JavaScript is disabled in your browser. Please enable JavaScript to view this website.
AB237961

Anti-CNPase antibody [11-5B] - BSA and Azide free

Be the first to review this product! Submit a review

|

(4 Publications)

Mouse Monoclonal CNPase antibody. Carrier free. Suitable for IHC-P, ICC, WB and reacts with Human, Rat, Mouse samples. Cited in 4 publications.

View Alternative Names

CNP, CNPase

5 Images
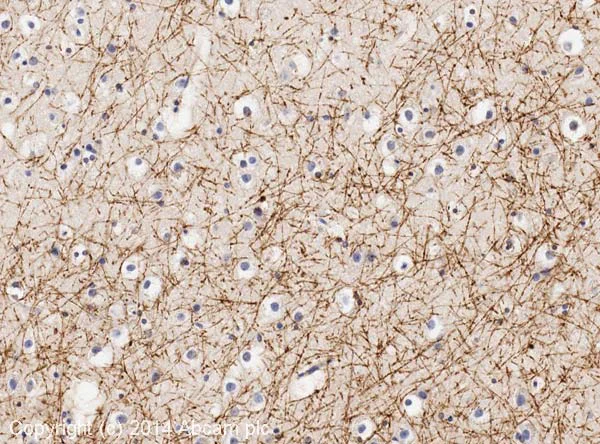
Immunohistochemistry (Formalin/PFA-fixed paraffin-embedded sections) - Anti-CNPase antibody [11-5B] - BSA and Azide free (AB237961)
  • IHC-P

Supplier Data

Immunohistochemistry (Formalin/PFA-fixed paraffin-embedded sections) - Anti-CNPase antibody [11-5B] - BSA and Azide free (AB237961)

IHC image of CNPase staining in human cerebral cortex formalin fixed paraffin embedded tissue section, performed on a Leica Bond™ system using the standard protocol F. The section was pre-treated using heat mediated antigen retrieval with sodium citrate buffer (pH6, epitope retrieval solution 1) for 20 mins. The section was then incubated with ab6319, 5μg/ml, for 15 mins at room temperature and detected using an HRP conjugated compact polymer system. DAB was used as the chromogen. The section was then counterstained with haematoxylin and mounted with DPX.

For other IHC staining systems (automated and non-automated) customers should optimize variable parameters such as antigen retrieval conditions, primary antibody concentration and antibody incubation times.

This data was developed using the same antibody clone in a different buffer formulation containing PBS, L-Arginine and sodium azide (ab6319).

Immunocytochemistry/ Immunofluorescence - Anti-CNPase antibody [11-5B] - BSA and Azide free (AB237961)
  • ICC/IF

Lab

Immunocytochemistry/ Immunofluorescence - Anti-CNPase antibody [11-5B] - BSA and Azide free (AB237961)

This data was developed using the same antibody clone in a different buffer formulation containing PBS and sodium azide (ab6319).

ab6319 staining CNPase in primary hippocampal rat neurons/glia, (obtained from Neuromics, cat. no. PC35101), DIV14. cells. The cells were fixed with 100% methanol (5 min), permeabilized with 0.1% PBS-Tween for 5 minutes and then blocked with 1% BSA/10% normal goat serum/0.3M glycine in 0.1% PBS-Tween for 1h. The cells were then incubated overnight at 4°C with ab6319 at 1μg/ml and ab6046, Rabbit polyclonal to beta Tubulin - Loading Control. Cells were then incubated with ab150117, Goat polyclonal Secondary Antibody to Mouse IgG H&L (Alexa Fluor® 488) preadsorbed at 1/1000 dilution (shown in green) and ab150080, Goat polyclonal Secondary Antibody to Rabbit IgG - H&L (Alexa Fluor® 594) at 1/1000 dilution (shown in pseudocolour red). Nuclear DNA was labelled with DAPI (shown in blue).

Also suitable in cells fixed with 4% paraformaldehyde (10 min).

Image was acquired with a confocal microscope (Leica-Microsystems TCS SP8) and a single confocal section is shown.

Western blot - Anti-CNPase antibody [11-5B] - BSA and Azide free (AB237961)
  • WB

Supplier Data

Western blot - Anti-CNPase antibody [11-5B] - BSA and Azide free (AB237961)

Lanes 1 - 3 : Merged signal (red and green). Green - ab6319 observed at 48 kDa. Red - loading control, ab181602, observed at 37 kDa.

ab6319 was shown to recognize CNPase in wild-type HAP1 cells as signal was lost at the expected MW in CNPase knockout cells. Additional cross-reactive bands were observed in the wild-type and knockout cells. Wild-type and CNPase knockout samples were subjected to SDS-PAGE. ab6319 and ab181602 (Rabbit anti-GAPDH loading control) were incubated overnight at 4°C at 5 μg/ml and 1/20000 dilution respectively. Blots were developed with Goat anti-Mouse IgG H&L (IRDye® 800CW) preabsorbed ab216772 and Goat anti-Rabbit IgG H&L (IRDye® 680RD) preabsorbed ab216777 secondary antibodies at 1/20000 dilution for 1 hour at room temperature before imaging.

This data was developed using the same antibody clone in a different buffer formulation containing PBS, L-Arginine and sodium azide (ab6319).

All lanes:

Western blot - Anti-CNPase antibody [11-5B] (<a href='/en-us/products/primary-antibodies/cnpase-antibody-11-5b-ab6319'>ab6319</a>) at 5 µg/mL

Lane 1:

Wild-type HAP1 whole cell lysate at 40 µg

Lane 2:

CNPase knockout HAP1 whole cell lysate at 40 µg

Lane 3:

Human Brain whole cell lysate at 20 µg

Predicted band size: 48 kDa

false

Western blot - Anti-CNPase antibody [11-5B] - BSA and Azide free (AB237961)
  • WB

Lab

Western blot - Anti-CNPase antibody [11-5B] - BSA and Azide free (AB237961)

This data was developed using the same antibody clone in a different buffer formulation (ab6319).

Lanes 1- 2 : Merged signal (red and green). Green - ab6319 observed at 48 kDa. Red - Anti-GAPDH antibody[EPR16891] - Loading Control (ab181602) observed at 37 kDa.

ab6319 was shown to react with CNPase in wild-type HeLa cells in western blot. Loss of signal was observed when knockout cell line ab264949 (knockout cell lysate ab256877) was used. Wild-type HeLa and CNP knockout HeLa cell lysates were subjected to SDS-PAGE. Membrane was blocked for 1 hour at room temperature in 0.1% TBST with 3% non-fat dried milk. ab6319 and Anti-GAPDH antibody[EPR16891] - Loading Control (ab181602) overnight at 4°C at a 5 μg/ml and a 1 in 20000 dilution respectively. Blots were developed with Goat anti-Mouse IgG H&L (IRDye®800CW) preadsorbed (ab216772) and Goat Anti-Rabbit IgG H&L (IRDye®680RD) preadsorbed (ab216777) secondary antibodies at 1 in 20000 dilution for 1 hour at room temperature before imaging.

All lanes:

Western blot - Anti-CNPase antibody [11-5B] (<a href='/en-us/products/primary-antibodies/cnpase-antibody-11-5b-ab6319'>ab6319</a>) at 5 µg/mL

Lane 1:

Wild-type HeLa cell lysate at 20 µg

Lane 1:

Western blot - Human CNP (CNPase) knockout HeLa cell pellet (<a href='/en-us/products/cell-lysates/human-cnp-cnpase-knockout-hela-cell-pellet-ab278945'>ab278945</a>)

Lane 1:

Western blot - Human CNP (CNPase) knockout HeLa cell lysate (<a href='/en-us/products/cell-lysates/human-cnp-cnpase-knockout-hela-cell-lysate-ab256877'>ab256877</a>)

Lane 2:

CNP knockout HeLa cell lysate at 20 µg

Lane 2:

Western blot - Human CNP (CNPase) knockout HeLa cell line (<a href='/en-us/products/cell-lines/human-cnp-cnpase-knockout-hela-cell-line-ab264949'>ab264949</a>)

Predicted band size: 48 kDa

Observed band size: 48 kDa

false

Western blot - Anti-CNPase antibody [11-5B] - BSA and Azide free (AB237961)
  • WB

Supplier Data

Western blot - Anti-CNPase antibody [11-5B] - BSA and Azide free (AB237961)

This antibody was raised against full length native CNPase and is predicted to recognize both isoforms. The predicted molecular weights of isoforms CNPI and CNPII are 45- and 48-kDa respectively.

This data was developed using the same antibody clone in a different buffer formulation containing PBS, L-Arginine and sodium azide (ab6319).

All lanes:

Western blot - Anti-CNPase antibody [11-5B] (<a href='/en-us/products/primary-antibodies/cnpase-antibody-11-5b-ab6319'>ab6319</a>) at 1/100 dilution

Lane 1:

Human spinal cord tissue lysate - total protein (<a href='/en-us/products/unavailable/human-spinal-cord-tissue-lysate-total-protein-ab29188'>ab29188</a>) at 20 µg

Lane 2:

Human brain tissue lysate - total protein (<a href='/en-us/products/unavailable/human-brain-tissue-lysate-total-protein-ab29466'>ab29466</a>) at 20 µg

Lane 3:

Spinal Cord (Mouse) Tissue Lysate at 20 µg

Lane 4:

Brain (Mouse) Tissue Lysate at 20 µg

Lane 5:

Spinal Cord (Rat) Tissue Lysate at 20 µg

Lane 6:

Brain (Rat) Tissue Lysate at 20 µg

Secondary

All lanes:

Goat polyclonal to Mouse IgG - H&L - Pre-Adsorbed (HRP) at 1/3000 dilution

Predicted band size: 48 kDa

true

Exposure time: 1min

Key facts

Host species

Mouse

Clonality

Monoclonal

Clone number

11-5B

Isotype

IgG1

Carrier free

Yes

Reacts with

Mouse, Rat, Human

Applications

ICC, WB, IHC-P

applications

Immunogen

The exact immunogen used to generate this antibody is proprietary information.

Reactivity data

{ "title": "Reactivity Data", "filters": { "stats": ["", "Species", "Dilution Info", "Notes"], "tabs": { "all-applications": {"fullname" : "All Applications", "shortname": "All Applications"}, "IHCP" : {"fullname" : "Immunohistochemistry (Formalin/PFA-fixed paraffin-embedded sections)", "shortname":"IHC-P"}, "ICC" : {"fullname" : "Immunocytochemistry", "shortname":"ICC"}, "WB" : {"fullname" : "Western blot", "shortname":"WB"} }, "product-promise": { "all": "all", "testedAndGuaranteed": "tested", "guaranteed": "expected", "predicted": "predicted", "notRecommended": "not-recommended" } }, "values": { "Human": { "IHCP-species-checked": "testedAndGuaranteed", "IHCP-species-dilution-info": "1/1000 - 1/2000", "IHCP-species-notes": "<p></p>", "ICC-species-checked": "guaranteed", "ICC-species-dilution-info": "", "ICC-species-notes": "", "WB-species-checked": "testedAndGuaranteed", "WB-species-dilution-info": "5 µg/mL", "WB-species-notes": "<p></p>" }, "Mouse": { "IHCP-species-checked": "guaranteed", "IHCP-species-dilution-info": "", "IHCP-species-notes": "", "ICC-species-checked": "guaranteed", "ICC-species-dilution-info": "", "ICC-species-notes": "", "WB-species-checked": "testedAndGuaranteed", "WB-species-dilution-info": "5 µg/mL", "WB-species-notes": "<p></p>" }, "Rat": { "IHCP-species-checked": "guaranteed", "IHCP-species-dilution-info": "", "IHCP-species-notes": "", "ICC-species-checked": "testedAndGuaranteed", "ICC-species-dilution-info": "10 µg/mL", "ICC-species-notes": "<p></p>", "WB-species-checked": "testedAndGuaranteed", "WB-species-dilution-info": "5 µg/mL", "WB-species-notes": "<p></p>" }, "Chicken": { "IHCP-species-checked": "notRecommended", "IHCP-species-dilution-info": "1/1000 - 1/2000", "IHCP-species-notes": "<p></p>", "ICC-species-checked": "notRecommended", "ICC-species-dilution-info": "10 µg/mL", "ICC-species-notes": "<p></p>", "WB-species-checked": "notRecommended", "WB-species-dilution-info": "5 µg/mL", "WB-species-notes": "<p></p>" }, "Guinea pig": { "IHCP-species-checked": "notRecommended", "IHCP-species-dilution-info": "1/1000 - 1/2000", "IHCP-species-notes": "<p></p>", "ICC-species-checked": "notRecommended", "ICC-species-dilution-info": "", "ICC-species-notes": "", "WB-species-checked": "notRecommended", "WB-species-dilution-info": "5 µg/mL", "WB-species-notes": "<p></p>" } } }

Product details

ab237961 is the carrier-free version of ab6319.

Conjugation ready
Our carrier-free antibodies are typically supplied in a PBS-only formulation, purified and free of BSA, sodium azide and glycerol. This conjugation-ready format is designed for use with fluorochromes, metal isotopes, oligonucleotides, and enzymes, which makes them ideal for antibody labelling, functional and cell-based assays, flow-based assays (e.g. mass cytometry) and Multiplex Imaging applications.

Use our conjugation kits for antibody conjugates that are ready-to-use in as little as 20 minutes with 1 minute hands-on-time and 100% antibody recovery: available for fluorescent dyes, HRP, biotin and gold.

Compatibility
This product is compatible with the Maxpar® Antibody Labeling Kit from Fluidigm, without the need for antibody preparation. Maxpar® is a trademark of Fluidigm Canada Inc.

Properties and storage information

Form
Liquid
Purity
IgG fraction
Storage buffer
Constituents: PBS
Shipped at conditions
Blue Ice
Appropriate short-term storage duration
1-2 weeks
Appropriate short-term storage conditions
+4°C
Appropriate long-term storage conditions
+4°C
Storage information
Do Not Freeze

Product protocols

For this product, it's our understanding that no specific protocols are required. You can visit:

Target data

Catalyzes the formation of 2'-nucleotide products from 2',3'-cyclic substrates (By similarity). May participate in RNA metabolism in the myelinating cell, CNP is the third most abundant protein in central nervous system myelin (By similarity).
See full target information CNP

Publications (4)

Recent publications for all applications. Explore the full list and refine your search

Molecular neurobiology 59:6245-6259 PubMed35915387

2022

The Zinc Ionophore Clioquinol Reduces Parkinson's Disease Patient-Derived Brain Extracts-Induced Neurodegeneration.

Applications

Unspecified application

Species

Unspecified reactive species

Margaux Teil,Evelyne Doudnikoff,Marie-Laure Thiolat,Sylvain Bohic,Erwan Bezard,Benjamin Dehay

Brain : a journal of neurology 145:1001-1017 PubMed35285474

2022

Brain injections of glial cytoplasmic inclusions induce a multiple system atrophy-like pathology.

Applications

Unspecified application

Species

Unspecified reactive species

Margaux Teil,Sandra Dovero,Mathieu Bourdenx,Marie-Laure Arotcarena,Sandrine Camus,Gregory Porras,Marie-Laure Thiolat,Ines Trigo-Damas,Celine Perier,Cristina Estrada,Nuria Garcia-Carrillo,Michele Morari,Wassilios G Meissner,María Trinidad Herrero,Miquel Vila,Jose A Obeso,Erwan Bezard,Benjamin Dehay

Veterinary sciences 8: PubMed34941853

2021

Gene Silencing Promotes Apoptosis and Suppresses Proliferation of Heat-Stressed Bovine Granulosa Cells via Induction of Oxidative Stress.

Applications

Unspecified application

Species

Unspecified reactive species

Adnan Khan,Muhammad Zahoor Khan,Jinhuan Dou,Huitao Xu,Lei Liu,Huabin Zhu,Yachun Wang

Frontiers in bioengineering and biotechnology 9:762209 PubMed34869273

2021

Pilot Study Assessing the Impact of Intrathecal Administration of Variants AAV-PHP.B and AAV-PHP.eB on Brain Transduction in Adult Rhesus Macaques.

Applications

Unspecified application

Species

Unspecified reactive species

Marie-Laure Arotcarena,Sandra Dovero,Nathalie Biendon,Nathalie Dutheil,Vincent Planche,Erwan Bezard,Benjamin Dehay
View all publications

Product promise

We are committed to supporting your work with high-quality reagents, and we're here for you every step of the way. In the unlikely event that one of our products does not perform as expected, you're protected by our Product Promise.
For full details, please see our Terms & Conditions

Please note: All products are 'FOR RESEARCH USE ONLY. NOT FOR USE IN DIAGNOSTIC OR THERAPEUTIC PROCEDURES'.

For licensing inquiries, please contact partnerships@abcam.com