cytochrome c into the cytoplasm and inhibit apoptosis (PubMed : 16113678, PubMed : 17689225). Plays a role in the regulation of cell proliferation (PubMed : 19137541). An intracellular form suppresses stress-induced apoptosis by stabilizing mitochondrial membrane integrity through interaction with HSPA5 (PubMed : 22689054). Secreted form does not affect caspase or BAX-mediated intrinsic apoptosis and TNF-induced NF-kappa-B-activity (PubMed : 24073260). Secreted form act as an important modulator during neuronal differentiation through interaction with STMN3 (By similarity). Plays a role in the clearance of immune complexes that arise during cell injury (By similarity).. Isoform 6. Does not affect caspase or BAX-mediated intrinsic apoptosis and TNF-induced NF-kappa-B-activity.. Isoform 4. Does not affect caspase or BAX-mediated intrinsic apoptosis and TNF-induced NF-kappa-B-activity (PubMed : 24073260). Promotes cell death through interaction with BCL2L1 that releases and activates BAX (PubMed : 21567405).
See full target information CLU

Publications (1)

Recent publications for all applications. Explore the full list and refine your search

Immunity 55:2369-2385.e10 PubMed36370712

2022

The transcription factor IRF2 drives interferon-mediated CD8 T cell exhaustion to restrict anti-tumor immunity.

Applications

Unspecified application

Species

Unspecified reactive species

Sabelo Lukhele,Diala Abd Rabbo,Mengdi Guo,Jian Shen,Heidi J Elsaesser,Rene Quevedo,Madeleine Carew,Ramy Gadalla,Laura M Snell,Lawanya Mahesh,M Teresa Ciudad,Bryan E Snow,Annick You-Ten,Jillian Haight,Andrew Wakeham,Pamela S Ohashi,Tak W Mak,Weiguo Cui,Tracy L McGaha,David G Brooks
View all publications

Product promise

We are committed to supporting your work with high-quality reagents, and we're here for you every step of the way. In the unlikely event that one of our products does not perform as expected, you're protected by our Product Promise.
For full details, please see our Terms & Conditions

Please note: All products are 'FOR RESEARCH USE ONLY. NOT FOR USE IN DIAGNOSTIC OR THERAPEUTIC PROCEDURES'.

For licensing inquiries, please contact partnerships@abcam.com