JavaScript is disabled in your browser. Please enable JavaScript to view this website.
AB275390

Anti-COL18A1 antibody [EPR23481-240]

Be the first to review this product! Submit a review

|

(0 Publication)

Rabbit Recombinant Monoclonal Endostatin/COL18A1 antibody. Suitable for ICC/IF, IP, WB, Flow Cyt (Intra) and reacts with Human samples.

View Alternative Names

Collagen alpha-1(XVIII) chain, COL18A1

7 Images
Flow Cytometry (Intracellular) - Anti-COL18A1 antibody [EPR23481-240] (AB275390)
  • Flow Cyt (Intra)

Unknown

Flow Cytometry (Intracellular) - Anti-COL18A1 antibody [EPR23481-240] (AB275390)

Intracellular flow cytometric analysis of 4% paraformaldehyde-fixed, 90% methanol-permeabilized U-937 (human histiocytic lymphoma monocyte, Left) / HepG2 (human hepatocellular carcinoma epithelial cell, Right) cells labelling COL18A1 with ab275390 at 1/500 dilution (Red) compared with a Rabbit monoclonal IgG (ab172730) isotype control (Black) and an unlabelled control (cells without incubation with primary antibody and secondary antibody) (Blue).

A Goat anti rabbit IgG (Alexa Fluor® 488, ab150077) at 1/2000 dilution was used as the secondary antibody.

Negative control : U937 cell (PMID : 15451191).

Immunocytochemistry/ Immunofluorescence - Anti-COL18A1 antibody [EPR23481-240] (AB275390)
  • ICC/IF

Unknown

Immunocytochemistry/ Immunofluorescence - Anti-COL18A1 antibody [EPR23481-240] (AB275390)

Immunofluorescent analysis of 4% paraformaldehyde-fixed, 0.1% Triton X-100 permeabilized HepG2 (human hepatocellular carcinoma epithelial cell) cells labelling COL18A1 with ab275390 at 1/50 dilution, followed by ab150077 Goat Anti-Rabbit IgG H&L (Alexa Fluor® 488) antibody at 1/1000 dilution (Green). Confocal image showing cytoplasmic staining in HepG2 cells. Negative control : U937 cell (PMID : 15451191). is observed. ab195889 Anti-alpha Tubulin mouse monoclonal antibody - Microtubule Marker (Alexa Fluor® 594) was used to counterstain tubulin at 1/200 dilution (Red). The Nuclear counterstain was DAPI (Blue).

Secondary antibody only control : Secondary antibody is ab150077 Goat Anti-Rabbit IgG H&L (Alexa Fluo 488) at 1/1000 dilution.

Western blot - Anti-COL18A1 antibody [EPR23481-240] (AB275390)
  • WB

Lab

Western blot - Anti-COL18A1 antibody [EPR23481-240] (AB275390)

Blocking and diluting buffer and concentration : 5% NFDM/TBST.

The expression profile observed is consistent with what has been described in the literature (PMID : 11581192, 16465514, 15451191).

Exposure time : Lane 1, 4 : 3 minutes Lane 2, 3 : 26 seconds.

All lanes:

Western blot - Anti-COL18A1 antibody [EPR23481-240] (ab275390) at 1/1000 dilution

Lane 1:

Human lung tissue lysate at 20 µg

Lane 2:

Human kidney tissue lysate at 20 µg

Lane 3:

Human placenta tissue lysate at 20 µg

Lane 4:

Human testis tissue lysate at 20 µg

Secondary

All lanes:

VeriBlot for IP secondary antibody(HRP)(<a href='/en-us/products/reagents/veriblot-for-ip-detection-reagent-hrp-ab131366'>ab131366</a>) at 1/1000 dilution

Predicted band size: 178 kDa

Observed band size: 23 kDa,28 kDa

false

Immunoprecipitation - Anti-COL18A1 antibody [EPR23481-240] (AB275390)
  • IP

Unknown

Immunoprecipitation - Anti-COL18A1 antibody [EPR23481-240] (AB275390)

COL18A1 was immunoprecipitated from 0.35 mg human lung tissue lysate with ab275390 at 1/30 dilution (2ug in 0.35mg lysates). Western blot was performed on the immunoprecipitate using ab275390 at 1/1000 dilution. VeriBlot for IP Detection Reagent (HRP)(ab131366) was used at 1/5000 dilution.

Lane 1 : Human lung tissue lysate 10 ug

Lane 2 : ab275390 IP in Human lung tissue lysate

Lane 3 : Rabbit monoclonal IgG (ab172730) instead of ab275390 in Human lung tissue lysate

Blocking and dilution buffer and concentration : 5% NFDM/TBST.

Exposure time : 7.75 seconds.

23 kDa and 28 kDa fragments are part of the C-terminal non-collagenous domain containing endostatin.

All lanes:

Immunoprecipitation - Anti-COL18A1 antibody [EPR23481-240] (ab275390)

Predicted band size: 178 kDa

Observed band size: 23 kDa,28 kDa

false

Immunoprecipitation - Anti-COL18A1 antibody [EPR23481-240] (AB275390)
  • IP

Unknown

Immunoprecipitation - Anti-COL18A1 antibody [EPR23481-240] (AB275390)

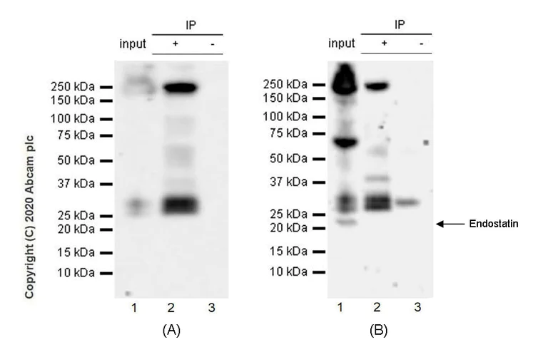
COL18A1 was immunoprecipitated from 0.35 mg Huh7 (human hepatocellular carcinoma epithelial cell) whole cell lysate with ab275390 at 1/30 dilution (2ug in 0.35mg lysates). Western blot was performed on the immunoprecipitate using ab275390 at 1/1000 dilution. VeriBlot for IP Detection Reagent (HRP)(ab131366) was used at 1/5000 dilution.

Lane 1 : Huh7 (human hepatocellular carcinoma epithelial cell), whole cell lysate 10 ug

Lane 2 : ab275390 IP in Huh7 whole cell lysate

Lane 3 : Rabbit monoclonal IgG (ab172730) instead of ab275390 in Huh7 whole cell lysate

Blocking and dilution buffer and concentration : 5% NFDM/TBST.

Exposure time : 101 seconds.

23 kDa and 28 kDa fragments are part of the C-terminal non-collagenous domain containing endostatin.

All lanes:

Immunoprecipitation - Anti-COL18A1 antibody [EPR23481-240] (ab275390)

Predicted band size: 178 kDa

Observed band size: 178 kDa,23 kDa,28 kDa

false

Immunoprecipitation - Anti-COL18A1 antibody [EPR23481-240] (AB275390)
  • IP

Unknown

Immunoprecipitation - Anti-COL18A1 antibody [EPR23481-240] (AB275390)

COL18A1 was immunoprecipitated from 0.35 mg Huh7 (human hepatocellular carcinoma epithelial cell) whole cell lysate with ab275390 at 1/30 dilution (2ug in 0.35mg lysates). Western blot was performed on the immunoprecipitate using ab275390 at 1/1000 dilution. VeriBlot for IP Detection Reagent (HRP)(ab131366) was used at 1/5000 dilution.

Lane 1 : Huh7 (human hepatocellular carcinoma epithelial cell) whole cell lysate 10 ug

Lane 2 : ab275390 IP in Huh7 whole cell lysate

Lane 3 : Rabbit monoclonal IgG (ab172730) instead of ab275390 in Huh7 whole cell lysate

Blocking and dilution buffer and concentration : 5% NFDM/TBST.

Exposure time : Panel A : 32 seconds
Panel B : 3 minutes

Western blot was performed with the immuno-precipitate of ab275390, probed with ab275390 at 1/1000 dilution (Panel A) or ab207162 at 1/1000 dilution (Panel B). The 23- and 28-kDa fragments were recognized by ab207126, suggesting that these fragments are part of the C-terminal non-collagenous domain containing endostatin.

All lanes:

Immunoprecipitation - Anti-COL18A1 antibody [EPR23481-240] (ab275390)

Predicted band size: 178 kDa

Observed band size: 178 kDa,23 kDa,28 kDa

false

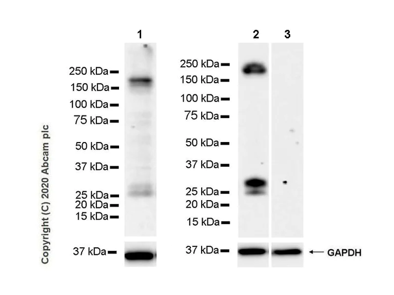
Western blot - Anti-COL18A1 antibody [EPR23481-240] (AB275390)
  • WB

Lab

Western blot - Anti-COL18A1 antibody [EPR23481-240] (AB275390)

Blocking and diluting buffer and concentration : 5% NFDM/TBST.

The expression profile observed is consistent with what has been described in the literature (PMID : 11581192, 16465514, 15451191).

Negative control : U937 (PMID : 15451191).

The lanes 1 of blot were developed using a higher sensitivity ECL substrate.

Exposure time : 92 seconds.

All lanes:

Western blot - Anti-COL18A1 antibody [EPR23481-240] (ab275390) at 1/1000 dilution

Lane 1:

HepG2 (human hepatocellular carcinoma epithelial cell), whole cell lysate at 20 µg

Lane 2:

Huh7 (human hepatocellar carcinoma epithelial cell), whole cell lysate at 40 µg

Lane 3:

U937 (human histiocytic lymphoma monocyte), whole cell lysate at 40 µg

Secondary

All lanes:

Goat Anti-Rabbit IgG, (H+L), Peroxidase conjugated (<a href='/en-us/products/secondary-antibodies/goat-rabbit-igg-h-l-hrp-ab97051'>ab97051</a>) at 1/100000 dilution

Predicted band size: 178 kDa

Observed band size: 178 kDa,23 kDa,28 kDa

false

Key facts

Host species

Rabbit

Clonality

Monoclonal

Clone number

EPR23481-240

Isotype

IgG

Carrier free

No

Reacts with

Human

Applications

IP, Flow Cyt (Intra), WB, ICC/IF

applications

Immunogen

The exact immunogen used to generate this antibody is proprietary information.

Specificity

This antibody does not recognise the Endostatin chain.

This antibody ab275390 [EPR23481-240]] is a distinct clone from ab275746 [EPR23481-21].

Reactivity data

{ "title": "Reactivity Data", "filters": { "stats": ["", "Species", "Dilution Info", "Notes"], "tabs": { "all-applications": {"fullname" : "All Applications", "shortname": "All Applications"}, "ICCIF" : {"fullname" : "Immunocytochemistry/ Immunofluorescence", "shortname":"ICC/IF"}, "IP" : {"fullname" : "Immunoprecipitation", "shortname":"IP"}, "WB" : {"fullname" : "Western blot", "shortname":"WB"}, "IHCP" : {"fullname" : "Immunohistochemistry (Formalin/PFA-fixed paraffin-embedded sections)", "shortname":"IHC-P"}, "FlowCytIntra" : {"fullname" : "Flow Cytometry (Intracellular)", "shortname":"Flow Cyt (Intra)"} }, "product-promise": { "all": "all", "testedAndGuaranteed": "tested", "guaranteed": "expected", "predicted": "predicted", "notRecommended": "not-recommended" } }, "values": { "Human": { "ICCIF-species-checked": "testedAndGuaranteed", "ICCIF-species-dilution-info": "1/50", "ICCIF-species-notes": "<p></p>", "IP-species-checked": "testedAndGuaranteed", "IP-species-dilution-info": "1/30", "IP-species-notes": "<p></p>", "WB-species-checked": "testedAndGuaranteed", "WB-species-dilution-info": "1/1000", "WB-species-notes": "<p></p>", "IHCP-species-checked": "notRecommended", "IHCP-species-dilution-info": "", "IHCP-species-notes": "<p></p>", "FlowCytIntra-species-checked": "testedAndGuaranteed", "FlowCytIntra-species-dilution-info": "1/500", "FlowCytIntra-species-notes": "<p></p>" }, "Mouse": { "ICCIF-species-checked": "notRecommended", "ICCIF-species-dilution-info": "", "ICCIF-species-notes": "", "IP-species-checked": "notRecommended", "IP-species-dilution-info": "", "IP-species-notes": "", "WB-species-checked": "notRecommended", "WB-species-dilution-info": "1/1000", "WB-species-notes": "<p></p>", "IHCP-species-checked": "notRecommended", "IHCP-species-dilution-info": "", "IHCP-species-notes": "<p></p>", "FlowCytIntra-species-checked": "notRecommended", "FlowCytIntra-species-dilution-info": "", "FlowCytIntra-species-notes": "" }, "Rat": { "ICCIF-species-checked": "notRecommended", "ICCIF-species-dilution-info": "", "ICCIF-species-notes": "", "IP-species-checked": "notRecommended", "IP-species-dilution-info": "", "IP-species-notes": "", "WB-species-checked": "notRecommended", "WB-species-dilution-info": "1/1000", "WB-species-notes": "<p></p>", "IHCP-species-checked": "notRecommended", "IHCP-species-dilution-info": "", "IHCP-species-notes": "<p></p>", "FlowCytIntra-species-checked": "notRecommended", "FlowCytIntra-species-dilution-info": "", "FlowCytIntra-species-notes": "" } } }

Product details

Patented technology
Our RabMAb® technology is a patented hybridoma-based technology for making rabbit monoclonal antibodies. For details on our patents, please refer to RabMAb® patents.

What are the advantages of a recombinant monoclonal antibody?
This product is a recombinant monoclonal antibody, which offers several advantages including:

  • - High batch-to-batch consistency and reproducibility
  • - Improved sensitivity and specificity
  • - Long-term security of supply
  • - Animal-free batch production

For more information, read more on recombinant antibodies.

Properties and storage information

Form
Liquid
Purification technique
Affinity purification Protein A
Storage buffer
Preservative: 0.01% Sodium azide Constituents: PBS, 40% Glycerol (glycerin, glycerine), 0.05% BSA
Shipped at conditions
Blue Ice
Appropriate short-term storage duration
1-2 weeks
Appropriate short-term storage conditions
+4°C
Appropriate long-term storage conditions
-20°C
Aliquoting information
Upon delivery aliquot
Storage information
Avoid freeze / thaw cycle

Product protocols

For this product, it's our understanding that no specific protocols are required. You can visit:

Target data

Probably plays a major role in determining the retinal structure as well as in the closure of the neural tube.. Non-collagenous domain 1. May regulate extracellular matrix-dependent motility and morphogenesis of endothelial and non-endothelial cells; the function requires homotrimerization and implicates MAPK signaling.. Endostatin. Potently inhibits endothelial cell proliferation and angiogenesis (PubMed : 9459295). May inhibit angiogenesis by binding to the heparan sulfate proteoglycans involved in growth factor signaling (By similarity). Inhibits VEGFA-induced endothelial cell proliferation and migration. Seems to inhibit VEGFA-mediated signaling by blocking the interaction of VEGFA to its receptor KDR/VEGFR2. Modulates endothelial cell migration in an integrin-dependent manner implicating integrin ITGA5 : ITGB1 and to a lesser extent ITGAV : ITGB3 and ITGAV : ITGB5 (By similarity). May negatively regulate the activity of homotrimeric non-collagenous domain 1 (PubMed : 11257123).
See full target information COL18A1

Product promise

We are committed to supporting your work with high-quality reagents, and we're here for you every step of the way. In the unlikely event that one of our products does not perform as expected, you're protected by our Product Promise.
For full details, please see our Terms & Conditions

Please note: All products are 'FOR RESEARCH USE ONLY. NOT FOR USE IN DIAGNOSTIC OR THERAPEUTIC PROCEDURES'.

For licensing inquiries, please contact partnerships@abcam.com