JavaScript is disabled in your browser. Please enable JavaScript to view this website.
AB229450

Anti-Collagen VI antibody [EPR17072] - Low endotoxin, Azide free

  • Recombinant
  • KO Validated
  • Advanced Validation
  • RabMAb
  • What is this?

5

(1 Review)

|

(1 Publication)

Rabbit Recombinant Monoclonal COL6A1 antibody. Carrier free. Suitable for WB, ICC/IF, IHC-P, mIHC and reacts with Human, Mouse, Rat samples. Cited in 1 publication.

View Alternative Names

Collagen alpha-1(VI) chain, COL6A1

7 Images
Western blot - Anti-Collagen VI antibody [EPR17072] - Low endotoxin, Azide free (AB229450)
  • WB

Unknown

Western blot - Anti-Collagen VI antibody [EPR17072] - Low endotoxin, Azide free (AB229450)

Lanes 1 - 3 : Merged signal (red and green). Green - ab182744 observed at 109 kDa. Red - loading control, ab9484, observed at 37 kDa.

ab182744 was shown to recognize Collagen VI in wild-type HEK293 cells as signal was lost at the expected MW in COL6A1 knockout cells. Additional cross-reactive bands were observed in the wild-type and knockout cells. Wild-type and COL6A1 knockout samples were subjected to SDS-PAGE. ab182744 and ab9484 (Mouse anti-GAPDH loading control) were incubated overnight at 4°C at 1/2000 dilution and 1/20000 dilution respectively. Blots were developed with Goat anti-Rabbit IgG H&L (IRDye® 800CW) preabsorbed ab216773 and Goat anti-Mouse IgG H&L (IRDye® 680RD) preabsorbed ab216776 secondary antibodies at 1/20000 dilution for 1 hour at room temperature before imaging.

This data was developed using the same antibody clone in a different buffer formulation containing PBS, BSA, glycerol, and sodium azide (ab182744).

All lanes:

Western blot - Anti-Collagen VI antibody [EPR17072] (<a href='/en-us/products/primary-antibodies/collagen-vi-antibody-epr17072-ab182744'>ab182744</a>)

Lane 1:

Wild-type HEK293 whole cell lysate at 20 µg

Lane 2:

COL6A1 knockout HEK293 whole cell lysate at 20 µg

Lane 3:

Human Skeletal Muscle whole cell lysate at 20 µg

Predicted band size: 105 kDa,109 kDa

false

Immunohistochemistry (Formalin/PFA-fixed paraffin-embedded sections) - Anti-Collagen VI antibody [EPR17072] - Low endotoxin, Azide free (AB229450)
  • IHC-P

Supplier Data

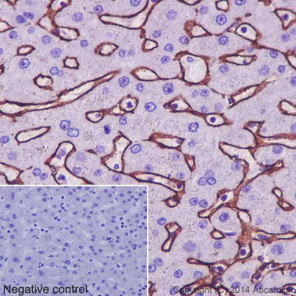
Immunohistochemistry (Formalin/PFA-fixed paraffin-embedded sections) - Anti-Collagen VI antibody [EPR17072] - Low endotoxin, Azide free (AB229450)

Immunohistochemical analysis of paraffin-embedded Human liver tissue labeling Collagen VI with ab182744 at 1/250 dilution followed by prediluted HRP Polymer for Rabbit/Mouse IgG. Positive staining around sinusoidal endothelial basement membranes is observed. Counter stained with Hematoxylin.

Negative control : Using PBS instead of primary ab secondary ab is prediluted HRP Polymer for Rabbit/Mouse IgG.

This data was developed using the same antibody clone in a different buffer formulation containing PBS BSA glycerol and sodium azide (ab182744).

Perform heat mediated antigen retrieval with Tris/EDTA buffer pH 9.0 before commencing with IHC staining protocol.

Immunocytochemistry/ Immunofluorescence - Anti-Collagen VI antibody [EPR17072] - Low endotoxin, Azide free (AB229450)
  • ICC/IF

Supplier Data

Immunocytochemistry/ Immunofluorescence - Anti-Collagen VI antibody [EPR17072] - Low endotoxin, Azide free (AB229450)

This ICC/IF data was generated using the same anti-Collagen VI antibody clone EPR17072 in a different buffer formulation (cat# ab182744).

Immunofluorescent analysis of 4% paraformaldehyde-fixed 0.1% Triton X-100 permeabilized HeLa (Human epithelial cells from cervix adenocarcinoma) cells labeling Collagen VI with ab182744 at 1/200 dilution followed by Goat anti-rabbit IgG (Alexa Fluor® 488) (ab150077) secondary antibody at 1/400 dilution (green). Cytoplasm staining on HeLa cell line is observed. The nuclear counter stain is DAPI (blue). Tubulin is detected with ab7291 (anti-Tubulin mouse mAb) at 1/500 dilution and ab150120 (AlexaFluor®594 Goat anti-Mouse secondary) at 1/500 dilution (red).

The negative controls are as follows : -

-ve control1 - ab182744 at 1/200 dilution followed by ab150120 (AlexaFluor®594 Goat anti-Mouse secondary) at 1/500 dilution.
-ve control 2 - ab7291 (anti-Tubulin mouse mAb) at 1/500 dilution followed by ab150077 (Alexa Fluor®488 Goat Anti-Rabbit IgG H&L) at 1/400 dilution.

Immunohistochemistry (Formalin/PFA-fixed paraffin-embedded sections) - Anti-Collagen VI antibody [EPR17072] - Low endotoxin, Azide free (AB229450)
  • IHC-P

Supplier Data

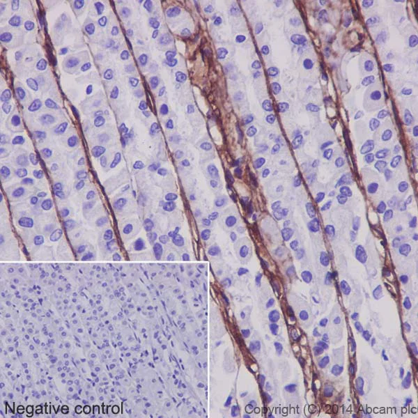
Immunohistochemistry (Formalin/PFA-fixed paraffin-embedded sections) - Anti-Collagen VI antibody [EPR17072] - Low endotoxin, Azide free (AB229450)

Immunohistochemical analysis of paraffin-embedded Rat stomach tissue labeling Collagen VI with ab182744 at 1/250 dilution followed by prediluted HRP Polymer for Rabbit/Mouse IgG. Positive staining around Rat gastric epithelial basement membranes is observed. Counter stained with Hematoxylin.

Negative control : Using PBS instead of primary ab secondary ab is prediluted HRP Polymer for Rabbit/Mouse IgG.

This data was developed using the same antibody clone in a different buffer formulation containing PBS BSA glycerol and sodium azide (ab182744).

Perform heat mediated antigen retrieval with Tris/EDTA buffer pH 9.0 before commencing with IHC staining protocol.

Immunohistochemistry (Formalin/PFA-fixed paraffin-embedded sections) - Anti-Collagen VI antibody [EPR17072] - Low endotoxin, Azide free (AB229450)
  • IHC-P

Supplier Data

Immunohistochemistry (Formalin/PFA-fixed paraffin-embedded sections) - Anti-Collagen VI antibody [EPR17072] - Low endotoxin, Azide free (AB229450)

This IHC data was generated using the same anti-Collagen VI antibody clone EPR17072 in a different buffer formulation (cat# ab182744).

Immunohistochemical analysis of paraffin-embedded Human cardiac muscle tissue labeling Collagen VI with ab182744 at 1/250 dilution followed by prediluted HRP Polymer for Rabbit/Mouse IgG. Positive staining on Human cardiac sarcolemma and interstitium is observed. Counter stained with Hematoxylin.

Negative control : Using PBS instead of primary ab secondary ab is prediluted HRP Polymer for Rabbit/Mouse IgG.

Perform heat mediated antigen retrieval with Tris/EDTA buffer pH 9.0 before commencing with IHC staining protocol.

Immunohistochemistry (Formalin/PFA-fixed paraffin-embedded sections) - Anti-Collagen VI antibody [EPR17072] - Low endotoxin, Azide free (AB229450)
  • IHC-P

Supplier Data

Immunohistochemistry (Formalin/PFA-fixed paraffin-embedded sections) - Anti-Collagen VI antibody [EPR17072] - Low endotoxin, Azide free (AB229450)

Immunohistochemical analysis of paraffin-embedded Mouse kidney tissue labeling Collagen VI with ab182744 at 1/250 dilution followed by prediluted HRP Polymer for Rabbit/Mouse IgG. Positive staining around basement membranes of Mouse renal tubules is observed. Counter stained with Hematoxylin.

Negative control : Using PBS instead of primary ab secondary ab is prediluted HRP Polymer for Rabbit/Mouse IgG.

This data was developed using the same antibody clone in a different buffer formulation containing PBS BSA glycerol and sodium azide (ab182744).

Perform heat mediated antigen retrieval with Tris/EDTA buffer pH 9.0 before commencing with IHC staining protocol.

Western blot - Anti-Collagen VI antibody [EPR17072] - Low endotoxin, Azide free (AB229450)
  • WB

Lab

Western blot - Anti-Collagen VI antibody [EPR17072] - Low endotoxin, Azide free (AB229450)

This data was developed using the same antibody clone in a different buffer formulation (ab182744).

Lanes 1-3 : Merged signal (red and green). Green - ab182744 observed at 136 kDa. Red - loading control ab8245 observed at 36 kDa.

ab182744 Anti-Collagen VI antibody [EPR17072] was shown to specifically react with Collagen VI antibody in wild-type HEK293T cells. Loss of signal was observed when knockout cell line ab265060 (knockout cell lysate ab256879) was used. Wild-type and Collagen VI antibody knockout samples were subjected to SDS-PAGE. ab182744 and Anti-GAPDH antibody [6C5] - Loading Control (ab8245) were incubated at room temperature for 2. 5 hours at 1 in 1000 dilution and 1 in 20000 dilution respectively. Blots were developed with Goat anti-Rabbit IgG H&L (IRDye® 800CW) preadsorbed (ab216773) and Goat anti-Mouse IgG H&L (IRDye® 680RD) preadsorbed (ab216776) secondary antibodies at 1 in 20000 dilution for 1 hour at room temperature before imaging.

All lanes:

Western blot - Anti-Collagen VI antibody [EPR17072] (<a href='/en-us/products/primary-antibodies/collagen-vi-antibody-epr17072-ab182744'>ab182744</a>) at 1/1000 dilution

Lane 1:

Wild-type HEK293T cell lysate at 20 µg

Lane 2:

COL6A1 knockout HEK293T cell lysate at 20 µg

Lane 2:

Western blot - Human COL6A1 knockout HEK-293T cell line (<a href='/en-us/products/cell-lines/human-col6a1-knockout-hek-293t-cell-line-ab265060'>ab265060</a>)

Lane 3:

Human skeletal muscle tissue lysate at 20 µg

Secondary

All lanes:

Western blot - Goat anti-Rabbit IgG H&L (IRDye® 800CW) preadsorbed (<a href='/en-us/products/secondary-antibodies/goat-rabbit-igg-h-l-irdye-800cw-preadsorbed-ab216773'>ab216773</a>) at 1/10000 dilution

Predicted band size: 109 kDa

Observed band size: 136 kDa

false

Key facts

Host species

Rabbit

Clonality

Monoclonal

Clone number

EPR17072

Isotype

IgG

Carrier free

Yes

Reacts with

Mouse, Rat, Human

Applications

WB, IHC-P, mIHC, ICC/IF

applications

Immunogen

The exact immunogen used to generate this antibody is proprietary information.

Reactivity data

{ "title": "Reactivity Data", "filters": { "stats": ["", "Species", "Dilution Info", "Notes"], "tabs": { "all-applications": {"fullname" : "All Applications", "shortname": "All Applications"}, "WB" : {"fullname" : "Western blot", "shortname":"WB"}, "ICCIF" : {"fullname" : "Immunocytochemistry/ Immunofluorescence", "shortname":"ICC/IF"}, "IHCP" : {"fullname" : "Immunohistochemistry (Formalin/PFA-fixed paraffin-embedded sections)", "shortname":"IHC-P"}, "mIHC" : {"fullname" : "Multiplex immunohistochemistry", "shortname":"mIHC"} }, "product-promise": { "all": "all", "testedAndGuaranteed": "tested", "guaranteed": "expected", "predicted": "predicted", "notRecommended": "not-recommended" } }, "values": { "Human": { "WB-species-checked": "testedAndGuaranteed", "WB-species-dilution-info": "", "WB-species-notes": "<p></p>", "ICCIF-species-checked": "testedAndGuaranteed", "ICCIF-species-dilution-info": "", "ICCIF-species-notes": "<p></p>", "IHCP-species-checked": "testedAndGuaranteed", "IHCP-species-dilution-info": "", "IHCP-species-notes": "<p></p> Perform heat-mediated antigen retrieval with Tris/EDTA buffer pH 9.0 before commencing with IHC staining protocol.", "mIHC-species-checked": "testedAndGuaranteed", "mIHC-species-dilution-info": "", "mIHC-species-notes": "<p></p> Perform heat-mediated antigen retrieval with Tris/EDTA buffer pH 9.0 before commencing with IHC staining protocol." }, "Mouse": { "WB-species-checked": "testedAndGuaranteed", "WB-species-dilution-info": "", "WB-species-notes": "<p></p>", "ICCIF-species-checked": "guaranteed", "ICCIF-species-dilution-info": "", "ICCIF-species-notes": "", "IHCP-species-checked": "testedAndGuaranteed", "IHCP-species-dilution-info": "", "IHCP-species-notes": "<p></p> Perform heat-mediated antigen retrieval with Tris/EDTA buffer pH 9.0 before commencing with IHC staining protocol.", "mIHC-species-checked": "guaranteed", "mIHC-species-dilution-info": "", "mIHC-species-notes": "" }, "Rat": { "WB-species-checked": "guaranteed", "WB-species-dilution-info": "", "WB-species-notes": "", "ICCIF-species-checked": "guaranteed", "ICCIF-species-dilution-info": "", "ICCIF-species-notes": "", "IHCP-species-checked": "testedAndGuaranteed", "IHCP-species-dilution-info": "", "IHCP-species-notes": "<p></p> Perform heat-mediated antigen retrieval with Tris/EDTA buffer pH 9.0 before commencing with IHC staining protocol.", "mIHC-species-checked": "guaranteed", "mIHC-species-dilution-info": "", "mIHC-species-notes": "" } } }

You may be interested in:

AB222942

Total Collagen Assay Kit (Perchlorate-Free)

4

1 Reviews

View product

We recommend this product because it’s often used in the same experiment or related research.

We advise that you always check the datasheet to ensure it fits your experiments, or contact ourtechnical teamfor help.

Product details

ab229450 is the carrier-free version of ab182744.

Patented technology
Our RabMAb® technology is a patented hybridoma-based technology for making rabbit monoclonal antibodies. For details on our patents, please refer to RabMAb® patents.

What are the advantages of a recombinant monoclonal antibody?
This product is a recombinant monoclonal antibody, which offers several advantages including:

  • - High batch-to-batch consistency and reproducibility
  • - Improved sensitivity and specificity
  • - Long-term security of supply
  • - Animal-free batch production

For more information, read more on recombinant antibodies.

Conjugation ready
Our carrier-free antibodies are typically supplied in a PBS-only formulation, purified and free of BSA, sodium azide and glycerol. This conjugation-ready format is designed for use with fluorochromes, metal isotopes, oligonucleotides, and enzymes, which makes them ideal for antibody labelling, functional and cell-based assays, flow-based assays (e.g. mass cytometry) and Multiplex Imaging applications.

Use our conjugation kits for antibody conjugates that are ready-to-use in as little as 20 minutes with 1 minute hands-on-time and 100% antibody recovery: available for fluorescent dyes, HRP, biotin and gold.

Compatibility
This product is compatible with the Maxpar® Antibody Labeling Kit from Fluidigm, without the need for antibody preparation. Maxpar® is a trademark of Fluidigm Canada Inc.

What does low endotoxin mean?
Our low endotoxin, azide-free formats have low endotoxin level (1 EU/mg, determined by the TAL assay) and are free from azide, to achieve consistent experimental results in functional assays.

Properties and storage information

Form
Liquid
Purification technique
Affinity purification Protein A
Storage buffer
pH: 7.2 - 7.4 Constituents: PBS
Shipped at conditions
Blue Ice
Appropriate short-term storage conditions
+4°C
Appropriate long-term storage conditions
+4°C
Storage information
Do Not Freeze

Supplementary information

This supplementary information is collated from multiple sources and compiled automatically.

Collagen VI also known as Collagen 6 is a type of collagen that plays an important role in the extracellular matrix. It consists of three different chains: α1(VI) α2(VI) and α3(VI) with a combined mass of approximately 140 kDa. This collagen type strongly associates with several tissues notably in skeletal muscle skin and the walls of blood vessels. Scientists often study collagen VI with specific collagen antibodies to understand its unique structural properties and its end which binds to other matrix components.
Biological function summary

Collagen VI contributes to structural integrity and cellular scaffolding within tissues. This protein is integral to the formation of microfibrillar networks part of a larger complex that connects the extracellular matrix to cells and other matrix components. Its protective role helps cells resist mechanical stress and the network provided by collagen VI powder stabilizes the tissue architecture. Additionally low endotoxin collagen is often preferable in research to minimize inflammatory responses during experimentation providing more accurate results.

Pathways

Collagen VI participates in extracellular matrix organization and mechanotransduction pathways. It functions alongside other proteins like collagen I and IV. In particular collagen VI interacts with cell surface receptors which influences cellular communication and signaling pathways. This interaction plays a role in transmitting mechanical signals that affect cellular behavior and function proving important for tissue maintenance and repair processes.

Mutations or malfunctions involving collagen VI can lead to significant clinical outcomes. It is prominently linked with disorders such as Ullrich congenital muscular dystrophy and Bethlem myopathy both affecting muscle and connective tissue. These conditions often involve disruptions in the assembly or function of the collagen VI network. Additionally related proteins like collagen I and integrin proteins can influence the progression and severity of these disorders illustrating the interconnected nature of these extracellular elements.

Product protocols

For this product, it's our understanding that no specific protocols are required. You can visit:

Target data

Collagen VI acts as a cell-binding protein.
See full target information COL6A1

Publications (1)

Recent publications for all applications. Explore the full list and refine your search

Zebrafish : PubMed32434437

2020

Effect of Human Umbilical Cord Perivascular Cell-Conditioned Media in an Adult Zebrafish Model of Traumatic Brain Injury.

Applications

Unspecified application

Species

Unspecified reactive species

Xiao Yu Eileen Liu,Eugene Park,Tanya Barretto,Elaine Liu,Graham A Ferrier,Jahan Tavakkoli,Andrew J Baker
View all publications

Product promise

We are committed to supporting your work with high-quality reagents, and we're here for you every step of the way. In the unlikely event that one of our products does not perform as expected, you're protected by our Product Promise.
For full details, please see our Terms & Conditions

Associated Products

Select an associated product type
Alternative Product
Primary Antibodies

AB199720

Anti-Collagen VI antibody [EPR17077] - C-terminal

primary-antibodies

collagen-vi-antibody-epr17077-c-terminal-ab199720

3

(4 reviews)

Alternative Product
Primary Antibodies

AB172606

Anti-Collagen VI antibody [EPR7888(N)]

primary-antibodies

collagen-vi-antibody-epr7888n-ab172606

0

(0 reviews)

Alternative Product
Primary Antibodies

AB271938

Anti-Collagen VI antibody [EPR17072] - BSA and Azide free

primary-antibodies

collagen-vi-antibody-epr17072-bsa-and-azide-free-ab271938

0

(0 reviews)

Alternative Version
Primary Antibodies

AB200430

Alexa Fluor® 647 Anti-Collagen VI antibody [EPR17072]

primary-antibodies

alexa-fluor-647-collagen-vi-antibody-epr17072-ab200430

0

(0 reviews)

Alternative Version
Primary Antibodies

AB200596

HRP Anti-Collagen VI antibody [EPR17072]

primary-antibodies

hrp-collagen-vi-antibody-epr17072-ab200596

0

(0 reviews)

Alternative Version
Primary Antibodies

AB200429

Alexa Fluor® 488 Anti-Collagen VI antibody [EPR17072]

primary-antibodies

alexa-fluor-488-collagen-vi-antibody-epr17072-ab200429

0

(0 reviews)

Alternative Version
Primary Antibodies

AB182744

Anti-Collagen VI antibody [EPR17072]

primary-antibodies

collagen-vi-antibody-epr17072-ab182744

5

(5 reviews)

Please note: All products are 'FOR RESEARCH USE ONLY. NOT FOR USE IN DIAGNOSTIC OR THERAPEUTIC PROCEDURES'.

For licensing inquiries, please contact partnerships@abcam.com