JavaScript is disabled in your browser. Please enable JavaScript to view this website.
AB250255

Anti-Collagen VI alpha 2 antibody [EPR7889(N)] - BSA and Azide free

Be the first to review this product! Submit a review

|

(1 Publication)

Rabbit Recombinant Monoclonal CO6A2 antibody. Carrier free. Suitable for IHC-P, WB and reacts with Human samples. Cited in 1 publication.

View Alternative Names

Collagen alpha-2(VI) chain, COL6A2

2 Images
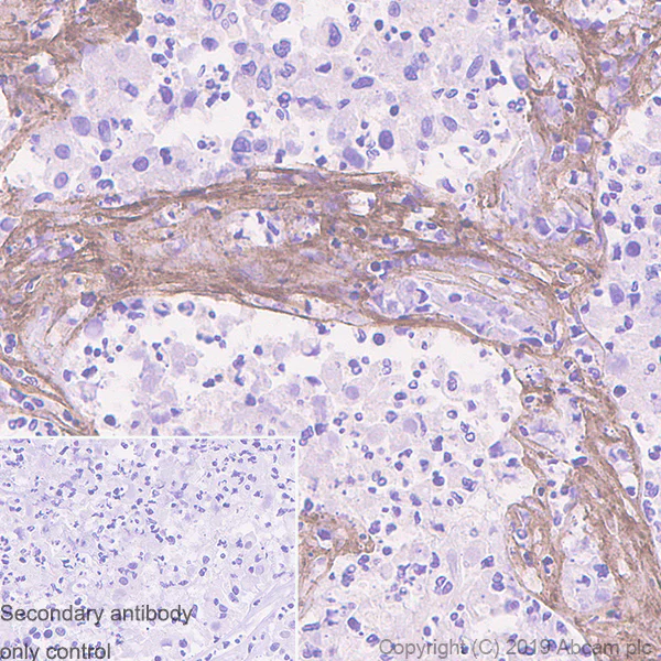
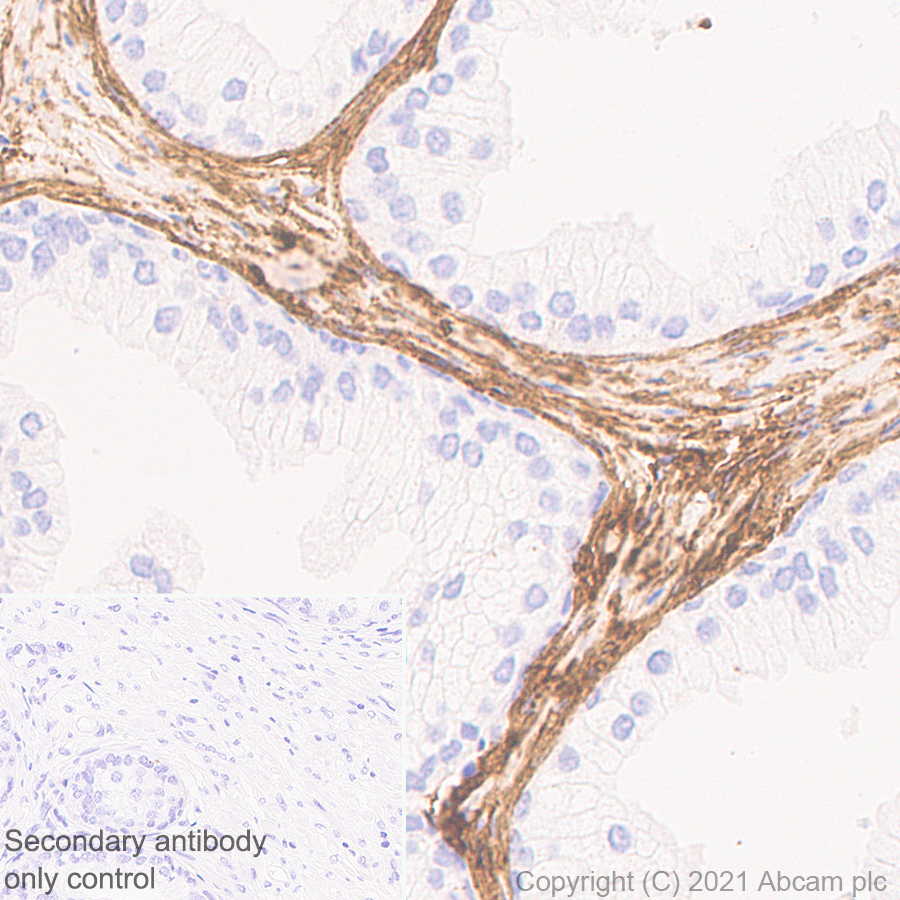
Immunohistochemistry (Formalin/PFA-fixed paraffin-embedded sections) - Anti-Collagen VI alpha 2 antibody [EPR7889(N)] - BSA and Azide free (AB250255)
  • IHC-P

Supplier Data

Immunohistochemistry (Formalin/PFA-fixed paraffin-embedded sections) - Anti-Collagen VI alpha 2 antibody [EPR7889(N)] - BSA and Azide free (AB250255)

This data was developed using ab180855, the same antibody clone in a different buffer formulation.
Immunohistochemistry (Formalin/PFA-fixed paraffin-embedded sections) analysis of human colon carcinoma tissue sections labeling Collagen VI alpha 2 with Purified ab180855 at 1 : 4000 dilution (0.413 µg/ml). Heat mediated antigen retrieval was performed using Heat mediated antigen retrieval using Bond™ Epitope Retrieval Solution 2 (pH 9.0) . Tissue was counterstained with Hematoxylin. Rabbit specific IHC polymer detection kit HRP/DAB (ab209101) secondary antibody was used. PBS instead of the primary antibody was used as the negative control.

Western blot - Anti-Collagen VI alpha 2 antibody [EPR7889(N)] - BSA and Azide free (AB250255)
  • WB

Unknown

Western blot - Anti-Collagen VI alpha 2 antibody [EPR7889(N)] - BSA and Azide free (AB250255)

This data was developed using ab180855, the same antibody clone in a different buffer formulation.

All lanes:

Western blot - Anti-Collagen VI alpha 2 antibody [EPR7889(N)] (<a href='/en-us/products/primary-antibodies/collagen-vi-alpha-2-antibody-epr7889n-ab180855'>ab180855</a>) at 1/1000 dilution

All lanes:

Human skin lysate at 20 µg

Secondary

All lanes:

Goat Anti-Rabbit IgG (HRP) with minimal cross-reactivity with human IgG at 1/2000 dilution

Predicted band size: 109 kDa

Observed band size: 140 kDa

false

Key facts

Host species

Rabbit

Clonality

Monoclonal

Clone number

EPR7889(N)

Isotype

IgG

Carrier free

Yes

Reacts with

Human

Applications

IHC-P, WB

applications

Immunogen

The exact immunogen used to generate this antibody is proprietary information.

Reactivity data

{ "title": "Reactivity Data", "filters": { "stats": ["", "Species", "Dilution Info", "Notes"], "tabs": { "all-applications": {"fullname" : "All Applications", "shortname": "All Applications"}, "IHCP" : {"fullname" : "Immunohistochemistry (Formalin/PFA-fixed paraffin-embedded sections)", "shortname":"IHC-P"}, "IP" : {"fullname" : "Immunoprecipitation", "shortname":"IP"}, "WB" : {"fullname" : "Western blot", "shortname":"WB"}, "ICCIF" : {"fullname" : "Immunocytochemistry/ Immunofluorescence", "shortname":"ICC/IF"} }, "product-promise": { "all": "all", "testedAndGuaranteed": "tested", "guaranteed": "expected", "predicted": "predicted", "notRecommended": "not-recommended" } }, "values": { "Human": { "IHCP-species-checked": "testedAndGuaranteed", "IHCP-species-dilution-info": "1/4000", "IHCP-species-notes": "<p>For unpurified form, use 1/500 - 1/1000 dilution</p>", "IP-species-checked": "notRecommended", "IP-species-dilution-info": "", "IP-species-notes": "<p></p>", "WB-species-checked": "testedAndGuaranteed", "WB-species-dilution-info": "1/1000", "WB-species-notes": "<p></p>", "ICCIF-species-checked": "notRecommended", "ICCIF-species-dilution-info": "", "ICCIF-species-notes": "<p></p>" } } }

Product details

ab250255 is the carrier-free version of ab180855.

Patented technology
Our RabMAb® technology is a patented hybridoma-based technology for making rabbit monoclonal antibodies. For details on our patents, please refer to RabMAb® patents.

What are the advantages of a recombinant monoclonal antibody?
This product is a recombinant monoclonal antibody, which offers several advantages including:

  • - High batch-to-batch consistency and reproducibility
  • - Improved sensitivity and specificity
  • - Long-term security of supply
  • - Animal-free batch production

For more information, read more on recombinant antibodies.

Species reactivity
Rat: We have preliminary internal testing data to indicate this antibody may not react with this species.
Please contact us for more information.

Conjugation ready
Our carrier-free antibodies are typically supplied in a PBS-only formulation, purified and free of BSA, sodium azide and glycerol. This conjugation-ready format is designed for use with fluorochromes, metal isotopes, oligonucleotides, and enzymes, which makes them ideal for antibody labelling, functional and cell-based assays, flow-based assays (e.g. mass cytometry) and Multiplex Imaging applications.

Use our conjugation kits for antibody conjugates that are ready-to-use in as little as 20 minutes with 1 minute hands-on-time and 100% antibody recovery: available for fluorescent dyes, HRP, biotin and gold.

Compatibility
This product is compatible with the Maxpar® Antibody Labeling Kit from Fluidigm, without the need for antibody preparation. Maxpar® is a trademark of Fluidigm Canada Inc.

Properties and storage information

Form
Liquid
Purification technique
Affinity purification Protein A
Storage buffer
pH: 7.2 - 7.4 Constituents: PBS
Shipped at conditions
Blue Ice
Appropriate short-term storage conditions
+4°C
Appropriate long-term storage conditions
+4°C
Storage information
Do Not Freeze

Supplementary information

This supplementary information is collated from multiple sources and compiled automatically.

Collagen VI alpha 2 also known as COL6A2 or anti-collagen VI is a protein that is an essential component of the extracellular matrix. It forms a part of the collagen VI complex which is important for connective tissue stability and function. COL6A2 has a molecular mass of approximately 130 kDa. It is widely expressed in various tissues including muscle skin and the basement membrane of blood vessels indicating its diverse functional role.
Biological function summary

The COL6A2 protein contributes to maintaining tissue integrity and resilience. It forms a beaded filament structure as part of a collagen VI tetramer when combined with other alpha chains (alpha 1 and alpha 3). These interactions at the molecular level help to provide tensile strength and structural support to many tissues especially in muscle where it impacts elasticity and repair mechanisms.

Pathways

COL6A2 and its associated complex participate in the extracellular matrix organization and cell adhesion pathways. In these processes it interacts with proteins such as integrins and laminins which are important for cellular attachment and communication. Such pathways underline the significant roles COL6A2 plays in maintaining normal tissue architecture and cellular environments.

The COL6A2 protein has strong associations with conditions like myosclerosis and Bethlem myopathy. Mutations or dysfunctions in the COL6A2 gene can disrupt the extracellular matrix leading to musculoskeletal disorders. It also shows interactions with other proteins like dystrophin in these pathological states emphasizing its involvement in muscular integrity and function.

Product protocols

For this product, it's our understanding that no specific protocols are required. You can visit:

Target data

Collagen VI acts as a cell-binding protein.
See full target information Collagen alpha-2(VI) chain

Publications (1)

Recent publications for all applications. Explore the full list and refine your search

OncoTargets and therapy 13:13315-13327 PubMed33408482

2020

Circ_0001175 Promotes Hepatocellular Carcinoma Cell Proliferation and Metastasis by Regulating miR-130a-5p.

Applications

Unspecified application

Species

Unspecified reactive species

Liheng Li,Ke He,Siliang Chen,Wenjiang Wei,Zuofu Tian,Yinghong Tang,Chengjiang Xiao,Guoan Xiang
View all publications

Product promise

We are committed to supporting your work with high-quality reagents, and we're here for you every step of the way. In the unlikely event that one of our products does not perform as expected, you're protected by our Product Promise.
For full details, please see our Terms & Conditions

Please note: All products are 'FOR RESEARCH USE ONLY. NOT FOR USE IN DIAGNOSTIC OR THERAPEUTIC PROCEDURES'.

For licensing inquiries, please contact partnerships@abcam.com