JavaScript is disabled in your browser. Please enable JavaScript to view this website.
AB7778

Anti-Collagen III antibody

4

(24 Reviews)

|

(649 Publications)

Anti-Collagen III antibody (ab7778) is a rabbit polyclonal antibody detecting Collagen III in Western Blot, IP, IHC-P, ICC/IF, ELISA. Suitable for Cow, Human, Rat.

- Over 640 publications
- Trusted since 2002

View Alternative Names

Collagen alpha-1(III) chain, COL3A1

5 Images
Immunohistochemistry (Formalin/PFA-fixed paraffin-embedded sections) - Anti-Collagen III antibody (AB7778)
  • IHC-P

Unknown

Immunohistochemistry (Formalin/PFA-fixed paraffin-embedded sections) - Anti-Collagen III antibody (AB7778)

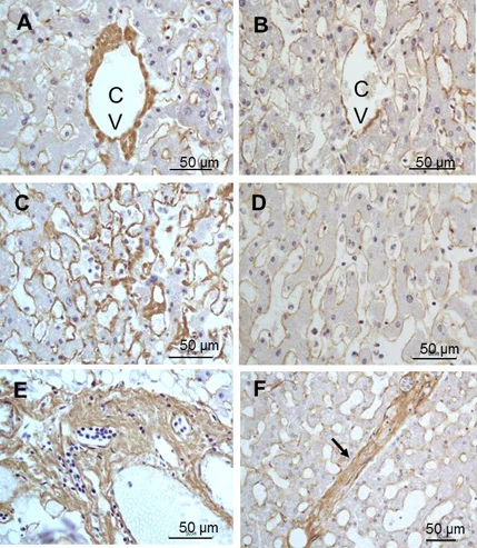
Immunohistochemistry of ab7778. Tissue : right lobe of the liver section. A : Central Vein (CV) fibrosis, B : Non-fibrotic CV, C : Perisinusodial fibrosis, D : Non-fibrotic area, E : Protat tract fibrosis, F : Septal fibrosis (arrow). Fixation : formalin fixed paraffin embedded. Antigen retrieval : not required. Primary antibody : Anti-collagen type I at 1 : 500 for 4°C for 24hr. Secondary antibody : Peroxidase biotin-streptavidin rabbit secondary antibody at 1 : 10,000 for 45 min at RT. Localization : Anti-collagen type III is intra and extracellular. Staining : 3.3’-diaminobenzidine tetrahydrochloride was used as the chromogen. Nuclei were counterstained purple with hematoxylin.

Immunohistochemistry (Formalin/PFA-fixed paraffin-embedded sections) - Anti-Collagen III antibody (AB7778)
  • IHC-P

Unknown

Immunohistochemistry (Formalin/PFA-fixed paraffin-embedded sections) - Anti-Collagen III antibody (AB7778)

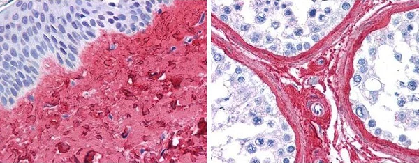
ab7778 at 1 : 400 (45 min RT) showed strong staining in FFPE sections of human skin(left, dermis) with moderate to strong red staining and testis (right) where strong staining was observed within connective tissue between seminiferous tubules. The antibody showed strong extracellular staining within connective tissues across many organs with minimal background staining. Slides were steamed in 0.01 M sodium citrate buffer, pH 6.0 (ab64214) at 99-100°C - 20 minutes for antigen retrieval.

Immunohistochemistry (Formalin/PFA-fixed paraffin-embedded sections) - Anti-Collagen III antibody (AB7778)
  • IHC-P

AbReview25831****

Immunohistochemistry (Formalin/PFA-fixed paraffin-embedded sections) - Anti-Collagen III antibody (AB7778)

ab7778 staining Collagen III in human testicle tissue by Immunohistochemistry (Formalin/PFA-fixed paraffin-embedded sections).

Tissue was fixed with paraformaldehyde and a heat mediated antigen retrieval step was performed using TE buffer pH 9.0. Samples were then incubated with ab7778 at a 1/200 dilution for 30 minutes at 20°C. The secondary used was an undiluted, HRP-conjugated goat anti-rabbit polyclonal.

Image courtesy of Rudolf Jung by Abreview.

Immunohistochemistry (Formalin/PFA-fixed paraffin-embedded sections) - Anti-Collagen III antibody (AB7778)
  • IHC-P

Unknown

Immunohistochemistry (Formalin/PFA-fixed paraffin-embedded sections) - Anti-Collagen III antibody (AB7778)

ab53088 staining Human skin (ab30166). Staining is localised to the extracellular matrix.
Left panel : with primary antibody at 1 ug/ml. Right panel : isotype control.
Sections were stained using an automated system DAKO Autostainer Plus , at room temperature. Sections were rehydrated and antigen retrieved with the DAKO 3-in-1 antigen retrieval buffer citrate pH 6.0 (ab64214) in a DAKO PT Link. Slides were peroxidase blocked in 3% H2O2 in methanol for 10 minutes. They were then blocked with Dako Protein block for 10 minutes (containing casein 0.25% in PBS) then incubated with primary antibody for 20 minutes and detected with Dako Envision Flex amplification kit for 30 minutes. Colorimetric detection was completed with diaminobenzidine for 5 minutes. Slides were counterstained with Haematoxylin and coverslipped under DePeX. Please note that for manual staining we recommend to optimize the primary antibody concentration and incubation time (overnight incubation), and amplification may be required.

Western blot - Anti-Collagen III antibody (AB7778)
  • WB

Unknown

Western blot - Anti-Collagen III antibody (AB7778)

Western Blot produced under denaturing and reducing conditions.

All lanes:

Western blot - Anti-Collagen III antibody (ab7778) at 1/1000 dilution

All lanes:

Human collagen III at 0.1 µg

Predicted band size: 139 kDa

false

Key facts

Host species

Rabbit

Clonality

Polyclonal

Isotype

IgG

Carrier free

No

Reacts with

Human, Rat, Cow

Applications

ELISA, IP, IHC-P, ICC/IF, WB

applications

Immunogen

Native Full Length Protein corresponding to Human COL3A1.

P02461

Specificity

This antibody reacts with most mammalian Type III collagens and has expected cross-reactivity with Type I and negligible cross reactivity with Type II, IV, V or VI collagens. Non-specific cross-reaction of anti-collagen antibodies with other human serum proteins or non-collagen extracellular matrix proteins has not been tested.

Reactivity data

{ "title": "Reactivity Data", "filters": { "stats": ["", "Species", "Dilution Info", "Notes"], "tabs": { "all-applications": {"fullname" : "All Applications", "shortname": "All Applications"}, "IHCP" : {"fullname" : "Immunohistochemistry (Formalin/PFA-fixed paraffin-embedded sections)", "shortname":"IHC-P"}, "IP" : {"fullname" : "Immunoprecipitation", "shortname":"IP"}, "ELISA" : {"fullname" : "ELISA", "shortname":"ELISA"}, "WB" : {"fullname" : "Western blot", "shortname":"WB"}, "ICCIF" : {"fullname" : "Immunocytochemistry/ Immunofluorescence", "shortname":"ICC/IF"} }, "product-promise": { "all": "all", "testedAndGuaranteed": "tested", "guaranteed": "expected", "predicted": "predicted", "notRecommended": "not-recommended" } }, "values": { "Human": { "IHCP-species-checked": "testedAndGuaranteed", "IHCP-species-dilution-info": "1/50 - 1/200", "IHCP-species-notes": "<p></p> Perform heat-mediated antigen retrieval before commencing with IHC staining protocol.", "IP-species-checked": "guaranteed", "IP-species-dilution-info": "1/100", "IP-species-notes": "<p></p>", "ELISA-species-checked": "guaranteed", "ELISA-species-dilution-info": "1/5000 - 1/50000", "ELISA-species-notes": "<p>This product was assayed against 1.0 ug of Collagen III in a direct ELISA using Peroxidase conjugated Goat anti-Rabbit and ABTS (2,2'-azino-bis-[3- ethylbenthiazoline-6-sulfonic acid]) as a substrate for 30 minutes at room temperature. This product can also be used with Biotin Conjugated Anti-Collagen III (<a href='/en-us/products/unavailable/collagen-iii-antibody-biotin-ab6580'>ab6580</a>) in a sandwich ELISA.</p>", "WB-species-checked": "testedAndGuaranteed", "WB-species-dilution-info": "1/1000 - 1/10000", "WB-species-notes": "<p></p>", "ICCIF-species-checked": "guaranteed", "ICCIF-species-dilution-info": "", "ICCIF-species-notes": "<p></p>" }, "Rat": { "IHCP-species-checked": "guaranteed", "IHCP-species-dilution-info": "1/50 - 1/200", "IHCP-species-notes": "<p></p> Perform heat-mediated antigen retrieval before commencing with IHC staining protocol.", "IP-species-checked": "guaranteed", "IP-species-dilution-info": "1/100", "IP-species-notes": "<p></p>", "ELISA-species-checked": "guaranteed", "ELISA-species-dilution-info": "1/5000 - 1/50000", "ELISA-species-notes": "<p>This product was assayed against 1.0 ug of Collagen III in a direct ELISA using Peroxidase conjugated Goat anti-Rabbit and ABTS (2,2'-azino-bis-[3- ethylbenthiazoline-6-sulfonic acid]) as a substrate for 30 minutes at room temperature. This product can also be used with Biotin Conjugated Anti-Collagen III (<a href='/en-us/products/unavailable/collagen-iii-antibody-biotin-ab6580'>ab6580</a>) in a sandwich ELISA.</p>", "WB-species-checked": "guaranteed", "WB-species-dilution-info": "1/1000 - 1/10000", "WB-species-notes": "<p></p>", "ICCIF-species-checked": "guaranteed", "ICCIF-species-dilution-info": "", "ICCIF-species-notes": "<p></p>" }, "Cow": { "IHCP-species-checked": "guaranteed", "IHCP-species-dilution-info": "1/50 - 1/200", "IHCP-species-notes": "<p></p> Perform heat-mediated antigen retrieval before commencing with IHC staining protocol.", "IP-species-checked": "guaranteed", "IP-species-dilution-info": "1/100", "IP-species-notes": "<p></p>", "ELISA-species-checked": "guaranteed", "ELISA-species-dilution-info": "1/5000 - 1/50000", "ELISA-species-notes": "<p>This product was assayed against 1.0 ug of Collagen III in a direct ELISA using Peroxidase conjugated Goat anti-Rabbit and ABTS (2,2'-azino-bis-[3- ethylbenthiazoline-6-sulfonic acid]) as a substrate for 30 minutes at room temperature. This product can also be used with Biotin Conjugated Anti-Collagen III (<a href='/en-us/products/unavailable/collagen-iii-antibody-biotin-ab6580'>ab6580</a>) in a sandwich ELISA.</p>", "WB-species-checked": "guaranteed", "WB-species-dilution-info": "1/1000 - 1/10000", "WB-species-notes": "<p></p>", "ICCIF-species-checked": "guaranteed", "ICCIF-species-dilution-info": "", "ICCIF-species-notes": "<p></p>" }, "Mammals": { "IHCP-species-checked": "predicted", "IHCP-species-dilution-info": "", "IHCP-species-notes": "", "IP-species-checked": "predicted", "IP-species-dilution-info": "", "IP-species-notes": "", "ELISA-species-checked": "predicted", "ELISA-species-dilution-info": "", "ELISA-species-notes": "", "WB-species-checked": "predicted", "WB-species-dilution-info": "", "WB-species-notes": "", "ICCIF-species-checked": "predicted", "ICCIF-species-dilution-info": "", "ICCIF-species-notes": "" } } }

Have you thought about this alternative?

AB184993

Anti-Collagen III antibody [EPR17673]

0
0 Reviews
View product

We’re constantly upgrading our range to offer the highest quality products. We have selected this alternative product for your review because it gives improved performance, is easier and more convenient to use, or is available faster.

Product details

Anti-Collagen III antibody (ab7778) is a rabbit polyclonal antibody and is validated for use in ELISA, ICC, ICC/IF, IHC-P, IP, WB in mouse samples.

Anti-Collagen III antibody (ab7778) has been cited over 649 times in peer reviewed journals and is trusted by the scientific community.

Abcam's high quality validation processes ensure Anti-Collagen III antibody (ab7778) has high sensitivity and specificity.

Anti-Collagen III antibody (Colagen type 3) (ab7778) has 21 independent reviews from customers.

Anti-Collagen III antibody (ab7778) specifically detects Collagen III (UniProt ID: P02461; Molecular weight: 95kDa) and is sold in 100 µg selling sizes.

For more protocol tips, please see: https://www.abcam.com/protocols/collagen

At least 11 genetically distinct gene products are collectively referred to as 'collagen types' or other proteins and proteoglycans of the extracellular matrix. In humans, collagens are composed of about 20 unique protein chains which under go various types of post-translational modifications and are ultimately assembled into a triple helix. This results in great diversity between collagen types. Collagens are highly conserved throughout evolution and are characterized by an uninterrupted "Glycine-X-Y" triplet repeat that is a necessary part of the triple helical structure. For these reasons it is often extremely difficult to generate antibodies with specificities to collagens. The development of type specific antibodies is dependent on NON-DENATURED three-dimensional epitopes. This preparation results in a native conformation of the protein.

Properties and storage information

Form
Liquid
Purification technique
Affinity purification Immunogen
Purification notes
Collagen III Antibody has been prepared by immunoaffinity chromatography using immobilized antigens.
Storage buffer
pH: 7.2 Preservative: 0.01% Sodium azide Constituents: 0.88% Sodium chloride, 0.424% Potassium phosphate solution
Shipped at conditions
Blue Ice
Appropriate short-term storage duration
1-2 weeks
Appropriate short-term storage conditions
+4°C
Appropriate long-term storage conditions
-20°C
Aliquoting information
Upon delivery aliquot
Storage information
Avoid freeze / thaw cycle

Supplementary information

This supplementary information is collated from multiple sources and compiled automatically.

Collagen type III also known as COL3 and collagen III is a fibrillar protein with an approximate molecular mass of 138 kDa. This protein is a significant component of the extracellular matrix and is mainly expressed in connective tissues like skin lungs and vascular walls. You can also find it in developing tissues and fibrotic tissues reflecting its role during tissue growth and repair processes.
Biological function summary

Collagen type III contributes to maintaining the structural integrity of tissues. It forms a complex with collagen type I providing a scaffold that ensures mechanical strength and stability to tissues. This structural pairing of collagen type I and III highlights their cooperative function in supporting the extracellular matrix and regulating cell behavior in tissue repair and wound healing processes.

Pathways

Collagen type III is integral to the processes of tissue repair and fibrosis pathways. It interacts closely with proteins such as fibronectin and integrins contributing to the cellular adhesion and signaling pathways important for fibroblast function and migration. These interactions reflect its essential role in matrix assembly and stability influencing how cells respond to injury and repair damaged tissues.

Collagen type III mutations or dysregulation associate with vascular Ehlers-Danlos syndrome and keloids. In vascular Ehlers-Danlos syndrome defective collagen III compromises vessel wall integrity resulting in vascular fragility and rupture. In the context of keloids excessive collagen III accumulation in the skin illustrates its role in pathological fibrosis. Collagen type I is another protein that plays an important role in these conditions contributing along with collagen type III to the altered structural and functional properties observed in these disorders.

Product protocols

For this product, it's our understanding that no specific protocols are required. You can visit:

Target data

Collagen type III occurs in most soft connective tissues along with type I collagen. Involved in regulation of cortical development. Is the major ligand of ADGRG1 in the developing brain and binding to ADGRG1 inhibits neuronal migration and activates the RhoA pathway by coupling ADGRG1 to GNA13 and possibly GNA12.
See full target information COL3A1

Publications (649)

Recent publications for all applications. Explore the full list and refine your search

Biomolecules & biomedicine : PubMed38059910

2023

Mechanism of adipose tissue-derived stromal cell-extracellular vesicles in treating oral submucous fibrosis by blocking the TGF-β1/Smad3 pathway via the miR-760-3p/IGF1R axis

Applications

Unspecified application

Species

Unspecified reactive species

Fengcong Wang,Li Jiang,Ping Liu,Yanjun Jiang

Acta cirurgica brasileira 38:e385123 PubMed38055393

2023

Emodin inhibits bladder inflammation and fibrosis in mice with interstitial cystitis by regulating JMJD3.

Applications

Unspecified application

Species

Unspecified reactive species

Junyu Lai,Xing Liu,Hongwei Su,Yongsheng Zhu,Ke Xin,Mingwei Huang,Songtao Luo,Hai Tang

Biology direct 18:75 PubMed37957699

2023

ACSM5 inhibits ligamentum flavum hypertrophy by regulating lipid accumulation mediated by FABP4/PPAR signaling pathway.

Applications

Unspecified application

Species

Unspecified reactive species

Yanlin Cao,Jianjun Li,Sujun Qiu,Songjia Ni,Yang Duan

Biomaterials research 27:107 PubMed37904231

2023

Mesenchymal stem cell-derived secretomes-enriched alginate/ extracellular matrix hydrogel patch accelerates skin wound healing.

Applications

Unspecified application

Species

Unspecified reactive species

Jae Won Kwon,Cininta Savitri,Byoungha An,Seung Won Yang,Kwideok Park

Ulusal travma ve acil cerrahi dergisi = Turkish journal of trauma & emergency surgery : TJTES 29:1218-1227 PubMed37889023

2023

Investigation of the effects of umbilical cord-derived mesenchymal stem cells and curcumin on Achilles tendon healing - can they act synergistically?

Applications

Unspecified application

Species

Unspecified reactive species

Tuğçe Merve Öztürk,İrfan Özyazgan,Gülay Sezer,Betül Yalçın,Rümeysa Göç,Menekşe Ülger,Hakan Özocak,Birkan Yakan

Scientific reports 13:18374 PubMed37884575

2023

Environmental stiffness restores mechanical homeostasis in vimentin-depleted cells.

Applications

Unspecified application

Species

Unspecified reactive species

Janine Grolleman,Nicole C A van Engeland,Minahil Raza,Sepinoud Azimi,Vito Conte,Cecilia M Sahlgren,Carlijn V C Bouten

Scientific reports 13:17985 PubMed37863933

2023

The crosstalk between glomerular endothelial cells and podocytes controls their responses to metabolic stimuli in diabetic nephropathy.

Applications

Unspecified application

Species

Unspecified reactive species

Michael Albrecht,Carsten Sticht,Tabea Wagner,Steffen A Hettler,Carolina De La Torre,Jiedong Qiu,Norbert Gretz,Thomas Albrecht,Benito Yard,Jonathan P Sleeman,Boyan K Garvalov

Scientific reports 13:17242 PubMed37821476

2023

The superior healing capacity of MRL tendons is minimally influenced by the systemic environment of the MRL mouse.

Applications

Unspecified application

Species

Unspecified reactive species

Borys Frankewycz,Rebecca Bell,Monideepa Chatterjee,Nelly Andarawis-Puri

Biomedicines 11: PubMed37893040

2023

The Role of M1 and M2 Myocardial Macrophages in Promoting Proliferation and Healing via Activating Epithelial-to-Mesenchymal Transition.

Applications

Unspecified application

Species

Unspecified reactive species

Shaowei Kang,Bin Wang,Yanan Xie,Xu Cao,Mei Wang

International journal of molecular sciences 24: PubMed37762688

2023

Silibinin Downregulates Types I and III Collagen Expression via Suppression of the mTOR Signaling Pathway.

Applications

Unspecified application

Species

Unspecified reactive species

Sooyeon Choi,Seoyoon Ham,Young In Lee,Jihee Kim,Won Jai Lee,Ju Hee Lee
View all publications

Product promise

We are committed to supporting your work with high-quality reagents, and we're here for you every step of the way. In the unlikely event that one of our products does not perform as expected, you're protected by our Product Promise.
For full details, please see our Terms & Conditions

Associated Products

Select an associated product type
Alternative Product
Primary Antibodies

AB23445

Anti-Collagen III antibody [1E7-D7/Col3]

primary-antibodies

collagen-iii-antibody-1e7-d7-col3-ab23445

4

(5 reviews)

Alternative Product
Primary Antibodies

AB216430

Anti-Collagen III antibody - C-terminal

primary-antibodies

collagen-iii-antibody-c-terminal-ab216430

0

(0 reviews)

Alternative Product
Primary Antibodies

AB224532

Anti-Collagen III antibody [EPR17673] - BSA and Azide free

primary-antibodies

collagen-iii-antibody-epr17673-bsa-and-azide-free-ab224532

0

(0 reviews)

Alternative Product
Primary Antibodies

AB6310

Anti-Collagen III antibody [FH-7A]

primary-antibodies

collagen-iii-antibody-fh-7a-ab6310

5

(14 reviews)

Please note: All products are 'FOR RESEARCH USE ONLY. NOT FOR USE IN DIAGNOSTIC OR THERAPEUTIC PROCEDURES'.

For licensing inquiries, please contact partnerships@abcam.com