JavaScript is disabled in your browser. Please enable JavaScript to view this website.
AB231939

Anti-Collagen XVII antibody

Be the first to review this product! Submit a review

|

(1 Publication)

Rabbit Polyclonal Collagen XVII antibody. Suitable for WB, IHC-P and reacts with Rat, Human samples. Cited in 1 publication. Immunogen corresponding to Recombinant Fragment Protein within Human COL17A1 aa 150-400.

View Alternative Names

BP180, BPAG2, COL17A1, Collagen alpha-1(XVII) chain, 180 kDa bullous pemphigoid antigen 2, Bullous pemphigoid antigen 2

3 Images
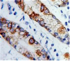
Immunohistochemistry (Formalin/PFA-fixed paraffin-embedded sections) - Anti-Collagen XVII antibody (AB231939)
  • IHC-P

Supplier Data

Immunohistochemistry (Formalin/PFA-fixed paraffin-embedded sections) - Anti-Collagen XVII antibody (AB231939)

Formalin-fixed, paraffin-embedded human stomach tissue stained for Collagen XVII using ab231939 at 20 μg/ml in immunohistochemical analysis. DAB staining.

Western blot - Anti-Collagen XVII antibody (AB231939)
  • WB

Supplier Data

Western blot - Anti-Collagen XVII antibody (AB231939)

All lanes:

Western blot - Anti-Collagen XVII antibody (ab231939) at 3 µg/mL

All lanes:

Rat skin lysate

Predicted band size: 150 kDa

false

Western blot - Anti-Collagen XVII antibody (AB231939)
  • WB

Supplier Data

Western blot - Anti-Collagen XVII antibody (AB231939)

All lanes:

Western blot - Anti-Collagen XVII antibody (ab231939) at 2 µg/mL

All lanes:

Recombinant human Collagen XVII protein

Predicted band size: 150 kDa

false

Key facts

Host species

Rabbit

Clonality

Polyclonal

Isotype

IgG

Carrier free

No

Reacts with

Rat, Human

Applications

IHC-P, WB

applications

Immunogen

Recombinant Fragment Protein within Human COL17A1 aa 150-400. The exact immunogen used to generate this antibody is proprietary information.

Q9UMD9

Reactivity data

{ "title": "Reactivity Data", "filters": { "stats": ["", "Species", "Dilution Info", "Notes"], "tabs": { "all-applications": {"fullname" : "All Applications", "shortname": "All Applications"}, "WB" : {"fullname" : "Western blot", "shortname":"WB"}, "IHCP" : {"fullname" : "Immunohistochemistry (Formalin/PFA-fixed paraffin-embedded sections)", "shortname":"IHC-P"} }, "product-promise": { "all": "all", "testedAndGuaranteed": "tested", "guaranteed": "expected", "predicted": "predicted", "notRecommended": "not-recommended" } }, "values": { "Human": { "WB-species-checked": "testedAndGuaranteed", "WB-species-dilution-info": "0.2-2 µg/mL", "WB-species-notes": "<p></p>", "IHCP-species-checked": "testedAndGuaranteed", "IHCP-species-dilution-info": "5-20 µg/mL", "IHCP-species-notes": "<p></p>" }, "Rat": { "WB-species-checked": "testedAndGuaranteed", "WB-species-dilution-info": "0.2-2 µg/mL", "WB-species-notes": "<p></p>", "IHCP-species-checked": "guaranteed", "IHCP-species-dilution-info": "", "IHCP-species-notes": "" }, "Cow": { "WB-species-checked": "predicted", "WB-species-dilution-info": "", "WB-species-notes": "", "IHCP-species-checked": "predicted", "IHCP-species-dilution-info": "", "IHCP-species-notes": "" } } }

Properties and storage information

Form
Liquid
Purification technique
Affinity purification Immunogen
Purification notes
ab231939 was purified by antigen-specific affinity chromatography followed by Protein A affinity chromatography.
Storage buffer
pH: 7.4 Preservative: 0.02% Sodium azide Constituents: PBS, 55.77% Glycerol (glycerin, glycerine)
Shipped at conditions
Blue Ice
Appropriate short-term storage duration
1-2 weeks
Appropriate short-term storage conditions
+4°C
Appropriate long-term storage conditions
-20°C
Aliquoting information
Upon delivery aliquot
Storage information
Avoid freeze / thaw cycle

Supplementary information

This supplementary information is collated from multiple sources and compiled automatically.

Collagen XVII also known as collagen 17 or 17a1 collagen is a transmembrane protein that primarily functions as a structural component in epithelial cells. It weighs approximately 180 kDa and is mainly expressed in the basement membrane of stratified epithelia. Collagen XVII forms hemidesmosomes which are essential for the attachment of epithelial cells to the underlying basement membrane. The protein ensures mechanical stability and integrity of tissues where it is found.
Biological function summary

Collagen XVII contributes to the maintenance of cell adhesion and tissue architecture. It acts as a component of the hemidesmosome complex connecting the extracellular matrix to the cytoskeleton through integrins. This interaction promotes structural stability and supports tissue repair processes. The protein's expression reaches high levels in skin mucous membranes and the cornea playing a significant role in maintaining the barrier function of these tissues.

Pathways

Collagen XVII interacts with cellular signaling pathways related to cell adhesion and migration. The protein is involved in the integrin-mediated signaling pathway which regulates cell survival and differentiation. Additionally it participates in the basement membrane pathway collaborating with proteins such as laminin and bullous pemphigoid antigens to maintain tissue cohesion and repair.

Collagen XVII is closely associated with bullous pemphigoid and junctional epidermolysis bullosa. In bullous pemphigoid antibodies target collagen XVII leading to skin blistering due to weakened cell adhesion. In junctional epidermolysis bullosa mutations in the gene encoding collagen XVII disrupt its function resulting in fragile skin and mucosa. These disorders highlight the important role this protein plays in maintaining epithelial tissue integrity and function.

Product protocols

For this product, it's our understanding that no specific protocols are required. You can visit:

Target data

May play a role in the integrity of hemidesmosome and the attachment of basal keratinocytes to the underlying basement membrane.. The 120 kDa linear IgA disease antigen is an anchoring filament component involved in dermal-epidermal cohesion. Is the target of linear IgA bullous dermatosis autoantibodies.
See full target information COL17A1

Publications (1)

Recent publications for all applications. Explore the full list and refine your search

Molecular medicine reports 19:4475-4483 PubMed30896885

2019

Downregulation of microRNA‑183‑5p inhibits the proliferation and invasion of colorectal cancer cells by inactivating the reticulocalbin‑2/Wnt/β‑catenin signaling pathway.

Applications

Unspecified application

Species

Unspecified reactive species

Gang Wang,Jingrong Zhou,Feng Lu,Lei Qiu,Liang Xu,Xiuwei Yang,Yongchang Miao
View all publications

Product promise

We are committed to supporting your work with high-quality reagents, and we're here for you every step of the way. In the unlikely event that one of our products does not perform as expected, you're protected by our Product Promise.
For full details, please see our Terms & Conditions

Please note: All products are 'FOR RESEARCH USE ONLY. NOT FOR USE IN DIAGNOSTIC OR THERAPEUTIC PROCEDURES'.

For licensing inquiries, please contact partnerships@abcam.com