JavaScript is disabled in your browser. Please enable JavaScript to view this website.
AB264076

Anti-CMTM6 antibody [EPR23015-45] - BSA and Azide free

Be the first to review this product! Submit a review

|

(0 Publication)

Rabbit Recombinant Monoclonal CMTM6 antibody. Carrier free. Suitable for WB, Flow Cyt (Intra), IHC-P, IP and reacts with Mouse, Rat, Human samples.

View Alternative Names

CKLFSF6, CMTM6, CKLF-like MARVEL transmembrane domain-containing protein 6, Chemokine-like factor superfamily member 6

10 Images
Flow Cytometry (Intracellular) - Anti-CMTM6 antibody [EPR23015-45] - BSA and Azide free (AB264076)
  • Flow Cyt (Intra)

Unknown

Flow Cytometry (Intracellular) - Anti-CMTM6 antibody [EPR23015-45] - BSA and Azide free (AB264076)

Intracellular flow cytometric analysis of 4% paraformaldehyde fixed, 90% methanol permeabilized MDA-MB-231 (human breast adenocarcinoma epithelial cell) cells labelling CMTM6 with ab264067 at 1/500 dilution (Red) compared with a Rabbit monoclonal IgG (ab172730) isotype control (black)and an unlabelled control (cells without incubation with primary antibody and secondary antibody) (Blue). A Goat anti rabbit IgG (Alexa Fluor®488, ab150077) at 1/2000 dilution was used as the secondary antibody.

This data was developed using the same antibody clone in a different buffer formulation containing PBS, BSA, glycerol, and sodium azide (ab264067).

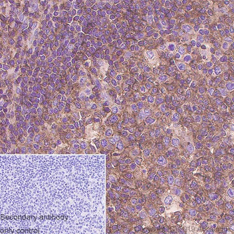
Immunohistochemistry (Formalin/PFA-fixed paraffin-embedded sections) - Anti-CMTM6 antibody [EPR23015-45] - BSA and Azide free (AB264076)
  • IHC-P

Unknown

Immunohistochemistry (Formalin/PFA-fixed paraffin-embedded sections) - Anti-CMTM6 antibody [EPR23015-45] - BSA and Azide free (AB264076)

Immunohistochemical analysis of paraffin-embedded Human tonsil tissue labeling CMTM6 with ab264067 at 1/2000 dilution (0.24 ug/ml) followed by a ready to use Rabbit specific IHC polymer detection kit HRP/DAB (ab209101). Positive staining on human tonsil. The section was incubated with ab264067 for 30 mins at room temperature. The immunostaining was performed on a Leica Biosystems BOND® RX instrument Counterstained with Hematoxylin.

Secondary antibody only control/ Secondary antibody is a ready to use Rabbit specific IHC polymer detection kit HRP/DAB (ab209101).

Heat mediated antigen retrieval with Tris-EDTA buffer (pH 9.0, epitope retrieval solution 2) for 20 mins.

This data was developed using the same antibody clone in a different buffer formulation containing PBS, BSA, glycerol, and sodium azide (ab264067).

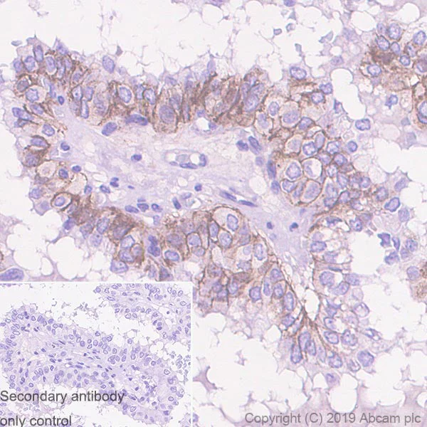
Immunohistochemistry (Formalin/PFA-fixed paraffin-embedded sections) - Anti-CMTM6 antibody [EPR23015-45] - BSA and Azide free (AB264076)
  • IHC-P

Unknown

Immunohistochemistry (Formalin/PFA-fixed paraffin-embedded sections) - Anti-CMTM6 antibody [EPR23015-45] - BSA and Azide free (AB264076)

Immunohistochemical analysis of paraffin-embedded Human thyroid cancer tissue labeling CMTM6 with ab264067 at 1/2000 dilution (0.24 ug/ml) followed by a ready to use Rabbit specific IHC polymer detection kit HRP/DAB (ab209101). Membranous staining on human thyroid cancer (PMID : 28813410) The section was incubated with ab264067 for 30 mins at room temperature. The immunostaining was performed on a Leica Biosystems BOND™ RX instrument Counterstained with Hematoxylin.

Secondary antibody only control/ Secondary antibody is a ready to use Rabbit specific IHC polymer detection kit HRP/DAB (ab209101).

Heat mediated antigen retrieval with Tris-EDTA buffer (pH 9.0, epitope retrieval solution 2) for 20 mins.

This data was developed using the same antibody clone in a different buffer formulation containing PBS, BSA, glycerol, and sodium azide (ab264067).

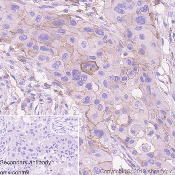
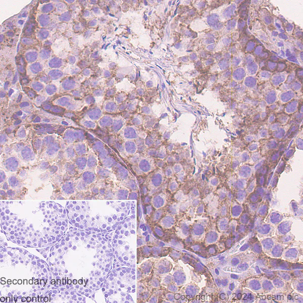
Immunohistochemistry (Formalin/PFA-fixed paraffin-embedded sections) - Anti-CMTM6 antibody [EPR23015-45] - BSA and Azide free (AB264076)
  • IHC-P

Unknown

Immunohistochemistry (Formalin/PFA-fixed paraffin-embedded sections) - Anti-CMTM6 antibody [EPR23015-45] - BSA and Azide free (AB264076)

Immunohistochemical analysis of paraffin-embedded Human pancreatic cancer tissue labeling CMTM6 with ab264067 at 1/2000 dilution (0.24 ug/ml) followed by a ready to use Rabbit specific IHC polymer detection kit HRP/DAB (ab209101). Membranous staining on human pancreatic cancer (PMID : 28813417) The section was incubated with ab264067 for 30 mins at room temperature. The immunostaining was performed on a Leica Biosystems BOND® RX instrument Counterstained with Hematoxylin.

Secondary antibody only control : Secondary antibody is a ready to use Rabbit specific IHC polymer detection kit HRP/DAB (ab209101).

Heat mediated antigen retrieval with Tris-EDTA buffer (pH 9.0, epitope retrieval solution 2) for 20 mins.

This data was developed using the same antibody clone in a different buffer formulation containing PBS, BSA, glycerol, and sodium azide (ab264067).

Immunohistochemistry (Formalin/PFA-fixed paraffin-embedded sections) - Anti-CMTM6 antibody [EPR23015-45] - BSA and Azide free (AB264076)
  • IHC-P

Lab

Immunohistochemistry (Formalin/PFA-fixed paraffin-embedded sections) - Anti-CMTM6 antibody [EPR23015-45] - BSA and Azide free (AB264076)

Immunohistochemical analysis of paraffin-embedded mouse testis tissue labeling CMTM6 with ab264067 at 1/2000 dilution, incubated for 30 mins at room temperature, followed by a ready to use Rabbit specific IHC polymer detection kit HRP/DAB (ab209101). Sections were counterstained with Hematoxylin. Antigen retrieval was heat mediated with Tris-EDTA buffer (pH 9.0, Epitope Retrieval Solution2) for 20 mins. The immunostaining was performed on a Leica Biosystems BOND® RX instrument. Positive staining on mouse testis. Secondary antibody only control : Secondary antibody is a ready to use Rabbit specific IHC polymer detection kit HRP/DAB (ab209101). This data was developed using the same antibody clone in a different buffer formulation containing PBS, BSA, glycerol, and sodium azide (ab264067).

Immunohistochemistry (Formalin/PFA-fixed paraffin-embedded sections) - Anti-CMTM6 antibody [EPR23015-45] - BSA and Azide free (AB264076)
  • IHC-P

Lab

Immunohistochemistry (Formalin/PFA-fixed paraffin-embedded sections) - Anti-CMTM6 antibody [EPR23015-45] - BSA and Azide free (AB264076)

Immunohistochemical analysis of paraffin-embedded Mouse skeletal muscle tissue labeling CMTM6 with ab264067 at 1/2000 dilution, incubated for 30 mins at room temperature, followed by a ready to use Rabbit specific IHC polymer detection kit HRP/DAB (ab209101). Sections were counterstained with Hematoxylin. Antigen retrieval was heat mediated with Tris-EDTA buffer (pH 9.0, Epitope Retrieval Solution2) for 20 mins. The immunostaining was performed on a Leica Biosystems BOND® RX instrument. Low expression : nearly no staining on mouse skeletal muscle. Secondary antibody only control : Secondary antibody is a ready to use Rabbit specific IHC polymer detection kit HRP/DAB (ab209101). This data was developed using the same antibody clone in a different buffer formulation containing PBS, BSA, glycerol, and sodium azide (ab264067).

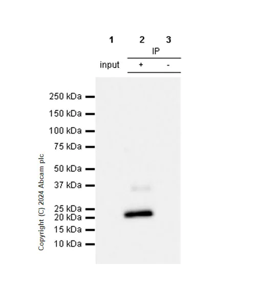
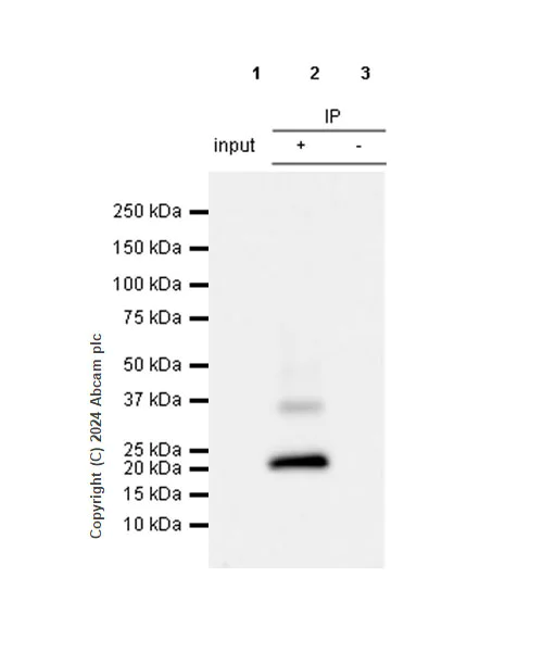
Immunoprecipitation - Anti-CMTM6 antibody [EPR23015-45] - BSA and Azide free (AB264076)
  • IP

Lab

Immunoprecipitation - Anti-CMTM6 antibody [EPR23015-45] - BSA and Azide free (AB264076)

ab264067 at 1/30 dilution immunoprecipitating CMTM6 in rat spleen tissue lysate. Western blot was performed from the immunoprecipitate using ab264067 at 1/1000 dilution. VeriBlot for IP Detection Reagent (HRP) (ab131366), was used for detection at 1/5000 dilution. Lane 1 : Rouse spleen tissue lysate 10 µg Lane 2 : ab264067 IP in rat spleen tissue lysate Lane 3 : Rabbit monoclonal IgG (ab172730) instead of ab264067 in rat spleen tissue lysate. Blocking/Dilution buffer : 5% NFDM/TBST. Exposure time : 6 seconds. This data was developed using the same antibody clone in a different buffer formulation containing PBS, BSA, glycerol, and sodium azide (ab264067).

Lane 2:

Immunoprecipitation - Anti-CMTM6 antibody [EPR23015-45] (<a href='/en-us/products/primary-antibodies/cmtm6-antibody-epr23015-45-ab264067'>ab264067</a>) at 1/30 dilution

Lane 2:

Immunoprecipitation - Anti-CMTM6 antibody [EPR23015-45] - BSA and Azide free (ab264076)

All lanes:

Mouse spleen tissue lysate at 10 µg

Secondary

All lanes:

Immunoprecipitation - VeriBlot for IP Detection Reagent (HRP) (<a href='/en-us/products/reagents/veriblot-for-ip-detection-reagent-hrp-ab131366'>ab131366</a>) at 1/5000 dilution

false

Exposure time: 6s

Immunoprecipitation - Anti-CMTM6 antibody [EPR23015-45] - BSA and Azide free (AB264076)
  • IP

Lab

Immunoprecipitation - Anti-CMTM6 antibody [EPR23015-45] - BSA and Azide free (AB264076)

ab264067 at 1/30 dilution immunoprecipitating CMTM6 in mouse spleen tissue lysate. Western blot was performed from the immunoprecipitate using ab264067 at 1/1000 dilution. VeriBlot for IP Detection Reagent (HRP) (ab131366), was used for detection at 1/5000 dilution. Lane 1 : Mouse spleen tissue lysate 10 µg Lane 2 : ab264067 IP in mouse spleen tissue lysate Lane 3 : Rabbit monoclonal IgG (ab172730) instead of ab264067 in mouse spleen tissue lysate. Blocking/Dilution buffer : 5% NFDM/TBST. Exposure time : 8 seconds. This data was developed using the same antibody clone in a different buffer formulation containing PBS, BSA, glycerol, and sodium azide (ab264067).

Lane 2:

Immunoprecipitation - Anti-CMTM6 antibody [EPR23015-45] (<a href='/en-us/products/primary-antibodies/cmtm6-antibody-epr23015-45-ab264067'>ab264067</a>) at 1/30 dilution

Lane 2:

Immunoprecipitation - Anti-CMTM6 antibody [EPR23015-45] - BSA and Azide free (ab264076)

All lanes:

Mouse spleen tissue lysate at 10 µg

Secondary

All lanes:

Immunoprecipitation - VeriBlot for IP Detection Reagent (HRP) (<a href='/en-us/products/reagents/veriblot-for-ip-detection-reagent-hrp-ab131366'>ab131366</a>) at 1/5000 dilution

false

Exposure time: 8s

Western blot - Anti-CMTM6 antibody [EPR23015-45] - BSA and Azide free (AB264076)
  • WB

Lab

Western blot - Anti-CMTM6 antibody [EPR23015-45] - BSA and Azide free (AB264076)

This data was developed using the same antibody clone in a different buffer formulation containing PBS, BSA, glycerol, and sodium azide (ab264067). Exposure time : Lane 1-2 : 15 seconds Lane 3-5 : 10 seconds Blocking/Diluting buffer and concentration 5% NFDM/TBST Loading control : Anti-GAPDH antibody [EPR16891] - Loading Control (ab181602) (1/200000) (36KDa). Low expression : skeletal muscle. This blot was developed using a high sensitivity ECL substrate. Samples are non-boiled as boiling may cause protein aggregates.

Lanes 1 - 5:

Western blot - Anti-CMTM6 antibody [EPR23015-45] (<a href='/en-us/products/primary-antibodies/cmtm6-antibody-epr23015-45-ab264067'>ab264067</a>) at 1/1000 dilution

Lanes 1 - 5:

Western blot - Anti-CMTM6 antibody [EPR23015-45] - BSA and Azide free (ab264076)

Lane 1:

Mouse spleen tissue lysate at 20 µg

Lane 2:

Mouse skeletal muscle tissue lysate at 20 µg

Lane 3:

Rat spleen tissue lysate at 20 µg

Lane 4:

Rat skeletal muscle tissue lysate at 20 µg

Lane 5:

Raji (human Burkitt's lymphoma B lymphocyte) whole cell lysate at 20 µg

Secondary

All lanes:

Western blot - Goat Anti-Rabbit IgG H&L (HRP) (<a href='/en-us/products/secondary-antibodies/goat-rabbit-igg-h-l-hrp-ab97051'>ab97051</a>) at 1/20000 dilution

false

Western blot - Anti-CMTM6 antibody [EPR23015-45] - BSA and Azide free (AB264076)
  • WB

Lab

Western blot - Anti-CMTM6 antibody [EPR23015-45] - BSA and Azide free (AB264076)

This data was developed using the same antibody clone in a different buffer formulation containing PBS, BSA, glycerol, and sodium azide (ab264067). Blocking and diluting buffer and concentration : 5% NFDM /TBST. ab181602 was used as GAPDH loading control. We recommend not to boil the samples after lysis to get desired WB bands.

All lanes:

Western blot - Anti-CMTM6 antibody [EPR23015-45] (<a href='/en-us/products/primary-antibodies/cmtm6-antibody-epr23015-45-ab264067'>ab264067</a>) at 1/10000 dilution

Lane 1:

MDA-MB-231 (Human breast adenocarcinoma epithelial cell) whole cell lysate boiled at 20 µg

Lane 2:

MDA-MB-231 (Human breast adenocarcinoma epithelial cell) whole cell lysate unboiled at 20 µg

Lane 3:

BxPC-3 (Human pancreas adenocarcinoma epithelial cell) whole cell lysate boiled at 20 µg

Lane 4:

BxPC-3 (Human pancreas adenocarcinoma epithelial cell) whole cell lysate unboiled at 20 µg

Lane 5:

Raji (Human Burkitt's lymphoma B lymphocyte) whole cell lysate boiled at 20 µg

Lane 6:

Raji (Human Burkitt's lymphoma B lymphocyte) whole cell lysate unboiled at 20 µg

Secondary

All lanes:

Western blot - Goat Anti-Rabbit IgG H&L (HRP) (<a href='/en-us/products/secondary-antibodies/goat-rabbit-igg-h-l-hrp-ab97051'>ab97051</a>) at 1/20000 dilution

Predicted band size: 20 kDa

Observed band size: 20 kDa

false

Exposure time: 7s

  • 775 Alexa Fluor® 750

    Alexa Fluor® 750 Anti-CMTM6 antibody [EPR23015-45]

  • Unconjugated

    Anti-CMTM6 antibody [EPR23015-45]

  • 578 PE

    PE Anti-CMTM6 antibody [EPR23015-45]

  • 660 APC

    APC Anti-CMTM6 antibody [EPR23015-45]

  • HRP

    HRP Anti-CMTM6 antibody [EPR23015-45]

  • 519 Alexa Fluor® 488

    Alexa Fluor® 488 Anti-CMTM6 antibody [EPR23015-45]

  • 665 Alexa Fluor® 647

    Alexa Fluor® 647 Anti-CMTM6 antibody [EPR23015-45]

  • 617 Alexa Fluor® 594

    Alexa Fluor® 594 Anti-CMTM6 antibody [EPR23015-45]

  • 565 Alexa Fluor® 555

    Alexa Fluor® 555 Anti-CMTM6 antibody [EPR23015-45]

  • 603 Alexa Fluor® 568

    Alexa Fluor® 568 Anti-CMTM6 antibody [EPR23015-45]

Key facts

Host species

Rabbit

Clonality

Monoclonal

Clone number

EPR23015-45

Isotype

IgG

Carrier free

Yes

Reacts with

Human, Mouse, Rat

Applications

WB, Flow Cyt (Intra), IP, IHC-P

applications

Immunogen

The exact immunogen used to generate this antibody is proprietary information.

Reactivity data

{ "title": "Reactivity Data", "filters": { "stats": ["", "Species", "Dilution Info", "Notes"], "tabs": { "all-applications": {"fullname" : "All Applications", "shortname": "All Applications"}, "WB" : {"fullname" : "Western blot", "shortname":"WB"}, "ICCIF" : {"fullname" : "Immunocytochemistry/ Immunofluorescence", "shortname":"ICC/IF"}, "FlowCytIntra" : {"fullname" : "Flow Cytometry (Intracellular)", "shortname":"Flow Cyt (Intra)"}, "IHCP" : {"fullname" : "Immunohistochemistry (Formalin/PFA-fixed paraffin-embedded sections)", "shortname":"IHC-P"}, "IP" : {"fullname" : "Immunoprecipitation", "shortname":"IP"} }, "product-promise": { "all": "all", "testedAndGuaranteed": "tested", "guaranteed": "expected", "predicted": "predicted", "notRecommended": "not-recommended" } }, "values": { "Human": { "WB-species-checked": "guaranteed", "WB-species-dilution-info": "", "WB-species-notes": "<p></p>", "ICCIF-species-checked": "notRecommended", "ICCIF-species-dilution-info": "", "ICCIF-species-notes": "<p></p>", "FlowCytIntra-species-checked": "testedAndGuaranteed", "FlowCytIntra-species-dilution-info": "", "FlowCytIntra-species-notes": "<p></p>", "IHCP-species-checked": "testedAndGuaranteed", "IHCP-species-dilution-info": "", "IHCP-species-notes": "<p></p>", "IP-species-checked": "guaranteed", "IP-species-dilution-info": "", "IP-species-notes": "" }, "Mouse": { "WB-species-checked": "testedAndGuaranteed", "WB-species-dilution-info": "", "WB-species-notes": "<p></p>", "ICCIF-species-checked": "notRecommended", "ICCIF-species-dilution-info": "", "ICCIF-species-notes": "", "FlowCytIntra-species-checked": "guaranteed", "FlowCytIntra-species-dilution-info": "", "FlowCytIntra-species-notes": "", "IHCP-species-checked": "testedAndGuaranteed", "IHCP-species-dilution-info": "", "IHCP-species-notes": "<p></p>", "IP-species-checked": "testedAndGuaranteed", "IP-species-dilution-info": "", "IP-species-notes": "<p></p>" }, "Rat": { "WB-species-checked": "testedAndGuaranteed", "WB-species-dilution-info": "", "WB-species-notes": "<p></p>", "ICCIF-species-checked": "notRecommended", "ICCIF-species-dilution-info": "", "ICCIF-species-notes": "", "FlowCytIntra-species-checked": "guaranteed", "FlowCytIntra-species-dilution-info": "", "FlowCytIntra-species-notes": "", "IHCP-species-checked": "guaranteed", "IHCP-species-dilution-info": "", "IHCP-species-notes": "", "IP-species-checked": "testedAndGuaranteed", "IP-species-dilution-info": "", "IP-species-notes": "<p></p>" } } }

Product details

ab264076 is the carrier-free version of ab264067.

Patented technology
Our RabMAb® technology is a patented hybridoma-based technology for making rabbit monoclonal antibodies. For details on our patents, please refer to RabMAb® patents.

What are the advantages of a recombinant monoclonal antibody?
This product is a recombinant monoclonal antibody, which offers several advantages including:

  • - High batch-to-batch consistency and reproducibility
  • - Improved sensitivity and specificity
  • - Long-term security of supply
  • - Animal-free batch production

For more information, read more on recombinant antibodies.

Conjugation ready
Our carrier-free antibodies are typically supplied in a PBS-only formulation, purified and free of BSA, sodium azide and glycerol. This conjugation-ready format is designed for use with fluorochromes, metal isotopes, oligonucleotides, and enzymes, which makes them ideal for antibody labelling, functional and cell-based assays, flow-based assays (e.g. mass cytometry) and Multiplex Imaging applications.

Use our conjugation kits for antibody conjugates that are ready-to-use in as little as 20 minutes with 1 minute hands-on-time and 100% antibody recovery: available for fluorescent dyes, HRP, biotin and gold.

Compatibility
This product is compatible with the Maxpar® Antibody Labeling Kit from Fluidigm, without the need for antibody preparation. Maxpar® is a trademark of Fluidigm Canada Inc.

Properties and storage information

Form
Liquid
Purification technique
Affinity purification Protein A
Storage buffer
pH: 7.2 - 7.4 Constituents: PBS
Shipped at conditions
Blue Ice
Appropriate short-term storage conditions
+4°C
Appropriate long-term storage conditions
+4°C
Storage information
Do Not Freeze

Product protocols

For this product, it's our understanding that no specific protocols are required. You can visit:

Target data

Master regulator of recycling and plasma membrane expression of PD-L1/CD274, an immune inhibitory ligand critical for immune tolerance to self and antitumor immunity. Associates with both constitutive and IFNG-induced PD-L1/CD274 at recycling endosomes, where it protects PD-L1/CD274 from being targeted for lysosomal degradation, likely by preventing its STUB1-mediated ubiquitination. May stabilize PD-L1/CD274 expression on antigen presenting cells and potentiates inhibitory signaling by PDCD1/CD279, its receptor on T-cells, ultimately triggering T-cell anergy.
See full target information CMTM6

Product promise

We are committed to supporting your work with high-quality reagents, and we're here for you every step of the way. In the unlikely event that one of our products does not perform as expected, you're protected by our Product Promise.
For full details, please see our Terms & Conditions

Please note: All products are 'FOR RESEARCH USE ONLY. NOT FOR USE IN DIAGNOSTIC OR THERAPEUTIC PROCEDURES'.

For licensing inquiries, please contact partnerships@abcam.com