JavaScript is disabled in your browser. Please enable JavaScript to view this website.
AB316222

Anti-Collagen I antibody [RM1131]

  • BOND RX™ Validated
  • Recombinant
  • RabMAb
  • Lab Essentials
  • 20ul selling size
  • What is this?

Be the first to review this product! Submit a review

|

(15 Publications)

Anti-Collagen I antibody [RM1131] (ab316222) is a rabbit recombinant multiclonal antibody detecting Collagen I in Western Blot, Flow Cytometry (Intra), Flow Cytometry, IP, IHC-P, IHC-Fr, ICC/IF. Suitable for Human, Mouse, Rat.

- Biophysical QC for unrivalled batch-batch consistency

View Alternative Names

Collagen alpha-1(I) chain, Alpha-1 type I collagen, COL1A1

24 Images
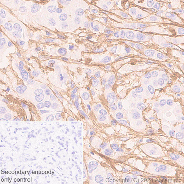
Immunohistochemistry (Formalin/PFA-fixed paraffin-embedded sections) - Anti-Collagen I antibody [RM1131] (AB316222)
  • IHC-P

Supplier Data

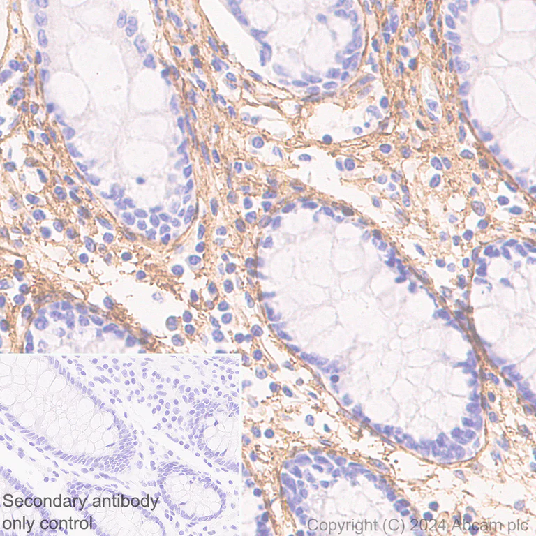
Immunohistochemistry (Formalin/PFA-fixed paraffin-embedded sections) - Anti-Collagen I antibody [RM1131] (AB316222)

Immunohistochemical analysis of paraffin-embedded Human breast cancer tissue labeling Collagen I with ab316222 at 1/500 (1.012 ug/ml) dilution, followed by a ready to use LeicaDS9800 (Bond™ Polymer Refine Detection).

Positive staining on stroma of human breast cancer.
The section was incubated with ab316222 for 30 mins at room temperature.
The immunostaining was performed on a Leica Biosystems BOND® RX instrument

Counterstained with Hematoxylin.

Secondary antibody only control : Secondary antibody is a ready to use LeicaDS9800 (Bond™ Polymer Refine Detection).

Heat mediated antigen retrieval was performed with Tris-EDTA buffer (pH 9.0, Epitope Retrieval Solution2) for 20 mins

Immunohistochemistry (Formalin/PFA-fixed paraffin-embedded sections) - Anti-Collagen I antibody [RM1131] (AB316222)
  • IHC-P

Supplier Data

Immunohistochemistry (Formalin/PFA-fixed paraffin-embedded sections) - Anti-Collagen I antibody [RM1131] (AB316222)

Immunohistochemical analysis of paraffin-embedded Human endometrium tissue labeling Collagen I with ab316222 at 1/500 (1.012 ug/ml) dilution, followed by a ready to use LeicaDS9800 (Bond™ Polymer Refine Detection).

Positive staining on stroma of human endometrium.
The section was incubated with ab316222 for 30 mins at room temperature.
The immunostaining was performed on a Leica Biosystems BOND® RX instrument

Counterstained with Hematoxylin.

Secondary antibody only control : Secondary antibody is a ready to use LeicaDS9800 (Bond™ Polymer Refine Detection).

Heat mediated antigen retrieval was performed with Tris-EDTA buffer (pH 9.0, Epitope Retrieval Solution2) for 20 mins

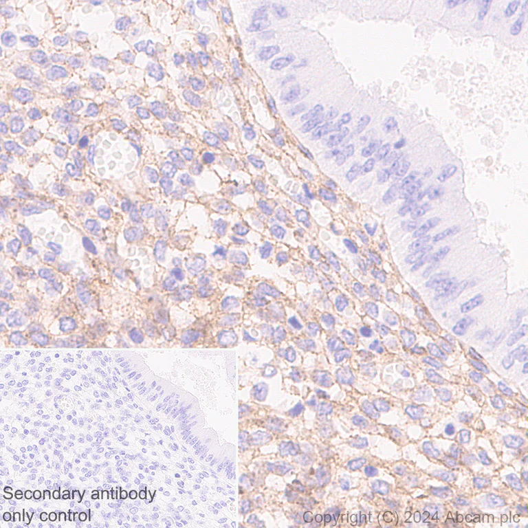
Immunohistochemistry (Formalin/PFA-fixed paraffin-embedded sections) - Anti-Collagen I antibody [RM1131] (AB316222)
  • IHC-P

Supplier Data

Immunohistochemistry (Formalin/PFA-fixed paraffin-embedded sections) - Anti-Collagen I antibody [RM1131] (AB316222)

Immunohistochemical analysis of paraffin-embedded Human colon tissue labeling Collagen I with ab316222 at 1/500 (1.012 ug/ml) dilution, followed by a ready to use LeicaDS9800 (Bond™ Polymer Refine Detection).

Positive staining on stroma of human colon.
The section was incubated with ab316222 for 30 mins at room temperature.
The immunostaining was performed on a Leica Biosystems BOND® RX instrument

Counterstained with Hematoxylin.

Secondary antibody only control : Secondary antibody is a ready to use LeicaDS9800 (Bond™ Polymer Refine Detection).

Heat mediated antigen retrieval was performed with Tris-EDTA buffer (pH 9.0, Epitope Retrieval Solution2) for 20 mins

Immunocytochemistry/ Immunofluorescence - Anti-Collagen I antibody [RM1131] (AB316222)
  • ICC/IF

Supplier Data

Immunocytochemistry/ Immunofluorescence - Anti-Collagen I antibody [RM1131] (AB316222)

Immunofluorescent analysis of 4% Paraformaldehyde-fixed, 0.1% TritonX-100 permeabilized HFF-1 (human skin fibroblast) cells labelling Collagen I with ab316222 at 1/100 (5.06 ug/ml) dilution, followed by ab150081 Goat Anti-Rabbit IgG H&L (Alexa Fluor® 488) preadsorbed antibody at 1/1000 (2 ug/ml) dilution (Green).

Confocal image showing cytoplasmic staining in HFF-1 cell line.
Negative control : HT-29.
Image was taken with a confocal microscope(Leica-Microsystems, TCS SP8).

ab195889 Anti-alpha Tubulin mouse monoclonal antibody - Microtubule Marker (Alexa Fluor® 594) was used to counterstain tubulin at 1/500 (1ug/ml) dilution (Red). The Nuclear counterstain was DAPI (Blue).

Secondary antibody only control : Secondary antibody is ab150081 Goat Anti-Rabbit IgG H&L (Alexa Fluor® 488) preadsorbed at 1/1000 (2 ug/ml) dilution.

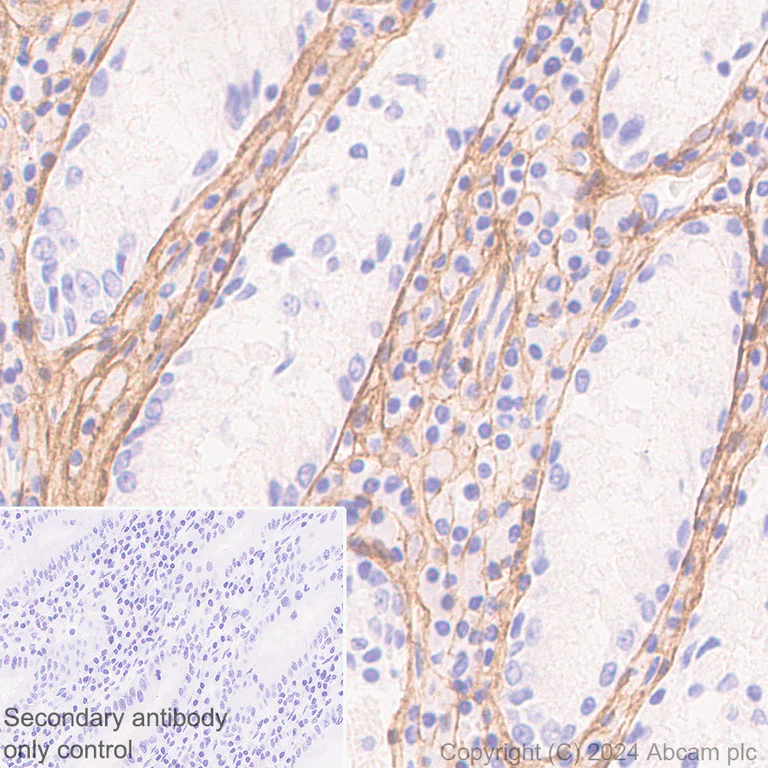
Immunohistochemistry (Formalin/PFA-fixed paraffin-embedded sections) - Anti-Collagen I antibody [RM1131] (AB316222)
  • IHC-P

Supplier Data

Immunohistochemistry (Formalin/PFA-fixed paraffin-embedded sections) - Anti-Collagen I antibody [RM1131] (AB316222)

Immunohistochemical analysis of paraffin-embedded Human stomach tissue labeling Collagen I with ab316222 at 1/500 (1.012 ug/ml) dilution, followed by a ready to use LeicaDS9800 (Bond™ Polymer Refine Detection).

Positive staining on stroma of human stomach.
The section was incubated with ab316222 for 30 mins at room temperature.
The immunostaining was performed on a Leica Biosystems BOND® RX instrument

Counterstained with Hematoxylin.

Secondary antibody only control : Secondary antibody is a ready to use LeicaDS9800 (Bond™ Polymer Refine Detection).

Heat mediated antigen retrieval was performed with Tris-EDTA buffer (pH 9.0, Epitope Retrieval Solution2) for 20 mins

Flow Cytometry (Intracellular) - Anti-Collagen I antibody [RM1131] (AB316222)
  • Flow Cyt (Intra)

Supplier Data

Flow Cytometry (Intracellular) - Anti-Collagen I antibody [RM1131] (AB316222)

Flow cytometric analysis of 4% paraformaldehyde fixed 90% methanol permeabilized HT-29 (human colorectal adenocarcinoma epithelial cell, Left) / HFF-1 (human skin fibroblast, Right) cells labelling Collagen I with ab316222 at 1/5000 dilution (0.01 ug)/Red compared with a Rabbit monoclonal IgG (ab172730) (Black) isotype control and an unlabelled control (cells without incubation with primary antibody and secondary antibody) (Blue).

Goat Anti-Rabbit IgG (Alexa Fluor® 488, ab150081) at 1/5000 dilution was used as the secondary antibody.

Negative control : HT-29.

Immunoprecipitation - Anti-Collagen I antibody [RM1131] (AB316222)
  • IP

Supplier Data

Immunoprecipitation - Anti-Collagen I antibody [RM1131] (AB316222)

Collagen I was immunoprecipitated from 0.35 mg HFF-1 (human skin fibroblast) whole cell lysate with ab316222 at 1/30 dilution (2ug in 0.35mg lysates). Western blot was performed on the immunoprecipitate using ab316222 at 1/1000 dilution. VeriBlot for IP secondary antibody(HRP)(ab131366) was used at 1/5000 dilution.

Lane 1 : HFF-1 (human skin fibroblast) whole cell lysate
Lane 2 : ab316222 IP in HFF-1 (human skin fibroblast) whole cell lysate
Lane 3 : Rabbit monoclonal IgG (ab172730) instead of ab316222 in HFF-1 whole cell lysate

All lanes:

Immunoprecipitation - Anti-Collagen I antibody [RM1131] (ab316222) at 1/30 dilution

All lanes:

HFF-1 (human skin fibroblast) whole cell lysate

Secondary

All lanes:

Immunoprecipitation - VeriBlot for IP Detection Reagent (HRP) (<a href='/en-us/products/reagents/veriblot-for-ip-detection-reagent-hrp-ab131366'>ab131366</a>) at 1/5000 dilution

false

Exposure time: 10s

Immunohistochemistry (Frozen sections) - Anti-Collagen I antibody [RM1131] (AB316222)
  • IHC-Fr

Supplier Data

Immunohistochemistry (Frozen sections) - Anti-Collagen I antibody [RM1131] (AB316222)

Immunohistochemical analysis of 4% PFA-fixed, 0.2% Triton X-100 permeabilized frozen Mouse skin (fresh frozen) tissue labeling Collagen I with ab316222 at 1/500 (1.012 ug/ml) dilution followed by ab150081 Goat Anti-Rabbit IgG H&L (Alexa Fluor® 488) preadsorbed at 1/1000 (2 ug/mL) dilution (Green).

Confocal image showing positive staining on mouse skin. The nuclear counterstain was DAPI (Blue). The section was incubated with ab316222 for 60 mins at room temperature. The section was then mounted using Fluoromount®.The immunostaining was performed on a Leica Biosystems BOND® RX instrument. Image was taken with a confocal microscope (Leica-Microsystems, TCS SP8).

Secondary antibody control : Secondary antibody is ab150081 Goat Anti-Rabbit IgG H&L (Alexa Fluor® 488) preadsorbedat 1/1000 (2 ug/mL) dilution.

Flow Cytometry (Intracellular) - Anti-Collagen I antibody [RM1131] (AB316222)
  • Flow Cyt (Intra)

Supplier Data

Flow Cytometry (Intracellular) - Anti-Collagen I antibody [RM1131] (AB316222)

Flow cytometric analysis of 4% paraformaldehyde fixed 90% methanol permeabilized C6 (rat glial tumor glial cell, Left) / L6 (rat skeletal muscle myoblast, Right) cells labelling Collagen I with ab316222 at 1/5000 dilution (0.01 ug)/Red compared with a Rabbit monoclonal IgG (ab172730) (Black) isotype control and an unlabelled control (cells without incubation with primary antibody and secondary antibody) (Blue).

Goat Anti-Rabbit IgG (Alexa Fluor® 488, ab150081) at 1/5000 dilution was used as the secondary antibody.

Negative control : C6.

Immunohistochemistry (Formalin/PFA-fixed paraffin-embedded sections) - Anti-Collagen I antibody [RM1131] (AB316222)
  • IHC-P

Supplier Data

Immunohistochemistry (Formalin/PFA-fixed paraffin-embedded sections) - Anti-Collagen I antibody [RM1131] (AB316222)

Immunohistochemical analysis of paraffin-embedded Rat stomach tissue labeling Collagen I with ab316222 at 1/500 (1.012 ug/ml) dilution, followed by a ready to use LeicaDS9800 (Bond™ Polymer Refine Detection).

Positive staining on stroma of rat stomach.
The section was incubated with ab316222 for 30 mins at room temperature.
The immunostaining was performed on a Leica Biosystems BOND® RX instrument

Counterstained with Hematoxylin.

Secondary antibody only control : Secondary antibody is a ready to use LeicaDS9800 (Bond™ Polymer Refine Detection).

Heat mediated antigen retrieval was performed with Tris-EDTA buffer (pH 9.0, Epitope Retrieval Solution2) for 20 mins

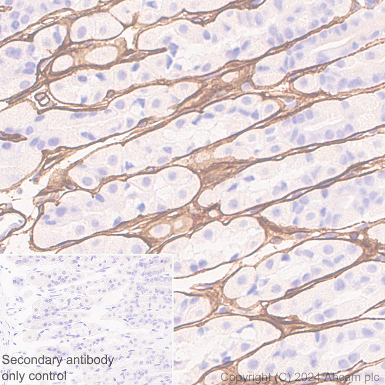
Immunohistochemistry (Formalin/PFA-fixed paraffin-embedded sections) - Anti-Collagen I antibody [RM1131] (AB316222)
  • IHC-P

Supplier Data

Immunohistochemistry (Formalin/PFA-fixed paraffin-embedded sections) - Anti-Collagen I antibody [RM1131] (AB316222)

Immunohistochemical analysis of paraffin-embedded Mouse skin tissue labeling Collagen I with ab316222 at 1/500 (1.012 ug/ml) dilution, followed by a ready to use LeicaDS9800 (Bond™ Polymer Refine Detection).

Positive staining on stroma of mouse skin.
The section was incubated with ab316222 for 30 mins at room temperature.
The immunostaining was performed on a Leica Biosystems BOND® RX instrument

Counterstained with Hematoxylin.

Secondary antibody only control : Secondary antibody is a ready to use LeicaDS9800 (Bond™ Polymer Refine Detection).

Heat mediated antigen retrieval was performed with Tris-EDTA buffer (pH 9.0, Epitope Retrieval Solution2) for 20 mins

Immunohistochemistry (Frozen sections) - Anti-Collagen I antibody [RM1131] (AB316222)
  • IHC-Fr

Supplier Data

Immunohistochemistry (Frozen sections) - Anti-Collagen I antibody [RM1131] (AB316222)

Immunohistochemical analysis of 4% PFA-fixed, 0.2% Triton X-100 permeabilized frozen Rat skin (fresh frozen) tissue labeling Collagen I with ab316222 at 1/500 (1.012 ug/ml) dilution followed by ab150081 Goat Anti-Rabbit IgG H&L (Alexa Fluor® 488) preadsorbed at 1/1000 (2 ug/mL) dilution (Green).

Confocal image showing positive staining on rat skin. The nuclear counterstain was DAPI (Blue). The section was incubated with ab316222 for 60 mins at room temperature. The section was then mounted using Fluoromount®.The immunostaining was performed on a Leica Biosystems BOND® RX instrument. Image was taken with a confocal microscope (Leica-Microsystems, TCS SP8).

Secondary antibody control : Secondary antibody is ab150081 Goat Anti-Rabbit IgG H&L (Alexa Fluor® 488) preadsorbedat 1/1000 (2 ug/mL) dilution.

Immunocytochemistry/ Immunofluorescence - Anti-Collagen I antibody [RM1131] (AB316222)
  • ICC/IF

Supplier Data

Immunocytochemistry/ Immunofluorescence - Anti-Collagen I antibody [RM1131] (AB316222)

Immunofluorescent analysis of 100% methanol-fixed, 0.1% TritonX-100 permeabilized L6 (rat skeletal muscle myoblast) cells labelling Collagen I with ab316222 at 1/100 (5.06 ug/ml) dilution, followed by ab150081 Goat Anti-Rabbit IgG H&L (Alexa Fluor® 488) preadsorbed antibody at 1/1000 (2 ug/ml) dilution (Green).

Confocal image showing cytoplasmic staining in L6 cell line.
Negative control : C6.
Image was taken with a confocal microscope(Leica-Microsystems, TCS SP8).

ab195889 Anti-alpha Tubulin mouse monoclonal antibody - Microtubule Marker (Alexa Fluor® 594) was used to counterstain tubulin at 1/500 (1ug/ml) dilution (Red). The Nuclear counterstain was DAPI (Blue).

Secondary antibody only control : Secondary antibody is ab150081 Goat Anti-Rabbit IgG H&L (Alexa Fluor® 488) preadsorbed at 1/1000 (2 ug/ml) dilution.

Immunocytochemistry/ Immunofluorescence - Anti-Collagen I antibody [RM1131] (AB316222)
  • ICC/IF

Supplier Data

Immunocytochemistry/ Immunofluorescence - Anti-Collagen I antibody [RM1131] (AB316222)

Immunofluorescent analysis of 100% methanol-fixed, 0.1% TritonX-100 permeabilized NIH/3T3 (mouse embryonic fibroblast) cells labelling Collagen I with ab316222 at 1/100 (5.06 ug/ml) dilution, followed by ab150081 Goat Anti-Rabbit IgG H&L (Alexa Fluor® 488) preadsorbed antibody at 1/1000 (2 ug/ml) dilution (Green).

Confocal image showing cytoplasmic staining in NIH/3T3 cell line.
Negative control : RAW 264.7.
Image was taken with a confocal microscope(Leica-Microsystems, TCS SP8).

ab195889 Anti-alpha Tubulin mouse monoclonal antibody - Microtubule Marker (Alexa Fluor® 594) was used to counterstain tubulin at 1/500 (1ug/ml) dilution (Red). The Nuclear counterstain was DAPI (Blue).

Secondary antibody only control : Secondary antibody is ab150081 Goat Anti-Rabbit IgG H&L (Alexa Fluor® 488) preadsorbed at 1/1000 (2 ug/ml) dilution.

Flow Cytometry (Intracellular) - Anti-Collagen I antibody [RM1131] (AB316222)
  • Flow Cyt (Intra)

Supplier Data

Flow Cytometry (Intracellular) - Anti-Collagen I antibody [RM1131] (AB316222)

Flow cytometric analysis of 4% paraformaldehyde fixed 90% methanol permeabilized Raw 264.7 (mouse Abelson murine leukemia virus-induced tumor macrophage, Left) / NIH/3T3 (mouse embryonic fibroblast, Right) cells labelling Collagen I with ab316222 at 1/5000 dilution (0.01 ug)/Red compared with a Rabbit monoclonal IgG (ab172730) (Black) isotype control and an unlabelled control (cells without incubation with primary antibody and secondary antibody) (Blue).

Goat Anti-Rabbit IgG (Alexa Fluor® 488, ab150081) at 1/5000 dilution was used as the secondary antibody.

Negative control : Raw 264.7.

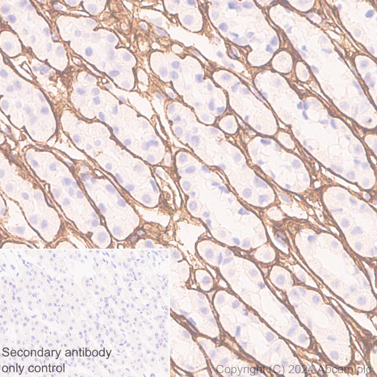
Immunohistochemistry (Formalin/PFA-fixed paraffin-embedded sections) - Anti-Collagen I antibody [RM1131] (AB316222)
  • IHC-P

Supplier Data

Immunohistochemistry (Formalin/PFA-fixed paraffin-embedded sections) - Anti-Collagen I antibody [RM1131] (AB316222)

Immunohistochemical analysis of paraffin-embedded Mouse stomach tissue labeling Collagen I with ab316222 at 1/500 (1.012 ug/ml) dilution, followed by a ready to use LeicaDS9800 (Bond™ Polymer Refine Detection).

Positive staining on stroma of mouse stomach.
The section was incubated with ab316222 for 30 mins at room temperature.
The immunostaining was performed on a Leica Biosystems BOND® RX instrument

Counterstained with Hematoxylin.

Secondary antibody only control : Secondary antibody is a ready to use LeicaDS9800 (Bond™ Polymer Refine Detection).

Heat mediated antigen retrieval was performed with Tris-EDTA buffer (pH 9.0, Epitope Retrieval Solution2) for 20 mins

Immunohistochemistry (Formalin/PFA-fixed paraffin-embedded sections) - Anti-Collagen I antibody [RM1131] (AB316222)
  • IHC-P

Supplier Data

Immunohistochemistry (Formalin/PFA-fixed paraffin-embedded sections) - Anti-Collagen I antibody [RM1131] (AB316222)

Immunohistochemical analysis of paraffin-embedded Rat skin tissue labeling Collagen I with ab316222 at 1/500 (1.012 ug/ml) dilution, followed by a ready to use LeicaDS9800 (Bond™ Polymer Refine Detection).

Positive staining on stroma of rat skin.
The section was incubated with ab316222 for 30 mins at room temperature.
The immunostaining was performed on a Leica Biosystems BOND® RX instrument

Counterstained with Hematoxylin.

Secondary antibody only control : Secondary antibody is a ready to use LeicaDS9800 (Bond™ Polymer Refine Detection).

Heat mediated antigen retrieval was performed with Tris-EDTA buffer (pH 9.0, Epitope Retrieval Solution2) for 20 mins

Immunoprecipitation - Anti-Collagen I antibody [RM1131] (AB316222)
  • IP

Supplier Data

Immunoprecipitation - Anti-Collagen I antibody [RM1131] (AB316222)

Collagen I was immunoprecipitated from 0.35 mg Mouse skin tissue lysate with ab316222 at 1/30 dilution (2ug in 0.35mg lysates). Western blot was performed on the immunoprecipitate using ab316222 at 1/1000 dilution. VeriBlot for IP secondary antibody(HRP)(ab131366) was used at 1/5000 dilution.

Lane 1 : Mouse skin tissue lysate
Lane 2 : ab316222 IP in Mouse skin tissue lysate
Lane 3 : Rabbit monoclonal IgG (ab172730) instead of ab316222 in mouse skin tissue lysate

All lanes:

Immunoprecipitation - Anti-Collagen I antibody [RM1131] (ab316222) at 1/30 dilution

All lanes:

Mouse skin tissue lysate

Secondary

All lanes:

Immunoprecipitation - VeriBlot for IP Detection Reagent (HRP) (<a href='/en-us/products/reagents/veriblot-for-ip-detection-reagent-hrp-ab131366'>ab131366</a>) at 1/5000 dilution

false

Exposure time: 180s

Western blot - Anti-Collagen I antibody [RM1131] (AB316222)
  • WB

Lab

Western blot - Anti-Collagen I antibody [RM1131] (AB316222)

Blocking and diluting buffer and concentration : 5% NFDM/TBST.

Negative control : HT-29.
We are unsure how to define these extra bands below 100kDa.

All lanes:

Western blot - Anti-Collagen I antibody [RM1131] (ab316222) at 1/1000 dilution

Lane 1:

HFF-1 (human skin fibroblast) whole cell lysate at 20 µg

Lane 2:

HT-29 (human colorectal adenocarcinoma epithelial cell) whole cell lysate at 20 µg

Lane 3:

NIH/3T3 (mouse embryonic fibroblast) whole cell lysate at 20 µg

Lane 4:

NIH/3T3 (mouse embryonic fibroblast) culture supernatant at 10 µL

Secondary

All lanes:

Goat Anti-Rabbit IgG (HRP) with minimal cross-reactivity with human IgG at 1/2000 dilution

Observed band size: 220 kDa

false

Exposure time: 180s

Western blot - Anti-Collagen I antibody [RM1131] (AB316222)
  • WB

Supplier Data

Western blot - Anti-Collagen I antibody [RM1131] (AB316222)

The molecular weight observed is consistent with what has been described in the literature (PMID : 23940311)

In Western blot, Anti-GAPDH antibody [EPR16891] - Loading Control (ab181602) staining at 1/200000 dilution.

Exposure time : Lane 1 : 180 seconds, Lane 2 : 8 seconds, Lane 3 : 81 seconds

All lanes:

Western blot - Anti-Collagen I antibody [RM1131] (ab316222) at 1/5000 dilution

Lane 1:

Mouse skin tissue lysate at 20 µg

Lane 2:

Rat skin tissue lysate at 20 µg

Lane 3:

Human uterus tissue lysate at 20 µg

Secondary

All lanes:

Goat Anti-Rabbit IgG (HRP) with minimal cross-reactivity with human IgG at 1/2000 dilution

Observed band size: 139 kDa,220 kDa,36 kDa

false

Western blot - Anti-Collagen I antibody [RM1131] (AB316222)
  • WB

Supplier Data

Western blot - Anti-Collagen I antibody [RM1131] (AB316222)

Collagen I might be easily degraded. Lysates were freshly made and used for Western blotting immediately to minimize protein degradation.

In Western blot, Anti-GAPDH antibody [EPR16891] - Loading Control (ab181602) staining at 1/200000 dilution.

All lanes:

Western blot - Anti-Collagen I antibody [RM1131] (ab316222) at 1/1000 dilution

Lane 1:

HFF-1 (human skin fibroblast) whole cell lysate at 20 µg

Lane 2:

HT-29 (human colorectal adenocarcinoma epithelial cell) whole cell lysate at 20 µg

Secondary

All lanes:

Goat Anti-Rabbit IgG (HRP) with minimal cross-reactivity with human IgG at 1/2000 dilution

Observed band size: 220 kDa,36 kDa

false

Exposure time: 6s

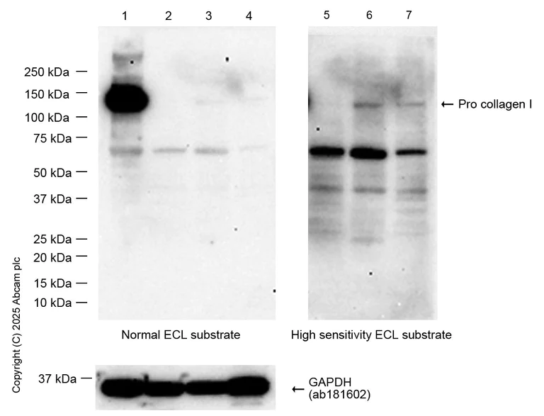
Western blot - Anti-Collagen I antibody [RM1131] (AB316222)
  • WB

Lab

Western blot - Anti-Collagen I antibody [RM1131] (AB316222)

Blocking and diluting buffer and concentration : 5% NFDM/TBST.

This blot was developed using a high sensitivity ECL substrate.

Low expression tissue : normal mouse kidney (PMID : 33758176, PMID : 29102563)

All lanes:

Western blot - Anti-Collagen I antibody [RM1131] (ab316222) at 1/1000 dilution

Lane 1:

Mouse skin tissue lysate at 20 µg

Lanes 2 and 5:

Mouse kidney tissue lysate at 20 µg

Lanes 3 and 6:

Mouse lung tissue lysate at 20 µg

Lanes 4 and 8:

Mouse heart tissue lysate at 20 µg

Secondary

All lanes:

Western blot - Goat Anti-Rabbit IgG H&L (HRP) (<a href='/en-us/products/secondary-antibodies/goat-rabbit-igg-h-l-hrp-ab97051'>ab97051</a>) at 1/20000 dilution

Predicted band size: 139 kDa

Observed band size: 139 kDa

false

Exposure time: 180s

Western blot - Anti-Collagen I antibody [RM1131] (AB316222)
  • WB

Lab

Western blot - Anti-Collagen I antibody [RM1131] (AB316222)

Blocking and diluting buffer and concentration : 5% NFDM/TBST.

Negative control : RAW 264.7.
We are unsure how to define these extra bands below 100kDa.

All lanes:

Western blot - Anti-Collagen I antibody [RM1131] (ab316222) at 1/5000 dilution

Lane 1:

NIH/3T3 (mouse embryonic fibroblast) whole cell lysate at 20 µg

Lane 2:

NIH/3T3 (mouse embryonic fibroblast) culture supernatant at 10 µL

Lane 3:

RAW 264.7 (mouse Abelson murine leukemia virus-induced tumor macrophage) whole cell lysate at 20 µg

Secondary

All lanes:

Goat Anti-Rabbit IgG (HRP) with minimal cross-reactivity with human IgG at 1/2000 dilution

Observed band size: 220 kDa

false

Exposure time: 81s

Western blot - Anti-Collagen I antibody [RM1131] (AB316222)
  • WB

Supplier Data

Western blot - Anti-Collagen I antibody [RM1131] (AB316222)

Negative control : C6.

In Western blot, Anti-GAPDH antibody [EPR16891] - Loading Control (ab181602) staining at 1/200000 dilution.

All lanes:

Western blot - Anti-Collagen I antibody [RM1131] (ab316222) at 1/1000 dilution

Lane 1:

L6 (rat skeletal muscle myoblast) whole cell lysate at 20 µg

Lane 2:

C6 (rat glial tumor glial cell) whole cell lysate at 20 µg

Secondary

All lanes:

Goat Anti-Rabbit IgG (HRP) with minimal cross-reactivity with human IgG at 1/2000 dilution

Observed band size: 220 kDa,36 kDa

false

Exposure time: 10s

  • Carrier free

    Anti-Collagen I antibody [RM1131] - BSA and Azide free

Key facts

Host species

Rabbit

Clonality

Multiclonal

Clone number

RM1131

Isotype

IgG

Carrier free

No

Reacts with

Human, Mouse, Rat

Applications

IHC-Fr, IHC-P, ICC/IF, WB, Flow Cyt (Intra), IP

applications

Immunogen

The exact immunogen used to generate this antibody is proprietary information.

Reactivity data

{ "title": "Reactivity Data", "filters": { "stats": ["", "Species", "Dilution Info", "Notes"], "tabs": { "all-applications": {"fullname" : "All Applications", "shortname": "All Applications"}, "FlowCytIntra" : {"fullname" : "Flow Cytometry (Intracellular)", "shortname":"Flow Cyt (Intra)"}, "WB" : {"fullname" : "Western blot", "shortname":"WB"}, "IHCP" : {"fullname" : "Immunohistochemistry (Formalin/PFA-fixed paraffin-embedded sections)", "shortname":"IHC-P"}, "ICCIF" : {"fullname" : "Immunocytochemistry/ Immunofluorescence", "shortname":"ICC/IF"}, "IP" : {"fullname" : "Immunoprecipitation", "shortname":"IP"}, "IHCFr" : {"fullname" : "Immunohistochemistry (Frozen sections)", "shortname":"IHC-Fr"} }, "product-promise": { "all": "all", "testedAndGuaranteed": "tested", "guaranteed": "expected", "predicted": "predicted", "notRecommended": "not-recommended" } }, "values": { "Human": { "FlowCytIntra-species-checked": "testedAndGuaranteed", "FlowCytIntra-species-dilution-info": "1/5000", "FlowCytIntra-species-notes": "<p></p>", "WB-species-checked": "testedAndGuaranteed", "WB-species-dilution-info": "1/1000 - 1/5000", "WB-species-notes": "<p>Negative control: HT-29.&lt;br&gt;We are unsure how to define these extra bands below 100kDa.</p>", "IHCP-species-checked": "testedAndGuaranteed", "IHCP-species-dilution-info": "1/500", "IHCP-species-notes": "<p></p> Perform heat-mediated antigen retrieval with Tris/EDTA buffer pH 9.0 before commencing with IHC staining protocol.", "ICCIF-species-checked": "testedAndGuaranteed", "ICCIF-species-dilution-info": "1/100", "ICCIF-species-notes": "<p></p>", "IP-species-checked": "testedAndGuaranteed", "IP-species-dilution-info": "1/30", "IP-species-notes": "<p></p>", "IHCFr-species-checked": "guaranteed", "IHCFr-species-dilution-info": "", "IHCFr-species-notes": "" }, "Mouse": { "FlowCytIntra-species-checked": "testedAndGuaranteed", "FlowCytIntra-species-dilution-info": "1/5000", "FlowCytIntra-species-notes": "<p></p>", "WB-species-checked": "testedAndGuaranteed", "WB-species-dilution-info": "1/1000 - 1/5000", "WB-species-notes": "<p>Negative control: RAW 264.7.&lt;br&gt;We are unsure how to define these extra bands below 100kDa.</p>", "IHCP-species-checked": "testedAndGuaranteed", "IHCP-species-dilution-info": "1/500", "IHCP-species-notes": "<p></p> Perform heat-mediated antigen retrieval with Tris/EDTA buffer pH 9.0 before commencing with IHC staining protocol.", "ICCIF-species-checked": "testedAndGuaranteed", "ICCIF-species-dilution-info": "1/100", "ICCIF-species-notes": "<p></p>", "IP-species-checked": "testedAndGuaranteed", "IP-species-dilution-info": "1/30", "IP-species-notes": "<p></p>", "IHCFr-species-checked": "testedAndGuaranteed", "IHCFr-species-dilution-info": "1/500", "IHCFr-species-notes": "<p></p>" }, "Rat": { "FlowCytIntra-species-checked": "testedAndGuaranteed", "FlowCytIntra-species-dilution-info": "1/5000", "FlowCytIntra-species-notes": "<p></p>", "WB-species-checked": "testedAndGuaranteed", "WB-species-dilution-info": "1/1000 - 1/5000", "WB-species-notes": "<p></p>", "IHCP-species-checked": "testedAndGuaranteed", "IHCP-species-dilution-info": "1/500", "IHCP-species-notes": "<p></p> Perform heat-mediated antigen retrieval with Tris/EDTA buffer pH 9.0 before commencing with IHC staining protocol.", "ICCIF-species-checked": "testedAndGuaranteed", "ICCIF-species-dilution-info": "1/100", "ICCIF-species-notes": "<p></p>", "IP-species-checked": "guaranteed", "IP-species-dilution-info": "", "IP-species-notes": "", "IHCFr-species-checked": "testedAndGuaranteed", "IHCFr-species-dilution-info": "1/500", "IHCFr-species-notes": "<p></p>" } } }

Product details

Product Specifications
Anti-Collagen I antibody [RM1131] (ab316222) is a recombinant rabbit multiclonal antibody which is comprised of multiple monoclonal antibodies targeting different epitopes and recapitulating the performance of a polyclonal. Each component clone was developed by Abcam using patented rabbit monoclonal antibody technology.
Anti-Collagen I antibody [RM1131] (ab316222) is validated for use in Flow Cyt (Intra), ICC/IF, IHC-Fr, IHC-P, IP, WB in human, mouse, rat samples.
Anti-Collagen I antibody [RM1131] (ab316222) specifically detects Collagen I (UniProt ID: P02452; Molecular weight: 95kDa) and is sold in a convenient trial size to enable initial testing (20 µL) and larger sizes for subsequent scaling up experiments (100 µL and 1 mL).

Quality and Validation
Abcams high quality manufacturing and validation processes ensure Anti-Collagen I antibody [RM1131] (ab316222) has high sensitivity and specificity alongside high lot-to-lot consistency and reproducibility.

Target Information
Collagen I, the most abundant collagen type in the human body, plays a significant role in oncology. It is a major component of the extracellular matrix (ECM) and contributes to the structural integrity of tissues. In cancer, Collagen I can influence tumor progression by promoting tumor cell proliferation, invasion, and metastasis through interactions with various cell surface receptors and signaling pathways.

What are recombinant multiclonals?
Recombinant multiclonals are a mixture of recombinant antibodies co-expressed from a library of heavy and light chains. They offer several advantages including:

  • - The sensitivity of polyclonal antibodies by recognising multiple epitopes
  • - High batch-to-batch consistency and reproducibility
  • - Improved sensitivity and specificity
  • - Long-term security of supply
  • - Animal-free batch production

View our range of recombinant multiclonal antibodies.

Patented technology
Our RabMAb® technology is a patented hybridoma-based technology for making rabbit monoclonal antibodies. For details on our patents, please refer to RabMAb® patents.

Properties and storage information

Form
Liquid
Purification technique
Affinity purification Protein A
Storage buffer
pH: 7.2 - 7.4 Preservative: 0.01% Sodium azide Constituents: PBS, 40% Glycerol (glycerin, glycerine), 0.05% BSA
Shipped at conditions
Blue Ice
Appropriate short-term storage duration
1-2 weeks
Appropriate short-term storage conditions
+4°C
Appropriate long-term storage conditions
-20°C
Aliquoting information
Upon delivery aliquot
Storage information
Avoid freeze / thaw cycle

Supplementary information

This supplementary information is collated from multiple sources and compiled automatically.

Collagen type I also called collagen I is a structural protein expressed mainly in connective tissues such as skin tendon bone and ligaments. It serves as an important component in providing mechanical strength and integrity to these tissues. Collagen I is a fibrillar collagen known for its triple-helix structure composed of two alpha-1 chains and one alpha-2 chain and has a molecular mass of approximately 300 kDa. Researchers often employ collagen western blot and collagen ELISA techniques for its detection. Collagen suppliers offer various collagen antibodies used in these assays to study its distribution and function.
Biological function summary

Collagen type I plays a central role in maintaining the extracellular matrix and supporting cellular environments. It interacts with other matrix proteins and cells forming complexes that help in tissue development and repair. Type I collagen is especially important in bone matrix working alongside minerals like hydroxyapatite to provide rigidity and support. Anti-collagen antibodies aid in studying its biological functions and interactions which are critical to understanding tissue dynamics.

Pathways

Collagen type I interacts with multiple signaling cascades involved in tissue remodeling and repair. It is a significant player in the TGF-β pathway which regulates fibrosis and wound healing processes. In these pathways proteins such as fibronectin and integrins work in concert with collagen type I to orchestrate cellular responses to damage. Researchers often examine its role in these pathways to uncover therapeutic possibilities for disease interventions.

Collagen type I has strong connections to conditions like osteogenesis imperfecta and fibrosis. Mutations or irregularities in collagen I production can lead to osteogenesis imperfecta a genetic disorder characterized by brittle bones. In fibrosis excessive collagen deposition disrupts normal tissue architecture contributing to organ dysfunction. In both conditions type I collagen interacts with other proteins like matrix metalloproteinases which modulate its breakdown and remodeling highlighting its importance in disease pathology.

Product protocols

For this product, it's our understanding that no specific protocols are required. You can visit:

Target data

Type I collagen is a member of group I collagen (fibrillar forming collagen).
See full target information COL1A1

Publications (15)

Recent publications for all applications. Explore the full list and refine your search

Journal of thoracic disease 17:5639-5653 PubMed40950896

2025

Identification of the role of in the fibrotic process of benign airway stenosis using bioinformatics analysis.

Applications

Unspecified application

Species

Unspecified reactive species

Yilin Chen,Chengfei Xu,Dongchen Shi,Chengcheng Yang,Shulin Tong,Yi Qin,Wusheng Zhang,Xiang Li,Sen Tian,Yuchao Dong,Hui Shi,Chong Bai

Biomolecules 15: PubMed40867601

2025

The Role of miRNA167 in Skin Improvement: Insight from Extracellular Vesicles Derived from Rock Samphire ().

Applications

Unspecified application

Species

Unspecified reactive species

Soll Jin,ChangHoe Ku,Hye Jin Kim,Jae-Goo Kim,Sang Hoon Kim,Heyjin Han,Hee Cheol Kang,Jae Sung Hwang,Mi Jung Kim

Biomolecules 15: PubMed40867553

2025

miRNA408 from L. Mediates Cross-Kingdom Regulation in Human Skin Recovery.

Applications

Unspecified application

Species

Unspecified reactive species

Soll Jin,Jae-Goo Kim,Hye Jin Kim,Ji Young Kim,Sang Hoon Kim,Hee Cheol Kang,Mi Jung Kim

Journal of translational medicine 23:845 PubMed40722170

2025

Chronic intermittent hypoxia impairs BM-MSC osteogenesis and long bone growth through regulating histone lactylation.

Applications

Unspecified application

Species

Unspecified reactive species

Fang Chen,Meizhen Gu,Hongming Xu,Shasha Zhou,Zilu Shen,Xiaoyan Li,Liangchao Dong,Pin Li

International journal of oral science 17:53 PubMed40603857

2025

Author Correction: Fibroblast derived C3 promotes the progression of experimental periodontitis through macrophage M1 polarization and osteoclast differentiation.

Applications

Unspecified application

Species

Unspecified reactive species

Feilong Ren,Shize Zheng,Huanyu Luo,Xiaoyi Yu,Xianjing Li,Shaoyi Song,Wenhuan Bu,Hongchen Sun

European journal of histochemistry : EJH 69: PubMed40525818

2025

Tanshinone IIA attenuates hepatic stellate cell activation, oxidative stress, and liver fibrosis by inhibiting YAP signaling.

Applications

Unspecified application

Species

Unspecified reactive species

Dan Wang,Qingquan Tan,Qing Zheng,Yanling Ma,Li Feng

Journal of cell communication and signaling 19:e70025 PubMed40520075

2025

Adipose-derived stem cell exosomes alleviate TGF-β1-induced urethral stricture fibrosis by suppressing the TGF-β/Smad pathway and downstream PDGFR-β/RAS/ERK signaling.

Applications

Unspecified application

Species

Unspecified reactive species

Tao Liang,Chao Deng,Hang Guo,Zhenghao Dai,Yiwen Jiang,Yuting Lu,Weiguo Chen

Scientific reports 15:18912 PubMed40442166

2025

Uncovering the molecular mechanisms of tonifying kidney and activating blood Decoction against myocardial fibrosis using network Pharmacology and experimental validation.

Applications

Unspecified application

Species

Unspecified reactive species

Rui Xu,Yanping Bi,Yetao Ju,Wenhao Yin,Shujun Zhao,Yan Zhang,Xin Zhao

Medicina (Kaunas, Lithuania) 61: PubMed40428778

2025

Investigating the Associations Between Hmga2 Overexpression, R-Loop Reduction, and Bone Loss in Aging Mice.

Applications

Unspecified application

Species

Unspecified reactive species

Yangyang Cao,Yantong Wang,Dengsheng Xia

Journal of translational medicine 23:524 PubMed40346622

2025

Knockdown of eIF3a alleviates pulmonary arterial hypertension by inhibiting endothelial-to-mesenchymal transition via TGFβ1/SMAD pathway.

Applications

Unspecified application

Species

Unspecified reactive species

Qiuhong Jiao,Xiufeng Xu,Longwu Xu,Yuying Wang,Shulan Pang,Jie Hao,Xiaohong Liu,Yudan Zhao,Wanpeng Qi,Limin Qin,Tao Huang,Jingtian Li,Tao Wang
View all publications

Product promise

We are committed to supporting your work with high-quality reagents, and we're here for you every step of the way. In the unlikely event that one of our products does not perform as expected, you're protected by our Product Promise.
For full details, please see our Terms & Conditions

Please note: All products are 'FOR RESEARCH USE ONLY. NOT FOR USE IN DIAGNOSTIC OR THERAPEUTIC PROCEDURES'.

For licensing inquiries, please contact partnerships@abcam.com