JavaScript is disabled in your browser. Please enable JavaScript to view this website.
AB256541

Anti-Collagen I antibody [EPR22209-75] - BSA and Azide free

Be the first to review this product! Submit a review

|

(1 Publication)

Rabbit Recombinant Monoclonal COL1A1 antibody. Carrier free. Suitable for WB and reacts with Human, Mouse, Rat samples. Cited in 1 publication.

View Alternative Names

Collagen alpha-1(I) chain, Alpha-1 type I collagen, COL1A1

2 Images
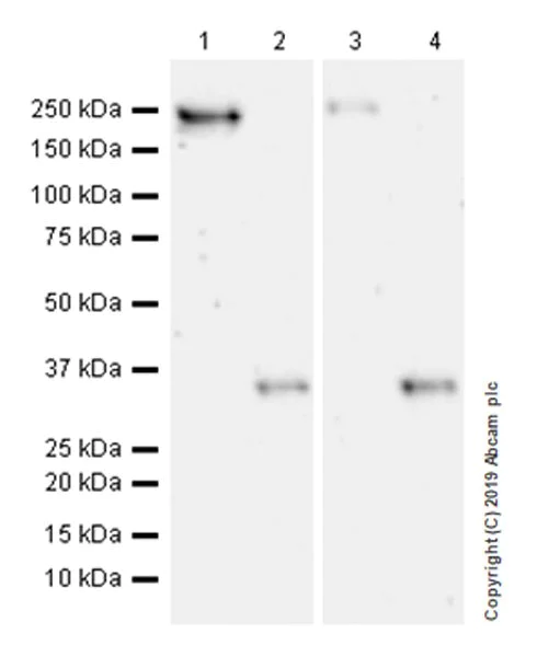
Western blot - Anti-Collagen I antibody [EPR22209-75] - BSA and Azide free (AB256541)
  • WB

Lab

Western blot - Anti-Collagen I antibody [EPR22209-75] - BSA and Azide free (AB256541)

Procollagen I (220 kDa) and cleaved C-propeptide (35 kDa) are observed. The molecular weight observed is consistent with what has been described in the literature (PMID : 23940311).

Exposure time : 3 minutes.

Blocking and Diluting Buffer and concentration : 5% NFDM/TBST.

This data was developed using the same antibody clone in a different buffer formulation containing PBS, BSA, glycerol, and sodium azide (ab255809).

All lanes:

Western blot - Anti-Collagen I antibody [EPR22209-75] (<a href='/en-us/products/primary-antibodies/collagen-i-antibody-epr22209-75-ab255809'>ab255809</a>) at 1/1000 dilution

Lane 1:

HFF-1 (human skin fibroblast) whole cell lysate at 20 µg

Lane 2:

HFF-1 culture supernatant at 10 µL

Lane 3:

MRC-5 (human lung fibroblast) whole cell lysate at 20 µg

Lane 4:

MRC-5 culture supernatant at 10 µL

Secondary

All lanes:

Western blot - Goat Anti-Rabbit IgG H&L (HRP) (<a href='/en-us/products/secondary-antibodies/goat-rabbit-igg-h-l-hrp-ab97051'>ab97051</a>) at 1/100000 dilution

Predicted band size: 139 kDa

Observed band size: 220 kDa,35 kDa

false

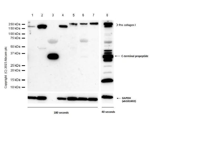
Western blot - Anti-Collagen I antibody [EPR22209-75] - BSA and Azide free (AB256541)
  • WB

Lab

Western blot - Anti-Collagen I antibody [EPR22209-75] - BSA and Azide free (AB256541)

Blocking/Diluting buffer and concentration 5% NFDM/TBST. Exposure time : Lane1-7: 180 seconds Lane 8: 60 seconds We recommend loading higher amount of lysate or using lower antibody dilution.

Lanes 1 - 8:

Western blot - Anti-Collagen I antibody [EPR22209-75] (<a href='/en-us/products/primary-antibodies/collagen-i-antibody-epr22209-75-ab255809'>ab255809</a>) at 1/1000 dilution

Lanes 1 - 8:

Western blot - Anti-Collagen I antibody [EPR22209-75] - BSA and Azide free (ab256541)

Lane 1:

A549 (Human lung carcinoma epithelial cell) whole cell lysate at 20 µg

Lane 2:

MDA-MB-231 (Human breast adenocarcinoma epithelial cell) whole cell lysate at 20 µg

Lane 3:

MDA-MB-231(Human breast adenocarcinoma epithelial cell) supernatant lysate at 20 µg

Lane 4:

A431(Human epidermoid carcinoma epithelial cell) whole cell lysate at 20 µg

Lane 5:

SW480 (Human colorectal adenocarcinoma epithelial cell) whole cell lysate at 20 µg

Lane 6:

Human lung tissue lysate at 20 µg

Lane 7:

Human liver tissue lysate at 20 µg

Lane 8:

HFF-1(Human Skin fibroblast) whole cell lysate at 20 µg

Secondary

All lanes:

Western blot - Goat Anti-Rabbit IgG H&L (HRP) (<a href='/en-us/products/secondary-antibodies/goat-rabbit-igg-h-l-hrp-ab97051'>ab97051</a>) at 1/20000 dilution

false

Key facts

Host species

Rabbit

Clonality

Monoclonal

Clone number

EPR22209-75

Isotype

IgG

Carrier free

Yes

Reacts with

Mouse, Rat, Human

Applications

WB

applications

Immunogen

The exact immunogen used to generate this antibody is proprietary information.

Reactivity data

{ "title": "Reactivity Data", "filters": { "stats": ["", "Species", "Dilution Info", "Notes"], "tabs": { "all-applications": {"fullname" : "All Applications", "shortname": "All Applications"}, "IP" : {"fullname" : "Immunoprecipitation", "shortname":"IP"}, "FlowCyt" : {"fullname" : "Flow Cytometry", "shortname":"Flow Cyt"}, "WB" : {"fullname" : "Western blot", "shortname":"WB"}, "IHCP" : {"fullname" : "Immunohistochemistry (Formalin/PFA-fixed paraffin-embedded sections)", "shortname":"IHC-P"}, "ICCIF" : {"fullname" : "Immunocytochemistry/ Immunofluorescence", "shortname":"ICC/IF"} }, "product-promise": { "all": "all", "testedAndGuaranteed": "tested", "guaranteed": "expected", "predicted": "predicted", "notRecommended": "not-recommended" } }, "values": { "Human": { "IP-species-checked": "notRecommended", "IP-species-dilution-info": "", "IP-species-notes": "<p></p>", "FlowCyt-species-checked": "notRecommended", "FlowCyt-species-dilution-info": "", "FlowCyt-species-notes": "<p></p>", "WB-species-checked": "testedAndGuaranteed", "WB-species-dilution-info": "", "WB-species-notes": "<p>Positive Control: Hu stomach, skin and adrenal gland tissue lysates.</p><p>Acid or enzyme treatment with pepsin is a better method to isolate collagen. Continuous refrigeration throughout collagen extraction is important to avoid degradation and denaturation. Take care with pH, temperature, and concentration to avoid collagen polymerization.</p>", "IHCP-species-checked": "notRecommended", "IHCP-species-dilution-info": "", "IHCP-species-notes": "<p></p>", "ICCIF-species-checked": "notRecommended", "ICCIF-species-dilution-info": "", "ICCIF-species-notes": "<p></p>" }, "Mouse": { "IP-species-checked": "notRecommended", "IP-species-dilution-info": "", "IP-species-notes": "<p></p>", "FlowCyt-species-checked": "notRecommended", "FlowCyt-species-dilution-info": "", "FlowCyt-species-notes": "<p></p>", "WB-species-checked": "guaranteed", "WB-species-dilution-info": "", "WB-species-notes": "<p>Positive Control: Hu stomach, skin and adrenal gland tissue lysates.</p><p>Acid or enzyme treatment with pepsin is a better method to isolate collagen. Continuous refrigeration throughout collagen extraction is important to avoid degradation and denaturation. Take care with pH, temperature, and concentration to avoid collagen polymerization.</p>", "IHCP-species-checked": "notRecommended", "IHCP-species-dilution-info": "", "IHCP-species-notes": "<p></p>", "ICCIF-species-checked": "notRecommended", "ICCIF-species-dilution-info": "", "ICCIF-species-notes": "<p></p>" }, "Rat": { "IP-species-checked": "notRecommended", "IP-species-dilution-info": "", "IP-species-notes": "<p></p>", "FlowCyt-species-checked": "notRecommended", "FlowCyt-species-dilution-info": "", "FlowCyt-species-notes": "<p></p>", "WB-species-checked": "guaranteed", "WB-species-dilution-info": "", "WB-species-notes": "<p>Positive Control: Hu stomach, skin and adrenal gland tissue lysates.</p><p>Acid or enzyme treatment with pepsin is a better method to isolate collagen. Continuous refrigeration throughout collagen extraction is important to avoid degradation and denaturation. Take care with pH, temperature, and concentration to avoid collagen polymerization.</p>", "IHCP-species-checked": "notRecommended", "IHCP-species-dilution-info": "", "IHCP-species-notes": "<p></p>", "ICCIF-species-checked": "notRecommended", "ICCIF-species-dilution-info": "", "ICCIF-species-notes": "<p></p>" } } }

Product details

ab256541 is the carrier-free version of ab255809.

Patented technology
Our RabMAb® technology is a patented hybridoma-based technology for making rabbit monoclonal antibodies. For details on our patents, please refer to RabMAb® patents.

What are the advantages of a recombinant monoclonal antibody?
This product is a recombinant monoclonal antibody, which offers several advantages including:

  • - High batch-to-batch consistency and reproducibility
  • - Improved sensitivity and specificity
  • - Long-term security of supply
  • - Animal-free batch production

For more information, read more on recombinant antibodies.

Conjugation ready
Our carrier-free antibodies are typically supplied in a PBS-only formulation, purified and free of BSA, sodium azide and glycerol. This conjugation-ready format is designed for use with fluorochromes, metal isotopes, oligonucleotides, and enzymes, which makes them ideal for antibody labelling, functional and cell-based assays, flow-based assays (e.g. mass cytometry) and Multiplex Imaging applications.

Use our conjugation kits for antibody conjugates that are ready-to-use in as little as 20 minutes with 1 minute hands-on-time and 100% antibody recovery: available for fluorescent dyes, HRP, biotin and gold.

Compatibility
This product is compatible with the Maxpar® Antibody Labeling Kit from Fluidigm, without the need for antibody preparation. Maxpar® is a trademark of Fluidigm Canada Inc.

Properties and storage information

Form
Liquid
Purification technique
Affinity purification Protein A
Storage buffer
pH: 7.2 - 7.4 Constituents: PBS
Shipped at conditions
Blue Ice
Appropriate short-term storage conditions
+4°C
Appropriate long-term storage conditions
+4°C
Storage information
Do Not Freeze

Supplementary information

This supplementary information is collated from multiple sources and compiled automatically.

Collagen type I also called collagen I is a structural protein expressed mainly in connective tissues such as skin tendon bone and ligaments. It serves as an important component in providing mechanical strength and integrity to these tissues. Collagen I is a fibrillar collagen known for its triple-helix structure composed of two alpha-1 chains and one alpha-2 chain and has a molecular mass of approximately 300 kDa. Researchers often employ collagen western blot and collagen ELISA techniques for its detection. Collagen suppliers offer various collagen antibodies used in these assays to study its distribution and function.
Biological function summary

Collagen type I plays a central role in maintaining the extracellular matrix and supporting cellular environments. It interacts with other matrix proteins and cells forming complexes that help in tissue development and repair. Type I collagen is especially important in bone matrix working alongside minerals like hydroxyapatite to provide rigidity and support. Anti-collagen antibodies aid in studying its biological functions and interactions which are critical to understanding tissue dynamics.

Pathways

Collagen type I interacts with multiple signaling cascades involved in tissue remodeling and repair. It is a significant player in the TGF-β pathway which regulates fibrosis and wound healing processes. In these pathways proteins such as fibronectin and integrins work in concert with collagen type I to orchestrate cellular responses to damage. Researchers often examine its role in these pathways to uncover therapeutic possibilities for disease interventions.

Collagen type I has strong connections to conditions like osteogenesis imperfecta and fibrosis. Mutations or irregularities in collagen I production can lead to osteogenesis imperfecta a genetic disorder characterized by brittle bones. In fibrosis excessive collagen deposition disrupts normal tissue architecture contributing to organ dysfunction. In both conditions type I collagen interacts with other proteins like matrix metalloproteinases which modulate its breakdown and remodeling highlighting its importance in disease pathology.

Product protocols

For this product, it's our understanding that no specific protocols are required. You can visit:

Target data

Type I collagen is a member of group I collagen (fibrillar forming collagen).
See full target information COL1A1

Publications (1)

Recent publications for all applications. Explore the full list and refine your search

Cell reports. Medicine 5:101791 PubMed39426375

2024

Schwann cell-secreted frizzled-related protein 1 dictates neuroinflammation and peripheral nerve degeneration after neurotrauma.

Applications

Unspecified application

Species

Unspecified reactive species

Xiangyun Yao,Lingchi Kong,Yi Qiao,David Brand,Juehong Li,Zhiwen Yan,Song Guo Zheng,Yun Qian,Cunyi Fan
View all publications

Product promise

We are committed to supporting your work with high-quality reagents, and we're here for you every step of the way. In the unlikely event that one of our products does not perform as expected, you're protected by our Product Promise.
For full details, please see our Terms & Conditions

Please note: All products are 'FOR RESEARCH USE ONLY. NOT FOR USE IN DIAGNOSTIC OR THERAPEUTIC PROCEDURES'.

For licensing inquiries, please contact partnerships@abcam.com