JavaScript is disabled in your browser. Please enable JavaScript to view this website.
AB186415

Anti-Collagen XVII antibody [EPR14758]

  • BOND RX™ Validated
  • RabMAb
  • Recombinant
  • 20ul selling size
  • What is this?

5

(2 Reviews)

|

(13 Publications)

Anti-Collagen XVII antibody [EPR14758] (ab186415) is a rabbit monoclonal antibody detecting Collagen XVII in IHC-P, ICC/IF. Suitable for Human.

- Biophysical QC for unrivalled batch-batch consistency
- Over 10 publications

View Alternative Names

BP180, BPAG2, COL17A1, Collagen alpha-1(XVII) chain, 180 kDa bullous pemphigoid antigen 2, Bullous pemphigoid antigen 2

2 Images
Immunohistochemistry (Formalin/PFA-fixed paraffin-embedded sections) - Anti-Collagen XVII antibody [EPR14758] (AB186415)
  • IHC-P

Lab

Immunohistochemistry (Formalin/PFA-fixed paraffin-embedded sections) - Anti-Collagen XVII antibody [EPR14758] (AB186415)

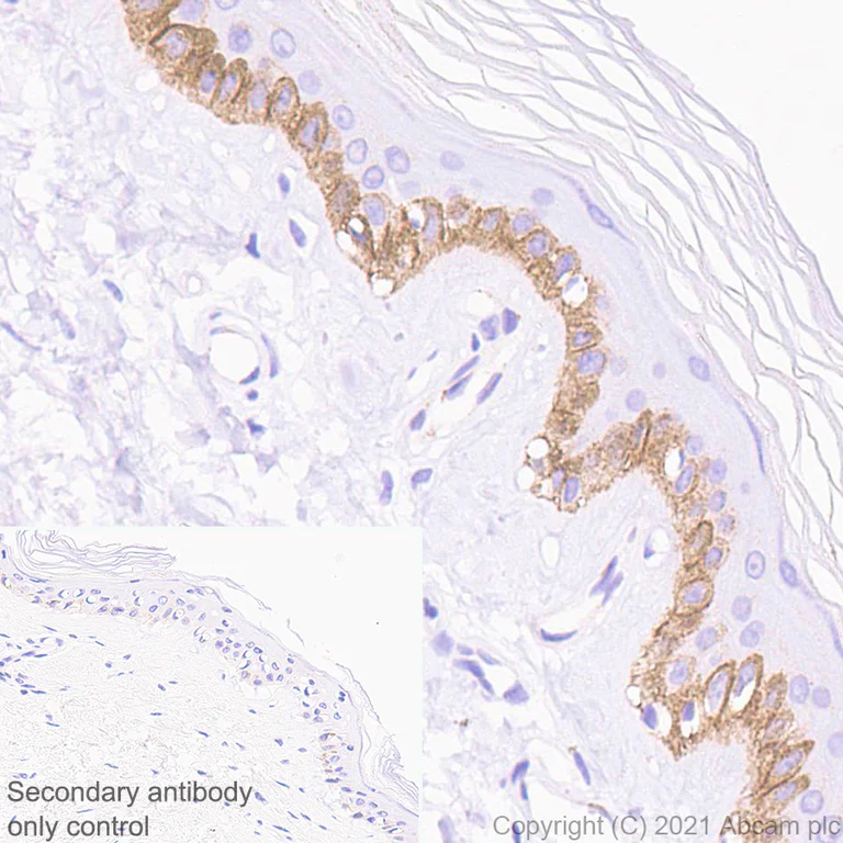
Immunohistochemical analysis of Paraffin-embedded sections Human skin tissue labelling Collagen XVII with ab186415 at 1/500 dilution, followed by a ready to use secondary Rabbit specific IHC polymer detection kit HRP/DAB (ab209101). Nuclear staining on human skin tissue is observed. Counter stained with Haematoxylin. Secondary antibody only control : Used PBS instead of primary antibody, secondary antibody is ready to use Rabbit specific IHC polymer detection kit HRP/DAB (ab209101). Heat mediated antigen retrieval with Citrate buffer (pH 6.0, epitope retrieval solution 1) for 20 mins. The immunostaining was performed on a Leica Biosystems BOND® RX instrument.

Immunocytochemistry/ Immunofluorescence - Anti-Collagen XVII antibody [EPR14758] (AB186415)
  • ICC/IF

Lab

Immunocytochemistry/ Immunofluorescence - Anti-Collagen XVII antibody [EPR14758] (AB186415)

ab186415 staining Collagen XVII in A431 (Human epidermoid carcinoma epithelial cell) cells. The cells were fixed with 4% paraformaldehyde then permeabilized with 0.1% tritonX-100. The cells were then incubated with ab186415 at 10μg/ml concentration followed by a further incubation with a Goat anti rabbit IgG (Alexa Fluor® 488, ab150077) at 2 μg/ml (shown in green). Nuclear DNA was labelled in blue with DAPI. ab195889, Anti-alpha Tubulin antibody [DM1A] - Microtubule Marker (Alexa Fluor® 594) was used at 1/200 dilution as counterstain (shown in red). Secondary antibody only control : PBS instead of the primary antibody.

  • 519 Alexa Fluor® 488

    Alexa Fluor® 488 Anti-Collagen XVII antibody [EPR14758]

  • Carrier free

    Anti-Collagen XVII antibody [EPR14758] - BSA and Azide free

  • 665 Alexa Fluor® 647

    Alexa Fluor® 647 Anti-Collagen XVII antibody [EPR14758]

Key facts

Host species

Rabbit

Clonality

Monoclonal

Clone number

EPR14758

Isotype

IgG

Carrier free

No

Reacts with

Human

Applications

ICC/IF, IHC-P

applications

Immunogen

The exact immunogen used to generate this antibody is proprietary information.

Reactivity data

{ "title": "Reactivity Data", "filters": { "stats": ["", "Species", "Dilution Info", "Notes"], "tabs": { "all-applications": {"fullname" : "All Applications", "shortname": "All Applications"}, "IHCP" : {"fullname" : "Immunohistochemistry (Formalin/PFA-fixed paraffin-embedded sections)", "shortname":"IHC-P"}, "ICCIF" : {"fullname" : "Immunocytochemistry/ Immunofluorescence", "shortname":"ICC/IF"} }, "product-promise": { "all": "all", "testedAndGuaranteed": "tested", "guaranteed": "expected", "predicted": "predicted", "notRecommended": "not-recommended" } }, "values": { "Human": { "IHCP-species-checked": "testedAndGuaranteed", "IHCP-species-dilution-info": "1/50 - 1/100", "IHCP-species-notes": "<p></p> Perform heat-mediated antigen retrieval with citrate buffer pH 6 before commencing with IHC staining protocol.", "ICCIF-species-checked": "testedAndGuaranteed", "ICCIF-species-dilution-info": "1/250", "ICCIF-species-notes": "<p></p>" } } }

Product details

What is this antibody validated in?
Anti-Collagen XVII antibody [EPR14758] (ab186415) is a rabbit recombinant monoclonal antibody and is validated for use in Immunohistochemistry (IHC-P), Immunocytochemistry/immunofluorescence (ICC/IF) in Human samples.

Trusted by the scientific community
Anti-Collagen XVII [EPR14758] (ab186415) was first used in a scientific publication in 2014 and has been cited over 10 times in peer-reviewed journals.

Trial sizes available!
Test your antibody or perform pre-screening before committing to a larger quantity. Sold in 10µl. Discover our selection of trial-size antibodies.

Other related products
We have a range of other formats of antibody clone [EPR14758] also available for your convenience: ab186415, Alexa Fluor® 647 - ab194722, Alexa Fluor® 488 - ab194723, Carrier free - ab239005

Patented technology
Our RabMAb® technology is a patented hybridoma-based technology for making rabbit monoclonal antibodies. For details on our patents, please refer to RabMAb® patents.

What are the advantages of a recombinant monoclonal antibody?
This product is a recombinant monoclonal antibody, which offers several advantages including:

  • - High batch-to-batch consistency and reproducibility
  • - Improved sensitivity and specificity
  • - Long-term security of supply
  • - Animal-free batch production

For more information, read more on recombinant antibodies.

Properties and storage information

Form
Liquid
Purification technique
Affinity purification Protein A
Storage buffer
pH: 7.2 - 7.4 Preservative: 0.01% Sodium azide Constituents: PBS, 40% Glycerol (glycerin, glycerine), 0.05% BSA
Shipped at conditions
Blue Ice
Appropriate short-term storage duration
1-2 weeks
Appropriate short-term storage conditions
+4°C
Appropriate long-term storage conditions
-20°C
Aliquoting information
Upon delivery aliquot
Storage information
Avoid freeze / thaw cycle

Supplementary information

This supplementary information is collated from multiple sources and compiled automatically.

Collagen XVII also known as collagen 17 or 17a1 collagen is a transmembrane protein that primarily functions as a structural component in epithelial cells. It weighs approximately 180 kDa and is mainly expressed in the basement membrane of stratified epithelia. Collagen XVII forms hemidesmosomes which are essential for the attachment of epithelial cells to the underlying basement membrane. The protein ensures mechanical stability and integrity of tissues where it is found.
Biological function summary

Collagen XVII contributes to the maintenance of cell adhesion and tissue architecture. It acts as a component of the hemidesmosome complex connecting the extracellular matrix to the cytoskeleton through integrins. This interaction promotes structural stability and supports tissue repair processes. The protein's expression reaches high levels in skin mucous membranes and the cornea playing a significant role in maintaining the barrier function of these tissues.

Pathways

Collagen XVII interacts with cellular signaling pathways related to cell adhesion and migration. The protein is involved in the integrin-mediated signaling pathway which regulates cell survival and differentiation. Additionally it participates in the basement membrane pathway collaborating with proteins such as laminin and bullous pemphigoid antigens to maintain tissue cohesion and repair.

Collagen XVII is closely associated with bullous pemphigoid and junctional epidermolysis bullosa. In bullous pemphigoid antibodies target collagen XVII leading to skin blistering due to weakened cell adhesion. In junctional epidermolysis bullosa mutations in the gene encoding collagen XVII disrupt its function resulting in fragile skin and mucosa. These disorders highlight the important role this protein plays in maintaining epithelial tissue integrity and function.

Product protocols

For this product, it's our understanding that no specific protocols are required. You can visit:

Target data

May play a role in the integrity of hemidesmosome and the attachment of basal keratinocytes to the underlying basement membrane.. The 120 kDa linear IgA disease antigen is an anchoring filament component involved in dermal-epidermal cohesion. Is the target of linear IgA bullous dermatosis autoantibodies.
See full target information COL17A1

Publications (13)

Recent publications for all applications. Explore the full list and refine your search

Nature communications 16:8572 PubMed41022734

2025

In vivo CRISPR screening in head and neck cancer reveals Uchl5 as an immunotherapy target.

Applications

Unspecified application

Species

Unspecified reactive species

Cong Fu,Robert Saddawi-Konefka,Jordan M Chinai,Sarah Y Kim,Ashwin V Kammula,Jonathan J Perera,Aiping Jiang,Payal Tiwari,Erin N Kistler,Shiqi Tang,Sarah M Luna,Kayla J Colvin,Juan Dubrot,Seth Anderson,Rachel A Fetterman,Cun Lan Chuong,Sarah K Lane-Reticker,Collins K Cheruiyot,Audrey J Muscato,Zahra Alipour,Douglas R Adkins,Gabriel K Griffin,Bradley E Bernstein,Ann Marie Egloff,Kathleen B Yates,Rebecca D Chernock,J Silvio Gutkind,Ravindra Uppaluri,Robert T Manguso

Heliyon 10:e34321 PubMed39144947

2024

Synergistic delivery of hADSC-Exos and antioxidants has inhibitory effects on UVB-induced skin photoaging.

Applications

Unspecified application

Species

Unspecified reactive species

Yu Fu,Jun-Ling Xie,Wan-Ting Zhang,Xing-Liao Zhang,Xin-Min Zhang,Meng-Meng Xu,Yao-Ting Han,Rong-Qi Liu,Guang-Ming Xie,Jing Zhang,Jun Zhang

International journal of molecular sciences 24: PubMed37958946

2023

Melatonin Exerts Prominent, Differential Epidermal and Dermal Anti-Aging Properties in Aged Human Eyelid Skin Ex Vivo.

Applications

Unspecified application

Species

Unspecified reactive species

Tara Samra,Tatiana Gomez-Gomez,Kinga Linowiecka,Aysun Akhundlu,Gabriella Lopez de Mendoza,Matthew Gompels,Wendy W Lee,Jennifer Gherardini,Jérémy Chéret,Ralf Paus

Laboratory investigation; a journal of technical methods and pathology 102:581-588 PubMed35145203

2022

Collagen XVII deficiency alters epidermal patterning.

Applications

Unspecified application

Species

Unspecified reactive species

Yunan Wang,Hiroyuki Kitahata,Hideyuki Kosumi,Mika Watanabe,Yu Fujimura,Shota Takashima,Shin-Ichi Osada,Tomonori Hirose,Wataru Nishie,Masaharu Nagayama,Hiroshi Shimizu,Ken Natsuga

Journal of cell communication and signaling 16:421-432 PubMed35060094

2022

Reduced expression of Collagen 17A1 in naturally aged, photoaged, and UV-irradiated human skin in vivo: Potential links to epidermal aging.

Applications

Unspecified application

Species

Unspecified reactive species

Yaping Xiang,Yingchun Liu,Yan Yang,Yan Yan,Ava J Kim,Chunfang Guo,Gary J Fisher,Taihao Quan

The Journal of cell biology 220: PubMed34550317

2021

EGFR-mediated epidermal stem cell motility drives skin regeneration through COL17A1 proteolysis.

Applications

Unspecified application

Species

Unspecified reactive species

Daisuke Nanba,Fujio Toki,Kyosuke Asakawa,Hiroyuki Matsumura,Ken Shiraishi,Koji Sayama,Kyoichi Matsuzaki,Hiroshi Toki,Emi K Nishimura

Nature 595:266-271 PubMed34163066

2021

Obesity accelerates hair thinning by stem cell-centric converging mechanisms.

Applications

Unspecified application

Species

Unspecified reactive species

Hironobu Morinaga,Yasuaki Mohri,Marina Grachtchouk,Kyosuke Asakawa,Hiroyuki Matsumura,Motohiko Oshima,Naoya Takayama,Tomoki Kato,Yuriko Nishimori,Yuriko Sorimachi,Keiyo Takubo,Takayoshi Suganami,Atsushi Iwama,Yoichiro Iwakura,Andrzej A Dlugosz,Emi K Nishimura

EMBO reports 22:e50882 PubMed34085753

2021

Hair follicle stem cell progeny heal blisters while pausing skin development.

Applications

Unspecified application

Species

Unspecified reactive species

Yu Fujimura,Mika Watanabe,Kota Ohno,Yasuaki Kobayashi,Shota Takashima,Hideki Nakamura,Hideyuki Kosumi,Yunan Wang,Yosuke Mai,Andrea Lauria,Valentina Proserpio,Hideyuki Ujiie,Hiroaki Iwata,Wataru Nishie,Masaharu Nagayama,Salvatore Oliviero,Giacomo Donati,Hiroshi Shimizu,Ken Natsuga

Current biology : CB 31:3086-3097.e7 PubMed34087104

2021

The CD44/COL17A1 pathway promotes the formation of multilayered, transformed epithelia.

Applications

Unspecified application

Species

Unspecified reactive species

Kei Kozawa,Miho Sekai,Kenji Ohba,Shoko Ito,Hiroaki Sako,Takeshi Maruyama,Mai Kakeno,Takanobu Shirai,Keisuke Kuromiya,Tomoko Kamasaki,Koki Kohashi,Shinya Tanaka,Susumu Ishikawa,Nanami Sato,Shota Asano,Hironori Suzuki,Nobuyuki Tanimura,Yohei Mukai,Noriko Gotoh,Mishie Tanino,Shinya Tanaka,Ken Natsuga,Tomoyoshi Soga,Tomonori Nakamura,Yukihiro Yabuta,Mitinori Saitou,Takahiro Ito,Kenkyo Matsuura,Makoto Tsunoda,Toyone Kikumori,Tadashi Iida,Yasuyuki Mizutani,Yuki Miyai,Kozo Kaibuchi,Atsushi Enomoto,Yasuyuki Fujita

Experimental dermatology 30:62-67 PubMed32970880

2020

Type XVII collagen interacts with the aPKC-PAR complex and maintains epidermal cell polarity.

Applications

Unspecified application

Species

Unspecified reactive species

Mika Watanabe,Hideyuki Kosumi,Shin-Ichi Osada,Shota Takashima,Yunan Wang,Wataru Nishie,Tsukasa Oikawa,Tomonori Hirose,Hiroshi Shimizu,Ken Natsuga
View all publications

Product promise

We are committed to supporting your work with high-quality reagents, and we're here for you every step of the way. In the unlikely event that one of our products does not perform as expected, you're protected by our Product Promise.
For full details, please see our Terms & Conditions

Please note: All products are 'FOR RESEARCH USE ONLY. NOT FOR USE IN DIAGNOSTIC OR THERAPEUTIC PROCEDURES'.

For licensing inquiries, please contact partnerships@abcam.com