JavaScript is disabled in your browser. Please enable JavaScript to view this website.
AB195587

Anti-CNOT7 antibody [EPR18722]

4

(7 Reviews)

|

(10 Publications)

Rabbit Recombinant Monoclonal CNOT7 antibody. Suitable for IP, WB, ICC/IF, Flow Cyt (Intra) and reacts with Human, Mouse, Rat samples. Cited in 10 publications.

View Alternative Names

CAF1, CNOT7, CCR4-NOT transcription complex subunit 7, BTG1-binding factor 1, CCR4-associated factor 1, Caf1a, CAF-1

10 Images
Immunoprecipitation - Anti-CNOT7 antibody [EPR18722] (AB195587)
  • IP

Supplier Data

Immunoprecipitation - Anti-CNOT7 antibody [EPR18722] (AB195587)

CNOT7 was immunoprecipitated from 1mg of HeLa (Human epithelial cell line from cervix adenocarcinoma) whole cell lysate with ab195587 at 1/40 dilution. Western blot was performed from the immunoprecipitate using ab195587 at 1/1000 dilution. VeriBlot for IP Detection Reagent (HRP) (ab131366), was used for detection at 1/10000 dilution.

Lane 1 : HeLa whole cell lysate 10μg (Input).

Lane 2 : ab195587 IP in HeLa whole cell lysate.

Lane 3 : Rabbit monoclonal IgG (ab172730) instead of ab195587 in HeLa whole cell lysate.

Blocking and dilution buffer and concentration : 5% NFDM/TBST.

Exposure time : 1 second.

All lanes:

Immunoprecipitation - Anti-CNOT7 antibody [EPR18722] (ab195587)

Predicted band size: 33 kDa

false

Flow Cytometry (Intracellular) - Anti-CNOT7 antibody [EPR18722] (AB195587)
  • Flow Cyt (Intra)

Lab

Flow Cytometry (Intracellular) - Anti-CNOT7 antibody [EPR18722] (AB195587)

Intracellular Flow Cytometry analysis of 4% paraformaldehyde fixed NIH/3T3 (Mouse embryonic fibroblast cell line) cell linelabelling CNOT7 with ab195587 at 1/1000 dilution (red), isotype control with ab172730 (black) and unlabelled control cells without incubation with primary antibody and secondary antibody (blue).

Flow Cytometry (Intracellular) - Anti-CNOT7 antibody [EPR18722] (AB195587)
  • Flow Cyt (Intra)

Supplier Data

Flow Cytometry (Intracellular) - Anti-CNOT7 antibody [EPR18722] (AB195587)

Intracellular Flow Cytometry analysis of 4% paraformaldehyde fixed F9 (Mouse embryonic testicular cancer cell line) cells labeling CNOT7 with ab195587 at 1/1000 dilution (red), isotype control with ab172730 (black) and unlabeled control cells without incubation with primary antibody and secondary antibody (blue).

Immunocytochemistry/ Immunofluorescence - Anti-CNOT7 antibody [EPR18722] (AB195587)
  • ICC/IF

Lab

Immunocytochemistry/ Immunofluorescence - Anti-CNOT7 antibody [EPR18722] (AB195587)

Immunofluorescent analysis of 4% paraformaldehyde-fixed 0.1% Triton X-100 permeabilized F9 (Mouse embryonic testicular cancer cell line) cells labeling CNOT7 with ab195587 at 1/1000 dilution followed by Goat Anti-Rabbit IgG H&L (Alexa Fluor® 488) (ab150077) secondary antibody at 1/1000 dilution (green). Confocal image showing cytoplasmic staining on NIH/3T3 cell line. The nuclear counter stain is DAPI (blue).

Tubulin is detected with Anti-alpha Tubulin mouse MAb (ab7291) at 1/1000 dilution followed by Goat Anti-Mouse IgG H&L (Alexa Fluor® 594) (ab150120) secondary antibody at 1/1000 dilution (red).
The negative controls are as follows :
-ve control 1 : ab195587at 1/1000 dilution followed by Anti-Mouse IgG H&L (Alexa Fluor® 594) (ab150120) secondary at 1/XXXX dilution.
-ve control 2 : Anti-alpha Tubulin mouse MAb (ab7291) at 1/1000 dilution followed by Goat Anti-Rabbit IgG H&L (Alexa Fluor® 488) (ab150077) secondary at 1/1000 dilution.

Immunocytochemistry/ Immunofluorescence - Anti-CNOT7 antibody [EPR18722] (AB195587)
  • ICC/IF

Lab

Immunocytochemistry/ Immunofluorescence - Anti-CNOT7 antibody [EPR18722] (AB195587)

Immunofluorescent analysis of 4% paraformaldehyde-fixed, 0.1% Triton X-100 permeabilized NIH/3T3 (Mouse embryonic fibroblast cell line) cells labeling CNOT7 with ab195587 at 1/1000 dilution, followed by Goat Anti-Rabbit IgG H&L (Alexa Fluor® 488) (ab150077) secondary antibody at 1/1000 dilution (green). Confocal image showing cytoplasmic staining on NIH/3T3 cell line. The nuclear counter stain is DAPI (blue).

Tubulin is detected with Anti-alpha Tubulin mouse MAb (ab7291) at 1/1000 dilution, followed by Goat Anti-Mouse IgG H&L (Alexa Fluor® 594) (ab150120) secondary antibody at 1/1000 dilution (red).
The negative controls are as follows :
-ve control 1 : ab195587at 1/1000 dilution, followed by Anti-Mouse IgG H&L (Alexa Fluor® 594) (ab150120) secondary.
-ve control 2 : Anti-alpha Tubulin mouse MAb (ab7291) at 1/1000 dilution, followed by Goat Anti-Rabbit IgG H&L (Alexa Fluor® 488) (ab150077) secondary at 1/1000 dilution.

Western blot - Anti-CNOT7 antibody [EPR18722] (AB195587)
  • WB

Supplier Data

Western blot - Anti-CNOT7 antibody [EPR18722] (AB195587)

Blocking/Dilution buffer : 5% NFDM/TBST.

All lanes:

Western blot - Anti-CNOT7 antibody [EPR18722] (ab195587) at 1/1000 dilution

Lane 1:

Human fetal brain lysate at 10 µg

Lane 2:

Human fetal heart lysate at 10 µg

Lane 3:

Human fetal kidney lysate at 10 µg

Lane 4:

Human fetal spleen lysate at 10 µg

Secondary

All lanes:

Goat Anti-Rabbit IgG Peroxidase Conjugate, specific to the non-reduced form of IgG at 1/10000 dilution

Predicted band size: 33 kDa

Observed band size: 33 kDa

false

Exposure time: 30s

Western blot - Anti-CNOT7 antibody [EPR18722] (AB195587)
  • WB

Lab

Western blot - Anti-CNOT7 antibody [EPR18722] (AB195587)

Lanes 1-3 : Merged signal (red and green). Green - ab195587 observed at 33 kDa. Red - loading control ab7291 observed at 50 kDa.

ab195587 Anti-CNOT7 antibody [EPR18722] was shown to specifically react with CNOT7 in wild-type HeLa cells. Loss of signal was observed when knockout cell line ab265811 (knockout cell lysate ab258370) was used. Wild-type and CNOT7 knockout samples were subjected to SDS-PAGE. ab195587 and Anti-alpha Tubulin antibody [DM1A] - Loading Control (ab7291) were incubated overnight at 4°C at 1 in 1000 dilution and 1 in 20000 dilution respectively. Blots were developed with Goat anti-Rabbit IgG H&L (IRDye® 800CW) preadsorbed (ab216773) and Goat anti-Mouse IgG H&L (IRDye® 680RD) preadsorbed (ab216776) secondary antibodies at 1 in 20000 dilution for 1 hour at room temperature before imaging.

All lanes:

Western blot - Anti-CNOT7 antibody [EPR18722] (ab195587) at 1/1000 dilution

Lane 1:

Wild-type HeLa cell lysate at 20 µg

Lane 2:

CNOT7 knockout HeLa cell lysate at 20 µg

Lane 2:

Western blot - Human CNOT7 knockout HeLa cell line (<a href='/en-us/products/cell-lines/human-cnot7-knockout-hela-cell-line-ab265811'>ab265811</a>)

Lane 3:

MOLT-4 cell lysate at 20 µg

Secondary

All lanes:

Western blot - Goat anti-Rabbit IgG H&L (IRDye® 800CW) preadsorbed (<a href='/en-us/products/secondary-antibodies/goat-rabbit-igg-h-l-irdye-800cw-preadsorbed-ab216773'>ab216773</a>) at 1/10000 dilution

Predicted band size: 33 kDa

Observed band size: 33 kDa

false

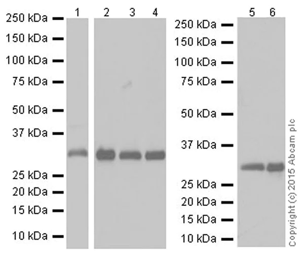
Western blot - Anti-CNOT7 antibody [EPR18722] (AB195587)
  • WB

Supplier Data

Western blot - Anti-CNOT7 antibody [EPR18722] (AB195587)

Blocking/Dilution buffer : 5% NFDM/TBST.

Exposure time : Lane 1 : 1 seconds; Lane 2-4 : 2 seconds.

All lanes:

Western blot - Anti-CNOT7 antibody [EPR18722] (ab195587) at 1/1000 dilution

Lane 1:

HeLa (Human epithelial cell line from cervix adenocarcinoma) whole cell lysate at 10 µg

Lane 2:

HepG2 (Human liver hepatocellular carcinoma cell line) whole cell lysate at 10 µg

Lane 3:

NTERA-2/D1 (Human malignant pluripotent embryonic carcinoma cell line) whole cell lysate at 10 µg

Lane 4:

NCCIT (Human pluripotent embryonic carcinoma cell line) whole cell lysate at 10 µg

Secondary

All lanes:

Western blot - Goat Anti-Rabbit IgG H&L (HRP) (<a href='/en-us/products/secondary-antibodies/goat-rabbit-igg-h-l-hrp-ab97051'>ab97051</a>) at 1/100000 dilution

Predicted band size: 33 kDa

Observed band size: 33 kDa

false

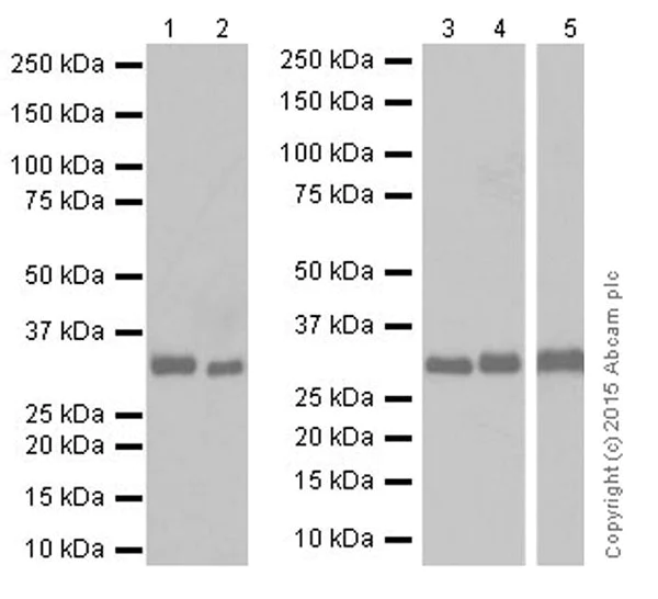
Western blot - Anti-CNOT7 antibody [EPR18722] (AB195587)
  • WB

Supplier Data

Western blot - Anti-CNOT7 antibody [EPR18722] (AB195587)

Blocking/Dilution buffer : 5% NFDM/TBST.

Exposure time : Lane 1 : 2 seconds; Lane 2-6 : 5 seconds.

All lanes:

Western blot - Anti-CNOT7 antibody [EPR18722] (ab195587) at 1/1000 dilution

Lane 1:

Mouse ovary lysate at 10 µg

Lane 2:

Mouse embryo lysate at 10 µg

Lane 3:

F9 (Mouse embryonic testicular cancer cell line) whole cell lysate at 10 µg

Lane 4:

SP2/0 (Mouse spleen cell line) whole cell lysate at 10 µg

Lane 5:

C6 (Rat glial tumor cell line) whole cell lysate at 10 µg

Lane 6:

PC-12 (Rat adrenal gland pheochromocytoma cell line) whole cell lysate at 10 µg

Secondary

All lanes:

Western blot - Goat Anti-Rabbit IgG H&L (HRP) (<a href='/en-us/products/secondary-antibodies/goat-rabbit-igg-h-l-hrp-ab97051'>ab97051</a>) at 1/100000 dilution

Predicted band size: 33 kDa

Observed band size: 33 kDa

false

Western blot - Anti-CNOT7 antibody [EPR18722] (AB195587)
  • WB

Supplier Data

Western blot - Anti-CNOT7 antibody [EPR18722] (AB195587)

Blocking/Dilution buffer : 5% NFDM/TBST.

Exposure time : Lane 1/2 : 15 seconds; Lane 3/4 : 5 seconds; Lane 5 : 30 seconds.

All lanes:

Western blot - Anti-CNOT7 antibody [EPR18722] (ab195587) at 1/1000 dilution

Lane 1:

Mouse brain lysate at 10 µg

Lane 2:

Mouse heart lysate at 10 µg

Lane 3:

Rat kidney lysate at 10 µg

Lane 4:

Rat spleen lysate at 10 µg

Lane 5:

Rat heart lysate at 10 µg

Secondary

All lanes:

Western blot - Goat Anti-Rabbit IgG H&L (HRP) (<a href='/en-us/products/secondary-antibodies/goat-rabbit-igg-h-l-hrp-ab97051'>ab97051</a>) at 1/100000 dilution

Predicted band size: 33 kDa

Observed band size: 33 kDa

false

Key facts

Host species

Rabbit

Clonality

Monoclonal

Clone number

EPR18722

Isotype

IgG

Carrier free

No

Reacts with

Mouse, Rat, Human

Applications

ICC/IF, IP, WB, Flow Cyt (Intra)

applications

Immunogen

The exact immunogen used to generate this antibody is proprietary information.

Reactivity data

{ "title": "Reactivity Data", "filters": { "stats": ["", "Species", "Dilution Info", "Notes"], "tabs": { "all-applications": {"fullname" : "All Applications", "shortname": "All Applications"}, "IP" : {"fullname" : "Immunoprecipitation", "shortname":"IP"}, "WB" : {"fullname" : "Western blot", "shortname":"WB"}, "ICCIF" : {"fullname" : "Immunocytochemistry/ Immunofluorescence", "shortname":"ICC/IF"}, "FlowCytIntra" : {"fullname" : "Flow Cytometry (Intracellular)", "shortname":"Flow Cyt (Intra)"} }, "product-promise": { "all": "all", "testedAndGuaranteed": "tested", "guaranteed": "expected", "predicted": "predicted", "notRecommended": "not-recommended" } }, "values": { "Human": { "IP-species-checked": "testedAndGuaranteed", "IP-species-dilution-info": "1/40", "IP-species-notes": "<p></p>", "WB-species-checked": "testedAndGuaranteed", "WB-species-dilution-info": "1/1000", "WB-species-notes": "<p></p>", "ICCIF-species-checked": "guaranteed", "ICCIF-species-dilution-info": "", "ICCIF-species-notes": "", "FlowCytIntra-species-checked": "guaranteed", "FlowCytIntra-species-dilution-info": "", "FlowCytIntra-species-notes": "" }, "Mouse": { "IP-species-checked": "guaranteed", "IP-species-dilution-info": "", "IP-species-notes": "", "WB-species-checked": "testedAndGuaranteed", "WB-species-dilution-info": "1/1000", "WB-species-notes": "<p></p>", "ICCIF-species-checked": "testedAndGuaranteed", "ICCIF-species-dilution-info": "1/1000", "ICCIF-species-notes": "<p></p>", "FlowCytIntra-species-checked": "testedAndGuaranteed", "FlowCytIntra-species-dilution-info": "1/1000", "FlowCytIntra-species-notes": "<p></p>" }, "Rat": { "IP-species-checked": "guaranteed", "IP-species-dilution-info": "", "IP-species-notes": "", "WB-species-checked": "testedAndGuaranteed", "WB-species-dilution-info": "1/1000", "WB-species-notes": "<p></p>", "ICCIF-species-checked": "guaranteed", "ICCIF-species-dilution-info": "", "ICCIF-species-notes": "", "FlowCytIntra-species-checked": "guaranteed", "FlowCytIntra-species-dilution-info": "", "FlowCytIntra-species-notes": "" } } }

Product details

Patented technology
Our RabMAb® technology is a patented hybridoma-based technology for making rabbit monoclonal antibodies. For details on our patents, please refer to RabMAb® patents.

What are the advantages of a recombinant monoclonal antibody?
This product is a recombinant monoclonal antibody, which offers several advantages including:

  • - High batch-to-batch consistency and reproducibility
  • - Improved sensitivity and specificity
  • - Long-term security of supply
  • - Animal-free batch production

For more information, read more on recombinant antibodies.

Properties and storage information

Form
Liquid
Purification technique
Affinity purification Protein A
Storage buffer
pH: 7.2 - 7.4 Preservative: 0.01% Sodium azide Constituents: PBS, 40% Glycerol (glycerin, glycerine), 0.05% BSA
Shipped at conditions
Blue Ice
Appropriate short-term storage duration
1-2 weeks
Appropriate short-term storage conditions
+4°C
Appropriate long-term storage conditions
-20°C
Aliquoting information
Upon delivery aliquot
Storage information
Avoid freeze / thaw cycle

Product protocols

For this product, it's our understanding that no specific protocols are required. You can visit:

Target data

Has 3'-5' poly(A) exoribonuclease activity for synthetic poly(A) RNA substrate (PubMed : 19276069, PubMed : 20634287, PubMed : 31439799). Its function seems to be partially redundant with that of CNOT8 (PubMed : 19605561). Catalytic component of the CCR4-NOT complex which is one of the major cellular mRNA deadenylases and is linked to various cellular processes including bulk mRNA degradation, miRNA-mediated repression, translational repression during translational initiation and general transcription regulation (PubMed : 19276069, PubMed : 20634287, PubMed : 31439799). During miRNA-mediated repression the complex seems also to act as translational repressor during translational initiation (PubMed : 20065043). Additional complex functions may be a consequence of its influence on mRNA expression (PubMed : 19276069, PubMed : 23236473). Associates with members of the BTG family such as TOB1 and BTG2 and is required for their anti-proliferative activity (PubMed : 19276069, PubMed : 23236473).
See full target information CNOT7

Publications (10)

Recent publications for all applications. Explore the full list and refine your search

Nature communications 15:5550 PubMed38956014

2024

Maternal mRNA deadenylation is defective in in vitro matured mouse and human oocytes.

Applications

Unspecified application

Species

Unspecified reactive species

Yusheng Liu,Wenrong Tao,Shuang Wu,Yiwei Zhang,Hu Nie,Zhenzhen Hou,Jingye Zhang,Zhen Yang,Zi-Jiang Chen,Jiaqiang Wang,Falong Lu,Keliang Wu

Oncogene 42:3564-3574 PubMed37853162

2023

The m6A reader IGF2BP3 preserves NOTCH3 mRNA stability to sustain Notch3 signaling and promote tumor metastasis in nasopharyngeal carcinoma.

Applications

Unspecified application

Species

Unspecified reactive species

Boyu Chen,Runda Huang,Tianliang Xia,Chunyang Wang,Xiao Xiao,Shunzhen Lu,Xiangfu Chen,Ying Ouyang,Xiaowu Deng,Jingjing Miao,Chong Zhao,Lin Wang

EMBO reports 24:e56327 PubMed37846490

2023

CCR4-NOT differentially controls host versus virus poly(a)-tail length and regulates HCMV infection.

Applications

Unspecified application

Species

Unspecified reactive species

Hannah M Burgess,Rebecca Grande,Sofia Riccio,Ikshitaa Dinesh,Gerlof Sebastiaan Winkler,Daniel P Depledge,Ian Mohr

PLoS genetics 19:e1010797 PubMed37307272

2023

Retrotransposon LINE-1 bodies in the cytoplasm of piRNA-deficient mouse spermatocytes: Ribonucleoproteins overcoming the integrated stress response.

Applications

Unspecified application

Species

Unspecified reactive species

Chiara De Luca,Anuj Gupta,Alex Bortvin

Molecular cell 83:2290-2302.e13 PubMed37295431

2023

Mechanism of ribosome-associated mRNA degradation during tubulin autoregulation.

Applications

Unspecified application

Species

Unspecified reactive species

Markus Höpfler,Eva Absmeier,Sew-Yeu Peak-Chew,Evangelia Vartholomaiou,Lori A Passmore,Ivana Gasic,Ramanujan S Hegde

Bioengineered 13:5236-5250 PubMed35156522

2022

Methylation recognition protein YTH N6-methyladenosine RNA binding protein 1 (YTHDF1) regulates the proliferation, migration and invasion of osteosarcoma by regulating m6A level of CCR4-NOT transcription complex subunit 7 (CNOT7).

Applications

IP

Species

Human

Kang Wei,Yi Gao,Bin Wang,Yu-Xing Qu

Nature communications 13:1436 PubMed35302060

2022

LC3B is an RNA-binding protein to trigger rapid mRNA degradation during autophagy.

Applications

Unspecified application

Species

Unspecified reactive species

Hyun Jung Hwang,Hongseok Ha,Ban Seok Lee,Bong Heon Kim,Hyun Kyu Song,Yoon Ki Kim

Journal of molecular cell biology : PubMed33104214

2020

RNF219 interacts with CCR4‒NOT in regulating stem cell differentiation.

Applications

Unspecified application

Species

Unspecified reactive species

Hao Du,Chen Chen,Yan Wang,Yang Yang,Zhuanzhuan Che,Xiaoxu Liu,Siyan Meng,Chenghao Guo,Manman Xu,Haitong Fang,Fengchao Wang,Chengqi Lin,Zhuojuan Luo

eLife 8: PubMed31873071

2019

Human cytomegalovirus interactome analysis identifies degradation hubs, domain associations and viral protein functions.

Applications

Unspecified application

Species

Unspecified reactive species

Luis V Nobre,Katie Nightingale,Benjamin J Ravenhill,Robin Antrobus,Lior Soday,Jenna Nichols,James A Davies,Sepehr Seirafian,Eddie Cy Wang,Andrew J Davison,Gavin Wg Wilkinson,Richard J Stanton,Edward L Huttlin,Michael P Weekes

Nature structural & molecular biology 23:387-94 PubMed27065194

2016

BTG4 is a meiotic cell cycle-coupled maternal-zygotic-transition licensing factor in oocytes.

Applications

Unspecified application

Species

Unspecified reactive species

Chao Yu,Shu-Yan Ji,Qian-Qian Sha,Yujiao Dang,Jian-Jie Zhou,Yin-Li Zhang,Yang Liu,Zhong-Wei Wang,Boqiang Hu,Qing-Yuan Sun,Shao-Chen Sun,Fuchou Tang,Heng-Yu Fan
View all publications

Product promise

We are committed to supporting your work with high-quality reagents, and we're here for you every step of the way. In the unlikely event that one of our products does not perform as expected, you're protected by our Product Promise.
For full details, please see our Terms & Conditions

Please note: All products are 'FOR RESEARCH USE ONLY. NOT FOR USE IN DIAGNOSTIC OR THERAPEUTIC PROCEDURES'.

For licensing inquiries, please contact partnerships@abcam.com