JavaScript is disabled in your browser. Please enable JavaScript to view this website.
AB253296

Anti-CNGA1 antibody [PMc 1D1]

Be the first to review this product! Submit a review

|

(1 Publication)

Mouse Recombinant Monoclonal CNGA1 antibody. Suitable for IHC-Fr, IHC-P and reacts with Mouse, Rat samples. Cited in 1 publication.

View Alternative Names

CNCG, CNCG1, Cyclic nucleotide-gated channel alpha-1, CNG channel alpha-1, CNG-1, CNG1, Cyclic nucleotide-gated cation channel 1, Rod photoreceptor cGMP-gated cation channel subunit alpha, cGMP-gated cation channel alpha-1

4 Images
Immunohistochemistry (Frozen sections) - Anti-CNGA1 antibody [PMc 1D1] (AB253296)
  • IHC-Fr

Supplier Data

Immunohistochemistry (Frozen sections) - Anti-CNGA1 antibody [PMc 1D1] (AB253296)

Immunohistochemical analysis of 4% PFA-fixed, 0.2% Triton X-100 permeabilized frozen mouse retina tissue labeling CNGA1 with ab253296 at 5.05μg/ml, followed by ab150113 AlexaFluor®488 Goat anti-Mouse secondary at a 1/1000 dilution. Positive staining on mouse retina is observed. Nuclear counterstain is DAPI.
Secondary antibody only control : Used PBS instead of primary antibody, followed by ab150113 AlexaFluor®488 Goat anti-Mouse secondary at a 1/1000 dilution.

Heat mediated antigen retrieval using sodium citrate buffer (10mM citrate pH 6.0 + 0.05% Tween-20).

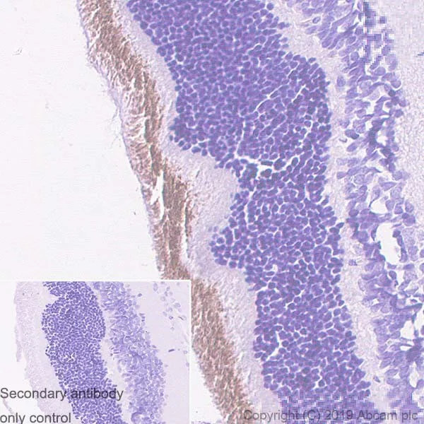
Immunohistochemistry (Formalin/PFA-fixed paraffin-embedded sections) - Anti-CNGA1 antibody [PMc 1D1] (AB253296)
  • IHC-P

Supplier Data

Immunohistochemistry (Formalin/PFA-fixed paraffin-embedded sections) - Anti-CNGA1 antibody [PMc 1D1] (AB253296)

Immunohistochemical analysis of paraffin-embedded rat retina tissue labeling CNGA1 with ab253296 at 1.01μg/ml, followed by ready to use Goat Anti-Mouse IgG H&L (HRP polymer) (ab214879). Positive staining on light-sensing cells of rat retina is observed. The section was incubated with ab253296 for 30 mins at room temperature. The immunostaining staining was performed on a Leica Biosystems BOND® RX instrument. Counterstained with hematoxylin.
Secondary antibody only control : Used PBS instead of primary antibody, followed by ready to use Goat Anti-Mouse IgG H&L (HRP polymer) (ab214879).

Heat mediated antigen retrieval with Tris-EDTA buffer (pH 9.0, epitope retrieval solution 2) for 20 mins.

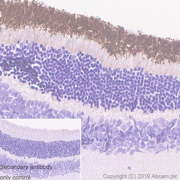
Immunohistochemistry (Formalin/PFA-fixed paraffin-embedded sections) - Anti-CNGA1 antibody [PMc 1D1] (AB253296)
  • IHC-P

Supplier Data

Immunohistochemistry (Formalin/PFA-fixed paraffin-embedded sections) - Anti-CNGA1 antibody [PMc 1D1] (AB253296)

Immunohistochemical analysis of paraffin-embedded mouse retina tissue labeling CNGA1 with ab253296 at 1.01μg/ml, followed by ready to use Goat Anti-Mouse IgG H&L (HRP polymer) (ab214879). Positive staining on light-sensing cells of mouse retina is observed. The section was incubated with ab253296 for 30 mins at room temperature. The immunostaining staining was performed on a Leica Biosystems BOND® RX instrument. Counterstained with hematoxylin.
Secondary antibody only control : Used PBS instead of primary antibody, followed by ready to use Goat Anti-Mouse IgG H&L (HRP polymer) (ab214879).

Heat mediated antigen retrieval with Tris-EDTA buffer (pH 9.0, epitope retrieval solution 2) for 20 mins.

Immunohistochemistry (Frozen sections) - Anti-CNGA1 antibody [PMc 1D1] (AB253296)
  • IHC-Fr

Supplier Data

Immunohistochemistry (Frozen sections) - Anti-CNGA1 antibody [PMc 1D1] (AB253296)

Immunohistochemical analysis of 4% PFA-fixed, 0.2% Triton X-100 permeabilized frozen rat retina tissue labeling CNGA1 with ab253296 at 5.05μg/ml, followed by ab150113 AlexaFluor®488 Goat anti-Mouse secondary at a 1/1000 dilution. Positive staining on rat retina is observed. Nuclear counterstain is DAPI.
Secondary antibody only control : Used PBS instead of primary antibody, followed by ab150113 AlexaFluor®488 Goat anti-Mouse secondary at a 1/1000 dilution.

Heat mediated antigen retrieval using sodium citrate buffer (10mM citrate pH 6.0 + 0.05% Tween-20).

  • Carrier free

    Anti-CNGA1 antibody [PMc 1D1] - BSA and Azide free

Key facts

Host species

Mouse

Clonality

Monoclonal

Clone number

PMc 1D1

Isotype

IgG1

Carrier free

No

Reacts with

Mouse, Rat

Applications

IHC-P, IHC-Fr

applications

Immunogen

The exact immunogen used to generate this antibody is proprietary information.

Reactivity data

{ "title": "Reactivity Data", "filters": { "stats": ["", "Species", "Dilution Info", "Notes"], "tabs": { "all-applications": {"fullname" : "All Applications", "shortname": "All Applications"}, "IHCFr" : {"fullname" : "Immunohistochemistry (Frozen sections)", "shortname":"IHC-Fr"}, "IHCP" : {"fullname" : "Immunohistochemistry (Formalin/PFA-fixed paraffin-embedded sections)", "shortname":"IHC-P"} }, "product-promise": { "all": "all", "testedAndGuaranteed": "tested", "guaranteed": "expected", "predicted": "predicted", "notRecommended": "not-recommended" } }, "values": { "Mouse": { "IHCFr-species-checked": "testedAndGuaranteed", "IHCFr-species-dilution-info": "5.05 µg/mL", "IHCFr-species-notes": "<p>Heat mediated antigen retrieval using sodium citrate buffer (10mM citrate pH 6.0 + 0.05% Tween-20) is recommended.</p>", "IHCP-species-checked": "testedAndGuaranteed", "IHCP-species-dilution-info": "1.01 µg/mL", "IHCP-species-notes": "<p></p>" }, "Rat": { "IHCFr-species-checked": "testedAndGuaranteed", "IHCFr-species-dilution-info": "5.05 µg/mL", "IHCFr-species-notes": "<p>Heat mediated antigen retrieval using sodium citrate buffer (10mM citrate pH 6.0 + 0.05% Tween-20) is recommended.</p>", "IHCP-species-checked": "testedAndGuaranteed", "IHCP-species-dilution-info": "1.01 µg/mL", "IHCP-species-notes": "<p></p>" } } }

Product details

What are the advantages of a recombinant monoclonal antibody?
This product is a recombinant monoclonal antibody, which offers several advantages including:

  • - High batch-to-batch consistency and reproducibility
  • - Improved sensitivity and specificity
  • - Long-term security of supply
  • - Animal-free batch production

For more information, read more on recombinant antibodies.

Want a custom formulation?
This antibody clone is manufactured by Abcam. If you require a custom buffer formulation or conjugation for your experiments, please contact orders@abcam.com

Properties and storage information

Form
Liquid
Purification technique
Affinity purification Protein A
Storage buffer
pH: 7.2 - 7.4 Preservative: 0.01% Sodium azide Constituents: PBS, 40% Glycerol (glycerin, glycerine), 0.05% BSA
Shipped at conditions
Blue Ice
Appropriate short-term storage duration
1-2 weeks
Appropriate short-term storage conditions
+4°C
Appropriate long-term storage conditions
-20°C
Aliquoting information
Upon delivery aliquot
Storage information
Avoid freeze / thaw cycle

Product protocols

For this product, it's our understanding that no specific protocols are required. You can visit:

Target data

Pore-forming subunit of the rod cyclic nucleotide-gated channel. Mediates rod photoresponses at dim light converting transient changes in intracellular cGMP levels into electrical signals. In the dark, cGMP levels are high and keep the channel open enabling a steady inward current carried by Na(+) and Ca(2+) ions that leads to membrane depolarization and neurotransmitter release from synaptic terminals. Upon photon absorption cGMP levels decline leading to channel closure and membrane hyperpolarization that ultimately slows neurotransmitter release and signals the presence of light, the end point of the phototransduction cascade. Conducts cGMP- and cAMP-gated ion currents, with permeability for monovalent and divalent cations. The selectivity for Ca(2+) over Na(+) increases with cGMP concentrations, whereas the selectivity among monovalent ions is independent of the cGMP levels.
See full target information CNGA1

Publications (1)

Recent publications for all applications. Explore the full list and refine your search

Communications medicine 5:384 PubMed40897815

2025

Gene augmentation therapy restores vision and preserves photoreceptors in a mouse model of CNGA1-retinitis pigmentosa.

Applications

Unspecified application

Species

Unspecified reactive species

Yidong Wu,Tianyuan Zhao,Yazhi Wang,Ting Zhang,Chenyue Hang,Yafang Wang,Yang Liu,Zhixuan Chen,Jieqiong Chen,Tong Li,Junran Sun,Huixun Jia,Lei Zhang,Fenghua Wang,Xiaoling Wan,Xiaodong Sun
View all publications

Product promise

We are committed to supporting your work with high-quality reagents, and we're here for you every step of the way. In the unlikely event that one of our products does not perform as expected, you're protected by our Product Promise.
For full details, please see our Terms & Conditions

Please note: All products are 'FOR RESEARCH USE ONLY. NOT FOR USE IN DIAGNOSTIC OR THERAPEUTIC PROCEDURES'.

For licensing inquiries, please contact partnerships@abcam.com