JavaScript is disabled in your browser. Please enable JavaScript to view this website.
AB224532

Anti-Collagen III antibody [EPR17673] - BSA and Azide free

Be the first to review this product! Submit a review

|

(0 Publication)

Rabbit Recombinant Monoclonal Collagen III antibody. Carrier free. Suitable for IP, WB, ICC/IF, Flow Cyt (Intra) and reacts with Human, Mouse, Rat samples.

View Alternative Names

Collagen alpha-1(III) chain, COL3A1

15 Images
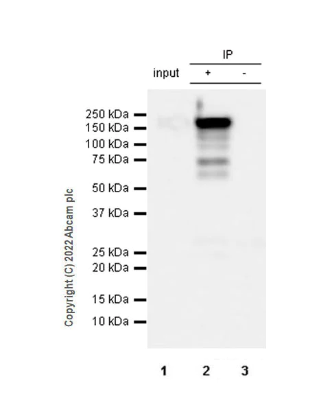
Immunoprecipitation - Anti-Collagen III antibody [EPR17673] - BSA and Azide free (AB224532)
  • IP

Lab

Immunoprecipitation - Anti-Collagen III antibody [EPR17673] - BSA and Azide free (AB224532)

This data was developed using the same antibody clone in a different buffer formulation containing PBS, BSA, glycerol, and sodium azide (ab184993). Collagen III was immunoprecipitated from 0.35 mg of HeLa (human epithelial cell line from cervix adenocarcinoma) whole cell lysate with ab184993 at 1/30 dilution. Western blot was performed from the immunoprecipitate using ab184993 at 1/1000 dilution. VeriBlot for IP Detection Reagent (HRP) (ab131366), was used for detection at 1/5000 dilution. Lane 1 : HeLa whole cell lysate 10 µg (Input).  Lane 2 : ab184993 IP in HeLa whole cell lysate .  Lane 3 : Rabbit monoclonal IgG (ab172730) instead of ab184993 in HeLa whole cell lysate . Blocking and dilution buffer and concentration : 5% NFDM/TBST. Exposure time : 5.5 seconds.

All lanes:

Immunoprecipitation - Anti-Collagen III antibody [EPR17673] (<a href='/en-us/products/primary-antibodies/collagen-iii-antibody-epr17673-ab184993'>ab184993</a>)

Lane 1:

HeLa whole cell lysate 10 µg (Input)

Lane 2:

HeLa (human epithelial cell line from cervix adenocarcinoma) whole cell lysate

Secondary

All lanes:

Immunoprecipitation - VeriBlot for IP Detection Reagent (HRP) (<a href='/en-us/products/reagents/veriblot-for-ip-detection-reagent-hrp-ab131366'>ab131366</a>) at 1/5000 dilution

false

Exposure time: 5.5s

Immunocytochemistry/ Immunofluorescence - Anti-Collagen III antibody [EPR17673] - BSA and Azide free (AB224532)
  • ICC/IF

Lab

Immunocytochemistry/ Immunofluorescence - Anti-Collagen III antibody [EPR17673] - BSA and Azide free (AB224532)

This data was developed using ab184993, the same antibody clone in a different buffer formulation. Immunofluorescent analysis of 4% paraformaldehyde-fixed, 0.1% Triton X-100 permeabilized PC-12 (rat adrenal gland pheochromocytoma small irregularly shaped cells) cell line labeling Collagen III with ab184993 at 1/50 dilution followed by Goat Anti-Rabbit IgG H&L (Alexa Fluor® 488) preadsorbed secondary antibody (ab150081) at 1/1000 dilution (green).Confocal image showing cytoplasmic staining in PC-12 cell line. The nuclear counter stain is DAPI (blue). Tubulin is detected with Anti-alpha Tubulin mouse monoclonal antibody - Microtubule Marker (Alexa Fluor® 594) (ab195889) (red) at 1/200 dilution. Secondary antibody only control : Used PBS instead of primary antibody, secondary is Goat Anti-Rabbit IgG H&L (Alexa Fluor® 488) preadsorbed secondary antibody (ab150081) at 1/1000 dilution. This data was developed using the same antibody clone in a different buffer formulation containing PBS, BSA, glycerol, and sodium azide (ab184993).

Flow Cytometry (Intracellular) - Anti-Collagen III antibody [EPR17673] - BSA and Azide free (AB224532)
  • Flow Cyt (Intra)

Lab

Flow Cytometry (Intracellular) - Anti-Collagen III antibody [EPR17673] - BSA and Azide free (AB224532)

This data was developed using the same antibody clone in a different buffer formulation containing PBS, BSA, glycerol, and sodium azide (ab184993).  Intracellular flow cytometric analysis of 4% paraformaldehyde-fixed, 90% methanol permeabilized PC-12 (Rat adrenal gland pheochromocytoma)  cell line labeling Collagen III with ab184993 at 1/500 dilution (red) compared with a Rabbit IgG, monoclonal [EPR25A] - Isotype Control (ab172730) (black) and an unlabeled control (cells without incubation with primary antibody and secondary antibody) (blue). Goat Anti-Rabbit IgG (Alexa Fluor® 488) (ab150081) at 1/2000 dilution was used as the secondary antibody.

Flow Cytometry (Intracellular) - Anti-Collagen III antibody [EPR17673] - BSA and Azide free (AB224532)
  • Flow Cyt (Intra)

Lab

Flow Cytometry (Intracellular) - Anti-Collagen III antibody [EPR17673] - BSA and Azide free (AB224532)

This data was developed using the same antibody clone in a different buffer formulation containing PBS, BSA, glycerol, and sodium azide (ab184993).  Intracellular flow cytometric analysis of 4% paraformaldehyde-fixed, 90% methanol permeabilized RAW 264.7 (Mouse Abelson murine leukemia virus-induced tumor macrophage) cell line labeling Collagen III with ab184993 at 1/500 dilution (red) compared with a Rabbit IgG, monoclonal [EPR25A] - Isotype Control (ab172730) (black) and an unlabeled control (cells without incubation with primary antibody and secondary antibody) (blue). Goat Anti-Rabbit IgG (Alexa Fluor® 488) (ab150081) at 1/2000 dilution was used as the secondary antibody.

Immunocytochemistry/ Immunofluorescence - Anti-Collagen III antibody [EPR17673] - BSA and Azide free (AB224532)
  • ICC/IF

Lab

Immunocytochemistry/ Immunofluorescence - Anti-Collagen III antibody [EPR17673] - BSA and Azide free (AB224532)

This data was developed using ab184993, the same antibody clone in a different buffer formulation. Immunofluorescent analysis of 4% paraformaldehyde-fixed, 0.1% Triton X-100 permeabilized RAW 264.7 (mouse abelson murine leukemia virus-induced tumor macrophage) cell line labeling Collagen III with ab184993 at 1/50 dilution followed by Goat Anti-Rabbit IgG H&L (Alexa Fluor® 488) preadsorbed secondary antibody (ab150081) at 1/1000 dilution (green). Confocal image showing cytoplasmic staining in RAW 264.7 cell line. The nuclear counter stain is DAPI (blue). Tubulin is detected with Anti-alpha Tubulin mouse monoclonal antibody - Microtubule Marker (Alexa Fluor® 594) (ab195889) (red) at 1/200 dilution. Secondary antibody only control : Used PBS instead of primary antibody, secondary is Goat Anti-Rabbit IgG H&L (Alexa Fluor® 488) preadsorbed secondary antibody (ab150081) at 1/1000 dilution.

Immunoprecipitation - Anti-Collagen III antibody [EPR17673] - BSA and Azide free (AB224532)
  • IP

Lab

Immunoprecipitation - Anti-Collagen III antibody [EPR17673] - BSA and Azide free (AB224532)

This data was developed using the same antibody clone in a different buffer formulation containing PBS, BSA, glycerol, and sodium azide (ab184993). Collagen III was immunoprecipitated from 0.35 mg of RAW 264.7 (mouse Abelson murine leukemia virus-induced tumor macrophage), whole cell lysate with ab184993 at 1/30 dilution. Western blot was performed from the immunoprecipitate using ab184993 at 1/1000 dilution. VeriBlot for IP Detection Reagent (HRP) (ab131366), was used for detection at 1/5000 dilution. Lane 1 : RAW 264.7 whole cell lysate 10 μg (Input).  Lane 2 : ab184993 IP in RAW 264.7 whole cell lysate.  Lane 3 : Rabbit monoclonal IgG (ab172730) instead of ab184993 in RAW 264.7 whole cell lysate. Blocking and dilution buffer and concentration : 5% NFDM/TBST. Exposure time : 3.25 seconds. Lysate was freshly made and used immediately to minimize protein degradation.

All lanes:

Immunoprecipitation - Anti-Collagen III antibody [EPR17673] (<a href='/en-us/products/primary-antibodies/collagen-iii-antibody-epr17673-ab184993'>ab184993</a>)

Lane 1:

RAW 264.7 whole cell lysate 10 μg (Input).

Lane 2:

RAW 264.7 (mouse Abelson murine leukemia virus-induced tumor macrophage), whole cell lysate

Secondary

All lanes:

Immunoprecipitation - VeriBlot for IP Detection Reagent (HRP) (<a href='/en-us/products/reagents/veriblot-for-ip-detection-reagent-hrp-ab131366'>ab131366</a>) at 1/5000 dilution

false

Exposure time: 3.25s

Immunoprecipitation - Anti-Collagen III antibody [EPR17673] - BSA and Azide free (AB224532)
  • IP

Lab

Immunoprecipitation - Anti-Collagen III antibody [EPR17673] - BSA and Azide free (AB224532)

This data was developed using the same antibody clone in a different buffer formulation containing PBS, BSA, glycerol, and sodium azide (ab184993). Collagen III was immunoprecipitated from 0.35 mg of PC-12 (rat adrenal gland pheochromocytoma cell), whole cell lysate with ab184993 at 1/30 dilution. Western blot was performed from the immunoprecipitate using ab184993 at 1/1000 dilution. VeriBlot for IP Detection Reagent (HRP) (ab131366), was used for detection at 1/5000 dilution. Lane 1 : PC-12 whole cell lysate 10 μg (Input).  Lane 2 : ab184993 IP in PC-12 whole cell lysate.  Lane 3 : Rabbit monoclonal IgG (ab172730) instead of ab184993 in PC-12 whole cell lysate. Blocking and dilution buffer and concentration : 5% NFDM/TBST. Exposure time : 3.25 seconds. Lysate was freshly made and used immediately to minimize protein degradation.

All lanes:

Immunoprecipitation - Anti-Collagen III antibody [EPR17673] (<a href='/en-us/products/primary-antibodies/collagen-iii-antibody-epr17673-ab184993'>ab184993</a>) at 1/1000 dilution

Lane 1:

PC-12 whole cell lysate 10 μg (Input).

Lane 2:

PC-12 (rat adrenal gland pheochromocytoma cell), whole cell lysate

Secondary

All lanes:

Immunoprecipitation - VeriBlot for IP Detection Reagent (HRP) (<a href='/en-us/products/reagents/veriblot-for-ip-detection-reagent-hrp-ab131366'>ab131366</a>) at 1/5000 dilution

false

Exposure time: 3s

Western blot - Anti-Collagen III antibody [EPR17673] - BSA and Azide free (AB224532)
  • WB

Supplier Data

Western blot - Anti-Collagen III antibody [EPR17673] - BSA and Azide free (AB224532)

This data was developed using ab184993, the same antibody clone in a different buffer formulation. Exposure time : Lanes 1-3 : 30 seconds; Lane 4 : 5 seconds.

Blocking/Dilution buffer : 5% NFDM/TBST.

The molecular weight observed is consistent with what has been described in the literature (PMID : 26017148).

All lanes:

Western blot - Anti-Collagen III antibody [EPR17673] (<a href='/en-us/products/primary-antibodies/collagen-iii-antibody-epr17673-ab184993'>ab184993</a>) at 1/1000 dilution

Lane 1:

Human skin lysate at 10 µg

Lane 2:

Human skeletal muscle lysate at 10 µg

Lane 3:

Human heart lysate at 10 µg

Lane 4:

A431 (human epidermoid carcinoma cell line) whole cell lysate at 10 µg

Secondary

Lane 1:

Western blot - Goat Anti-Rabbit IgG H&L (HRP) (<a href='/en-us/products/secondary-antibodies/goat-rabbit-igg-h-l-hrp-ab97051'>ab97051</a>) at 1/100000 dilution

Lanes 2 - 4:

Western blot - Goat Anti-Rabbit IgG H&L (HRP) (<a href='/en-us/products/secondary-antibodies/goat-rabbit-igg-h-l-hrp-ab97051'>ab97051</a>) at 1/20000 dilution

Predicted band size: 139 kDa

Observed band size: 150 kDa

true

Western blot - Anti-Collagen III antibody [EPR17673] - BSA and Azide free (AB224532)
  • WB

Supplier Data

Western blot - Anti-Collagen III antibody [EPR17673] - BSA and Azide free (AB224532)

This data was developed using ab184993, the same antibody clone in a different buffer formulation. Exposure time : Lane 1 : 3 minutes; Lane 2 : 15 seconds; Lane 3 : 3 seconds; Lanes 4-5 : 30 seconds.

Blocking/Dilution buffer : 5% NFDM/TBST.

The molecular weight observed is consistent with what has been described in the literature (PMID : 26017148).

All lanes:

Western blot - Anti-Collagen III antibody [EPR17673] (<a href='/en-us/products/primary-antibodies/collagen-iii-antibody-epr17673-ab184993'>ab184993</a>) at 1/1000 dilution

Lane 1:

Human fetal liver lysate at 20 µg

Lane 2:

Human fetal kidney lysate at 20 µg

Lane 3:

HeLa (human epithelial cell line from cervix adenocarcinoma) whole cell lysate at 20 µg

Lane 4:

MCF7 (human breast adenocarcinoma cell line) whole cell lysate at 20 µg

Lane 5:

HaCaT (human keratinocyte cell line) whole cell lysate at 10 µg

Secondary

All lanes:

Western blot - Goat Anti-Rabbit IgG H&L (HRP) (<a href='/en-us/products/secondary-antibodies/goat-rabbit-igg-h-l-hrp-ab97051'>ab97051</a>) at 1/100000 dilution

Predicted band size: 139 kDa

Observed band size: 150 kDa

true

Western blot - Anti-Collagen III antibody [EPR17673] - BSA and Azide free (AB224532)
  • WB

Lab

Western blot - Anti-Collagen III antibody [EPR17673] - BSA and Azide free (AB224532)

Blocking buffer and concentration : 5% NFDM/TBST Diluting buffer and concentration : 5% NFDM/TBST This data was developed using the same antibody clone in a different buffer formulation containing PBS, BSA, glycerol, and sodium azide (ab184993).

All lanes:

Western blot - Anti-Collagen III antibody [EPR17673] (<a href='/en-us/products/primary-antibodies/collagen-iii-antibody-epr17673-ab184993'>ab184993</a>) at 1/1000 dilution

Lane 1:

Mouse skeletal muscle tissue lysate at 20 µg

Lane 2:

Mouse heart tissue lysate at 20 µg

Lane 3:

Rat skeletal muscle tissue lysate at 20 µg

Secondary

All lanes:

Western blot - Goat Anti-Rabbit IgG H&L (HRP) (<a href='/en-us/products/secondary-antibodies/goat-rabbit-igg-h-l-hrp-ab97051'>ab97051</a>) at 1/100000 dilution

Predicted band size: 139 kDa

Observed band size: 150 kDa

true

Exposure time: 3min

Western blot - Anti-Collagen III antibody [EPR17673] - BSA and Azide free (AB224532)
  • WB

Lab

Western blot - Anti-Collagen III antibody [EPR17673] - BSA and Azide free (AB224532)

This data was developed using ab184993, the same antibody clone in a different buffer formulation. Exposure time : Lanes 1-4 : 92 seconds; Lanes 5-6 : 48 seconds; Lane 7 : 37 seconds. Blocking/Dilution buffer : 5% NFDM/TBST. In lane 1-4, the lysates were stored at -80℃ prior to Western Blotting. In lane 5-7, the lysates were freshly made and used for Western Blotting immediately to minimize protein degradation. This data was developed using the same antibody clone in a different buffer formulation containing PBS, BSA, glycerol, and sodium azide (ab184993).

All lanes:

Western blot - Anti-Collagen III antibody [EPR17673] (<a href='/en-us/products/primary-antibodies/collagen-iii-antibody-epr17673-ab184993'>ab184993</a>) at 1/1000 dilution

Lane 1:

C6 (rat glial tumor glial cell), whole cell lysate at 20 µg

Lane 2:

RAW264.7 (mouse Abelson murine leukemia virus-induced tumor macrophage), whole cell lysate at 20 µg

Lane 3:

PC-12 (rat adrenal gland pheochromocytoma), whole cell lysate at 20 µg

Lane 4:

NIH/3T3 (mouse embryonic fibroblast), whole cell lysate at 20 µg

Lane 5:

C6 (rat glial tumor glial cell), whole cell fresh lysate at 20 µg

Lane 6:

RAW264.7 (mouse Abelson murine leukemia virus-induced tumor macrophage), whole cell fresh lysate at 20 µg

Lane 7:

PC-12 (rat adrenal gland pheochromocytoma), whole cell fresh lysate at 20 µg

Secondary

All lanes:

Western blot - Goat Anti-Rabbit IgG H&L (HRP) (<a href='/en-us/products/secondary-antibodies/goat-rabbit-igg-h-l-hrp-ab97051'>ab97051</a>) at 1/100000 dilution

Predicted band size: 139 kDa

Observed band size: 150 kDa

false

Immunocytochemistry/ Immunofluorescence - Anti-Collagen III antibody [EPR17673] - BSA and Azide free (AB224532)
  • ICC/IF

Supplier Data

Immunocytochemistry/ Immunofluorescence - Anti-Collagen III antibody [EPR17673] - BSA and Azide free (AB224532)

Immunofluorescent analysis of 4% paraformaldehyde-fixed, 0.1% Triton X-100 permeabilized HeLa (human epithelial cell line from cervix adenocarcinoma) cells labeling Collagen III with ab184993 at 1/100 dilution followed by Goat Anti-Rabbit IgG H&L (Alexa Fluor® 488) (ab150077) secondary antibody at 1/1000 dilution (green). Confocal image showing cytoplasmic staining on HeLa cells.

The nuclear counter stain is DAPI (blue). Tubulin is detected with Anti-alpha Tubulin antibody [DM1A] - Microtubule Marker (Alexa Fluor® 594) (ab195889) (red) at 1/200 dilution.

Secondary antibody only control : Used PBS instead of primary antibody, secondary antibody is Goat Anti-Rabbit IgG H&L (Alexa Fluor® 488) (ab150077) secondary antibody at 1/1000 dilution.

This data was developed using the same antibody clone in a different buffer formulation containing PBS, BSA, glycerol, and sodium azide (ab184993).

Immunocytochemistry/ Immunofluorescence - Anti-Collagen III antibody [EPR17673] - BSA and Azide free (AB224532)
  • ICC/IF

Supplier Data

Immunocytochemistry/ Immunofluorescence - Anti-Collagen III antibody [EPR17673] - BSA and Azide free (AB224532)

Immunofluorescent analysis of 4% paraformaldehyde-fixed, 0.1% Triton X-100 permeabilized MCF7 (human breast adenocarcinoma cell line) cells labeling Collagen III with ab184993 at 1/100 dilution followed by Goat Anti-Rabbit IgG H&L (Alexa Fluor® 488) (ab150077) secondary antibody at 1/1000 dilution (green). Confocal image showing cytoplasmic staining on MCF7 cells.

The nuclear counter stain is DAPI (blue). Tubulin is detected with Anti-alpha Tubulin antibody [DM1A] - Microtubule Marker (Alexa Fluor® 594) (ab195889) (red) at 1/200 dilution.

Secondary antibody only control : Used PBS instead of primary antibody, secondary antibody is Goat Anti-Rabbit IgG H&L (Alexa Fluor® 488) (ab150077) secondary antibody at 1/1000 dilution.

This data was developed using the same antibody clone in a different buffer formulation containing PBS, BSA, glycerol, and sodium azide (ab184993).

Flow Cytometry (Intracellular) - Anti-Collagen III antibody [EPR17673] - BSA and Azide free (AB224532)
  • Flow Cyt (Intra)

Supplier Data

Flow Cytometry (Intracellular) - Anti-Collagen III antibody [EPR17673] - BSA and Azide free (AB224532)

Intracellular flow cytometric analysis of 4% paraformaldehyde-fixed, 90% methanol permeabilized HeLa (human epithelial cell line from cervix adenocarcinoma) cell line labeling Collagen III with ab184993 at 1/50 dilution (red) compared with a Rabbit IgG, monoclonal [EPR25A] - Isotype Control (ab172730) (black) and an unlabeled control (cells without incubation with primary antibody and secondary antibody) (blue). Goat Anti-Rabbit IgG H&L (Alexa Fluor® 488) (ab150077) at 1/2000 dilution was used as the secondary antibody.

This data was developed using the same antibody clone in a different buffer formulation containing PBS, BSA, glycerol, and sodium azide (ab184993).

Immunoprecipitation - Anti-Collagen III antibody [EPR17673] - BSA and Azide free (AB224532)
  • IP

Supplier Data

Immunoprecipitation - Anti-Collagen III antibody [EPR17673] - BSA and Azide free (AB224532)

Collagen III was immunoprecipitated from 0.35 mg of HeLa (human epithelial cell line from cervix adenocarcinoma) whole cell lysate with ab184993 at 1/30 dilution. Western blot was performed from the immunoprecipitate using ab184993 at 1/1000 dilution. VeriBlot for IP Detection Reagent (HRP) (ab131366), was used for detection at 1/10000 dilution.

Lane 1 : HeLa whole cell lysate 10 μg (Input).

Lane 2 : ab184993 IP in HeLa whole cell lysate .

Lane 3 : Rabbit monoclonal IgG (ab172730) instead of ab184993 in HeLa whole cell lysate .

Blocking and dilution buffer and concentration : 5% NFDM/TBST.

Exposure time : 10 seconds.

This data was developed using the same antibody clone in a different buffer formulation containing PBS, BSA, glycerol, and sodium azide (ab184993).

All lanes:

Immunoprecipitation - Anti-Collagen III antibody [EPR17673] (<a href='/en-us/products/primary-antibodies/collagen-iii-antibody-epr17673-ab184993'>ab184993</a>)

Predicted band size: 139 kDa

Observed band size: 150 kDa

false

Key facts

Host species

Rabbit

Clonality

Monoclonal

Clone number

EPR17673

Isotype

IgG

Carrier free

Yes

Reacts with

Human, Mouse, Rat

Applications

Flow Cyt (Intra), ICC/IF, WB, IP

applications

Immunogen

The exact immunogen used to generate this antibody is proprietary information.

Reactivity data

{ "title": "Reactivity Data", "filters": { "stats": ["", "Species", "Dilution Info", "Notes"], "tabs": { "all-applications": {"fullname" : "All Applications", "shortname": "All Applications"}, "IP" : {"fullname" : "Immunoprecipitation", "shortname":"IP"}, "WB" : {"fullname" : "Western blot", "shortname":"WB"}, "ICCIF" : {"fullname" : "Immunocytochemistry/ Immunofluorescence", "shortname":"ICC/IF"}, "FlowCytIntra" : {"fullname" : "Flow Cytometry (Intracellular)", "shortname":"Flow Cyt (Intra)"} }, "product-promise": { "all": "all", "testedAndGuaranteed": "tested", "guaranteed": "expected", "predicted": "predicted", "notRecommended": "not-recommended" } }, "values": { "Human": { "IP-species-checked": "testedAndGuaranteed", "IP-species-dilution-info": "", "IP-species-notes": "<p></p>", "WB-species-checked": "guaranteed", "WB-species-dilution-info": "", "WB-species-notes": "<p></p>", "ICCIF-species-checked": "testedAndGuaranteed", "ICCIF-species-dilution-info": "", "ICCIF-species-notes": "<p></p>", "FlowCytIntra-species-checked": "testedAndGuaranteed", "FlowCytIntra-species-dilution-info": "", "FlowCytIntra-species-notes": "<p></p>" }, "Mouse": { "IP-species-checked": "testedAndGuaranteed", "IP-species-dilution-info": "", "IP-species-notes": "<p></p>", "WB-species-checked": "testedAndGuaranteed", "WB-species-dilution-info": "", "WB-species-notes": "<p></p>", "ICCIF-species-checked": "testedAndGuaranteed", "ICCIF-species-dilution-info": "", "ICCIF-species-notes": "<p></p>", "FlowCytIntra-species-checked": "testedAndGuaranteed", "FlowCytIntra-species-dilution-info": "", "FlowCytIntra-species-notes": "<p></p>" }, "Rat": { "IP-species-checked": "testedAndGuaranteed", "IP-species-dilution-info": "", "IP-species-notes": "<p></p>", "WB-species-checked": "testedAndGuaranteed", "WB-species-dilution-info": "", "WB-species-notes": "<p></p>", "ICCIF-species-checked": "testedAndGuaranteed", "ICCIF-species-dilution-info": "", "ICCIF-species-notes": "<p></p>", "FlowCytIntra-species-checked": "testedAndGuaranteed", "FlowCytIntra-species-dilution-info": "", "FlowCytIntra-species-notes": "<p></p>" } } }

You may be interested in:

AB222942

Total Collagen Assay Kit (Perchlorate-Free)

4

1 Reviews

View product

We recommend this product because it’s often used in the same experiment or related research.

We advise that you always check the datasheet to ensure it fits your experiments, or contact ourtechnical teamfor help.

Product details

ab224532 is the carrier-free version of ab184993.

Patented technology
Our RabMAb® technology is a patented hybridoma-based technology for making rabbit monoclonal antibodies. For details on our patents, please refer to RabMAb® patents.

What are the advantages of a recombinant monoclonal antibody?
This product is a recombinant monoclonal antibody, which offers several advantages including:

  • - High batch-to-batch consistency and reproducibility
  • - Improved sensitivity and specificity
  • - Long-term security of supply
  • - Animal-free batch production

For more information, read more on recombinant antibodies.

Conjugation ready
Our carrier-free antibodies are typically supplied in a PBS-only formulation, purified and free of BSA, sodium azide and glycerol. This conjugation-ready format is designed for use with fluorochromes, metal isotopes, oligonucleotides, and enzymes, which makes them ideal for antibody labelling, functional and cell-based assays, flow-based assays (e.g. mass cytometry) and Multiplex Imaging applications.

Use our conjugation kits for antibody conjugates that are ready-to-use in as little as 20 minutes with 1 minute hands-on-time and 100% antibody recovery: available for fluorescent dyes, HRP, biotin and gold.

Compatibility
This product is compatible with the Maxpar® Antibody Labeling Kit from Fluidigm, without the need for antibody preparation. Maxpar® is a trademark of Fluidigm Canada Inc.

Properties and storage information

Form
Liquid
Purification technique
Affinity purification Protein A
Storage buffer
pH: 7.2 - 7.4 Constituents: PBS
Shipped at conditions
Blue Ice
Appropriate short-term storage conditions
+4°C
Appropriate long-term storage conditions
+4°C
Storage information
Do Not Freeze

Supplementary information

This supplementary information is collated from multiple sources and compiled automatically.

Collagen type III also known as COL3 and collagen III is a fibrillar protein with an approximate molecular mass of 138 kDa. This protein is a significant component of the extracellular matrix and is mainly expressed in connective tissues like skin lungs and vascular walls. You can also find it in developing tissues and fibrotic tissues reflecting its role during tissue growth and repair processes.
Biological function summary

Collagen type III contributes to maintaining the structural integrity of tissues. It forms a complex with collagen type I providing a scaffold that ensures mechanical strength and stability to tissues. This structural pairing of collagen type I and III highlights their cooperative function in supporting the extracellular matrix and regulating cell behavior in tissue repair and wound healing processes.

Pathways

Collagen type III is integral to the processes of tissue repair and fibrosis pathways. It interacts closely with proteins such as fibronectin and integrins contributing to the cellular adhesion and signaling pathways important for fibroblast function and migration. These interactions reflect its essential role in matrix assembly and stability influencing how cells respond to injury and repair damaged tissues.

Collagen type III mutations or dysregulation associate with vascular Ehlers-Danlos syndrome and keloids. In vascular Ehlers-Danlos syndrome defective collagen III compromises vessel wall integrity resulting in vascular fragility and rupture. In the context of keloids excessive collagen III accumulation in the skin illustrates its role in pathological fibrosis. Collagen type I is another protein that plays an important role in these conditions contributing along with collagen type III to the altered structural and functional properties observed in these disorders.

Product protocols

For this product, it's our understanding that no specific protocols are required. You can visit:

Target data

Collagen type III occurs in most soft connective tissues along with type I collagen. Involved in regulation of cortical development. Is the major ligand of ADGRG1 in the developing brain and binding to ADGRG1 inhibits neuronal migration and activates the RhoA pathway by coupling ADGRG1 to GNA13 and possibly GNA12.
See full target information COL3A1

Product promise

We are committed to supporting your work with high-quality reagents, and we're here for you every step of the way. In the unlikely event that one of our products does not perform as expected, you're protected by our Product Promise.
For full details, please see our Terms & Conditions

Associated Products

Select an associated product type
Alternative Product
Primary Antibodies

AB23445

Anti-Collagen III antibody [1E7-D7/Col3]

primary-antibodies

collagen-iii-antibody-1e7-d7-col3-ab23445

4

(5 reviews)

Alternative Product
Primary Antibodies

AB216430

Anti-Collagen III antibody - C-terminal

primary-antibodies

collagen-iii-antibody-c-terminal-ab216430

0

(0 reviews)

Alternative Product
Primary Antibodies

AB6310

Anti-Collagen III antibody [FH-7A]

primary-antibodies

collagen-iii-antibody-fh-7a-ab6310

5

(14 reviews)

Alternative Product
Primary Antibodies

AB7778

Anti-Collagen III antibody

primary-antibodies

collagen-iii-antibody-ab7778

4

(24 reviews)

Alternative Version
Primary Antibodies

AB237238

Alexa Fluor® 488 Anti-Collagen III antibody [EPR17673]

primary-antibodies

alexa-fluor-488-collagen-iii-antibody-epr17673-ab237238

0

(0 reviews)

Alternative Version
Primary Antibodies

AB237239

Alexa Fluor® 647 Anti-Collagen III antibody [EPR17673]

primary-antibodies

alexa-fluor-647-collagen-iii-antibody-epr17673-ab237239

0

(0 reviews)

Please note: All products are 'FOR RESEARCH USE ONLY. NOT FOR USE IN DIAGNOSTIC OR THERAPEUTIC PROCEDURES'.

For licensing inquiries, please contact partnerships@abcam.com