JavaScript is disabled in your browser. Please enable JavaScript to view this website.
AB283513

Anti-Cofilin (phospho S3) antibody [EPR24753-28] - BSA and Azide free

Be the first to review this product! Submit a review

|

(0 Publication)

Rabbit Recombinant Monoclonal Cofilin-1 phospho S3 antibody. Carrier free. Suitable for ICC/IF, Dot, WB, IHC-P, Flow Cyt (Intra) and reacts with Human, Rat, Synthetic peptide, Mouse samples.

View Alternative Names

CFL, CFL1, Cofilin-1, 18 kDa phosphoprotein, p18

11 Images
Immunohistochemistry (Formalin/PFA-fixed paraffin-embedded sections) - Anti-Cofilin (phospho S3) antibody [EPR24753-28] - BSA and Azide free (AB283513)
  • IHC-P

Supplier Data

Immunohistochemistry (Formalin/PFA-fixed paraffin-embedded sections) - Anti-Cofilin (phospho S3) antibody [EPR24753-28] - BSA and Azide free (AB283513)

This data was developed using ab283500, the same antibody clone in a different buffer formulation.

Immunohistochemical analysis of paraffin-embedded Human stomach tissue labelling Cofilin (phospho S3) with ab283500 at 1/5000 (0.121 ug/ml) followed by a ready to use Rabbit specific IHC polymer detection kit HRP/DAB (ab209101). Positive staining on human stomach without alkaline phosphatase treatment (image A). No signal was detected when tissues were treated with alkaline phosphatase (image B). The section was incubated with ab283500 for 30 mins at room temperature. The immunostaining was performed on a Leica Biosystems BOND® RX instrument Counterstained with Hematoxylin.

Secondary antibody only control : Secondary antibody is a ready to use Rabbit specific IHC polymer detection kit HRP/DAB (ab209101).

Heat mediated antigen retrieval with Tris-EDTA buffer (pH 9.0, epitope retrieval solution2) for 20 mins

Immunocytochemistry/ Immunofluorescence - Anti-Cofilin (phospho S3) antibody [EPR24753-28] - BSA and Azide free (AB283513)
  • ICC/IF

Supplier Data

Immunocytochemistry/ Immunofluorescence - Anti-Cofilin (phospho S3) antibody [EPR24753-28] - BSA and Azide free (AB283513)

This data was developed using ab283500, the same antibody clone in a different buffer formulation.

Immunofluorescent analysis of 4% Paraformaldehyde-fixed, 0.1% TritonX-100 permeabilized HeLa cells labelling Cofilin (phospho S3) with ab283500 at 1/1000 (0.604 ug/ml) dilution, followed by ab150081 Goat Anti-Rabbit IgG H&L (Alexa Fluor® 488) preadsorbed antibody at 1/1000 (2 ug/ml) dilution (Green). Confocal image showing nuclear and cytoplasmic staining in HeLa cells, no staining in HeLa treated with Alkaline Phosphatase (37°C) for 1 hour is observed. ab195889 Anti-alpha Tubulin mouse monoclonal antibody - Microtubule Marker (Alexa Fluor® 594) was used to counterstain tubulin at 1/200 (2.5 ug/ml) dilution (Red). The Nuclear counterstain was DAPI (Blue).

Secondary antibody only control : Secondary antibody is ab150081 Goat Anti-Rabbit IgG H&L (Alexa Fluor® 488) preadsorbed at 1/1000 (2 ug/ml) dilution.

Immunohistochemistry (Formalin/PFA-fixed paraffin-embedded sections) - Anti-Cofilin (phospho S3) antibody [EPR24753-28] - BSA and Azide free (AB283513)
  • IHC-P

Supplier Data

Immunohistochemistry (Formalin/PFA-fixed paraffin-embedded sections) - Anti-Cofilin (phospho S3) antibody [EPR24753-28] - BSA and Azide free (AB283513)

This data was developed using ab283500, the same antibody clone in a different buffer formulation.

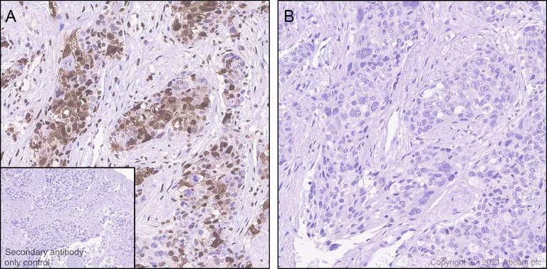
Immunohistochemical analysis of paraffin-embedded Human breast carcinoma tissue labelling Cofilin (phospho S3) with ab283500 at 1/5000 (0.121 ug/ml) followed by a ready to use Rabbit specific IHC polymer detection kit HRP/DAB (ab209101). Positive staining on human breast carcinoma without alkaline phosphatase treatment (image A). (PMID : 27799793) No signal was detected when tissues were treated with alkaline phosphatase (image B). The section was incubated with ab283500 for 30 mins at room temperature. The immunostaining was performed on a Leica Biosystems BOND® RX instrument Counterstained with Hematoxylin.

Secondary antibody only control : Secondary antibody is a ready to use Rabbit specific IHC polymer detection kit HRP/DAB (ab209101).

Heat mediated antigen retrieval with Tris-EDTA buffer (pH 9.0, epitope retrieval solution2) for 20 mins

Flow Cytometry (Intracellular) - Anti-Cofilin (phospho S3) antibody [EPR24753-28] - BSA and Azide free (AB283513)
  • Flow Cyt (Intra)

Supplier Data

Flow Cytometry (Intracellular) - Anti-Cofilin (phospho S3) antibody [EPR24753-28] - BSA and Azide free (AB283513)

This data was developed using ab283500, the same antibody clone in a different buffer formulation.

Flow cytometric analysis of 4% paraformaldehyde fixed 90% methanol permeabilized HeLa (Human cervix adenocarcinoma epithelial cell) cells labelling Cofilin (phospho S3) with ab283500 at 1/500 dilution (0.1ug) (Red) compared with a Rabbit monoclonal IgG (ab172730) (Black) isotype control and an unlabelled control (cells without incubation with primary antibody and secondary antibody) (Blue). A Goat anti rabbit IgG (Alexa Fluor® 488, ab150077) at 1/2000 dilution was used as the secondary antibody.

Immunohistochemistry (Formalin/PFA-fixed paraffin-embedded sections) - Anti-Cofilin (phospho S3) antibody [EPR24753-28] - BSA and Azide free (AB283513)
  • IHC-P

Supplier Data

Immunohistochemistry (Formalin/PFA-fixed paraffin-embedded sections) - Anti-Cofilin (phospho S3) antibody [EPR24753-28] - BSA and Azide free (AB283513)

This data was developed using ab283500, the same antibody clone in a different buffer formulation.

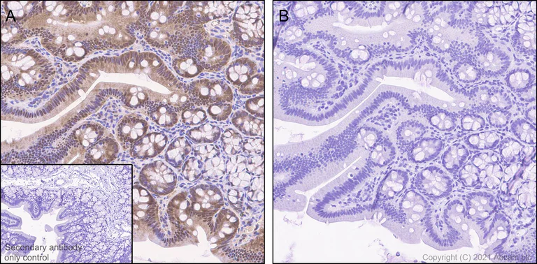
Immunohistochemical analysis of paraffin-embedded Mouse colon tissue labelling Cofilin (phospho S3) with ab283500 at 1/5000 (0.121 ug/ml) followed by a ready to use Rabbit specific IHC polymer detection kit HRP/DAB (ab209101). Positive staining on mouse colon without alkaline phosphatase treatment (image A). (PMID : 15649475) No signal was detected when tissues were treated with alkaline phosphatase (image B). The section was incubated with ab283500 for 30 mins at room temperature. The immunostaining was performed on a Leica Biosystems BOND® RX instrument Counterstained with Hematoxylin.

Secondary antibody only control : Secondary antibody is a ready to use Rabbit specific IHC polymer detection kit HRP/DAB (ab209101).

Heat mediated antigen retrieval with Tris-EDTA buffer (pH 9.0, epitope retrieval solution2) for 20 mins

Immunohistochemistry (Formalin/PFA-fixed paraffin-embedded sections) - Anti-Cofilin (phospho S3) antibody [EPR24753-28] - BSA and Azide free (AB283513)
  • IHC-P

Supplier Data

Immunohistochemistry (Formalin/PFA-fixed paraffin-embedded sections) - Anti-Cofilin (phospho S3) antibody [EPR24753-28] - BSA and Azide free (AB283513)

This data was developed using ab283500, the same antibody clone in a different buffer formulation.

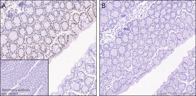
Immunohistochemical analysis of paraffin-embedded Rat colon tissue labelling Cofilin (phospho S3) with ab283500 at 1/5000 (0.121 ug/ml) followed by a ready to use LeicaDS9800 (Bond™ Polymer Refine Detection). Positive staining on rat colon without alkaline phosphatase treatment (image A). No signal was detected when tissues were treated with alkaline phosphatase (image B). The section was incubated with ab283500 for 30 mins at room temperature. The immunostaining was performed on a Leica Biosystems BOND® RX instrument Counterstained with Hematoxylin.

Secondary antibody only control : Secondary antibody is a ready to use LeicaDS9800 (Bond™ Polymer Refine Detection).

Heat mediated antigen retrieval with Tris-EDTA buffer (pH 9.0, epitope retrieval solution2) for 20 mins

Western blot - Anti-Cofilin (phospho S3) antibody [EPR24753-28] - BSA and Azide free (AB283513)
  • WB

Lab

Western blot - Anti-Cofilin (phospho S3) antibody [EPR24753-28] - BSA and Azide free (AB283513)

This data was developed using ab283500, the same antibody clone in a different buffer formulation.

Blocking and diluting buffer and concentration : 5% NFDM/TBST

Exposure time : 3 seconds

All lanes:

Western blot - Anti-Cofilin (phospho S3) antibody [EPR24753-28] (<a href='/en-us/products/primary-antibodies/cofilin-phospho-s3-antibody-epr24753-28-ab283500'>ab283500</a>) at 1/1000 dilution

Lane 1:

293T (Phosphatase treated membrane) at 10 µg

Lane 2:

NIH/3T3 (Phosphatase treated membrane) at 10 µg

Secondary

All lanes:

Goat Anti-Rabbit IgG, (H+L), Peroxidase conjugated (<a href='/en-us/products/secondary-antibodies/goat-rabbit-igg-h-l-hrp-ab97051'>ab97051</a>) at 1/50000 dilution

Predicted band size: 18 kDa

Observed band size: 18 kDa

false

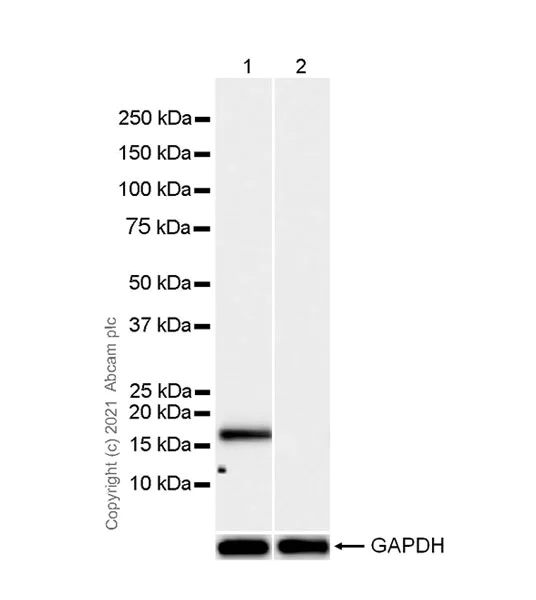
Western blot - Anti-Cofilin (phospho S3) antibody [EPR24753-28] - BSA and Azide free (AB283513)
  • WB

Lab

Western blot - Anti-Cofilin (phospho S3) antibody [EPR24753-28] - BSA and Azide free (AB283513)

This data was developed using ab283500, the same antibody clone in a different buffer formulation.

Blocking and diluting buffer and concentration : 5% NFDM/TBST

Exposure time : 37 seconds

All lanes:

Western blot - Anti-Cofilin (phospho S3) antibody [EPR24753-28] (<a href='/en-us/products/primary-antibodies/cofilin-phospho-s3-antibody-epr24753-28-ab283500'>ab283500</a>) at 1/1000 dilution

Lane 1:

HeLa (human cervix adenocarcinoma epithelial cell), whole cell lysate (Untreated membrane) at 10 µg

Lane 2:

HeLa(human cervix adenocarcinoma epithelial cell), whole cell lysate (Phosphatase treated membrane) at 10 µg

Secondary

All lanes:

Western blot - Goat Anti-Rabbit IgG H&L (HRP) (<a href='/en-us/products/secondary-antibodies/goat-rabbit-igg-h-l-hrp-ab97051'>ab97051</a>) at 1/50000 dilution

Predicted band size: 18 kDa

Observed band size: 18 kDa

false

Western blot - Anti-Cofilin (phospho S3) antibody [EPR24753-28] - BSA and Azide free (AB283513)
  • WB

Lab

Western blot - Anti-Cofilin (phospho S3) antibody [EPR24753-28] - BSA and Azide free (AB283513)

This data was developed using ab283500, the same antibody clone in a different buffer formulation.

Blocking and diluting buffer and concentration : 5% NFDM/TBST

Exposure time : 10 seconds

All lanes:

Western blot - Anti-Cofilin (phospho S3) antibody [EPR24753-28] (<a href='/en-us/products/primary-antibodies/cofilin-phospho-s3-antibody-epr24753-28-ab283500'>ab283500</a>) at 1/1000 dilution

Lane 1:

C6 (rat glial tumor glial cell), whole cell lysate (Untreated membrane) at 10 µg

Lane 2:

C6 (Phosphatase treated membrane) at 10 µg

Secondary

All lanes:

Goat Anti-Rabbit IgG, (H+L), Peroxidase conjugated (<a href='/en-us/products/secondary-antibodies/goat-rabbit-igg-h-l-hrp-ab97051'>ab97051</a>) at 1/50000 dilution

Predicted band size: 18 kDa

Observed band size: 18 kDa

false

Western blot - Anti-Cofilin (phospho S3) antibody [EPR24753-28] - BSA and Azide free (AB283513)
  • WB

Lab

Western blot - Anti-Cofilin (phospho S3) antibody [EPR24753-28] - BSA and Azide free (AB283513)

This data was developed using ab283500, the same antibody clone in a different buffer formulation.

Blocking and diluting buffer and concentration : 5% NFDM/TBST

All lanes:

Western blot - Anti-Cofilin (phospho S3) antibody [EPR24753-28] (<a href='/en-us/products/primary-antibodies/cofilin-phospho-s3-antibody-epr24753-28-ab283500'>ab283500</a>) at 1/1000 dilution

Lane 1:

NIH/3T3 (mouse embryonic fibroblast), whole cell lysate (Untreated membrane) at 10 µg

Lane 2:

NIH/3T3 (Phosphatase treated membrane) at 10 µg

Secondary

All lanes:

Goat Anti-Rabbit IgG, (H+L), Peroxidase conjugated (<a href='/en-us/products/secondary-antibodies/goat-rabbit-igg-h-l-hrp-ab97051'>ab97051</a>) at 1/50000 dilution

Predicted band size: 18 kDa

Observed band size: 18 kDa

false

Exposure time: 3s

Dot Blot - Anti-Cofilin (phospho S3) antibody [EPR24753-28] - BSA and Azide free (AB283513)
  • Dot

Supplier Data

Dot Blot - Anti-Cofilin (phospho S3) antibody [EPR24753-28] - BSA and Azide free (AB283513)

This data was developed using ab283500, the same antibody clone in a different buffer formulation.

Dot blot analysis of Cofilin (phospho S3) using ab283500 at 1/1000 (0.604 ug/ml) followed by a Goat Anti-Rabbit IgG, (H+L), Peroxidase conjugated (ab97051) at 1/100,000 dilution.

Lane 1 : Cofilin-1 (phospho S3) peptide

Lane 2 : Cofilin-1 non-phospho peptide

Exposure time : 3 minutes

Blocking and diluting buffer and concentration : 5% NFDM/TBST

  • Unconjugated

    Anti-Cofilin (phospho S3) antibody [EPR24753-28]

Key facts

Host species

Rabbit

Clonality

Monoclonal

Clone number

EPR24753-28

Isotype

IgG

Carrier free

Yes

Reacts with

Mouse, Rat, Human

Applications

WB, Dot, IHC-P, ICC/IF, Flow Cyt (Intra)

applications

Immunogen

The exact immunogen used to generate this antibody is proprietary information.

Reactivity data

{ "title": "Reactivity Data", "filters": { "stats": ["", "Species", "Dilution Info", "Notes"], "tabs": { "all-applications": {"fullname" : "All Applications", "shortname": "All Applications"}, "ICCIF" : {"fullname" : "Immunocytochemistry/ Immunofluorescence", "shortname":"ICC/IF"}, "IP" : {"fullname" : "Immunoprecipitation", "shortname":"IP"}, "Dot" : {"fullname" : "Dot Blot", "shortname":"Dot"}, "WB" : {"fullname" : "Western blot", "shortname":"WB"}, "IHCP" : {"fullname" : "Immunohistochemistry (Formalin/PFA-fixed paraffin-embedded sections)", "shortname":"IHC-P"}, "FlowCytIntra" : {"fullname" : "Flow Cytometry (Intracellular)", "shortname":"Flow Cyt (Intra)"} }, "product-promise": { "all": "all", "testedAndGuaranteed": "tested", "guaranteed": "expected", "predicted": "predicted", "notRecommended": "not-recommended" } }, "values": { "Human": { "ICCIF-species-checked": "testedAndGuaranteed", "ICCIF-species-dilution-info": "", "ICCIF-species-notes": "<p></p>", "IP-species-checked": "notRecommended", "IP-species-dilution-info": "", "IP-species-notes": "<p></p>", "Dot-species-checked": "guaranteed", "Dot-species-dilution-info": "", "Dot-species-notes": "", "WB-species-checked": "testedAndGuaranteed", "WB-species-dilution-info": "", "WB-species-notes": "<p></p>", "IHCP-species-checked": "testedAndGuaranteed", "IHCP-species-dilution-info": "", "IHCP-species-notes": "<p></p>", "FlowCytIntra-species-checked": "testedAndGuaranteed", "FlowCytIntra-species-dilution-info": "", "FlowCytIntra-species-notes": "<p></p>" }, "Mouse": { "ICCIF-species-checked": "notRecommended", "ICCIF-species-dilution-info": "", "ICCIF-species-notes": "<p></p>", "IP-species-checked": "notRecommended", "IP-species-dilution-info": "", "IP-species-notes": "<p></p>", "Dot-species-checked": "guaranteed", "Dot-species-dilution-info": "", "Dot-species-notes": "", "WB-species-checked": "testedAndGuaranteed", "WB-species-dilution-info": "", "WB-species-notes": "<p></p>", "IHCP-species-checked": "testedAndGuaranteed", "IHCP-species-dilution-info": "", "IHCP-species-notes": "<p></p>", "FlowCytIntra-species-checked": "guaranteed", "FlowCytIntra-species-dilution-info": "", "FlowCytIntra-species-notes": "<p></p>" }, "Rat": { "ICCIF-species-checked": "guaranteed", "ICCIF-species-dilution-info": "", "ICCIF-species-notes": "<p></p>", "IP-species-checked": "notRecommended", "IP-species-dilution-info": "", "IP-species-notes": "<p></p>", "Dot-species-checked": "guaranteed", "Dot-species-dilution-info": "", "Dot-species-notes": "", "WB-species-checked": "testedAndGuaranteed", "WB-species-dilution-info": "", "WB-species-notes": "<p></p>", "IHCP-species-checked": "testedAndGuaranteed", "IHCP-species-dilution-info": "", "IHCP-species-notes": "<p></p>", "FlowCytIntra-species-checked": "guaranteed", "FlowCytIntra-species-dilution-info": "", "FlowCytIntra-species-notes": "<p></p>" }, "Synthetic peptide": { "ICCIF-species-checked": "notRecommended", "ICCIF-species-dilution-info": "", "ICCIF-species-notes": "", "IP-species-checked": "notRecommended", "IP-species-dilution-info": "", "IP-species-notes": "", "Dot-species-checked": "testedAndGuaranteed", "Dot-species-dilution-info": "", "Dot-species-notes": "<p></p>", "WB-species-checked": "notRecommended", "WB-species-dilution-info": "", "WB-species-notes": "", "IHCP-species-checked": "notRecommended", "IHCP-species-dilution-info": "", "IHCP-species-notes": "", "FlowCytIntra-species-checked": "notRecommended", "FlowCytIntra-species-dilution-info": "", "FlowCytIntra-species-notes": "" } } }

Product details

ab283513 is the carrier-free version of ab283500.

Patented technology
Our RabMAb® technology is a patented hybridoma-based technology for making rabbit monoclonal antibodies. For details on our patents, please refer to RabMAb® patents.

What are the advantages of a recombinant monoclonal antibody?
This product is a recombinant monoclonal antibody, which offers several advantages including:

  • - High batch-to-batch consistency and reproducibility
  • - Improved sensitivity and specificity
  • - Long-term security of supply
  • - Animal-free batch production

For more information, read more on recombinant antibodies.

Conjugation ready
Our carrier-free antibodies are typically supplied in a PBS-only formulation, purified and free of BSA, sodium azide and glycerol. This conjugation-ready format is designed for use with fluorochromes, metal isotopes, oligonucleotides, and enzymes, which makes them ideal for antibody labelling, functional and cell-based assays, flow-based assays (e.g. mass cytometry) and Multiplex Imaging applications.

Use our conjugation kits for antibody conjugates that are ready-to-use in as little as 20 minutes with 1 minute hands-on-time and 100% antibody recovery: available for fluorescent dyes, HRP, biotin and gold.

Compatibility
This product is compatible with the Maxpar® Antibody Labeling Kit from Fluidigm, without the need for antibody preparation. Maxpar® is a trademark of Fluidigm Canada Inc.

Properties and storage information

Form
Liquid
Purification technique
Affinity purification Protein A
Storage buffer
pH: 7.2 - 7.4 Constituents: PBS
Shipped at conditions
Blue Ice
Appropriate short-term storage conditions
+4°C
Appropriate long-term storage conditions
+4°C

Supplementary information

This supplementary information is collated from multiple sources and compiled automatically.

Cofilin-1 also known just as cofilin is a small actin-modulating protein with a molecular weight of approximately 19 kDa. It is part of the actin chemical structure regulation and plays an important role in actin filament dynamics by severing and depolymerizing actin filaments. Cofilin-1 expresses widely in both muscle and non-muscle tissues modulating the actin cytoskeleton which is critical for cell movement shape and various signaling pathways. The phosphorylated form of this protein known as phospho-cofilin or p-cofilin is another significant state to consider.
Biological function summary

Through its interaction with actin filaments cofilin-1 functions to regulate the length and turnover of the actin cytoskeleton within cells. Cofilin-1 is part of a critical complex where it binds to actin monomers and filaments to facilitate the disassembly and recycling of actin. This regulation impacts cellular activities such as migration endocytosis and division influencing how cells respond to internal and external signals. Cofilin-1's ability to bind and sever actin filaments forms an important part of its functional mechanism altering the cytoskeletal architecture for various cellular processes.

Pathways

Cofilin-1 participates principally in the actin dynamics component of the cytoskeleton remodeling pathway. Within this framework cofilin-1 acts alongside other proteins like actin-depolymerizing factor (ADF) and tropomyosin influencing assembly and disassembly cycles of actin filaments. The Rho family of GTPases regulates cofilin-1 activity through signaling pathways such as the Rho/ROCK/LIMK pathway. This signaling regulation affects actin filament organization impacting cellular processes like axonal guidance and directed cell movement.

There is a strong connection between cofilin-1 dysregulation and neurodegenerative diseases such as Alzheimer's disease and certain types of cancer. In Alzheimer's disease cofilin-1 activity influenced by abnormal cofilin phosphorylation forms part of the pathological mechanisms that lead to synaptic dysfunction and neurofibrillary tangles. In the context of cancer cofilin-1 collaborates with proteins such as RhoA and LIM kinase contributing to cancer cell invasion and metastasis by reorganizing the actin cytoskeleton to facilitate cell motility. Understanding these interactions helps in targeting therapeutic strategies against these conditions.

Product protocols

For this product, it's our understanding that no specific protocols are required. You can visit:

Target data

Binds to F-actin and exhibits pH-sensitive F-actin depolymerizing activity (PubMed : 11812157). In conjunction with the subcortical maternal complex (SCMC), plays an essential role for zygotes to progress beyond the first embryonic cell divisions via regulation of actin dynamics (PubMed : 15580268). Required for the centralization of the mitotic spindle and symmetric division of zygotes (By similarity). Plays a role in the regulation of cell morphology and cytoskeletal organization in epithelial cells (PubMed : 21834987). Required for the up-regulation of atypical chemokine receptor ACKR2 from endosomal compartment to cell membrane, increasing its efficiency in chemokine uptake and degradation (PubMed : 23633677). Required for neural tube morphogenesis and neural crest cell migration (By similarity).
See full target information CFL1 phospho S3

Product promise

We are committed to supporting your work with high-quality reagents, and we're here for you every step of the way. In the unlikely event that one of our products does not perform as expected, you're protected by our Product Promise.
For full details, please see our Terms & Conditions

Please note: All products are 'FOR RESEARCH USE ONLY. NOT FOR USE IN DIAGNOSTIC OR THERAPEUTIC PROCEDURES'.

For licensing inquiries, please contact partnerships@abcam.com