JavaScript is disabled in your browser. Please enable JavaScript to view this website.
AB323563

Anti-COL1A2 antibody [EPR29717-534]

Be the first to review this product! Submit a review

|

(0 Publication)

Rabbit Recombinant Monoclonal COL1A2 antibody. Suitable for WB and reacts with Recombinant fragment - Human, Mouse samples.

View Alternative Names

Cola2, Collagen alpha-2(I) chain, Alpha-2 type I collagen

3 Images
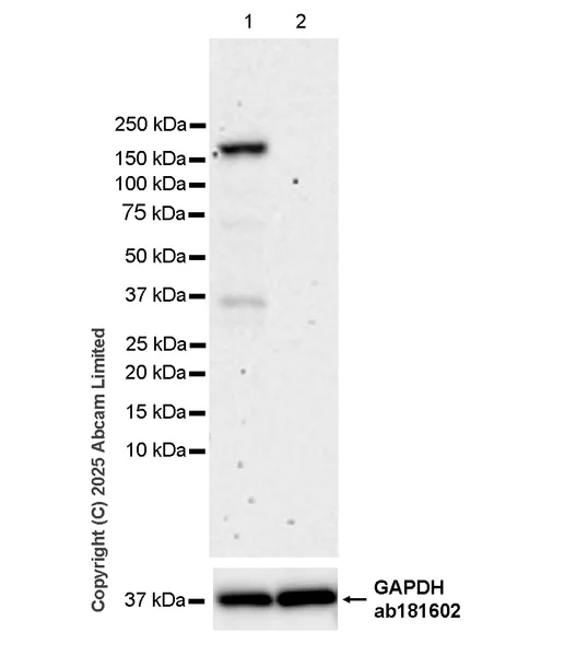
Western blot - Anti-COL1A2 antibody [EPR29717-534] (AB323563)
  • WB

Supplier Data

Western blot - Anti-COL1A2 antibody [EPR29717-534] (AB323563)

Blocking and diluting buffer and concentration : 5% NFDM/TBST.

Low expression : brain

Cleaved C-propeptide (35 kDa) are observed. The molecular weight observed is consistent with what has been described in the literature (PMID : 23940311).

In Western blot, Anti-GAPDH antibody [EPR16891] - Loading Control (ab181602) staining at 1/200000 dilution.

All lanes:

Western blot - Anti-COL1A2 antibody [EPR29717-534] (ab323563) at 1/1000 dilution

Lane 1:

Mouse articular cartilage tissue lysate at 40 µg

Lane 2:

Mouse bone cartilage tissue lysate at 40 µg

Lane 3:

Mouse skin tissue lysate at 40 µg

Lane 4:

Mouse brain tissue lysate at 40 µg

Secondary

All lanes:

Western blot - Goat Anti-Rabbit IgG H&L (HRP) (<a href='/en-us/products/secondary-antibodies/goat-rabbit-igg-h-l-hrp-ab97051'>ab97051</a>) at 1/100000 dilution

Observed band size: 35 kDa,165 kDa,36 kDa

false

Exposure time: 37s

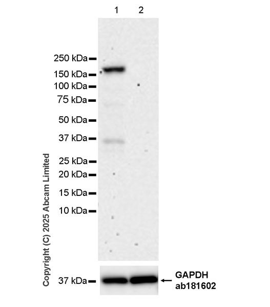
Western blot - Anti-COL1A2 antibody [EPR29717-534] (AB323563)
  • WB

Supplier Data

Western blot - Anti-COL1A2 antibody [EPR29717-534] (AB323563)

Blocking and diluting buffer and concentration : 5% NFDM/TBST.

Negative control : RAW 264.7

Cleaved C-propeptide (35 kDa) are observed. The molecular weight observed is consistent with what has been described in the literature (PMID : 23940311).

In Western blot, Anti-GAPDH antibody [EPR16891] - Loading Control (ab181602) staining at 1/200000 dilution.

All lanes:

Western blot - Anti-COL1A2 antibody [EPR29717-534] (ab323563) at 1/1000 dilution

Lane 1:

3T3-L1 (mouse embryonic fibroblast) whole cell lysate at 20 µg

Lane 2:

RAW 264.7 (mouse Abelson murine leukemia virus-induced tumor macrophage) whole cell lysate at 20 µg

Secondary

All lanes:

Western blot - Goat Anti-Rabbit IgG H&L (HRP) (<a href='/en-us/products/secondary-antibodies/goat-rabbit-igg-h-l-hrp-ab97051'>ab97051</a>) at 1/100000 dilution

Observed band size: 35 kDa,165 kDa,36 kDa

false

Exposure time: 180s

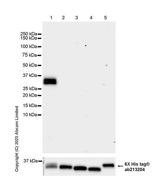
Western blot - Anti-COL1A2 antibody [EPR29717-534] (AB323563)
  • WB

Supplier Data

Western blot - Anti-COL1A2 antibody [EPR29717-534] (AB323563)

Blocking and diluting buffer and concentration : 5% NFDM/TBST.

This antibody does not cross-react with recombinant human COL1A1, COL2A1, COL3A1 or COL5A2 by Western Blot.

In Western blot, Anti-6X His tag® antibody [EPR20547] - ChIP Grade (ab213204) staining at 1/5000 dilution.

All lanes:

Western blot - Anti-COL1A2 antibody [EPR29717-534] (ab323563) at 1/1000 dilution

Lane 1:

His-tagged human COL1A2 recombinant protein at 10 ng

Lane 2:

His-tagged human COL2A1 recombinant protein at 10 ng

Lane 3:

His-tagged human COL1A1 recombinant protein at 10 ng

Lane 4:

His-tagged human COL3A1 recombinant protein at 10 ng

Lane 5:

His-tagged human COL5A2 recombinant protein at 10 ng

Secondary

All lanes:

Western blot - Goat Anti-Rabbit IgG H&L (HRP) (<a href='/en-us/products/secondary-antibodies/goat-rabbit-igg-h-l-hrp-ab97051'>ab97051</a>) at 1/100000 dilution

Observed band size: 28 kDa

false

Exposure time: 26s

Key facts

Host species

Rabbit

Clonality

Monoclonal

Clone number

EPR29717-534

Isotype

IgG

Carrier free

No

Reacts with

Mouse

Applications

WB

applications

Immunogen

The exact immunogen used to generate this antibody is proprietary information.

Reactivity data

{ "title": "Reactivity Data", "filters": { "stats": ["", "Species", "Dilution Info", "Notes"], "tabs": { "all-applications": {"fullname" : "All Applications", "shortname": "All Applications"}, "WB" : {"fullname" : "Western blot", "shortname":"WB"}, "IHCP" : {"fullname" : "Immunohistochemistry (Formalin/PFA-fixed paraffin-embedded sections)", "shortname":"IHC-P"} }, "product-promise": { "all": "all", "testedAndGuaranteed": "tested", "guaranteed": "expected", "predicted": "predicted", "notRecommended": "not-recommended" } }, "values": { "Mouse": { "WB-species-checked": "testedAndGuaranteed", "WB-species-dilution-info": "1/1000", "WB-species-notes": "<p></p>", "IHCP-species-checked": "notRecommended", "IHCP-species-dilution-info": "", "IHCP-species-notes": "<p></p>" }, "Recombinant fragment - Human": { "WB-species-checked": "testedAndGuaranteed", "WB-species-dilution-info": "1/1000", "WB-species-notes": "<p></p>", "IHCP-species-checked": "notRecommended", "IHCP-species-dilution-info": "", "IHCP-species-notes": "" } } }

Product details

Patented technology
Our RabMAb® technology is a patented hybridoma-based technology for making rabbit monoclonal antibodies. For details on our patents, please refer to RabMAb® patents.

What are the advantages of a recombinant monoclonal antibody?
This product is a recombinant monoclonal antibody, which offers several advantages including:

  • - High batch-to-batch consistency and reproducibility
  • - Improved sensitivity and specificity
  • - Long-term security of supply
  • - Animal-free batch production

For more information, read more on recombinant antibodies.

Properties and storage information

Form
Liquid
Purification technique
Affinity purification Protein A
Storage buffer
pH: 7.2 - 7.4 Preservative: 0.01% Sodium azide Constituents: PBS, 40% Glycerol (glycerin, glycerine), 0.05% BSA
Shipped at conditions
Blue Ice
Appropriate short-term storage duration
1-2 weeks
Appropriate short-term storage conditions
+4°C
Appropriate long-term storage conditions
-20°C
Aliquoting information
Upon delivery aliquot
Storage information
Avoid freeze / thaw cycle

Product protocols

For this product, it's our understanding that no specific protocols are required. You can visit:

Target data

Type I collagen is a member of group I collagen (fibrillar forming collagen).
See full target information Col1a2

Product promise

We are committed to supporting your work with high-quality reagents, and we're here for you every step of the way. In the unlikely event that one of our products does not perform as expected, you're protected by our Product Promise.
For full details, please see our Terms & Conditions

Please note: All products are 'FOR RESEARCH USE ONLY. NOT FOR USE IN DIAGNOSTIC OR THERAPEUTIC PROCEDURES'.

For licensing inquiries, please contact partnerships@abcam.com