JavaScript is disabled in your browser. Please enable JavaScript to view this website.
AB182563

Anti-Collagen X antibody [EPR13044]

4

(1 Review)

|

(34 Publications)

Rabbit Recombinant Monoclonal Collagen X antibody. Suitable for WB and reacts with Human, Rat, Mouse samples. Cited in 34 publications.

View Alternative Names

Collagen alpha-1(X) chain, COL10A1

2 Images
Western blot - Anti-Collagen X antibody [EPR13044] (AB182563)
  • WB

Supplier Data

Western blot - Anti-Collagen X antibody [EPR13044] (AB182563)

All lanes:

Western blot - Anti-Collagen X antibody [EPR13044] (ab182563) at 1/1000 dilution

Lane 1:

Human fetal skin lysate at 20 µg

Lane 2:

Human placenta lysate at 20 µg

Secondary

All lanes:

Goat Anti-Rabbit IgG, (H+L), Peroxidase conjugated at 1/1000 dilution

Predicted band size: 66 kDa

Observed band size: 66 kDa

false

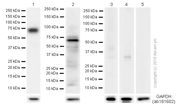
Western blot - Anti-Collagen X antibody [EPR13044] (AB182563)
  • WB

Lab

Western blot - Anti-Collagen X antibody [EPR13044] (AB182563)

Exposure timeLane 1 : 6 seconds
Lane 2 : 70 seconds
Lane 3 to 5 : 10 seconds

Blocking/Diluting buffer and concentration 5% NFDM/TBST

Collagen X is normally not expressed in human healthy cartilage but its expression is detected at protein and mRNA level in human osteoarthritic cartilage according to PMID 22178514 and 26861791.

All lanes:

Western blot - Anti-Collagen X antibody [EPR13044] (ab182563) at 1/1000 dilution

Lane 1:

Human fetal skin tissue lysates at 15 µg

Lane 2:

Rat skin tissue lysates at 15 µg

Lane 3:

Mouse cartilage tissue lysates at 15 µg

Lane 4:

Human cartilage tissue lysates at 15 µg

Lane 5:

Rat cartilage tissue lysates at 15 µg

Secondary

All lanes:

Western blot - Goat Anti-Rabbit IgG H&L (HRP) (<a href='/en-us/products/secondary-antibodies/goat-rabbit-igg-h-l-hrp-ab97051'>ab97051</a>) at 1/20000 dilution

Predicted band size: 66 kDa

Observed band size: 66 kDa

false

Key facts

Host species

Rabbit

Clonality

Monoclonal

Clone number

EPR13044

Isotype

IgG

Carrier free

No

Reacts with

Mouse, Rat, Human

Applications

WB

applications

Immunogen

The exact immunogen used to generate this antibody is proprietary information.

Reactivity data

{ "title": "Reactivity Data", "filters": { "stats": ["", "Species", "Dilution Info", "Notes"], "tabs": { "all-applications": {"fullname" : "All Applications", "shortname": "All Applications"}, "WB" : {"fullname" : "Western blot", "shortname":"WB"} }, "product-promise": { "all": "all", "testedAndGuaranteed": "tested", "guaranteed": "expected", "predicted": "predicted", "notRecommended": "not-recommended" } }, "values": { "Human": { "WB-species-checked": "testedAndGuaranteed", "WB-species-dilution-info": "1/1000 - 1/2000", "WB-species-notes": "<p></p>" }, "Mouse": { "WB-species-checked": "guaranteed", "WB-species-dilution-info": "1/1000 - 1/2000", "WB-species-notes": "<p></p>" }, "Rat": { "WB-species-checked": "testedAndGuaranteed", "WB-species-dilution-info": "1/1000 - 1/2000", "WB-species-notes": "<p></p>" } } }

Product details

Patented technology
Our RabMAb® technology is a patented hybridoma-based technology for making rabbit monoclonal antibodies. For details on our patents, please refer to RabMAb® patents.

What are the advantages of a recombinant monoclonal antibody?
This product is a recombinant monoclonal antibody, which offers several advantages including:

  • - High batch-to-batch consistency and reproducibility
  • - Improved sensitivity and specificity
  • - Long-term security of supply
  • - Animal-free batch production

For more information, read more on recombinant antibodies.

Properties and storage information

Form
Liquid
Purification technique
Affinity purification Protein A
Storage buffer
pH: 7.2 Preservative: 0.01% Sodium azide Constituents: PBS, 40% Glycerol (glycerin, glycerine), 0.05% BSA
Shipped at conditions
Blue Ice
Appropriate short-term storage duration
1-2 weeks
Appropriate short-term storage conditions
+4°C
Appropriate long-term storage conditions
-20°C
Aliquoting information
Upon delivery aliquot
Storage information
Avoid freeze / thaw cycle

Supplementary information

This supplementary information is collated from multiple sources and compiled automatically.

Collagen Type X also referred to as Col10 or COL-X is a short-chain collagen specifically a homotrimer which means it is composed of three identical chains. It has an approximate molecular mass of 59 kDa. This collagen is primarily expressed in the hypertrophic zone of growth plate cartilage where endochondral ossification occurs. This specialized location facilitates its function in the process of bone growth and development.
Biological function summary

COL-X plays a critical role in the regulation of chondrocyte maturation during bone formation. It does not function as part of a larger multiprotein complex but acts independently to promote the mineralization of cartilage transitioning cartilage into bone. This activity is essential for proper skeletal morphogenesis particularly in mammals.

Pathways

COL-X participates in the endochondral ossification pathway one of the major pathways that convert cartilage into bone. It's tightly associated with proteins like matrix metalloproteinase 13 (MMP-13) which degrades cartilage matrix and with Indian hedgehog (Ihh) signaling which regulates the proliferation and differentiation of chondrocytes. These proteins collectively ensure the proper progression of chondrocyte hypertrophy and subsequent ossification.

Disruptions in the expression or function of COL-X are linked to conditions like Schmid metaphyseal chondrodysplasia and Osteoarthritis. Schmid metaphyseal chondrodysplasia arises from mutations in the Col10A1 gene impairing skeletal development. In the context of osteoarthritis alterations in COL-X may affect cartilage integrity and joint function. Both conditions involve interactions with type II collagen (COL-II) highlighting the collaborative role of collagens in maintaining cartilage and bone health.

Product protocols

For this product, it's our understanding that no specific protocols are required. You can visit:

Target data

Type X collagen is a product of hypertrophic chondrocytes and has been localized to presumptive mineralization zones of hyaline cartilage.
See full target information COL10A1

Publications (34)

Recent publications for all applications. Explore the full list and refine your search

Drug design, development and therapy 19:7603-7621 PubMed40918953

2025

Anti-Inflammatory Modified Fuzi Decoction Antagonizes Synovial TNF-α/TRAF2/NF-κB Signaling to Remedy Osteoarthritis.

Applications

Unspecified application

Species

Unspecified reactive species

Yue Wang,Jiadan Ren,Huixin Chen,Xiaotian Chen,Bo Yan,Wenting Xu,Xiujuan Xiao,Qiang Yuan,Letian Shan,Li Zhou

International journal of biological sciences 21:4428-4449 PubMed40765829

2025

Fibroblast Growth Factor 19 Disrupts Cartilage Development Via the FGFR4/β-catenin Axis.

Applications

Unspecified application

Species

Unspecified reactive species

Hao Chen,Yujia Cui,Jiazhou Li,Mengmeng Duan,Caixia Pi,Xuedong Zhou,Jing Xie

Journal of oral & facial pain and headache 39:196-203 PubMed40129438

2025

Loss of SCRG1 in chondrocytes inhibits osteoarthritis by promoting autophagy activity in the temporomandibular joint through inhibition of neurokine receptors.

Applications

Unspecified application

Species

Unspecified reactive species

JiaJun Zhang,LePing Yuan,YanYan Zhang,HaoYang Jin,YeKe Zhao,XiaoKe Zeng,YanHui Zou,KeYu Wang,Xin Nie

Materials today. Bio 31:101569 PubMed40040797

2025

An "EVs-in-ECM" mimicking system orchestrates transcription and translation of RUNX1 for in-situ cartilage regeneration.

Applications

Unspecified application

Species

Unspecified reactive species

Qi Cheng,Qianping Guo,Xiaoyu Zhang,Yuanchen Zhu,Chengyuan Liu,Huan Wang,Caihong Zhu,Li Ni,Bin Li,Huilin Yang

Advanced science (Weinheim, Baden-Wurttemberg, Germany) 12:e2413970 PubMed39936497

2025

N6-Methyladenosine-Modified circSMAD4 Prevents Lumbar Instability Induced Cartilage Endplate Ossification.

Applications

Unspecified application

Species

Unspecified reactive species

Hanwen Li,Yingchuang Tang,Sihan Hu,Xingbang Ruan,Junxin Zhang,Yihan Shi,Liang Qiu,Huilin Yang,Kai Zhang,Hao Chen,Kangwu Chen

Stem cells translational medicine 14: PubMed39673221

2024

Autophagy modulates tenogenic differentiation of cartilage-derived stem cells in response to mechanical tension via FGF signaling.

Applications

Unspecified application

Species

Unspecified reactive species

Rui Zuo,Haoke Li,Chenhui Cai,Wen Xia,Jiabin Liu,Jie Li,Yuan Xu,Yi Zhang,Changqing Li,Yuzhang Wu,Chao Zhang

Advanced science (Weinheim, Baden-Wurttemberg, Germany) 11:e2400502 PubMed39418070

2024

Insufficient Mechanical Loading Downregulates Piezo1 in Chondrocytes and Impairs Fracture Healing Through ApoE-Induced Senescence.

Applications

Unspecified application

Species

Unspecified reactive species

Siming Jia,Weijian Liu,Mo Zhang,Lijun Wang,Chuan Ren,Chen Feng,Tao Zhang,Hongzhi Lv,Zhiyong Hou,Weiguo Zou,Yingze Zhang,Wei Tong,Juan Wang,Wei Chen

Bone research 12:34 PubMed38816384

2024

Lumbar instability remodels cartilage endplate to induce intervertebral disc degeneration by recruiting osteoclasts via Hippo-CCL3 signaling.

Applications

Unspecified application

Species

Unspecified reactive species

Hanwen Li,Yingchuang Tang,Zixiang Liu,Kangwu Chen,Kai Zhang,Sihan Hu,Chun Pan,Huilin Yang,Bin Li,Hao Chen

Bioactive materials 35:208-227 PubMed38327823

2024

Bio-integrated scaffold facilitates large bone regeneration dominated by endochondral ossification.

Applications

Unspecified application

Species

Unspecified reactive species

Lili Sun,Haoyi Niu,Yuqiong Wu,Shiyan Dong,Xuefeng Li,Betty Y S Kim,Changsheng Liu,Yifan Ma,Wen Jiang,Yuan Yuan

Genes & diseases 10:2097-2108 PubMed37492739

2023

DLX5 promotes expression and chondrocyte hypertrophy and is involved in osteoarthritis progression.

Applications

Unspecified application

Species

Unspecified reactive species

Jinnan Chen,Fangzhou Chen,Xuan Wu,Huiqin Bian,Chen Chen,Xiaojing Zhang,Ruoxuan Hei, XiaotongYang,Haochun Yuan,Qian Wang,Yaojuan Lu,Longwei Qiao,Qiping Zheng
View all publications

Product promise

We are committed to supporting your work with high-quality reagents, and we're here for you every step of the way. In the unlikely event that one of our products does not perform as expected, you're protected by our Product Promise.
For full details, please see our Terms & Conditions

Please note: All products are 'FOR RESEARCH USE ONLY. NOT FOR USE IN DIAGNOSTIC OR THERAPEUTIC PROCEDURES'.

For licensing inquiries, please contact partnerships@abcam.com