JavaScript is disabled in your browser. Please enable JavaScript to view this website.
AB42824

Anti-Cofilin antibody - Loading Control

5

(9 Reviews)

|

(94 Publications)

Anti-Cofilin antibody (ab42824) is a rabbit polyclonal antibody detecting Cofilin-1 in Western Blot, IHC-P, ICC/IF. Suitable for Human, Mouse, Rat.

- Over 80 publications
- Trusted since 2007

View Alternative Names

CFL, CFL1, Cofilin-1, 18 kDa phosphoprotein, p18

8 Images
Western blot - Anti-Cofilin antibody - Loading Control (AB42824)
  • WB

Project

Western blot - Anti-Cofilin antibody - Loading Control (AB42824)

All lanes:

Western blot - Anti-Cofilin antibody - Loading Control (ab42824) at 1 µg/mL

Lane 1:

HeLa (Human epithelial carcinoma cell line) Whole Cell Lysate at 10 µg

Lane 2:

Jurkat (Human T cell lymphoblast-like cell line) Whole Cell Lysate at 10 µg

Lane 3:

A431 (Human epithelial carcinoma cell line) Whole Cell Lysate at 10 µg

Lane 4:

HEK293 Human embryonic kidney cell line Whole Cell Lysate at 10 µg

Lane 5:

MCF7 (Human breast adenocarcinoma cell line) Whole Cell Lysate at 10 µg

Lane 6:

SHSY-5Y (Human neuroblastoma cell line) Whole Cell Lysate at 10 µg

Secondary

All lanes:

IRDye 680 Conjugated Goat Anti-Rabbit IgG (H+L) at 1/10000 dilution

Predicted band size: 18 kDa

Observed band size: 20 kDa

false

Immunocytochemistry/ Immunofluorescence - Anti-Cofilin antibody - Loading Control (AB42824)
  • ICC/IF

Supplier Data

Immunocytochemistry/ Immunofluorescence - Anti-Cofilin antibody - Loading Control (AB42824)

Immunofluorescent analysis of 4% Paraformaldehyde-fixed, 0.1% TritonX-100 permeabilized HeLa (human cervical adenocarcinoma epithelial cell) cells labelling Cofilin with ab319061 at 1/500 dilution, followed by ab150081 Goat Anti-Rabbit IgG H&L (Alexa Fluor® 488) preadsorbed antibody at 1/1000 dilution (Green). Confocal image showing cytoplasmic and weak nuclear staining in HeLa cell line (shown in green). The counterstain was observed in magenta. Nuclear DNA was labeled with DAPI (shown in blue). Left Panel is applied with Anti-Cofilin antibody [RM1210] (ab319061) at 1/500 dilution (1.036 ug/ml); Right panel is applied with Anti-Cofilin antibody (ab42824) at 1/100 dilution (5.18 ug/ml). Image was taken with a confocal microscope (Leica-Microsystems, TCS SP8). ab195889 Anti-alpha Tubulin mouse monoclonal antibody - Microtubule Marker (Alexa Fluor® 594) was used to counterstain tubulin at 1/200 dilution (Magenta). The Nuclear counterstain was DAPI (Blue). Secondary antibody only control : Secondary antibody is ab150081 Goat Anti-Rabbit IgG H&L (Alexa Fluor® 488) preadsorbed at 1/1000 dilution.

Immunocytochemistry/ Immunofluorescence - Anti-Cofilin antibody - Loading Control (AB42824)
  • ICC/IF

Lab

Immunocytochemistry/ Immunofluorescence - Anti-Cofilin antibody - Loading Control (AB42824)

ab42824 staining Cofilin in HeLa cells. The cells were fixed with 4% paraformaldehyde (10 min), permeabilized with 0.1% PBS-Triton X-100 for 5 minutes and then blocked with 1% BSA/10% normal goat serum/0.3M glycine in 0.1%PBS-Tween for 1h. The cells were then incubated overnight at 4°C with ab42824 at 5µg/ml and ab7291, Mouse monoclonal [DM1A] to alpha Tubulin - Loading Control. Cells were then incubated with ab150081, Goat polyclonal Secondary Antibody to Rabbit IgG - H&L (Alexa Fluor® 488), pre-adsorbed at 1/1000 dilution (shown in green) and ab150120, Goat polyclonal Secondary Antibody to Mouse IgG - H&L (Alexa Fluor® 594), pre-adsorbed at 1/1000 dilution (shown in pseudocolour red). Nuclear DNA was labelled with DAPI (shown in blue).

Also suitable in cells fixed with 100% methanol (5 min).

Image was acquired with a high-content analyser (Operetta CLS, Perkin Elmer) and a maximum intensity projection of confocal sections is shown.

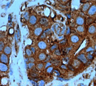
Immunohistochemistry (Formalin/PFA-fixed paraffin-embedded sections) - Anti-Cofilin antibody - Loading Control (AB42824)
  • IHC-P

Unknown

Immunohistochemistry (Formalin/PFA-fixed paraffin-embedded sections) - Anti-Cofilin antibody - Loading Control (AB42824)

IHC image of Cofilin staining in human breast carcinoma FFPE section, performed on a BondTM system using the standard protocol F. The section was pre-treated using heat mediated antigen retrieval with sodium citrate buffer (pH6, epitope retrieval solution 1) for 20 mins. The section was then incubated with ab42824, 1µg/ml, for 8 mins at room temperature and detected using an HRP conjugated compact polymer system. DAB was used as the chromogen. The section was then counterstained with haematoxylin and mounted with DPX.

Immunocytochemistry/ Immunofluorescence - Anti-Cofilin antibody - Loading Control (AB42824)
  • ICC/IF

Supplier Data

Immunocytochemistry/ Immunofluorescence - Anti-Cofilin antibody - Loading Control (AB42824)

Immunofluorescent analysis of 4% Paraformaldehyde-fixed, 0.1% TritonX-100 permeabilized PC-12 (rat adrenal gland pheochromocytoma cell) cells labelling Cofilin with ab319061 at 1/500 dilution, followed by ab150081 Goat Anti-Rabbit IgG H&L (Alexa Fluor® 488) preadsorbed antibody at 1/1000 dilution (Green). Confocal image showing cytoplasmic and weak nuclear staining in PC-12 cell line (shown in green). The counterstain was observed in magenta. Nuclear DNA was labeled with DAPI (shown in blue). Left Panel is applied with Anti-Cofilin antibody [RM1210] (ab319061) at 1/500 dilution (1.036 ug/ml); Right panel is applied with Anti-Cofilin antibody (ab42824) at 1/100 dilution (5.18 ug/ml). Image was taken with a confocal microscope (Leica-Microsystems, TCS SP8). ab195889 Anti-alpha Tubulin mouse monoclonal antibody - Microtubule Marker (Alexa Fluor® 594) was used to counterstain tubulin at 1/200 dilution (Magenta). The Nuclear counterstain was DAPI (Blue). Secondary antibody only control : Secondary antibody is ab150081 Goat Anti-Rabbit IgG H&L (Alexa Fluor® 488) preadsorbed at 1/1000 dilution.

Immunocytochemistry/ Immunofluorescence - Anti-Cofilin antibody - Loading Control (AB42824)
  • ICC/IF

Supplier Data

Immunocytochemistry/ Immunofluorescence - Anti-Cofilin antibody - Loading Control (AB42824)

Immunofluorescent analysis of 4% Paraformaldehyde-fixed, 0.1% TritonX-100 permeabilized NIH/3T3 (mouse embryonic fibroblast) cells labelling Cofilin with ab319061 at 1/500 dilution, followed by ab150081 Goat Anti-Rabbit IgG H&L (Alexa Fluor® 488) preadsorbed antibody at 1/1000 dilution (Green). Confocal image showing cytoplasmic and weak nuclear staining in NIH/3T3 cell line (shown in green). The counterstain was observed in magenta. Nuclear DNA was labeled with DAPI (shown in blue). Left Panel is applied with Anti-Cofilin antibody [RM1210] (ab319061) at 1/500 dilution (1.036 ug/ml); Right panel is applied with Anti-Cofilin antibody (ab42824) at 1/100 dilution (5.18 ug/ml). Image was taken with a confocal microscope (Leica-Microsystems, TCS SP8). ab195889 Anti-alpha Tubulin mouse monoclonal antibody - Microtubule Marker (Alexa Fluor® 594) was used to counterstain tubulin at 1/200 dilution (Magenta). The Nuclear counterstain was DAPI (Blue). Secondary antibody only control : Secondary antibody is ab150081 Goat Anti-Rabbit IgG H&L (Alexa Fluor® 488) preadsorbed at 1/1000 dilution.

Western blot - Anti-Cofilin antibody - Loading Control (AB42824)
  • WB

Unknown

Western blot - Anti-Cofilin antibody - Loading Control (AB42824)

This blot was produced using a 4-12% Bis-tris gel under the MES buffer system. The gel was run at 200V for 35 minutes before being transferred onto a Nitrocellulose membrane at 30V for 70 minutes. The membrane was then blocked for an hour using 2% Bovine Serum Albumin before being incubated with ab42824 overnight at 4°C. Antibody binding was detected using an anti-rabbit antibody conjugated to HRP, and visualised using ECL development solution.

All lanes:

Western blot - Anti-Cofilin antibody - Loading Control (ab42824) at 1 µg/mL

Lane 1:

PC12 (Rat adrenal pheochromocytoma cell line) Whole Cell Lysate at 10 µg

Lane 2:

NIH 3T3 (Mouse embryonic fibroblast cell line) Whole Cell Lysate at 10 µg

Secondary

All lanes:

Western blot - Goat Anti-Rabbit IgG H&L (HRP) (<a href='/en-us/products/secondary-antibodies/goat-rabbit-igg-h-l-hrp-ab97051'>ab97051</a>) at 1/10000 dilution

Predicted band size: 18 kDa

Observed band size: 20 kDa

true

Exposure time: 30s

Western blot - Anti-Cofilin antibody - Loading Control (AB42824)
  • WB

Unknown

Western blot - Anti-Cofilin antibody - Loading Control (AB42824)

All lanes:

Western blot - Anti-Cofilin antibody - Loading Control (ab42824) at 1 µg/mL

All lanes:

Western blot - Recombinant Human Cofilin protein (His tag N-Terminus) (<a href='/en-us/products/proteins-peptides/recombinant-human-cofilin-protein-ab62958'>ab62958</a>) at 0.01 µg

Secondary

All lanes:

Western blot - Goat Anti-Rabbit IgG H&L (HRP) preadsorbed (<a href='/en-us/products/secondary-antibodies/goat-rabbit-igg-h-l-hrp-preadsorbed-ab97080'>ab97080</a>) at 1/5000 dilution

Predicted band size: 18 kDa

true

Exposure time: 30s

Key facts

Host species

Rabbit

Clonality

Polyclonal

Isotype

IgG

Carrier free

No

Reacts with

Mouse, Rat, Human

Applications

WB, IHC-P, ICC/IF

applications

Immunogen

The exact immunogen used to generate this antibody is proprietary information.

Reactivity data

{ "title": "Reactivity Data", "filters": { "stats": ["", "Species", "Dilution Info", "Notes"], "tabs": { "all-applications": {"fullname" : "All Applications", "shortname": "All Applications"}, "IHCP" : {"fullname" : "Immunohistochemistry (Formalin/PFA-fixed paraffin-embedded sections)", "shortname":"IHC-P"}, "WB" : {"fullname" : "Western blot", "shortname":"WB"}, "ICCIF" : {"fullname" : "Immunocytochemistry/ Immunofluorescence", "shortname":"ICC/IF"} }, "product-promise": { "all": "all", "testedAndGuaranteed": "tested", "guaranteed": "expected", "predicted": "predicted", "notRecommended": "not-recommended" } }, "values": { "Human": { "IHCP-species-checked": "testedAndGuaranteed", "IHCP-species-dilution-info": "1 µg/mL", "IHCP-species-notes": "<p></p> Perform heat-mediated antigen retrieval before commencing with IHC staining protocol.", "WB-species-checked": "testedAndGuaranteed", "WB-species-dilution-info": "1 µg/mL", "WB-species-notes": "<p></p>", "ICCIF-species-checked": "testedAndGuaranteed", "ICCIF-species-dilution-info": "5 µg/mL", "ICCIF-species-notes": "<p></p>" }, "Mouse": { "IHCP-species-checked": "guaranteed", "IHCP-species-dilution-info": "", "IHCP-species-notes": "", "WB-species-checked": "testedAndGuaranteed", "WB-species-dilution-info": "1 µg/mL", "WB-species-notes": "<p></p>", "ICCIF-species-checked": "guaranteed", "ICCIF-species-dilution-info": "", "ICCIF-species-notes": "" }, "Rat": { "IHCP-species-checked": "guaranteed", "IHCP-species-dilution-info": "", "IHCP-species-notes": "", "WB-species-checked": "testedAndGuaranteed", "WB-species-dilution-info": "1 µg/mL", "WB-species-notes": "<p></p>", "ICCIF-species-checked": "guaranteed", "ICCIF-species-dilution-info": "", "ICCIF-species-notes": "" }, "Cow": { "IHCP-species-checked": "predicted", "IHCP-species-dilution-info": "", "IHCP-species-notes": "", "WB-species-checked": "predicted", "WB-species-dilution-info": "", "WB-species-notes": "", "ICCIF-species-checked": "predicted", "ICCIF-species-dilution-info": "", "ICCIF-species-notes": "" }, "Pig": { "IHCP-species-checked": "predicted", "IHCP-species-dilution-info": "", "IHCP-species-notes": "", "WB-species-checked": "predicted", "WB-species-dilution-info": "", "WB-species-notes": "", "ICCIF-species-checked": "predicted", "ICCIF-species-dilution-info": "", "ICCIF-species-notes": "" }, "Sheep": { "IHCP-species-checked": "predicted", "IHCP-species-dilution-info": "", "IHCP-species-notes": "", "WB-species-checked": "predicted", "WB-species-dilution-info": "", "WB-species-notes": "", "ICCIF-species-checked": "predicted", "ICCIF-species-dilution-info": "", "ICCIF-species-notes": "" } } }

Product details

What is this antibody validated in?
Anti-Cofilin antibody (ab42824) is a rabbit polyclonal antibody and is validated for use in Western Blot (WB), Immunohistochemistry (IHC-P), Immunocytochemistry/immunofluorescence (ICC/IF) in Human, Mouse, Rat samples.

What is the molecular weight of Cofilin-1?
Anti-Cofilin (ab42824) specifically detects a band for Cofilin-1 (UniProt: P23528) at a molecular weight of 19kDa.

Trusted by the scientific community
Anti-Cofilin (ab42824) was first used in a scientific publication in 2007 and has been cited over 80 times in peer-reviewed journals.

Reviewed by scientists
Anti-Cofilin (ab42824) has over 5 independent reviews from customers.

Properties and storage information

Form
Liquid
Purification technique
Affinity purification Immunogen
Storage buffer
pH: 7.4 Preservative: 0.02% Sodium azide Constituents: PBS, 1% BSA
Shipped at conditions
Blue Ice
Appropriate short-term storage duration
1-2 weeks
Appropriate short-term storage conditions
+4°C
Appropriate long-term storage conditions
-20°C
Aliquoting information
Upon delivery aliquot
Storage information
Avoid freeze / thaw cycle

Supplementary information

This supplementary information is collated from multiple sources and compiled automatically.

Cofilin-1 also known just as cofilin is a small actin-modulating protein with a molecular weight of approximately 19 kDa. It is part of the actin chemical structure regulation and plays an important role in actin filament dynamics by severing and depolymerizing actin filaments. Cofilin-1 expresses widely in both muscle and non-muscle tissues modulating the actin cytoskeleton which is critical for cell movement shape and various signaling pathways. The phosphorylated form of this protein known as phospho-cofilin or p-cofilin is another significant state to consider.
Biological function summary

Through its interaction with actin filaments cofilin-1 functions to regulate the length and turnover of the actin cytoskeleton within cells. Cofilin-1 is part of a critical complex where it binds to actin monomers and filaments to facilitate the disassembly and recycling of actin. This regulation impacts cellular activities such as migration endocytosis and division influencing how cells respond to internal and external signals. Cofilin-1's ability to bind and sever actin filaments forms an important part of its functional mechanism altering the cytoskeletal architecture for various cellular processes.

Pathways

Cofilin-1 participates principally in the actin dynamics component of the cytoskeleton remodeling pathway. Within this framework cofilin-1 acts alongside other proteins like actin-depolymerizing factor (ADF) and tropomyosin influencing assembly and disassembly cycles of actin filaments. The Rho family of GTPases regulates cofilin-1 activity through signaling pathways such as the Rho/ROCK/LIMK pathway. This signaling regulation affects actin filament organization impacting cellular processes like axonal guidance and directed cell movement.

There is a strong connection between cofilin-1 dysregulation and neurodegenerative diseases such as Alzheimer's disease and certain types of cancer. In Alzheimer's disease cofilin-1 activity influenced by abnormal cofilin phosphorylation forms part of the pathological mechanisms that lead to synaptic dysfunction and neurofibrillary tangles. In the context of cancer cofilin-1 collaborates with proteins such as RhoA and LIM kinase contributing to cancer cell invasion and metastasis by reorganizing the actin cytoskeleton to facilitate cell motility. Understanding these interactions helps in targeting therapeutic strategies against these conditions.

Product protocols

For this product, it's our understanding that no specific protocols are required. You can visit:

Target data

Binds to F-actin and exhibits pH-sensitive F-actin depolymerizing activity (PubMed : 11812157). In conjunction with the subcortical maternal complex (SCMC), plays an essential role for zygotes to progress beyond the first embryonic cell divisions via regulation of actin dynamics (PubMed : 15580268). Required for the centralization of the mitotic spindle and symmetric division of zygotes (By similarity). Plays a role in the regulation of cell morphology and cytoskeletal organization in epithelial cells (PubMed : 21834987). Required for the up-regulation of atypical chemokine receptor ACKR2 from endosomal compartment to cell membrane, increasing its efficiency in chemokine uptake and degradation (PubMed : 23633677). Required for neural tube morphogenesis and neural crest cell migration (By similarity).
See full target information CFL1

Publications (94)

Recent publications for all applications. Explore the full list and refine your search

Nature communications 16:6622 PubMed40681505

2025

The potassium channel K2.1 shapes the morphology and function of brain endothelial cells via actin network remodeling.

Applications

Unspecified application

Species

Unspecified reactive species

Stefanie Lichtenberg,Laura Vinnenberg,Falk Steffen,Isabelle Plegge,Nicholas Hanuscheck,Vera Dobelmann,Joel Gruchot,Christina B Schroeter,Haribaskar Ramachandran,Beatrice Wasser,Derya Bachir,Christopher Nelke,Jonas Franz,Christoph Riethmüller,Stefan Tenzer,Ute Distler,Christina Francisca Vogelaar,Kristina Kusche-Vihrog,Boris V Skryabin,Timofey S Rozhdestvensky,Albrecht Schwab,Jean Krutmann,Andrea Rossi,Thomas Budde,Stefan Bittner,Sven G Meuth,Tobias Ruck

Molecular therapy. Nucleic acids 36:102400 PubMed39759876

2025

A sort and sequence approach to dissect heterogeneity of response to a self-amplifying RNA vector in a novel human muscle cell line.

Applications

Unspecified application

Species

Unspecified reactive species

Rachel D Barton,John S Tregoning,Ziyin Wang,Daniel Gonçalves-Carneiro,Radhika Patel,Paul F McKay,Robin J Shattock

Journal of biomedical science 31:100 PubMed39497128

2024

The molecular consequences of FOXF1 missense mutations associated with alveolar capillary dysplasia with misalignment of pulmonary veins.

Applications

Unspecified application

Species

Unspecified reactive species

G G Edel,M van Kempen,A Boerema-de Munck,C N Huisman,C A P Naalden,R W W Brouwer,S Koornneef,W F J van IJcken,R M H Wijnen,R J Rottier

Glia 73:38-56 PubMed39344832

2024

Developmental maturation and regional heterogeneity but no sexual dimorphism of the murine CNS myelin proteome.

Applications

Unspecified application

Species

Unspecified reactive species

Sophie B Siems,Vasiliki-Ilya Gargareta,Leonie C Schadt,Vinicius Daguano Gastaldi,Ramona B Jung,Lars Piepkorn,Patrizia Casaccia,Ting Sun,Olaf Jahn,Hauke B Werner

Biochimica et biophysica acta. Molecular cell research 1871:119721 PubMed38580088

2024

E2F transcription factor-1 modulates expression of glutamine metabolic genes in mouse embryonic fibroblasts and uterine sarcoma cells.

Applications

Unspecified application

Species

Unspecified reactive species

Katharina Huber,Albert Giralt,René Dreos,Helene Michenthaler,Sarah Geller,Valentin Barquissau,Dorian V Ziegler,Daniele Tavernari,Hector Gallart-Ayala,Katarina Krajina,Katharina Jonas,Giovanni Ciriello,Julijana Ivanisevic,Andreas Prokesch,Martin Pichler,Lluis Fajas

American journal of nephrology 55:345-360 PubMed38330925

2024

Klotho Stabilizes the Podocyte Actin Cytoskeleton in Idiopathic Membranous Nephropathy through Regulating the TRPC6/CatL Pathway.

Applications

Unspecified application

Species

Unspecified reactive species

Hongyun Wang,Hongyan Liu,Hong Cheng,Xue Xue,Yamei Ge,Xiaoqin Wang,Jun Yuan

Non-coding RNA 10: PubMed38250802

2024

MiR-4646-5p Acts as a Tumor-Suppressive Factor in Triple Negative Breast Cancer and Targets the Cholesterol Transport Protein GRAMD1B.

Applications

Unspecified application

Species

Unspecified reactive species

Katharina Jonas,Felix Prinz,Manuela Ferracin,Katarina Krajina,Alexander Deutsch,Tobias Madl,Beate Rinner,Ondrej Slaby,Christiane Klec,Martin Pichler

Breast cancer research : BCR 25:119 PubMed37803350

2023

MiR-4649-5p acts as a tumor-suppressive microRNA in triple negative breast cancer by direct interaction with PIP5K1C, thereby potentiating growth-inhibitory effects of the AKT inhibitor capivasertib.

Applications

Unspecified application

Species

Unspecified reactive species

Katharina Jonas,Felix Prinz,Manuela Ferracin,Katarina Krajina,Barbara Pasculli,Alexander Deutsch,Tobias Madl,Beate Rinner,Ondrej Slaby,Christiane Klec,Martin Pichler

Oncogenesis 12:25 PubMed37147294

2023

miR-137-LAPTM4B regulates cytoskeleton organization and cancer metastasis via the RhoA-LIMK-Cofilin pathway in osteosarcoma.

Applications

Unspecified application

Species

Unspecified reactive species

Ruyu Yan,Dan Liu,Junjie Wang,Minxia Liu,Hongjuan Guo,Jing Bai,Shuo Yang,Jun Chang,Zhihong Yao,Zuozhang Yang,Tomas Blom,Kecheng Zhou

eLife 12: PubMed37083703

2023

High-content synaptic phenotyping in human cellular models reveals a role for BET proteins in synapse assembly.

Applications

Unspecified application

Species

Unspecified reactive species

Martin H Berryer,Gizem Rizki,Anna Nathanson,Jenny A Klein,Darina Trendafilova,Sara G Susco,Daisy Lam,Angelica Messana,Kristina M Holton,Kyle W Karhohs,Beth A Cimini,Kathleen Pfaff,Anne E Carpenter,Lee L Rubin,Lindy E Barrett
View all publications

Product promise

We are committed to supporting your work with high-quality reagents, and we're here for you every step of the way. In the unlikely event that one of our products does not perform as expected, you're protected by our Product Promise.
For full details, please see our Terms & Conditions

Please note: All products are 'FOR RESEARCH USE ONLY. NOT FOR USE IN DIAGNOSTIC OR THERAPEUTIC PROCEDURES'.

For licensing inquiries, please contact partnerships@abcam.com