JavaScript is disabled in your browser. Please enable JavaScript to view this website.
AB217147

Anti-Collagen IV antibody

Be the first to review this product! Submit a review

|

(1 Publication)

Rabbit Polyclonal Col4a1 antibody. Suitable for IHC-P and reacts with Rat, Rabbit samples. Cited in 1 publication. Immunogen corresponding to Synthetic Peptide within Mouse Col4a1 aa 1400-1500 conjugated to Keyhole Limpet Haemocyanin.

View Alternative Names

Arresten, BSVD, CO4A1_HUMAN, COL4A 2, COL4A 3, COL4A1, COL4A1 NC1 domain, COL4A4, Collagen IV Alpha 2 Polypeptide, Collagen IV alpha-1 polypeptide, Collagen Of Basement Membrane Alpha 1 Chain, Collagen Of Basement Membrane Alpha 2 Chain, Collagen Type IV Alpha 1, Collagen Type IV Alpha 2, Collagen Type IV Alpha 3, Collagen Type IV Alpha 4, Collagen Type IV Alpha 5, Collagen alpha-1(IV) chain, RATOR, collagen type IV alpha 1 chain

2 Images
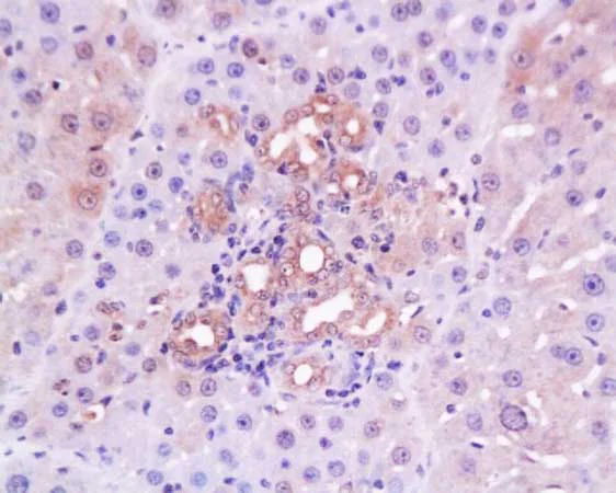
Immunohistochemistry (Formalin/PFA-fixed paraffin-embedded sections) - Anti-Collagen IV antibody (AB217147)
  • IHC-P

Supplier Data

Immunohistochemistry (Formalin/PFA-fixed paraffin-embedded sections) - Anti-Collagen IV antibody (AB217147)

Immunohistochemical analysis of formalin-fixed, paraffin-embedded rat liver tissue labeling Collagen IV with ab217147 at 1/200 dilution, followed by conjugation to the secondary antibody and DAB staining.

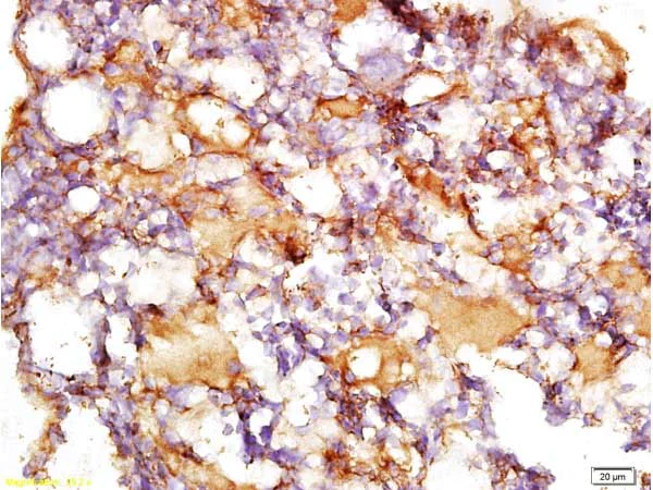
Immunohistochemistry (Formalin/PFA-fixed paraffin-embedded sections) - Anti-Collagen IV antibody (AB217147)
  • IHC-P

Supplier Data

Immunohistochemistry (Formalin/PFA-fixed paraffin-embedded sections) - Anti-Collagen IV antibody (AB217147)

Immunohistochemical analysis of formalin-fixed, paraffin-embedded rabbit cartilage tissue labeling Collagen IV with ab217147 at 1/200 dilution, followed by conjugation to the secondary antibody and DAB staining.

Key facts

Host species

Rabbit

Clonality

Polyclonal

Isotype

IgG

Carrier free

No

Reacts with

Rat, Rabbit

Applications

IHC-P

applications

Immunogen

Synthetic Peptide within Mouse Col4a1 aa 1400-1500 conjugated to Keyhole Limpet Haemocyanin. The exact immunogen used to generate this antibody is proprietary information.

P02463

Specificity

ab217147 has 79% cross reactivity with Collagen alpha-5(IV) chain.

Reactivity data

{ "title": "Reactivity Data", "filters": { "stats": ["", "Species", "Dilution Info", "Notes"], "tabs": { "all-applications": {"fullname" : "All Applications", "shortname": "All Applications"}, "IHCP" : {"fullname" : "Immunohistochemistry (Formalin/PFA-fixed paraffin-embedded sections)", "shortname":"IHC-P"} }, "product-promise": { "all": "all", "testedAndGuaranteed": "tested", "guaranteed": "expected", "predicted": "predicted", "notRecommended": "not-recommended" } }, "values": { "Human": { "IHCP-species-checked": "predicted", "IHCP-species-dilution-info": "", "IHCP-species-notes": "" }, "Mouse": { "IHCP-species-checked": "predicted", "IHCP-species-dilution-info": "", "IHCP-species-notes": "" }, "Rat": { "IHCP-species-checked": "testedAndGuaranteed", "IHCP-species-dilution-info": "1/100 - 1/500", "IHCP-species-notes": "<p></p>" }, "Rabbit": { "IHCP-species-checked": "testedAndGuaranteed", "IHCP-species-dilution-info": "1/100 - 1/500", "IHCP-species-notes": "<p></p>" } } }

Properties and storage information

Form
Liquid
Purification technique
Affinity purification Protein A
Storage buffer
pH: 7.4 Preservative: 0.02% Proclin 300 Constituents: 50% Glycerol (glycerin, glycerine), 48.98% TBS, 1X, 1% BSA
Shipped at conditions
Blue Ice
Appropriate short-term storage duration
1-2 weeks
Appropriate short-term storage conditions
+4°C
Appropriate long-term storage conditions
-20°C
Aliquoting information
Upon delivery aliquot
Storage information
Avoid freeze / thaw cycle

Supplementary information

This supplementary information is collated from multiple sources and compiled automatically.

Collagen IV also known as COL4A1 or collagen type IV is a structural protein essential to the basement membrane in tissues. The molecular weight of collagen type 4 varies but it generally forms a high-molecular-weight complex. This protein expresses prominently in various tissues especially in the kidneys lens capsule of the eye and skin. Collagen IV comprises six different alpha chains where its distinctiveness lies in its non-fibrillar network-forming structure which serves as a supportive scaffold for tissues and contributes to tissue regeneration and cell adhesion.
Biological function summary

The highly organized network of collagen type IV plays a supreme role in maintaining the integrity and functionality of the basement membrane. It exists predominantly as part of a supramolecular complex associating with laminin nidogen and perlecan forming a multifunctional platform. This platform facilitates cellular signaling tissue elasticity and filtration functions. The basement membrane's selective permeability heavily relies on this network structure to regulate the exchange of molecules between tissues like blood vessels and epithelial sheets.

Pathways

Collagen IV contributes to several critical functions within the extracellular matrix organization and cell-matrix adhesion pathways. Specifically it interacts intimately with integrins and matrix metalloproteinases (MMPs) playing roles in angiogenesis and tissue repair. Additionally its interactions with other collagens and integrins within these pathways enhance cellular responses to mechanical stress and contribute to structural resilience in tissues.

Mutations or abnormalities in collagen IV are linked closely with hereditary conditions such as Alport syndrome and Goodpasture syndrome. These conditions often result in compromised structural integrity and function of the basement membrane particularly affecting the kidneys and lungs. Alterations in collagen IV can influence interactions with other proteins like collagen type IV-associated proteins altering normal physiological functions and leading to tissue dysfunction and disease manifestations.

Product protocols

For this product, it's our understanding that no specific protocols are required. You can visit:

Target data

See full target information Col4a1

Additional targets

Col4a1

Publications (1)

Recent publications for all applications. Explore the full list and refine your search

Oncology letters 22:526 PubMed34055091

2021

Prognostic and immunological roles of Fc fragment of IgG binding protein in colorectal cancer.

Applications

Unspecified application

Species

Unspecified reactive species

Qunchuan Zhuang,Aling Shen,Liya Liu,Meizhu Wu,Zhiqing Shen,Huixin Liu,Ying Cheng,Xiaoying Lin,Xiangyan Wu,Wei Lin,Jiapeng Li,Yuying Han,Xiaoping Chen,Qi Chen,Jun Peng
View all publications

Product promise

We are committed to supporting your work with high-quality reagents, and we're here for you every step of the way. In the unlikely event that one of our products does not perform as expected, you're protected by our Product Promise.
For full details, please see our Terms & Conditions

Please note: All products are 'FOR RESEARCH USE ONLY. NOT FOR USE IN DIAGNOSTIC OR THERAPEUTIC PROCEDURES'.

For licensing inquiries, please contact partnerships@abcam.com