JavaScript is disabled in your browser. Please enable JavaScript to view this website.
AB275746

Anti-COL18A1 antibody [EPR23481-21]

  • BOND RX™ Validated
  • RabMAb
  • Recombinant
  • 20ul selling size
  • What is this?

Be the first to review this product! Submit a review

|

(5 Publications)

Rabbit Recombinant Monoclonal Endostatin/COL18A1 antibody. Suitable for ICC/IF, IP, WB, Flow Cyt (Intra), IHC-P and reacts with Human samples. Cited in 5 publications.

View Alternative Names

Collagen alpha-1(XVIII) chain, COL18A1

6 Images
Flow Cytometry (Intracellular) - Anti-COL18A1 antibody [EPR23481-21] (AB275746)
  • Flow Cyt (Intra)

Unknown

Flow Cytometry (Intracellular) - Anti-COL18A1 antibody [EPR23481-21] (AB275746)

Intracellular flow cytometric analysis of 4% paraformaldehyde-fixed, 90% methanol-permeabilized U-937 (Human histiocytic lymphoma monocyte, Left) / HepG2 (Human hepatocellular carcinoma epithelial cell, Right) cells labelling COL18A1 with ab275746 at 1/500 dilution (0.1ug) (Red) compared with a Rabbit monoclonal IgG (ab172730) isotype control (Black) and an unlabelled control (cells without incubation with primary antibody and secondary antibody) (Blue).

A Goat anti-rabbit IgG (Alexa Fluor® 488, ab150077) at 1/2000 dilution was used as the secondary antibody.

Negative control : U937 cell (PMID : 15451191).

Immunohistochemistry (Formalin/PFA-fixed paraffin-embedded sections) - Anti-COL18A1 antibody [EPR23481-21] (AB275746)
  • IHC-P

Unknown

Immunohistochemistry (Formalin/PFA-fixed paraffin-embedded sections) - Anti-COL18A1 antibody [EPR23481-21] (AB275746)

Immunohistochemical analysis of paraffin-embedded Human bladder cancer tissue labeling COL18A1 with ab275746 at 1/4000 (0.134 ug/ml) dilution followed by a ready to use Rabbit specific IHC polymer detection kit HRP/DAB (ab209101). Positive staining on blood vessels of human bladder cancer (PMID : 21815140). The section was incubated with ab275746 for 30 mins at room temperature. The immunostaining was performed on a Leica Biosystems BOND® RX instrument. Counterstained with Hematoxylin.

Secondary antibody only control : Secondary antibody is a ready to use Rabbit specific IHC polymer detection kit HRP/DAB (ab209101).

Heat mediated antigen retrieval with Tris-EDTA buffer (pH 9.0, epitope retrieval solution2) for 20 mins.

Immunocytochemistry/ Immunofluorescence - Anti-COL18A1 antibody [EPR23481-21] (AB275746)
  • ICC/IF

Unknown

Immunocytochemistry/ Immunofluorescence - Anti-COL18A1 antibody [EPR23481-21] (AB275746)

Immunofluorescent analysis of 4% Paraformaldehyde-fixed, 0.1% TritonX-100 permeabilized HepG2 cells labelling COL18A1 with ab275746 at 1/50 (8.26 ug/ml) dilution, followed by ab150077 Goat Anti-Rabbit IgG H&L (Alexa Fluor® 488) antibody at 1/1000 dilution (Green). Confocal image showing cytoplasmic staining in HepG2 cells. Negative control : U937 cell (PMID : 15451191). ab195889 Anti-alpha Tubulin mouse monoclonal antibody - Microtubule Marker (Alexa Fluor® 594) was used to counterstain tubulin at 1/200 2.5 dilution (Red). The Nuclear counterstain was DAPI (Blue).

Secondary antibody only control : Secondary antibody is ab150077 Goat Anti-Rabbit IgG H&L (Alexa Fluor® 488) at 1/1000 dilution.

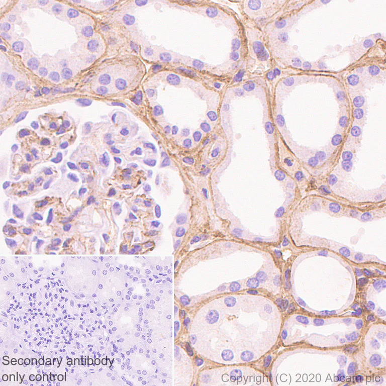
Immunohistochemistry (Formalin/PFA-fixed paraffin-embedded sections) - Anti-COL18A1 antibody [EPR23481-21] (AB275746)
  • IHC-P

Unknown

Immunohistochemistry (Formalin/PFA-fixed paraffin-embedded sections) - Anti-COL18A1 antibody [EPR23481-21] (AB275746)

Immunohistochemical analysis of paraffin-embedded Human kidney tissue labeling COL18A1 with ab275746 at 1/4000 (0.134 ug/ml) dilution followed by a ready to use Rabbit specific IHC polymer detection kit HRP/DAB (ab209101). Positive staining on human kidney (PMID : 12588956). The section was incubated with ab275746 for 30 mins at room temperature. The immunostaining was performed on a Leica Biosystems BOND® RX instrument. Counterstained with Hematoxylin.

Secondary antibody only control : Secondary antibody is a ready to use Rabbit specific IHC polymer detection kit HRP/DAB (ab209101).

Heat mediated antigen retrieval with Tris-EDTA buffer (pH 9.0, epitope retrieval solution2) for 20 mins.

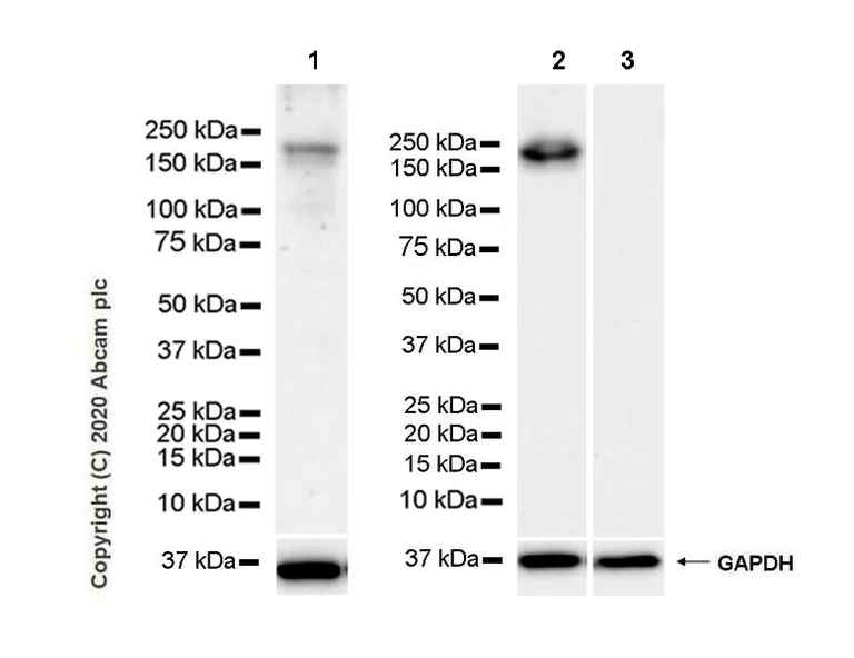
Western blot - Anti-COL18A1 antibody [EPR23481-21] (AB275746)
  • WB

Lab

Western blot - Anti-COL18A1 antibody [EPR23481-21] (AB275746)

Blocking and diluting buffer and concentration : 5% NFDM/TBST.

The expression profile observed is consistent with what has been described in the literature (PMID : 11581192, 15451191).

Negative control : U937 (PMID : 15451191).

The lanes 1 of blot were developed using a higher sensitivity ECL substrate.

Exposure time : Lane 1 : 3 minutes Lane 2-3 : 70 seconds.

All lanes:

Western blot - Anti-COL18A1 antibody [EPR23481-21] (ab275746) at 1/1000 dilution

Lane 1:

HepG2 (human hepatocellular carcinoma epithelial cell), whole cell lysate at 20 µg

Lane 2:

Huh7 (human hepatocellar carcinoma epithelial cell), whole cell lysate at 40 µg

Lane 3:

U937 (human histiocytic lymphoma monocyte), whole cell lysate at 40 µg

Secondary

All lanes:

Goat Anti-Rabbit IgG, (H+L), Peroxidase conjugated (<a href='/en-us/products/secondary-antibodies/goat-rabbit-igg-h-l-hrp-ab97051'>ab97051</a>) at 1/100000 dilution

Predicted band size: 178 kDa

Observed band size: 178 kDa

false

Immunoprecipitation - Anti-COL18A1 antibody [EPR23481-21] (AB275746)
  • IP

Unknown

Immunoprecipitation - Anti-COL18A1 antibody [EPR23481-21] (AB275746)

COL18A1 was immunoprecipitated from 0.35 mg Huh7 (human hepatocellular carcinoma epithelial cell), whole cell lysate with ab275746 at 1/30 dilution (2ug in 0.35mg lysates). Western blot was performed on the immunoprecipitate using ab275746 at 1/1000 dilution. VeriBlot for IP Detection Reagent (HRP)(ab131366) was used at 1/5000 dilution.

Lane 1 : Huh7 (human hepatocellular carcinoma epithelial cell), whole cell lysate 10 ug

Lane 2 : ab275746 IP in Huh7 whole cell lysate

Lane 3 : Rabbit monoclonal IgG (ab172730) instead of 275746 in Huh7 whole cell lysate

Blocking and dilution buffer and concentration : 5% NFDM/TBST.

Exposure time : 3 minutes.

All lanes:

Immunoprecipitation - Anti-COL18A1 antibody [EPR23481-21] (ab275746)

Predicted band size: 178 kDa

Observed band size: 178 kDa

false

  • Carrier free

    Anti-COL18A1 antibody [EPR23481-21] - BSA and Azide free

Key facts

Host species

Rabbit

Clonality

Monoclonal

Clone number

EPR23481-21

Isotype

IgG

Carrier free

No

Reacts with

Human

Applications

WB, Flow Cyt (Intra), IHC-P, ICC/IF, IP

applications

Immunogen

The exact immunogen used to generate this antibody is proprietary information.

Specificity

This antibody does not recognise the Endostatin chain.

This antibody (ab275746 [EPR23481-21] is a distinct clone from ab275390 [EPR23481-240].

Reactivity data

{ "title": "Reactivity Data", "filters": { "stats": ["", "Species", "Dilution Info", "Notes"], "tabs": { "all-applications": {"fullname" : "All Applications", "shortname": "All Applications"}, "ICCIF" : {"fullname" : "Immunocytochemistry/ Immunofluorescence", "shortname":"ICC/IF"}, "IP" : {"fullname" : "Immunoprecipitation", "shortname":"IP"}, "WB" : {"fullname" : "Western blot", "shortname":"WB"}, "FlowCytIntra" : {"fullname" : "Flow Cytometry (Intracellular)", "shortname":"Flow Cyt (Intra)"}, "IHCP" : {"fullname" : "Immunohistochemistry (Formalin/PFA-fixed paraffin-embedded sections)", "shortname":"IHC-P"} }, "product-promise": { "all": "all", "testedAndGuaranteed": "tested", "guaranteed": "expected", "predicted": "predicted", "notRecommended": "not-recommended" } }, "values": { "Human": { "ICCIF-species-checked": "testedAndGuaranteed", "ICCIF-species-dilution-info": "1/50", "ICCIF-species-notes": "<p></p>", "IP-species-checked": "testedAndGuaranteed", "IP-species-dilution-info": "1/30", "IP-species-notes": "<p></p>", "WB-species-checked": "testedAndGuaranteed", "WB-species-dilution-info": "1/1000", "WB-species-notes": "<p></p>", "FlowCytIntra-species-checked": "testedAndGuaranteed", "FlowCytIntra-species-dilution-info": "1/500", "FlowCytIntra-species-notes": "<p></p>", "IHCP-species-checked": "testedAndGuaranteed", "IHCP-species-dilution-info": "1/4000", "IHCP-species-notes": "<p></p> Perform heat-mediated antigen retrieval with Tris/EDTA buffer pH 9.0 before commencing with IHC staining protocol." }, "Mouse": { "ICCIF-species-checked": "notRecommended", "ICCIF-species-dilution-info": "", "ICCIF-species-notes": "", "IP-species-checked": "notRecommended", "IP-species-dilution-info": "", "IP-species-notes": "", "WB-species-checked": "notRecommended", "WB-species-dilution-info": "1/1000", "WB-species-notes": "<p></p>", "FlowCytIntra-species-checked": "notRecommended", "FlowCytIntra-species-dilution-info": "", "FlowCytIntra-species-notes": "", "IHCP-species-checked": "notRecommended", "IHCP-species-dilution-info": "1/4000", "IHCP-species-notes": "<p></p> Perform heat-mediated antigen retrieval with Tris/EDTA buffer pH 9.0 before commencing with IHC staining protocol." }, "Rat": { "ICCIF-species-checked": "notRecommended", "ICCIF-species-dilution-info": "", "ICCIF-species-notes": "", "IP-species-checked": "notRecommended", "IP-species-dilution-info": "", "IP-species-notes": "", "WB-species-checked": "notRecommended", "WB-species-dilution-info": "1/1000", "WB-species-notes": "<p></p>", "FlowCytIntra-species-checked": "notRecommended", "FlowCytIntra-species-dilution-info": "", "FlowCytIntra-species-notes": "", "IHCP-species-checked": "notRecommended", "IHCP-species-dilution-info": "1/4000", "IHCP-species-notes": "<p></p> Perform heat-mediated antigen retrieval with Tris/EDTA buffer pH 9.0 before commencing with IHC staining protocol." } } }

Product details

Patented technology
Our RabMAb® technology is a patented hybridoma-based technology for making rabbit monoclonal antibodies. For details on our patents, please refer to RabMAb® patents.

What are the advantages of a recombinant monoclonal antibody?
This product is a recombinant monoclonal antibody, which offers several advantages including:

  • - High batch-to-batch consistency and reproducibility
  • - Improved sensitivity and specificity
  • - Long-term security of supply
  • - Animal-free batch production

For more information, read more on recombinant antibodies.

Properties and storage information

Form
Liquid
Purification technique
Affinity purification Protein A
Storage buffer
Preservative: 0.01% Sodium azide Constituents: 59.94% PBS, 40% Glycerol (glycerin, glycerine), 0.05% BSA
Shipped at conditions
Blue Ice
Appropriate short-term storage duration
1-2 weeks
Appropriate short-term storage conditions
+4°C
Appropriate long-term storage conditions
-20°C
Aliquoting information
Upon delivery aliquot
Storage information
Avoid freeze / thaw cycle

Product protocols

For this product, it's our understanding that no specific protocols are required. You can visit:

Target data

Probably plays a major role in determining the retinal structure as well as in the closure of the neural tube.. Non-collagenous domain 1. May regulate extracellular matrix-dependent motility and morphogenesis of endothelial and non-endothelial cells; the function requires homotrimerization and implicates MAPK signaling.. Endostatin. Potently inhibits endothelial cell proliferation and angiogenesis (PubMed : 9459295). May inhibit angiogenesis by binding to the heparan sulfate proteoglycans involved in growth factor signaling (By similarity). Inhibits VEGFA-induced endothelial cell proliferation and migration. Seems to inhibit VEGFA-mediated signaling by blocking the interaction of VEGFA to its receptor KDR/VEGFR2. Modulates endothelial cell migration in an integrin-dependent manner implicating integrin ITGA5 : ITGB1 and to a lesser extent ITGAV : ITGB3 and ITGAV : ITGB5 (By similarity). May negatively regulate the activity of homotrimeric non-collagenous domain 1 (PubMed : 11257123).
See full target information COL18A1

Publications (5)

Recent publications for all applications. Explore the full list and refine your search

The Korean journal of physiology & pharmacology : official journal of the Korean Physiological Society and the Korean Society of Pharmacology 27:513-520 PubMed37884283

2023

Cornuside inhibits glucose-induced proliferation and inflammatory response of mesangial cells.

Applications

Unspecified application

Species

Unspecified reactive species

Xiaoxin Li,Lizhong Guo,Fei Huang,Wei Xu,Guiqing Peng

Anais brasileiros de dermatologia 98:26-35 PubMed36272879

2022

Inhibition of ANGPT2 activates autophagy during hypertrophic scar formation via PI3K/AKT/mTOR pathway.

Applications

Unspecified application

Species

Unspecified reactive species

Hongxin Chen,Kai Xu,Chao Sun,Si Gui,Juanjuan Wu,Song Wang

Endocrine 78:491-506 PubMed36070051

2022

Identification of the collagen family as prognostic biomarkers in papillary thyroid carcinoma.

Applications

Unspecified application

Species

Unspecified reactive species

Juntao Niu,Wenyu Guo,Yu-Zhou Chen,Ning Jiang

Cells 11: PubMed35455939

2022

NUP133 Controls Nuclear Pore Assembly, Transcriptome Composition, and Cytoskeleton Regulation in Podocytes.

Applications

Unspecified application

Species

Unspecified reactive species

Manuel Rogg,Jasmin I Maier,Markus Ehle,Alena Sammarco,Oliver Schilling,Martin Werner,Christoph Schell

Molecular medicine reports 24: PubMed34132364

2021

High fluid shear stress prevents atherosclerotic plaque formation by promoting endothelium denudation and synthetic phenotype of vascular smooth muscle cells.

Applications

Unspecified application

Species

Unspecified reactive species

Juan Wang,Yan Wang,Lin Sheng,Tian He,Xiang Nin,Aiying Xue,Hua Zhang,Zhendong Liu
View all publications

Product promise

We are committed to supporting your work with high-quality reagents, and we're here for you every step of the way. In the unlikely event that one of our products does not perform as expected, you're protected by our Product Promise.
For full details, please see our Terms & Conditions

Please note: All products are 'FOR RESEARCH USE ONLY. NOT FOR USE IN DIAGNOSTIC OR THERAPEUTIC PROCEDURES'.

For licensing inquiries, please contact partnerships@abcam.com