JavaScript is disabled in your browser. Please enable JavaScript to view this website.
AB239005

Anti-Collagen XVII antibody [EPR14758] - BSA and Azide free

4

(1 Review)

|

(1 Publication)

Rabbit Recombinant Monoclonal Collagen XVII antibody. Carrier free. Suitable for IHC-P, ICC/IF and reacts with Human samples. Cited in 1 publication.

View Alternative Names

BP180, BPAG2, COL17A1, Collagen alpha-1(XVII) chain, 180 kDa bullous pemphigoid antigen 2, Bullous pemphigoid antigen 2

2 Images
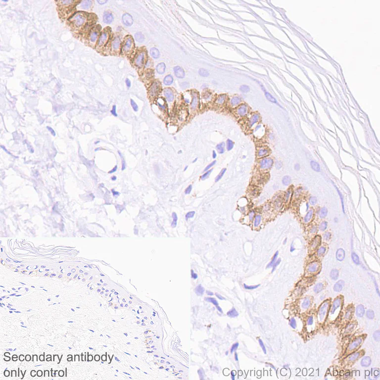
Immunohistochemistry (Formalin/PFA-fixed paraffin-embedded sections) - Anti-Collagen XVII antibody [EPR14758] - BSA and Azide free (AB239005)
  • IHC-P

Lab

Immunohistochemistry (Formalin/PFA-fixed paraffin-embedded sections) - Anti-Collagen XVII antibody [EPR14758] - BSA and Azide free (AB239005)

This data was developed using the same antibody clone in a different buffer formulation containing PBS, BSA, glycerol, and sodium azide (ab186415). Immunohistochemical analysis of Paraffin-embedded sections Human skin tissue labelling Collagen XVII with ab186415 at 1/500 dilution, followed by a ready to use secondary Rabbit specific IHC polymer detection kit HRP/DAB (ab209101). Nuclear staining on human skin tissue is observed. Counter stained with Haematoxylin. Secondary antibody only control : Used PBS instead of primary antibody, secondary antibody is ready to use Rabbit specific IHC polymer detection kit HRP/DAB (ab209101). Heat mediated antigen retrieval with Citrate buffer (pH 6.0, epitope retrieval solution 1) for 20 mins. The immunostaining was performed on a Leica Biosystems BOND® RX instrument.

Immunocytochemistry/ Immunofluorescence - Anti-Collagen XVII antibody [EPR14758] - BSA and Azide free (AB239005)
  • ICC/IF

Lab

Immunocytochemistry/ Immunofluorescence - Anti-Collagen XVII antibody [EPR14758] - BSA and Azide free (AB239005)

This data was developed using the same antibody clone in a different buffer formulation containing PBS, BSA, glycerol, and sodium azide (ab186415). ab186415 staining Collagen XVII in A431 (Human epidermoid carcinoma epithelial cell) cells. The cells were fixed with 4% paraformaldehyde then permeabilized with 0.1% tritonX-100. The cells were then incubated with ab186415 at 10μg/ml concentration followed by a further incubation with a Goat anti rabbit IgG (Alexa Fluor® 488, ab150077) at 2 μg/ml (shown in green). Nuclear DNA was labelled in blue with DAPI. ab195889, Anti-alpha Tubulin antibody [DM1A] - Microtubule Marker (Alexa Fluor® 594) was used at 1/200 dilution as counterstain (shown in red). Secondary antibody only control : PBS instead of the primary antibody.

Key facts

Host species

Rabbit

Clonality

Monoclonal

Clone number

EPR14758

Isotype

IgG

Carrier free

Yes

Reacts with

Human

Applications

ICC/IF, IHC-P

applications

Immunogen

The exact immunogen used to generate this antibody is proprietary information.

Reactivity data

{ "title": "Reactivity Data", "filters": { "stats": ["", "Species", "Dilution Info", "Notes"], "tabs": { "all-applications": {"fullname" : "All Applications", "shortname": "All Applications"}, "IHCP" : {"fullname" : "Immunohistochemistry (Formalin/PFA-fixed paraffin-embedded sections)", "shortname":"IHC-P"}, "ICCIF" : {"fullname" : "Immunocytochemistry/ Immunofluorescence", "shortname":"ICC/IF"} }, "product-promise": { "all": "all", "testedAndGuaranteed": "tested", "guaranteed": "expected", "predicted": "predicted", "notRecommended": "not-recommended" } }, "values": { "Human": { "IHCP-species-checked": "testedAndGuaranteed", "IHCP-species-dilution-info": "", "IHCP-species-notes": "<p></p>", "ICCIF-species-checked": "testedAndGuaranteed", "ICCIF-species-dilution-info": "", "ICCIF-species-notes": "<p></p>" } } }

Product details

ab239005 is the carrier-free version of ab186415.

Patented technology
Our RabMAb® technology is a patented hybridoma-based technology for making rabbit monoclonal antibodies. For details on our patents, please refer to RabMAb® patents.

What are the advantages of a recombinant monoclonal antibody?
This product is a recombinant monoclonal antibody, which offers several advantages including:

  • - High batch-to-batch consistency and reproducibility
  • - Improved sensitivity and specificity
  • - Long-term security of supply
  • - Animal-free batch production

For more information, read more on recombinant antibodies.

Conjugation ready
Our carrier-free antibodies are typically supplied in a PBS-only formulation, purified and free of BSA, sodium azide and glycerol. This conjugation-ready format is designed for use with fluorochromes, metal isotopes, oligonucleotides, and enzymes, which makes them ideal for antibody labelling, functional and cell-based assays, flow-based assays (e.g. mass cytometry) and Multiplex Imaging applications.

Use our conjugation kits for antibody conjugates that are ready-to-use in as little as 20 minutes with 1 minute hands-on-time and 100% antibody recovery: available for fluorescent dyes, HRP, biotin and gold.

Compatibility
This product is compatible with the Maxpar® Antibody Labeling Kit from Fluidigm, without the need for antibody preparation. Maxpar® is a trademark of Fluidigm Canada Inc.

Properties and storage information

Form
Liquid
Purification technique
Affinity purification Protein A
Storage buffer
pH: 7.2 - 7.4 Constituents: PBS
Shipped at conditions
Blue Ice
Appropriate short-term storage conditions
+4°C
Appropriate long-term storage conditions
+4°C
Storage information
Do Not Freeze

Supplementary information

This supplementary information is collated from multiple sources and compiled automatically.

Collagen XVII also known as collagen 17 or 17a1 collagen is a transmembrane protein that primarily functions as a structural component in epithelial cells. It weighs approximately 180 kDa and is mainly expressed in the basement membrane of stratified epithelia. Collagen XVII forms hemidesmosomes which are essential for the attachment of epithelial cells to the underlying basement membrane. The protein ensures mechanical stability and integrity of tissues where it is found.
Biological function summary

Collagen XVII contributes to the maintenance of cell adhesion and tissue architecture. It acts as a component of the hemidesmosome complex connecting the extracellular matrix to the cytoskeleton through integrins. This interaction promotes structural stability and supports tissue repair processes. The protein's expression reaches high levels in skin mucous membranes and the cornea playing a significant role in maintaining the barrier function of these tissues.

Pathways

Collagen XVII interacts with cellular signaling pathways related to cell adhesion and migration. The protein is involved in the integrin-mediated signaling pathway which regulates cell survival and differentiation. Additionally it participates in the basement membrane pathway collaborating with proteins such as laminin and bullous pemphigoid antigens to maintain tissue cohesion and repair.

Collagen XVII is closely associated with bullous pemphigoid and junctional epidermolysis bullosa. In bullous pemphigoid antibodies target collagen XVII leading to skin blistering due to weakened cell adhesion. In junctional epidermolysis bullosa mutations in the gene encoding collagen XVII disrupt its function resulting in fragile skin and mucosa. These disorders highlight the important role this protein plays in maintaining epithelial tissue integrity and function.

Product protocols

For this product, it's our understanding that no specific protocols are required. You can visit:

Target data

May play a role in the integrity of hemidesmosome and the attachment of basal keratinocytes to the underlying basement membrane.. The 120 kDa linear IgA disease antigen is an anchoring filament component involved in dermal-epidermal cohesion. Is the target of linear IgA bullous dermatosis autoantibodies.
See full target information COL17A1

Publications (1)

Recent publications for all applications. Explore the full list and refine your search

Oncology letters 19:505-512 PubMed31897164

2020

p28GANK overexpression is associated with chemotherapy resistance and poor prognosis in ovarian cancer.

Applications

Unspecified application

Species

Unspecified reactive species

Ge Yu,Na Li,Wei Wang,Ming Niu,Xiaoling Feng
View all publications

Product promise

We are committed to supporting your work with high-quality reagents, and we're here for you every step of the way. In the unlikely event that one of our products does not perform as expected, you're protected by our Product Promise.
For full details, please see our Terms & Conditions

Please note: All products are 'FOR RESEARCH USE ONLY. NOT FOR USE IN DIAGNOSTIC OR THERAPEUTIC PROCEDURES'.

For licensing inquiries, please contact partnerships@abcam.com