JavaScript is disabled in your browser. Please enable JavaScript to view this website.
AB226485

Anti-Collagen IV antibody [EPR20966] - BSA and Azide free

5

(1 Review)

|

(3 Publications)

Anti-Collagen IV antibody [EPR20966] - BSA and Azide free (ab226485) is a rabbit recombinant monoclonal antibody provided in a PBS only buffer for easy conjugation detecting Collagen IV in Western Blot, IHC-P. Suitable for Human.

- KO validated for confirmed specificity
- BSA, sodium azide, and glycerol-free for easy conjugation
- Biophysical QC for unrivalled batch-batch consistency

View Alternative Names

Collagen alpha-1(IV) chain, COL4A1

3 Images
Immunohistochemistry (Formalin/PFA-fixed paraffin-embedded sections) - Anti-Collagen IV antibody [EPR20966] - BSA and Azide free (AB226485)
  • IHC-P

Supplier Data

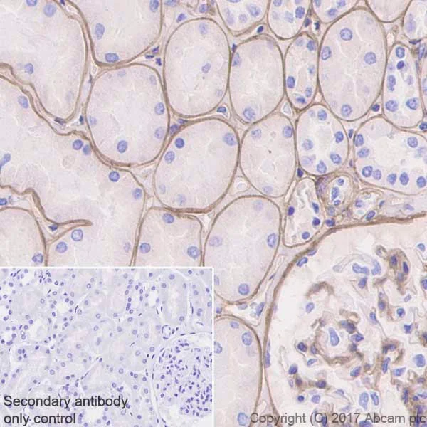
Immunohistochemistry (Formalin/PFA-fixed paraffin-embedded sections) - Anti-Collagen IV antibody [EPR20966] - BSA and Azide free (AB226485)

Immunohistochemical analysis of paraffin-embedded human kidney tissue labeling Collagen IV with ab214417 at 1/500 dilution, followed by Goat Anti-Rabbit IgG H&L (HRP) Ready to use. Basement membrane staining on human kidney (PMID : 20551626, PMID : 24445937). Counter stained with hematoxylin.

Secondary antibody only control : Used PBS instead of primary antibody, secondary antibody is Goat Anti-Rabbit IgG H&L (HRP) Ready to use.

This data was developed using the same antibody clone in a different buffer formulation containing PBS, BSA, glycerol, and sodium azide (ab214417).

Perform heat mediated antigen retrieval with Tris/EDTA buffer pH 9.0 before commencing with IHC staining protocol.

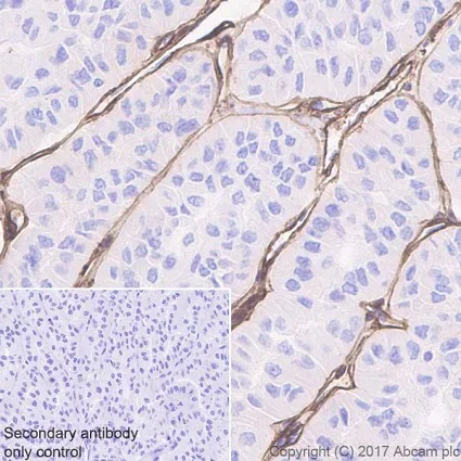
Immunohistochemistry (Formalin/PFA-fixed paraffin-embedded sections) - Anti-Collagen IV antibody [EPR20966] - BSA and Azide free (AB226485)
  • IHC-P

Supplier Data

Immunohistochemistry (Formalin/PFA-fixed paraffin-embedded sections) - Anti-Collagen IV antibody [EPR20966] - BSA and Azide free (AB226485)

Immunohistochemical analysis of paraffin-embedded human thyroid carcinoma tissue labeling Collagen IV with ab214417 at 1/500 dilution, followed by Goat Anti-Rabbit IgG H&L (HRP) Ready to use. Basement membrane staining on human thyroid cancer. Counter stained with hematoxylin.

Secondary antibody only control : Used PBS instead of primary antibody, secondary antibody is Goat Anti-Rabbit IgG H&L (HRP) Ready to use.

This data was developed using the same antibody clone in a different buffer formulation containing PBS, BSA, glycerol, and sodium azide (ab214417).

Perform heat mediated antigen retrieval with Tris/EDTA buffer pH 9.0 before commencing with IHC staining protocol.

Western blot - Anti-Collagen IV antibody [EPR20966] - BSA and Azide free (AB226485)
  • WB

Lab

Western blot - Anti-Collagen IV antibody [EPR20966] - BSA and Azide free (AB226485)

False colour image of Western blot : Anti-Collagen IV antibody [EPR20966] staining at 1/500 dilution, shown in green; Mouse anti-Alpha Tubulin [DM1A] (ab7291) loading control staining at 1/20000 dilution, shown in red. In Western blot, ab214417 was shown to bind specifically to Collagen IV. A band was observed at 200 kDa in wild-type HeLa cell lysates with no signal observed at this size in Col4a1 knockout cell line ab255379 (knockout cell lysate ab263755). To generate this image, wild-type and Col4a1 knockout HeLa cell lysates were analysed. First, samples were run on an SDS-PAGE gel then transferred onto a nitrocellulose membrane. Membranes were blocked in 3 % milk in TBS-0.1 % Tween® 20 (TBS-T) before incubation with primary antibodies overnight at 4°C. Blots were washed four times in TBS-T, incubated with secondary antibodies for 1 h at room temperature, washed again four times then imaged. Secondary antibodies used were Goat anti-Rabbit IgG H&L (IRDye® 800CW) preabsorbed (ab216773) and Goat anti-Mouse IgG H&L (IRDye® 680RD) preabsorbed (ab216776) at 1/20000 dilution.

All lanes:

Western blot - Anti-Collagen IV antibody [EPR20966] (<a href='/en-us/products/primary-antibodies/collagen-iv-antibody-epr20966-ab214417'>ab214417</a>) at 1/500 dilution

Lane 1:

Wild-type HeLa cell lysate at 20 µg

Lane 2:

Col4a1 knockout HeLa cell lysate at 20 µg

Lane 2:

Western blot - Human COL4A1 (Collagen IV alpha 1) knockout HeLa cell line (<a href='/en-us/products/cell-lines/human-col4a1-collagen-iv-alpha-1-knockout-hela-cell-line-ab255379'>ab255379</a>)

Predicted band size: 161 kDa

Observed band size: 200 kDa

false

  • Unconjugated

    Anti-Collagen IV antibody [EPR20966]

  • 565 Alexa Fluor® 555

    Alexa Fluor® 555 Anti-Collagen IV antibody [EPR20966]

  • 665 Alexa Fluor® 647

    Alexa Fluor® 647 Anti-Collagen IV antibody [EPR20966]

  • 617 Alexa Fluor® 594

    Alexa Fluor® 594 Anti-Collagen IV antibody [EPR20966]

  • 578 PE

    PE Anti-Collagen IV antibody [EPR20966]

  • 519 Alexa Fluor® 488

    Alexa Fluor® 488 Anti-Collagen IV antibody [EPR20966]

  • 660 APC

    APC Anti-Collagen IV antibody [EPR20966]

  • 775 Alexa Fluor® 750

    Alexa Fluor® 750 Anti-Collagen IV antibody [EPR20966]

Key facts

Host species

Rabbit

Clonality

Monoclonal

Clone number

EPR20966

Isotype

IgG

Carrier free

Yes

Reacts with

Human

Applications

IHC-P, WB

applications

Immunogen

The exact immunogen used to generate this antibody is proprietary information.

Specificity

The immunogen is within the Arresten region of Collagen alpha-1(IV) chain.

Reactivity data

{ "title": "Reactivity Data", "filters": { "stats": ["", "Species", "Dilution Info", "Notes"], "tabs": { "all-applications": {"fullname" : "All Applications", "shortname": "All Applications"}, "WB" : {"fullname" : "Western blot", "shortname":"WB"}, "IHCP" : {"fullname" : "Immunohistochemistry (Formalin/PFA-fixed paraffin-embedded sections)", "shortname":"IHC-P"} }, "product-promise": { "all": "all", "testedAndGuaranteed": "tested", "guaranteed": "expected", "predicted": "predicted", "notRecommended": "not-recommended" } }, "values": { "Human": { "WB-species-checked": "testedAndGuaranteed", "WB-species-dilution-info": "1/500", "WB-species-notes": "<p></p>", "IHCP-species-checked": "testedAndGuaranteed", "IHCP-species-dilution-info": "", "IHCP-species-notes": "<p></p>" } } }

Product details

What is this antibody validated in?
Anti-Collagen IV antibody [EPR20966] - BSA and Azide free (ab226485) is a rabbit recombinant monoclonal antibody and is validated for use in Western Blot (WB), Immunohistochemistry (IHC-P) in Human samples.

What is the molecular weight of Collagen IV?
Anti-Collagen IV [EPR20966] - BSA and Azide free (ab226485) specifically detects a band for Collagen IV (UniProt: P02462) at a molecular weight of 161kDa.

Specificity confirmed
The specificity of Anti-Collagen IV antibody [EPR20966] - BSA and Azide free (ab226485) has been confirmed by Western blot testing in COL4A1 Knockout Hela cell line, ab255379.

Other related products
We have a range of other formats of antibody clone [EPR20966] also available for your convenience: ab214417, Carrier free - ab226485, PE - ab317886, APC - ab317923, Alexa Fluor® 488 - ab317963, Alexa Fluor® 594 - ab318004, Alexa Fluor® 555 - ab318046, Alexa Fluor® 647 - ab318088, Alexa Fluor® 750 - ab321376

Patented technology
Our RabMAb® technology is a patented hybridoma-based technology for making rabbit monoclonal antibodies. For details on our patents, please refer to RabMAb® patents.

What are the advantages of a recombinant monoclonal antibody?
This product is a recombinant monoclonal antibody, which offers several advantages including:

  • - High batch-to-batch consistency and reproducibility
  • - Improved sensitivity and specificity
  • - Long-term security of supply
  • - Animal-free batch production

For more information, read more on recombinant antibodies.

Conjugation ready
Our carrier-free antibodies are typically supplied in a PBS-only formulation, purified and free of BSA, sodium azide and glycerol. This conjugation-ready format is designed for use with fluorochromes, metal isotopes, oligonucleotides, and enzymes, which makes them ideal for antibody labelling, functional and cell-based assays, flow-based assays (e.g. mass cytometry) and Multiplex Imaging applications.

Use our conjugation kits for antibody conjugates that are ready-to-use in as little as 20 minutes with 1 minute hands-on-time and 100% antibody recovery: available for fluorescent dyes, HRP, biotin and gold.

Compatibility
This product is compatible with the Maxpar® Antibody Labeling Kit from Fluidigm, without the need for antibody preparation. Maxpar® is a trademark of Fluidigm Canada Inc.

Properties and storage information

Form
Liquid
Purification technique
Affinity purification Protein A
Storage buffer
pH: 7.2 - 7.4 Constituents: PBS
Shipped at conditions
Blue Ice
Appropriate short-term storage conditions
+4°C
Appropriate long-term storage conditions
+4°C
Storage information
Do Not Freeze

Supplementary information

This supplementary information is collated from multiple sources and compiled automatically.

Collagen IV also known as COL4A1 or collagen type IV is a structural protein essential to the basement membrane in tissues. The molecular weight of collagen type 4 varies but it generally forms a high-molecular-weight complex. This protein expresses prominently in various tissues especially in the kidneys lens capsule of the eye and skin. Collagen IV comprises six different alpha chains where its distinctiveness lies in its non-fibrillar network-forming structure which serves as a supportive scaffold for tissues and contributes to tissue regeneration and cell adhesion.
Biological function summary

The highly organized network of collagen type IV plays a supreme role in maintaining the integrity and functionality of the basement membrane. It exists predominantly as part of a supramolecular complex associating with laminin nidogen and perlecan forming a multifunctional platform. This platform facilitates cellular signaling tissue elasticity and filtration functions. The basement membrane's selective permeability heavily relies on this network structure to regulate the exchange of molecules between tissues like blood vessels and epithelial sheets.

Pathways

Collagen IV contributes to several critical functions within the extracellular matrix organization and cell-matrix adhesion pathways. Specifically it interacts intimately with integrins and matrix metalloproteinases (MMPs) playing roles in angiogenesis and tissue repair. Additionally its interactions with other collagens and integrins within these pathways enhance cellular responses to mechanical stress and contribute to structural resilience in tissues.

Mutations or abnormalities in collagen IV are linked closely with hereditary conditions such as Alport syndrome and Goodpasture syndrome. These conditions often result in compromised structural integrity and function of the basement membrane particularly affecting the kidneys and lungs. Alterations in collagen IV can influence interactions with other proteins like collagen type IV-associated proteins altering normal physiological functions and leading to tissue dysfunction and disease manifestations.

Product protocols

For this product, it's our understanding that no specific protocols are required. You can visit:

Target data

Type IV collagen is the major structural component of glomerular basement membranes (GBM), forming a 'chicken-wire' meshwork together with laminins, proteoglycans and entactin/nidogen.. Arresten, comprising the C-terminal NC1 domain, inhibits angiogenesis and tumor formation. The C-terminal half is found to possess the anti-angiogenic activity. Specifically inhibits endothelial cell proliferation, migration and tube formation.
See full target information COL4A1

Publications (3)

Recent publications for all applications. Explore the full list and refine your search

Toxics 13: PubMed40423426

2025

Response to Oxidative Stress Induced by Octahydro-1,3,5,7-tetranitro-1,3,5,7-tetrazocine in Differentiated PC12 Cells.

Applications

Unspecified application

Species

Unspecified reactive species

Cunzhi Li,Xiaoqiang Lv,Zhiyong Liu,Hui Deng,Ting Gao,Huan Li,Xinying Peng,Airong Qian,Junhong Gao,Lifang Hu

Nature 624:621-629 PubMed38049589

2023

Genetic risk converges on regulatory networks mediating early type 2 diabetes.

Applications

mIHC

Species

Human

John T Walker,Diane C Saunders,Vivek Rai,Hung-Hsin Chen,Peter Orchard,Chunhua Dai,Yasminye D Pettway,Alexander L Hopkirk,Conrad V Reihsmann,Yicheng Tao,Simin Fan,Shristi Shrestha,Arushi Varshney,Lauren E Petty,Jordan J Wright,Christa Ventresca,Samir Agarwala,Radhika Aramandla,Greg Poffenberger,Regina Jenkins,Shaojun Mei,Nathaniel J Hart,Sharon Phillips,Hakmook Kang,Dale L Greiner,Leonard D Shultz,Rita Bottino,Jie Liu,Jennifer E Below,Stephen C J Parker,Alvin C Powers,Marcela Brissova

Experimental and therapeutic medicine 25:176 PubMed37006878

2023

COL4A1 promotes the proliferation and migration of oral squamous cell carcinoma cells by binding to NID1.

Applications

Unspecified application

Species

Unspecified reactive species

Xiaobei Tian,Jian Sun,Changshun Li,Kun Zhang
View all publications

Product promise

We are committed to supporting your work with high-quality reagents, and we're here for you every step of the way. In the unlikely event that one of our products does not perform as expected, you're protected by our Product Promise.
For full details, please see our Terms & Conditions

Please note: All products are 'FOR RESEARCH USE ONLY. NOT FOR USE IN DIAGNOSTIC OR THERAPEUTIC PROCEDURES'.

For licensing inquiries, please contact partnerships@abcam.com