JavaScript is disabled in your browser. Please enable JavaScript to view this website.
AB214417

Anti-Collagen IV antibody [EPR20966]

5

(1 Review)

|

(10 Publications)

Anti-Collagen IV antibody [EPR20966] (ab214417) is a rabbit monoclonal antibody detecting Collagen IV in Western Blot, IHC-P. Suitable for Human.

- KO validated for confirmed specificity
- Biophysical QC for unrivalled batch-batch consistency

View Alternative Names

Collagen alpha-1(IV) chain, COL4A1

3 Images
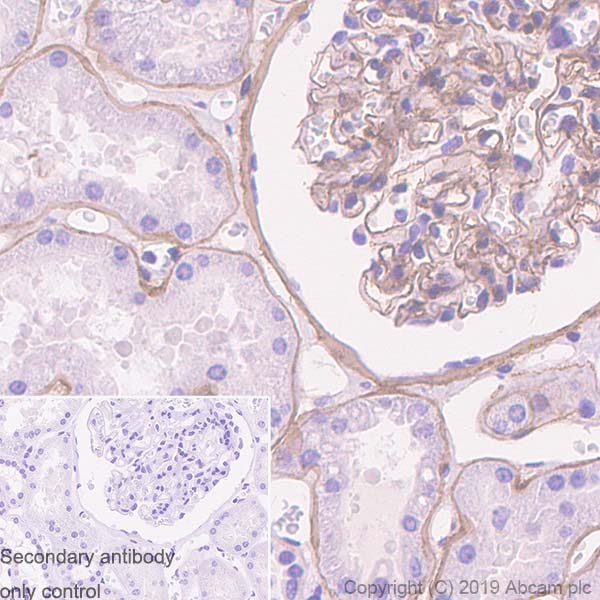
Immunohistochemistry (Formalin/PFA-fixed paraffin-embedded sections) - Anti-Collagen IV antibody [EPR20966] (AB214417)
  • IHC-P

Supplier Data

Immunohistochemistry (Formalin/PFA-fixed paraffin-embedded sections) - Anti-Collagen IV antibody [EPR20966] (AB214417)

Immunohistochemical analysis of paraffin-embedded human kidney tissue labeling Collagen IV with ab214417 at 1/500 dilution, followed by Goat Anti-Rabbit IgG H&L (HRP) Ready to use. Basement membrane staining on human kidney (PMID : 20551626, PMID : 24445937). Counter stained with hematoxylin.

Secondary antibody only control : Used PBS instead of primary antibody, secondary antibody is Goat Anti-Rabbit IgG H&L (HRP) Ready to use.

Perform heat mediated antigen retrieval with Tris/EDTA buffer pH 9.0 before commencing with IHC staining protocol.

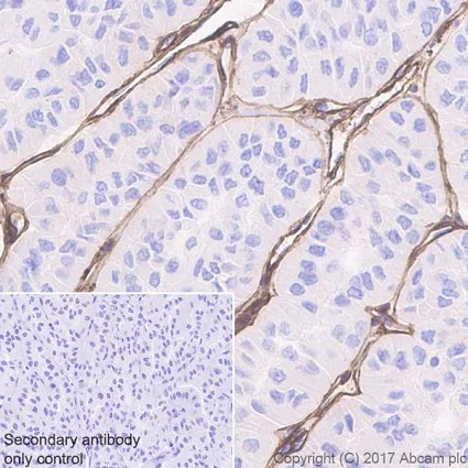
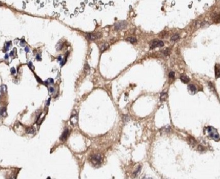
Immunohistochemistry (Formalin/PFA-fixed paraffin-embedded sections) - Anti-Collagen IV antibody [EPR20966] (AB214417)
  • IHC-P

Supplier Data

Immunohistochemistry (Formalin/PFA-fixed paraffin-embedded sections) - Anti-Collagen IV antibody [EPR20966] (AB214417)

Immunohistochemical analysis of paraffin-embedded human thyroid carcinoma tissue labeling Collagen IV with ab214417 at 1/500 dilution, followed by Goat Anti-Rabbit IgG H&L (HRP) Ready to use. Basement membrane staining on human thyroid cancer. Counter stained with hematoxylin.

Secondary antibody only control : Used PBS instead of primary antibody, secondary antibody is Goat Anti-Rabbit IgG H&L (HRP) Ready to use.

Perform heat mediated antigen retrieval with Tris/EDTA buffer pH 9.0 before commencing with IHC staining protocol.

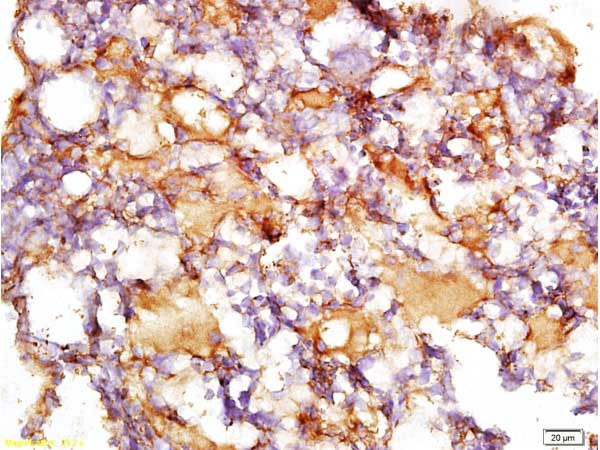
Western blot - Anti-Collagen IV antibody [EPR20966] (AB214417)
  • WB

Lab

Western blot - Anti-Collagen IV antibody [EPR20966] (AB214417)

False colour image of Western blot : Anti-Collagen IV antibody [EPR20966] staining at 1/500 dilution, shown in green; Mouse anti-Alpha Tubulin [DM1A] (ab7291) loading control staining at 1/20000 dilution, shown in red. In Western blot, ab214417 was shown to bind specifically to Collagen IV. A band was observed at 200 kDa in wild-type HeLa cell lysates with no signal observed at this size in Col4a1 knockout cell line ab255379 (knockout cell lysate ab263755). To generate this image, wild-type and Col4a1 knockout HeLa cell lysates were analysed. First, samples were run on an SDS-PAGE gel then transferred onto a nitrocellulose membrane. Membranes were blocked in 3 % milk in TBS-0.1 % Tween® 20 (TBS-T) before incubation with primary antibodies overnight at 4°C. Blots were washed four times in TBS-T, incubated with secondary antibodies for 1 h at room temperature, washed again four times then imaged. Secondary antibodies used were Goat anti-Rabbit IgG H&L (IRDye® 800CW) preabsorbed (ab216773) and Goat anti-Mouse IgG H&L (IRDye® 680RD) preabsorbed (ab216776) at 1/20000 dilution.

All lanes:

Western blot - Anti-Collagen IV antibody [EPR20966] (ab214417) at 1/500 dilution

Lane 1:

Wild-type HeLa cell lysate at 20 µg

Lane 2:

Col4a1 knockout HeLa cell lysate at 20 µg

Lane 2:

Western blot - Human COL4A1 (Collagen IV alpha 1) knockout HeLa cell line (<a href='/en-us/products/cell-lines/human-col4a1-collagen-iv-alpha-1-knockout-hela-cell-line-ab255379'>ab255379</a>)

Predicted band size: 161 kDa

Observed band size: 200 kDa

false

Key facts

Host species

Rabbit

Clonality

Monoclonal

Clone number

EPR20966

Isotype

IgG

Carrier free

No

Reacts with

Human

Applications

WB, IHC-P

applications

Immunogen

The exact immunogen used to generate this antibody is proprietary information.

Specificity

The immunogen is within the Arresten region of Collagen alpha-1(IV) chain.

Reactivity data

{ "title": "Reactivity Data", "filters": { "stats": ["", "Species", "Dilution Info", "Notes"], "tabs": { "all-applications": {"fullname" : "All Applications", "shortname": "All Applications"}, "WB" : {"fullname" : "Western blot", "shortname":"WB"}, "IHCP" : {"fullname" : "Immunohistochemistry (Formalin/PFA-fixed paraffin-embedded sections)", "shortname":"IHC-P"} }, "product-promise": { "all": "all", "testedAndGuaranteed": "tested", "guaranteed": "expected", "predicted": "predicted", "notRecommended": "not-recommended" } }, "values": { "Human": { "WB-species-checked": "testedAndGuaranteed", "WB-species-dilution-info": "", "WB-species-notes": "<p></p>", "IHCP-species-checked": "testedAndGuaranteed", "IHCP-species-dilution-info": "1/500", "IHCP-species-notes": "<p></p>" } } }

Product details

What is this antibody validated in?
Anti-Collagen IV antibody [EPR20966] (ab214417) is a rabbit recombinant monoclonal antibody and is validated for use in Western Blot (WB), Immunohistochemistry (IHC-P) in Human samples.

What is the molecular weight of Collagen IV?
Anti-Collagen IV [EPR20966] (ab214417) specifically detects a band for Collagen IV (UniProt: P02462) at a molecular weight of 161kDa.

Trial sizes available!
Test your antibody or perform pre-screening before committing to a larger quantity. Sold in 10µl. Discover our selection of trial-size antibodies.

Specificity confirmed
The specificity of Anti-Collagen IV antibody [EPR20966] (ab214417) has been confirmed by Western blot testing in COL4A1 Knockout HeLa cell line, ab255379.

Other related products
We have a range of other formats of antibody clone [EPR20966] also available for your convenience: ab214417, Carrier free - ab226485, PE - ab317886, APC - ab317923, Alexa Fluor® 488 - ab317963, Alexa Fluor® 594 - ab318004, Alexa Fluor® 555 - ab318046, Alexa Fluor® 647 - ab318088, Alexa Fluor® 750 - ab321376

Patented technology
Our RabMAb® technology is a patented hybridoma-based technology for making rabbit monoclonal antibodies. For details on our patents, please refer to RabMAb® patents.

What are the advantages of a recombinant monoclonal antibody?
This product is a recombinant monoclonal antibody, which offers several advantages including:

  • - High batch-to-batch consistency and reproducibility
  • - Improved sensitivity and specificity
  • - Long-term security of supply
  • - Animal-free batch production

For more information, read more on recombinant antibodies.

Properties and storage information

Form
Liquid
Purification technique
Affinity purification Protein A
Storage buffer
pH: 7.2 - 7.4 Preservative: 0.01% Sodium azide Constituents: PBS, 40% Glycerol (glycerin, glycerine), 0.05% BSA
Shipped at conditions
Blue Ice
Appropriate short-term storage duration
1-2 weeks
Appropriate short-term storage conditions
+4°C
Appropriate long-term storage conditions
-20°C
Aliquoting information
Upon delivery aliquot
Storage information
Avoid freeze / thaw cycle

Supplementary information

This supplementary information is collated from multiple sources and compiled automatically.

Collagen IV also known as COL4A1 or collagen type IV is a structural protein essential to the basement membrane in tissues. The molecular weight of collagen type 4 varies but it generally forms a high-molecular-weight complex. This protein expresses prominently in various tissues especially in the kidneys lens capsule of the eye and skin. Collagen IV comprises six different alpha chains where its distinctiveness lies in its non-fibrillar network-forming structure which serves as a supportive scaffold for tissues and contributes to tissue regeneration and cell adhesion.
Biological function summary

The highly organized network of collagen type IV plays a supreme role in maintaining the integrity and functionality of the basement membrane. It exists predominantly as part of a supramolecular complex associating with laminin nidogen and perlecan forming a multifunctional platform. This platform facilitates cellular signaling tissue elasticity and filtration functions. The basement membrane's selective permeability heavily relies on this network structure to regulate the exchange of molecules between tissues like blood vessels and epithelial sheets.

Pathways

Collagen IV contributes to several critical functions within the extracellular matrix organization and cell-matrix adhesion pathways. Specifically it interacts intimately with integrins and matrix metalloproteinases (MMPs) playing roles in angiogenesis and tissue repair. Additionally its interactions with other collagens and integrins within these pathways enhance cellular responses to mechanical stress and contribute to structural resilience in tissues.

Mutations or abnormalities in collagen IV are linked closely with hereditary conditions such as Alport syndrome and Goodpasture syndrome. These conditions often result in compromised structural integrity and function of the basement membrane particularly affecting the kidneys and lungs. Alterations in collagen IV can influence interactions with other proteins like collagen type IV-associated proteins altering normal physiological functions and leading to tissue dysfunction and disease manifestations.

Product protocols

For this product, it's our understanding that no specific protocols are required. You can visit:

Target data

Type IV collagen is the major structural component of glomerular basement membranes (GBM), forming a 'chicken-wire' meshwork together with laminins, proteoglycans and entactin/nidogen.. Arresten, comprising the C-terminal NC1 domain, inhibits angiogenesis and tumor formation. The C-terminal half is found to possess the anti-angiogenic activity. Specifically inhibits endothelial cell proliferation, migration and tube formation.
See full target information COL4A1

Publications (10)

Recent publications for all applications. Explore the full list and refine your search

Journal of Cancer 15:6273-6298 PubMed39513120

2024

Identification of basement membrane-related prognostic model associated with the immune microenvironment and synthetic therapy response in pancreatic cancer: integrated bioinformatics analysis and clinical validation.

Applications

Unspecified application

Species

Unspecified reactive species

Biao Zhang,Xu Chen,Huiyi Song,Xue Gao,Shurong Ma,Hongying Ji,Huixian Qu,Shilin Xia,Dong Shang

FASEB journal : official publication of the Federation of American Societies for Experimental Biology 37:e23176 PubMed37665592

2023

A genome-wide transposon mutagenesis screening identifies LppB as a key factor associated with Mycoplasma bovis colonization and invasion into host cells.

Applications

Unspecified application

Species

Unspecified reactive species

Shimei Lan,Zhangcheng Li,Huafang Hao,Shuang Liu,Zhicheng Huang,Yutong Bai,Yanzhao Li,Xinmin Yan,Pengcheng Gao,Shengli Chen,Yuefeng Chu

Clinical and translational medicine 13:e1338 PubMed37488671

2023

Integrated single-cell and spatial transcriptomic profiling reveals higher intratumour heterogeneity and epithelial-fibroblast interactions in recurrent bladder cancer.

Applications

Unspecified application

Species

Unspecified reactive species

Zhen-Duo Shi,Zhuo Sun,Zuo-Bin Zhu,Xing Liu,Jun-Zhi Chen,Lin Hao,Jie-Fei Zhu,Kun Pang,Di Wu,Yang Dong,Yu-Fei Liu,Wei-Hua Chen,Qing Liang,Shi-Chao Zhuo,Cong-Hui Han

BMC biology 19:212 PubMed34556114

2021

Self-organising human gonads generated by a Matrigel-based gradient system.

Applications

Unspecified application

Species

Unspecified reactive species

Elizabeth Oliver,João Pedro Alves-Lopes,Femke Harteveld,Rod T Mitchell,Elisabet Åkesson,Olle Söder,Jan-Bernd Stukenborg

International journal of molecular medicine 48: PubMed33982775

2021

MicroRNA‑133b alleviates doxorubicin‑induced cardiomyocyte apoptosis and cardiac fibrosis by targeting PTBP1 and TAGLN2.

Applications

Unspecified application

Species

Unspecified reactive species

Zhen Li,Zekang Ye,Jiazheng Ma,Qian Gu,Jianzhen Teng,Xiaoxuan Gong

Journal of cellular physiology 236:5771-5784 PubMed33400297

2021

N-(3-oxododecanoyl)-l-homoserine lactone disrupts intestinal epithelial barrier through triggering apoptosis and collapsing extracellular matrix and tight junction.

Applications

Unspecified application

Species

Unspecified reactive species

Shiyu Tao,Yi Xiong,Dandan Han,Yu Pi,Hanlu Zhang,Junjun Wang

Clinical and experimental pharmacology & physiology 47:1850-1860 PubMed32603491

2020

MiR-325-3p inhibits renal inflammation and fibrosis by targeting CCL19 in diabetic nephropathy.

Applications

Unspecified application

Species

Unspecified reactive species

Jiping Sun,Jing Wang,Wanhong Lu,Liyi Xie,Jing Lv,Huixian Li,Shifeng Yang

Molecular metabolism 36:100968 PubMed32240965

2020

Interplay between RNA-binding protein HuR and Nox4 as a novel therapeutic target in diabetic kidney disease.

Applications

Unspecified application

Species

Unspecified reactive species

Qian Shi,Doug-Yoon Lee,Denis Féliers,Hanna E Abboud,Manzoor A Bhat,Yves Gorin

Medical science monitor : international medical jo 26:e919739 PubMed32019905

2020

Necrostatin-1 Alleviates Bleomycin-Induced Pulmonary Fibrosis and Extracellular Matrix Expression in Interstitial Pulmonary Fibrosis.

Applications

Unspecified application

Species

Unspecified reactive species

Fanghong Mou,Canglang Mou

Optics express 27:6158-6183 PubMed30876208

2019

Multicolor localization microscopy and point-spread-function engineering by deep learning.

Applications

Unspecified application

Species

Unspecified reactive species

Eran Hershko,Lucien E Weiss,Tomer Michaeli,Yoav Shechtman
View all publications

Product promise

We are committed to supporting your work with high-quality reagents, and we're here for you every step of the way. In the unlikely event that one of our products does not perform as expected, you're protected by our Product Promise.
For full details, please see our Terms & Conditions

Please note: All products are 'FOR RESEARCH USE ONLY. NOT FOR USE IN DIAGNOSTIC OR THERAPEUTIC PROCEDURES'.

For licensing inquiries, please contact partnerships@abcam.com