JavaScript is disabled in your browser. Please enable JavaScript to view this website.
AB223227

Anti-Collagen Type IV alpha 3 (COL4a3) antibody

Be the first to review this product! Submit a review

|

(2 Publications)

Goat Polyclonal Collagen Type IV alpha 3 (COL4a3) antibody. Suitable for IHC-P and reacts with Human samples. Cited in 1 publication. Immunogen corresponding to Synthetic Peptide within Human Collagen alpha-3(IV) chain aa 300-400.

View Alternative Names

Collagen alpha-3(IV) chain, Goodpasture antigen, COL4A3

1 Images
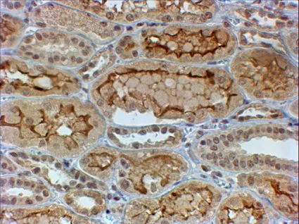
Immunohistochemistry (Formalin/PFA-fixed paraffin-embedded sections) - Anti-Collagen Type IV alpha 3 (COL4a3) antibody (AB223227)
  • IHC-P

Supplier Data

Immunohistochemistry (Formalin/PFA-fixed paraffin-embedded sections) - Anti-Collagen Type IV alpha 3 (COL4a3) antibody (AB223227)

Paraffin-embedded human kidney tissue stained for COL4A3 using ab223227 at 4 μg/ml in immunohistochemical analysis, followed by HRP-staining.

Key facts

Host species

Goat

Clonality

Polyclonal

Isotype

IgG

Carrier free

No

Reacts with

Human

Applications

IHC-P

applications

Immunogen

Synthetic Peptide within Human Collagen alpha-3(IV) chain aa 300-400. The exact immunogen used to generate this antibody is proprietary information.

Q01955

Reactivity data

{ "title": "Reactivity Data", "filters": { "stats": ["", "Species", "Dilution Info", "Notes"], "tabs": { "all-applications": {"fullname" : "All Applications", "shortname": "All Applications"}, "IHCP" : {"fullname" : "Immunohistochemistry (Formalin/PFA-fixed paraffin-embedded sections)", "shortname":"IHC-P"} }, "product-promise": { "all": "all", "testedAndGuaranteed": "tested", "guaranteed": "expected", "predicted": "predicted", "notRecommended": "not-recommended" } }, "values": { "Human": { "IHCP-species-checked": "testedAndGuaranteed", "IHCP-species-dilution-info": "4-6 µg/mL", "IHCP-species-notes": "<p></p> Perform heat-mediated antigen retrieval with citrate buffer pH 6 before commencing with IHC staining protocol." }, "Cow": { "IHCP-species-checked": "predicted", "IHCP-species-dilution-info": "", "IHCP-species-notes": "" }, "Dog": { "IHCP-species-checked": "predicted", "IHCP-species-dilution-info": "", "IHCP-species-notes": "" } } }

Properties and storage information

Form
Liquid
Purification technique
Affinity purification Immunogen
Purification notes
ab223227 was purified from goat serum by ammonium sulphate precipitation followed by antigen affinity chromatography using the immunizing peptide.
Storage buffer
pH: 7.3 Preservative: 0.02% Sodium azide Constituents: Tris buffered saline, 0.5% BSA
Shipped at conditions
Blue Ice
Appropriate short-term storage duration
1-2 weeks
Appropriate short-term storage conditions
+4°C
Appropriate long-term storage conditions
-20°C
Aliquoting information
Upon delivery aliquot
Storage information
Avoid freeze / thaw cycle

Product protocols

For this product, it's our understanding that no specific protocols are required. You can visit:

Target data

Type IV collagen is the major structural component of glomerular basement membranes (GBM), forming a 'chicken-wire' meshwork together with laminins, proteoglycans and entactin/nidogen.. Tumstatin, a cleavage fragment corresponding to the collagen alpha 3(IV) NC1 domain, possesses both anti-angiogenic and anti-tumor cell activity; these two anti-tumor properties may be regulated via RGD-independent ITGB3-mediated mechanisms.
See full target information Collagen alpha-3(IV) chain

Publications (2)

Recent publications for all applications. Explore the full list and refine your search

Translational cancer research 14:3690-3701 PubMed40687216

2025

CNTN1 promotes cell proliferation and metastasis in ovarian cancer through PSEN1.

Applications

Unspecified application

Species

Unspecified reactive species

Zhiying Qi,Yuqing Ji,Yanying Xu,Ruimeng Guo,Xuewang Guo,Yu Dou,Yingying Yue,Fang Wang

Frontiers in immunology 12:740047 PubMed34659232

2021

Novel Combination of Surface Markers for the Reliable and Comprehensive Identification of Human Thymic Epithelial Cells by Flow Cytometry: Quantitation and Transcriptional Characterization of Thymic Stroma in a Pediatric Cohort.

Applications

Unspecified application

Species

Unspecified reactive species

Veronika Haunerdinger,Maria Domenica Moccia,Lennart Opitz,Stefano Vavassori,Hitendu Dave,Mathias M Hauri-Hohl
View all publications

Product promise

We are committed to supporting your work with high-quality reagents, and we're here for you every step of the way. In the unlikely event that one of our products does not perform as expected, you're protected by our Product Promise.
For full details, please see our Terms & Conditions

Please note: All products are 'FOR RESEARCH USE ONLY. NOT FOR USE IN DIAGNOSTIC OR THERAPEUTIC PROCEDURES'.

For licensing inquiries, please contact partnerships@abcam.com