JavaScript is disabled in your browser. Please enable JavaScript to view this website.
AB85103

Anti-Collagen Type IV alpha 3 (COL4a3) antibody

Be the first to review this product! Submit a review

|

(1 Publication)

Rabbit Polyclonal Collagen Type IV alpha 3 (COL4a3) antibody. Suitable for IHC-P and reacts with Human samples. Immunogen corresponding to Synthetic Peptide within Human Collagen alpha-3(IV) chain aa 1400-1500.

View Alternative Names

Collagen alpha-3(IV) chain, Goodpasture antigen, COL4A3

1 Images
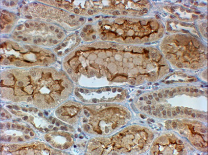
Immunohistochemistry (Formalin/PFA-fixed paraffin-embedded sections) - Anti-Collagen Type IV alpha 3 (COL4a3) antibody (AB85103)
  • IHC-P

Unknown

Immunohistochemistry (Formalin/PFA-fixed paraffin-embedded sections) - Anti-Collagen Type IV alpha 3 (COL4a3) antibody (AB85103)

ab85103 at 1/100 dilution staining COL4A3 in formalin-fixed, paraffin-embedded human kidney cells by immunohistochemistry.

Key facts

Host species

Rabbit

Clonality

Polyclonal

Isotype

IgG

Carrier free

No

Reacts with

Human

Applications

IHC-P

applications

Immunogen

Synthetic Peptide within Human Collagen alpha-3(IV) chain aa 1400-1500. The exact immunogen used to generate this antibody is proprietary information.

Q01955

Reactivity data

{ "title": "Reactivity Data", "filters": { "stats": ["", "Species", "Dilution Info", "Notes"], "tabs": { "all-applications": {"fullname" : "All Applications", "shortname": "All Applications"}, "IHCP" : {"fullname" : "Immunohistochemistry (Formalin/PFA-fixed paraffin-embedded sections)", "shortname":"IHC-P"} }, "product-promise": { "all": "all", "testedAndGuaranteed": "tested", "guaranteed": "expected", "predicted": "predicted", "notRecommended": "not-recommended" } }, "values": { "Human": { "IHCP-species-checked": "testedAndGuaranteed", "IHCP-species-dilution-info": "1/50 - 1/200", "IHCP-species-notes": "<p></p>" } } }

Properties and storage information

Form
Lyophilized
Reconstitution
reconstitute with water at 200µL
Purification technique
Affinity purification Immunogen
Storage buffer
pH: 7.2 Preservative: 0.02% Sodium azide Constituents: 2% BSA, 0.184% Tris glycine
Shipped at conditions
Blue Ice
Appropriate short-term storage conditions
+4°C
Appropriate long-term storage conditions
-20°C
Aliquoting information
Upon delivery aliquot
Storage information
Avoid freeze / thaw cycle

Product protocols

For this product, it's our understanding that no specific protocols are required. You can visit:

Target data

Type IV collagen is the major structural component of glomerular basement membranes (GBM), forming a 'chicken-wire' meshwork together with laminins, proteoglycans and entactin/nidogen.. Tumstatin, a cleavage fragment corresponding to the collagen alpha 3(IV) NC1 domain, possesses both anti-angiogenic and anti-tumor cell activity; these two anti-tumor properties may be regulated via RGD-independent ITGB3-mediated mechanisms.
See full target information Collagen alpha-3(IV) chain

Publications (1)

Recent publications for all applications. Explore the full list and refine your search

Frontiers in genetics 13:1002673 PubMed36267402

2022

Expression, oncological and immunological characterizations of BZW1/2 in pancreatic adenocarcinoma.

Applications

Unspecified application

Species

Unspecified reactive species

Jiachen Ge,Senmao Mu,Erwei Xiao,Guangjin Tian,Lianyuan Tao,Deyu Li
View all publications

Product promise

We are committed to supporting your work with high-quality reagents, and we're here for you every step of the way. In the unlikely event that one of our products does not perform as expected, you're protected by our Product Promise.
For full details, please see our Terms & Conditions

Please note: All products are 'FOR RESEARCH USE ONLY. NOT FOR USE IN DIAGNOSTIC OR THERAPEUTIC PROCEDURES'.

For licensing inquiries, please contact partnerships@abcam.com