JavaScript is disabled in your browser. Please enable JavaScript to view this website.
AB151422

Anti-COL6A1 antibody

Be the first to review this product! Submit a review

|

(5 Publications)

Rabbit Polyclonal COL6A1 antibody. Suitable for IHC-P, WB, ICC/IF and reacts with Human, Mouse, Rat samples. Cited in 5 publications. Immunogen corresponding to Recombinant Fragment Protein within Human COL6A1 aa 550-850.

View Alternative Names

Collagen alpha-1(VI) chain, COL6A1

5 Images
Immunohistochemistry (Formalin/PFA-fixed paraffin-embedded sections) - Anti-COL6A1 antibody (AB151422)
  • IHC-P

Supplier Data

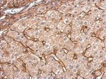
Immunohistochemistry (Formalin/PFA-fixed paraffin-embedded sections) - Anti-COL6A1 antibody (AB151422)

Immunohistochemical analysis of paraffin-embedded hepatoma tissue stained for COL6A1 protein at cytosol on human hepatoma with ab151422 at a 1/500 dilution.

Antigen retrieval : Trilogy™ (EDTA based, pH 8.0) buffer, 15min.

Immunohistochemistry (Formalin/PFA-fixed paraffin-embedded sections) - Anti-COL6A1 antibody (AB151422)
  • IHC-P

Supplier Data

Immunohistochemistry (Formalin/PFA-fixed paraffin-embedded sections) - Anti-COL6A1 antibody (AB151422)

Immunohistochemical analysis of paraffin-embedded mouse liver tissue stained for COL6A1 protein at cytosol on mouse liver with ab151422 at a 1/500 dilution.

Antigen retrieval : Trilogy™ (EDTA based, pH 8.0) buffer, 15min.

Immunocytochemistry/ Immunofluorescence - Anti-COL6A1 antibody (AB151422)
  • ICC/IF

Supplier Data

Immunocytochemistry/ Immunofluorescence - Anti-COL6A1 antibody (AB151422)

Immunofluorescence analysis of DIV10 rat E18 primary cortical neuron cells fixed in 4% paraformaldehyde at RT for 15 min labelling COL6A1 protein using ab151422 at a 1/500 dilution (Green). beta Tubulin 3/ Tuj1, stained by beta Tubulin 3/ Tuj1 antibody at a 1/500 dilution (Red). DAPI was used for nuclear staining (Blue).

Western blot - Anti-COL6A1 antibody (AB151422)
  • WB

Supplier Data

Western blot - Anti-COL6A1 antibody (AB151422)

Samples were separated by 7.5 % SDS. Corresponding RNA expression data for the same cell lines are based on Human Protein Atlas program.

All lanes:

Western blot - Anti-COL6A1 antibody (ab151422) at 1/500 dilution

All lanes:

U87-MG whole cell extract at 30 µg

Secondary

All lanes:

HRP-conjugated anti-rabbit IgG antibody

Predicted band size: 105 kDa

false

Western blot - Anti-COL6A1 antibody (AB151422)
  • WB

Lab

Western blot - Anti-COL6A1 antibody (AB151422)

All lanes:

Western blot - Anti-COL6A1 antibody (ab151422) at 1/500 dilution

Lane 1:

WT 293T cell extracts at 30 µg

Lane 2:

COL6A1 Knockout 293T cell extracts at 30 µg

Secondary

All lanes:

HRP-conjugated anti-rabbit IgG

Predicted band size: 109 kDa

false

Key facts

Host species

Rabbit

Clonality

Polyclonal

Isotype

IgG

Carrier free

No

Reacts with

Rat, Mouse, Human

Applications

WB, ICC/IF, IHC-P

applications

Immunogen

Recombinant Fragment Protein within Human COL6A1 aa 550-850. The exact immunogen used to generate this antibody is proprietary information.

P12109

Reactivity data

{ "title": "Reactivity Data", "filters": { "stats": ["", "Species", "Dilution Info", "Notes"], "tabs": { "all-applications": {"fullname" : "All Applications", "shortname": "All Applications"}, "IHCP" : {"fullname" : "Immunohistochemistry (Formalin/PFA-fixed paraffin-embedded sections)", "shortname":"IHC-P"}, "WB" : {"fullname" : "Western blot", "shortname":"WB"}, "ICCIF" : {"fullname" : "Immunocytochemistry/ Immunofluorescence", "shortname":"ICC/IF"} }, "product-promise": { "all": "all", "testedAndGuaranteed": "tested", "guaranteed": "expected", "predicted": "predicted", "notRecommended": "not-recommended" } }, "values": { "Human": { "IHCP-species-checked": "testedAndGuaranteed", "IHCP-species-dilution-info": "1/100 - 1/1000", "IHCP-species-notes": "<p></p>", "WB-species-checked": "testedAndGuaranteed", "WB-species-dilution-info": "1/500 - 1/3000", "WB-species-notes": "<p></p>", "ICCIF-species-checked": "guaranteed", "ICCIF-species-dilution-info": "", "ICCIF-species-notes": "" }, "Mouse": { "IHCP-species-checked": "testedAndGuaranteed", "IHCP-species-dilution-info": "1/100 - 1/1000", "IHCP-species-notes": "<p></p>", "WB-species-checked": "testedAndGuaranteed", "WB-species-dilution-info": "1/500 - 1/3000", "WB-species-notes": "<p></p>", "ICCIF-species-checked": "guaranteed", "ICCIF-species-dilution-info": "", "ICCIF-species-notes": "" }, "Rat": { "IHCP-species-checked": "guaranteed", "IHCP-species-dilution-info": "", "IHCP-species-notes": "", "WB-species-checked": "guaranteed", "WB-species-dilution-info": "", "WB-species-notes": "", "ICCIF-species-checked": "testedAndGuaranteed", "ICCIF-species-dilution-info": "1/100 - 1/1000", "ICCIF-species-notes": "<p></p>" } } }

Properties and storage information

Form
Liquid
Purification technique
Affinity purification Immunogen
Storage buffer
pH: 7 Preservative: 0.01% Thimerosal (merthiolate) Constituents: 10% Glycerol (glycerin, glycerine), 1.21% Tris, 0.75% Glycine
Shipped at conditions
Blue Ice
Appropriate short-term storage conditions
+4°C
Appropriate long-term storage conditions
-20°C
Aliquoting information
Upon delivery aliquot
Storage information
Avoid freeze / thaw cycle

Product protocols

For this product, it's our understanding that no specific protocols are required. You can visit:

Target data

Collagen VI acts as a cell-binding protein.
See full target information COL6A1

Publications (5)

Recent publications for all applications. Explore the full list and refine your search

CNS neuroscience & therapeutics 30:e14802 PubMed38887185

2024

Identification and validation of COL6A1 as a novel target for tumor electric field therapy in glioblastoma.

Applications

Unspecified application

Species

Unspecified reactive species

Junyi Chen,Yuyang Liu,Jinxin Lan,Hongyu Liu,Qingyun Tang,Ze Li,Xiaoguang Qiu,Wentao Hu,Jiaxin Xie,Yaping Feng,Lilin Qin,Xin Zhang,Jialin Liu,Ling Chen

Oncology letters 22:693 PubMed34457048

2021

Identification of differentially expressed genes using microarray analysis and COL6A1 induction of bone metastasis in non-small cell lung cancer.

Applications

Unspecified application

Species

Unspecified reactive species

Nan Li,Ming Liu,Xiaohui Cao,Wei Li,Yunfang Li,Zongmao Zhao

Experimental and therapeutic medicine 18:1977-1984 PubMed31410158

2019

COL6A1 knockdown suppresses cell proliferation and migration in human aortic vascular smooth muscle cells.

Applications

Unspecified application

Species

Unspecified reactive species

Zongxiang Chen,Qingjian Wu,Chengjun Yan,Juan Du

American journal of physiology. Lung cellular and 317:L347-L360 PubMed31268347

2019

Integration of transcriptomic and proteomic data identifies biological functions in cell populations from human infant lung.

Applications

Unspecified application

Species

Unspecified reactive species

Yina Du,Geremy C Clair,Denise Al Alam,Soula Danopoulos,Daniel Schnell,Joseph A Kitzmiller,Ravi S Misra,Soumyaroop Bhattacharya,David Warburton,Thomas J Mariani,Gloria S Pryhuber,Jeffrey A Whitsett,Charles Ansong,Yan Xu

International journal of oncology 55:391-404 PubMed31268154

2019

COL6A1 promotes metastasis and predicts poor prognosis in patients with pancreatic cancer.

Applications

Unspecified application

Species

Unspecified reactive species

Kwabena Gyabaah Owusu-Ansah,Guangyuan Song,Ronggao Chen,Muhammad Ibrahim Alhadi Edoo,Jun Li,Bingjie Chen,Jian Wu,Lin Zhou,Haiyang Xie,Donghai Jiang,Shusen Zheng
View all publications

Product promise

We are committed to supporting your work with high-quality reagents, and we're here for you every step of the way. In the unlikely event that one of our products does not perform as expected, you're protected by our Product Promise.
For full details, please see our Terms & Conditions

Please note: All products are 'FOR RESEARCH USE ONLY. NOT FOR USE IN DIAGNOSTIC OR THERAPEUTIC PROCEDURES'.

For licensing inquiries, please contact partnerships@abcam.com