JavaScript is disabled in your browser. Please enable JavaScript to view this website.
AB96678

Anti-Cofilin 2 antibody

Be the first to review this product! Submit a review

|

(6 Publications)

Rabbit Polyclonal Cofilin 2 antibody. Suitable for WB, IHC-P, ICC/IF and reacts with Human samples. Cited in 6 publications. Immunogen corresponding to Synthetic Peptide within Human CFL2 aa 50 to C-terminus.

View Alternative Names

Cofilin-2, CFL2

3 Images
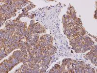
Immunohistochemistry (Formalin/PFA-fixed paraffin-embedded sections) - Anti-Cofilin 2 antibody (AB96678)
  • IHC-P

Unknown

Immunohistochemistry (Formalin/PFA-fixed paraffin-embedded sections) - Anti-Cofilin 2 antibody (AB96678)

Immunohistochemistry analysis of paraffin-embedded gastric carcinoma, using ab96678 at 1/100 dilution.

Immunocytochemistry/ Immunofluorescence - Anti-Cofilin 2 antibody (AB96678)
  • ICC/IF

Unknown

Immunocytochemistry/ Immunofluorescence - Anti-Cofilin 2 antibody (AB96678)

Immunofluorescence analysis of paraformaldehyde-fixed HeLa cells, using ab96678 at 1/200 dilution.

Western blot - Anti-Cofilin 2 antibody (AB96678)
  • WB

Unknown

Western blot - Anti-Cofilin 2 antibody (AB96678)

12% SDS Page

All lanes:

Western blot - Anti-Cofilin 2 antibody (ab96678) at 1/1000 dilution

All lanes:

Raji whole cell lysate at 30 µg

Predicted band size: 19 kDa

false

Key facts

Host species

Rabbit

Clonality

Polyclonal

Isotype

IgG

Carrier free

No

Reacts with

Human

Applications

IHC-P, ICC/IF, WB

applications

Immunogen

Synthetic Peptide within Human CFL2 aa 50 to C-terminus. The exact immunogen used to generate this antibody is proprietary information.

Q9Y281

Reactivity data

{ "title": "Reactivity Data", "filters": { "stats": ["", "Species", "Dilution Info", "Notes"], "tabs": { "all-applications": {"fullname" : "All Applications", "shortname": "All Applications"}, "WB" : {"fullname" : "Western blot", "shortname":"WB"}, "IHCP" : {"fullname" : "Immunohistochemistry (Formalin/PFA-fixed paraffin-embedded sections)", "shortname":"IHC-P"}, "ICCIF" : {"fullname" : "Immunocytochemistry/ Immunofluorescence", "shortname":"ICC/IF"} }, "product-promise": { "all": "all", "testedAndGuaranteed": "tested", "guaranteed": "expected", "predicted": "predicted", "notRecommended": "not-recommended" } }, "values": { "Human": { "WB-species-checked": "testedAndGuaranteed", "WB-species-dilution-info": "1/500 - 1/3000", "WB-species-notes": "<p></p>", "IHCP-species-checked": "testedAndGuaranteed", "IHCP-species-dilution-info": "1/100 - 1/1000", "IHCP-species-notes": "<p></p>", "ICCIF-species-checked": "testedAndGuaranteed", "ICCIF-species-dilution-info": "1/100 - 1/1000", "ICCIF-species-notes": "<p></p>" } } }

Properties and storage information

Form
Liquid
Purification technique
Affinity purification Immunogen
Storage buffer
pH: 7 Preservative: 0.01% Thimerosal (merthiolate) Constituents: PBS, 20% Glycerol (glycerin, glycerine)
Shipped at conditions
Blue Ice
Appropriate short-term storage conditions
+4°C
Appropriate long-term storage conditions
-20°C
Aliquoting information
Upon delivery aliquot
Storage information
Avoid freeze / thaw cycle

Supplementary information

This supplementary information is collated from multiple sources and compiled automatically.

Cofilin 2 also referred to as CFL2 is an actin-binding protein that plays a significant role in actin dynamics by disassembling actin filaments. It has a molecular mass of approximately 19 kDa. This protein is expressed predominantly in muscle tissues including skeletal and cardiac muscle. Cofilin 2 is integral in the maintenance and reorganization of the actin cytoskeleton facilitating cellular movement and shape changes.
Biological function summary

Cofilin 2 is involved in processes including muscle contraction and cytoskeletal organization. It participates in the depolymerization of actin filaments thereby accelerating filament turnover and recycling. It does not function in isolation but interacts with several proteins in the cytoskeleton forming a complex interplay that modulates actin filament dynamics. Its activity is regulated by phosphorylation with specific kinases and phosphatases modulating its function based on cellular signals.

Pathways

Cofilin 2 is an important element of the actin reorganization pathway and is involved in the Rho family GTPase signaling pathway. It works closely with proteins like LIM kinase which phosphorylates cofilin and inhibits its activity and slingshot phosphatase which dephosphorylates and activates it. This regulation ensures proper actin filament dynamics which is essential for processes like cell division migration and muscle function.

Cofilin 2 mutations have been associated with nemaline myopathy a muscle disorder characterized by muscle weakness. This disorder often involves abnormalities in the neuromuscular junction where cofilin 2 interacts with actin and related proteins like tropomyosin affecting muscle contraction. Additionally altered cofilin 2 expression links to cardiac complications due to its role in cardiac muscle maintenance and actin filament dynamics.

Product protocols

For this product, it's our understanding that no specific protocols are required. You can visit:

Target data

Controls reversibly actin polymerization and depolymerization in a pH-sensitive manner. Its F-actin depolymerization activity is regulated by association with CSPR3 (PubMed : 19752190). It has the ability to bind G- and F-actin in a 1 : 1 ratio of cofilin to actin. It is the major component of intranuclear and cytoplasmic actin rods. Required for muscle maintenance. May play a role during the exchange of alpha-actin forms during the early postnatal remodeling of the sarcomere (By similarity).
See full target information CFL2

Publications (6)

Recent publications for all applications. Explore the full list and refine your search

Cell reports 43:113784 PubMed38386560

2024

Single-cell spatial transcriptomic and translatomic profiling of dopaminergic neurons in health, aging, and disease.

Applications

Unspecified application

Species

Unspecified reactive species

Peter Kilfeather,Jia Hui Khoo,Katherina Wagner,Han Liang,Maria Claudia Caiazza,Yanru An,Xingju Zhang,Xiaoyan Chen,Natalie Connor-Robson,Zhouchun Shang,Richard Wade-Martins

OncoTargets and therapy 14:83-95 PubMed33442268

2021

Circ_0006404 Accelerates Prostate Cancer Progression Through Regulating miR-1299/CFL2 Signaling.

Applications

Unspecified application

Species

Unspecified reactive species

Peihuan Li,Zhijie Wang,Shuai Li,Liuxing Wang

Stem cell research & therapy 10:349 PubMed31775893

2019

Flow-enhanced priming of hESCs through H2B acetylation and chromatin decondensation.

Applications

Unspecified application

Species

Unspecified reactive species

Jiawen Wang,Yi Wu,Xiao Zhang,Fan Zhang,Dongyuan Lü,Bing Shangguan,Yuxin Gao,Mian Long

Biochemical and biophysical research communications 520:586-593 PubMed31623830

2019

Long noncoding RNA SOX2-OT facilitates prostate cancer cell proliferation and migration via miR-369-3p/CFL2 axis.

Applications

Unspecified application

Species

Unspecified reactive species

Qijun Wo,Dahong Zhang,Linyi Hu,Jia Lyu,Fei Xiang,Wei Zheng,Jiafeng Shou,Xiaolong Qi

Medical science monitor : international medical jo 24:2317-2329 PubMed29664897

2018

Cofilin-2 Acts as a Marker for Predicting Radiotherapy Response and Is a Potential Therapeutic Target in Nasopharyngeal Carcinoma.

Applications

Unspecified application

Species

Unspecified reactive species

Bin-Bin Yu,Guo-Xiang Lin,Ling Li,Song Qu,Zhong-Guo Liang,Kai-Hua Chen,Lei Zhou,Qi-Teng Lu,Yong-Chu Sun,Xiao-Dong Zhu

eLife 3:e01964 PubMed24859754

2014

miR-142 orchestrates a network of actin cytoskeleton regulators during megakaryopoiesis.

Applications

WB

Species

Unspecified reactive species

Elik Chapnik,Natalia Rivkin,Alexander Mildner,Gilad Beck,Ronit Pasvolsky,Eyal Metzl-Raz,Yehudit Birger,Gail Amir,Itay Tirosh,Ziv Porat,Liron L Israel,Emmanuel Lellouche,Shulamit Michaeli,Jean-Paul M Lellouche,Shai Izraeli,Steffen Jung,Eran Hornstein
View all publications

Product promise

We are committed to supporting your work with high-quality reagents, and we're here for you every step of the way. In the unlikely event that one of our products does not perform as expected, you're protected by our Product Promise.
For full details, please see our Terms & Conditions

Please note: All products are 'FOR RESEARCH USE ONLY. NOT FOR USE IN DIAGNOSTIC OR THERAPEUTIC PROCEDURES'.

For licensing inquiries, please contact partnerships@abcam.com