JavaScript is disabled in your browser. Please enable JavaScript to view this website.
AB270993

Anti-Collagen I antibody [EPR24331-53]

  • BOND RX™ Validated
  • RabMAb
  • Recombinant
  • Lab Essentials
  • 20ul selling size
  • Advanced Validation
  • What is this?

3

(2 Reviews)

|

(217 Publications)

Anti-Collagen I antibody [EPR24331-53] (ab270993) is a rabbit monoclonal antibody detecting Collagen I in Western Blot, Flow Cytometry (Intra), IP, IHC-P, IHC-Fr, ICC/IF, mIHC. Suitable for Mouse, Rat.

- Multiplex IHC validated on the Leica BOND® MAX using Opal reagents
- Biophysical QC for unrivalled batch-batch consistency
- Over 70 publications

View Alternative Names

Cola1, Col1a1, Collagen alpha-1(I) chain, Alpha-1 type I collagen

16 Images
Immunohistochemistry (Formalin/PFA-fixed paraffin-embedded sections) - Anti-Collagen I antibody [EPR24331-53] (AB270993)
  • IHC-P

Supplier Data

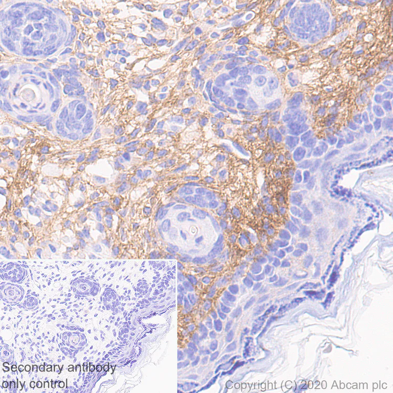
Immunohistochemistry (Formalin/PFA-fixed paraffin-embedded sections) - Anti-Collagen I antibody [EPR24331-53] (AB270993)

Immunohistochemical analysis of paraffin-embedded Mouse pancreatic cancer tissue labeling Collagen I with ab270993 at 1/500 dilution followed by a ready to use LeicaDS9800 (Bond™ Polymer Refine Detection). Positive staining in connective tissues of mouse pancreatic cancer. The section was incubated with ab270993 for 30 mins at room temperature. The immunostaining was performed on a Leica Biosystems BOND® RX instrument Counterstained with Hematoxylin.

Secondary antibody only control : Secondary antibody is a ready to use LeicaDS9800 (Bond™ Polymer Refine Detection) was used.

Heat mediated antigen retrieval with Tris-EDTA buffer (pH 9.0, epitope retrieval solution2) for 20 mins

Multiplex immunohistochemistry - Anti-Collagen I antibody [EPR24331-53] (AB270993)
  • mIHC

Lab

Multiplex immunohistochemistry - Anti-Collagen I antibody [EPR24331-53] (AB270993)

Multiplex immunohistochemistry analysis of formalin/PFA-fixed paraffin-embedded Mouse skin staining of Cytokeratin 1 + Cytokeratin 2e with ab315228 at a 1/2000 (0.263 μg/ml) dilution, Collagen I with ab270993 and Langerin with ab283686 at a 1/1000 dilution followed by a ready to use secondary antibody Opal Polymer HRP Ms + Rb.

Panel A : merged staining of anti-Cytokeratin 1 + Cytokeratin 2e (green; Opal™520), anti-Collagen I (magenta; Opal™690) and anti-Langerin (gray; Opal™570) on mouse skin.
Panel B : anti-Cytokeratin 1 + Cytokeratin 2e staining epidermis keratin layer in mouse skin.
Panel C : anti-Collagen I staining connective tissues in mouse skin.
Panel D : anti-Langerin staining Langerhans cells in mouse skin.
Nuclear DNA was labeled with DAPI (shown in blue).

The section was incubated in three rounds of staining : in the order of ab315228, ab270993 and ab283686 for 30 mins at room temperature. Each round was followed by a separate fluorescent tyramide signal amplification system,

Heat mediated antigen retrieval with Tris-EDTA buffer (pH 9.0, epitope retrieval solution2) for 20 mins.

Immunocytochemistry/ Immunofluorescence - Anti-Collagen I antibody [EPR24331-53] (AB270993)
  • ICC/IF

Supplier Data

Immunocytochemistry/ Immunofluorescence - Anti-Collagen I antibody [EPR24331-53] (AB270993)

Immunofluorescent analysis of 4% Paraformaldehyde-fixed, 0.1% TritonX-100 permeabilized NIH/3T3 cells labelling Collagen I with ab270993 at 1/2000 dilution, followed by ab150077 Goat Anti-Rabbit IgG H&L (Alexa Fluor® 488) antibody at 1/1000 dilution (Green). Confocal image showing cytoplasmic staining in NIH/3T3 cells is observed. ab195889 Anti-alpha Tubulin mouse monoclonal antibody - Microtubule Marker (Alexa Fluor® 594) was used to counterstain tubulin at 1/200 dilution (Red). The Nuclear counterstain was DAPI (Blue).

Secondary antibody only control : Secondary antibody is ab150077 Goat Anti-Rabbit IgG H&L (Alexa Fluor® 488) at 1/1000 dilution.

Multiplex immunohistochemistry - Anti-Collagen I antibody [EPR24331-53] (AB270993)
  • mIHC

Lab

Multiplex immunohistochemistry - Anti-Collagen I antibody [EPR24331-53] (AB270993)

Multiplex immunohistochemistry analysis of formalin/PFA-fixed paraffin-embedded mouse thyroid staining of Thyroid Peroxidase/TPO with ab278525 at a 1/5000 (0.109 μg/ml) dilution, PAX8 with ab239363 at 1/2000 (0.254 μg/ml) dilution, and Collagen I with ab270993 at a 1/500 (1.152 μg/ml) dilution, followed by a ready to use secondary antibody Opal Polymer HRP Ms + Rb.

Panel A : merged staining of anti-Thyroid peroxidase (green; Opal™ 520), anti-PAX8 (magenta; Opal™ 690) and anti-Collagen I (gray; Opal™ 570) on mouse thyroid.
Panel B : anti-Thyroid peroxidase showed cytoplasmic and membranous staining on mouse thyroid.
Panel C : anti-PAX8 showed nucleus staining on mouse thyroid.
Panel D : anti-Collagen I staining connective tissues in mouse thyroid.
Nuclear DNA was labeled with DAPI (shown in blue).

The section was incubated in three rounds of staining : in the order of ab278525, ab239363 and ab270993 for 30 mins at room temperature. Each round was followed by a separate fluorescent tyramide signal amplification system.

Heat mediated antigen retrieval with Tris-EDTA buffer (pH 9.0, epitope retrieval solution2) for 20 mins.

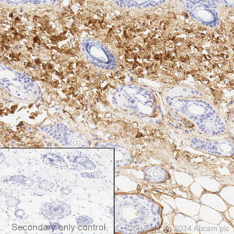
Immunohistochemistry (Formalin/PFA-fixed paraffin-embedded sections) - Anti-Collagen I antibody [EPR24331-53] (AB270993)
  • IHC-P

Lab

Immunohistochemistry (Formalin/PFA-fixed paraffin-embedded sections) - Anti-Collagen I antibody [EPR24331-53] (AB270993)

Immunohistochemical analysis of formalin fixed paraffin embedded mouse skin labelling Collagen I with ab270993 at a concentration of 0.025µg/ml. The immunostaining was performed on a Leica Biosystems BOND® RX instrument with a Bond™ Polymer Refine Detection kit. Heat mediated antigen retrieval was performed with Tris-EDTA buffer (pH 9.0, Epitope Retrieval Solution 2) for 20mins.

ab270993 anti-Collagen I antibody [EPR24331-53] was incubated for 15mins at room temperature. Sections were counterstained with Hematoxylin. Image inset shows absence of staining in secondary antibody only control.

Customers are encouraged to optimise antigen retrieval conditions, antibody concentration, incubation times and temperature for best results in their own IHC assay workflow (automated and manual)

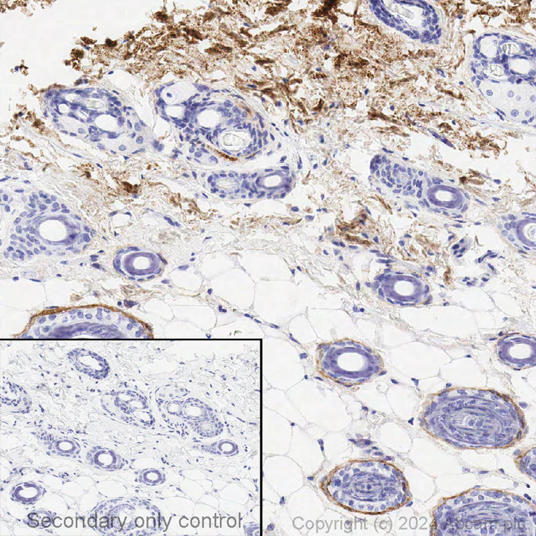
Immunohistochemistry (Formalin/PFA-fixed paraffin-embedded sections) - Anti-Collagen I antibody [EPR24331-53] (AB270993)
  • IHC-P

Lab

Immunohistochemistry (Formalin/PFA-fixed paraffin-embedded sections) - Anti-Collagen I antibody [EPR24331-53] (AB270993)

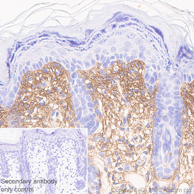
Immunohistochemical analysis of formalin fixed paraffin embedded mouse skin labelling Collagen I with ab270993 at a concentration of 0.5µg/ml. The immunostaining was performed on a Ventana DISCOVERY ULTRA (Roche Tissue Diagnostics) instrument with a ChromoMap DAB kit. Heat mediated antigen retrieval was performed with DISCOVERY cell conditioning solution (CC1) 100°C, pH8.5 for 32mins.

ab270993 anti-Collagen I antibody [EPR24331-53] was incubated for 16mins at 37°C. Sections were counterstained with Hematoxylin II. Image inset shows absence of staining in secondary antibody only control.

Customers are encouraged to optimise antigen retrieval conditions, antibody concentration, incubation times and temperature for best results in their own IHC assay workflow (automated and manual)

Immunohistochemistry (Frozen sections) - Anti-Collagen I antibody [EPR24331-53] (AB270993)
  • IHC-Fr

Supplier Data

Immunohistochemistry (Frozen sections) - Anti-Collagen I antibody [EPR24331-53] (AB270993)

Immunohistochemical analysis of 4% PFA-fixed, 0.2% Triton X-100 permeabilized frozen Mouse skin tissue labeling Collagen I with ab270993 at 1/100 dilution followed by ab150077 Goat Anti-Rabbit IgG H&L (Alexa Fluor® 488) at 1/1000 dilution (Green). Positive staining on mouse skin is observed. The nuclear counterstain was DAPI (Blue).

Secondary antibody control : Secondary antibody is ab150077 Goat Anti-Rabbit IgG H&L (Alexa Fluor® 488)at 1/1000 dilution.

Heat mediated antigen retrieval using sodium citrate buffer (10mM citrate pH 6.0 + 0.05% Tween-20).

Immunohistochemistry (Formalin/PFA-fixed paraffin-embedded sections) - Anti-Collagen I antibody [EPR24331-53] (AB270993)
  • IHC-P

Supplier Data

Immunohistochemistry (Formalin/PFA-fixed paraffin-embedded sections) - Anti-Collagen I antibody [EPR24331-53] (AB270993)

Immunohistochemical analysis of paraffin-embedded Rat skin tissue labeling Collagen I with ab270993 at 1/500 dilution followed by a ready to use LeicaDS9800 (Bond™ Polymer Refine Detection). Positive staining in connective tissues of rat skin. The section was incubated with ab270993 for 30 mins at room temperature. The immunostaining was performed on a Leica Biosystems BOND® RX instrument Counterstained with Hematoxylin.

Secondary antibody only control : Secondary antibody is a ready to use LeicaDS9800 (Bond™ Polymer Refine Detection) was used.

Heat mediated antigen retrieval with Tris-EDTA buffer (pH 9.0, epitope retrieval solution2) for 20 mins

Immunohistochemistry (Formalin/PFA-fixed paraffin-embedded sections) - Anti-Collagen I antibody [EPR24331-53] (AB270993)
  • IHC-P

Supplier Data

Immunohistochemistry (Formalin/PFA-fixed paraffin-embedded sections) - Anti-Collagen I antibody [EPR24331-53] (AB270993)

Immunohistochemical analysis of paraffin-embedded Mouse stomach tissue labeling Collagen I with ab270993 at 1/500 dilution followed by a ready to use LeicaDS9800 (Bond™ Polymer Refine Detection). Positive staining in connective tissues of mouse stomach. The section was incubated with ab270993 for 30 mins at room temperature. The immunostaining was performed on a Leica Biosystems BOND® RX instrument Counterstained with Hematoxylin.

Secondary antibody only control : Secondary antibody is a ready to use LeicaDS9800 (Bond™ Polymer Refine Detection) was used.

Heat mediated antigen retrieval with Tris-EDTA buffer (pH 9.0, epitope retrieval solution2) for 20 mins

Immunohistochemistry (Formalin/PFA-fixed paraffin-embedded sections) - Anti-Collagen I antibody [EPR24331-53] (AB270993)
  • IHC-P

Supplier Data

Immunohistochemistry (Formalin/PFA-fixed paraffin-embedded sections) - Anti-Collagen I antibody [EPR24331-53] (AB270993)

Immunohistochemical analysis of paraffin-embedded Mouse skin tissue labeling Collagen I with ab270993 at 1/500 dilution followed by a ready to use LeicaDS9800 (Bond™ Polymer Refine Detection). Positive staining in connective tissues of mouse skin. The section was incubated with ab270993 for 30 mins at room temperature. The immunostaining was performed on a Leica Biosystems BOND® RX instrument Counterstained with Hematoxylin.

Secondary antibody only control : Secondary antibody is a ready to use LeicaDS9800 (Bond™ Polymer Refine Detection) was used.

Heat mediated antigen retrieval with Tris-EDTA buffer (pH 9.0, epitope retrieval solution2) for 20 mins

Immunohistochemistry (Frozen sections) - Anti-Collagen I antibody [EPR24331-53] (AB270993)
  • IHC-Fr

Supplier Data

Immunohistochemistry (Frozen sections) - Anti-Collagen I antibody [EPR24331-53] (AB270993)

Immunohistochemical analysis of 4% PFA-fixed, 0.2% Triton X-100 permeabilized frozen Rat skin tissue labeling Collagen I with ab270993 at 1/500 dilution followed by ab150077 Goat Anti-Rabbit IgG H&L (Alexa Fluor® 488) at 1/1000 dilution (Green). Positive staining on rat skin is observed. The nuclear counterstain was DAPI (Blue).

Secondary antibody control : Secondary antibody is ab150077 Goat Anti-Rabbit IgG H&L (Alexa Fluor® 488)at 1/1000 dilution.

Heat mediated antigen retrieval using sodium citrate buffer (10mM citrate pH 6.0 + 0.05% Tween-20).

Flow Cytometry (Intracellular) - Anti-Collagen I antibody [EPR24331-53] (AB270993)
  • Flow Cyt (Intra)

Supplier Data

Flow Cytometry (Intracellular) - Anti-Collagen I antibody [EPR24331-53] (AB270993)

Flow cytometric analysis of 4% paraformaldehyde fixed 90% methanol permeabilized NIH/3T3 (Mouse embryonic fibroblast) cells labelling Collagen I with ab270993 at 1/500 dilution (Red) compared with a Rabbit monoclonal IgG (ab172730) (Black) isotype control and an unlabelled control (cells without incubation with primary antibody and secondary antibody) (Blue). A Goat anti rabbit IgG (Alexa Fluor® 488, ab150077) at 1/2000 dilution was used as the secondary antibody.

Immunoprecipitation - Anti-Collagen I antibody [EPR24331-53] (AB270993)
  • IP

Supplier Data

Immunoprecipitation - Anti-Collagen I antibody [EPR24331-53] (AB270993)

Collagen I was immunoprecipitated from 0.35 mg Mouse skin tissue lysate 10 ug with ab270993 at 1/30 dilution (2ug in 0.35mg lysates). Western blot was performed on the immunoprecipitate using ab270993 at 1/1000 dilution. VeriBlot for IP Detection Reagent (HRP)(ab131366) was used at 1/5000 dilution.

Lane 1 : Mouse skin tissue lysate 10 ug

Lane 2 : ab270993 IP in Mouse skin tissue lysate

Lane 3 : Rabbit monoclonal IgG (ab172730) instead of ab270993 in Mouse skin tissue lysate

Blocking and dilution buffer and concentration : 5% NFDM/TBST.

Exposure time : 32 seconds

All lanes:

Immunoprecipitation - Anti-Collagen I antibody [EPR24331-53] (ab270993)

Predicted band size: 139 kDa

Observed band size: 138 kDa

false

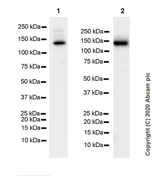
Western blot - Anti-Collagen I antibody [EPR24331-53] (AB270993)
  • WB

Lab

Western blot - Anti-Collagen I antibody [EPR24331-53] (AB270993)

Blocking buffer and concentration : 5% NFDM/TBST

Diluting buffer and concentration : 5% NFDM/TBST

We are unsure how to define these extra bands below 100kDa.

The molecular weight observed is consistent with what has been described in the literature (PMID : 23940311;PMID : 29853175).

All lanes:

Western blot - Anti-Collagen I antibody [EPR24331-53] (ab270993) at 1/1000 dilution

All lanes:

NIH/3T3 (mouse embryonic fibroblast), whole cell lysate at 20 µg

Secondary

All lanes:

Western blot - Goat Anti-Rabbit IgG H&L (HRP) (<a href='/en-us/products/secondary-antibodies/goat-rabbit-igg-h-l-hrp-ab97051'>ab97051</a>) at 1/20000 dilution

Predicted band size: 139 kDa

Observed band size: 220 kDa

false

Exposure time: 20s

Western blot - Anti-Collagen I antibody [EPR24331-53] (AB270993)
  • WB

Lab

Western blot - Anti-Collagen I antibody [EPR24331-53] (AB270993)

Blocking and diluting buffer and concentration : 5% NFDM/TBST

The observed MW is consistent with what has been described in the literature (PMID : 27740527;PMID : 22278938; PMID : 26973392).

Exposure time : Lane 1 : 3.25 seconds

Lane 2 : 5.5 seconds

All lanes:

Western blot - Anti-Collagen I antibody [EPR24331-53] (ab270993) at 1/1000 dilution

Lane 1:

Mouse skin tissue lysate at 20 µg

Lane 2:

Rat skin tissue lysate at 20 µg

Secondary

All lanes:

Western blot - Goat Anti-Rabbit IgG H&L (HRP) (<a href='/en-us/products/secondary-antibodies/goat-rabbit-igg-h-l-hrp-ab97051'>ab97051</a>) at 1/100000 dilution

Predicted band size: 139 kDa

Observed band size: 138 kDa

false

Western blot - Anti-Collagen I antibody [EPR24331-53] (AB270993)
  • WB

Supplier Data

Western blot - Anti-Collagen I antibody [EPR24331-53] (AB270993)

Blocking buffer and concentration : 5% NFDM/TBST. Diluting buffer and concentration : 5% NFDM/TBST. ab181602 was used as a loading control. This blot was produced using a high sensitivity ECL substrate.

All lanes:

Western blot - Anti-Collagen I antibody [EPR24331-53] (ab270993) at 1/1000 dilution

Lane 1:

Mouse skin tissue lysate at 20 µg

Lane 2:

Mouse kidney tissue lysate at 20 µg

Lane 3:

Mouse lung tissue lysate at 20 µg

Lane 4:

Mouse heart tissue lysate at 20 µg

Secondary

All lanes:

Western blot - Goat Anti-Rabbit IgG H&L (HRP) (<a href='/en-us/products/secondary-antibodies/goat-rabbit-igg-h-l-hrp-ab97051'>ab97051</a>) at 1/20000 dilution

Predicted band size: 139 kDa

Observed band size: 139 kDa

false

Exposure time: 100s

  • Carrier free

    Anti-Collagen I antibody [EPR24331-53] - BSA and Azide free

  • 565 Alexa Fluor® 555

    Alexa Fluor® 555 Anti-Collagen I antibody [EPR24331-53]

  • 660 APC

    APC Anti-Collagen I antibody [EPR24331-53]

  • 578 PE

    PE Anti-Collagen I antibody [EPR24331-53]

  • 617 Alexa Fluor® 594

    Alexa Fluor® 594 Anti-Collagen I antibody [EPR24331-53]

  • 603 Alexa Fluor® 568

    Alexa Fluor® 568 Anti-Collagen I antibody [EPR24331-53]

  • 519 Alexa Fluor® 488

    Alexa Fluor® 488 Anti-Collagen I antibody [EPR24331-53]

  • 665 Alexa Fluor® 647

    Alexa Fluor® 647 Anti-Collagen I antibody [EPR24331-53]

  • 775 Alexa Fluor® 750

    Alexa Fluor® 750 Anti-Collagen I antibody [EPR24331-53]

Key facts

Host species

Rabbit

Clonality

Monoclonal

Clone number

EPR24331-53

Isotype

IgG

Carrier free

No

Reacts with

Mouse, Rat

Applications

Flow Cyt (Intra), IHC-Fr, mIHC, WB, IP, IHC-P, ICC/IF

applications

Immunogen

The exact immunogen used to generate this antibody is proprietary information.

Specificity

FURTHER INFORMATION ON SPECIFICITY (Chinese Version) available under the product protocols section. This file includes key technical notes of experience when using this product.

Reactivity data

{ "title": "Reactivity Data", "filters": { "stats": ["", "Species", "Dilution Info", "Notes"], "tabs": { "all-applications": {"fullname" : "All Applications", "shortname": "All Applications"}, "ICCIF" : {"fullname" : "Immunocytochemistry/ Immunofluorescence", "shortname":"ICC/IF"}, "IP" : {"fullname" : "Immunoprecipitation", "shortname":"IP"}, "WB" : {"fullname" : "Western blot", "shortname":"WB"}, "IHCFr" : {"fullname" : "Immunohistochemistry (Frozen sections)", "shortname":"IHC-Fr"}, "FlowCytIntra" : {"fullname" : "Flow Cytometry (Intracellular)", "shortname":"Flow Cyt (Intra)"}, "IHCP" : {"fullname" : "Immunohistochemistry (Formalin/PFA-fixed paraffin-embedded sections)", "shortname":"IHC-P"}, "mIHC" : {"fullname" : "Multiplex immunohistochemistry", "shortname":"mIHC"} }, "product-promise": { "all": "all", "testedAndGuaranteed": "tested", "guaranteed": "expected", "predicted": "predicted", "notRecommended": "not-recommended" } }, "values": { "Human": { "ICCIF-species-checked": "notRecommended", "ICCIF-species-dilution-info": "", "ICCIF-species-notes": "", "IP-species-checked": "notRecommended", "IP-species-dilution-info": "", "IP-species-notes": "", "WB-species-checked": "notRecommended", "WB-species-dilution-info": "1/1000", "WB-species-notes": "<p>For mouse samples, please use high sensitivity substrate.</p>", "IHCFr-species-checked": "notRecommended", "IHCFr-species-dilution-info": "", "IHCFr-species-notes": "", "FlowCytIntra-species-checked": "notRecommended", "FlowCytIntra-species-dilution-info": "", "FlowCytIntra-species-notes": "", "IHCP-species-checked": "notRecommended", "IHCP-species-dilution-info": "1/500", "IHCP-species-notes": "<p></p> Perform heat-mediated antigen retrieval with Tris/EDTA buffer pH 9.0 before commencing with IHC staining protocol.", "mIHC-species-checked": "notRecommended", "mIHC-species-dilution-info": "", "mIHC-species-notes": "" }, "Mouse": { "ICCIF-species-checked": "testedAndGuaranteed", "ICCIF-species-dilution-info": "1/2000", "ICCIF-species-notes": "<p></p>", "IP-species-checked": "testedAndGuaranteed", "IP-species-dilution-info": "1/30", "IP-species-notes": "<p></p>", "WB-species-checked": "testedAndGuaranteed", "WB-species-dilution-info": "1/1000", "WB-species-notes": "<p>For mouse samples, please use high sensitivity substrate.</p>", "IHCFr-species-checked": "testedAndGuaranteed", "IHCFr-species-dilution-info": "1/100", "IHCFr-species-notes": "<p>Heat mediated antigen retrieval using sodium citrate buffer (10mM citrate pH 6.0 + 0.05% Tween-20)</p>", "FlowCytIntra-species-checked": "testedAndGuaranteed", "FlowCytIntra-species-dilution-info": "1/500", "FlowCytIntra-species-notes": "<p></p>", "IHCP-species-checked": "testedAndGuaranteed", "IHCP-species-dilution-info": "1/500", "IHCP-species-notes": "<p></p> Perform heat-mediated antigen retrieval with Tris/EDTA buffer pH 9.0 before commencing with IHC staining protocol.", "mIHC-species-checked": "testedAndGuaranteed", "mIHC-species-dilution-info": "1/500", "mIHC-species-notes": "<p></p> Perform heat-mediated antigen retrieval with Tris/EDTA buffer pH 9.0 before commencing with IHC staining protocol." }, "Rat": { "ICCIF-species-checked": "guaranteed", "ICCIF-species-dilution-info": "", "ICCIF-species-notes": "", "IP-species-checked": "guaranteed", "IP-species-dilution-info": "", "IP-species-notes": "", "WB-species-checked": "testedAndGuaranteed", "WB-species-dilution-info": "1/1000", "WB-species-notes": "<p>For mouse samples, please use high sensitivity substrate.</p>", "IHCFr-species-checked": "testedAndGuaranteed", "IHCFr-species-dilution-info": "1/100", "IHCFr-species-notes": "<p>Heat mediated antigen retrieval using sodium citrate buffer (10mM citrate pH 6.0 + 0.05% Tween-20)</p>", "FlowCytIntra-species-checked": "guaranteed", "FlowCytIntra-species-dilution-info": "", "FlowCytIntra-species-notes": "", "IHCP-species-checked": "testedAndGuaranteed", "IHCP-species-dilution-info": "1/500", "IHCP-species-notes": "<p></p> Perform heat-mediated antigen retrieval with Tris/EDTA buffer pH 9.0 before commencing with IHC staining protocol.", "mIHC-species-checked": "guaranteed", "mIHC-species-dilution-info": "", "mIHC-species-notes": "" } } }

Product details

Anti-Collagen I antibody [EPR24331-53] (ab270993) was developed by Abcam using patented rabbit monoclonal antibody technology and is validated for use in Flow Cyt (Intra), ICC/IF, IHC-Fr, IHC-P, IP and WB.

Abcam's high quality manufacturing and validation processes ensure Anti-Collagen I antibody [EPR24331-53] (ab270993) has high sensitivity and specificity alongside high lot-to-lot consistency and reproducibility.

Anti-Collagen I antibody [EPR24331-53] (ab270993) specifically detects Collagen I (UniProt ID: P11087; Molecular weight: 95kDa) and is sold in a convenient trial size to enable initial testing (20 µL) and larger sizes for subsequent scaling up experiments (100 µL and 1 mL).

Conjugation-ready, carrier free format available for antibody clone EPR24331-53 - ab279711.

Antibody clone EPR24331-53 is also available pre-conjugated to a variety of labels for your convenience - Alexa Fluor® 488, Alexa Fluor® 647, APC, PE, Alexa Fluor® 568, Alexa Fluor® 555, Alexa Fluor® 594, Alexa Fluor® 750 (ab309248, ab309367, ab310848, ab310918, ab312943, ab313153, ab313351, ab321535).

Collagen I is a major component of the tumor microenvironment, influencing cancer progression by enhancing tumor stiffness, promoting metastasis and inhibiting anti-tumor immune responses. It also affects the efficacy of immunotherapies, making it a critical factor in cancer prognosis and treatment strategies.

Patented technology
Our RabMAb® technology is a patented hybridoma-based technology for making rabbit monoclonal antibodies. For details on our patents, please refer to RabMAb® patents.

What are the advantages of a recombinant monoclonal antibody?
This product is a recombinant monoclonal antibody, which offers several advantages including:

  • - High batch-to-batch consistency and reproducibility
  • - Improved sensitivity and specificity
  • - Long-term security of supply
  • - Animal-free batch production

For more information, read more on recombinant antibodies.

Properties and storage information

Form
Liquid
Purification technique
Affinity purification Protein A
Storage buffer
Preservative: 0.01% Sodium azide Constituents: PBS, 40% Glycerol (glycerin, glycerine), 0.05% BSA
Shipped at conditions
Blue Ice
Appropriate short-term storage duration
1-2 weeks
Appropriate short-term storage conditions
+4°C
Appropriate long-term storage conditions
-20°C
Aliquoting information
Upon delivery aliquot
Storage information
Avoid freeze / thaw cycle

Supplementary information

This supplementary information is collated from multiple sources and compiled automatically.

Collagen type I also called collagen I is a structural protein expressed mainly in connective tissues such as skin tendon bone and ligaments. It serves as an important component in providing mechanical strength and integrity to these tissues. Collagen I is a fibrillar collagen known for its triple-helix structure composed of two alpha-1 chains and one alpha-2 chain and has a molecular mass of approximately 300 kDa. Researchers often employ collagen western blot and collagen ELISA techniques for its detection. Collagen suppliers offer various collagen antibodies used in these assays to study its distribution and function.
Biological function summary

Collagen type I plays a central role in maintaining the extracellular matrix and supporting cellular environments. It interacts with other matrix proteins and cells forming complexes that help in tissue development and repair. Type I collagen is especially important in bone matrix working alongside minerals like hydroxyapatite to provide rigidity and support. Anti-collagen antibodies aid in studying its biological functions and interactions which are critical to understanding tissue dynamics.

Pathways

Collagen type I interacts with multiple signaling cascades involved in tissue remodeling and repair. It is a significant player in the TGF-? pathway which regulates fibrosis and wound healing processes. In these pathways proteins such as fibronectin and integrins work in concert with collagen type I to orchestrate cellular responses to damage. Researchers often examine its role in these pathways to uncover therapeutic possibilities for disease interventions.

Collagen type I has strong connections to conditions like osteogenesis imperfecta and fibrosis. Mutations or irregularities in collagen I production can lead to osteogenesis imperfecta a genetic disorder characterized by brittle bones. In fibrosis excessive collagen deposition disrupts normal tissue architecture contributing to organ dysfunction. In both conditions type I collagen interacts with other proteins like matrix metalloproteinases which modulate its breakdown and remodeling highlighting its importance in disease pathology.

Product protocols

For this product, it's our understanding that no specific protocols are required. You can visit:

Target data

Type I collagen is a member of group I collagen (fibrillar forming collagen).
See full target information Col1a1

Publications (217)

Recent publications for all applications. Explore the full list and refine your search

Theranostics 15:9580-9600 PubMed41041054

2025

Macrophage-TREM2 promotes cardiac repair by restricting the infiltration of CD8 T cells via CXCL16-CXCR6 axis after myocardial infarction.

Applications

Unspecified application

Species

Unspecified reactive species

Linlin Zhang,Sheng Wang,Yu Ding,Tao Zheng,Jie Sheng,Yanshan Chen,Zhiyue Wang,Ximei Dai,Canbiao Wang,Long Ma,Jing Pan,Yunming Zhang,Longjiang Zhang

Molecular medicine reports 32: PubMed41041848

2025

Circular RNA hsa_circ_0000118 promotes atrial fibrosis by regulating the microRNA‑34a‑5p/Smad4 axis.

Applications

Unspecified application

Species

Unspecified reactive species

Na Wu,Yuanbo Zhang,Yuhong Zeng,Lanqing Yang,Jun Li,Yanxiu Chen,Zhiquan Yuan,Xinghua Chen,Chengying Li,Long Wu,Tongjian Cai,Zhihui Zhang,Li Zhong,Yafei Li

Journal of nanobiotechnology 23:625 PubMed41035038

2025

Sodium alginate piezoelectric hydrogel loaded with extracellular vesicles derived from bone marrow mesenchymal stem cells promotes repair of Achilles tendon rupture.

Applications

Unspecified application

Species

Unspecified reactive species

Ao Duan,Bingqing Lin,Zhencheng Xiong,Xiaolong Shao,Wenzheng Liu,Renliang Zhao,Xiangtian Deng,Chaoyi Zhang,Dong Wang,Zilu Ge,Xiaoran Hu,Wei Lin,Shouye Hu,Guanglin Wang

Stem cell research & therapy 16:526 PubMed41024282

2025

MSCs-derived HGF alleviates senescence after AKI by modulating mitoSTAT3-controlled copper flux and respiration.

Applications

Unspecified application

Species

Unspecified reactive species

Kaiting Zhuang,Wenjuan Wang,Cheng Xu,Siyang Wang,Yuhao Chen,Yingjie Zhang,Yanjun Liang,Xumin Zheng,Xiangmei Chen,Zhe Feng,Guangyan Cai

International journal of molecular medicine 56: PubMed40999989

2025

Cynarin as a potent anti‑osteolytic agent: Targeting MAPK and Nrf2‑Keap1 pathways for osteoclast inhibition and bone protection.

Applications

Unspecified application

Species

Unspecified reactive species

Rui Chao,Yexin Wang,Zhan Liu,Tianhao Wan,Yi Mao,Xinru Xie,Lei Sun,Weifeng Xu,Xuzhuo Chen,Shanyong Zhang

Bone research 13:79 PubMed40993116

2025

Mechanism of Piezo1 regulating chondrocyte mitochondrial function and promoting fracture healing through β-catenin/LARS2 signaling pathway.

Applications

Unspecified application

Species

Unspecified reactive species

Tao Zhang,Hongzhi Lv,Siming Jia,Lijun Wang,Weijian Liu,Kai Ding,Xiaofeng Du,Guangzhao Hou,Zhiyong Hou,Yingze Zhang,Weiguo Zou,Wei Chen,Yanbin Zhu

Materials today. Bio 35:102287 PubMed40989834

2025

Photothermal-triggered NO-releasing nanofiber membrane mitigates intervertebral disc degeneration via inflammation inhibition and matrix stabilization.

Applications

Unspecified application

Species

Unspecified reactive species

Guanfeng Huang,Jiajun Xie,Jialan Chen,Jiangminghao Zhao,Pinkai Wang,Jian Zhang,Peichuan Xu,Yang Li,Xiaolong Chen,Xinxin Miao,Wei Xiong,Xigao Cheng

Open life sciences 20:20251163 PubMed40989585

2025

Dapagliflozin attenuates atrial fibrosis via the HMGB1/RAGE pathway in atrial fibrillation rats.

Applications

Unspecified application

Species

Unspecified reactive species

Zhenni Tan,Jianxiang Chang,Yin Li,Xiang Sun,Fanxiang Liu,Yang Chen,Lin Pan

American journal of translational research 17:6504-6521 PubMed40950286

2025

NLBK alleviates airway remodeling in COPD by inhibiting RXRA-mediated transcription of PLA2G2A.

Applications

Unspecified application

Species

Unspecified reactive species

Teng Zhang,Fang Fang,Dan Wu,Guodong Wang

Journal of orthopaedic translation 55:62-74 PubMed40910110

2025

Hydrogel adhesives with a hydrodynamically induced liquid-solid transition for annular fissure sealing and inflammation modulation following microdiscectomy.

Applications

Unspecified application

Species

Unspecified reactive species

Huan Wang,Moyan Li,Jiaojiao Yang,Zhao Liu,Shijie Shi,Dachuan Liu,Youzhi Hong,Hongjian Liu,Songfeng Chen,Jiyao Li,Song Chen,Bin Li
View all publications
websiteProtocolBooklet
zh

Product promise

We are committed to supporting your work with high-quality reagents, and we're here for you every step of the way. In the unlikely event that one of our products does not perform as expected, you're protected by our Product Promise.
For full details, please see our Terms & Conditions

Please note: All products are 'FOR RESEARCH USE ONLY. NOT FOR USE IN DIAGNOSTIC OR THERAPEUTIC PROCEDURES'.

For licensing inquiries, please contact partnerships@abcam.com