JavaScript is disabled in your browser. Please enable JavaScript to view this website.
AB196591

Anti-COL9A3 antibody

2

(1 Review)

|

(1 Publication)

Rabbit Polyclonal COL9A3 antibody. Suitable for IHC-P, ICC/IF and reacts with Human, Mouse samples. Cited in 1 publication. Immunogen corresponding to Synthetic Peptide within Human Collagen alpha-3(IX) chain.

View Alternative Names

Collagen alpha-3(IX) chain, COL9A3

2 Images
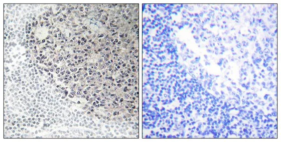
Immunohistochemistry (Formalin/PFA-fixed paraffin-embedded sections) - Anti-COL9A3 antibody (AB196591)
  • IHC-P

Supplier Data

Immunohistochemistry (Formalin/PFA-fixed paraffin-embedded sections) - Anti-COL9A3 antibody (AB196591)

Immunohistochemical analysis of paraffin-embedded human tonsil tissue labeling COL9A3 usingab196591 at a 1/50 dilution. Right image treated with synthesized peptide.

Immunocytochemistry/ Immunofluorescence - Anti-COL9A3 antibody (AB196591)
  • ICC/IF

Supplier Data

Immunocytochemistry/ Immunofluorescence - Anti-COL9A3 antibody (AB196591)

Immunofluorescence analysis of NIH/3T3 cells labeling COL9A3 using ab196591 at a 1/100 dilution. Right image treated with synthesized peptide.

Key facts

Host species

Rabbit

Clonality

Polyclonal

Isotype

IgG

Carrier free

No

Reacts with

Mouse, Human

Applications

IHC-P, ICC/IF

applications

Immunogen

Synthetic Peptide within Human Collagen alpha-3(IX) chain. The exact immunogen used to generate this antibody is proprietary information.

Q14050

Reactivity data

{ "title": "Reactivity Data", "filters": { "stats": ["", "Species", "Dilution Info", "Notes"], "tabs": { "all-applications": {"fullname" : "All Applications", "shortname": "All Applications"}, "IHCP" : {"fullname" : "Immunohistochemistry (Formalin/PFA-fixed paraffin-embedded sections)", "shortname":"IHC-P"}, "ICCIF" : {"fullname" : "Immunocytochemistry/ Immunofluorescence", "shortname":"ICC/IF"} }, "product-promise": { "all": "all", "testedAndGuaranteed": "tested", "guaranteed": "expected", "predicted": "predicted", "notRecommended": "not-recommended" } }, "values": { "Human": { "IHCP-species-checked": "testedAndGuaranteed", "IHCP-species-dilution-info": "1/50 - 1/100", "IHCP-species-notes": "<p></p>", "ICCIF-species-checked": "guaranteed", "ICCIF-species-dilution-info": "", "ICCIF-species-notes": "" }, "Mouse": { "IHCP-species-checked": "guaranteed", "IHCP-species-dilution-info": "", "IHCP-species-notes": "", "ICCIF-species-checked": "testedAndGuaranteed", "ICCIF-species-dilution-info": "1/100 - 1/500", "ICCIF-species-notes": "<p></p>" } } }

Properties and storage information

Form
Liquid
Purification technique
Affinity purification Immunogen
Storage buffer
pH: 7.4 Preservative: 0.02% Sodium azide Constituents: PBS, 50% Glycerol (glycerin, glycerine), 0.87% Sodium chloride
Shipped at conditions
Blue Ice
Appropriate short-term storage duration
1-2 weeks
Appropriate short-term storage conditions
+4°C
Appropriate long-term storage conditions
-20°C
Aliquoting information
Upon delivery aliquot
Storage information
Avoid freeze / thaw cycle

Product protocols

For this product, it's our understanding that no specific protocols are required. You can visit:

Target data

Structural component of hyaline cartilage and vitreous of the eye.
See full target information Collagen alpha-3(IX) chain

Publications (1)

Recent publications for all applications. Explore the full list and refine your search

Journal of cellular and molecular medicine 27:2437-2447 PubMed37436074

2023

PSMC4 promotes prostate carcinoma progression by regulating the CBX3-EGFR-PI3K-AKT-mTOR pathway.

Applications

Unspecified application

Species

Unspecified reactive species

Kaifeng Liu,Shengmin Zhang,Yongzhan Gong,Panyan Zhu,Weigan Shen,Qi Zhang
View all publications

Product promise

We are committed to supporting your work with high-quality reagents, and we're here for you every step of the way. In the unlikely event that one of our products does not perform as expected, you're protected by our Product Promise.
For full details, please see our Terms & Conditions

Please note: All products are 'FOR RESEARCH USE ONLY. NOT FOR USE IN DIAGNOSTIC OR THERAPEUTIC PROCEDURES'.

For licensing inquiries, please contact partnerships@abcam.com