JavaScript is disabled in your browser. Please enable JavaScript to view this website.
AB307674

Anti-Collagen II antibody [EPR27418-25]

  • BOND RX™ Validated
  • 20ul selling size
  • RabMAb
  • Recombinant
  • What is this?

Be the first to review this product! Submit a review

|

(26 Publications)

Anti-Collagen II antibody [EPR27418-25] (ab307674) is a rabbit monoclonal antibody detecting Collagen II in Western Blot, IHC-P, IHC-Fr. Suitable for Human, Rat.

- Biophysical QC for unrivalled batch-batch consistency

View Alternative Names

Collagen alpha-1(II) chain, Alpha-1 type II collagen, COL2A1

6 Images
Immunohistochemistry (Formalin/PFA-fixed paraffin-embedded sections) - Anti-Collagen II antibody [EPR27418-25] (AB307674)
  • IHC-P

Supplier Data

Immunohistochemistry (Formalin/PFA-fixed paraffin-embedded sections) - Anti-Collagen II antibody [EPR27418-25] (AB307674)

Immunohistochemical analysis of paraffin-embedded Rat skeletal muscle tissue labeling Collagen II with ab307674 at 1/200 (2.34 ug/ml) followed by a ready to use LeicaDS9800 (Bond™ Polymer Refine Detection). Negative control : no staining on rat skeletal muscle.The section was incubated with ab307674 for 30 mins at room temperature.The immunostaining was performed on a Leica Biosystems BOND® RX instrument Counterstained with Hematoxylin. Secondary antibody only control : Secondary antibody is a ready to use LeicaDS9800 (Bond™ Polymer Refine Detection). Heat mediated antigen retrieval was performed with Tris-EDTA buffer (pH 9.0, Epitope Retrieval Solution2) for 20 mins

Immunohistochemistry (Frozen sections) - Anti-Collagen II antibody [EPR27418-25] (AB307674)
  • IHC-Fr

Supplier Data

Immunohistochemistry (Frozen sections) - Anti-Collagen II antibody [EPR27418-25] (AB307674)

Immunohistochemical analysis of 4% PFA-fixed, 0.2% Triton X-100 permeabilized frozen Rat liver (fresh) tissue labeling Collagen II with ab307674 at 1/100 (4.68 ug/ml) dilution followed by ab150081 Goat Anti-Rabbit IgG H&L (Alexa Fluor® 488) preadsorbed at 1/1000 2 ug/mL dilution (Green). Negative control : confocal image showing no staining on rat liver (PMID 9121483). The nuclear counterstain was DAPI (Blue). The section was incubated with ab307674 for 60 mins at room temperature. The section was then mounted using Fluoromount®.The immunostaining was performed on a Leica Biosystems BOND® RX instrument. Image was taken with a confocal microscope (Leica-Microsystems, TCS SP8). The nuclear counterstain was DAPI (Blue). Secondary antibody control : Secondary antibody is ab150081 Goat Anti-Rabbit IgG H&L (Alexa Fluor® 488) preadsorbedat 1/1000 2 ug/mL dilution.

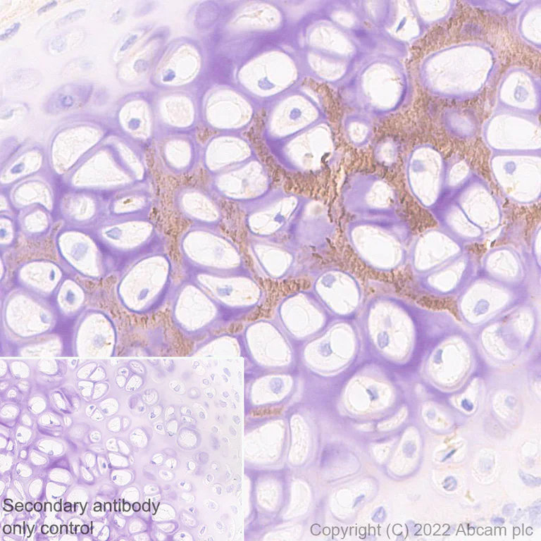
Immunohistochemistry (Formalin/PFA-fixed paraffin-embedded sections) - Anti-Collagen II antibody [EPR27418-25] (AB307674)
  • IHC-P

Supplier Data

Immunohistochemistry (Formalin/PFA-fixed paraffin-embedded sections) - Anti-Collagen II antibody [EPR27418-25] (AB307674)

Immunohistochemical analysis of paraffin-embedded Rat cartilage tissue labeling Collagen II with ab307674 at 1/200 (2.34 ug/ml) followed by a ready to use LeicaDS9800 (Bond™ Polymer Refine Detection). Positive staining on rat cartilage.The section was incubated with ab307674 for 30 mins at room temperature.The immunostaining was performed on a Leica Biosystems BOND® RX instrument Counterstained with Hematoxylin. Secondary antibody only control : Secondary antibody is a ready to use LeicaDS9800 (Bond™ Polymer Refine Detection). Heat mediated antigen retrieval was performed with Tris-EDTA buffer (pH 9.0, Epitope Retrieval Solution2) for 20 mins

Immunohistochemistry (Frozen sections) - Anti-Collagen II antibody [EPR27418-25] (AB307674)
  • IHC-Fr

Supplier Data

Immunohistochemistry (Frozen sections) - Anti-Collagen II antibody [EPR27418-25] (AB307674)

Immunohistochemical analysis of 4% PFA-fixed, 0.2% Triton X-100 permeabilized frozen Rat articular cartilage (fresh) tissue labeling Collagen II with ab307674 at 1/100 (4.68 ug/ml) dilution followed by ab150081 Goat Anti-Rabbit IgG H&L (Alexa Fluor® 488) preadsorbed at 1/1000 2 ug/mL dilution (Green). Confocal image showing positive staining on rat articular cartilage. The nuclear counterstain was DAPI (Blue). The section was incubated with ab307674 for 60 mins at room temperature. The section was then mounted using Fluoromount®.The immunostaining was performed on a Leica Biosystems BOND® RX instrument. Image was taken with a confocal microscope (Leica-Microsystems, TCS SP8). The nuclear counterstain was DAPI (Blue). Secondary antibody control : Secondary antibody is ab150081 Goat Anti-Rabbit IgG H&L (Alexa Fluor® 488) preadsorbedat 1/1000 2 ug/mL dilution.

Western blot - Anti-Collagen II antibody [EPR27418-25] (AB307674)
  • WB

Supplier Data

Western blot - Anti-Collagen II antibody [EPR27418-25] (AB307674)

Blocking and diluting buffer and concentration : 5% NFDM/TBST Negative control : skeletal muscle (Human Protein Atlas Database), liver (PMID : 9121483). In Western blot, anti-GAPDH antibody (ab181602) loading control staining at 1/200000 dilution. Exposure time : 180 seconds

All lanes:

Western blot - Anti-Collagen II antibody [EPR27418-25] (ab307674) at 1/1000 dilution

Lane 1:

Human articar cartilage tissue lysate at 20 µg

Lane 2:

Human skeletal muscle tissue lysate at 20 µg

Lane 3:

Human liver tissue lysate at 20 µg

Secondary

All lanes:

Goat Anti-Rabbit IgG (HRP) with minimal cross-reactivity with human IgG at 1/2000 dilution

Observed band size: 142 kDa

false

Exposure time: 180s

Western blot - Anti-Collagen II antibody [EPR27418-25] (AB307674)
  • WB

Supplier Data

Western blot - Anti-Collagen II antibody [EPR27418-25] (AB307674)

Blocking and diluting buffer and concentration : 5% NFDM/TBST The 142kDa and 110kDa bands represent full length of Collagen II and Collagen alpha-1(II) chain. Exposure time : 26 seconds

All lanes:

Western blot - Anti-Collagen II antibody [EPR27418-25] (ab307674) at 1/1000 dilution

All lanes:

Rat articar cartilage tissue lysate at 20 µg

Secondary

All lanes:

Western blot - Goat Anti-Rabbit IgG H&L (HRP) (<a href='/en-us/products/secondary-antibodies/goat-rabbit-igg-h-l-hrp-ab97051'>ab97051</a>) at 1/20000 dilution

Observed band size: 110 kDa,142 kDa

false

Exposure time: 26s

  • Carrier free

    Anti-Collagen II antibody [EPR27418-25] - BSA and Azide free

Key facts

Host species

Rabbit

Clonality

Monoclonal

Clone number

EPR27418-25

Isotype

IgG

Carrier free

No

Reacts with

Human, Rat

Applications

IHC-Fr, WB, IHC-P

applications

Immunogen

The exact immunogen used to generate this antibody is proprietary information.

Reactivity data

{ "title": "Reactivity Data", "filters": { "stats": ["", "Species", "Dilution Info", "Notes"], "tabs": { "all-applications": {"fullname" : "All Applications", "shortname": "All Applications"}, "WB" : {"fullname" : "Western blot", "shortname":"WB"}, "IHCP" : {"fullname" : "Immunohistochemistry (Formalin/PFA-fixed paraffin-embedded sections)", "shortname":"IHC-P"}, "IHCFr" : {"fullname" : "Immunohistochemistry (Frozen sections)", "shortname":"IHC-Fr"}, "ICCIF" : {"fullname" : "Immunocytochemistry/ Immunofluorescence", "shortname":"ICC/IF"}, "FlowCytIntra" : {"fullname" : "Flow Cytometry (Intracellular)", "shortname":"Flow Cyt (Intra)"}, "IP" : {"fullname" : "Immunoprecipitation", "shortname":"IP"} }, "product-promise": { "all": "all", "testedAndGuaranteed": "tested", "guaranteed": "expected", "predicted": "predicted", "notRecommended": "not-recommended" } }, "values": { "Human": { "WB-species-checked": "testedAndGuaranteed", "WB-species-dilution-info": "1/1000", "WB-species-notes": "<p></p>", "IHCP-species-checked": "notRecommended", "IHCP-species-dilution-info": "1/200", "IHCP-species-notes": "<p></p> Perform heat-mediated antigen retrieval with Tris/EDTA buffer pH 9.0 before commencing with IHC staining protocol.", "IHCFr-species-checked": "guaranteed", "IHCFr-species-dilution-info": "", "IHCFr-species-notes": "", "ICCIF-species-checked": "notRecommended", "ICCIF-species-dilution-info": "", "ICCIF-species-notes": "<p></p>", "FlowCytIntra-species-checked": "notRecommended", "FlowCytIntra-species-dilution-info": "", "FlowCytIntra-species-notes": "<p></p>", "IP-species-checked": "notRecommended", "IP-species-dilution-info": "", "IP-species-notes": "<p></p>" }, "Mouse": { "WB-species-checked": "notRecommended", "WB-species-dilution-info": "", "WB-species-notes": "<p></p>", "IHCP-species-checked": "notRecommended", "IHCP-species-dilution-info": "1/200", "IHCP-species-notes": "<p></p> Perform heat-mediated antigen retrieval with Tris/EDTA buffer pH 9.0 before commencing with IHC staining protocol.", "IHCFr-species-checked": "notRecommended", "IHCFr-species-dilution-info": "1/100", "IHCFr-species-notes": "<p></p>", "ICCIF-species-checked": "notRecommended", "ICCIF-species-dilution-info": "", "ICCIF-species-notes": "", "FlowCytIntra-species-checked": "notRecommended", "FlowCytIntra-species-dilution-info": "", "FlowCytIntra-species-notes": "", "IP-species-checked": "notRecommended", "IP-species-dilution-info": "", "IP-species-notes": "" }, "Rat": { "WB-species-checked": "testedAndGuaranteed", "WB-species-dilution-info": "1/1000", "WB-species-notes": "<p></p>", "IHCP-species-checked": "testedAndGuaranteed", "IHCP-species-dilution-info": "1/200", "IHCP-species-notes": "<p></p> Perform heat-mediated antigen retrieval with Tris/EDTA buffer pH 9.0 before commencing with IHC staining protocol.", "IHCFr-species-checked": "testedAndGuaranteed", "IHCFr-species-dilution-info": "1/100", "IHCFr-species-notes": "<p></p>", "ICCIF-species-checked": "notRecommended", "ICCIF-species-dilution-info": "", "ICCIF-species-notes": "", "FlowCytIntra-species-checked": "notRecommended", "FlowCytIntra-species-dilution-info": "", "FlowCytIntra-species-notes": "", "IP-species-checked": "notRecommended", "IP-species-dilution-info": "", "IP-species-notes": "" } } }

Product details

What is this antibody validated in?
Anti-Collagen II antibody [EPR27418-25] (ab307674) is a rabbit recombinant monoclonal antibody and is validated for use in Western Blot (WB), Immunohistochemistry (IHC-P), Immunohistochemistry (IHC-Fr) in Human, Rat samples.

What is the molecular weight of Collagen II?
Anti-Collagen II [EPR27418-25] (ab307674) specifically detects a band for Collagen II (UniProt: P02458) at a molecular weight of 141kDa.

Trial sizes available!
Test your antibody or perform pre-screening before committing to a larger quantity. Sold in 10µl. Discover our selection of trial-size antibodies.

Other related products
We have a range of other formats of antibody clone [EPR27418-25] also available for your convenience: ab307674, Carrier free - ab307675

Patented technology
Our RabMAb® technology is a patented hybridoma-based technology for making rabbit monoclonal antibodies. For details on our patents, please refer to RabMAb® patents.

What are the advantages of a recombinant monoclonal antibody?
This product is a recombinant monoclonal antibody, which offers several advantages including:

  • - High batch-to-batch consistency and reproducibility
  • - Improved sensitivity and specificity
  • - Long-term security of supply
  • - Animal-free batch production

For more information, read more on recombinant antibodies.

Properties and storage information

Form
Liquid
Purification technique
Affinity purification Protein A
Storage buffer
pH: 7.2 - 7.4 Preservative: 0.01% Sodium azide Constituents: PBS, 40% Glycerol (glycerin, glycerine), 0.05% BSA
Shipped at conditions
Blue Ice
Appropriate short-term storage duration
1-2 weeks
Appropriate short-term storage conditions
+4°C
Appropriate long-term storage conditions
-20°C
Aliquoting information
Upon delivery aliquot
Storage information
Avoid freeze / thaw cycle

Supplementary information

This supplementary information is collated from multiple sources and compiled automatically.

Collagen type II also known as collagen II or native type II collagen is a fibrillar collagen essential in the formation of cartilage. It has a molecular mass of about 300 kDa. This protein is widely expressed in cartilaginous tissues including the extracellular matrix (ECM) of hyaline cartilage which makes up a significant part of the cartilage in joints and intervertebral discs. Collagen type II provides tensile strength and structural support to these tissues facilitating normal function and joint stability.
Biological function summary

Fibrillar collagen type II is an important component of the extracellular matrix important for endochondral ossification and cartilage formation. Collagen type II forms a network that interacts with other ECM molecules such as proteoglycans and non-collagenous proteins creating a hydrated gel that resists compressive forces. This complex structure is essential for maintaining the biomechanical properties of cartilage enabling it to withstand mechanical stress and support smooth joint movements.

Pathways

Collagen type II plays an important role in cartilage development and homeostasis. It is integral to the TGF-Β signaling pathway which regulates cell growth and differentiation in chondrocytes. The protein is related to other collagens such as collagen type IX and proteoglycans like aggrecan both of which contribute to the structural integrity of cartilage. These interactions facilitate the proper assembly and organization of cartilage ECM supporting tissue function.

Collagen type II has a significant association with osteoarthritis and rheumatoid arthritis. In these degenerative conditions the degradation of collagen type II leads to cartilage breakdown and joint pain. Furthermore autoimmune response against collagen type II can occur as seen in rheumatoid arthritis where anti-collagen antibodies target the protein worsening joint inflammation. The protein's impairment or structural alteration may also involve interactions with degradative enzymes like matrix metalloproteinases exacerbating disease progression.

Product protocols

For this product, it's our understanding that no specific protocols are required. You can visit:

Target data

Type II collagen is specific for cartilaginous tissues. It is essential for the normal embryonic development of the skeleton, for linear growth and for the ability of cartilage to resist compressive forces.
See full target information COL2A1

Publications (26)

Recent publications for all applications. Explore the full list and refine your search

Journal of orthopaedic translation 55:62-74 PubMed40910110

2025

Hydrogel adhesives with a hydrodynamically induced liquid-solid transition for annular fissure sealing and inflammation modulation following microdiscectomy.

Applications

Unspecified application

Species

Unspecified reactive species

Huan Wang,Moyan Li,Jiaojiao Yang,Zhao Liu,Shijie Shi,Dachuan Liu,Youzhi Hong,Hongjian Liu,Songfeng Chen,Jiyao Li,Song Chen,Bin Li

Arthritis research & therapy 27:118 PubMed40450276

2025

Roles of VWA1 and Rac2 in compensatory and decompensatory responses via FGF9/FGFR3 and p38 MAPK signaling pathways in condylar chondrocytes under distinct mechanical stress.

Applications

Unspecified application

Species

Unspecified reactive species

Yuqi Liu,Fangwen Jia,Kangya Li,Chao Liang,Yanxi Li,Wei Geng

Journal of orthopaedic surgery and research 20:493 PubMed40394653

2025

The effect of lactate dehydrogenase B and its mediated histone lactylation on chondrocyte ferroptosis during osteoarthritis.

Applications

Unspecified application

Species

Unspecified reactive species

Yang Zhang,Chen-Yu Zhao,Zheng Zhou,Cheng-Cun Li,Qiang Wang

Journal of orthopaedic translation 52:126-137 PubMed40291636

2025

The mitochondrial protectant SS31 optimized decellularized Wharton's jelly scaffold improves allogeneic chondrocyte implantation-mediated articular cartilage repair.

Applications

Unspecified application

Species

Unspecified reactive species

Chao Wang,Hao Li,Fakai Li,Yongkang Yang,Ziheng Xu,Tianze Gao,Runmeng Li,Ruiyang Zhang,Yuhao Mu,Zheng Guo,Quanyi Guo,Shuyun Liu

Journal of translational medicine 23:395 PubMed40181390

2025

SOX4 accelerates intervertebral disc degeneration via EZH2/NRF2 pathway in response to mitochondrial ROS-dependent NLRP3 inflammasome activation in nucleus pulposus cells.

Applications

Unspecified application

Species

Unspecified reactive species

Wenzhi Zhao,Yadong Liu,Yunxiang Hu,Guiqi Zhang

Advanced science (Weinheim, Baden-Wurttemberg, Germany) 12:e2500128 PubMed40145798

2025

Synergistic Modulating of Mitochondrial Transfer and Immune Microenvironment to Attenuate Discogenic Pain.

Applications

Unspecified application

Species

Unspecified reactive species

Xinzhou Wang,Zhenyu Guo,Linjie Chen,Jing Sun,Kenny Yat Hong Kwan,Morgan Jones,Yan Michael Li,Yangyang Hu,Xueqiang Wang,Pooyan Makvandi,Xiangyang Wang,Qiuping Qian,Yunlong Zhou,Aimin Wu

Molecular immunology 179:9-17 PubMed39908592

2025

Stigmasterol mitigates rheumatoid arthritis progression by decreasing Nrf2/NLRP3-mediated pyroptosis in chondrocyte.

Applications

Unspecified application

Species

Unspecified reactive species

Li Ding,Huijun Lin,Zhidong Ma,Yong He,Sheng Ding,Kaile Zhang,Jiechao Zhang,Wenyao Li,Lianbo Xiao

Organogenesis 21:2460269 PubMed39905673

2025

The Role of SUMO1 Modification of SOX9 in Cartilage Development Stimulated by Zinc Ions in Mice.

Applications

Unspecified application

Species

Unspecified reactive species

Na Xue,Jing Zhao,Jing Yin,Liang Liu,Zhong Yang,Shuchao Zhai,Xiyun Bian,Xiang Gao

Acta biochimica et biophysica Sinica 57:927-940 PubMed39838851

2025

Daphnetin-mediated mitophagy alleviates intervertebral disc degeneration via the Nrf2/PINK1 pathway.

Applications

Unspecified application

Species

Unspecified reactive species

Yiting Tu,Jiaping Ren,Weiyuan Fang,Chencheng Zhou,Binli Zhao,Tianyong Hua,Yiqi Chen,Zhenya Chen,Yongzeng Feng,Haiming Jin,Xiangyang Wang

Journal of orthopaedic surgery and research 20:11 PubMed39754163

2025

Alone or in combination, hyaluronic acid and chondroitin sulfate alleviate ECM degradation in osteoarthritis by inhibiting the NF-κB pathway.

Applications

Unspecified application

Species

Unspecified reactive species

Yiran Ma,Xin Yang,Min Jiang,Wangjuan Ye,Hong Qin,Songwen Tan
View all publications

Product promise

We are committed to supporting your work with high-quality reagents, and we're here for you every step of the way. In the unlikely event that one of our products does not perform as expected, you're protected by our Product Promise.
For full details, please see our Terms & Conditions

Please note: All products are 'FOR RESEARCH USE ONLY. NOT FOR USE IN DIAGNOSTIC OR THERAPEUTIC PROCEDURES'.

For licensing inquiries, please contact partnerships@abcam.com