JavaScript is disabled in your browser. Please enable JavaScript to view this website.
AB243294

Anti-CNOT6 antibody [EPR22022] - BSA and Azide free

Be the first to review this product! Submit a review

|

(1 Publication)

Rabbit Recombinant Monoclonal CNOT6 antibody. Carrier free. Suitable for IP, WB and reacts with Human samples. Cited in 1 publication.

View Alternative Names

CCR4, CCR4a, KIAA1194, CNOT6, CCR4-NOT transcription complex subunit 6, CCR4 carbon catabolite repression 4-like, Carbon catabolite repressor protein 4 homolog, Cytoplasmic deadenylase

3 Images
Immunoprecipitation - Anti-CNOT6 antibody [EPR22022] - BSA and Azide free (AB243294)
  • IP

Supplier Data

Immunoprecipitation - Anti-CNOT6 antibody [EPR22022] - BSA and Azide free (AB243294)

CNOT6 was immunoprecipitated from 0.35 mg of Jurkat (human T cell leukemia cell line from peripheral blood) whole cell lysate with ab221151 at 1/30 dilution. Western blot was performed from the immunoprecipitate using ab221151 at 1/500 dilution. VeriBlot for IP Detection Reagent (HRP) (ab131366), was used for detection at 1/1000 dilution.

Lane 1 : Jurkat whole cell lysate 10 μg (Input).

Lane 2 : ab221151 IP in Jurkat whole cell lysate.

Lane 3 : Rabbit monoclonal IgG (ab172730) instead of ab221151 in Jurkat whole cell lysate.

Blocking and dilution buffer and concentration : 5% NFDM/TBST.

Exposure time : 30 seconds.

This data was developed using the same antibody clone in a different buffer formulation containing PBS, BSA, glycerol and sodium azide (ab221151).

All lanes:

Immunoprecipitation - Anti-CNOT6 antibody [EPR22022] (<a href='/en-us/products/primary-antibodies/cnot6-antibody-epr22022-ab221151'>ab221151</a>)

Predicted band size: 63 kDa

false

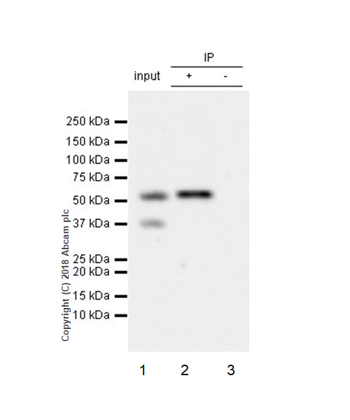
Immunoprecipitation - Anti-CNOT6 antibody [EPR22022] - BSA and Azide free (AB243294)
  • IP

Supplier Data

Immunoprecipitation - Anti-CNOT6 antibody [EPR22022] - BSA and Azide free (AB243294)

CNOT6 was immunoprecipitated from 0.35 mg of HeLa (human epithelial cell line from cervix adenocarcinoma) whole cell lysate with ab221151 at 1/30 dilution. Western blot was performed from the immunoprecipitate using ab221151 at 1/500 dilution. VeriBlot for IP Detection Reagent (HRP) (ab131366), was used for detection at 1/1000 dilution.

Lane 1 : HeLa whole cell lysate 10 μg (Input).

Lane 2 : ab221151 IP in HeLa whole cell lysate.

Lane 3 : Rabbit monoclonal IgG (ab172730) instead of ab221151 in HeLa whole cell lysate.

Blocking and dilution buffer and concentration : 5% NFDM/TBST.

Exposure time : 30 seconds.

This data was developed using the same antibody clone in a different buffer formulation containing PBS, BSA, glycerol and sodium azide (ab221151).

All lanes:

Immunoprecipitation - Anti-CNOT6 antibody [EPR22022] (<a href='/en-us/products/primary-antibodies/cnot6-antibody-epr22022-ab221151'>ab221151</a>)

Predicted band size: 36 kDa,63 kDa

Observed band size: 38 kDa

false

Western blot - Anti-CNOT6 antibody [EPR22022] - BSA and Azide free (AB243294)
  • WB

Lab

Western blot - Anti-CNOT6 antibody [EPR22022] - BSA and Azide free (AB243294)

This data was developed using ab221151, the same antibody clone in a different buffer formulation.

Western blot : Anti-CNOT6 antibody [EPR22022] ab221151 staining at 1/1000 dilution, shown in green; Mouse anti GAPDH ab8245 loading control staining at 1/20000 dilution, shown in magenta. A band was observed at 63 kDa in Wild-type MCF7 cell lysates with no signal observed at this size in CNOT6 knockout MCF7 cell line. To generate this image, samples were run on an SDS-PAGE gel then transferred onto a nitrocellulose membrane. Membranes were blocked in 3pc Milk in TBS-0.1 % Tween® 20 (TBS-T) before incubation with primary antibodies overnight at 4 °C. Blots were washed four times in TBS-T, incubated with secondary antibodies for 1 h at room temperature, washed again four times then imaged. Secondary antibodies used were Goat anti-Rabbit 800CW and Goat anti-Mouse 680RD at 1/20,000 dilution.

All lanes:

Western blot - Anti-CNOT6 antibody [EPR22022] (<a href='/en-us/products/primary-antibodies/cnot6-antibody-epr22022-ab221151'>ab221151</a>) at 1/1000 dilution

Lane 1:

Wild-type MCF7 at 20 µg

Lane 2:

Western blot - Human CNOT6 knockout MCF7 cell line (ab289386) at 20 µg

Lane 3:

HL-60 at 20 µg

Lane 4:

PC-3 at 20 µg

Secondary

All lanes:

Goat anti-Rabbit 800CW & Goat anti-Mouse 680RD at 1/20000 dilution

Predicted band size: 63 kDa

Observed band size: 63 kDa,37 kDa

false

Key facts

Host species

Rabbit

Clonality

Monoclonal

Clone number

EPR22022

Isotype

IgG

Carrier free

Yes

Reacts with

Human

Applications

WB, IP

applications

Immunogen

The exact immunogen used to generate this antibody is proprietary information.

Reactivity data

{ "title": "Reactivity Data", "filters": { "stats": ["", "Species", "Dilution Info", "Notes"], "tabs": { "all-applications": {"fullname" : "All Applications", "shortname": "All Applications"}, "IP" : {"fullname" : "Immunoprecipitation", "shortname":"IP"}, "FlowCyt" : {"fullname" : "Flow Cytometry", "shortname":"Flow Cyt"}, "WB" : {"fullname" : "Western blot", "shortname":"WB"}, "IHCP" : {"fullname" : "Immunohistochemistry (Formalin/PFA-fixed paraffin-embedded sections)", "shortname":"IHC-P"}, "ICCIF" : {"fullname" : "Immunocytochemistry/ Immunofluorescence", "shortname":"ICC/IF"} }, "product-promise": { "all": "all", "testedAndGuaranteed": "tested", "guaranteed": "expected", "predicted": "predicted", "notRecommended": "not-recommended" } }, "values": { "Human": { "IP-species-checked": "testedAndGuaranteed", "IP-species-dilution-info": "", "IP-species-notes": "<p></p>", "FlowCyt-species-checked": "notRecommended", "FlowCyt-species-dilution-info": "", "FlowCyt-species-notes": "<p></p>", "WB-species-checked": "guaranteed", "WB-species-dilution-info": "", "WB-species-notes": "<p></p>", "IHCP-species-checked": "notRecommended", "IHCP-species-dilution-info": "", "IHCP-species-notes": "<p></p>", "ICCIF-species-checked": "notRecommended", "ICCIF-species-dilution-info": "", "ICCIF-species-notes": "<p></p>" } } }

Product details

ab243294 is the carrier-free version of ab221151.

Patented technology
Our RabMAb® technology is a patented hybridoma-based technology for making rabbit monoclonal antibodies. For details on our patents, please refer to RabMAb® patents.

What are the advantages of a recombinant monoclonal antibody?
This product is a recombinant monoclonal antibody, which offers several advantages including:

  • - High batch-to-batch consistency and reproducibility
  • - Improved sensitivity and specificity
  • - Long-term security of supply
  • - Animal-free batch production

For more information, read more on recombinant antibodies.

Conjugation ready
Our carrier-free antibodies are typically supplied in a PBS-only formulation, purified and free of BSA, sodium azide and glycerol. This conjugation-ready format is designed for use with fluorochromes, metal isotopes, oligonucleotides, and enzymes, which makes them ideal for antibody labelling, functional and cell-based assays, flow-based assays (e.g. mass cytometry) and Multiplex Imaging applications.

Use our conjugation kits for antibody conjugates that are ready-to-use in as little as 20 minutes with 1 minute hands-on-time and 100% antibody recovery: available for fluorescent dyes, HRP, biotin and gold.

Compatibility
This product is compatible with the Maxpar® Antibody Labeling Kit from Fluidigm, without the need for antibody preparation. Maxpar® is a trademark of Fluidigm Canada Inc.

Properties and storage information

Form
Liquid
Purification technique
Affinity purification Protein A
Storage buffer
pH: 7.2 - 7.4 Constituents: PBS
Shipped at conditions
Blue Ice
Appropriate short-term storage conditions
+4°C
Appropriate long-term storage conditions
+4°C
Storage information
Do Not Freeze

Product protocols

For this product, it's our understanding that no specific protocols are required. You can visit:

Target data

Poly(A) nuclease with 3'-5' RNase activity. Catalytic component of the CCR4-NOT complex which is one of the major cellular mRNA deadenylases and is linked to various cellular processes including bulk mRNA degradation, miRNA-mediated repression, translational repression during translational initiation and general transcription regulation. Additional complex functions may be a consequence of its influence on mRNA expression. Involved in mRNA decay mediated by the major-protein-coding determinant of instability (mCRD) of the FOS gene in the cytoplasm. In the presence of ZNF335, enhances ligand-dependent transcriptional activity of nuclear hormone receptors, including RARA. The increase of ligand-dependent ESR1-mediated transcription is much smaller, if any. Mediates cell proliferation and cell survival and prevents cellular senescence.
See full target information CNOT6

Publications (1)

Recent publications for all applications. Explore the full list and refine your search

Biochemistry and biophysics reports 40:101833 PubMed39398537

2024

CEACAM1 increased the lymphangiogenesis through miR-423-5p and NF- kB in Non-Small Cell Lung Cancer.

Applications

Unspecified application

Species

Unspecified reactive species

Jie Yu,Wenke Cai,Tao Zhou,Bo Men,Shunqiong Chen,Dong Tu,Wei Guo,Jicui Wang,Feipeng Zhao,Yan Wang
View all publications

Product promise

We are committed to supporting your work with high-quality reagents, and we're here for you every step of the way. In the unlikely event that one of our products does not perform as expected, you're protected by our Product Promise.
For full details, please see our Terms & Conditions

Please note: All products are 'FOR RESEARCH USE ONLY. NOT FOR USE IN DIAGNOSTIC OR THERAPEUTIC PROCEDURES'.

For licensing inquiries, please contact partnerships@abcam.com