JavaScript is disabled in your browser. Please enable JavaScript to view this website.
AB307502

Anti-CMTM4 antibody [EPR27409-50] - BSA and Azide free

Be the first to review this product! Submit a review

|

(0 Publication)

Rabbit Recombinant Monoclonal CMTM4 antibody. Carrier free. Suitable for IP, IHC-P, WB and reacts with Mouse, Human, Rat samples.

View Alternative Names

CKLFSF4, CMTM4, CKLF-like MARVEL transmembrane domain-containing protein 4, Chemokine-like factor superfamily member 4

12 Images
Immunohistochemistry (Formalin/PFA-fixed paraffin-embedded sections) - Anti-CMTM4 antibody [EPR27409-50] - BSA and Azide free (AB307502)
  • IHC-P

Supplier Data

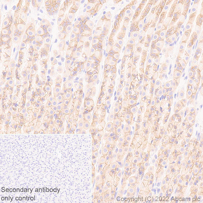
Immunohistochemistry (Formalin/PFA-fixed paraffin-embedded sections) - Anti-CMTM4 antibody [EPR27409-50] - BSA and Azide free (AB307502)

This data was developed using ab307501, the same antibody clone in a different buffer formulation. Immunohistochemical analysis of paraffin-embedded human skeletal muscle tissue labeling CMTM4 with ab307501 at 1/2000 dilution (0.227 µg/ml) followed by ready to use LeicaDS9800 (Bond™ Polymer Refine Detection). Negative control : no staining on human skeletal muscle. The section was incubated with ab307501 for 30 mins at room temperature. The immunostaining was performed on a Leica Biosystems BOND® RX instrument. Counterstained with Hematoxylin. Secondary antibody only control : Secondary antibody is ready to use LeicaDS9800 (Bond™ Polymer Refine Detection). Heat mediated antigen retrieval was performed with Tris-EDTA buffer (pH 9.0, Epitope Retrieval Solution2) for 20 mins.

Immunohistochemistry (Formalin/PFA-fixed paraffin-embedded sections) - Anti-CMTM4 antibody [EPR27409-50] - BSA and Azide free (AB307502)
  • IHC-P

Supplier Data

Immunohistochemistry (Formalin/PFA-fixed paraffin-embedded sections) - Anti-CMTM4 antibody [EPR27409-50] - BSA and Azide free (AB307502)

This data was developed using ab307501, the same antibody clone in a different buffer formulation. Immunohistochemical analysis of paraffin-embedded human stomach tissue labeling CMTM4 with ab307501 at 1/2000 dilution (0.227 µg/ml) followed by ready to use LeicaDS9800 (Bond™ Polymer Refine Detection). Positive staining on human stomach. The section was incubated with ab307501 for 30 mins at room temperature. The immunostaining was performed on a Leica Biosystems BOND® RX instrument. Counterstained with Hematoxylin. Secondary antibody only control : Secondary antibody is ready to use LeicaDS9800 (Bond™ Polymer Refine Detection). Heat mediated antigen retrieval was performed with Tris-EDTA buffer (pH 9.0, Epitope Retrieval Solution2) for 20 mins.

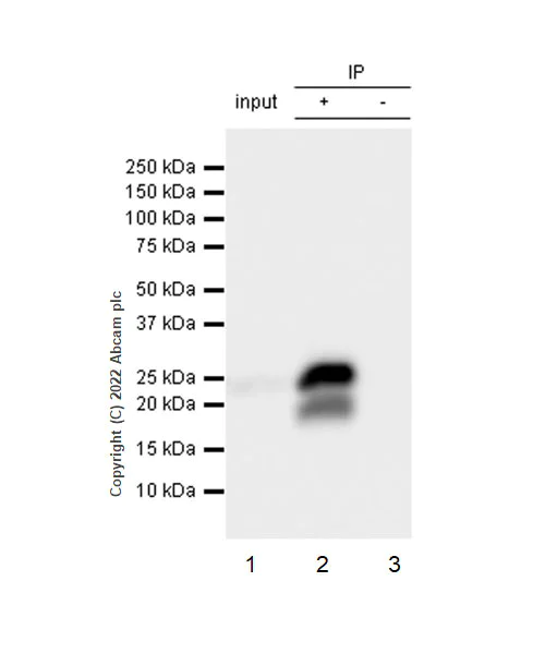
Immunoprecipitation - Anti-CMTM4 antibody [EPR27409-50] - BSA and Azide free (AB307502)
  • IP

Supplier Data

Immunoprecipitation - Anti-CMTM4 antibody [EPR27409-50] - BSA and Azide free (AB307502)

This data was developed using ab307501, the same antibody clone in a different buffer formulation. CMTM4 was immunoprecipitated from 0.35 mg NCI-H1975 (Human adenocarcinoma lung epithelial cell) whole cell lysate 10 µg with ab307501 at 1/30 dilution (2µg in 0.35mg lysates). Western blot was performed on the immunoprecipitate using ab307501 at 1/1000 dilution. VeriBlot for IP secondary antibody(HRP)(ab131366) was used at 1/5000 dilution. Lane 1 : NCI-H1975 whole cell lysate 10 µg Lane 2 : ab307501 IP in NCI-H1975 whole cell lysate Lane 3 : Rabbit monoclonal IgG (ab172730) instead of ab307501 in NCI-H1975 whole cell lysate Blocking and dilution buffer and concentration : 5% NFDM/TBST. Exposure time : 15 seconds.

All lanes:

Immunoprecipitation - Anti-CMTM4 antibody [EPR27409-50] (<a href='/en-us/products/primary-antibodies/cmtm4-antibody-epr27409-50-ab307501'>ab307501</a>) at 1/30 dilution

All lanes:

NCI-H1975 (Human adenocarcinoma lung epithelial cell)

Secondary

All lanes:

Immunoprecipitation - VeriBlot for IP Detection Reagent (HRP) (<a href='/en-us/products/reagents/veriblot-for-ip-detection-reagent-hrp-ab131366'>ab131366</a>) at 1/5000 dilution

Observed band size: 19 kDa,22 kDa

false

Exposure time: 15s

Immunohistochemistry (Formalin/PFA-fixed paraffin-embedded sections) - Anti-CMTM4 antibody [EPR27409-50] - BSA and Azide free (AB307502)
  • IHC-P

Supplier Data

Immunohistochemistry (Formalin/PFA-fixed paraffin-embedded sections) - Anti-CMTM4 antibody [EPR27409-50] - BSA and Azide free (AB307502)

This data was developed using ab307501, the same antibody clone in a different buffer formulation. Immunohistochemical analysis of paraffin-embedded mouse stomach tissue labeling CMTM4 with ab307501 at 1/2000 dilution (0.227 µg/ml) followed by ready to use LeicaDS9800 (Bond™ Polymer Refine Detection). Positive staining on mouse stomach. The section was incubated with ab307501 for 30 mins at room temperature. The immunostaining was performed on a Leica Biosystems BOND® RX instrument. Counterstained with Hematoxylin. Secondary antibody only control : Secondary antibody is ready to use LeicaDS9800 (Bond™ Polymer Refine Detection). Heat mediated antigen retrieval was performed with Tris-EDTA buffer (pH 9.0, Epitope Retrieval Solution2) for 20 mins.

Immunohistochemistry (Formalin/PFA-fixed paraffin-embedded sections) - Anti-CMTM4 antibody [EPR27409-50] - BSA and Azide free (AB307502)
  • IHC-P

Supplier Data

Immunohistochemistry (Formalin/PFA-fixed paraffin-embedded sections) - Anti-CMTM4 antibody [EPR27409-50] - BSA and Azide free (AB307502)

This data was developed using ab307501, the same antibody clone in a different buffer formulation. Immunohistochemical analysis of paraffin-embedded mouse skeletal muscle tissue labeling CMTM4 with ab307501 at 1/2000 dilution (0.227 µg/ml) followed by ready to use LeicaDS9800 (Bond™ Polymer Refine Detection). Negative control : no staining on mouse skeletal muscle. The section was incubated with ab307501 for 30 mins at room temperature. The immunostaining was performed on a Leica Biosystems BOND® RX instrument. Counterstained with Hematoxylin. Secondary antibody only control : Secondary antibody is ready to use LeicaDS9800 (Bond™ Polymer Refine Detection). Heat mediated antigen retrieval was performed with Tris-EDTA buffer (pH 9.0, Epitope Retrieval Solution2) for 20 mins.

Immunohistochemistry (Formalin/PFA-fixed paraffin-embedded sections) - Anti-CMTM4 antibody [EPR27409-50] - BSA and Azide free (AB307502)
  • IHC-P

Supplier Data

Immunohistochemistry (Formalin/PFA-fixed paraffin-embedded sections) - Anti-CMTM4 antibody [EPR27409-50] - BSA and Azide free (AB307502)

This data was developed using ab307501, the same antibody clone in a different buffer formulation. Immunohistochemical analysis of paraffin-embedded rat stomach tissue labeling CMTM4 with ab307501 at 1/2000 dilution (0.227 µg/ml) followed by ready to use LeicaDS9800 (Bond™ Polymer Refine Detection). Positive staining on rat stomach. The section was incubated with ab307501 for 30 mins at room temperature. The immunostaining was performed on a Leica Biosystems BOND® RX instrument. Counterstained with Hematoxylin. Secondary antibody only control : Secondary antibody is ready to use LeicaDS9800 (Bond™ Polymer Refine Detection). Heat mediated antigen retrieval was performed with Tris-EDTA buffer (pH 9.0, Epitope Retrieval Solution2) for 20 mins.

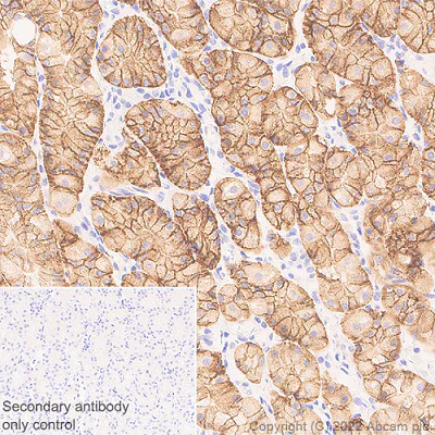
Immunohistochemistry (Formalin/PFA-fixed paraffin-embedded sections) - Anti-CMTM4 antibody [EPR27409-50] - BSA and Azide free (AB307502)
  • IHC-P

Supplier Data

Immunohistochemistry (Formalin/PFA-fixed paraffin-embedded sections) - Anti-CMTM4 antibody [EPR27409-50] - BSA and Azide free (AB307502)

This data was developed using ab307501, the same antibody clone in a different buffer formulation. Immunohistochemical analysis of paraffin-embedded mouse pancreatic tumor tissue labeling CMTM4 with ab307501 at 1/2000 dilution (0.227 µg/ml) followed by ready to use LeicaDS9800 (Bond™ Polymer Refine Detection). Positive staining on mouse pancreatic tumor. The section was incubated with ab307501 for 30 mins at room temperature. The immunostaining was performed on a Leica Biosystems BOND® RX instrument. Counterstained with Hematoxylin. Secondary antibody only control : Secondary antibody is ready to use LeicaDS9800 (Bond™ Polymer Refine Detection). Heat mediated antigen retrieval was performed with Tris-EDTA buffer (pH 9.0, Epitope Retrieval Solution2) for 20 mins.

Immunoprecipitation - Anti-CMTM4 antibody [EPR27409-50] - BSA and Azide free (AB307502)
  • IP

Supplier Data

Immunoprecipitation - Anti-CMTM4 antibody [EPR27409-50] - BSA and Azide free (AB307502)

This data was developed using ab307501, the same antibody clone in a different buffer formulation. CMTM4 was immunoprecipitated from 0.35 mg NIH/3T3 (mouse embryonic fibroblast) whole cell lysate 10 µg with ab307501 at 1/30 dilution (2µg in 0.35mg lysates). Western blot was performed on the immunoprecipitate using ab307501 at 1/1000 dilution. VeriBlot for IP secondary antibody(HRP)(ab131366) was used at 1/5000 dilution. Lane 1 : NIH/3T3 whole cell lysate 10 µg Lane 2 : ab307501 IP in NIH/3T3 whole cell lysate Lane 3 : Rabbit monoclonal IgG (ab172730) instead of ab307501 in NIH/3T3 whole cell lysate Blocking and dilution buffer and concentration : 5% NFDM/TBST. Exposure time : 8 seconds.

All lanes:

Immunoprecipitation - Anti-CMTM4 antibody [EPR27409-50] (<a href='/en-us/products/primary-antibodies/cmtm4-antibody-epr27409-50-ab307501'>ab307501</a>) at 1/30 dilution

All lanes:

NIH/3T3 (mouse embryonic fibroblast)

Secondary

All lanes:

Immunoprecipitation - VeriBlot for IP Detection Reagent (HRP) (<a href='/en-us/products/reagents/veriblot-for-ip-detection-reagent-hrp-ab131366'>ab131366</a>) at 1/5000 dilution

Observed band size: 19 kDa,22 kDa

false

Exposure time: 8s

Western blot - Anti-CMTM4 antibody [EPR27409-50] - BSA and Azide free (AB307502)
  • WB

Supplier Data

Western blot - Anti-CMTM4 antibody [EPR27409-50] - BSA and Azide free (AB307502)

This data was developed using ab307501, the same antibody clone in a different buffer formulation. Blocking and diluting buffer and concentration : 5% NFDM/TBST. Lysates were freshly made and used for Western blotting immediately to minimize protein degradation. Exposure times : Lanes 1 : 114 seconds Lane 2 : 125 seconds

All lanes:

Western blot - Anti-CMTM4 antibody [EPR27409-50] (<a href='/en-us/products/primary-antibodies/cmtm4-antibody-epr27409-50-ab307501'>ab307501</a>) at 1/1000 dilution

Lane 1:

NIH/3T3 (mouse embryonic fibroblast) whole cell lysate at 20 µg

Lane 2:

HT-29 (human colorectal adenocarcinoma epithelial cell) whole cell lysate at 20 µg

Secondary

All lanes:

Western blot - Goat Anti-Rabbit IgG H&L (HRP) (<a href='/en-us/products/secondary-antibodies/goat-rabbit-igg-h-l-hrp-ab97051'>ab97051</a>) at 1/100000 dilution

Observed band size: 19 kDa,22 kDa

false

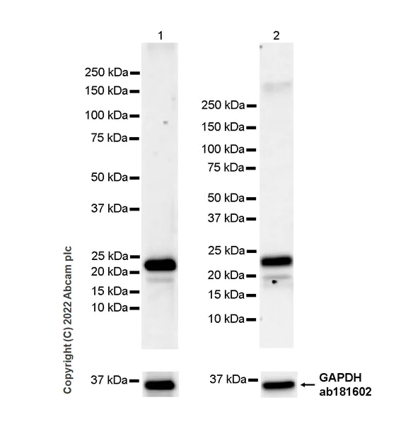
Western blot - Anti-CMTM4 antibody [EPR27409-50] - BSA and Azide free (AB307502)
  • WB

Supplier Data

Western blot - Anti-CMTM4 antibody [EPR27409-50] - BSA and Azide free (AB307502)

This data was developed using ab307501, the same antibody clone in a different buffer formulation.

Blocking and diluting buffer and concentration : 5% NFDM/TBST.

Low expression : HeLa (PMID : 20213316).

This blot was developed using a high sensitivity ECL substrate. The high-sensitivity ECL substrate used allows for the detection of proteins in the mid-femtogram range.

All lanes:

Western blot - Anti-CMTM4 antibody [EPR27409-50] (<a href='/en-us/products/primary-antibodies/cmtm4-antibody-epr27409-50-ab307501'>ab307501</a>) at 1/1000 dilution

Lane 1:

NCI-H1975 (human adenocarcinoma lung epithelial cell) whole cell lysate at 20 µg

Lane 2:

HeLa (human cervical adenocarcinoma epithelial cell) whole cell lysate at 20 µg

Secondary

All lanes:

Western blot - Goat Anti-Rabbit IgG H&L (HRP) (<a href='/en-us/products/secondary-antibodies/goat-rabbit-igg-h-l-hrp-ab97051'>ab97051</a>) at 1/100000 dilution

Observed band size: 19 kDa,22 kDa

true

Exposure time: 180s

Western blot - Anti-CMTM4 antibody [EPR27409-50] - BSA and Azide free (AB307502)
  • WB

Supplier Data

Western blot - Anti-CMTM4 antibody [EPR27409-50] - BSA and Azide free (AB307502)

Blocking and diluting buffer and concentration : 5% NFDM/TBST. Negative control : human skeletal muscle (PMID : 20213316) . Exposure time : 180 seconds.

All lanes:

Western blot - Anti-CMTM4 antibody [EPR27409-50] (<a href='/en-us/products/primary-antibodies/cmtm4-antibody-epr27409-50-ab307501'>ab307501</a>) at 1/1000 dilution

Lane 1:

Human testis membrane tissue lysate at 20 µg

Lane 2:

Human stomach tissue lysate at 20 µg

Lane 3:

Human skeletal muscle tissue lysate at 20 µg

Secondary

All lanes:

Western blot - Goat Anti-Rabbit IgG H&L (HRP) (<a href='/en-us/products/secondary-antibodies/goat-rabbit-igg-h-l-hrp-ab97051'>ab97051</a>) at 1/100000 dilution

Observed band size: 19 kDa,22 kDa

false

Exposure time: 180s

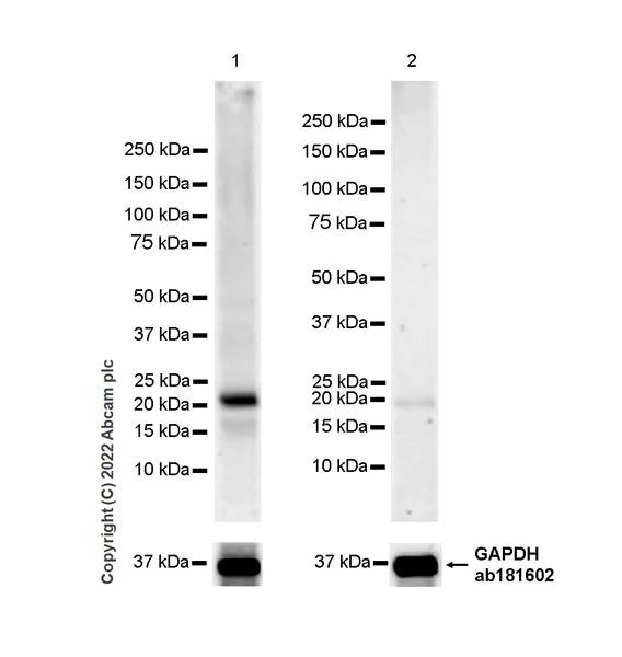
Western blot - Anti-CMTM4 antibody [EPR27409-50] - BSA and Azide free (AB307502)
  • WB

Supplier Data

Western blot - Anti-CMTM4 antibody [EPR27409-50] - BSA and Azide free (AB307502)

This data was developed using ab307501, the same antibody clone in a different buffer formulation. Blocking and diluting buffer and concentration : 5% NFDM/TBST. Exposure time : 180 seconds.

All lanes:

Western blot - Anti-CMTM4 antibody [EPR27409-50] (<a href='/en-us/products/primary-antibodies/cmtm4-antibody-epr27409-50-ab307501'>ab307501</a>) at 1/1000 dilution

All lanes:

Rat testis tissue lysate at 20 µg

Secondary

All lanes:

Western blot - Goat Anti-Rabbit IgG H&L (HRP) (<a href='/en-us/products/secondary-antibodies/goat-rabbit-igg-h-l-hrp-ab97051'>ab97051</a>) at 1/100000 dilution

Observed band size: 22 kDa

false

Exposure time: 180s

Key facts

Host species

Rabbit

Clonality

Monoclonal

Clone number

EPR27409-50

Isotype

IgG

Carrier free

Yes

Reacts with

Rat, Mouse, Human

Applications

WB, IHC-P, IP

applications

Immunogen

The exact immunogen used to generate this antibody is proprietary information.

Reactivity data

{ "title": "Reactivity Data", "filters": { "stats": ["", "Species", "Dilution Info", "Notes"], "tabs": { "all-applications": {"fullname" : "All Applications", "shortname": "All Applications"}, "IP" : {"fullname" : "Immunoprecipitation", "shortname":"IP"}, "IHCP" : {"fullname" : "Immunohistochemistry (Formalin/PFA-fixed paraffin-embedded sections)", "shortname":"IHC-P"}, "WB" : {"fullname" : "Western blot", "shortname":"WB"}, "FlowCyt" : {"fullname" : "Flow Cytometry", "shortname":"Flow Cyt"}, "ICCIF" : {"fullname" : "Immunocytochemistry/ Immunofluorescence", "shortname":"ICC/IF"} }, "product-promise": { "all": "all", "testedAndGuaranteed": "tested", "guaranteed": "expected", "predicted": "predicted", "notRecommended": "not-recommended" } }, "values": { "Human": { "IP-species-checked": "testedAndGuaranteed", "IP-species-dilution-info": "", "IP-species-notes": "<p></p>", "IHCP-species-checked": "testedAndGuaranteed", "IHCP-species-dilution-info": "", "IHCP-species-notes": "<p></p>", "WB-species-checked": "testedAndGuaranteed", "WB-species-dilution-info": "", "WB-species-notes": "<p></p>", "FlowCyt-species-checked": "notRecommended", "FlowCyt-species-dilution-info": "", "FlowCyt-species-notes": "<p></p>", "ICCIF-species-checked": "notRecommended", "ICCIF-species-dilution-info": "", "ICCIF-species-notes": "<p></p>" }, "Mouse": { "IP-species-checked": "testedAndGuaranteed", "IP-species-dilution-info": "", "IP-species-notes": "<p></p>", "IHCP-species-checked": "testedAndGuaranteed", "IHCP-species-dilution-info": "", "IHCP-species-notes": "<p></p>", "WB-species-checked": "testedAndGuaranteed", "WB-species-dilution-info": "", "WB-species-notes": "<p></p>", "FlowCyt-species-checked": "notRecommended", "FlowCyt-species-dilution-info": "", "FlowCyt-species-notes": "<p></p>", "ICCIF-species-checked": "notRecommended", "ICCIF-species-dilution-info": "", "ICCIF-species-notes": "<p></p>" }, "Rat": { "IP-species-checked": "guaranteed", "IP-species-dilution-info": "", "IP-species-notes": "", "IHCP-species-checked": "testedAndGuaranteed", "IHCP-species-dilution-info": "", "IHCP-species-notes": "<p></p>", "WB-species-checked": "testedAndGuaranteed", "WB-species-dilution-info": "", "WB-species-notes": "<p></p>", "FlowCyt-species-checked": "notRecommended", "FlowCyt-species-dilution-info": "", "FlowCyt-species-notes": "", "ICCIF-species-checked": "notRecommended", "ICCIF-species-dilution-info": "", "ICCIF-species-notes": "" } } }

Product details

Patented technology
Our RabMAb® technology is a patented hybridoma-based technology for making rabbit monoclonal antibodies. For details on our patents, please refer to RabMAb® patents.

What are the advantages of a recombinant monoclonal antibody?
This product is a recombinant monoclonal antibody, which offers several advantages including:

  • - High batch-to-batch consistency and reproducibility
  • - Improved sensitivity and specificity
  • - Long-term security of supply
  • - Animal-free batch production

For more information, read more on recombinant antibodies.

Conjugation ready
Our carrier-free antibodies are typically supplied in a PBS-only formulation, purified and free of BSA, sodium azide and glycerol. This conjugation-ready format is designed for use with fluorochromes, metal isotopes, oligonucleotides, and enzymes, which makes them ideal for antibody labelling, functional and cell-based assays, flow-based assays (e.g. mass cytometry) and Multiplex Imaging applications.

Use our conjugation kits for antibody conjugates that are ready-to-use in as little as 20 minutes with 1 minute hands-on-time and 100% antibody recovery: available for fluorescent dyes, HRP, biotin and gold.

Compatibility
This product is compatible with the Maxpar® Antibody Labeling Kit from Fluidigm, without the need for antibody preparation. Maxpar® is a trademark of Fluidigm Canada Inc.

Properties and storage information

Form
Liquid
Purification technique
Affinity purification Protein A
Storage buffer
pH: 7.2 - 7.4 Constituents: PBS
Shipped at conditions
Blue Ice
Appropriate short-term storage conditions
+4°C
Appropriate long-term storage conditions
+4°C

Product protocols

For this product, it's our understanding that no specific protocols are required. You can visit:

Target data

Acts as a backup for CMTM6 to regulate plasma membrane expression of PD-L1/CD274, an immune inhibitory ligand critical for immune tolerance to self and antitumor immunity. May protect PD-L1/CD274 from being polyubiquitinated and targeted for degradation.
See full target information CMTM4

Product promise

We are committed to supporting your work with high-quality reagents, and we're here for you every step of the way. In the unlikely event that one of our products does not perform as expected, you're protected by our Product Promise.
For full details, please see our Terms & Conditions

Please note: All products are 'FOR RESEARCH USE ONLY. NOT FOR USE IN DIAGNOSTIC OR THERAPEUTIC PROCEDURES'.

For licensing inquiries, please contact partnerships@abcam.com