JavaScript is disabled in your browser. Please enable JavaScript to view this website.
AB282123

Anti-CNTF antibody [EPR24553-104] - BSA and Azide free

Be the first to review this product! Submit a review

|

(0 Publication)

Rabbit Recombinant Monoclonal CNTF antibody. Carrier free. Suitable for Flow Cyt (Intra), IP, WB, IHC-Fr, IHC-P and reacts with Rat, Mouse samples.

View Alternative Names

Ciliary neurotrophic factor, CNTF, Cntf

11 Images
Immunohistochemistry (Frozen sections) - Anti-CNTF antibody [EPR24553-104] - BSA and Azide free (AB282123)
  • IHC-Fr

Supplier Data

Immunohistochemistry (Frozen sections) - Anti-CNTF antibody [EPR24553-104] - BSA and Azide free (AB282123)

This data was developed using ab270992, the same antibody clone in a different buffer formulation.

Immunohistochemical analysis of 4% PFA-fixed, 0.2% Triton X-100 permeabilized frozen Mouse stomach tissue labeling CNTF with ab270992 at 1/100 dilution (4.81 ug/ml) followed by ab150077 Goat Anti-Rabbit IgG H&L (Alexa Fluor® 488) at 1/1000 dilution (Green). Negative control : No staining on mouse stomach (PMID : 12855189) is observed. The nuclear counterstain was DAPI (Blue).

Secondary antibody control : Secondary antibody is ab150077 Goat Anti-Rabbit IgG H&L (Alexa Fluor® 488) at 1/1000 dilution.

Heat mediated antigen retrieval using sodium citrate buffer (10mM citrate pH 6.0 + 0.05% Tween-20).

Immunohistochemistry (Formalin/PFA-fixed paraffin-embedded sections) - Anti-CNTF antibody [EPR24553-104] - BSA and Azide free (AB282123)
  • IHC-P

Supplier Data

Immunohistochemistry (Formalin/PFA-fixed paraffin-embedded sections) - Anti-CNTF antibody [EPR24553-104] - BSA and Azide free (AB282123)

This data was developed using ab270992, the same antibody clone in a different buffer formulation.

Immunohistochemical analysis of paraffin-embedded Mouse sciatic nerve tissue labelling CNTF with ab270992 at 1/500 dilution (0.962 ug/ml) followed by a ready to use LeicaDS9800 (Bond™ Polymer Refine Detection). Cytoplasmic staining in mouse sciatic nerve. The section was incubated with ab270992 for 30 mins at room temperature. The immunostaining was performed on a Leica Biosystems BOND® RX instrument. Counterstained with Hematoxylin.

Secondary antibody only control : Secondary antibody is a ready to use LeicaDS9800 (Bond™ Polymer Refine Detection).

Heat mediated antigen retrieval with Tris-EDTA buffer (pH 9.0, epitope retrieval solution2) for 20 mins.

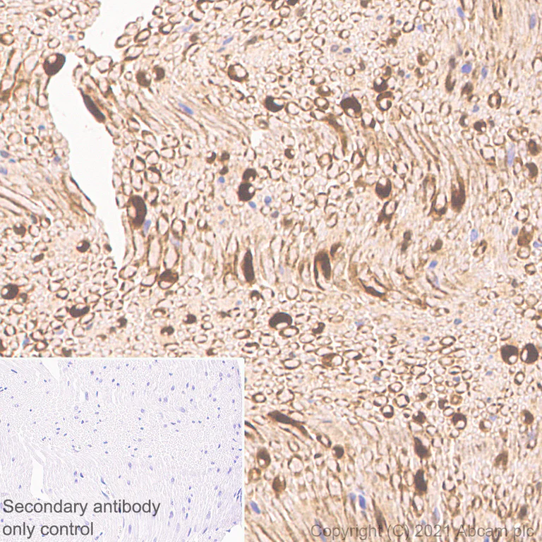
Immunohistochemistry (Formalin/PFA-fixed paraffin-embedded sections) - Anti-CNTF antibody [EPR24553-104] - BSA and Azide free (AB282123)
  • IHC-P

Supplier Data

Immunohistochemistry (Formalin/PFA-fixed paraffin-embedded sections) - Anti-CNTF antibody [EPR24553-104] - BSA and Azide free (AB282123)

This data was developed using ab270992, the same antibody clone in a different buffer formulation.

Immunohistochemical analysis of paraffin-embedded Rat sciatic nerve tissue labelling CNTF with ab270992 at 1/500 dilution (0.962 ug/ml) followed by a ready to use LeicaDS9800 (Bond™ Polymer Refine Detection). Cytoplasmic staining in rat sciatic nerve. The section was incubated with ab270992 for 30 mins at room temperature. The immunostaining was performed on a Leica Biosystems BOND® RX instrument. Counterstained with Hematoxylin.

Secondary antibody only control : Secondary antibody is a ready to use LeicaDS9800 (Bond™ Polymer Refine Detection).

Heat mediated antigen retrieval with Tris-EDTA buffer (pH 9.0, epitope retrieval solution2) for 20 mins.

Immunohistochemistry (Frozen sections) - Anti-CNTF antibody [EPR24553-104] - BSA and Azide free (AB282123)
  • IHC-Fr

Supplier Data

Immunohistochemistry (Frozen sections) - Anti-CNTF antibody [EPR24553-104] - BSA and Azide free (AB282123)

This data was developed using ab270992, the same antibody clone in a different buffer formulation.

Immunohistochemical analysis of 4% PFA-fixed, 0.2% Triton X-100 permeabilized frozen Rat sciatic nerve tissue labeling CNTF with ab270992 at 1/100 dilution (4.81 ug/ml) followed by ab150077 Goat Anti-Rabbit IgG H&L (Alexa Fluor® 488) at 1/1000 dilution (Green). Positive staining on rat sciatic nerve is observed. The nuclear counterstain was DAPI (Blue).

Secondary antibody control : Secondary antibody is ab150077 Goat Anti-Rabbit IgG H&L (Alexa Fluor® 488) at 1/1000 dilution.

Heat mediated antigen retrieval using sodium citrate buffer (10mM citrate pH 6.0 + 0.05% Tween-20).

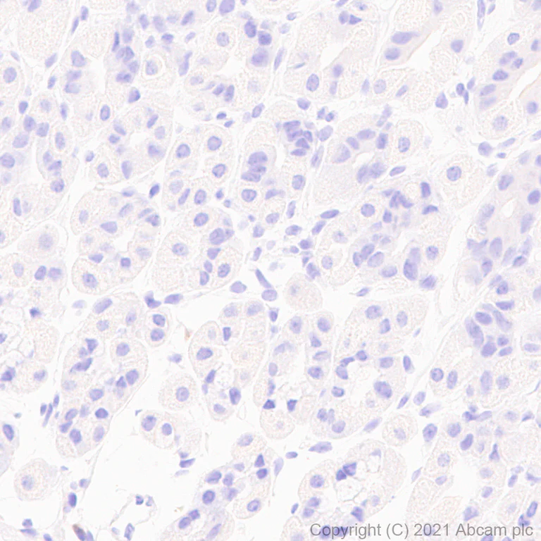
Immunohistochemistry (Formalin/PFA-fixed paraffin-embedded sections) - Anti-CNTF antibody [EPR24553-104] - BSA and Azide free (AB282123)
  • IHC-P

Supplier Data

Immunohistochemistry (Formalin/PFA-fixed paraffin-embedded sections) - Anti-CNTF antibody [EPR24553-104] - BSA and Azide free (AB282123)

This data was developed using ab270992, the same antibody clone in a different buffer formulation.

Immunohistochemical analysis of paraffin-embedded Mouse stomach tissue labelling CNTF with ab270992 at 1/500 dilution (0.962 ug/ml) followed by a ready to use LeicaDS9800 (Bond™ Polymer Refine Detection). Negative control : No staining in mouse stomach. The section was incubated with ab270992 for 30 mins at room temperature. The immunostaining was performed on a Leica Biosystems BOND® RX instrument. Counterstained with Hematoxylin.

Secondary antibody only control : Secondary antibody is a ready to use LeicaDS9800 (Bond™ Polymer Refine Detection).

Heat mediated antigen retrieval with Tris-EDTA buffer (pH 9.0, epitope retrieval solution2) for 20 mins.

Immunohistochemistry (Frozen sections) - Anti-CNTF antibody [EPR24553-104] - BSA and Azide free (AB282123)
  • IHC-Fr

Supplier Data

Immunohistochemistry (Frozen sections) - Anti-CNTF antibody [EPR24553-104] - BSA and Azide free (AB282123)

This data was developed using ab270992, the same antibody clone in a different buffer formulation.

Immunohistochemical analysis of 4% PFA-fixed, 0.2% Triton X-100 permeabilized frozen Mouse sciatic nerve tissue labeling CNTF with ab270992 at 1/100 dilution (4.81 ug/ml) followed by ab150077 Goat Anti-Rabbit IgG H&L (Alexa Fluor® 488) at 1/1000 dilution (Green). Positive staining on mouse sciatic nerve is observed. The nuclear counterstain was DAPI (Blue).

Secondary antibody control : Secondary antibody is ab150077 Goat Anti-Rabbit IgG H&L (Alexa Fluor® 488) at 1/1000 dilution.

Heat mediated antigen retrieval using sodium citrate buffer (10mM citrate pH 6.0 + 0.05% Tween-20).

Immunohistochemistry (Frozen sections) - Anti-CNTF antibody [EPR24553-104] - BSA and Azide free (AB282123)
  • IHC-Fr

Supplier Data

Immunohistochemistry (Frozen sections) - Anti-CNTF antibody [EPR24553-104] - BSA and Azide free (AB282123)

This data was developed using ab270992, the same antibody clone in a different buffer formulation.

Immunohistochemical analysis of 4% PFA-fixed, 0.2% Triton X-100 permeabilized frozen Rat stomach tissue labeling CNTF with ab270992 at 1/100 dilution (4.81 ug/ml) followed by ab150077 Goat Anti-Rabbit IgG H&L (Alexa Fluor® 488) at 1/1000 dilution (Green). Negative control : No staining on rat stomach (PMID : 12855189) is observed. The nuclear counterstain was DAPI (Blue).

Secondary antibody control : Secondary antibody is ab150077 Goat Anti-Rabbit IgG H&L (Alexa Fluor® 488) at 1/1000 dilution.

Heat mediated antigen retrieval using sodium citrate buffer (10mM citrate pH 6.0 + 0.05% Tween-20).

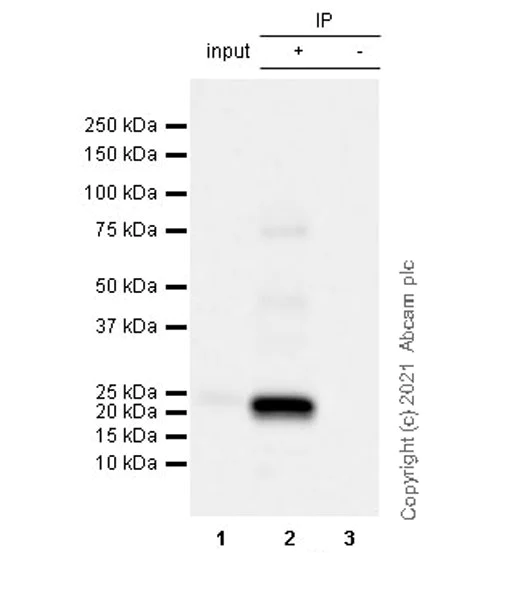
Immunoprecipitation - Anti-CNTF antibody [EPR24553-104] - BSA and Azide free (AB282123)
  • IP

Supplier Data

Immunoprecipitation - Anti-CNTF antibody [EPR24553-104] - BSA and Azide free (AB282123)

This data was developed using ab270992, the same antibody clone in a different buffer formulation.

CNTF was immunoprecipitated from 0.35 mg Mouse sciatic nerve lysate with ab270992 at 1/30 dilution (2ug in 0.35mg lysates). Western blot was performed on the immunoprecipitate using ab270992 at 1/1000 dilution. VeriBlot for IP secondary antibody(HRP)(ab131366) was used at 1/5000 dilution.

Lane 1 : Mouse sciatic nerve lysate 10ug

Lane 2 : ab270992 IP in Mouse sciatic nerve lysate

Lane 3 : Rabbit monoclonal IgG (ab172730) instead of ab270992 in mouse sciatic nerve lysate

Blocking and dilution buffer and concentration : 5% NFDM/TBST.

Exposure time : 10 seconds.

Bands at 37, 50KD are likely to be multimer forms of CNTF (PMID : 9236223).

All lanes:

Immunoprecipitation - Anti-CNTF antibody [EPR24553-104] (<a href='/en-us/products/primary-antibodies/cntf-antibody-epr24553-104-ab270992'>ab270992</a>)

Predicted band size: 23 kDa

Observed band size: 22 kDa,37 kDa,50 kDa

false

Immunoprecipitation - Anti-CNTF antibody [EPR24553-104] - BSA and Azide free (AB282123)
  • IP

Supplier Data

Immunoprecipitation - Anti-CNTF antibody [EPR24553-104] - BSA and Azide free (AB282123)

This data was developed using ab270992, the same antibody clone in a different buffer formulation.

CNTF was immunoprecipitated from 0.35 mg Rat sciatic nerve lysate with ab270992 at 1/30 dilution (2ug in 0.35mg lysates). Western blot was performed on the immunoprecipitate using ab270992 at 1/1000 dilution. VeriBlot for IP secondary antibody(HRP)(ab131366) was used at 1/5000 dilution.

Lane 1 : Rat sciatic nerve lysate 10ug

Lane 2 : ab270992 IP in Rat sciatic nerve lysate

Lane 3 : Rabbit monoclonal IgG (ab172730) instead of ab270992 in rat sciatic nerve lysate

Blocking and dilution buffer and concentration : 5% NFDM/TBST.

Exposure time : 10 seconds.

Bands at 40, 75KD are likely to be multimer forms of CNTF (PMID : 9236223).

All lanes:

Immunoprecipitation - Anti-CNTF antibody [EPR24553-104] (<a href='/en-us/products/primary-antibodies/cntf-antibody-epr24553-104-ab270992'>ab270992</a>)

Predicted band size: 23 kDa

Observed band size: 22 kDa,37 kDa,50 kDa

false

Western blot - Anti-CNTF antibody [EPR24553-104] - BSA and Azide free (AB282123)
  • WB

Lab

Western blot - Anti-CNTF antibody [EPR24553-104] - BSA and Azide free (AB282123)

This data was developed using ab270992, the same antibody clone in a different buffer formulation.

Blocking and diluting buffer and concentration : 5% NFDM/TBST.

Bands at 37, 50KD are likely to be multimer forms of CNTF (PMID : 9236223).

Negative control : Brain, stomach (PMID : 12855189).

Exposure time : 59 seconds.

All lanes:

Western blot - Anti-CNTF antibody [EPR24553-104] (<a href='/en-us/products/primary-antibodies/cntf-antibody-epr24553-104-ab270992'>ab270992</a>) at 1/1000 dilution

Lane 1:

Mouse sciatic nerve lysate at 20 µg

Lane 2:

Mouse brain lysate at 20 µg

Lane 3:

Mouse stomach lysate at 20 µg

Secondary

All lanes:

Western blot - Goat Anti-Rabbit IgG H&L (HRP) (<a href='/en-us/products/secondary-antibodies/goat-rabbit-igg-h-l-hrp-ab97051'>ab97051</a>) at 1/10000 dilution

Predicted band size: 23 kDa

Observed band size: 22 kDa,37 kDa,50 kDa

false

Western blot - Anti-CNTF antibody [EPR24553-104] - BSA and Azide free (AB282123)
  • WB

Lab

Western blot - Anti-CNTF antibody [EPR24553-104] - BSA and Azide free (AB282123)

This data was developed using ab270992, the same antibody clone in a different buffer formulation.

Blocking and diluting buffer and concentration : 5% NFDM/TBST.

Negative control : Stomach (PMID : 12855189).

Exposure time : 81 seconds.

All lanes:

Western blot - Anti-CNTF antibody [EPR24553-104] (<a href='/en-us/products/primary-antibodies/cntf-antibody-epr24553-104-ab270992'>ab270992</a>) at 1/1000 dilution

Lane 1:

Rat sciatic nerve lysate at 20 µg

Lane 2:

Rat spinal cord lysate at 20 µg

Lane 3:

Rat stomach lysate at 20 µg

Secondary

All lanes:

Western blot - Goat Anti-Rabbit IgG H&L (HRP) (<a href='/en-us/products/secondary-antibodies/goat-rabbit-igg-h-l-hrp-ab97051'>ab97051</a>) at 1/10000 dilution

Predicted band size: 23 kDa

Observed band size: 22 kDa

false

Key facts

Host species

Rabbit

Clonality

Monoclonal

Clone number

EPR24553-104

Isotype

IgG

Carrier free

Yes

Reacts with

Mouse, Rat

Applications

Flow Cyt (Intra), IHC-P, IP, WB, IHC-Fr

applications

Immunogen

The exact immunogen used to generate this antibody is proprietary information.

Reactivity data

{ "title": "Reactivity Data", "filters": { "stats": ["", "Species", "Dilution Info", "Notes"], "tabs": { "all-applications": {"fullname" : "All Applications", "shortname": "All Applications"}, "FlowCytIntra" : {"fullname" : "Flow Cytometry (Intracellular)", "shortname":"Flow Cyt (Intra)"}, "IP" : {"fullname" : "Immunoprecipitation", "shortname":"IP"}, "WB" : {"fullname" : "Western blot", "shortname":"WB"}, "IHCFr" : {"fullname" : "Immunohistochemistry (Frozen sections)", "shortname":"IHC-Fr"}, "IHCP" : {"fullname" : "Immunohistochemistry (Formalin/PFA-fixed paraffin-embedded sections)", "shortname":"IHC-P"} }, "product-promise": { "all": "all", "testedAndGuaranteed": "tested", "guaranteed": "expected", "predicted": "predicted", "notRecommended": "not-recommended" } }, "values": { "Mouse": { "FlowCytIntra-species-checked": "guaranteed", "FlowCytIntra-species-dilution-info": "", "FlowCytIntra-species-notes": "<p></p>", "IP-species-checked": "testedAndGuaranteed", "IP-species-dilution-info": "", "IP-species-notes": "<p></p>", "WB-species-checked": "testedAndGuaranteed", "WB-species-dilution-info": "", "WB-species-notes": "<p></p>", "IHCFr-species-checked": "testedAndGuaranteed", "IHCFr-species-dilution-info": "", "IHCFr-species-notes": "<p>Heat mediated antigen retrieval using sodium citrate buffer (10mM citrate pH 6.0 + 0.05% Tween-20).</p>", "IHCP-species-checked": "testedAndGuaranteed", "IHCP-species-dilution-info": "", "IHCP-species-notes": "<p></p>" }, "Rat": { "FlowCytIntra-species-checked": "testedAndGuaranteed", "FlowCytIntra-species-dilution-info": "", "FlowCytIntra-species-notes": "<p></p>", "IP-species-checked": "testedAndGuaranteed", "IP-species-dilution-info": "", "IP-species-notes": "<p></p>", "WB-species-checked": "testedAndGuaranteed", "WB-species-dilution-info": "", "WB-species-notes": "<p></p>", "IHCFr-species-checked": "testedAndGuaranteed", "IHCFr-species-dilution-info": "", "IHCFr-species-notes": "<p>Heat mediated antigen retrieval using sodium citrate buffer (10mM citrate pH 6.0 + 0.05% Tween-20).</p>", "IHCP-species-checked": "testedAndGuaranteed", "IHCP-species-dilution-info": "", "IHCP-species-notes": "<p></p>" } } }

Product details

ab282123 is the carrier-free version of ab270992.

Patented technology
Our RabMAb® technology is a patented hybridoma-based technology for making rabbit monoclonal antibodies. For details on our patents, please refer to RabMAb® patents.

What are the advantages of a recombinant monoclonal antibody?
This product is a recombinant monoclonal antibody, which offers several advantages including:

  • - High batch-to-batch consistency and reproducibility
  • - Improved sensitivity and specificity
  • - Long-term security of supply
  • - Animal-free batch production

For more information, read more on recombinant antibodies.

Conjugation ready
Our carrier-free antibodies are typically supplied in a PBS-only formulation, purified and free of BSA, sodium azide and glycerol. This conjugation-ready format is designed for use with fluorochromes, metal isotopes, oligonucleotides, and enzymes, which makes them ideal for antibody labelling, functional and cell-based assays, flow-based assays (e.g. mass cytometry) and Multiplex Imaging applications.

Use our conjugation kits for antibody conjugates that are ready-to-use in as little as 20 minutes with 1 minute hands-on-time and 100% antibody recovery: available for fluorescent dyes, HRP, biotin and gold.

Compatibility
This product is compatible with the Maxpar® Antibody Labeling Kit from Fluidigm, without the need for antibody preparation. Maxpar® is a trademark of Fluidigm Canada Inc.

Properties and storage information

Form
Liquid
Purification technique
Affinity purification Protein A
Storage buffer
Constituents: PBS
Shipped at conditions
Blue Ice
Appropriate short-term storage conditions
+4°C
Appropriate long-term storage conditions
+4°C

Product protocols

For this product, it's our understanding that no specific protocols are required. You can visit:

Target data

CNTF is a survival factor for various neuronal cell types. Seems to prevent the degeneration of motor axons after axotomy.
See full target information Cntf

Product promise

We are committed to supporting your work with high-quality reagents, and we're here for you every step of the way. In the unlikely event that one of our products does not perform as expected, you're protected by our Product Promise.
For full details, please see our Terms & Conditions

Please note: All products are 'FOR RESEARCH USE ONLY. NOT FOR USE IN DIAGNOSTIC OR THERAPEUTIC PROCEDURES'.

For licensing inquiries, please contact partnerships@abcam.com