JavaScript is disabled in your browser. Please enable JavaScript to view this website.
AB234642

Anti-CNOT1 antibody

Be the first to review this product! Submit a review

|

(2 Publications)

Rabbit Polyclonal CNOT1 antibody. Suitable for IHC-P, ICC/IF and reacts with Human samples. Cited in 2 publications. Immunogen corresponding to Recombinant Fragment Protein within Human CNOT1 aa 600-900.

View Alternative Names

CDC39, KIAA1007, NOT1, AD-005, CNOT1, CCR4-NOT transcription complex subunit 1, CCR4-associated factor 1, Negative regulator of transcription subunit 1 homolog, NOT1H, hNOT1

2 Images
Immunocytochemistry/ Immunofluorescence - Anti-CNOT1 antibody (AB234642)
  • ICC/IF

Supplier Data

Immunocytochemistry/ Immunofluorescence - Anti-CNOT1 antibody (AB234642)

U-251 MG cells (Human brain glioma cell line) cells stained for CNOT1 (green) using ab234642 at 1/100 dilution in ICC/IF, followed by Alexa-Fluor 488® conjugated Goat Anti-Rabbit IgG (H+L).

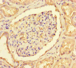
Immunohistochemistry (Formalin/PFA-fixed paraffin-embedded sections) - Anti-CNOT1 antibody (AB234642)
  • IHC-P

Supplier Data

Immunohistochemistry (Formalin/PFA-fixed paraffin-embedded sections) - Anti-CNOT1 antibody (AB234642)

Paraffin-embedded human kidney tissue stained for CNOT1 using ab234642 at 1/100 dilution in immunohistochemical analysis.

Key facts

Host species

Rabbit

Clonality

Polyclonal

Isotype

IgG

Carrier free

No

Reacts with

Human

Applications

ICC/IF, IHC-P

applications

Immunogen

Recombinant Fragment Protein within Human CNOT1 aa 600-900. The exact immunogen used to generate this antibody is proprietary information.

A5YKK6

Reactivity data

{ "title": "Reactivity Data", "filters": { "stats": ["", "Species", "Dilution Info", "Notes"], "tabs": { "all-applications": {"fullname" : "All Applications", "shortname": "All Applications"}, "IHCP" : {"fullname" : "Immunohistochemistry (Formalin/PFA-fixed paraffin-embedded sections)", "shortname":"IHC-P"}, "ICCIF" : {"fullname" : "Immunocytochemistry/ Immunofluorescence", "shortname":"ICC/IF"} }, "product-promise": { "all": "all", "testedAndGuaranteed": "tested", "guaranteed": "expected", "predicted": "predicted", "notRecommended": "not-recommended" } }, "values": { "Human": { "IHCP-species-checked": "testedAndGuaranteed", "IHCP-species-dilution-info": "1/20 - 1/200", "IHCP-species-notes": "<p></p>", "ICCIF-species-checked": "testedAndGuaranteed", "ICCIF-species-dilution-info": "1/50 - 1/200", "ICCIF-species-notes": "<p></p>" } } }

Properties and storage information

Form
Liquid
Purification technique
Affinity purification Protein G
Purification notes
Purity >95%.
Storage buffer
pH: 7.4 Preservative: 0.03% Proclin 300 Constituents: PBS, 50% Glycerol (glycerin, glycerine)
Shipped at conditions
Blue Ice
Appropriate short-term storage duration
1-2 weeks
Appropriate short-term storage conditions
+4°C
Appropriate long-term storage conditions
-20°C
Aliquoting information
Upon delivery aliquot
Storage information
Avoid freeze / thaw cycle

Product protocols

For this product, it's our understanding that no specific protocols are required. You can visit:

Target data

Scaffolding component of the CCR4-NOT complex which is one of the major cellular mRNA deadenylases and is linked to various cellular processes including bulk mRNA degradation, miRNA-mediated repression, translational repression during translational initiation and general transcription regulation. Additional complex functions may be a consequence of its influence on mRNA expression. Its scaffolding function implies its interaction with the catalytic complex module and diverse RNA-binding proteins mediating the complex recruitment to selected mRNA 3'UTRs. Involved in degradation of AU-rich element (ARE)-containing mRNAs probably via association with ZFP36. Mediates the recruitment of the CCR4-NOT complex to miRNA targets and to the RISC complex via association with TNRC6A, TNRC6B or TNRC6C. Acts as a transcriptional repressor. Represses the ligand-dependent transcriptional activation by nuclear receptors. Involved in the maintenance of embryonic stem (ES) cell identity.
See full target information CNOT1

Publications (2)

Recent publications for all applications. Explore the full list and refine your search

International journal of molecular sciences 25: PubMed38612704

2024

Stress-Induced Changes in Nucleocytoplasmic Localization of Crucial Factors in Gene Expression Regulation.

Applications

Unspecified application

Species

Unspecified reactive species

Ali Khamit,Payal Chakraborty,Szabolcs Zahorán,Zoltán Villányi,Hajnalka Orvos,Edit Hermesz

Open life sciences 15:971-980 PubMed33817283

2020

CTRP9 protects against MIA-induced inflammation and knee cartilage damage by deactivating the MAPK/NF-κB pathway in rats with osteoarthritis.

Applications

Unspecified application

Species

Unspecified reactive species

Shicheng Zheng,Jing Ren,Sihai Gong,Feng Qiao,Jinlong He
View all publications

Product promise

We are committed to supporting your work with high-quality reagents, and we're here for you every step of the way. In the unlikely event that one of our products does not perform as expected, you're protected by our Product Promise.
For full details, please see our Terms & Conditions

Please note: All products are 'FOR RESEARCH USE ONLY. NOT FOR USE IN DIAGNOSTIC OR THERAPEUTIC PROCEDURES'.

For licensing inquiries, please contact partnerships@abcam.com