JavaScript is disabled in your browser. Please enable JavaScript to view this website.
AB182744

Anti-Collagen VI antibody [EPR17072]

  • BOND RX™ Validated
  • 20ul selling size
  • RabMAb
  • Advanced Validation
  • Recombinant
  • KO Validated
  • What is this?

5

(5 Reviews)

|

(48 Publications)

Anti-Collagen VI antibody [EPR17072] (ab182744) is a rabbit monoclonal antibody detecting Collagen VI in Western Blot, IHC-P, ICC/IF, mIHC. Suitable for Human, Mouse, Rat.

- KO validated for confirmed specificity
- Multiplex IHC validated on the Leica BOND® MAX using Opal reagents
- Biophysical QC for unrivalled batch-batch consistency
- Over 30 publications

View Alternative Names

Collagen alpha-1(VI) chain, COL6A1

17 Images
Immunohistochemistry (Formalin/PFA-fixed paraffin-embedded sections) - Anti-Collagen VI antibody [EPR17072] (AB182744)
  • IHC-P

Supplier Data

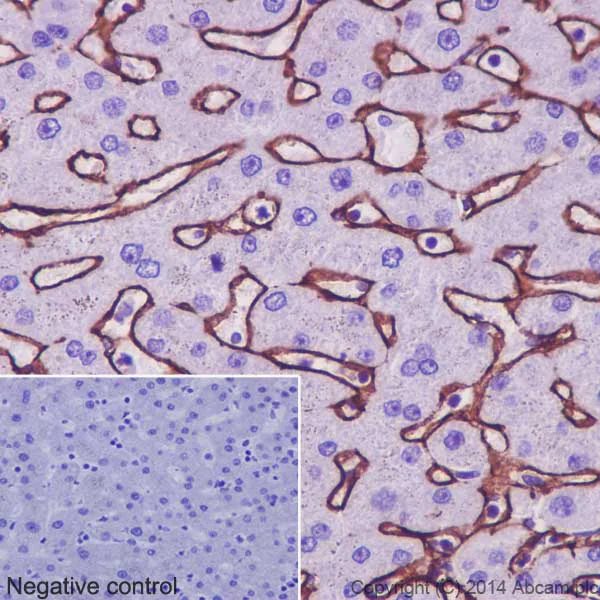
Immunohistochemistry (Formalin/PFA-fixed paraffin-embedded sections) - Anti-Collagen VI antibody [EPR17072] (AB182744)

Immunohistochemical analysis of paraffin-embedded Human liver tissue labeling Collagen VI with ab182744 at 1/250 dilution followed by prediluted HRP Polymer for Rabbit/Mouse IgG. Positive staining around sinusoidal endothelial basement membranes is observed. Counter stained with Hematoxylin.

Negative control : Using PBS instead of primary ab secondary ab is prediluted HRP Polymer for Rabbit/Mouse IgG.

Heat mediated antigen retrieval was performed with Tris/EDTA buffer pH 9.0 before commencing with IHC staining protocol.

Multiplex immunohistochemistry - Anti-Collagen VI antibody [EPR17072] (AB182744)
  • mIHC

Lab

Multiplex immunohistochemistry - Anti-Collagen VI antibody [EPR17072] (AB182744)

Fluorescence multiplex immunohistochemical analysis of human prostate gland tissue (formalin/PFA-fixed paraffin-embedded section). Panel A : merged staining of anti-Collagen VI (ab271938, magenta; Opal™690), anti-Cytokeratin 5 (ab236216, green; Opal™520) and anti-Prostate Specific Antigen (ab76113, red; Opal™570) on human prostate gland tissue. Panel B : anti-Prostate Specific Antigen stained on luminal cells. Panel C : anti-Cytokeratin 5 stained on basal cells. Panel D : anti-Collagen VI stained on stroma. Opal Polymer HRP Ms + Rb was used as a secondary antibody. The immunostaining was performed on a Leica Biosystems BOND® RX instrument with an Opal™ 4-color kit. The section was incubated in three rounds of staining : in the order of ab271938 (1/500), ab236216 (1/400), and ab76113 (1/2000) for 30 mins at room temperature. Each round was followed by a separate fluorescent tyramide signal amplification system. Each round was followed by a separate fluorescent tyramide signal amplification system. Heat mediated antigen retrieval with Tris-EDTA buffer (pH 9.0, epitope retrieval solution 2) was used for 20 mins. DAPI (blue) was used as a nuclear counter stain. Image acquisition was performed with Leica SP8 confocal microscope.

Multiplex immunohistochemistry - Anti-Collagen VI antibody [EPR17072] (AB182744)
  • mIHC

Lab

Multiplex immunohistochemistry - Anti-Collagen VI antibody [EPR17072] (AB182744)

Multiplex immunohistochemistry (Formalin/PFA-fixed paraffin-embedded sections) analysis of human liver tissue.

Panel A : Merged staining of Collagen VI (ab182744; green) anti-CD68 (ab213363; red) and anti-Lamin B1 (ab229025; magenta).

Panel B : Anti-Collagen VI (green) stained on extracellular matrix.

Panel C : Anti-CD68 (red) stained on Kupffer cells.

Panel D : Anti-Lamin B1 (magenta) stained on nuclear envelope.

Key protocol steps : The section was incubated in three rounds of staining with ab182744 (1/1000 dilution) ab213363 (1/1000 dilution) and ab229025 (1/4000 dilution) for 30 mins at room temperature. Each round was followed by tyramide signal amplification with the appropriate fluorophore.

The immunostaining was performed on a Leica Biosystems BOND® RX instrument.

DAPI was used as a nuclear counter stain. A ready-to-use anti-Rabbit and Mouse Polymer HRP was used as a secondary.

Heat mediated antigen retrieval was performed with Tris/EDTA buffer pH 9.0 before commencing with IHC staining protocol.

Multiplex immunohistochemistry - Anti-Collagen VI antibody [EPR17072] (AB182744)
  • mIHC

Supplier Data

Multiplex immunohistochemistry - Anti-Collagen VI antibody [EPR17072] (AB182744)

Fluorescence multiplex immunohistochemical analysis of human adrenal gland (formalin-fixed paraffin-embedded section). Panel A shows merged staining of anti-PCSK2 stained on adrenal medulla (ab274418; gray; Opal™690) at 1 : 2000 (0.263 μg/ml) [Panel B], anti-CYP11A1 stained on adrenal cortex (ab272494; green; Opal™520) at 1 : 10000 (0.053 μg/ml) [Panel C], and anti-Collagen VI stained on extracellular matrix (ab182744; red; Opal™570) at 1 : 1000 (1.518 μg/ml) [Panel D] on human adrenal gland. DAPI was used as a nuclear counter stain. Followed by Opal Polymer HRP Ms + Rb secondary antibody. The immunostaining was performed on a Leica Biosystems BOND® RX instrument with an Opal™ 4-color kit. Image acquisition was performed with Leica SP8 confocal microscope. The section was incubated in three rounds of staining : in the order of ab274418, ab272494, and ab182744 for 30 mins at room temperature. Each round was followed by a separate fluorescent tyramide signal amplification system. Heat mediated antigen retrieval with Tris-EDTA buffer (pH 9.0, epitope retrieval solution2) for 20 mins was used.

Multiplex immunohistochemistry - Anti-Collagen VI antibody [EPR17072] (AB182744)
  • mIHC

Lab

Multiplex immunohistochemistry - Anti-Collagen VI antibody [EPR17072] (AB182744)

This data was developed using the same antibody clone in a different buffer formulation (ab271938). Immunohistochemistry (Formalin/PFA-fixed paraffin-embedded sections) analysis of Human breast labelling Cytokeratin 18 with ab93741 at 1/200 dilution (1.02 µg/mL) (B), Collagen VI with ab271938 at 1/500 dilution (2.084 μg/ml) (C) and Cytokeratin 14 with ab236439 at 1/2000 dilution ( 0.519 μg/ml) (D). Opal Polymer HRP Ms + Rb was used as a secondary antibody, and DAPI was used for a nuclear counter stain. Heat mediated antigen retrieval with Citrate buffer (pH 6.0, epitope retrieval solution 1) for 20 mins. Panel A : merged staining of anti-Cytokeratin 14 (magenta; Opal™690), anti-Cytokeratin 18 (green; Opal™520) and anti-Collagen VI (red; Opal™570) on human breast. Panel B : anti-Cytokeratin 18 stained on luminal epithelial cells. Panel C : anti-Collagen VI stained on stroma. Panel D : anti-Cytokeratin 14 stained on myoepithelial cells. The section was incubated in three rounds of staining : in the order of ab236439 for 30 mins, ab93741 for 10 mins, and ab271938 for 30 mins at room temperature. Each round was followed by a separate fluorescent tyramide signal amplification system. The immunostaining was performed on a Leica Biosystems BOND® RX instrument with an Opal™ 4-color kit. Image acquisition was performed with Leica SP8 confocal microscope.

Immunohistochemistry (Formalin/PFA-fixed paraffin-embedded sections) - Anti-Collagen VI antibody [EPR17072] (AB182744)
  • IHC-P

Supplier Data

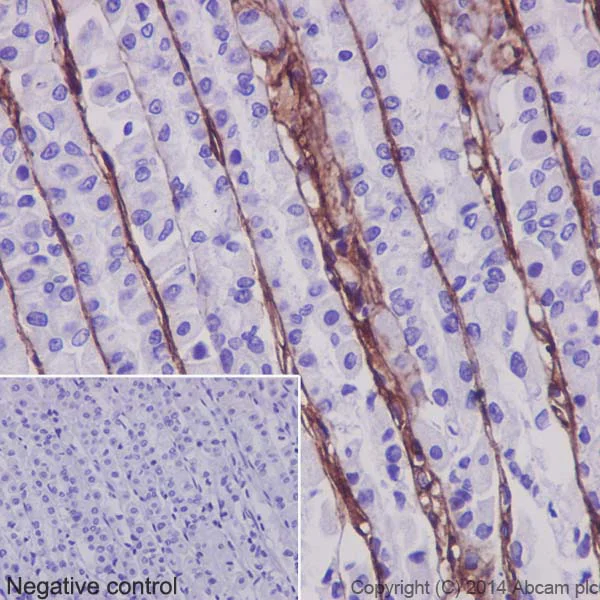
Immunohistochemistry (Formalin/PFA-fixed paraffin-embedded sections) - Anti-Collagen VI antibody [EPR17072] (AB182744)

Immunohistochemical analysis of paraffin-embedded Human cardiac muscle tissue labeling Collagen VI with ab182744 at 1/250 dilution followed by prediluted HRP Polymer for Rabbit/Mouse IgG. Positive staining on Human cardiac sarcolemma and interstitium is observed. Counter stained with Hematoxylin.

Negative control : Using PBS instead of primary ab secondary ab is prediluted HRP Polymer for Rabbit/Mouse IgG.

Heat mediated antigen retrieval was performed with Tris/EDTA buffer pH 9.0 before commencing with IHC staining protocol.

Immunocytochemistry/ Immunofluorescence - Anti-Collagen VI antibody [EPR17072] (AB182744)
  • ICC/IF

Supplier Data

Immunocytochemistry/ Immunofluorescence - Anti-Collagen VI antibody [EPR17072] (AB182744)

Immunofluorescent analysis of 4% paraformaldehyde-fixed 0.1% Triton X-100 permeabilized HeLa (Human epithelial cells from cervix adenocarcinoma) cells labeling Collagen VI with ab182744 at 1/200 dilution followed by Goat anti-rabbit IgG (Alexa Fluor® 488) (ab150077) secondary antibody at 1/400 dilution (green). Cytoplasm staining on HeLa cell line is observed. The nuclear counter stain is DAPI (blue). Tubulin is detected with ab7291 (anti-Tubulin mouse mAb) at 1/500 dilution and ab150120 (AlexaFluor®594 Goat anti-Mouse secondary) at 1/500 dilution (red).

The negative controls are as follows : -

-ve control1 - ab182744 at 1/200 dilution followed by ab150120 (AlexaFluor®594 Goat anti-Mouse secondary) at 1/500 dilution.
-ve control 2 - ab7291 (anti-Tubulin mouse mAb) at 1/500 dilution followed by ab150077 (Alexa Fluor®488 Goat Anti-Rabbit IgG H&L) at 1/400 dilution.

Multiplex immunohistochemistry - Anti-Collagen VI antibody [EPR17072] (AB182744)
  • mIHC

Lab

Multiplex immunohistochemistry - Anti-Collagen VI antibody [EPR17072] (AB182744)

Multiplex immunohistochemistry analysis of formalin/PFA-fixed paraffin-embedded rat ovary tissue staining AMH with ab272221 at a 1 : 2000 (0.26 μg/ml) dilution, ab182744 Collagen VI used at 1 : 2000 (0.76 ug/ml) dilution and ab270534 DDX4 / MVH used at 1 : 5000 (0.1 μg/ml) dilution.

Panel A : merged staining of anti-AMH (green; Opal™570), anti-Collagen VI (magenta; Opal™690) and anti-DDX4 / MVH (gray; Opal™570) on rat ovary.

Panel B : anti-AMH staining granulosa cells in rat ovary.

Panel C : ant-Collagen VI staining stroma in rat ovary.

Panel D : ant-DDX4 / MVH staining oocytes in rat ovary.

Nuclear DNA was labelled with DAPI (shown in blue).

The section was incubated in three rounds of staining : in the order of ab272221, ab182744 and ab270534 for 30 mins at room temperature. Each round was followed by a separate fluorescent tyramide signal amplification system.

The immunostaining was performed on a Leica Biosystems BOND® RX instrument with an Opal™ 4-color kit. Image acquisition was performed with Leica SP8 confocal microscope.

Heat mediated antigen retrieval was performed with Tris-EDTA buffer (pH 9.0, Epitope Retrieval Solution2) for 20 mins.

Immunohistochemistry (Formalin/PFA-fixed paraffin-embedded sections) - Anti-Collagen VI antibody [EPR17072] (AB182744)
  • IHC-P

Supplier Data

Immunohistochemistry (Formalin/PFA-fixed paraffin-embedded sections) - Anti-Collagen VI antibody [EPR17072] (AB182744)

Immunohistochemical analysis of paraffin-embedded Rat stomach tissue labeling Collagen VI with ab182744 at 1/250 dilution followed by prediluted HRP Polymer for Rabbit/Mouse IgG. Positive staining around Rat gastric epithelial basement membranes is observed. Counter stained with Hematoxylin.

Negative control : Using PBS instead of primary ab secondary ab is prediluted HRP Polymer for Rabbit/Mouse IgG.

Heat mediated antigen retrieval was performed with Tris/EDTA buffer pH 9.0 before commencing with IHC staining protocol.

Immunohistochemistry (Formalin/PFA-fixed paraffin-embedded sections) - Anti-Collagen VI antibody [EPR17072] (AB182744)
  • IHC-P

Supplier Data

Immunohistochemistry (Formalin/PFA-fixed paraffin-embedded sections) - Anti-Collagen VI antibody [EPR17072] (AB182744)

Immunohistochemical analysis of paraffin-embedded Mouse kidney tissue labeling Collagen VI with ab182744 at 1/250 dilution followed by prediluted HRP Polymer for Rabbit/Mouse IgG. Positive staining around basement membranes of Mouse renal tubules is observed. Counter stained with Hematoxylin.

Negative control : Using PBS instead of primary ab secondary ab is prediluted HRP Polymer for Rabbit/Mouse IgG.

Heat mediated antigen retrieval was performed with Tris/EDTA buffer pH 9.0 before commencing with IHC staining protocol.

Multiplex immunohistochemistry - Anti-Collagen VI antibody [EPR17072] (AB182744)
  • mIHC

Lab

Multiplex immunohistochemistry - Anti-Collagen VI antibody [EPR17072] (AB182744)

Multiplex immunohistochemistry analysis of formalin/PFA-fixed paraffin-embedded mouse ovary tissue staining AMH with ab272221 at a 1 : 2000 (0.26 μg/ml) dilution, ab182744 Collagen VI used at 1 : 2000 (0.76 ug/ml) dilution and ab270534 DDX4 / MVH used at 1 : 5000 (0.1 μg/ml) dilution.

Panel A : merged staining of anti-AMH (green; Opal™570), anti-Collagen VI (magenta; Opal™690) and anti-DDX4 / MVH (gray; Opal™570) on mouse ovary.

Panel B : anti-AMH staining granulosa cells in mouse ovary.

Panel C : ant-Collagen VI staining stroma in mouse ovary.

Panel D : ant-DDX4 / MVH staining oocytes in mouse ovary.

Nuclear DNA was labelled with DAPI (shown in blue).

The section was incubated in three rounds of staining : in the order of ab272221, ab182744 and ab270534 for 30 mins at room temperature. Each round was followed by a separate fluorescent tyramide signal amplification system.

The immunostaining was performed on a Leica Biosystems BOND® RX instrument with an Opal™ 4-color kit. Image acquisition was performed with Leica SP8 confocal microscope.

Heat mediated antigen retrieval was performed with Tris-EDTA buffer (pH 9.0, Epitope Retrieval Solution2) for 20 mins.

Multiplex immunohistochemistry - Anti-Collagen VI antibody [EPR17072] (AB182744)
  • mIHC

Lab

Multiplex immunohistochemistry - Anti-Collagen VI antibody [EPR17072] (AB182744)

This data was developed using ab271938, the same antibody clone in a different buffer formulation.

Immunohistochemistry analysis of Formalin/PFA-fixed paraffin-embedded sections Mouse Prostate tissue labelling E Cadherin with ab324191 at 1 : 500 dilution (B), Cytokeratin 5 with ab236216 at 1 : 1500 dilution (C) and Collagen VI with ab271938 at 1 : 2000 dilution (D). Opal Polymer HRP Ms + Rb was used as a secondary antibody, and DAPI was used for a nuclear counter stain. Heat mediated antigen retrieval with Tris-EDTA buffer (pH 9.0, epitope retrieval solution2) for 20 mins.

Panel A : merged staining of anti-E Cadherin (green; Opal™690), anti-Cytokeratin 5 (magenta; Opal™520) and anti-Collagen VI (gray; Opal™570) on mouse prostate.

Panel B : anti-E Cadherin staining epithelium in mouse prostate.

Panel C : ant-Cytokeratin 5 staining basal cells in mouse prostate.

Panel D : ant-Collagen VI staining stoma in mouse prostate.

Nuclear DNA was labelled with DAPI (shown in blue).

The section was incubated in three rounds of staining : in the order of ab324191, ab236216 and ab271938 for 30 mins at room temperature. Each round was followed by a separate fluorescent tyramide signal amplification system.

The immunostaining was performed on a Leica Biosystems BOND® RX instrument with an Opal™ 4-color kit. Image acquisition was performed with Leica SP8 confocal microscope.

Western blot - Anti-Collagen VI antibody [EPR17072] (AB182744)
  • WB

Supplier Data

Western blot - Anti-Collagen VI antibody [EPR17072] (AB182744)

Blocking/Dilution buffer : 5% NFDM/TBST.

Due to posttranslational modifications, observed MW is greater than the predicted MW.

All lanes:

Western blot - Anti-Collagen VI antibody [EPR17072] (ab182744) at 1/2000 dilution

Lane 1:

Human fetal brain lysate at 10 µg

Lane 2:

Human fetal heart lysate at 10 µg

Lane 3:

Human fetal kidney lysate at 10 µg

Lane 4:

Human fetal spleen lysate at 10 µg

Secondary

All lanes:

Anti-Rabbit IgG (HRP), specific to the non-reduced form of IgG at 1/1000 dilution

Predicted band size: 109 kDa

Observed band size: 147 kDa

false

Western blot - Anti-Collagen VI antibody [EPR17072] (AB182744)
  • WB

Supplier Data

Western blot - Anti-Collagen VI antibody [EPR17072] (AB182744)

Blocking/Dilution buffer : 5% NFDM/TBST.

Due to posttranslational modifications, observed MW is greater than the predicted MW.

All lanes:

Western blot - Anti-Collagen VI antibody [EPR17072] (ab182744) at 1/20000 dilution

Lane 1:

Human skeletal muscle lysate at 20 µg

Lane 2:

WI-38 (Human fetal lung fibroblast cells) whole cell lysate at 20 µg

Lane 3:

Human placenta lysate at 20 µg

Secondary

All lanes:

Anti-Rabbit IgG (HRP), specific to the non-reduced form of IgG at 1/1000 dilution

Predicted band size: 109 kDa

Observed band size: 147 kDa

false

Western blot - Anti-Collagen VI antibody [EPR17072] (AB182744)
  • WB

Unknown

Western blot - Anti-Collagen VI antibody [EPR17072] (AB182744)

Lanes 1 - 3 : Merged signal (red and green). Green - ab182744 observed at 109 kDa. Red - loading control, ab9484, observed at 37 kDa.

ab182744 was shown to recognize Collagen VI in wild-type HEK293 cells as signal was lost at the expected MW in COL6A1 knockout cells. Additional cross-reactive bands were observed in the wild-type and knockout cells. Wild-type and COL6A1 knockout samples were subjected to SDS-PAGE. ab182744 and ab9484 (Mouse anti-GAPDH loading control) were incubated overnight at 4°C at 1/2000 dilution and 1/20000 dilution respectively. Blots were developed with Goat anti-Rabbit IgG H&L (IRDye® 800CW) preabsorbed ab216773 and Goat anti-Mouse IgG H&L (IRDye® 680RD) preabsorbed ab216776 secondary antibodies at 1/20000 dilution for 1 hour at room temperature before imaging.

All lanes:

Western blot - Anti-Collagen VI antibody [EPR17072] (ab182744)

Lane 1:

Wild-type HEK293 whole cell lysate at 20 µg

Lane 2:

COL6A1 knockout HEK293 whole cell lysate at 20 µg

Lane 3:

Human Skeletal Muscle whole cell lysate at 20 µg

Predicted band size: 105 kDa,109 kDa

false

Western blot - Anti-Collagen VI antibody [EPR17072] (AB182744)
  • WB

Lab

Western blot - Anti-Collagen VI antibody [EPR17072] (AB182744)

Lanes 1-3 : Merged signal (red and green). Green - ab182744 observed at 136 kDa. Red - loading control ab8245 observed at 36 kDa.

ab182744 Anti-Collagen VI antibody [EPR17072] was shown to specifically react with Collagen VI antibody in wild-type HEK293T cells. Loss of signal was observed when knockout cell line ab265060 (knockout cell lysate ab256879) was used. Wild-type and Collagen VI antibody knockout samples were subjected to SDS-PAGE. ab182744 and Anti-GAPDH antibody [6C5] - Loading Control (ab8245) were incubated at room temperature for 2. 5 hours at 1 in 1000 dilution and 1 in 20000 dilution respectively. Blots were developed with Goat anti-Rabbit IgG H&L (IRDye® 800CW) preadsorbed (ab216773) and Goat anti-Mouse IgG H&L (IRDye® 680RD) preadsorbed (ab216776) secondary antibodies at 1 in 20000 dilution for 1 hour at room temperature before imaging.

All lanes:

Western blot - Anti-Collagen VI antibody [EPR17072] (ab182744) at 1/1000 dilution

Lane 1:

Wild-type HEK293T cell lysate at 20 µg

Lane 2:

COL6A1 knockout HEK293T cell lysate at 20 µg

Lane 2:

Western blot - Human COL6A1 knockout HEK-293T cell line (<a href='/en-us/products/cell-lines/human-col6a1-knockout-hek-293t-cell-line-ab265060'>ab265060</a>)

Lane 3:

Human skeletal muscle tissue lysate at 20 µg

Secondary

All lanes:

Western blot - Goat anti-Rabbit IgG H&L (IRDye® 800CW) preadsorbed (<a href='/en-us/products/secondary-antibodies/goat-rabbit-igg-h-l-irdye-800cw-preadsorbed-ab216773'>ab216773</a>) at 1/10000 dilution

Predicted band size: 109 kDa

Observed band size: 136 kDa

false

Western blot - Anti-Collagen VI antibody [EPR17072] (AB182744)
  • WB

Supplier Data

Western blot - Anti-Collagen VI antibody [EPR17072] (AB182744)

Blocking/Dilution buffer : 5% NFDM/TBST.

Due to posttranslational modifications, observed MW is greater than the predicted MW.

All lanes:

Western blot - Anti-Collagen VI antibody [EPR17072] (ab182744) at 1/2000 dilution

Lane 1:

Mouse heart lysate at 10 µg

Lane 2:

Mouse kidney lysate at 10 µg

Lane 3:

Mouse spleen lysate at 10 µg

Lane 4:

Rat kidney lysate at 10 µg

Lane 5:

Rat spleen lysate at 10 µg

Lane 6:

NIH/3T3 (Mouse embyro fibroblast cells) whole cell lysate at 10 µg

Secondary

All lanes:

Goat Anti-Rabbit IgG, (H+L),Peroxidase conjugated at 1/1000 dilution

Predicted band size: 109 kDa

Observed band size: 147 kDa

false

  • Carrier free

    Anti-Collagen VI antibody [EPR17072] - Low endotoxin, Azide free

  • Carrier free

    Anti-Collagen VI antibody [EPR17072] - BSA and Azide free

  • 665 Alexa Fluor® 647

    Alexa Fluor® 647 Anti-Collagen VI antibody [EPR17072]

  • HRP

    HRP Anti-Collagen VI antibody [EPR17072]

  • 519 Alexa Fluor® 488

    Alexa Fluor® 488 Anti-Collagen VI antibody [EPR17072]

Key facts

Host species

Rabbit

Clonality

Monoclonal

Clone number

EPR17072

Isotype

IgG

Carrier free

No

Reacts with

Mouse, Rat, Human

Applications

ICC/IF, mIHC, WB, IHC-P

applications

Immunogen

The exact immunogen used to generate this antibody is proprietary information.

Reactivity data

{ "title": "Reactivity Data", "filters": { "stats": ["", "Species", "Dilution Info", "Notes"], "tabs": { "all-applications": {"fullname" : "All Applications", "shortname": "All Applications"}, "WB" : {"fullname" : "Western blot", "shortname":"WB"}, "ICCIF" : {"fullname" : "Immunocytochemistry/ Immunofluorescence", "shortname":"ICC/IF"}, "mIHC" : {"fullname" : "Multiplex immunohistochemistry", "shortname":"mIHC"}, "IHCP" : {"fullname" : "Immunohistochemistry (Formalin/PFA-fixed paraffin-embedded sections)", "shortname":"IHC-P"} }, "product-promise": { "all": "all", "testedAndGuaranteed": "tested", "guaranteed": "expected", "predicted": "predicted", "notRecommended": "not-recommended" } }, "values": { "Human": { "WB-species-checked": "testedAndGuaranteed", "WB-species-dilution-info": "1/2000", "WB-species-notes": "<p></p>", "ICCIF-species-checked": "testedAndGuaranteed", "ICCIF-species-dilution-info": "1/200", "ICCIF-species-notes": "<p></p>", "mIHC-species-checked": "testedAndGuaranteed", "mIHC-species-dilution-info": "1/500 - 1/1000", "mIHC-species-notes": "<p></p> Perform heat-mediated antigen retrieval with Tris/EDTA buffer pH 9.0 before commencing with IHC staining protocol.", "IHCP-species-checked": "testedAndGuaranteed", "IHCP-species-dilution-info": "1/250", "IHCP-species-notes": "<p></p> Perform heat-mediated antigen retrieval with Tris/EDTA buffer pH 9.0 before commencing with IHC staining protocol." }, "Mouse": { "WB-species-checked": "testedAndGuaranteed", "WB-species-dilution-info": "1/2000", "WB-species-notes": "<p></p>", "ICCIF-species-checked": "guaranteed", "ICCIF-species-dilution-info": "", "ICCIF-species-notes": "", "mIHC-species-checked": "testedAndGuaranteed", "mIHC-species-dilution-info": "1/2000", "mIHC-species-notes": "<p></p>", "IHCP-species-checked": "testedAndGuaranteed", "IHCP-species-dilution-info": "1/250", "IHCP-species-notes": "<p></p> Perform heat-mediated antigen retrieval with Tris/EDTA buffer pH 9.0 before commencing with IHC staining protocol." }, "Rat": { "WB-species-checked": "guaranteed", "WB-species-dilution-info": "", "WB-species-notes": "", "ICCIF-species-checked": "guaranteed", "ICCIF-species-dilution-info": "", "ICCIF-species-notes": "", "mIHC-species-checked": "testedAndGuaranteed", "mIHC-species-dilution-info": "1/2000", "mIHC-species-notes": "<p></p>", "IHCP-species-checked": "testedAndGuaranteed", "IHCP-species-dilution-info": "1/250", "IHCP-species-notes": "<p></p> Perform heat-mediated antigen retrieval with Tris/EDTA buffer pH 9.0 before commencing with IHC staining protocol." } } }

Product details

What is this antibody validated in?
Anti-Collagen VI antibody [EPR17072] (ab182744) is a rabbit recombinant monoclonal antibody and is validated for use in Western Blot (WB), Immunohistochemistry (IHC-P), Immunocytochemistry/immunofluorescence (ICC/IF), Multiplex IHC (mIHC) in Human, Mouse, Rat samples.

What is the molecular weight of Collagen VI?
Anti-Collagen VI [EPR17072] (ab182744) specifically detects a band for Collagen VI (UniProt: P12109) at a molecular weight of 109kDa.

Trusted by the scientific community
Anti-Collagen VI [EPR17072] (ab182744) was first used in a scientific publication in 2014 and has been cited over 30 times in peer-reviewed journals.

Reviewed by scientists
Anti-Collagen VI [EPR17072] (ab182744) has over 5 independent reviews from customers.

Trial sizes available!
Test your antibody or perform pre-screening before committing to a larger quantity. Sold in 10µl. Discover our selection of trial-size antibodies.

Specificity confirmed
The specificity of Anti-Collagen VI antibody [EPR17072] (ab182744) has been confirmed by Western blot testing in COL6A1 Knockout HEK-293 cells.

Other related products
We have a range of other formats of antibody clone [EPR17072] also available for your convenience: ab182744, Alexa Fluor® 488 - ab200429, Alexa Fluor® 647 - ab200430, HRP - ab200596, Alexa Fluor® 594 - ab207292, Carrier free - ab229450, Carrier free - ab271938

Patented technology
Our RabMAb® technology is a patented hybridoma-based technology for making rabbit monoclonal antibodies. For details on our patents, please refer to RabMAb® patents.

What are the advantages of a recombinant monoclonal antibody?
This product is a recombinant monoclonal antibody, which offers several advantages including:

  • - High batch-to-batch consistency and reproducibility
  • - Improved sensitivity and specificity
  • - Long-term security of supply
  • - Animal-free batch production

For more information, read more on recombinant antibodies.

Properties and storage information

Form
Liquid
Purification technique
Affinity purification Protein A
Storage buffer
pH: 7.2 Preservative: 0.01% Sodium azide Constituents: PBS, 40% Glycerol (glycerin, glycerine), 0.05% BSA
Shipped at conditions
Blue Ice
Appropriate short-term storage duration
1-2 weeks
Appropriate short-term storage conditions
+4°C
Appropriate long-term storage conditions
-20°C
Aliquoting information
Upon delivery aliquot
Storage information
Avoid freeze / thaw cycle

Supplementary information

This supplementary information is collated from multiple sources and compiled automatically.

Collagen VI also known as Collagen 6 is a type of collagen that plays an important role in the extracellular matrix. It consists of three different chains: α1(VI) α2(VI) and α3(VI) with a combined mass of approximately 140 kDa. This collagen type strongly associates with several tissues notably in skeletal muscle skin and the walls of blood vessels. Scientists often study collagen VI with specific collagen antibodies to understand its unique structural properties and its end which binds to other matrix components.
Biological function summary

Collagen VI contributes to structural integrity and cellular scaffolding within tissues. This protein is integral to the formation of microfibrillar networks part of a larger complex that connects the extracellular matrix to cells and other matrix components. Its protective role helps cells resist mechanical stress and the network provided by collagen VI powder stabilizes the tissue architecture. Additionally low endotoxin collagen is often preferable in research to minimize inflammatory responses during experimentation providing more accurate results.

Pathways

Collagen VI participates in extracellular matrix organization and mechanotransduction pathways. It functions alongside other proteins like collagen I and IV. In particular collagen VI interacts with cell surface receptors which influences cellular communication and signaling pathways. This interaction plays a role in transmitting mechanical signals that affect cellular behavior and function proving important for tissue maintenance and repair processes.

Mutations or malfunctions involving collagen VI can lead to significant clinical outcomes. It is prominently linked with disorders such as Ullrich congenital muscular dystrophy and Bethlem myopathy both affecting muscle and connective tissue. These conditions often involve disruptions in the assembly or function of the collagen VI network. Additionally related proteins like collagen I and integrin proteins can influence the progression and severity of these disorders illustrating the interconnected nature of these extracellular elements.

Product protocols

For this product, it's our understanding that no specific protocols are required. You can visit:

Target data

Collagen VI acts as a cell-binding protein.
See full target information COL6A1

Publications (48)

Recent publications for all applications. Explore the full list and refine your search

eLife 12: PubMed41025959

2025

Matrix-associated extracellular vesicles modulate human smooth muscle cell adhesion and directionality by presenting collagen VI.

Applications

Unspecified application

Species

Unspecified reactive species

Alexander N Kapustin,Sofia Serena Tsakali,Meredith Whitehead,George Chennell,Meng-Ying Wu,Chris Molenaar,Anton Kutikhin,Yimeng Chen,Sadia Ahmad,Leo Bogdanov,Maxim Sinitsky,Kseniya Rubina,Aled Clayton,Frederik J Verweij,Dirk Michiel Pegtel,Simona Zingaro,Arseniy Lobov,Bozhana Zainullina,Dylan Owen,Maddy Parsons,Richard E Cheney,Derek T Warren,Martin James Humphries,Thomas Iskratsch,Mark Holt,Catherine M Shanahan

Nature cardiovascular research 4:1409-1423 PubMed41006917

2025

Quantitative proteomics of formalin-fixed, paraffin-embedded cardiac specimens uncovers protein signatures of specialized regions and patient groups.

Applications

Unspecified application

Species

Unspecified reactive species

Jonathan S Achter,Thomas H L Jensen,Paola Pisano,Johan S Bundgaard,Daniel Raaschou-Oddershede,Kasper Rossing,Michael Wierer,Alicia Lundby

iScience 28:113440 PubMed40995117

2025

Immune microenvironment and fibroblast subpopulation in diabetic wound healing.

Applications

Unspecified application

Species

Unspecified reactive species

Jing Gan,Yuanrong Chen,Lu Tang,Hui Dong,Xiaotang Gao,Yunfeng Huang,Yang Pan,Jing Hong,Zhibiao Bai,Xiong Chen,Zhuofeng Lin,Hong Zhu

Frontiers in medicine 12:1612452 PubMed40837574

2025

Expression of extracellular matrix protein in advanced keratoconus and the normal human cornea.

Applications

Unspecified application

Species

Unspecified reactive species

Fatima Habroosh,Perla Filippini,Ahmed Al Saadi,Shady Soliman,Burcin Kepez Yildiz,Prity Sahay,Dalia G Said,Harminder S Dua

Bioactive materials 50:364-381 PubMed40589547

2025

In situ implantation of type II collagen-based double-layer scaffolds for Articular Osteochondral Regeneration comprising hyaline cartilage and vascularized subchondral bones.

Applications

Unspecified application

Species

Unspecified reactive species

Zhen Zhang,Ye Huang,Xu Hu,Yulei Mu,Huiqun Zhou,Liang Ma,Bangheng Liu,Hang Yao,Xieyuan Jiang,Dong-An Wang

Journal of proteome research 24:3300-3309 PubMed40493856

2025

Proteomic Analysis of the Extracellular Matrix in the Porcine Adrenal Cortex.

Applications

Unspecified application

Species

Unspecified reactive species

Jean Lucas Kremer,Henrique Sanchez Ortega,Talita Souza-Siqueira,Claudia Blanes Angeli,Leo Kei Iwai,Giuseppe Palmisano,Claudimara Ferini Pacicco Lotfi

Nature communications 16:5154 PubMed40461504

2025

Inhibition of tumor-intrinsic NAT10 enhances antitumor immunity by triggering type I interferon response via MYC/CDK2/DNMT1 pathway.

Applications

Unspecified application

Species

Unspecified reactive species

Wan-Cheng Liu,Yi-Hong Wei,Jin-Feng Chen,Xiang-Ling Xing,He-Xiao Jia,Xin-Yu Yang,Ying-Jian Huang,Xiao-Min Liu,Ke Xiao,Xiao-Dong Guo,Can Can,A-Min Zhang,Na He,Hai-Lei Zhang,Dao-Xin Ma

Advanced materials (Deerfield Beach, Fla.) 37:e2415981 PubMed39629556

2024

High-Throughput Single-Cell Analysis of Local Nascent Protein Deposition in 3D Microenvironments via Extracellular Protein Identification Cytometry (EPIC).

Applications

Unspecified application

Species

Unspecified reactive species

Marieke Meteling,Castro Johnbosco,Alexis Wolfel,Francisco Conceição,Kannan Govindaraj,Liliana Moreira Teixeira,Jeroen Leijten

Journal of diabetes investigation 16:187-203 PubMed39569837

2024

FOSL2 activates TGF-β1-mediated GLUT1/mTOR signaling to promote diabetic kidney disease.

Applications

Unspecified application

Species

Unspecified reactive species

Xuelin He,Min Xia,Guanghui Ying,Qien He,Zhaogui Chen,Li Liu,Qiao Zhang,Jianxin Cai

PNAS nexus 3:pgae355 PubMed39285933

2024

Collagen VI deposition primes the glioblastoma microenvironment for invasion through mechanostimulation of β-catenin signaling.

Applications

Unspecified application

Species

Unspecified reactive species

Junghwa Cha,Erika A Ding,Emily M Carvalho,Annabelle Fowler,Manish K Aghi,Sanjay Kumar
View all publications

Product promise

We are committed to supporting your work with high-quality reagents, and we're here for you every step of the way. In the unlikely event that one of our products does not perform as expected, you're protected by our Product Promise.
For full details, please see our Terms & Conditions

Please note: All products are 'FOR RESEARCH USE ONLY. NOT FOR USE IN DIAGNOSTIC OR THERAPEUTIC PROCEDURES'.

For licensing inquiries, please contact partnerships@abcam.com