JavaScript is disabled in your browser. Please enable JavaScript to view this website.
AB198899

Anti-Collagen VII antibody

Be the first to review this product! Submit a review

|

(2 Publications)

Rabbit Polyclonal Collagen VII antibody. Suitable for IHC-P and reacts with Human samples. Cited in 2 publications. Immunogen corresponding to Synthetic Peptide within Human Collagen alpha-1(VII) chain.

View Alternative Names

Collagen alpha-1(VII) chain, Long-chain collagen, LC collagen, COL7A1

2 Images
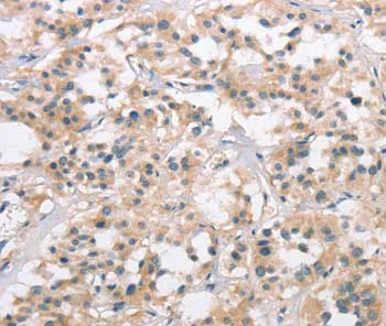
Immunohistochemistry (Formalin/PFA-fixed paraffin-embedded sections) - Anti-Collagen VII antibody (AB198899)
  • IHC-P

Supplier Data

Immunohistochemistry (Formalin/PFA-fixed paraffin-embedded sections) - Anti-Collagen VII antibody (AB198899)

Immunohistochemical analysis of paraffin-embedded Human thyroid cancer tissue labeling Collagen VII with ab198899 at 1/25 dilution.

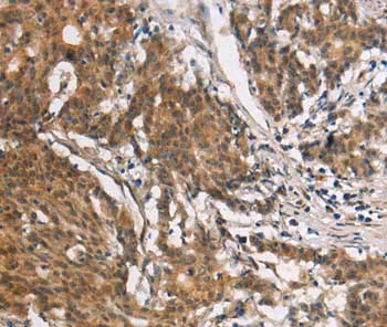
Immunohistochemistry (Formalin/PFA-fixed paraffin-embedded sections) - Anti-Collagen VII antibody (AB198899)
  • IHC-P

Supplier Data

Immunohistochemistry (Formalin/PFA-fixed paraffin-embedded sections) - Anti-Collagen VII antibody (AB198899)

Immunohistochemical analysis of paraffin-embedded Human gastric cancer tissue labeling Collagen VII with ab198899 at 1/25 dilution.

Key facts

Host species

Rabbit

Clonality

Polyclonal

Isotype

IgG

Carrier free

No

Reacts with

Human

Applications

IHC-P

applications

Immunogen

Synthetic Peptide within Human Collagen alpha-1(VII) chain. The exact immunogen used to generate this antibody is proprietary information.

Q02388

Reactivity data

{ "title": "Reactivity Data", "filters": { "stats": ["", "Species", "Dilution Info", "Notes"], "tabs": { "all-applications": {"fullname" : "All Applications", "shortname": "All Applications"}, "IHCP" : {"fullname" : "Immunohistochemistry (Formalin/PFA-fixed paraffin-embedded sections)", "shortname":"IHC-P"} }, "product-promise": { "all": "all", "testedAndGuaranteed": "tested", "guaranteed": "expected", "predicted": "predicted", "notRecommended": "not-recommended" } }, "values": { "Human": { "IHCP-species-checked": "testedAndGuaranteed", "IHCP-species-dilution-info": "1/25 - 1/100", "IHCP-species-notes": "<p></p>" } } }

Properties and storage information

Form
Liquid
Purification technique
Affinity purification Immunogen
Storage buffer
pH: 7.4 Preservative: 0.05% Sodium azide Constituents: PBS, 50% Glycerol (glycerin, glycerine)
Shipped at conditions
Blue Ice
Appropriate short-term storage duration
1-2 weeks
Appropriate short-term storage conditions
+4°C
Appropriate long-term storage conditions
-20°C
Aliquoting information
Upon delivery aliquot
Storage information
Avoid freeze / thaw cycle

Supplementary information

This supplementary information is collated from multiple sources and compiled automatically.

Collagen VII also known as collagen type VII or collagen 7 is an important structural component of the extracellular matrix. It measures approximately 290 kDa in mass. Researchers identified it chiefly in stratified squamous epithelia and the basement membrane zone of the skin. Collagen VII plays a mechanical role as anchoring fibrils maintaining skin integrity by attaching the dermal tissue to the epidermal basement membrane. In marmoset dermal tissue similar functions are observed indicating a conserved role in primates.
Biological function summary

Collagen VII forms part of a larger complex known as anchoring fibrils. These fibrils play an essential role in providing structural support and maintaining mechanical stability of tissues. The protein enhances the connection between the epidermis and dermis preventing separation between these layers. Its presence signifies the maintenance of tissue integrity and resilience critical for normal skin function.

Pathways

Collagen type VII interacts within the epidermal basement membrane zone part of the broader extracellular matrix (ECM) remodeling pathway. It collaborates with other ECM components like collagen type I and collagen type III which all contribute to skin strength and elasticity. The interplay between these collagens ensures the continuous renewal and repair of skin tissues essential for wound healing and overall skin health.

Collagen VII mutations or deficiencies lead to dystrophic epidermolysis bullosa (DEB) a genetic skin condition characterized by severe blistering. This disorder arises from defective anchoring fibril formation causing skin layers to separate easily. The interplay between collagen VII and other collagens like collagen type I becomes compromised exacerbating tissue fragility. Understanding these interactions provides insight into targeted treatments and management strategies for DEB.

Product protocols

For this product, it's our understanding that no specific protocols are required. You can visit:

Target data

Stratified squamous epithelial basement membrane protein that forms anchoring fibrils which may contribute to epithelial basement membrane organization and adherence by interacting with extracellular matrix (ECM) proteins such as type IV collagen.
See full target information Collagen alpha-1(VII) chain

Publications (2)

Recent publications for all applications. Explore the full list and refine your search

Journal of cellular and molecular medicine 29:e70621 PubMed40461943

2025

Evaluating the Potential of COL8A1 as a Therapeutic Target for Chemoresistance, Disease Progression, and a Prognostic Marker in Gastric Cancer.

Applications

Unspecified application

Species

Unspecified reactive species

Chao Xu,MuZhen He,HongYuan Chen,LiangJie Chi,XiangYu Wang,ShuYuan Li,QingShui Wang,Yao Lin,FangQin Xue

JCI insight 4: PubMed31167965

2019

Safety and early efficacy outcomes for lentiviral fibroblast gene therapy in recessive dystrophic epidermolysis bullosa.

Applications

Unspecified application

Species

Unspecified reactive species

Su M Lwin,Farhatullah Syed,Wei-Li Di,Tendai Kadiyirire,Lu Liu,Alyson Guy,Anastasia Petrova,Alya Abdul-Wahab,Fiona Reid,Rachel Phillips,Maria Elstad,Christos Georgiadis,Sophia Aristodemou,Patricia A Lovell,James R McMillan,John Mee,Snaigune Miskinyte,Matthias Titeux,Linda Ozoemena,Rashida Pramanik,Sonia Serrano,Racheal Rowles,Clarisse Maurin,Elizabeth Orrin,Magdalena Martinez-Queipo,Ellie Rashidghamat,Christos Tziotzios,Alexandros Onoufriadis,Mei Chen,Lucas Chan,Farzin Farzaneh,Marcela Del Rio,Jakub Tolar,Johann W Bauer,Fernando Larcher,Michael N Antoniou,Alain Hovnanian,Adrian J Thrasher,Jemima E Mellerio,Waseem Qasim,John A McGrath
View all publications

Product promise

We are committed to supporting your work with high-quality reagents, and we're here for you every step of the way. In the unlikely event that one of our products does not perform as expected, you're protected by our Product Promise.
For full details, please see our Terms & Conditions

Please note: All products are 'FOR RESEARCH USE ONLY. NOT FOR USE IN DIAGNOSTIC OR THERAPEUTIC PROCEDURES'.

For licensing inquiries, please contact partnerships@abcam.com