JavaScript is disabled in your browser. Please enable JavaScript to view this website.
AB309144

Anti-Collagen VII antibody [EPR27012-157] - BSA and Azide free

Be the first to review this product! Submit a review

|

(0 Publication)

Rabbit Recombinant Monoclonal Collagen VII antibody. Carrier free. Suitable for WB, IHC-P, IHC-Fr and reacts with Human, Mouse, Rat samples.

View Alternative Names

Collagen alpha-1(VII) chain, Long-chain collagen, LC collagen, COL7A1

13 Images
Immunohistochemistry (Formalin/PFA-fixed paraffin-embedded sections) - Anti-Collagen VII antibody [EPR27012-157] - BSA and Azide free (AB309144)
  • IHC-P

Supplier Data

Immunohistochemistry (Formalin/PFA-fixed paraffin-embedded sections) - Anti-Collagen VII antibody [EPR27012-157] - BSA and Azide free (AB309144)

This data was developed using ab309143, the same antibody clone in a different buffer formulation. Immunohistochemical analysis of paraffin-embedded Human skin tissue labeling Collagen VII with ab309143 at 1/100 (5.32 ug/ml) followed by a ready to use LeicaDS9800 (Bond™ Polymer Refine Detection). Positive staining on human skin basement membrane (PMID : 12244305).The section was incubated with ab309143 for 30 mins at room temperature.The immunostaining was performed on a Leica Biosystems BOND® RX instrument Counterstained with Hematoxylin. Secondary antibody only control : Secondary antibody is a ready to use LeicaDS9800 (Bond™ Polymer Refine Detection). Heat mediated antigen retrieval was performed with Tris-EDTA buffer (pH 9.0, Epitope Retrieval Solution2) for 20 mins

Immunohistochemistry (Formalin/PFA-fixed paraffin-embedded sections) - Anti-Collagen VII antibody [EPR27012-157] - BSA and Azide free (AB309144)
  • IHC-P

Supplier Data

Immunohistochemistry (Formalin/PFA-fixed paraffin-embedded sections) - Anti-Collagen VII antibody [EPR27012-157] - BSA and Azide free (AB309144)

This data was developed using ab309143, the same antibody clone in a different buffer formulation. Immunohistochemical analysis of paraffin-embedded Mouse skin tissue labeling Collagen VII with ab309143 at 1/100 (5.32 ug/ml) followed by a ready to use LeicaDS9800 (Bond™ Polymer Refine Detection). Positive staining on mouse skin basement membrane.The section was incubated with ab309143 for 30 mins at room temperature.The immunostaining was performed on a Leica Biosystems BOND® RX instrument Counterstained with Hematoxylin. Secondary antibody only control : Secondary antibody is a ready to use LeicaDS9800 (Bond™ Polymer Refine Detection). Heat mediated antigen retrieval was performed with Tris-EDTA buffer (pH 9.0, Epitope Retrieval Solution2) for 20 mins

Immunohistochemistry (Formalin/PFA-fixed paraffin-embedded sections) - Anti-Collagen VII antibody [EPR27012-157] - BSA and Azide free (AB309144)
  • IHC-P

Supplier Data

Immunohistochemistry (Formalin/PFA-fixed paraffin-embedded sections) - Anti-Collagen VII antibody [EPR27012-157] - BSA and Azide free (AB309144)

This data was developed using ab309143, the same antibody clone in a different buffer formulation. Immunohistochemical analysis of paraffin-embedded Rat skin tissue labeling Collagen VII with ab309143 at 1/100 (5.32 ug/ml) followed by a ready to use LeicaDS9800 (Bond™ Polymer Refine Detection). Positive staining on rat skin basement membrane.The section was incubated with ab309143 for 30 mins at room temperature.The immunostaining was performed on a Leica Biosystems BOND® RX instrument Counterstained with Hematoxylin. Secondary antibody only control : Secondary antibody is a ready to use LeicaDS9800 (Bond™ Polymer Refine Detection). Heat mediated antigen retrieval was performed with Tris-EDTA buffer (pH 9.0, Epitope Retrieval Solution2) for 20 mins

Immunohistochemistry (Formalin/PFA-fixed paraffin-embedded sections) - Anti-Collagen VII antibody [EPR27012-157] - BSA and Azide free (AB309144)
  • IHC-P

Supplier Data

Immunohistochemistry (Formalin/PFA-fixed paraffin-embedded sections) - Anti-Collagen VII antibody [EPR27012-157] - BSA and Azide free (AB309144)

This data was developed using ab309143, the same antibody clone in a different buffer formulation. Immunohistochemical analysis of paraffin-embedded Mouse cornea tissue labeling Collagen VII with ab309143 at 1/100 (5.32 ug/ml) followed by a ready to use LeicaDS9800 (Bond™ Polymer Refine Detection). Positive staining on mouse cornea basement membrane (PMID : 29920270).The section was incubated with ab309143 for 30 mins at room temperature.The immunostaining was performed on a Leica Biosystems BOND® RX instrument Counterstained with Hematoxylin. Secondary antibody only control : Secondary antibody is a ready to use LeicaDS9800 (Bond™ Polymer Refine Detection). Heat mediated antigen retrieval was performed with Tris-EDTA buffer (pH 9.0, Epitope Retrieval Solution2) for 20 mins

Immunohistochemistry (Frozen sections) - Anti-Collagen VII antibody [EPR27012-157] - BSA and Azide free (AB309144)
  • IHC-Fr

Supplier Data

Immunohistochemistry (Frozen sections) - Anti-Collagen VII antibody [EPR27012-157] - BSA and Azide free (AB309144)

This data was developed using ab309143, the same antibody clone in a different buffer formulation. Immunohistochemical analysis of 4% PFA-fixed, 0.2% Triton X-100 permeabilized frozen Rat cornea (fresh) tissue labeling Collagen VII with ab309143 at 1/5000 (0.1064 ug/ml) dilution followed by ab150081 Goat Anti-Rabbit IgG H&L (Alexa Fluor® 488) preadsorbed at 1/1000 2 ug/mL dilution (Green). Confocal image showing positive staining on rat cornea. The nuclear counterstain was DAPI (Blue). The section was incubated with ab309143 for 60 mins at room temperature. The section was then mounted using Fluoromount®.The immunostaining was performed on a Leica Biosystems BOND® RX instrument. Image was taken with a confocal microscope (Leica-Microsystems, TCS SP8). is observed. The nuclear counterstain was DAPI (Blue). Secondary antibody control : Secondary antibody is ab150081 Goat Anti-Rabbit IgG H&L (Alexa Fluor® 488) preadsorbedat 1/1000 2 ug/mL dilution.<\p> <\p>

Immunohistochemistry (Frozen sections) - Anti-Collagen VII antibody [EPR27012-157] - BSA and Azide free (AB309144)
  • IHC-Fr

Supplier Data

Immunohistochemistry (Frozen sections) - Anti-Collagen VII antibody [EPR27012-157] - BSA and Azide free (AB309144)

This data was developed using ab309143, the same antibody clone in a different buffer formulation. Immunohistochemical analysis of 4% PFA-fixed, 0.2% Triton X-100 permeabilized frozen Mouse cornea (fresh) tissue labeling Collagen VII with ab309143 at 1/5000 (0.1064 ug/ml) dilution followed by ab150081 Goat Anti-Rabbit IgG H&L (Alexa Fluor® 488) preadsorbed at 1/1000 2 ug/mL dilution (Green). Confocal image showing positive staining on mouse cornea. The nuclear counterstain was DAPI (Blue). The section was incubated with ab309143 for 60 mins at room temperature. The section was then mounted using Fluoromount®.The immunostaining was performed on a Leica Biosystems BOND® RX instrument. Image was taken with a confocal microscope (Leica-Microsystems, TCS SP8). is observed. The nuclear counterstain was DAPI (Blue). Secondary antibody control : Secondary antibody is ab150081 Goat Anti-Rabbit IgG H&L (Alexa Fluor® 488) preadsorbedat 1/1000 2 ug/mL dilution.<\p> <\p>

Multiplex immunohistochemistry - Anti-Collagen VII antibody [EPR27012-157] - BSA and Azide free (AB309144)
  • mIHC

Lab

Multiplex immunohistochemistry - Anti-Collagen VII antibody [EPR27012-157] - BSA and Azide free (AB309144)

This data was developed using ab309143, the same antibody clone in a different buffer formulation.

Multiplex immunohistochemistry analysis of Formalin/PFA-fixed paraffin-embedded sections of mouse skin tissue staining with ab309143 at 1/100 dilution, ab317813 at 1/500 dilution, and ab315806 at 1/500 dilution. The secondary used was Opal Polymer HRP Ms + Rb. Heat mediated antigen retrieval with Tris-EDTA buffer (pH 9.0, epitope retrieval solution2) for 20 mins. Panel A : merged staining of anti-Collagen VII (green; Opal™520), anti-Langerin (gray; Opal™570) and anti-Loricrin (magenta; Opal™690) on mouse skin. Panel B : anti-Collagen VII staining the dermal–epidermal junction in mouse skin. Panel C : anti-Langerin staining Langerhans cells in mouse skin. Panel D : anti-Loricrin staining terminally differentiated epidermal cells in mouse skin. Nuclear DNA was labeled with DAPI (shown in blue). The section was incubated in three rounds of staining : in the order of ab309143, ab317813 and ab315806 for 30 mins at room temperature. Each round was followed by a separate fluorescent tyramide signal amplification system. The immunostaining was performed on a Leica Biosystems BOND® RX instrument with an Opal™ 4-color kit. Image acquisition was performed with Leica SP8 confocal microscope.

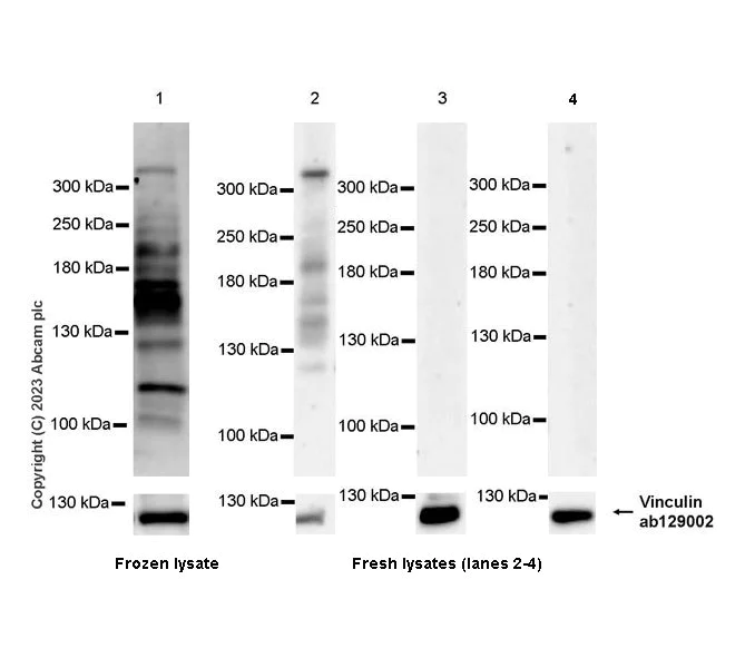
Western blot - Anti-Collagen VII antibody [EPR27012-157] - BSA and Azide free (AB309144)
  • WB

Supplier Data

Western blot - Anti-Collagen VII antibody [EPR27012-157] - BSA and Azide free (AB309144)

This data was developed using ab309143, the same antibody clone in a different buffer formulation. Blocking and diluting buffer and concentration : 5% NFDM/TBST Low expression : HCT116, HEK-293 (PMID : 23743647). The expression profile/ molecular weight observed is consistent with what has been described in the literature (PMID : 11021599). In lane 1, the lysate was stored at -80? prior to Western Blotting. The bands beneath the target band (320 kDa) are likey to be degradation products. In lanes 2-4, the lysates were freshly made and used for Western Blotting immediately to minimize protein degradation. In Western blot, anti- Vinculin antibody (ab129002) loading control staining at 1/10000 dilution. Exposure time : 180 seconds

All lanes:

Western blot - Anti-Collagen VII antibody [EPR27012-157] (<a href='/en-us/products/primary-antibodies/collagen-vii-antibody-epr27012-157-ab309143'>ab309143</a>) at 1/1000 dilution

Lane 1:

A431 (human epidermoid carcinoma epithelial cell) whole cell lysate at 40 µg

Lane 2:

A431 (human epidermoid carcinoma epithelial cell) whole cell lysate at 20 µg

Lane 3:

HCT116 (human colorectal carcinoma epithelial cell), whole cell lysate at 20 µg

Lane 4:

HEK-293 (human embryonic kidney epithelial cell) whole cell lysate at 20 µg

Secondary

All lanes:

Western blot - Goat Anti-Rabbit IgG H&L (HRP) (<a href='/en-us/products/secondary-antibodies/goat-rabbit-igg-h-l-hrp-ab97051'>ab97051</a>) at 1/20000 dilution

Observed band size: 320 kDa

false

Exposure time: 180s

Western blot - Anti-Collagen VII antibody [EPR27012-157] - BSA and Azide free (AB309144)
  • WB

Supplier Data

Western blot - Anti-Collagen VII antibody [EPR27012-157] - BSA and Azide free (AB309144)

This data was developed using ab309143, the same antibody clone in a different buffer formulation. Blocking and diluting buffer and concentration : 5% NFDM/TBST Low expression : liver (PMID : 11673838), kidney (PMID : 1673838). The expression profile/ molecular weight observed is consistent with what has been described in the literature (PMID : 11021599). The bands beneath the target band (320 kDa) are likely to be degraded target fragments. In Western blot, anti- Vinculin antibody (ab129002) loading control staining at 1/10000 dilution. Exposure time : 180 seconds

All lanes:

Western blot - Anti-Collagen VII antibody [EPR27012-157] (<a href='/en-us/products/primary-antibodies/collagen-vii-antibody-epr27012-157-ab309143'>ab309143</a>) at 1/1000 dilution

Lane 1:

Mouse skin tissue lysate at 20 µg

Lane 2:

Mouse liver tissue lysate at 20 µg

Lane 3:

Mouse kidney tissue lysate at 20 µg

Secondary

All lanes:

Western blot - Goat Anti-Rabbit IgG H&L (HRP) (<a href='/en-us/products/secondary-antibodies/goat-rabbit-igg-h-l-hrp-ab97051'>ab97051</a>) at 1/20000 dilution

Observed band size: 320 kDa

false

Exposure time: 180s

Immunohistochemistry (Frozen sections) - Anti-Collagen VII antibody [EPR27012-157] - BSA and Azide free (AB309144)
  • IHC-Fr

Supplier Data

Immunohistochemistry (Frozen sections) - Anti-Collagen VII antibody [EPR27012-157] - BSA and Azide free (AB309144)

This data was developed using ab309143, the same antibody clone in a different buffer formulation. Immunohistochemical analysis of 4% PFA-fixed, 0.2% Triton X-100 permeabilized frozen Mouse skeletal muscle (fresh) tissue labeling Collagen VII with ab309143 at 1/5000 (0.106 ug/ml) dilution followed by ab150081 Goat Anti-Rabbit IgG H&L (Alexa Fluor® 488) preadsorbed at 1/1000 2 ug/mL dilution (Green). Negative control : confocal image showing no staining on mouse skeletal muscle. The nuclear counterstain was DAPI (Blue). The section was incubated with ab309143 for 60 mins at room temperature. The section was then mounted using Fluoromount®.The immunostaining was performed on a Leica Biosystems BOND® RX instrument. Image was taken with a confocal microscope (Leica-Microsystems, TCS SP8). is observed. The nuclear counterstain was DAPI (Blue). Secondary antibody control : Secondary antibody is ab150081 Goat Anti-Rabbit IgG H&L (Alexa Fluor® 488) preadsorbedat 1/1000 2 ug/mL dilution.<\p> <\p>

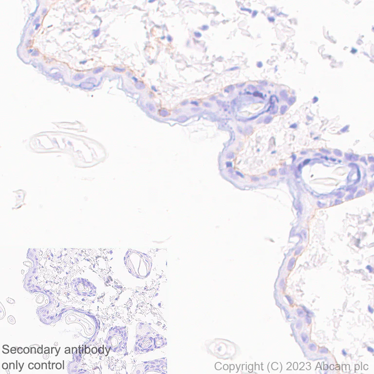
Immunohistochemistry (Formalin/PFA-fixed paraffin-embedded sections) - Anti-Collagen VII antibody [EPR27012-157] - BSA and Azide free (AB309144)
  • IHC-P

Supplier Data

Immunohistochemistry (Formalin/PFA-fixed paraffin-embedded sections) - Anti-Collagen VII antibody [EPR27012-157] - BSA and Azide free (AB309144)

This data was developed using ab309143, the same antibody clone in a different buffer formulation. Immunohistochemical analysis of paraffin-embedded Human liver tissue labeling Collagen VII with ab309143 at 1/100 (5.32 ug/ml) followed by a ready to use LeicaDS9800 (Bond™ Polymer Refine Detection). Negative control : No staining on human liver.The section was incubated with ab309143 for 30 mins at room temperature.The immunostaining was performed on a Leica Biosystems BOND® RX instrument Counterstained with Hematoxylin. Secondary antibody only control : Secondary antibody is a ready to use LeicaDS9800 (Bond™ Polymer Refine Detection). Heat mediated antigen retrieval was performed with Tris-EDTA buffer (pH 9.0, Epitope Retrieval Solution2) for 20 mins

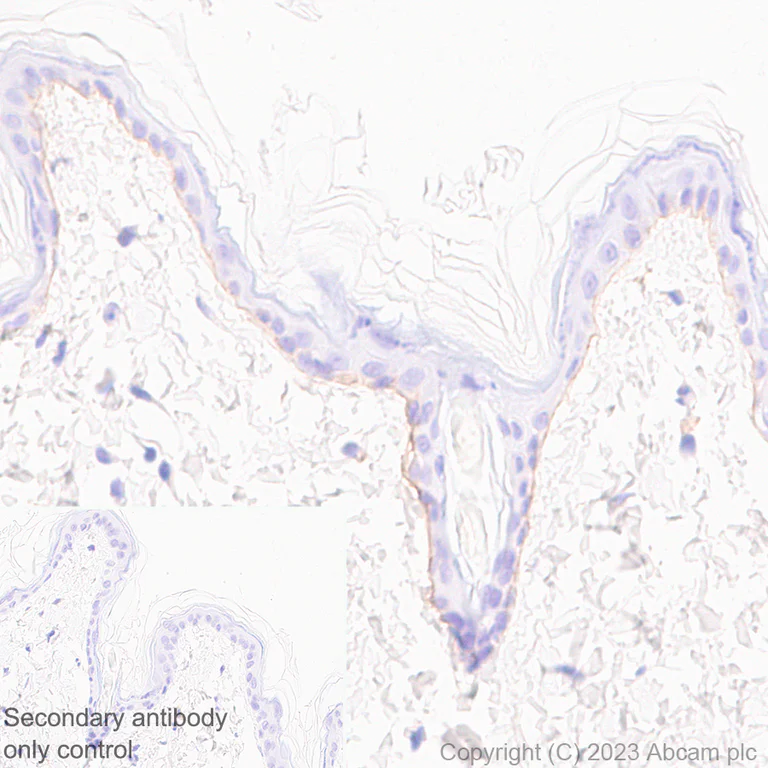
Immunohistochemistry (Formalin/PFA-fixed paraffin-embedded sections) - Anti-Collagen VII antibody [EPR27012-157] - BSA and Azide free (AB309144)
  • IHC-P

Supplier Data

Immunohistochemistry (Formalin/PFA-fixed paraffin-embedded sections) - Anti-Collagen VII antibody [EPR27012-157] - BSA and Azide free (AB309144)

This data was developed using ab309143, the same antibody clone in a different buffer formulation. Immunohistochemical analysis of paraffin-embedded Human skeletal muscl tissue labeling Collagen VII with ab309143 at 1/100 (5.32 ug/ml) followed by a ready to use LeicaDS9800 (Bond™ Polymer Refine Detection). Negative control : No staining on human skeletal muscle.The section was incubated with ab309143 for 30 mins at room temperature.The immunostaining was performed on a Leica Biosystems BOND® RX instrument Counterstained with Hematoxylin. Secondary antibody only control : Secondary antibody is a ready to use LeicaDS9800 (Bond™ Polymer Refine Detection). Heat mediated antigen retrieval was performed with Tris-EDTA buffer (pH 9.0, Epitope Retrieval Solution2) for 20 mins

Immunohistochemistry (Frozen sections) - Anti-Collagen VII antibody [EPR27012-157] - BSA and Azide free (AB309144)
  • IHC-Fr

Supplier Data

Immunohistochemistry (Frozen sections) - Anti-Collagen VII antibody [EPR27012-157] - BSA and Azide free (AB309144)

This data was developed using ab309143, the same antibody clone in a different buffer formulation. Immunohistochemical analysis of 4% PFA-fixed, 0.2% Triton X-100 permeabilized frozen Rat skeletal muscle (fresh) tissue labeling Collagen VII with ab309143 at 1/5000 (0.1064 ug/ml) dilution followed by ab150081 Goat Anti-Rabbit IgG H&L (Alexa Fluor® 488) preadsorbed at 1/1000 2 ug/mL dilution (Green). Negative control : confocal image showing no staining on rat skeletal muscle. The nuclear counterstain was DAPI (Blue). The section was incubated with ab309143 for 60 mins at room temperature. The section was then mounted using Fluoromount®.The immunostaining was performed on a Leica Biosystems BOND® RX instrument. Image was taken with a confocal microscope (Leica-Microsystems, TCS SP8). is observed. The nuclear counterstain was DAPI (Blue). Secondary antibody control : Secondary antibody is ab150081 Goat Anti-Rabbit IgG H&L (Alexa Fluor® 488) preadsorbedat 1/1000 2 ug/mL dilution.<\p> <\p>

Key facts

Host species

Rabbit

Clonality

Monoclonal

Clone number

EPR27012-157

Isotype

IgG

Carrier free

Yes

Reacts with

Rat, Human, Mouse

Applications

IHC-P, WB, IHC-Fr

applications

Immunogen

The exact immunogen used to generate this antibody is proprietary information.

Reactivity data

{ "title": "Reactivity Data", "filters": { "stats": ["", "Species", "Dilution Info", "Notes"], "tabs": { "all-applications": {"fullname" : "All Applications", "shortname": "All Applications"}, "WB" : {"fullname" : "Western blot", "shortname":"WB"}, "IHCP" : {"fullname" : "Immunohistochemistry (Formalin/PFA-fixed paraffin-embedded sections)", "shortname":"IHC-P"}, "IHCFr" : {"fullname" : "Immunohistochemistry (Frozen sections)", "shortname":"IHC-Fr"}, "ICCIF" : {"fullname" : "Immunocytochemistry/ Immunofluorescence", "shortname":"ICC/IF"}, "FlowCytIntra" : {"fullname" : "Flow Cytometry (Intracellular)", "shortname":"Flow Cyt (Intra)"}, "IP" : {"fullname" : "Immunoprecipitation", "shortname":"IP"} }, "product-promise": { "all": "all", "testedAndGuaranteed": "tested", "guaranteed": "expected", "predicted": "predicted", "notRecommended": "not-recommended" } }, "values": { "Human": { "WB-species-checked": "testedAndGuaranteed", "WB-species-dilution-info": "", "WB-species-notes": "<p></p>", "IHCP-species-checked": "testedAndGuaranteed", "IHCP-species-dilution-info": "", "IHCP-species-notes": "<p></p>", "IHCFr-species-checked": "guaranteed", "IHCFr-species-dilution-info": "", "IHCFr-species-notes": "", "ICCIF-species-checked": "notRecommended", "ICCIF-species-dilution-info": "", "ICCIF-species-notes": "<p></p>", "FlowCytIntra-species-checked": "notRecommended", "FlowCytIntra-species-dilution-info": "", "FlowCytIntra-species-notes": "<p></p>", "IP-species-checked": "notRecommended", "IP-species-dilution-info": "", "IP-species-notes": "<p></p>" }, "Mouse": { "WB-species-checked": "testedAndGuaranteed", "WB-species-dilution-info": "", "WB-species-notes": "<p></p>", "IHCP-species-checked": "testedAndGuaranteed", "IHCP-species-dilution-info": "", "IHCP-species-notes": "<p></p>", "IHCFr-species-checked": "testedAndGuaranteed", "IHCFr-species-dilution-info": "", "IHCFr-species-notes": "<p></p>", "ICCIF-species-checked": "notRecommended", "ICCIF-species-dilution-info": "", "ICCIF-species-notes": "<p></p>", "FlowCytIntra-species-checked": "notRecommended", "FlowCytIntra-species-dilution-info": "", "FlowCytIntra-species-notes": "<p></p>", "IP-species-checked": "notRecommended", "IP-species-dilution-info": "", "IP-species-notes": "<p></p>" }, "Rat": { "WB-species-checked": "guaranteed", "WB-species-dilution-info": "", "WB-species-notes": "", "IHCP-species-checked": "testedAndGuaranteed", "IHCP-species-dilution-info": "", "IHCP-species-notes": "<p></p>", "IHCFr-species-checked": "testedAndGuaranteed", "IHCFr-species-dilution-info": "", "IHCFr-species-notes": "<p></p>", "ICCIF-species-checked": "notRecommended", "ICCIF-species-dilution-info": "", "ICCIF-species-notes": "", "FlowCytIntra-species-checked": "notRecommended", "FlowCytIntra-species-dilution-info": "", "FlowCytIntra-species-notes": "", "IP-species-checked": "notRecommended", "IP-species-dilution-info": "", "IP-species-notes": "" } } }

You may be interested in:

AB222942

Total Collagen Assay Kit (Perchlorate-Free)

4

1 Reviews

View product

We recommend this product because it’s often used in the same experiment or related research.

We advise that you always check the datasheet to ensure it fits your experiments, or contact ourtechnical teamfor help.

Product details

Patented technology
Our RabMAb® technology is a patented hybridoma-based technology for making rabbit monoclonal antibodies. For details on our patents, please refer to RabMAb® patents.

What are the advantages of a recombinant monoclonal antibody?
This product is a recombinant monoclonal antibody, which offers several advantages including:

  • - High batch-to-batch consistency and reproducibility
  • - Improved sensitivity and specificity
  • - Long-term security of supply
  • - Animal-free batch production

For more information, read more on recombinant antibodies.

Conjugation ready
Our carrier-free antibodies are typically supplied in a PBS-only formulation, purified and free of BSA, sodium azide and glycerol. This conjugation-ready format is designed for use with fluorochromes, metal isotopes, oligonucleotides, and enzymes, which makes them ideal for antibody labelling, functional and cell-based assays, flow-based assays (e.g. mass cytometry) and Multiplex Imaging applications.

Use our conjugation kits for antibody conjugates that are ready-to-use in as little as 20 minutes with 1 minute hands-on-time and 100% antibody recovery: available for fluorescent dyes, HRP, biotin and gold.

Compatibility
This product is compatible with the Maxpar® Antibody Labeling Kit from Fluidigm, without the need for antibody preparation. Maxpar® is a trademark of Fluidigm Canada Inc.

Properties and storage information

Form
Liquid
Purification technique
Affinity purification Protein A
Storage buffer
pH: 7.2 - 7.4 Constituents: 100% PBS
Shipped at conditions
Blue Ice
Appropriate short-term storage conditions
+4°C
Appropriate long-term storage conditions
+4°C

Supplementary information

This supplementary information is collated from multiple sources and compiled automatically.

Collagen VII also known as collagen type VII or collagen 7 is an important structural component of the extracellular matrix. It measures approximately 290 kDa in mass. Researchers identified it chiefly in stratified squamous epithelia and the basement membrane zone of the skin. Collagen VII plays a mechanical role as anchoring fibrils maintaining skin integrity by attaching the dermal tissue to the epidermal basement membrane. In marmoset dermal tissue similar functions are observed indicating a conserved role in primates.
Biological function summary

Collagen VII forms part of a larger complex known as anchoring fibrils. These fibrils play an essential role in providing structural support and maintaining mechanical stability of tissues. The protein enhances the connection between the epidermis and dermis preventing separation between these layers. Its presence signifies the maintenance of tissue integrity and resilience critical for normal skin function.

Pathways

Collagen type VII interacts within the epidermal basement membrane zone part of the broader extracellular matrix (ECM) remodeling pathway. It collaborates with other ECM components like collagen type I and collagen type III which all contribute to skin strength and elasticity. The interplay between these collagens ensures the continuous renewal and repair of skin tissues essential for wound healing and overall skin health.

Collagen VII mutations or deficiencies lead to dystrophic epidermolysis bullosa (DEB) a genetic skin condition characterized by severe blistering. This disorder arises from defective anchoring fibril formation causing skin layers to separate easily. The interplay between collagen VII and other collagens like collagen type I becomes compromised exacerbating tissue fragility. Understanding these interactions provides insight into targeted treatments and management strategies for DEB.

Product protocols

For this product, it's our understanding that no specific protocols are required. You can visit:

Target data

Stratified squamous epithelial basement membrane protein that forms anchoring fibrils which may contribute to epithelial basement membrane organization and adherence by interacting with extracellular matrix (ECM) proteins such as type IV collagen.
See full target information Collagen alpha-1(VII) chain

Product promise

We are committed to supporting your work with high-quality reagents, and we're here for you every step of the way. In the unlikely event that one of our products does not perform as expected, you're protected by our Product Promise.
For full details, please see our Terms & Conditions

Please note: All products are 'FOR RESEARCH USE ONLY. NOT FOR USE IN DIAGNOSTIC OR THERAPEUTIC PROCEDURES'.

For licensing inquiries, please contact partnerships@abcam.com