JavaScript is disabled in your browser. Please enable JavaScript to view this website.
AB238585

Anti-COLEC11 antibody

Be the first to review this product! Submit a review

|

(2 Publications)

Rabbit Polyclonal COLEC11 antibody. Suitable for WB, IHC-P and reacts with Rat, Human samples. Cited in 2 publications. Immunogen corresponding to Recombinant Fragment Protein within Human COLEC11 aa 1 to C-terminus.

View Alternative Names

UNQ596/PRO1182, COLEC11, Collectin-11, Collectin kidney protein 1, CL-K1

2 Images
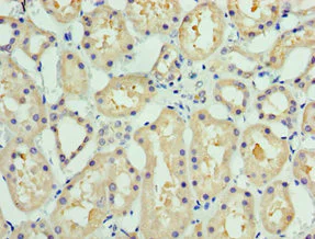
Immunohistochemistry (Formalin/PFA-fixed paraffin-embedded sections) - Anti-COLEC11 antibody (AB238585)
  • IHC-P

Supplier Data

Immunohistochemistry (Formalin/PFA-fixed paraffin-embedded sections) - Anti-COLEC11 antibody (AB238585)

Paraffin-embedded human kidney tissue stained for COLEC11 with ab238585 at a 1/100 dilution in immunohistochemical analysis.

Western blot - Anti-COLEC11 antibody (AB238585)
  • WB

Supplier Data

Western blot - Anti-COLEC11 antibody (AB238585)

All lanes : ab238585 antibody at 4μg/ml + Rat liver tissue.

Secondary Goat polyclonal to rabbit IgG at 1/10000 dilution.

Predicted band size : 29, 27, 22, 30, 25, 24, 31 kDa.
Observed band size : 29 kDa.

All lanes:

Western blot - Anti-COLEC11 antibody (ab238585)

Predicted band size: 29 kDa

false

Key facts

Host species

Rabbit

Clonality

Polyclonal

Isotype

IgG

Carrier free

No

Reacts with

Human, Rat

Applications

WB, IHC-P

applications

Immunogen

Recombinant Fragment Protein within Human COLEC11 aa 1 to C-terminus. The exact immunogen used to generate this antibody is proprietary information.

Q9BWP8

Reactivity data

{ "title": "Reactivity Data", "filters": { "stats": ["", "Species", "Dilution Info", "Notes"], "tabs": { "all-applications": {"fullname" : "All Applications", "shortname": "All Applications"}, "WB" : {"fullname" : "Western blot", "shortname":"WB"}, "IHCP" : {"fullname" : "Immunohistochemistry (Formalin/PFA-fixed paraffin-embedded sections)", "shortname":"IHC-P"} }, "product-promise": { "all": "all", "testedAndGuaranteed": "tested", "guaranteed": "expected", "predicted": "predicted", "notRecommended": "not-recommended" } }, "values": { "Human": { "WB-species-checked": "guaranteed", "WB-species-dilution-info": "", "WB-species-notes": "", "IHCP-species-checked": "testedAndGuaranteed", "IHCP-species-dilution-info": "1/20 - 1/200", "IHCP-species-notes": "<p></p>" }, "Rat": { "WB-species-checked": "testedAndGuaranteed", "WB-species-dilution-info": "", "WB-species-notes": "<p></p>", "IHCP-species-checked": "guaranteed", "IHCP-species-dilution-info": "", "IHCP-species-notes": "" } } }

Properties and storage information

Form
Liquid
Purification technique
Affinity purification Immunogen
Storage buffer
pH: 7.3 Preservative: 0.02% Sodium azide Constituents: PBS, 50% Glycerol (glycerin, glycerine)
Shipped at conditions
Blue Ice
Appropriate short-term storage duration
1-2 weeks
Appropriate short-term storage conditions
+4°C
Appropriate long-term storage conditions
-20°C
Aliquoting information
Upon delivery aliquot
Storage information
Avoid freeze / thaw cycle

Product protocols

For this product, it's our understanding that no specific protocols are required. You can visit:

Target data

Lectin that plays a role in innate immunity, apoptosis and embryogenesis (PubMed : 21258343, PubMed : 23954398, PubMed : 25912189). Calcium-dependent lectin that binds self and non-self glycoproteins presenting high mannose oligosaccharides with at least one terminal alpha-1,2-linked mannose epitope (PubMed : 25912189). Primarily recognizes the terminal disaccharide of the glycan (PubMed : 25912189). Also recognizes a subset of fucosylated glycans and lipopolysaccharides (PubMed : 17179669, PubMed : 25912189). Plays a role in innate immunity through its ability to bind non-self sugars presented by microorganisms and to activate the complement through the recruitment of MAPS1 (PubMed : 20956340, PubMed : 25912189). Also plays a role in apoptosis through its ability to bind in a calcium-independent manner the DNA present at the surface of apoptotic cells and to activate the complement in response to this binding (Probable). Finally, plays a role in development, probably serving as a guidance cue during the migration of neural crest cells and other cell types during embryogenesis (PubMed : 21258343, PubMed : 28301481).
See full target information COLEC11

Publications (2)

Recent publications for all applications. Explore the full list and refine your search

Cell death & disease 15:376 PubMed38811531

2024

The enhanced energy metabolism in the tumor margin mediated by RRAD promotes the progression of oral squamous cell carcinoma.

Applications

Unspecified application

Species

Unspecified reactive species

Aoming Cheng,Qiaoshi Xu,Bo Li,Lirui Zhang,Hao Wang,Chang Liu,Zhengxue Han,Zhien Feng

JCI insight 8: PubMed36883567

2023

Collectin-11 promotes cancer cell proliferation and tumor growth.

Applications

Unspecified application

Species

Unspecified reactive species

Jia-Xing Wang,Bo Cao,Ning Ma,Kun-Yi Wu,Wan-Bing Chen,Weiju Wu,Xia Dong,Cheng-Fei Liu,Ya-Feng Gao,Teng-Yue Diao,Xiao-Yun Min,Qing Yong,Zong-Fang Li,Wuding Zhou,Ke Li
View all publications

Product promise

We are committed to supporting your work with high-quality reagents, and we're here for you every step of the way. In the unlikely event that one of our products does not perform as expected, you're protected by our Product Promise.
For full details, please see our Terms & Conditions

Please note: All products are 'FOR RESEARCH USE ONLY. NOT FOR USE IN DIAGNOSTIC OR THERAPEUTIC PROCEDURES'.

For licensing inquiries, please contact partnerships@abcam.com