JavaScript is disabled in your browser. Please enable JavaScript to view this website.
AB34710

Anti-Collagen I + Collagen III antibody

5

(91 Reviews)

|

(2352 Publications)

Anti-Collagen I + Collagen III antibody (ab34710) is a rabbit polyclonal antibody detecting Collagen I in Western Blot, IHC-P, ICC/IF. Suitable for Human.

- Over 1850 publications
- Trusted since 2006

View Alternative Names

Collagen alpha-1(I) chain, Alpha-1 type I collagen, COL1A1

5 Images
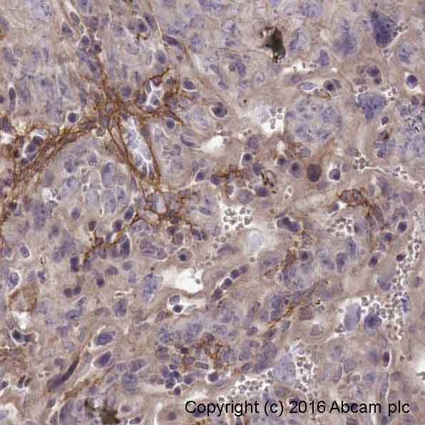
Immunohistochemistry (Formalin/PFA-fixed paraffin-embedded sections) - Anti-Collagen I + Collagen III antibody (AB34710)
  • IHC-P

Supplier Data

Immunohistochemistry (Formalin/PFA-fixed paraffin-embedded sections) - Anti-Collagen I + Collagen III antibody (AB34710)

Immunohistochemical analysis of formalin-fixed paraffin-embedded human tubuli and blood vessels labelling Collagen I and Collagen III with ab34710 at 1/15 for 1 hour at 37 °C followed by a ready to Polymer-HRP, Rabbit/Mouse Detection Kit. Blocking : Peroxidase-Blocking Solution for 10 minutes. Substrate : DAB-Chromogen, Rabbit/Mouse. Staining/Results : Intense collagen I staining of fibres surrounding tubuli and around blood vessels. Counterstained with  hematoxylin for 15 seconds. Heat induced epitope retrieval (HIER) using Tris-EDTA-citrate buffer pH 7.8 for 5 minutes.

Immunohistochemistry (Formalin/PFA-fixed paraffin-embedded sections) - Anti-Collagen I + Collagen III antibody (AB34710)
  • IHC-P

Supplier Data

Immunohistochemistry (Formalin/PFA-fixed paraffin-embedded sections) - Anti-Collagen I + Collagen III antibody (AB34710)

Immunohistochemical analysis of formalin-fixed paraffin-embedded human stomach mucosa (TMA) tissue labelling Collagen I and Collagen III with ab34710 at 1/15 dilution for 1 hour at 37 °C followed by a ready to use Polymer-HRP, Rabbit/Mouse Detection Kit. Blocking : Peroxidase-Blocking Solution for 10 minutes. Substrate : DAB-Chromogen, Rabbit/Mouse. Staining/Results : basement membranes and blood vessels. Counterstained with hematoxylin for 15 seconds. Heat induced epitope retrieval (HIER) using Tris-EDTA-citrate buffer pH 7.8 for 5 minutes.

Immunohistochemistry (Formalin/PFA-fixed paraffin-embedded sections) - Anti-Collagen I + Collagen III antibody (AB34710)
  • IHC-P

Supplier Data

Immunohistochemistry (Formalin/PFA-fixed paraffin-embedded sections) - Anti-Collagen I + Collagen III antibody (AB34710)

Immunohistochemical analysis of formalin-fixed paraffin-embedded smooth muscle cells of the human stomach wall labelling Collagen I and Collagen III with ab34710 at 1/15 dilution for 1 hour at 37 °C followed by a ready to use Polymer-HRP, Rabbit/Mouse Detection Kit. Blocking : Peroxidase-Blocking Solution for 10 minutes. Substrate : DAB-Chromogen, Rabbit/Mouse. Staining/Results : smooth muscle cells surrounded by collagen fibers. Counterstained with hematoxylin for 15 seconds. Heat induced epitope retrieval (HIER) using Tris-EDTA-citrate buffer pH 7.8 for 5 minutes.

Western blot - Anti-Collagen I + Collagen III antibody (AB34710)
  • WB

Supplier Data

Western blot - Anti-Collagen I + Collagen III antibody (AB34710)

DyLight™ 649 anti-rabbit secondary antibody at 1 : 20,000 for 30 min at RT.

Blocking Buffer for 30 min at room temperature - proprietary protein formulation in TRIS buffered saline at pH 7.6 with thimerosal added as an antimicrobial agent.

Other Band(s) : Collagen Type I splice variants and isoforms.

All lanes:

Western blot - Anti-Collagen I + Collagen III antibody (ab34710) at 1/1000 dilution

All lanes:

Western blot - Native Human Collagen I protein (<a href='/en-us/products/proteins-peptides/native-human-collagen-i-protein-ab7533'>ab7533</a>) at 0.05 µg

Secondary

All lanes:

DyLight™ 649 anti-rabbit secondary antibody at 1/20000 dilution

Predicted band size: 139 kDa

false

Western blot - Anti-Collagen I + Collagen III antibody (AB34710)
  • WB

Supplier Data

Western blot - Anti-Collagen I + Collagen III antibody (AB34710)

All lanes:

Western blot - Anti-Collagen I + Collagen III antibody (ab34710)

Lane 1:

Human Collagen I Reduced/Boiled at 10 µg

Lane 2:

Human Collagen I Reduced/Non-Boiled at 10 µg

Lane 3:

Human Collagen III Reduced/Boiled at 10 µg

Lane 4:

Human Collagen III Reduced/ Non-Boiled at 10 µg

Lane 6:

Human Collagen I Non-Reduced/Boiled at 10 µg

Lane 7:

Human Collagen I Non-Reduced/Non-Boiled at 10 µg

Lane 8:

Human Collagen III Non-Reduced/Boiled at 10 µg

Lane 9:

Human Collagen III Non-Reduced/ Non-Boiled at 10 µg

Predicted band size: 139 kDa

false

Exposure time: 8.9s

Key facts

Host species

Rabbit

Clonality

Polyclonal

Isotype

IgG

Carrier free

No

Reacts with

Human

Applications

ICC/IF, WB, IHC-P

applications

Immunogen

This product was produced with the following immunogens:

Native Full Length Protein corresponding to Human COL1A2. Database link P08123

Native Full Length Protein corresponding to Cow Collagen alpha-2(I) chain. Database link P02465

Native Full Length Protein corresponding to Cow COL1A1. Database link P02453

Specificity

This product is not recommended for use under denaturing conditions in WB. We would suggest testing it under native conditions. Denaturing and reducing conditions will greatly diminish reactivity and selectivity of this antibody. Abcam does not test ab34710 with endogenous samples in WB. We do recommend to look at the guidelines for blotting large proteins.

Customers have been successful using ab34710 in this application, please see reference Tillgren V et al. J Biol Chem 290:918-25; 2015.

Positive Control: Human stomach, skin and adrenal gland tissue lysates.

Reactivity data

{ "title": "Reactivity Data", "filters": { "stats": ["", "Species", "Dilution Info", "Notes"], "tabs": { "all-applications": {"fullname" : "All Applications", "shortname": "All Applications"}, "IHCP" : {"fullname" : "Immunohistochemistry (Formalin/PFA-fixed paraffin-embedded sections)", "shortname":"IHC-P"}, "WB" : {"fullname" : "Western blot", "shortname":"WB"}, "ICCIF" : {"fullname" : "Immunocytochemistry/ Immunofluorescence", "shortname":"ICC/IF"} }, "product-promise": { "all": "all", "testedAndGuaranteed": "tested", "guaranteed": "expected", "predicted": "predicted", "notRecommended": "not-recommended" } }, "values": { "Human": { "IHCP-species-checked": "testedAndGuaranteed", "IHCP-species-dilution-info": "1/50 - 1/200", "IHCP-species-notes": "<p></p>", "WB-species-checked": "testedAndGuaranteed", "WB-species-dilution-info": "1/1000 - 1/10000", "WB-species-notes": "<p></p>", "ICCIF-species-checked": "guaranteed", "ICCIF-species-dilution-info": "", "ICCIF-species-notes": "<p></p>" } } }

Product details

Anti-Collagen I + Collagen III antibody (ab34710) is a rabbit polyclonal antibody and is validated for use in ICC/IF, IHC-P and WB.

Anti-Collagen I + Collagen III antibody (ab34710) was first used in a scientific publication in 1977 and has been cited over 1859 times in peer reviewed journals. It's performance in Western blot and IHC in human, mouse and rat samples is trusted by the scientific community.

Abcam's high quality validation processes ensure Anti-Collagen I + Collagen III antibody (ab34710) has high sensitivity and specificity.

Anti-Collagen I + Collagen III antibody (ab34710) has 88 independent reviews from customers.

Anti-Collagen I + Collagen III antibody (ab34710) specifically detects Collagen I + Collagen III (UniProt ID: P02452; P08123; Molecular weight: 95kDa; 94kDa) and is sold in 100 µg selling sizes.

Top cited antibody to Collagen I and Collagen II on the market with >2200 citations. This reagent has >58 5 star reviews. Collagen I and Collagen III are essential for studying tissue structure, repair and fibrosis, aiding in research on skin, muscle and cardiovascular health.

Properties and storage information

Form
Liquid
Purification technique
Affinity purification Immunogen
Purification notes
COLLAGEN I Antibody has been prepared by immunoaffinity chromatography using immobilized antigens.
Storage buffer
pH: 7.2 Preservative: 0.01% Sodium azide Constituents: 0.88% Sodium chloride, 0.424% Potassium phosphate solution
Shipped at conditions
Blue Ice
Appropriate short-term storage duration
1-2 weeks
Appropriate short-term storage conditions
+4°C
Appropriate long-term storage conditions
-20°C
Aliquoting information
Upon delivery aliquot
Storage information
Avoid freeze / thaw cycle

Supplementary information

This supplementary information is collated from multiple sources and compiled automatically.

Collagen I also known as collagen type 1 is a protein that provides mechanical support to tissues. It forms large fibrils and has a molecular mass of about 300 kilodaltons. Collagen I is expressed in connective tissues including skin bones tendons and ligaments. It serves as a structural scaffold that imparts tensile strength and stability. This protein is essential for maintaining the integrity of extracellular matrices in these tissues.
Biological function summary

Collagen I plays a central role in tissue architecture and wound healing. It is part of a larger collagen family comprising fibers that form a network within the extracellular space. In addition to its structural functions collagen I interacts with cells influencing processes like cell adhesion and migration. It undergoes remodeling through enzymes such as collagenases during tissue repair. Collagen I engages with various matrix proteins reinforcing its function in maintaining tissue homeostasis.

Pathways

Collagen I is involved in signaling pathways related to extracellular matrix organization and remodeling. Its interactions within the transforming growth factor-beta (TGF-β) pathway highlight its role in regulating tissue repair and fibrosis. Within this pathway collagen I associates with other proteins like fibronectin. In this context matrix metalloproteinases also relate to collagen I as they modify its structure and influence matrix dynamics.

Collagen I changes associate strongly with fibrosis and osteogenesis imperfecta. In fibrosis excessive collagen I accumulation leads to scarring and tissue function impairment. Proteins like TGF-β influence abnormal collagen I deposition in this context. In osteogenesis imperfecta mutations in collagen I genes disrupt its function affecting bone development and strength. Osteocalcin another bone-associated protein interacts with collagen I contributing to skeletal matrix formation.

Product protocols

For this product, it's our understanding that no specific protocols are required. You can visit:

Target data

Type I collagen is a member of group I collagen (fibrillar forming collagen).
See full target information COL1A1

Additional targets

COL1A2,COL3A1

Publications (2352)

Recent publications for all applications. Explore the full list and refine your search

Cell death & disease 16:678 PubMed41053113

2025

SDC4 drives fibrotic remodeling of the intervertebral disc under altered spinal loading.

Applications

Unspecified application

Species

Unspecified reactive species

Kimheak Sao,Makarand V Risbud

The Journal of clinical investigation 135: PubMed41031884

2025

Urine proteins reveal distinct coagulation and complement cascades underlying acute versus chronic lupus nephritis.

Applications

Unspecified application

Species

Unspecified reactive species

Ting Zhang,Jessica Castillo,Anto Sam Crosslee Louis Sam Titus,Kamala Vanarsa,Vedant Sharma,Sohan Kureti,Ramesh Saxena,Chandra Mohan

Science advances 11:eadu9136 PubMed41032617

2025

High-resolution in vivo kinematic tracking with customized injectable fluorescent nanoparticles.

Applications

Unspecified application

Species

Unspecified reactive species

Emine Zeynep Ulutas,Amartya Pradhan,Dorothy Koveal,Jeffrey E Markowitz

Scientific reports 15:33117 PubMed41006434

2025

Effects of Slit2 on hypertrophic scar formation: an in vitro study in fibroblasts.

Applications

Unspecified application

Species

Unspecified reactive species

Hui Song Cui,Yoon Soo Cho,So Young Joo,Ya Xin Zheng,Yu Mi Ro,Kibum Jeon,Cheong Hoon Seo

International journal of molecular sciences 26: PubMed41009439

2025

Antifibrotic Effects of an α7 Nicotinic Acetylcholine Receptor Agonist in Keloid Fibroblasts and a Rat Scar Model.

Applications

Unspecified application

Species

Unspecified reactive species

Hyun Roh,Yo Han Kim,Kyung Jun Heo,Jong Won Hong,Won Jai Lee

The Journal of experimental medicine 222: PubMed40970910

2025

Identification of lymphatic vessels in skull periosteum but not bone marrow reveals skull channel heterogeneity.

Applications

Unspecified application

Species

Unspecified reactive species

Qing Chang,Li Ma,Ziying Lin,Yang Shu,Pao-Fen Ko,Matthew Blumberg,Jian-Fu Chen

JID innovations : skin science from molecules to population health 5:100402 PubMed40948820

2025

Superior Antiproliferative and Enhanced Synergistic Effects of a ROCK Inhibitor in Multiple Models for Keloid Disease.

Applications

Unspecified application

Species

Unspecified reactive species

Zeinab Ghasemishahrestani,Traci A Wilgus,Nonhlanhla P Khumalo,Ardeshir Bayat

PloS one 20:e0323156 PubMed40929094

2025

Atelocollagen exhibits superior performance compared to growth factors in upregulating proteins associated with tendon healing.

Applications

Unspecified application

Species

Unspecified reactive species

Sung-Jin Park,Jong Pil Yoon,Kyung-Soo Oh,Seok Won Chung

Inflammation and regeneration 45:27 PubMed40883787

2025

Acomys cahirinus develop lung stroma distortion but not fibrosis after bleomycin-induced injury.

Applications

Unspecified application

Species

Unspecified reactive species

Nataliya A Basalova,Vladimir S Popov,Yulia G Antropova,Natalia V Danilova,Victoria N Biryukova,Uliana D Dyachkova,Maksim A Vigovskiy,Olga A Grigorieva,Natalia I Kalinina,Anastasia Yu Efimenko

Journal of tissue engineering 16:20417314251348038 PubMed40843411

2025

Formation of neutrophil extracellular traps in the early stages exacerbate the healing process by regulating macrophage polarization in Achilles tendon-bone injury.

Applications

Unspecified application

Species

Unspecified reactive species

Yiqin Zhou,Xiaolei Yang,Dawei Niu,Peiliang Fu,Qirong Qian,Qi Zhou
View all publications

Product promise

We are committed to supporting your work with high-quality reagents, and we're here for you every step of the way. In the unlikely event that one of our products does not perform as expected, you're protected by our Product Promise.
For full details, please see our Terms & Conditions

Please note: All products are 'FOR RESEARCH USE ONLY. NOT FOR USE IN DIAGNOSTIC OR THERAPEUTIC PROCEDURES'.

For licensing inquiries, please contact partnerships@abcam.com