JavaScript is disabled in your browser. Please enable JavaScript to view this website.
AB306554

Anti-CMKLR1 antibody [EPR26501-70]

Be the first to review this product! Submit a review

|

(2 Publications)

Rabbit Recombinant Monoclonal CMKLR1 antibody. Suitable for Flow Cyt, ICC/IF, WB and reacts with Human, Mouse, Rat samples. Cited in 2 publications.

View Alternative Names

CHEMR23, DEZ, CMKLR1, Chemerin-like receptor 1, Chemokine-like receptor 1, G-protein coupled receptor ChemR23, G-protein coupled receptor DEZ

10 Images
Flow Cytometry - Anti-CMKLR1 antibody [EPR26501-70] (AB306554)
  • Flow Cyt

Supplier Data

Flow Cytometry - Anti-CMKLR1 antibody [EPR26501-70] (AB306554)

Flow cytometric analysis of Human peripheral blood mononuclear cell (PBMC) treated with 100ng/ml GM-CSF and 50ng/ml IL-4 for 3 days cells labelling CMKLR1 with ab306554 at 1/50 dilution (1ug)/ Right compared with a Rabbit monoclonal IgG (ab172730) / Left isotype control and an unlabelled control (cells without incubation with primary antibody and secondary antibody) (Blue). Goat anti-Rabbit IgG (Alexa Fluor® 647, ab150083) at 1/2000 dilution was used as the secondary antibody. Gated on viable cells. Cells were stained with rabbit IgG or ab306554. Then stained with anti-HLA-DR conjugated to PE.

Immunocytochemistry/ Immunofluorescence - Anti-CMKLR1 antibody [EPR26501-70] (AB306554)
  • ICC/IF

Supplier Data

Immunocytochemistry/ Immunofluorescence - Anti-CMKLR1 antibody [EPR26501-70] (AB306554)

Immunofluorescent analysis of 4% Paraformaldehyde-fixed, 0.1% Triton X-100 permeabilized EA.hy926 (human somatic cell hybrid endothelial) cells labeling CMKLR1 with ab306554 at 1/100 (5.25 ug/ml) dilution, followed by ab150081 Goat Anti-Rabbit IgG H&L (Alexa Fluor® 488) preadsorbed antibody at 1/1000 (2 ug/ml) dilution (Green). Confocal image showing membranous and cytoplasmic staining in EA.hy926 cell line ab195889 Anti-alpha Tubulin mouse monoclonal antibody - Microtubule Marker (Alexa Fluor® 594) was used to counterstain tubulin at 1/200 dilution (2.5 ug/ml) dilution (Red). The nuclear counterstain was DAPI (Blue). Secondary antibody only control : Secondary antibody is ab150081 Goat Anti-Rabbit IgG H&L (Alexa Fluor® 488) preadsorbed at 1/1000 (2 ug/ml) dilution.

Immunocytochemistry/ Immunofluorescence - Anti-CMKLR1 antibody [EPR26501-70] (AB306554)
  • ICC/IF

Supplier Data

Immunocytochemistry/ Immunofluorescence - Anti-CMKLR1 antibody [EPR26501-70] (AB306554)

Immunofluorescent analysis of 4% Paraformaldehyde-fixed, 0.1% Triton X-100 permeabilized HL-60 (human acute promyelocytic leukemia promyeloblast) cells labeling CMKLR1 with ab306554 at 1/100 (5.25 ug/ml) dilution, followed by ab150081 Goat Anti-Rabbit IgG H&L (Alexa Fluor® 488) preadsorbed antibody at 1/1000 (2 ug/ml) dilution (Green). Confocal image showing membranous and cytoplasmic staining in HL-60 cells treated with PMA (50 ng/ml) for 72 h, then add MG-132 (10 uM) for 4 h, and no staining under only MG-132 (10 uM) for 4 h treatment. Image was taken with a confocal microscope (Leica-Microsystems, TCS SP8). ab195889 Anti-alpha Tubulin mouse monoclonal antibody - Microtubule Marker (Alexa Fluor® 594) was used to counterstain tubulin at 1/200 dilution (2.5 ug/ml) dilution (Red). The nuclear counterstain was DAPI (Blue). Secondary antibody only control : Secondary antibody is ab150081 Goat Anti-Rabbit IgG H&L (Alexa Fluor® 488) preadsorbed at 1/1000 (2 ug/ml) dilution.

Flow Cytometry - Anti-CMKLR1 antibody [EPR26501-70] (AB306554)
  • Flow Cyt

Supplier Data

Flow Cytometry - Anti-CMKLR1 antibody [EPR26501-70] (AB306554)

Flow cytometric analysis of Human peripheral blood mononuclear cell (PBMC) treated with 100ng/ml GM-CSF and 50ng/ml IL-4 for 3 days cells labelling CMKLR1 with ab306554 at 1/50 dilution (1ug)/ Right compared with a Rabbit monoclonal IgG (ab172730) / Left isotype control and an unlabelled control (cells without incubation with primary antibody and secondary antibody) (Blue). Goat anti-Rabbit IgG (Alexa Fluor® 647, ab150083) at 1/2000 dilution was used as the secondary antibody. Gated on viable HLA-DR and CD123 double positive cells.Cells were stained with rabbit IgG or ab306554. Then stained with anti-CD123 conjugated to FITC and anti-HLA-DR conjugated to PE.

Flow Cytometry - Anti-CMKLR1 antibody [EPR26501-70] (AB306554)
  • Flow Cyt

Supplier Data

Flow Cytometry - Anti-CMKLR1 antibody [EPR26501-70] (AB306554)

Flow cytometric analysis of Human peripheral blood mononuclear cell (PBMC) treated with 100ng/ml GM-CSF and 50ng/ml IL-4 for 3 days cells labelling CMKLR1 with ab306554 at 1/50 dilution (1ug)/ Right compared with a Rabbit monoclonal IgG (ab172730) / Left isotype control and an unlabelled control (cells without incubation with primary antibody and secondary antibody) (Blue). Goat anti-Rabbit IgG (Alexa Fluor® 647, ab150083) at 1/2000 dilution was used as the secondary antibody. Gated on viable cells. Cells were stained with rabbit IgG or ab306554. Then stained with anti-CD123 conjugated to FITC.

Immunocytochemistry/ Immunofluorescence - Anti-CMKLR1 antibody [EPR26501-70] (AB306554)
  • ICC/IF

Supplier Data

Immunocytochemistry/ Immunofluorescence - Anti-CMKLR1 antibody [EPR26501-70] (AB306554)

Immunofluorescent analysis of 4% Paraformaldehyde-fixed, 0.1% Triton X-100 permeabilized Neuro-2a (mouse neuroblastoma neuroblast) cells labeling CMKLR1 with ab306554 at 1/100 (5.25 ug/ml) dilution, followed by ab150081 Goat Anti-Rabbit IgG H&L (Alexa Fluor® 488) preadsorbed antibody at 1/1000 (2 ug/ml) dilution (Green). Confocal image showing membranous and weak cytoplasmic staining in Neuro-2a cell line ab195889 Anti-alpha Tubulin mouse monoclonal antibody - Microtubule Marker (Alexa Fluor® 594) was used to counterstain tubulin at 1/200 dilution (2.5 ug/ml) dilution (Red). The nuclear counterstain was DAPI (Blue). Secondary antibody only control : Secondary antibody is ab150081 Goat Anti-Rabbit IgG H&L (Alexa Fluor® 488) preadsorbed at 1/1000 (2 ug/ml) dilution.

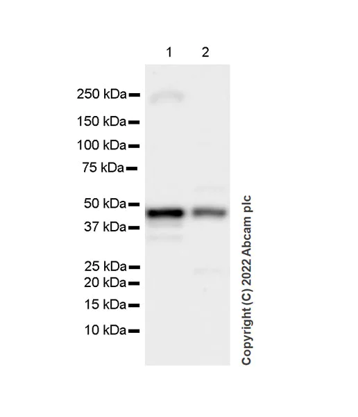
Western blot - Anti-CMKLR1 antibody [EPR26501-70] (AB306554)
  • WB

Supplier Data

Western blot - Anti-CMKLR1 antibody [EPR26501-70] (AB306554)

Blocking and diluting buffer and concentration : 5% NFDM/TBST Samples are non-boiled as boiling may cause protein aggregation. The expression of Chemokine-like receptor 1 is upregulated in response to PMA treatment (PMID : 19906641). Exposure time : 3 seconds

All lanes:

Western blot - Anti-CMKLR1 antibody [EPR26501-70] (ab306554) at 1/1000 dilution

Lane 1:

HL-60 (human acute promyelocytic leukemia promyeloblast) treated with 10 ?M MG-132 for 4h whole cell lysate 20 µg

Lane 2:

HL-60 treated with /ml PMA for 72h, 10 ?M MG-132 was then added for additional 4h whole cell lysate 20 µg

Secondary

All lanes:

Western blot - Goat Anti-Rabbit IgG H&L (HRP) (<a href='/en-us/products/secondary-antibodies/goat-rabbit-igg-h-l-hrp-ab97051'>ab97051</a>) at 1/50000 dilution

Observed band size: 42 kDa

false

Exposure time: 3s

Western blot - Anti-CMKLR1 antibody [EPR26501-70] (AB306554)
  • WB

Supplier Data

Western blot - Anti-CMKLR1 antibody [EPR26501-70] (AB306554)

Blocking and diluting buffer and concentration : 5% NFDM/TBST Samples are non-boiled as boiling may cause protein aggregation. Exposure time : 5.5 seconds

All lanes:

Western blot - Anti-CMKLR1 antibody [EPR26501-70] (ab306554) at 1/1000 dilution

Lane 1:

Ea.Hy926 (human somatic cell hybrid endothelial cell) whole cell lysate 20 μg

Lane 2:

HUVEC (human umbilical vein endothelial cell) whole cell lysate 20 μg

Lane 3:

HepG2 (human hepatocellar carcinoma epithelial cell) whole cell lysate 20 μg

Lane 4:

293T (human embryonic kidney epithelial cell) whole cell lysate 20 μg

Lane 5:

Neuro-2a (mouse neuroblastoma neuroblast) whole cell lysate 20 μg

Secondary

All lanes:

Goat Anti-Rabbit IgG (HRP) with minimal cross-reactivity with human IgG at 1/2000 dilution

Observed band size: 42 kDa

false

Exposure time: 5.5s

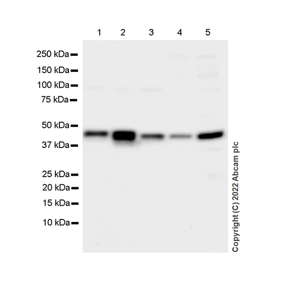
Western blot - Anti-CMKLR1 antibody [EPR26501-70] (AB306554)
  • WB

Supplier Data

Western blot - Anti-CMKLR1 antibody [EPR26501-70] (AB306554)

Blocking and diluting buffer and concentration : 5% NFDM/TBST Samples are non-boiled as boiling may cause protein aggregation. Exposure time : 5.5 seconds

All lanes:

Western blot - Anti-CMKLR1 antibody [EPR26501-70] (ab306554) at 1/1000 dilution

Lane 1:

Human tonsil tissue lysate 20 μg

Lane 2:

Human placenta tissue lysate 20 μg

Lane 3:

Mouse spleen tissue lysate 20 μg

Lane 4:

Rat spleen tissue lysate 20 μg

Secondary

All lanes:

Goat Anti-Rabbit IgG (HRP) with minimal cross-reactivity with human IgG at 1/2000 dilution

Observed band size: 42 kDa

false

Exposure time: 5.5s

Western blot - Anti-CMKLR1 antibody [EPR26501-70] (AB306554)
  • WB

Supplier Data

Western blot - Anti-CMKLR1 antibody [EPR26501-70] (AB306554)

Blocking and diluting buffer and concentration : 5% NFDM/TBST Samples are non-boiled as boiling may cause protein aggregation. Exposure time : 5.5 seconds

All lanes:

Western blot - Anti-CMKLR1 antibody [EPR26501-70] (ab306554) at 1/1000 dilution

Lane 1:

Human fat tissue lysate 20 μg

Lane 2:

Mouse white fat tissue lysate 20 μg

Secondary

All lanes:

Goat Anti-Rabbit IgG (HRP) with minimal cross-reactivity with human IgG at 1/2000 dilution

Observed band size: 42 kDa

false

Exposure time: 5.5s

Key facts

Host species

Rabbit

Clonality

Monoclonal

Clone number

EPR26501-70

Isotype

IgG

Carrier free

No

Reacts with

Human, Mouse, Rat

Applications

WB, ICC/IF, Flow Cyt

applications

Immunogen

The exact immunogen used to generate this antibody is proprietary information.

Reactivity data

{ "title": "Reactivity Data", "filters": { "stats": ["", "Species", "Dilution Info", "Notes"], "tabs": { "all-applications": {"fullname" : "All Applications", "shortname": "All Applications"}, "IP" : {"fullname" : "Immunoprecipitation", "shortname":"IP"}, "FlowCyt" : {"fullname" : "Flow Cytometry", "shortname":"Flow Cyt"}, "ICCIF" : {"fullname" : "Immunocytochemistry/ Immunofluorescence", "shortname":"ICC/IF"}, "IHCP" : {"fullname" : "Immunohistochemistry (Formalin/PFA-fixed paraffin-embedded sections)", "shortname":"IHC-P"}, "WB" : {"fullname" : "Western blot", "shortname":"WB"} }, "product-promise": { "all": "all", "testedAndGuaranteed": "tested", "guaranteed": "expected", "predicted": "predicted", "notRecommended": "not-recommended" } }, "values": { "Human": { "IP-species-checked": "notRecommended", "IP-species-dilution-info": "", "IP-species-notes": "<p></p>", "FlowCyt-species-checked": "testedAndGuaranteed", "FlowCyt-species-dilution-info": "1/50", "FlowCyt-species-notes": "<p></p>", "ICCIF-species-checked": "testedAndGuaranteed", "ICCIF-species-dilution-info": "1/100", "ICCIF-species-notes": "<p></p>", "IHCP-species-checked": "notRecommended", "IHCP-species-dilution-info": "", "IHCP-species-notes": "<p></p> Perform heat-mediated antigen retrieval with citrate buffer pH 6 before commencing with IHC staining protocol.", "WB-species-checked": "testedAndGuaranteed", "WB-species-dilution-info": "1/1000", "WB-species-notes": "<p></p>" }, "Mouse": { "IP-species-checked": "notRecommended", "IP-species-dilution-info": "", "IP-species-notes": "", "FlowCyt-species-checked": "guaranteed", "FlowCyt-species-dilution-info": "", "FlowCyt-species-notes": "", "ICCIF-species-checked": "testedAndGuaranteed", "ICCIF-species-dilution-info": "1/100", "ICCIF-species-notes": "<p></p>", "IHCP-species-checked": "notRecommended", "IHCP-species-dilution-info": "", "IHCP-species-notes": "<p></p> Perform heat-mediated antigen retrieval with citrate buffer pH 6 before commencing with IHC staining protocol.", "WB-species-checked": "testedAndGuaranteed", "WB-species-dilution-info": "1/1000", "WB-species-notes": "<p></p>" }, "Rat": { "IP-species-checked": "notRecommended", "IP-species-dilution-info": "", "IP-species-notes": "", "FlowCyt-species-checked": "guaranteed", "FlowCyt-species-dilution-info": "", "FlowCyt-species-notes": "", "ICCIF-species-checked": "guaranteed", "ICCIF-species-dilution-info": "", "ICCIF-species-notes": "", "IHCP-species-checked": "notRecommended", "IHCP-species-dilution-info": "", "IHCP-species-notes": "<p></p> Perform heat-mediated antigen retrieval with citrate buffer pH 6 before commencing with IHC staining protocol.", "WB-species-checked": "testedAndGuaranteed", "WB-species-dilution-info": "1/1000", "WB-species-notes": "<p></p>" } } }

Product details

Patented technology
Our RabMAb® technology is a patented hybridoma-based technology for making rabbit monoclonal antibodies. For details on our patents, please refer to RabMAb® patents.

What are the advantages of a recombinant monoclonal antibody?
This product is a recombinant monoclonal antibody, which offers several advantages including:

  • - High batch-to-batch consistency and reproducibility
  • - Improved sensitivity and specificity
  • - Long-term security of supply
  • - Animal-free batch production

For more information, read more on recombinant antibodies.

Properties and storage information

Form
Liquid
Purification technique
Affinity purification Protein A
Storage buffer
pH: 7.2 - 7.4 Preservative: 0.01% Sodium azide Constituents: PBS, 40% Glycerol (glycerin, glycerine), 0.05% BSA
Shipped at conditions
Blue Ice
Appropriate short-term storage duration
1-2 weeks
Appropriate short-term storage conditions
+4°C
Appropriate long-term storage conditions
-20°C
Aliquoting information
Upon delivery aliquot
Storage information
Avoid freeze / thaw cycle

Product protocols

For this product, it's our understanding that no specific protocols are required. You can visit:

Target data

Receptor for the chemoattractant adipokine chemerin/RARRES2 and for the omega-3 fatty acid derived molecule resolvin E1. Interaction with RARRES2 initiates activation of G proteins G(i)/G(o) and beta-arrestin pathways inducing cellular responses via second messenger pathways such as intracellular calcium mobilization, phosphorylation of MAP kinases MAPK1/MAPK3 (ERK1/2), TYRO3, MAPK14/P38MAPK and PI3K leading to multifunctional effects, like reduction of immune responses, enhancing of adipogenesis and angionesis (PubMed : 27716822). Resolvin E1 down-regulates cytokine production in macrophages by reducing the activation of MAPK1/3 (ERK1/2) and NF-kappa-B. Positively regulates adipogenesis and adipocyte metabolism.. (Microbial infection) Acts as a coreceptor for several SIV strains (SIVMAC316, SIVMAC239, SIVMACL7E-FR and SIVSM62A), as well as a primary HIV-1 strain (92UG024-2).
See full target information CMKLR1

Publications (2)

Recent publications for all applications. Explore the full list and refine your search

Frontiers in immunology 16:1521038 PubMed40181977

2025

Unraveling the spatial and signaling dynamics and splicing kinetics of immune infiltration in osteoarthritis synovium.

Applications

Unspecified application

Species

Unspecified reactive species

Chuan Wang,Zevar Zeng,Tao Wang,Zhihong Xie,Jian Zhang,Wentao Dong,Fei Zhang,Wuxun Peng

Toxicological research 40:73-81 PubMed38223664

2024

Chemerin/CMKLR1 pathway exacerbates cisplatin-induced spiral ganglion neuron injury.

Applications

Unspecified application

Species

Unspecified reactive species

Jie Tian,Ying Mu,Lili Ma
View all publications

Product promise

We are committed to supporting your work with high-quality reagents, and we're here for you every step of the way. In the unlikely event that one of our products does not perform as expected, you're protected by our Product Promise.
For full details, please see our Terms & Conditions

Please note: All products are 'FOR RESEARCH USE ONLY. NOT FOR USE IN DIAGNOSTIC OR THERAPEUTIC PROCEDURES'.

For licensing inquiries, please contact partnerships@abcam.com