JavaScript is disabled in your browser. Please enable JavaScript to view this website.
AB307675

Anti-Collagen II antibody [EPR27418-25] - BSA and Azide free

Be the first to review this product! Submit a review

|

(2 Publications)

Rabbit Recombinant Monoclonal Collagen II antibody. Carrier free. Suitable for WB, IHC-P, IHC-Fr and reacts with Human, Rat samples. Cited in 2 publications.

View Alternative Names

Collagen alpha-1(II) chain, Alpha-1 type II collagen, COL2A1

6 Images
Immunohistochemistry (Formalin/PFA-fixed paraffin-embedded sections) - Anti-Collagen II antibody [EPR27418-25] - BSA and Azide free (AB307675)
  • IHC-P

Supplier Data

Immunohistochemistry (Formalin/PFA-fixed paraffin-embedded sections) - Anti-Collagen II antibody [EPR27418-25] - BSA and Azide free (AB307675)

This data was developed using ab307674, the same antibody clone in a different buffer formulation. Immunohistochemical analysis of paraffin-embedded Rat skeletal muscle tissue labeling Collagen II with ab307674 at 1/200 (2.34 ug/ml) followed by a ready to use LeicaDS9800 (Bond™ Polymer Refine Detection). Negative control : no staining on rat skeletal muscle.The section was incubated with ab307674 for 30 mins at room temperature.The immunostaining was performed on a Leica Biosystems BOND® RX instrument Counterstained with Hematoxylin. Secondary antibody only control : Secondary antibody is a ready to use LeicaDS9800 (Bond™ Polymer Refine Detection). Heat mediated antigen retrieval was performed with Tris-EDTA buffer (pH 9.0, Epitope Retrieval Solution2) for 20 mins

Immunohistochemistry (Frozen sections) - Anti-Collagen II antibody [EPR27418-25] - BSA and Azide free (AB307675)
  • IHC-Fr

Supplier Data

Immunohistochemistry (Frozen sections) - Anti-Collagen II antibody [EPR27418-25] - BSA and Azide free (AB307675)

This data was developed using ab307674, the same antibody clone in a different buffer formulation. Immunohistochemical analysis of 4% PFA-fixed, 0.2% Triton X-100 permeabilized frozen Rat liver (fresh) tissue labeling Collagen II with ab307674 at 1/100 (4.68 ug/ml) dilution followed by ab150081 Goat Anti-Rabbit IgG H&L (Alexa Fluor® 488) preadsorbed at 1/1000 2 ug/mL dilution (Green). Negative control : confocal image showing no staining on rat liver (PMID 9121483). The nuclear counterstain was DAPI (Blue). The section was incubated with ab307674 for 60 mins at room temperature. The section was then mounted using Fluoromount®.The immunostaining was performed on a Leica Biosystems BOND® RX instrument. Image was taken with a confocal microscope (Leica-Microsystems, TCS SP8). The nuclear counterstain was DAPI (Blue). Secondary antibody control : Secondary antibody is ab150081 Goat Anti-Rabbit IgG H&L (Alexa Fluor® 488) preadsorbedat 1/1000 2 ug/mL dilution.

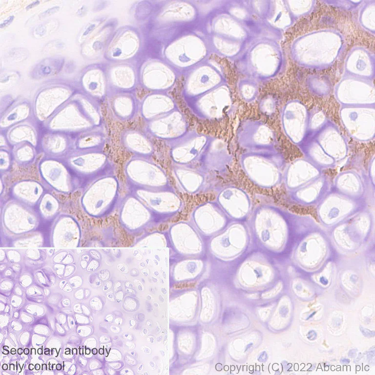
Immunohistochemistry (Formalin/PFA-fixed paraffin-embedded sections) - Anti-Collagen II antibody [EPR27418-25] - BSA and Azide free (AB307675)
  • IHC-P

Supplier Data

Immunohistochemistry (Formalin/PFA-fixed paraffin-embedded sections) - Anti-Collagen II antibody [EPR27418-25] - BSA and Azide free (AB307675)

This data was developed using ab307674, the same antibody clone in a different buffer formulation. Immunohistochemical analysis of paraffin-embedded Rat cartilage tissue labeling Collagen II with ab307674 at 1/200 (2.34 ug/ml) followed by a ready to use LeicaDS9800 (Bond™ Polymer Refine Detection). Positive staining on rat cartilage.The section was incubated with ab307674 for 30 mins at room temperature.The immunostaining was performed on a Leica Biosystems BOND® RX instrument Counterstained with Hematoxylin. Secondary antibody only control : Secondary antibody is a ready to use LeicaDS9800 (Bond™ Polymer Refine Detection). Heat mediated antigen retrieval was performed with Tris-EDTA buffer (pH 9.0, Epitope Retrieval Solution2) for 20 mins

Immunohistochemistry (Frozen sections) - Anti-Collagen II antibody [EPR27418-25] - BSA and Azide free (AB307675)
  • IHC-Fr

Supplier Data

Immunohistochemistry (Frozen sections) - Anti-Collagen II antibody [EPR27418-25] - BSA and Azide free (AB307675)

This data was developed using ab307674, the same antibody clone in a different buffer formulation. Immunohistochemical analysis of 4% PFA-fixed, 0.2% Triton X-100 permeabilized frozen Rat articular cartilage (fresh) tissue labeling Collagen II with ab307674 at 1/100 (4.68 ug/ml) dilution followed by ab150081 Goat Anti-Rabbit IgG H&L (Alexa Fluor® 488) preadsorbed at 1/1000 2 ug/mL dilution (Green). Confocal image showing positive staining on rat articular cartilage. The nuclear counterstain was DAPI (Blue). The section was incubated with ab307674 for 60 mins at room temperature. The section was then mounted using Fluoromount®.The immunostaining was performed on a Leica Biosystems BOND® RX instrument. Image was taken with a confocal microscope (Leica-Microsystems, TCS SP8). The nuclear counterstain was DAPI (Blue). Secondary antibody control : Secondary antibody is ab150081 Goat Anti-Rabbit IgG H&L (Alexa Fluor® 488) preadsorbedat 1/1000 2 ug/mL dilution.

Western blot - Anti-Collagen II antibody [EPR27418-25] - BSA and Azide free (AB307675)
  • WB

Supplier Data

Western blot - Anti-Collagen II antibody [EPR27418-25] - BSA and Azide free (AB307675)

This data was developed using ab307674, the same antibody clone in a different buffer formulation. Blocking and diluting buffer and concentration : 5% NFDM/TBST Negative control : skeletal muscle (Human Protein Atlas Database), liver (PMID : 9121483). In Western blot, anti-GAPDH antibody (ab181602) loading control staining at 1/200000 dilution. Exposure time : 180 seconds

All lanes:

Western blot - Anti-Collagen II antibody [EPR27418-25] (<a href='/en-us/products/primary-antibodies/collagen-ii-antibody-epr27418-25-ab307674'>ab307674</a>) at 1/1000 dilution

Lane 1:

Human articar cartilage tissue lysate at 20 µg

Lane 2:

Human skeletal muscle tissue lysate at 20 µg

Lane 3:

Human liver tissue lysate at 20 µg

Secondary

All lanes:

Goat Anti-Rabbit IgG (HRP) with minimal cross-reactivity with human IgG at 1/2000 dilution

Observed band size: 142 kDa

false

Exposure time: 180s

Western blot - Anti-Collagen II antibody [EPR27418-25] - BSA and Azide free (AB307675)
  • WB

Supplier Data

Western blot - Anti-Collagen II antibody [EPR27418-25] - BSA and Azide free (AB307675)

This data was developed using ab307674, the same antibody clone in a different buffer formulation. Blocking and diluting buffer and concentration : 5% NFDM/TBST The 142kDa and 110kDa bands represent full length of Collagen II and Collagen alpha-1(II) chain. Exposure time : 26 seconds

All lanes:

Western blot - Anti-Collagen II antibody [EPR27418-25] (<a href='/en-us/products/primary-antibodies/collagen-ii-antibody-epr27418-25-ab307674'>ab307674</a>) at 1/1000 dilution

All lanes:

Rat articar cartilage tissue lysate at 20 µg

Secondary

All lanes:

Western blot - Goat Anti-Rabbit IgG H&L (HRP) (<a href='/en-us/products/secondary-antibodies/goat-rabbit-igg-h-l-hrp-ab97051'>ab97051</a>) at 1/20000 dilution

Observed band size: 110 kDa,142 kDa

false

Exposure time: 26s

Key facts

Host species

Rabbit

Clonality

Monoclonal

Clone number

EPR27418-25

Isotype

IgG

Carrier free

Yes

Reacts with

Human, Rat

Applications

IHC-P, IHC-Fr, WB

applications

Immunogen

The exact immunogen used to generate this antibody is proprietary information.

Reactivity data

{ "title": "Reactivity Data", "filters": { "stats": ["", "Species", "Dilution Info", "Notes"], "tabs": { "all-applications": {"fullname" : "All Applications", "shortname": "All Applications"}, "WB" : {"fullname" : "Western blot", "shortname":"WB"}, "IHCP" : {"fullname" : "Immunohistochemistry (Formalin/PFA-fixed paraffin-embedded sections)", "shortname":"IHC-P"}, "IHCFr" : {"fullname" : "Immunohistochemistry (Frozen sections)", "shortname":"IHC-Fr"}, "ICCIF" : {"fullname" : "Immunocytochemistry/ Immunofluorescence", "shortname":"ICC/IF"}, "FlowCytIntra" : {"fullname" : "Flow Cytometry (Intracellular)", "shortname":"Flow Cyt (Intra)"}, "IP" : {"fullname" : "Immunoprecipitation", "shortname":"IP"} }, "product-promise": { "all": "all", "testedAndGuaranteed": "tested", "guaranteed": "expected", "predicted": "predicted", "notRecommended": "not-recommended" } }, "values": { "Human": { "WB-species-checked": "testedAndGuaranteed", "WB-species-dilution-info": "", "WB-species-notes": "<p></p>", "IHCP-species-checked": "testedAndGuaranteed", "IHCP-species-dilution-info": "", "IHCP-species-notes": "<p></p>", "IHCFr-species-checked": "guaranteed", "IHCFr-species-dilution-info": "", "IHCFr-species-notes": "", "ICCIF-species-checked": "notRecommended", "ICCIF-species-dilution-info": "", "ICCIF-species-notes": "<p></p>", "FlowCytIntra-species-checked": "notRecommended", "FlowCytIntra-species-dilution-info": "", "FlowCytIntra-species-notes": "<p></p>", "IP-species-checked": "notRecommended", "IP-species-dilution-info": "", "IP-species-notes": "<p></p>" }, "Mouse": { "WB-species-checked": "notRecommended", "WB-species-dilution-info": "", "WB-species-notes": "<p></p>", "IHCP-species-checked": "notRecommended", "IHCP-species-dilution-info": "", "IHCP-species-notes": "<p></p>", "IHCFr-species-checked": "notRecommended", "IHCFr-species-dilution-info": "", "IHCFr-species-notes": "<p></p>", "ICCIF-species-checked": "notRecommended", "ICCIF-species-dilution-info": "", "ICCIF-species-notes": "", "FlowCytIntra-species-checked": "notRecommended", "FlowCytIntra-species-dilution-info": "", "FlowCytIntra-species-notes": "", "IP-species-checked": "notRecommended", "IP-species-dilution-info": "", "IP-species-notes": "" }, "Rat": { "WB-species-checked": "testedAndGuaranteed", "WB-species-dilution-info": "", "WB-species-notes": "<p></p>", "IHCP-species-checked": "testedAndGuaranteed", "IHCP-species-dilution-info": "", "IHCP-species-notes": "<p></p>", "IHCFr-species-checked": "testedAndGuaranteed", "IHCFr-species-dilution-info": "", "IHCFr-species-notes": "<p></p>", "ICCIF-species-checked": "notRecommended", "ICCIF-species-dilution-info": "", "ICCIF-species-notes": "", "FlowCytIntra-species-checked": "notRecommended", "FlowCytIntra-species-dilution-info": "", "FlowCytIntra-species-notes": "", "IP-species-checked": "notRecommended", "IP-species-dilution-info": "", "IP-species-notes": "" } } }

Product details

Patented technology
Our RabMAb® technology is a patented hybridoma-based technology for making rabbit monoclonal antibodies. For details on our patents, please refer to RabMAb® patents.

What are the advantages of a recombinant monoclonal antibody?
This product is a recombinant monoclonal antibody, which offers several advantages including:

  • - High batch-to-batch consistency and reproducibility
  • - Improved sensitivity and specificity
  • - Long-term security of supply
  • - Animal-free batch production

For more information, read more on recombinant antibodies.

Conjugation ready
Our carrier-free antibodies are typically supplied in a PBS-only formulation, purified and free of BSA, sodium azide and glycerol. This conjugation-ready format is designed for use with fluorochromes, metal isotopes, oligonucleotides, and enzymes, which makes them ideal for antibody labelling, functional and cell-based assays, flow-based assays (e.g. mass cytometry) and Multiplex Imaging applications.

Use our conjugation kits for antibody conjugates that are ready-to-use in as little as 20 minutes with 1 minute hands-on-time and 100% antibody recovery: available for fluorescent dyes, HRP, biotin and gold.

Compatibility
This product is compatible with the Maxpar® Antibody Labeling Kit from Fluidigm, without the need for antibody preparation. Maxpar® is a trademark of Fluidigm Canada Inc.

Properties and storage information

Form
Liquid
Purification technique
Affinity purification Protein A
Storage buffer
pH: 7.2 - 7.4 Constituents: PBS
Shipped at conditions
Blue Ice
Appropriate short-term storage conditions
+4°C
Appropriate long-term storage conditions
+4°C

Supplementary information

This supplementary information is collated from multiple sources and compiled automatically.

Collagen type II also known as collagen II or native type II collagen is a fibrillar collagen essential in the formation of cartilage. It has a molecular mass of about 300 kDa. This protein is widely expressed in cartilaginous tissues including the extracellular matrix (ECM) of hyaline cartilage which makes up a significant part of the cartilage in joints and intervertebral discs. Collagen type II provides tensile strength and structural support to these tissues facilitating normal function and joint stability.
Biological function summary

Fibrillar collagen type II is an important component of the extracellular matrix important for endochondral ossification and cartilage formation. Collagen type II forms a network that interacts with other ECM molecules such as proteoglycans and non-collagenous proteins creating a hydrated gel that resists compressive forces. This complex structure is essential for maintaining the biomechanical properties of cartilage enabling it to withstand mechanical stress and support smooth joint movements.

Pathways

Collagen type II plays an important role in cartilage development and homeostasis. It is integral to the TGF-β signaling pathway which regulates cell growth and differentiation in chondrocytes. The protein is related to other collagens such as collagen type IX and proteoglycans like aggrecan both of which contribute to the structural integrity of cartilage. These interactions facilitate the proper assembly and organization of cartilage ECM supporting tissue function.

Collagen type II has a significant association with osteoarthritis and rheumatoid arthritis. In these degenerative conditions the degradation of collagen type II leads to cartilage breakdown and joint pain. Furthermore autoimmune response against collagen type II can occur as seen in rheumatoid arthritis where anti-collagen antibodies target the protein worsening joint inflammation. The protein's impairment or structural alteration may also involve interactions with degradative enzymes like matrix metalloproteinases exacerbating disease progression.

Product protocols

For this product, it's our understanding that no specific protocols are required. You can visit:

Target data

Type II collagen is specific for cartilaginous tissues. It is essential for the normal embryonic development of the skeleton, for linear growth and for the ability of cartilage to resist compressive forces.
See full target information COL2A1

Publications (2)

Recent publications for all applications. Explore the full list and refine your search

Annals of medicine 57:2546670 PubMed40798940

2025

METTL3-mediated mA modification promotes intervertebral disc degeneration.

Applications

Unspecified application

Species

Unspecified reactive species

Qinghua Yang,Feihong Huang,Congyang Wang,Xiao Liang,Longao Huang,Hongyuan Xu,Jianwei Liu,Qingjun Wei,Hua Jiang

Scientific reports 15:24797 PubMed40634479

2025

TRIM29 alleviates intervertebral disc degeneration through the PI3K/AKT/mTOR pathway.

Applications

Unspecified application

Species

Unspecified reactive species

Qinghua Yang,Junfei Feng,Hongyuan Xu,Tao Kang,Qingjun Wei,Hua Jiang
View all publications

Product promise

We are committed to supporting your work with high-quality reagents, and we're here for you every step of the way. In the unlikely event that one of our products does not perform as expected, you're protected by our Product Promise.
For full details, please see our Terms & Conditions

Please note: All products are 'FOR RESEARCH USE ONLY. NOT FOR USE IN DIAGNOSTIC OR THERAPEUTIC PROCEDURES'.

For licensing inquiries, please contact partnerships@abcam.com