JavaScript is disabled in your browser. Please enable JavaScript to view this website.
AB316223

Anti-Collagen I antibody [RM1131] - BSA and Azide free

Be the first to review this product! Submit a review

|

(0 Publication)

Rabbit Recombinant Multiclonal COL1A1 antibody. Carrier free. Suitable for Flow Cyt (Intra), WB, IHC-P, ICC/IF, IP, IHC-Fr and reacts with Human, Mouse, Rat samples.

View Alternative Names

Collagen alpha-1(I) chain, Alpha-1 type I collagen, COL1A1

24 Images
Immunohistochemistry (Formalin/PFA-fixed paraffin-embedded sections) - Anti-Collagen I antibody [RM1131] - BSA and Azide free (AB316223)
  • IHC-P

Supplier Data

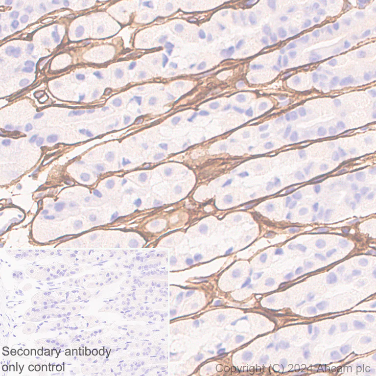
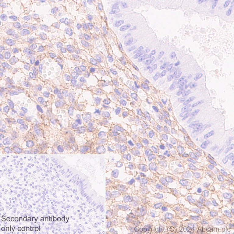
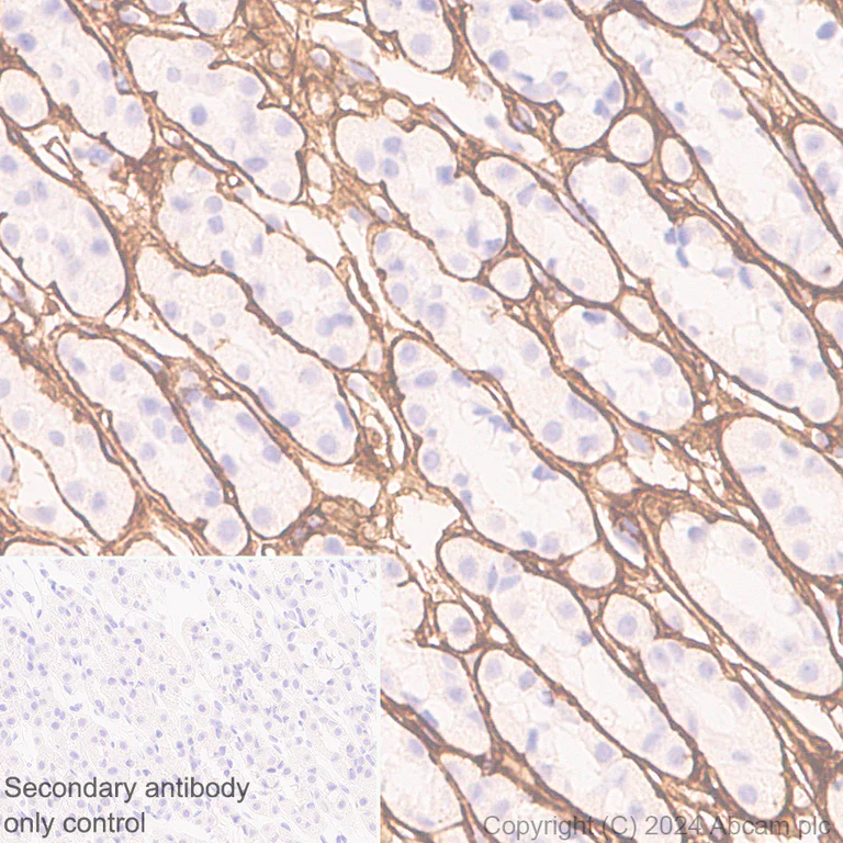
Immunohistochemistry (Formalin/PFA-fixed paraffin-embedded sections) - Anti-Collagen I antibody [RM1131] - BSA and Azide free (AB316223)

This data was developed using ab316222, the same antibody clone in a different buffer formulation.

Immunohistochemical analysis of paraffin-embedded Human stomach tissue labeling Collagen I with ab316222 at 1/500 (1.012 ug/ml) dilution, followed by a ready to use LeicaDS9800 (Bond™ Polymer Refine Detection).

Positive staining on stroma of human stomach.
The section was incubated with ab316222 for 30 mins at room temperature.
The immunostaining was performed on a Leica Biosystems BOND® RX instrument

Counterstained with Hematoxylin.

Secondary antibody only control : Secondary antibody is a ready to use LeicaDS9800 (Bond™ Polymer Refine Detection).

Heat mediated antigen retrieval was performed with Tris-EDTA buffer (pH 9.0, Epitope Retrieval Solution2) for 20 mins

Immunohistochemistry (Formalin/PFA-fixed paraffin-embedded sections) - Anti-Collagen I antibody [RM1131] - BSA and Azide free (AB316223)
  • IHC-P

Supplier Data

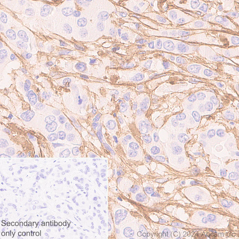
Immunohistochemistry (Formalin/PFA-fixed paraffin-embedded sections) - Anti-Collagen I antibody [RM1131] - BSA and Azide free (AB316223)

This data was developed using ab316222, the same antibody clone in a different buffer formulation.

Immunohistochemical analysis of paraffin-embedded Human breast cancer tissue labeling Collagen I with ab316222 at 1/500 (1.012 ug/ml) dilution, followed by a ready to use LeicaDS9800 (Bond™ Polymer Refine Detection).

Positive staining on stroma of human breast cancer.
The section was incubated with ab316222 for 30 mins at room temperature.
The immunostaining was performed on a Leica Biosystems BOND® RX instrument

Counterstained with Hematoxylin.

Secondary antibody only control : Secondary antibody is a ready to use LeicaDS9800 (Bond™ Polymer Refine Detection).

Heat mediated antigen retrieval was performed with Tris-EDTA buffer (pH 9.0, Epitope Retrieval Solution2) for 20 mins

Immunocytochemistry/ Immunofluorescence - Anti-Collagen I antibody [RM1131] - BSA and Azide free (AB316223)
  • ICC/IF

Supplier Data

Immunocytochemistry/ Immunofluorescence - Anti-Collagen I antibody [RM1131] - BSA and Azide free (AB316223)

This data was developed using ab316222, the same antibody clone in a different buffer formulation.

Immunofluorescent analysis of 4% Paraformaldehyde-fixed, 0.1% TritonX-100 permeabilized HFF-1 (human skin fibroblast) cells labelling Collagen I with ab316222 at 1/100 (5.06 ug/ml) dilution, followed by ab150081 Goat Anti-Rabbit IgG H&L (Alexa Fluor® 488) preadsorbed antibody at 1/1000 (2 ug/ml) dilution (Green).

Confocal image showing cytoplasmic staining in HFF-1 cell line.
Negative control : HT-29.
Image was taken with a confocal microscope(Leica-Microsystems, TCS SP8).

ab195889 Anti-alpha Tubulin mouse monoclonal antibody - Microtubule Marker (Alexa Fluor® 594) was used to counterstain tubulin at 1/500 (1ug/ml) dilution (Red). The Nuclear counterstain was DAPI (Blue).

Secondary antibody only control : Secondary antibody is ab150081 Goat Anti-Rabbit IgG H&L (Alexa Fluor® 488) preadsorbed at 1/1000 (2 ug/ml) dilution.

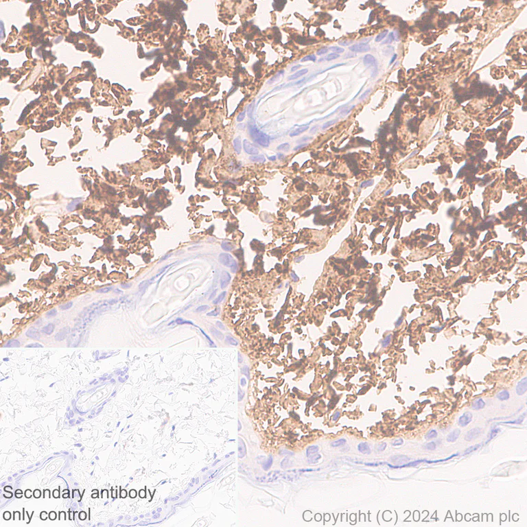
Immunohistochemistry (Formalin/PFA-fixed paraffin-embedded sections) - Anti-Collagen I antibody [RM1131] - BSA and Azide free (AB316223)
  • IHC-P

Supplier Data

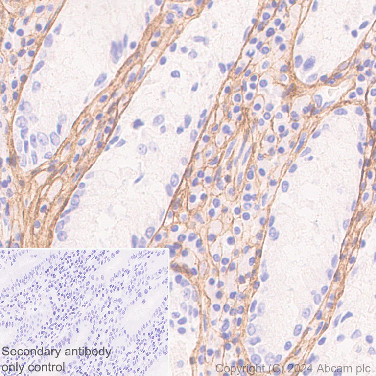
Immunohistochemistry (Formalin/PFA-fixed paraffin-embedded sections) - Anti-Collagen I antibody [RM1131] - BSA and Azide free (AB316223)

This data was developed using ab316222, the same antibody clone in a different buffer formulation.

Immunohistochemical analysis of paraffin-embedded Human colon tissue labeling Collagen I with ab316222 at 1/500 (1.012 ug/ml) dilution, followed by a ready to use LeicaDS9800 (Bond™ Polymer Refine Detection).

Positive staining on stroma of human colon.
The section was incubated with ab316222 for 30 mins at room temperature.
The immunostaining was performed on a Leica Biosystems BOND® RX instrument

Counterstained with Hematoxylin.

Secondary antibody only control : Secondary antibody is a ready to use LeicaDS9800 (Bond™ Polymer Refine Detection).

Heat mediated antigen retrieval was performed with Tris-EDTA buffer (pH 9.0, Epitope Retrieval Solution2) for 20 mins

Immunohistochemistry (Formalin/PFA-fixed paraffin-embedded sections) - Anti-Collagen I antibody [RM1131] - BSA and Azide free (AB316223)
  • IHC-P

Supplier Data

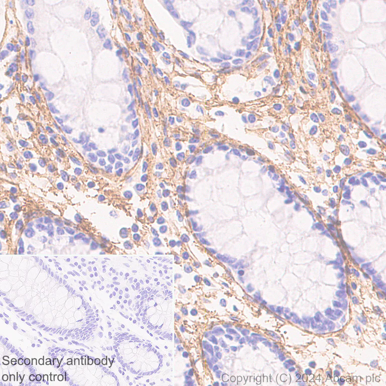
Immunohistochemistry (Formalin/PFA-fixed paraffin-embedded sections) - Anti-Collagen I antibody [RM1131] - BSA and Azide free (AB316223)

This data was developed using ab316222, the same antibody clone in a different buffer formulation.

Immunohistochemical analysis of paraffin-embedded Human endometrium tissue labeling Collagen I with ab316222 at 1/500 (1.012 ug/ml) dilution, followed by a ready to use LeicaDS9800 (Bond™ Polymer Refine Detection).

Positive staining on stroma of human endometrium.
The section was incubated with ab316222 for 30 mins at room temperature.
The immunostaining was performed on a Leica Biosystems BOND® RX instrument

Counterstained with Hematoxylin.

Secondary antibody only control : Secondary antibody is a ready to use LeicaDS9800 (Bond™ Polymer Refine Detection).

Heat mediated antigen retrieval was performed with Tris-EDTA buffer (pH 9.0, Epitope Retrieval Solution2) for 20 mins

Flow Cytometry (Intracellular) - Anti-Collagen I antibody [RM1131] - BSA and Azide free (AB316223)
  • Flow Cyt (Intra)

Supplier Data

Flow Cytometry (Intracellular) - Anti-Collagen I antibody [RM1131] - BSA and Azide free (AB316223)

This data was developed using ab316222, the same antibody clone in a different buffer formulation.

Flow cytometric analysis of 4% paraformaldehyde fixed 90% methanol permeabilized HT-29 (human colorectal adenocarcinoma epithelial cell, Left) / HFF-1 (human skin fibroblast, Right) cells labelling Collagen I with ab316222 at 1/5000 dilution (0.01 ug)/Red compared with a Rabbit monoclonal IgG (ab172730) (Black) isotype control and an unlabelled control (cells without incubation with primary antibody and secondary antibody) (Blue).

Goat Anti-Rabbit IgG (Alexa Fluor® 488, ab150081) at 1/5000 dilution was used as the secondary antibody.

Negative control : HT-29.

Immunoprecipitation - Anti-Collagen I antibody [RM1131] - BSA and Azide free (AB316223)
  • IP

Supplier Data

Immunoprecipitation - Anti-Collagen I antibody [RM1131] - BSA and Azide free (AB316223)

This data was developed using ab316222, the same antibody clone in a different buffer formulation.

Collagen I was immunoprecipitated from 0.35 mg HFF-1 (human skin fibroblast) whole cell lysate with ab316222 at 1/30 dilution (2ug in 0.35mg lysates). Western blot was performed on the immunoprecipitate using ab316222 at 1/1000 dilution. VeriBlot for IP secondary antibody(HRP)(ab131366) was used at 1/5000 dilution.

Lane 1 : HFF-1 (human skin fibroblast) whole cell lysate
Lane 2 : ab316222 IP in HFF-1 (human skin fibroblast) whole cell lysate
Lane 3 : Rabbit monoclonal IgG (ab172730) instead of ab316222 in HFF-1 whole cell lysate

All lanes:

Immunoprecipitation - Anti-Collagen I antibody [RM1131] (<a href='/en-us/products/primary-antibodies/collagen-i-antibody-rm1131-ab316222'>ab316222</a>) at 1/30 dilution

All lanes:

HFF-1 (human skin fibroblast) whole cell lysate

Secondary

All lanes:

Immunoprecipitation - VeriBlot for IP Detection Reagent (HRP) (<a href='/en-us/products/reagents/veriblot-for-ip-detection-reagent-hrp-ab131366'>ab131366</a>) at 1/5000 dilution

false

Exposure time: 10s

Immunohistochemistry (Frozen sections) - Anti-Collagen I antibody [RM1131] - BSA and Azide free (AB316223)
  • IHC-Fr

Supplier Data

Immunohistochemistry (Frozen sections) - Anti-Collagen I antibody [RM1131] - BSA and Azide free (AB316223)

This data was developed using ab316222, the same antibody clone in a different buffer formulation.

Immunohistochemical analysis of 4% PFA-fixed, 0.2% Triton X-100 permeabilized frozen Mouse skin (fresh frozen) tissue labeling Collagen I with ab316222 at 1/500 (1.012 ug/ml) dilution followed by ab150081 Goat Anti-Rabbit IgG H&L (Alexa Fluor® 488) preadsorbed at 1/1000 (2 ug/mL) dilution (Green).

Confocal image showing positive staining on mouse skin. The nuclear counterstain was DAPI (Blue). The section was incubated with ab316222 for 60 mins at room temperature. The section was then mounted using Fluoromount®.The immunostaining was performed on a Leica Biosystems BOND® RX instrument. Image was taken with a confocal microscope (Leica-Microsystems, TCS SP8).

Secondary antibody control : Secondary antibody is ab150081 Goat Anti-Rabbit IgG H&L (Alexa Fluor® 488) preadsorbedat 1/1000 (2 ug/mL) dilution.

Flow Cytometry (Intracellular) - Anti-Collagen I antibody [RM1131] - BSA and Azide free (AB316223)
  • Flow Cyt (Intra)

Supplier Data

Flow Cytometry (Intracellular) - Anti-Collagen I antibody [RM1131] - BSA and Azide free (AB316223)

This data was developed using ab316222, the same antibody clone in a different buffer formulation.

Flow cytometric analysis of 4% paraformaldehyde fixed 90% methanol permeabilized C6 (rat glial tumor glial cell, Left) / L6 (rat skeletal muscle myoblast, Right) cells labelling Collagen I with ab316222 at 1/5000 dilution (0.01 ug)/Red compared with a Rabbit monoclonal IgG (ab172730) (Black) isotype control and an unlabelled control (cells without incubation with primary antibody and secondary antibody) (Blue).

Goat Anti-Rabbit IgG (Alexa Fluor® 488, ab150081) at 1/5000 dilution was used as the secondary antibody.

Negative control : C6.

Immunohistochemistry (Formalin/PFA-fixed paraffin-embedded sections) - Anti-Collagen I antibody [RM1131] - BSA and Azide free (AB316223)
  • IHC-P

Supplier Data

Immunohistochemistry (Formalin/PFA-fixed paraffin-embedded sections) - Anti-Collagen I antibody [RM1131] - BSA and Azide free (AB316223)

This data was developed using ab316222, the same antibody clone in a different buffer formulation.

Immunohistochemical analysis of paraffin-embedded Rat stomach tissue labeling Collagen I with ab316222 at 1/500 (1.012 ug/ml) dilution, followed by a ready to use LeicaDS9800 (Bond™ Polymer Refine Detection).

Positive staining on stroma of rat stomach.
The section was incubated with ab316222 for 30 mins at room temperature.
The immunostaining was performed on a Leica Biosystems BOND® RX instrument

Counterstained with Hematoxylin.

Secondary antibody only control : Secondary antibody is a ready to use LeicaDS9800 (Bond™ Polymer Refine Detection).

Heat mediated antigen retrieval was performed with Tris-EDTA buffer (pH 9.0, Epitope Retrieval Solution2) for 20 mins

Immunohistochemistry (Formalin/PFA-fixed paraffin-embedded sections) - Anti-Collagen I antibody [RM1131] - BSA and Azide free (AB316223)
  • IHC-P

Supplier Data

Immunohistochemistry (Formalin/PFA-fixed paraffin-embedded sections) - Anti-Collagen I antibody [RM1131] - BSA and Azide free (AB316223)

This data was developed using ab316222, the same antibody clone in a different buffer formulation.

Immunohistochemical analysis of paraffin-embedded Mouse skin tissue labeling Collagen I with ab316222 at 1/500 (1.012 ug/ml) dilution, followed by a ready to use LeicaDS9800 (Bond™ Polymer Refine Detection).

Positive staining on stroma of mouse skin.
The section was incubated with ab316222 for 30 mins at room temperature.
The immunostaining was performed on a Leica Biosystems BOND® RX instrument

Counterstained with Hematoxylin.

Secondary antibody only control : Secondary antibody is a ready to use LeicaDS9800 (Bond™ Polymer Refine Detection).

Heat mediated antigen retrieval was performed with Tris-EDTA buffer (pH 9.0, Epitope Retrieval Solution2) for 20 mins

Immunohistochemistry (Frozen sections) - Anti-Collagen I antibody [RM1131] - BSA and Azide free (AB316223)
  • IHC-Fr

Supplier Data

Immunohistochemistry (Frozen sections) - Anti-Collagen I antibody [RM1131] - BSA and Azide free (AB316223)

This data was developed using ab316222, the same antibody clone in a different buffer formulation.

Immunohistochemical analysis of 4% PFA-fixed, 0.2% Triton X-100 permeabilized frozen Rat skin (fresh frozen) tissue labeling Collagen I with ab316222 at 1/500 (1.012 ug/ml) dilution followed by ab150081 Goat Anti-Rabbit IgG H&L (Alexa Fluor® 488) preadsorbed at 1/1000 (2 ug/mL) dilution (Green).

Confocal image showing positive staining on rat skin. The nuclear counterstain was DAPI (Blue). The section was incubated with ab316222 for 60 mins at room temperature. The section was then mounted using Fluoromount®.The immunostaining was performed on a Leica Biosystems BOND® RX instrument. Image was taken with a confocal microscope (Leica-Microsystems, TCS SP8).

Secondary antibody control : Secondary antibody is ab150081 Goat Anti-Rabbit IgG H&L (Alexa Fluor® 488) preadsorbedat 1/1000 (2 ug/mL) dilution.

Immunocytochemistry/ Immunofluorescence - Anti-Collagen I antibody [RM1131] - BSA and Azide free (AB316223)
  • ICC/IF

Supplier Data

Immunocytochemistry/ Immunofluorescence - Anti-Collagen I antibody [RM1131] - BSA and Azide free (AB316223)

This data was developed using ab316222, the same antibody clone in a different buffer formulation.

Immunofluorescent analysis of 100% methanol-fixed, 0.1% TritonX-100 permeabilized L6 (rat skeletal muscle myoblast) cells labelling Collagen I with ab316222 at 1/100 (5.06 ug/ml) dilution, followed by ab150081 Goat Anti-Rabbit IgG H&L (Alexa Fluor® 488) preadsorbed antibody at 1/1000 (2 ug/ml) dilution (Green).

Confocal image showing cytoplasmic staining in L6 cell line.
Negative control : C6.
Image was taken with a confocal microscope(Leica-Microsystems, TCS SP8).

ab195889 Anti-alpha Tubulin mouse monoclonal antibody - Microtubule Marker (Alexa Fluor® 594) was used to counterstain tubulin at 1/500 (1ug/ml) dilution (Red). The Nuclear counterstain was DAPI (Blue).

Secondary antibody only control : Secondary antibody is ab150081 Goat Anti-Rabbit IgG H&L (Alexa Fluor® 488) preadsorbed at 1/1000 (2 ug/ml) dilution.

Immunocytochemistry/ Immunofluorescence - Anti-Collagen I antibody [RM1131] - BSA and Azide free (AB316223)
  • ICC/IF

Supplier Data

Immunocytochemistry/ Immunofluorescence - Anti-Collagen I antibody [RM1131] - BSA and Azide free (AB316223)

This data was developed using ab316222, the same antibody clone in a different buffer formulation.

Immunofluorescent analysis of 100% methanol-fixed, 0.1% TritonX-100 permeabilized NIH/3T3 (mouse embryonic fibroblast) cells labelling Collagen I with ab316222 at 1/100 (5.06 ug/ml) dilution, followed by ab150081 Goat Anti-Rabbit IgG H&L (Alexa Fluor® 488) preadsorbed antibody at 1/1000 (2 ug/ml) dilution (Green).

Confocal image showing cytoplasmic staining in NIH/3T3 cell line.
Negative control : RAW 264.7.
Image was taken with a confocal microscope(Leica-Microsystems, TCS SP8).

ab195889 Anti-alpha Tubulin mouse monoclonal antibody - Microtubule Marker (Alexa Fluor® 594) was used to counterstain tubulin at 1/500 (1ug/ml) dilution (Red). The Nuclear counterstain was DAPI (Blue).

Secondary antibody only control : Secondary antibody is ab150081 Goat Anti-Rabbit IgG H&L (Alexa Fluor® 488) preadsorbed at 1/1000 (2 ug/ml) dilution.

Flow Cytometry (Intracellular) - Anti-Collagen I antibody [RM1131] - BSA and Azide free (AB316223)
  • Flow Cyt (Intra)

Supplier Data

Flow Cytometry (Intracellular) - Anti-Collagen I antibody [RM1131] - BSA and Azide free (AB316223)

This data was developed using ab316222, the same antibody clone in a different buffer formulation.

Flow cytometric analysis of 4% paraformaldehyde fixed 90% methanol permeabilized Raw 264.7 (mouse Abelson murine leukemia virus-induced tumor macrophage, Left) / NIH/3T3 (mouse embryonic fibroblast, Right) cells labelling Collagen I with ab316222 at 1/5000 dilution (0.01 ug)/Red compared with a Rabbit monoclonal IgG (ab172730) (Black) isotype control and an unlabelled control (cells without incubation with primary antibody and secondary antibody) (Blue).

Goat Anti-Rabbit IgG (Alexa Fluor® 488, ab150081) at 1/5000 dilution was used as the secondary antibody.

Negative control : Raw 264.7.

Immunohistochemistry (Formalin/PFA-fixed paraffin-embedded sections) - Anti-Collagen I antibody [RM1131] - BSA and Azide free (AB316223)
  • IHC-P

Supplier Data

Immunohistochemistry (Formalin/PFA-fixed paraffin-embedded sections) - Anti-Collagen I antibody [RM1131] - BSA and Azide free (AB316223)

This data was developed using ab316222, the same antibody clone in a different buffer formulation.

Immunohistochemical analysis of paraffin-embedded Mouse stomach tissue labeling Collagen I with ab316222 at 1/500 (1.012 ug/ml) dilution, followed by a ready to use LeicaDS9800 (Bond™ Polymer Refine Detection).

Positive staining on stroma of mouse stomach.
The section was incubated with ab316222 for 30 mins at room temperature.
The immunostaining was performed on a Leica Biosystems BOND® RX instrument

Counterstained with Hematoxylin.

Secondary antibody only control : Secondary antibody is a ready to use LeicaDS9800 (Bond™ Polymer Refine Detection).

Heat mediated antigen retrieval was performed with Tris-EDTA buffer (pH 9.0, Epitope Retrieval Solution2) for 20 mins

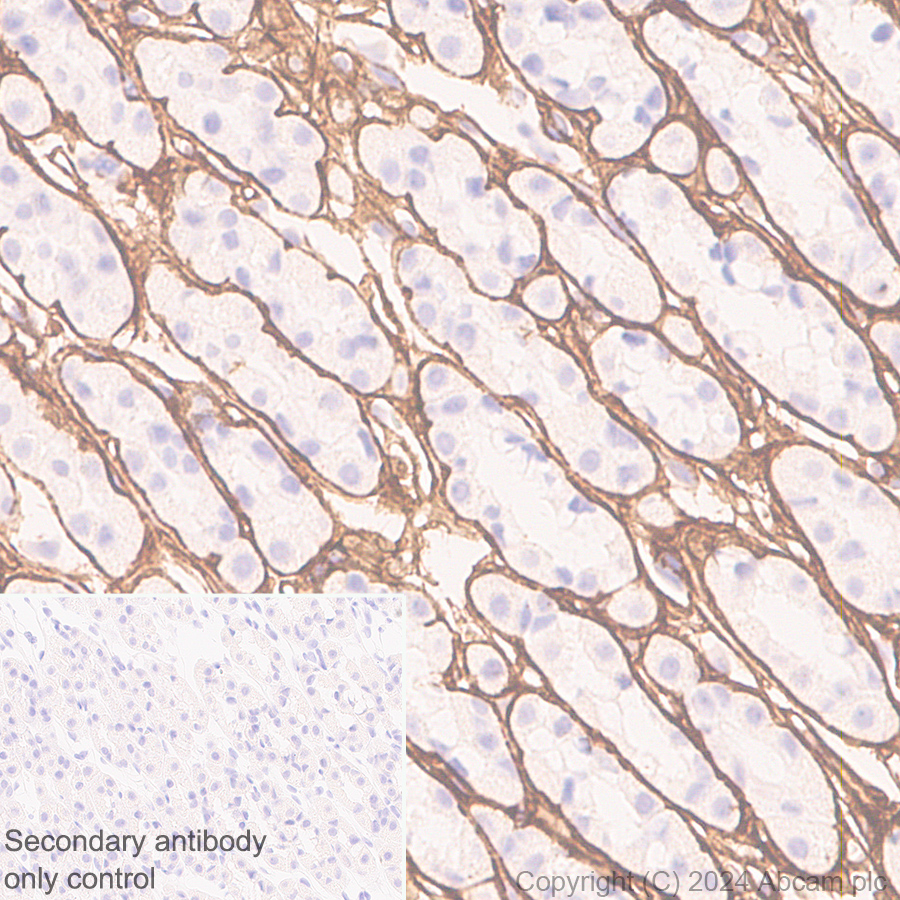
Immunohistochemistry (Formalin/PFA-fixed paraffin-embedded sections) - Anti-Collagen I antibody [RM1131] - BSA and Azide free (AB316223)
  • IHC-P

Supplier Data

Immunohistochemistry (Formalin/PFA-fixed paraffin-embedded sections) - Anti-Collagen I antibody [RM1131] - BSA and Azide free (AB316223)

This data was developed using ab316222, the same antibody clone in a different buffer formulation.

Immunohistochemical analysis of paraffin-embedded Rat skin tissue labeling Collagen I with ab316222 at 1/500 (1.012 ug/ml) dilution, followed by a ready to use LeicaDS9800 (Bond™ Polymer Refine Detection).

Positive staining on stroma of rat skin.
The section was incubated with ab316222 for 30 mins at room temperature.
The immunostaining was performed on a Leica Biosystems BOND® RX instrument

Counterstained with Hematoxylin.

Secondary antibody only control : Secondary antibody is a ready to use LeicaDS9800 (Bond™ Polymer Refine Detection).

Heat mediated antigen retrieval was performed with Tris-EDTA buffer (pH 9.0, Epitope Retrieval Solution2) for 20 mins

Immunoprecipitation - Anti-Collagen I antibody [RM1131] - BSA and Azide free (AB316223)
  • IP

Supplier Data

Immunoprecipitation - Anti-Collagen I antibody [RM1131] - BSA and Azide free (AB316223)

This data was developed using ab316222, the same antibody clone in a different buffer formulation.

Collagen I was immunoprecipitated from 0.35 mg Mouse skin tissue lysate with ab316222 at 1/30 dilution (2ug in 0.35mg lysates). Western blot was performed on the immunoprecipitate using ab316222 at 1/1000 dilution. VeriBlot for IP secondary antibody(HRP)(ab131366) was used at 1/5000 dilution.

Lane 1 : Mouse skin tissue lysate
Lane 2 : ab316222 IP in Mouse skin tissue lysate
Lane 3 : Rabbit monoclonal IgG (ab172730) instead of ab316222 in mouse skin tissue lysate

All lanes:

Immunoprecipitation - Anti-Collagen I antibody [RM1131] (<a href='/en-us/products/primary-antibodies/collagen-i-antibody-rm1131-ab316222'>ab316222</a>) at 1/30 dilution

All lanes:

Mouse skin tissue lysate

Secondary

All lanes:

Immunoprecipitation - VeriBlot for IP Detection Reagent (HRP) (<a href='/en-us/products/reagents/veriblot-for-ip-detection-reagent-hrp-ab131366'>ab131366</a>) at 1/5000 dilution

false

Exposure time: 180s

Western blot - Anti-Collagen I antibody [RM1131] - BSA and Azide free (AB316223)
  • WB

Lab

Western blot - Anti-Collagen I antibody [RM1131] - BSA and Azide free (AB316223)

This data was developed using ab316222, the same antibody clone in a different buffer formulation.

Blocking and diluting buffer and concentration : 5% NFDM/TBST.

Negative control : HT-29.
We are unsure how to define these extra bands below 100kDa.

All lanes:

Western blot - Anti-Collagen I antibody [RM1131] (<a href='/en-us/products/primary-antibodies/collagen-i-antibody-rm1131-ab316222'>ab316222</a>) at 1/1000 dilution

Lane 1:

HFF-1 (human skin fibroblast) whole cell lysate at 20 µg

Lane 2:

HT-29 (human colorectal adenocarcinoma epithelial cell) whole cell lysate at 20 µg

Lane 3:

NIH/3T3 (mouse embryonic fibroblast) whole cell lysate at 20 µg

Lane 4:

NIH/3T3 (mouse embryonic fibroblast) culture supernatant at 10 µL

Secondary

All lanes:

Goat Anti-Rabbit IgG (HRP) with minimal cross-reactivity with human IgG at 1/2000 dilution

Observed band size: 220 kDa

false

Exposure time: 180s

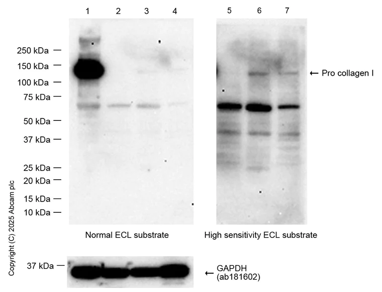
Western blot - Anti-Collagen I antibody [RM1131] - BSA and Azide free (AB316223)
  • WB

Supplier Data

Western blot - Anti-Collagen I antibody [RM1131] - BSA and Azide free (AB316223)

This data was developed using ab316222, the same antibody clone in a different buffer formulation.

The molecular weight observed is consistent with what has been described in the literature (PMID : 23940311)

In Western blot, Anti-GAPDH antibody [EPR16891] - Loading Control (ab181602) staining at 1/200000 dilution.

Exposure time : Lane 1 : 180 seconds, Lane 2 : 8 seconds, Lane 3 : 81 seconds

All lanes:

Western blot - Anti-Collagen I antibody [RM1131] (<a href='/en-us/products/primary-antibodies/collagen-i-antibody-rm1131-ab316222'>ab316222</a>) at 1/5000 dilution

Lane 1:

Mouse skin tissue lysate at 20 µg

Lane 2:

Rat skin tissue lysate at 20 µg

Lane 3:

Human uterus tissue lysate at 20 µg

Secondary

All lanes:

Goat Anti-Rabbit IgG (HRP) with minimal cross-reactivity with human IgG at 1/2000 dilution

Observed band size: 139 kDa,220 kDa,36 kDa

false

Western blot - Anti-Collagen I antibody [RM1131] - BSA and Azide free (AB316223)
  • WB

Supplier Data

Western blot - Anti-Collagen I antibody [RM1131] - BSA and Azide free (AB316223)

This data was developed using ab316222, the same antibody clone in a different buffer formulation.

Collagen I might be easily degraded. Lysates were freshly made and used for Western blotting immediately to minimize protein degradation.

In Western blot, Anti-GAPDH antibody [EPR16891] - Loading Control (ab181602) staining at 1/200000 dilution.

All lanes:

Western blot - Anti-Collagen I antibody [RM1131] (<a href='/en-us/products/primary-antibodies/collagen-i-antibody-rm1131-ab316222'>ab316222</a>) at 1/1000 dilution

Lane 1:

HFF-1 (human skin fibroblast) whole cell lysate at 20 µg

Lane 2:

HT-29 (human colorectal adenocarcinoma epithelial cell) whole cell lysate at 20 µg

Secondary

All lanes:

Goat Anti-Rabbit IgG (HRP) with minimal cross-reactivity with human IgG at 1/2000 dilution

Observed band size: 220 kDa,36 kDa

false

Exposure time: 6s

Western blot - Anti-Collagen I antibody [RM1131] - BSA and Azide free (AB316223)
  • WB

Lab

Western blot - Anti-Collagen I antibody [RM1131] - BSA and Azide free (AB316223)

This data was developed using ab316222, the same antibody clone in a different buffer formulation.

Blocking and diluting buffer and concentration : 5% NFDM/TBST.

This blot was developed using a high sensitivity ECL substrate.

Low expression tissue : normal mouse kidney (PMID : 33758176, PMID : 29102563)

All lanes:

Western blot - Anti-Collagen I antibody [RM1131] (<a href='/en-us/products/primary-antibodies/collagen-i-antibody-rm1131-ab316222'>ab316222</a>) at 1/1000 dilution

Lane 1:

Mouse skin tissue lysate at 20 µg

Lanes 2 and 5:

Mouse kidney tissue lysate at 20 µg

Lanes 3 and 6:

Mouse lung tissue lysate at 20 µg

Lanes 4 and 8:

Mouse heart tissue lysate at 20 µg

Secondary

All lanes:

Western blot - Goat Anti-Rabbit IgG H&L (HRP) (<a href='/en-us/products/secondary-antibodies/goat-rabbit-igg-h-l-hrp-ab97051'>ab97051</a>) at 1/20000 dilution

Predicted band size: 139 kDa

Observed band size: 139 kDa

false

Exposure time: 180s

Western blot - Anti-Collagen I antibody [RM1131] - BSA and Azide free (AB316223)
  • WB

Lab

Western blot - Anti-Collagen I antibody [RM1131] - BSA and Azide free (AB316223)

This data was developed using ab316222, the same antibody clone in a different buffer formulation.

Blocking and diluting buffer and concentration : 5% NFDM/TBST.

Negative control : RAW 264.7.
We are unsure how to define these extra bands below 100kDa.

All lanes:

Western blot - Anti-Collagen I antibody [RM1131] (<a href='/en-us/products/primary-antibodies/collagen-i-antibody-rm1131-ab316222'>ab316222</a>) at 1/5000 dilution

Lane 1:

NIH/3T3 (mouse embryonic fibroblast) whole cell lysate at 20 µg

Lane 2:

NIH/3T3 (mouse embryonic fibroblast) culture supernatant at 10 µL

Lane 3:

RAW 264.7 (mouse Abelson murine leukemia virus-induced tumor macrophage) whole cell lysate at 20 µg

Secondary

All lanes:

Goat Anti-Rabbit IgG (HRP) with minimal cross-reactivity with human IgG at 1/2000 dilution

Observed band size: 220 kDa

false

Exposure time: 81s

Western blot - Anti-Collagen I antibody [RM1131] - BSA and Azide free (AB316223)
  • WB

Supplier Data

Western blot - Anti-Collagen I antibody [RM1131] - BSA and Azide free (AB316223)

This data was developed using ab316222, the same antibody clone in a different buffer formulation.

Negative control : C6.

In Western blot, Anti-GAPDH antibody [EPR16891] - Loading Control (ab181602) staining at 1/200000 dilution.

All lanes:

Western blot - Anti-Collagen I antibody [RM1131] (<a href='/en-us/products/primary-antibodies/collagen-i-antibody-rm1131-ab316222'>ab316222</a>) at 1/1000 dilution

Lane 1:

L6 (rat skeletal muscle myoblast) whole cell lysate at 20 µg

Lane 2:

C6 (rat glial tumor glial cell) whole cell lysate at 20 µg

Secondary

All lanes:

Goat Anti-Rabbit IgG (HRP) with minimal cross-reactivity with human IgG at 1/2000 dilution

Observed band size: 220 kDa,36 kDa

false

Exposure time: 10s

Key facts

Host species

Rabbit

Clonality

Multiclonal

Clone number

RM1131

Isotype

IgG

Carrier free

Yes

Reacts with

Human, Mouse, Rat

Applications

IP, Flow Cyt (Intra), IHC-Fr, WB, IHC-P, ICC/IF

applications

Immunogen

The exact immunogen used to generate this antibody is proprietary information.

Reactivity data

{ "title": "Reactivity Data", "filters": { "stats": ["", "Species", "Dilution Info", "Notes"], "tabs": { "all-applications": {"fullname" : "All Applications", "shortname": "All Applications"}, "FlowCytIntra" : {"fullname" : "Flow Cytometry (Intracellular)", "shortname":"Flow Cyt (Intra)"}, "WB" : {"fullname" : "Western blot", "shortname":"WB"}, "IHCP" : {"fullname" : "Immunohistochemistry (Formalin/PFA-fixed paraffin-embedded sections)", "shortname":"IHC-P"}, "ICCIF" : {"fullname" : "Immunocytochemistry/ Immunofluorescence", "shortname":"ICC/IF"}, "IP" : {"fullname" : "Immunoprecipitation", "shortname":"IP"}, "IHCFr" : {"fullname" : "Immunohistochemistry (Frozen sections)", "shortname":"IHC-Fr"} }, "product-promise": { "all": "all", "testedAndGuaranteed": "tested", "guaranteed": "expected", "predicted": "predicted", "notRecommended": "not-recommended" } }, "values": { "Human": { "FlowCytIntra-species-checked": "testedAndGuaranteed", "FlowCytIntra-species-dilution-info": "", "FlowCytIntra-species-notes": "<p></p>", "WB-species-checked": "testedAndGuaranteed", "WB-species-dilution-info": "", "WB-species-notes": "<p>Negative control: HT-29.&lt;br&gt;We are unsure how to define these extra bands below 100kDa.</p>", "IHCP-species-checked": "testedAndGuaranteed", "IHCP-species-dilution-info": "", "IHCP-species-notes": "<p></p>", "ICCIF-species-checked": "testedAndGuaranteed", "ICCIF-species-dilution-info": "", "ICCIF-species-notes": "<p></p>", "IP-species-checked": "testedAndGuaranteed", "IP-species-dilution-info": "", "IP-species-notes": "<p></p>", "IHCFr-species-checked": "guaranteed", "IHCFr-species-dilution-info": "", "IHCFr-species-notes": "" }, "Mouse": { "FlowCytIntra-species-checked": "testedAndGuaranteed", "FlowCytIntra-species-dilution-info": "", "FlowCytIntra-species-notes": "<p></p>", "WB-species-checked": "testedAndGuaranteed", "WB-species-dilution-info": "", "WB-species-notes": "<p>Negative control: RAW 264.7.&lt;br&gt;We are unsure how to define these extra bands below 100kDa.</p>", "IHCP-species-checked": "testedAndGuaranteed", "IHCP-species-dilution-info": "", "IHCP-species-notes": "<p></p>", "ICCIF-species-checked": "testedAndGuaranteed", "ICCIF-species-dilution-info": "", "ICCIF-species-notes": "<p></p>", "IP-species-checked": "testedAndGuaranteed", "IP-species-dilution-info": "", "IP-species-notes": "<p></p>", "IHCFr-species-checked": "testedAndGuaranteed", "IHCFr-species-dilution-info": "", "IHCFr-species-notes": "<p></p>" }, "Rat": { "FlowCytIntra-species-checked": "testedAndGuaranteed", "FlowCytIntra-species-dilution-info": "", "FlowCytIntra-species-notes": "<p></p>", "WB-species-checked": "testedAndGuaranteed", "WB-species-dilution-info": "", "WB-species-notes": "<p></p>", "IHCP-species-checked": "testedAndGuaranteed", "IHCP-species-dilution-info": "", "IHCP-species-notes": "<p></p>", "ICCIF-species-checked": "testedAndGuaranteed", "ICCIF-species-dilution-info": "", "ICCIF-species-notes": "<p></p>", "IP-species-checked": "guaranteed", "IP-species-dilution-info": "", "IP-species-notes": "", "IHCFr-species-checked": "testedAndGuaranteed", "IHCFr-species-dilution-info": "", "IHCFr-species-notes": "<p></p>" } } }

Product details

ab316223 is the carrirer-free version of ab316222.

What are recombinant multiclonals?
Recombinant multiclonals are a mixture of recombinant antibodies co-expressed from a library of heavy and light chains. They offer several advantages including:

  • - The sensitivity of polyclonal antibodies by recognising multiple epitopes
  • - High batch-to-batch consistency and reproducibility
  • - Improved sensitivity and specificity
  • - Long-term security of supply
  • - Animal-free batch production

View our range of recombinant multiclonal antibodies.

Patented technology
Our RabMAb® technology is a patented hybridoma-based technology for making rabbit monoclonal antibodies. For details on our patents, please refer to RabMAb® patents.

Conjugation ready
Our carrier-free antibodies are typically supplied in a PBS-only formulation, purified and free of BSA, sodium azide and glycerol. This conjugation-ready format is designed for use with fluorochromes, metal isotopes, oligonucleotides, and enzymes, which makes them ideal for antibody labelling, functional and cell-based assays, flow-based assays (e.g. mass cytometry) and Multiplex Imaging applications.

Use our conjugation kits for antibody conjugates that are ready-to-use in as little as 20 minutes with 1 minute hands-on-time and 100% antibody recovery: available for fluorescent dyes, HRP, biotin and gold.

Compatibility
This product is compatible with the Maxpar® Antibody Labeling Kit from Fluidigm, without the need for antibody preparation. Maxpar® is a trademark of Fluidigm Canada Inc.

Properties and storage information

Form
Liquid
Purification technique
Affinity purification Protein A
Storage buffer
pH: 7.2 - 7.4 Constituents: PBS
Shipped at conditions
Blue Ice
Appropriate short-term storage conditions
+4°C
Appropriate long-term storage conditions
+4°C

Supplementary information

This supplementary information is collated from multiple sources and compiled automatically.

Collagen type I also called collagen I is a structural protein expressed mainly in connective tissues such as skin tendon bone and ligaments. It serves as an important component in providing mechanical strength and integrity to these tissues. Collagen I is a fibrillar collagen known for its triple-helix structure composed of two alpha-1 chains and one alpha-2 chain and has a molecular mass of approximately 300 kDa. Researchers often employ collagen western blot and collagen ELISA techniques for its detection. Collagen suppliers offer various collagen antibodies used in these assays to study its distribution and function.
Biological function summary

Collagen type I plays a central role in maintaining the extracellular matrix and supporting cellular environments. It interacts with other matrix proteins and cells forming complexes that help in tissue development and repair. Type I collagen is especially important in bone matrix working alongside minerals like hydroxyapatite to provide rigidity and support. Anti-collagen antibodies aid in studying its biological functions and interactions which are critical to understanding tissue dynamics.

Pathways

Collagen type I interacts with multiple signaling cascades involved in tissue remodeling and repair. It is a significant player in the TGF-β pathway which regulates fibrosis and wound healing processes. In these pathways proteins such as fibronectin and integrins work in concert with collagen type I to orchestrate cellular responses to damage. Researchers often examine its role in these pathways to uncover therapeutic possibilities for disease interventions.

Collagen type I has strong connections to conditions like osteogenesis imperfecta and fibrosis. Mutations or irregularities in collagen I production can lead to osteogenesis imperfecta a genetic disorder characterized by brittle bones. In fibrosis excessive collagen deposition disrupts normal tissue architecture contributing to organ dysfunction. In both conditions type I collagen interacts with other proteins like matrix metalloproteinases which modulate its breakdown and remodeling highlighting its importance in disease pathology.

Product protocols

For this product, it's our understanding that no specific protocols are required. You can visit:

Target data

Type I collagen is a member of group I collagen (fibrillar forming collagen).
See full target information COL1A1

Product promise

We are committed to supporting your work with high-quality reagents, and we're here for you every step of the way. In the unlikely event that one of our products does not perform as expected, you're protected by our Product Promise.
For full details, please see our Terms & Conditions

Please note: All products are 'FOR RESEARCH USE ONLY. NOT FOR USE IN DIAGNOSTIC OR THERAPEUTIC PROCEDURES'.

For licensing inquiries, please contact partnerships@abcam.com