JavaScript is disabled in your browser. Please enable JavaScript to view this website.
AB300185

Anti-Cofilin-1 antibody [EPR24514-8] - BSA and Azide free (Detector)

Be the first to review this product! Submit a review

|

(0 Publication)

Rabbit Recombinant Monoclonal Cofilin-1 antibody. Carrier free. Suitable for sELISA, WB, IHC-P, ICC/IF, IP and reacts with Human, Mouse, Rat samples.

View Alternative Names

CFL, CFL1, Cofilin-1, 18 kDa phosphoprotein, p18

9 Images
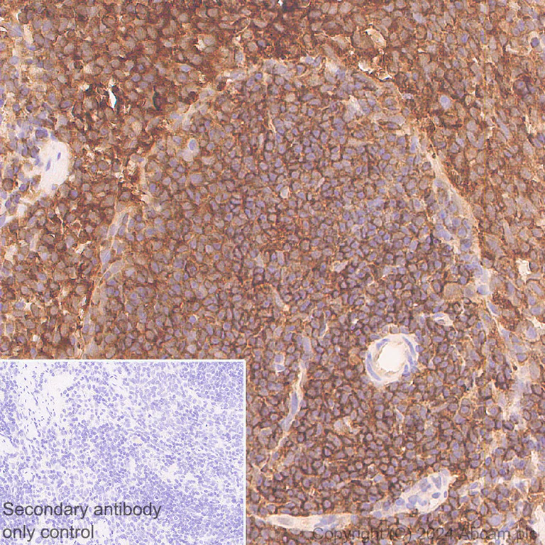
Immunohistochemistry (Formalin/PFA-fixed paraffin-embedded sections) - Anti-Cofilin-1 antibody [EPR24514-8] - BSA and Azide free (Detector) (AB300185)
  • IHC-P

Lab

Immunohistochemistry (Formalin/PFA-fixed paraffin-embedded sections) - Anti-Cofilin-1 antibody [EPR24514-8] - BSA and Azide free (Detector) (AB300185)

Immunohistochemical analysis of paraffin-embedded Human tonsil tissue labeling Cofilin-1 with ab300185 at 1/10000 (0.104 µg/ml) dilution, followed by a ready to use LeicaDS9800 (Bond™ Polymer Refine Detection).

Positive staining on human tonsil.
The section was incubated with ab300185 for 10 mins at room temperature.
The immunostaining was performed on a Leica Biosystems BOND® RX instrument
Counterstained with hematoxylin.

Secondary antibody only control : Secondary antibody is a ready to use a ready to use LeicaDS9800 (Bond™ Polymer Refine Detection).

Heat mediated antigen retrieval was performed with Citrate buffer (pH 6.0, Epitope Retrieval Solution 1) for 20 mins

Immunocytochemistry/ Immunofluorescence - Anti-Cofilin-1 antibody [EPR24514-8] - BSA and Azide free (Detector) (AB300185)
  • ICC/IF

Lab

Immunocytochemistry/ Immunofluorescence - Anti-Cofilin-1 antibody [EPR24514-8] - BSA and Azide free (Detector) (AB300185)

Immunofluorescent analysis of 4% Paraformaldehyde-fixed, 0.1% TritonX-100 permeabilized HeLa (human cervical adenocarcinoma epithelial cell) cells labelling Cofilin-1 with ab300185 at 1/100 (10.39 µg/ml) dilution, followed by ab150081 Goat Anti-Rabbit IgG H&L (Alexa Fluor® 488) preadsorbed antibody at 1/1000 (2 µg/ml) dilution (Green).

Confocal image showing cytoplasmic and nuclear staining in HeLa cell line (shown in green). The counterstain was observed in magenta. Nuclear DNA was labeled with DAPI (shown in blue).
Image was taken with a confocal microscope (Leica-Microsystems, TCS SP8).

ab195889 Anti-alpha Tubulin mouse monoclonal antibody - Microtubule Marker (Alexa Fluor® 594) was used to counterstain tubulin at 1/200 (2.5 µg/ml) dilution (Magenta).

Secondary antibody only control : Secondary antibody is ab150081 Goat Anti-Rabbit IgG H&L (Alexa Fluor® 488) preadsorbed at 1/1000 (2 µg/ml) dilution.

Sandwich ELISA - Anti-Cofilin-1 antibody [EPR24514-8] - BSA and Azide free (Detector) (AB300185)
  • sELISA

Supplier Data

Sandwich ELISA - Anti-Cofilin-1 antibody [EPR24514-8] - BSA and Azide free (Detector) (AB300185)

Sandwich ELISA of ab300183 with the capture antibody dilution at 2 µg/mL and detector antibody dilution at 0.5 µg/mL.

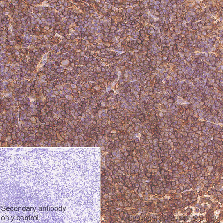
Immunohistochemistry (Formalin/PFA-fixed paraffin-embedded sections) - Anti-Cofilin-1 antibody [EPR24514-8] - BSA and Azide free (Detector) (AB300185)
  • IHC-P

Lab

Immunohistochemistry (Formalin/PFA-fixed paraffin-embedded sections) - Anti-Cofilin-1 antibody [EPR24514-8] - BSA and Azide free (Detector) (AB300185)

Immunohistochemical analysis of paraffin-embedded Rat spleen tissue labeling Cofilin-1 with ab300185 at 1/10000 (0.104 µg/ml) dilution, followed by a ready to use LeicaDS9800 (Bond™ Polymer Refine Detection).

Positive staining on rat spleen.
The section was incubated with ab300185 for 10 mins at room temperature.
The immunostaining was performed on a Leica Biosystems BOND® RX instrument
Counterstained with hematoxylin.

Secondary antibody only control : Secondary antibody is a ready to use a ready to use LeicaDS9800 (Bond™ Polymer Refine Detection).

Heat mediated antigen retrieval was performed with Citrate buffer (pH 6.0, Epitope Retrieval Solution 1) for 20 mins

Immunocytochemistry/ Immunofluorescence - Anti-Cofilin-1 antibody [EPR24514-8] - BSA and Azide free (Detector) (AB300185)
  • ICC/IF

Lab

Immunocytochemistry/ Immunofluorescence - Anti-Cofilin-1 antibody [EPR24514-8] - BSA and Azide free (Detector) (AB300185)

Immunofluorescent analysis of 4% Paraformaldehyde-fixed, 0.1% TritonX-100 permeabilized PC-12 (rat adrenal gland pheochromocytoma cell) cells labelling Cofilin-1 with ab300185 at 1/100 (10.39 µg/ml) dilution, followed by ab150081 Goat Anti-Rabbit IgG H&L (Alexa Fluor® 488) preadsorbed antibody at 1/1000 (2 µg/ml) dilution (Green).

Confocal image showing cytoplasmic and nuclear staining in PC-12 cell line (shown in green). The counterstain was observed in magenta. Nuclear DNA was labeled with DAPI (shown in blue).
Image was taken with a confocal microscope (Leica-Microsystems, TCS SP8).

ab195889 Anti-alpha Tubulin mouse monoclonal antibody - Microtubule Marker (Alexa Fluor® 594) was used to counterstain tubulin at 1/200 (2.5 µg/ml) dilution (Magenta).

Secondary antibody only control : Secondary antibody is ab150081 Goat Anti-Rabbit IgG H&L (Alexa Fluor® 488) preadsorbed at 1/1000 (2 µg/ml) dilution.

Immunocytochemistry/ Immunofluorescence - Anti-Cofilin-1 antibody [EPR24514-8] - BSA and Azide free (Detector) (AB300185)
  • ICC/IF

Lab

Immunocytochemistry/ Immunofluorescence - Anti-Cofilin-1 antibody [EPR24514-8] - BSA and Azide free (Detector) (AB300185)

Immunofluorescent analysis of 4% Paraformaldehyde-fixed, 0.1% TritonX-100 permeabilized NIH/3T3 (ouse embryonic fibroblast) cells labelling Cofilin-1 with ab300185 at 1/100 (10.39 µg/ml) dilution, followed by ab150081 Goat Anti-Rabbit IgG H&L (Alexa Fluor® 488) preadsorbed antibody at 1/1000 (2 µg/ml) dilution (Green).

Confocal image showing cytoplasmic and nuclear staining in NIH/3T3 cell line (shown in green). The counterstain was observed in magenta. Nuclear DNA was labeled with DAPI (shown in blue).
Image was taken with a confocal microscope (Leica-Microsystems, TCS SP8).

ab195889 Anti-alpha Tubulin mouse monoclonal antibody - Microtubule Marker (Alexa Fluor® 594) was used to counterstain tubulin at 1/200 (2.5 µg/ml) dilution (Magenta).

Secondary antibody only control : Secondary antibody is ab150081 Goat Anti-Rabbit IgG H&L (Alexa Fluor® 488) preadsorbed at 1/1000 (2 µg/ml) dilution.

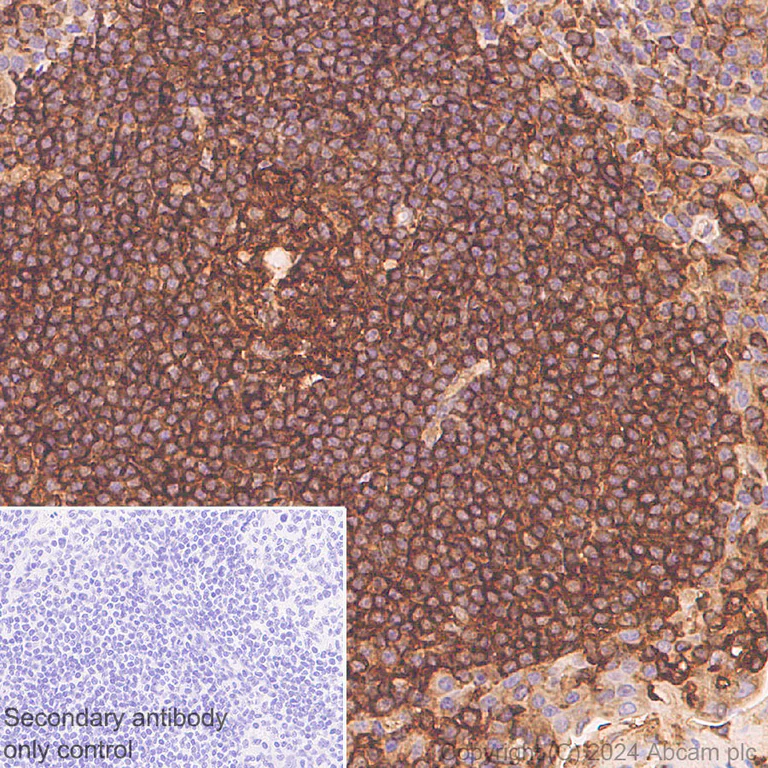
Immunohistochemistry (Formalin/PFA-fixed paraffin-embedded sections) - Anti-Cofilin-1 antibody [EPR24514-8] - BSA and Azide free (Detector) (AB300185)
  • IHC-P

Lab

Immunohistochemistry (Formalin/PFA-fixed paraffin-embedded sections) - Anti-Cofilin-1 antibody [EPR24514-8] - BSA and Azide free (Detector) (AB300185)

Immunohistochemical analysis of paraffin-embedded Mouse spleen tissue labeling Cofilin-1 with ab300185 at 1/10000 (0.104 µg/ml) dilution, followed by a ready to use LeicaDS9800 (Bond™ Polymer Refine Detection).

Positive staining on mouse spleen.
The section was incubated with ab300185 for 10 mins at room temperature.
The immunostaining was performed on a Leica Biosystems BOND® RX instrument
Counterstained with hematoxylin.

Secondary antibody only control : Secondary antibody is a ready to use a ready to use LeicaDS9800 (Bond™ Polymer Refine Detection).

Heat mediated antigen retrieval was performed with Citrate buffer (pH 6.0, Epitope Retrieval Solution 1) for 20 mins

Immunoprecipitation - Anti-Cofilin-1 antibody [EPR24514-8] - BSA and Azide free (Detector) (AB300185)
  • IP

Lab

Immunoprecipitation - Anti-Cofilin-1 antibody [EPR24514-8] - BSA and Azide free (Detector) (AB300185)

Cofilin-1 was immunoprecipitated from 0.35 mg NIH/3T3 (mouse embryonic fibroblast) whole cell lysate with ab300185 at 1/50 dilution (2µg in 0.35mg lysates). Western blot was performed on the immunoprecipitate using ab300185 at 1/1000 dilution.

Blocking and diluting buffer and concentration : 5% NFDM/TBST.

All lanes:

Immunoprecipitation - Anti-Cofilin-1 antibody [EPR24514-8] - BSA and Azide free (Detector) (ab300185) at 1/1000 dilution

Lane 1:

NIH/3T3 (mouse embryonic fibroblast) whole cell lysate at 10 µg

Lane 2:

NIH/3T3 (mouse embryonic fibroblast) whole cell lysate

Lane 3:

Rabbit monoclonal IgG (<a href='/en-us/products/primary-antibodies/rabbit-igg-monoclonal-epr25a-isotype-control-ab172730'>ab172730</a>) instead of ab300185 in NIH/3T3 whole cell lysate

Secondary

All lanes:

Immunoprecipitation - VeriBlot for IP Detection Reagent (HRP) (<a href='/en-us/products/reagents/veriblot-for-ip-detection-reagent-hrp-ab131366'>ab131366</a>) at 1/5000 dilution

Observed band size: 18 kDa

false

Exposure time: 8s

Western blot - Anti-Cofilin-1 antibody [EPR24514-8] - BSA and Azide free (Detector) (AB300185)
  • WB

Lab

Western blot - Anti-Cofilin-1 antibody [EPR24514-8] - BSA and Azide free (Detector) (AB300185)

Blocking and diluting buffer and concentration : 5% NFDM/TBST.

To minimize protein degradation, cells/tissues were lysed immediately after harvest and then applied to a gel and transfer membrane for Western blotting as soon as possible.

All lanes:

Western blot - Anti-Cofilin-1 antibody [EPR24514-8] - BSA and Azide free (Detector) (ab300185) at 1/1000 dilution

Lane 1:

HeLa (human cervical adenocarcinoma epithelial cell) whole cell lysate at 20 µg

Lane 2:

293T (human embryonic kidney epithelial cell) whole cell lysate at 20 µg

Lane 3:

NIH/3T3 (mouse embryonic fibroblast) whole cell lysate at 20 µg

Lane 4:

PC-12 (rat adrenal gland pheochromocytoma cell) whole cell lysate at 20 µg

Secondary

All lanes:

Western blot - Goat Anti-Rabbit IgG H&L (HRP) (<a href='/en-us/products/secondary-antibodies/goat-rabbit-igg-h-l-hrp-ab97051'>ab97051</a>) at 1/20000 dilution

Observed band size: 18 kDa

false

Exposure time: 1s

Key facts

Host species

Rabbit

Clonality

Monoclonal

Clone number

EPR24514-8

Isotype

IgG

Carrier free

Yes

Reacts with

Human, Mouse, Rat

Applications

sELISA, ICC/IF, WB, IHC-P, IP

applications

Immunogen

The exact immunogen used to generate this antibody is proprietary information.

Specificity

Unsuitable for human and rat IP.

Reactivity data

{ "title": "Reactivity Data", "filters": { "stats": ["", "Species", "Dilution Info", "Notes"], "tabs": { "all-applications": {"fullname" : "All Applications", "shortname": "All Applications"}, "sELISA" : {"fullname" : "Sandwich ELISA", "shortname":"sELISA"}, "WB" : {"fullname" : "Western blot", "shortname":"WB"}, "IHCP" : {"fullname" : "Immunohistochemistry (Formalin/PFA-fixed paraffin-embedded sections)", "shortname":"IHC-P"}, "ICCIF" : {"fullname" : "Immunocytochemistry/ Immunofluorescence", "shortname":"ICC/IF"}, "IP" : {"fullname" : "Immunoprecipitation", "shortname":"IP"} }, "product-promise": { "all": "all", "testedAndGuaranteed": "tested", "guaranteed": "expected", "predicted": "predicted", "notRecommended": "not-recommended" } }, "values": { "Human": { "sELISA-species-checked": "guaranteed", "sELISA-species-dilution-info": "", "sELISA-species-notes": "<p></p>", "WB-species-checked": "testedAndGuaranteed", "WB-species-dilution-info": "1/1000", "WB-species-notes": "<p></p>", "IHCP-species-checked": "testedAndGuaranteed", "IHCP-species-dilution-info": "1/10000", "IHCP-species-notes": "<p></p>", "ICCIF-species-checked": "testedAndGuaranteed", "ICCIF-species-dilution-info": "1/100", "ICCIF-species-notes": "<p></p>", "IP-species-checked": "notRecommended", "IP-species-dilution-info": "", "IP-species-notes": "<p></p>" }, "Mouse": { "sELISA-species-checked": "guaranteed", "sELISA-species-dilution-info": "", "sELISA-species-notes": "<p></p>", "WB-species-checked": "testedAndGuaranteed", "WB-species-dilution-info": "1/1000", "WB-species-notes": "<p></p>", "IHCP-species-checked": "testedAndGuaranteed", "IHCP-species-dilution-info": "1/10000", "IHCP-species-notes": "<p></p>", "ICCIF-species-checked": "testedAndGuaranteed", "ICCIF-species-dilution-info": "1/100", "ICCIF-species-notes": "<p></p>", "IP-species-checked": "testedAndGuaranteed", "IP-species-dilution-info": "1/50", "IP-species-notes": "<p></p>" }, "Rat": { "sELISA-species-checked": "guaranteed", "sELISA-species-dilution-info": "", "sELISA-species-notes": "<p></p>", "WB-species-checked": "testedAndGuaranteed", "WB-species-dilution-info": "1/1000", "WB-species-notes": "<p></p>", "IHCP-species-checked": "testedAndGuaranteed", "IHCP-species-dilution-info": "1/10000", "IHCP-species-notes": "<p></p>", "ICCIF-species-checked": "testedAndGuaranteed", "ICCIF-species-dilution-info": "1/100", "ICCIF-species-notes": "<p></p>", "IP-species-checked": "notRecommended", "IP-species-dilution-info": "", "IP-species-notes": "<p></p>" } } }

Product details

Sandwich ELISA
The recommended antibody orientation is based on internal optimization for ELISA-based assays. Antibody orientation is assay dependent and needs to be optimized for each assay type. Please note that the range provided for this antibody is only an estimation based on the performance of the product using the recommended antibody pair. Performance of the antibody pair will depend on the specific characteristics of your assay. We guarantee the product works in sandwich ELISA, but we do not guarantee the sensitivity or dynamic range of the antibody in your assay.

Patented technology
Our RabMAb® technology is a patented hybridoma-based technology for making rabbit monoclonal antibodies. For details on our patents, please refer to RabMAb® patents.

What are the advantages of a recombinant monoclonal antibody?
This product is a recombinant monoclonal antibody, which offers several advantages including:

  • - High batch-to-batch consistency and reproducibility
  • - Improved sensitivity and specificity
  • - Long-term security of supply
  • - Animal-free batch production

For more information, read more on recombinant antibodies.

Conjugation ready
Our carrier-free antibodies are typically supplied in a PBS-only formulation, purified and free of BSA, sodium azide and glycerol. This conjugation-ready format is designed for use with fluorochromes, metal isotopes, oligonucleotides, and enzymes, which makes them ideal for antibody labelling, functional and cell-based assays, flow-based assays (e.g. mass cytometry) and Multiplex Imaging applications.

Use our conjugation kits for antibody conjugates that are ready-to-use in as little as 20 minutes with 1 minute hands-on-time and 100% antibody recovery: available for fluorescent dyes, HRP, biotin and gold.

Properties and storage information

Form
Liquid
Storage buffer
pH: 7.2 - 7.4 Constituents: PBS
Shipped at conditions
Blue Ice
Appropriate short-term storage conditions
+4°C
Appropriate long-term storage conditions
+4°C

Supplementary information

This supplementary information is collated from multiple sources and compiled automatically.

Cofilin-1 also known just as cofilin is a small actin-modulating protein with a molecular weight of approximately 19 kDa. It is part of the actin chemical structure regulation and plays an important role in actin filament dynamics by severing and depolymerizing actin filaments. Cofilin-1 expresses widely in both muscle and non-muscle tissues modulating the actin cytoskeleton which is critical for cell movement shape and various signaling pathways. The phosphorylated form of this protein known as phospho-cofilin or p-cofilin is another significant state to consider.
Biological function summary

Through its interaction with actin filaments cofilin-1 functions to regulate the length and turnover of the actin cytoskeleton within cells. Cofilin-1 is part of a critical complex where it binds to actin monomers and filaments to facilitate the disassembly and recycling of actin. This regulation impacts cellular activities such as migration endocytosis and division influencing how cells respond to internal and external signals. Cofilin-1's ability to bind and sever actin filaments forms an important part of its functional mechanism altering the cytoskeletal architecture for various cellular processes.

Pathways

Cofilin-1 participates principally in the actin dynamics component of the cytoskeleton remodeling pathway. Within this framework cofilin-1 acts alongside other proteins like actin-depolymerizing factor (ADF) and tropomyosin influencing assembly and disassembly cycles of actin filaments. The Rho family of GTPases regulates cofilin-1 activity through signaling pathways such as the Rho/ROCK/LIMK pathway. This signaling regulation affects actin filament organization impacting cellular processes like axonal guidance and directed cell movement.

There is a strong connection between cofilin-1 dysregulation and neurodegenerative diseases such as Alzheimer's disease and certain types of cancer. In Alzheimer's disease cofilin-1 activity influenced by abnormal cofilin phosphorylation forms part of the pathological mechanisms that lead to synaptic dysfunction and neurofibrillary tangles. In the context of cancer cofilin-1 collaborates with proteins such as RhoA and LIM kinase contributing to cancer cell invasion and metastasis by reorganizing the actin cytoskeleton to facilitate cell motility. Understanding these interactions helps in targeting therapeutic strategies against these conditions.

Product protocols

For this product, it's our understanding that no specific protocols are required. You can visit:

Target data

Binds to F-actin and exhibits pH-sensitive F-actin depolymerizing activity (PubMed : 11812157). In conjunction with the subcortical maternal complex (SCMC), plays an essential role for zygotes to progress beyond the first embryonic cell divisions via regulation of actin dynamics (PubMed : 15580268). Required for the centralization of the mitotic spindle and symmetric division of zygotes (By similarity). Plays a role in the regulation of cell morphology and cytoskeletal organization in epithelial cells (PubMed : 21834987). Required for the up-regulation of atypical chemokine receptor ACKR2 from endosomal compartment to cell membrane, increasing its efficiency in chemokine uptake and degradation (PubMed : 23633677). Required for neural tube morphogenesis and neural crest cell migration (By similarity).
See full target information CFL1

Product promise

We are committed to supporting your work with high-quality reagents, and we're here for you every step of the way. In the unlikely event that one of our products does not perform as expected, you're protected by our Product Promise.
For full details, please see our Terms & Conditions

Please note: All products are 'FOR RESEARCH USE ONLY. NOT FOR USE IN DIAGNOSTIC OR THERAPEUTIC PROCEDURES'.

For licensing inquiries, please contact partnerships@abcam.com