JavaScript is disabled in your browser. Please enable JavaScript to view this website.
AB121304

Anti-COL12A1 antibody

3

(1 Review)

|

(9 Publications)

Rabbit Polyclonal COL12A1 antibody. Suitable for IHC-P, WB and reacts with Human samples. Cited in 9 publications. Immunogen corresponding to Recombinant Fragment Protein within Human COL12A1 aa 750-900.

View Alternative Names

COL12A1L, COL12A1, Collagen alpha-1(XII) chain

5 Images
Immunohistochemistry (Formalin/PFA-fixed paraffin-embedded sections) - Anti-COL12A1 antibody (AB121304)
  • IHC-P

Supplier Data

Immunohistochemistry (Formalin/PFA-fixed paraffin-embedded sections) - Anti-COL12A1 antibody (AB121304)

Immunohistochemistry (Formalin/PFA-fixed paraffin-embedded sections) analysis of human fallopian tube tissue labelling COL12A1 with ab121304 at 1/50 dilution. Heat mediated antigen retrieval performed with citrate buffer pH 6 before commencing with IHC staining protocol.

Immunohistochemistry (Formalin/PFA-fixed paraffin-embedded sections) - Anti-COL12A1 antibody (AB121304)
  • IHC-P

Supplier Data

Immunohistochemistry (Formalin/PFA-fixed paraffin-embedded sections) - Anti-COL12A1 antibody (AB121304)

Immunohistochemistry (Formalin/PFA-fixed paraffin-embedded sections) analysis of human testis tissue labelling COL12A1 with ab121304 at 1/50 dilution. Heat mediated antigen retrieval performed with citrate buffer pH 6 before commencing with IHC staining protocol.

Immunohistochemistry (Formalin/PFA-fixed paraffin-embedded sections) - Anti-COL12A1 antibody (AB121304)
  • IHC-P

Supplier Data

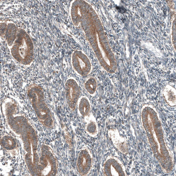
Immunohistochemistry (Formalin/PFA-fixed paraffin-embedded sections) - Anti-COL12A1 antibody (AB121304)

Immunohistochemistry (Formalin/PFA-fixed paraffin-embedded sections) analysis of human endometrium tissue labelling COL12A1 with ab121304 at 1/50 dilution. Heat mediated antigen retrieval performed with citrate buffer pH 6 before commencing with IHC staining protocol.

Immunohistochemistry (Formalin/PFA-fixed paraffin-embedded sections) - Anti-COL12A1 antibody (AB121304)
  • IHC-P

Supplier Data

Immunohistochemistry (Formalin/PFA-fixed paraffin-embedded sections) - Anti-COL12A1 antibody (AB121304)

Immunohistochemistry (Formalin/PFA-fixed paraffin-embedded sections) analysis of human heart muscle tissue labelling COL12A1 with ab121304 at 1/50 dilution. Heat mediated antigen retrieval performed with citrate buffer pH 6 before commencing with IHC staining protocol.

Western blot - Anti-COL12A1 antibody (AB121304)
  • WB

Supplier Data

Western blot - Anti-COL12A1 antibody (AB121304)

All lanes:

Western blot - Anti-COL12A1 antibody (ab121304) at 0.4 µg/mL

All lanes:

SiHa (human cervical carcinoma cell line) cell lysate

Predicted band size: 333 kDa

false

Key facts

Host species

Rabbit

Clonality

Polyclonal

Isotype

IgG

Carrier free

No

Reacts with

Human

Applications

WB, IHC-P

applications

Immunogen

Recombinant Fragment Protein within Human COL12A1 aa 750-900. The exact immunogen used to generate this antibody is proprietary information.

Q99715

Reactivity data

{ "title": "Reactivity Data", "filters": { "stats": ["", "Species", "Dilution Info", "Notes"], "tabs": { "all-applications": {"fullname" : "All Applications", "shortname": "All Applications"}, "IHCP" : {"fullname" : "Immunohistochemistry (Formalin/PFA-fixed paraffin-embedded sections)", "shortname":"IHC-P"}, "WB" : {"fullname" : "Western blot", "shortname":"WB"} }, "product-promise": { "all": "all", "testedAndGuaranteed": "tested", "guaranteed": "expected", "predicted": "predicted", "notRecommended": "not-recommended" } }, "values": { "Human": { "IHCP-species-checked": "testedAndGuaranteed", "IHCP-species-dilution-info": "1/50 - 1/200", "IHCP-species-notes": "<p></p> Perform heat-mediated antigen retrieval with citrate buffer pH 6 before commencing with IHC staining protocol.", "WB-species-checked": "testedAndGuaranteed", "WB-species-dilution-info": "0.04-0.4 µg/mL", "WB-species-notes": "<p></p>" } } }

Properties and storage information

Form
Liquid
Purification technique
Affinity purification Immunogen
Storage buffer
pH: 7.2 Preservative: 0.02% Sodium azide Constituents: PBS, 40% Glycerol (glycerin, glycerine)
Shipped at conditions
Blue Ice
Appropriate short-term storage conditions
+4°C
Appropriate long-term storage conditions
-20°C
Aliquoting information
Upon delivery aliquot
Storage information
Avoid freeze / thaw cycle

Product protocols

For this product, it's our understanding that no specific protocols are required. You can visit:

Target data

Type XII collagen interacts with type I collagen-containing fibrils, the COL1 domain could be associated with the surface of the fibrils, and the COL2 and NC3 domains may be localized in the perifibrillar matrix.
See full target information COL12A1

Publications (9)

Recent publications for all applications. Explore the full list and refine your search

CytoJournal 22:31 PubMed40260067

2025

Inhibitory effect on endometrial cancer: Collagen type XII α1 chain.

Applications

Unspecified application

Species

Unspecified reactive species

Zhang Shen,Mian Huang,Jun Lin,Sanshan Wu,Qiong Jin

Chinese medicine 18:118 PubMed37700383

2023

Jian Yun Qing Hua Decoction inhibits malignant behaviors of gastric carcinoma cells via COL12A1 mediated ferroptosis signal pathway.

Applications

Unspecified application

Species

Unspecified reactive species

Baoxinzi Liu,Yu Li,Yuanyuan Xu,Weiwei Xue,Zhichao Jin

Immunity, inflammation and disease 11:e919 PubMed37506150

2023

PABPC1 promotes cell proliferation and metastasis in pancreatic adenocarcinoma by regulating COL12A1 expression.

Applications

Unspecified application

Species

Unspecified reactive species

Weijie Yao,Yanrong Yao,Wen He,Chengsi Zhao,Di Liu,Genwang Wang,Zuozheng Wang

Endocrine-related cancer 30: PubMed36951556

2023

Proteomic analysis of small intestinal neuroendocrine tumors and mesenteric fibrosis.

Applications

Unspecified application

Species

Unspecified reactive species

Anela Blažević,Anand M Iyer,Marie-Louise F van Velthuysen,Johannes Hofland,Gaston J H Franssen,Richard A Feelders,Marina Zajec,Theo M Luider,Wouter W de Herder,Leo J Hofland

Journal of tissue engineering 13:20417314221130486 PubMed36339372

2022

Multimodal analysis of the differential effects of cyclic strain on collagen isoform composition, fibril architecture and biomechanics of tissue engineered tendon.

Applications

Unspecified application

Species

Unspecified reactive species

Adam J Janvier,Emily G Pendleton,Luke J Mortensen,Daniel C Green,James R Henstock,Elizabeth G Canty-Laird

Nature communications 13:4587 PubMed35933466

2022

Temporal profiling of the breast tumour microenvironment reveals collagen XII as a driver of metastasis.

Applications

Unspecified application

Species

Unspecified reactive species

Michael Papanicolaou,Amelia L Parker,Michelle Yam,Elysse C Filipe,Sunny Z Wu,Jessica L Chitty,Kaitlin Wyllie,Emmi Tran,Ellie Mok,Audrey Nadalini,Joanna N Skhinas,Morghan C Lucas,David Herrmann,Max Nobis,Brooke A Pereira,Andrew M K Law,Lesley Castillo,Kendelle J Murphy,Anaiis Zaratzian,Jordan F Hastings,David R Croucher,Elgene Lim,Brian G Oliver,Fatima Valdes Mora,Benjamin L Parker,David Gallego-Ortega,Alexander Swarbrick,Sandra O'Toole,Paul Timpson,Thomas R Cox

Cancer medicine 12:3731-3743 PubMed35879877

2022

N -methyladenosine RNA demethylase FTO regulates extracellular matrix-related genes and promotes pancreatic cancer cell migration and invasion.

Applications

Unspecified application

Species

Unspecified reactive species

Wei Wang,Ying He,Lun Wu,Lu-Lu Zhai,Long-Jiang Chen,Li-Chao Yao,Kai-Huan Yu,Zhi-Gang Tang

Journal of Cancer 13:1972-1984 PubMed35399719

2022

METTL3 Facilitates Tumor Progression by COL12A1/MAPK Signaling Pathway in Esophageal Squamous Cell Carcinoma.

Applications

Unspecified application

Species

Unspecified reactive species

Jiali Li,Zhenhua Li,Yanzhao Xu,Chao Huang,Baoen Shan

Oncotarget 8:104508-104524 PubMed29262657

2017

hsa-miR-29c-3p regulates biological function of colorectal cancer by targeting SPARC.

Applications

Unspecified application

Species

Unspecified reactive species

Shitong Zhang,Jianjun Jin,Xiaoxiao Tian,Lijuan Wu
View all publications

Product promise

We are committed to supporting your work with high-quality reagents, and we're here for you every step of the way. In the unlikely event that one of our products does not perform as expected, you're protected by our Product Promise.
For full details, please see our Terms & Conditions

Please note: All products are 'FOR RESEARCH USE ONLY. NOT FOR USE IN DIAGNOSTIC OR THERAPEUTIC PROCEDURES'.

For licensing inquiries, please contact partnerships@abcam.com