JavaScript is disabled in your browser. Please enable JavaScript to view this website.
AB184996

Anti-Collagen XVII antibody [EPR18614]

5

(4 Reviews)

|

(43 Publications)

Anti-Collagen XVII antibody [EPR18614] (ab184996) is a rabbit monoclonal antibody detecting Collagen XVII in Western Blot, IP, IHC-P, ICC/IF. Suitable for Human, Mouse, Rat.

- Biophysical QC for unrivalled batch-batch consistency
- Over 30 publications

View Alternative Names

BP180, BPAG2, COL17A1, Collagen alpha-1(XVII) chain, 180 kDa bullous pemphigoid antigen 2, Bullous pemphigoid antigen 2

11 Images
Immunocytochemistry/ Immunofluorescence - Anti-Collagen XVII antibody [EPR18614] (AB184996)
  • ICC/IF

Supplier Data

Immunocytochemistry/ Immunofluorescence - Anti-Collagen XVII antibody [EPR18614] (AB184996)

Immunofluorescent analysis of 4% paraformaldehyde-fixed 0.1% Triton X-100 permeabilized HaCaT (Human keratinocyte cells) cells labeling Collagen XVII with ab184996 at 1/100 dilution followed by Goat anti-rabbit IgG (Alexa Fluor® 488) (ab150077) secondary antibody at 1/1000 dilution (green). Confocal image showing cytoplasmic and membranous staining on HaCaT cell line. The nuclear counter stain is DAPI (blue). Tubulin is detected with ab7291 (anti-Tubulin mouse mAb) at 1/1000 dilution and ab150120 (AlexaFluor®594 Goat anti-Mouse secondary) at 1/1000 dilution (red).

The negative controls are as follows :
-ve control 1 : ab184996 at 1/100 dilution followed by ab150120 (AlexaFluor®594 Goat anti-Mouse secondary) at 1/1000 dilution.
-ve control 2 : . ab7291 (anti-Tubulin mouse mAb) at 1/1000 dilution followed by ab150077 (Alexa Fluor®488 Goat Anti-Rabbit IgG H&L) at 1/1000 dilution.

Immunohistochemistry (Formalin/PFA-fixed paraffin-embedded sections) - Anti-Collagen XVII antibody [EPR18614] (AB184996)
  • IHC-P

Supplier Data

Immunohistochemistry (Formalin/PFA-fixed paraffin-embedded sections) - Anti-Collagen XVII antibody [EPR18614] (AB184996)

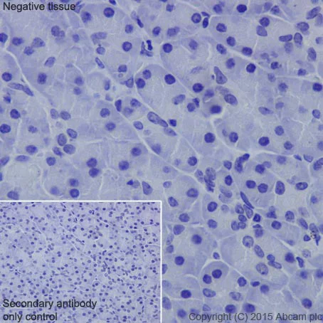
Immunohistochemical analysis of paraffin-embedded Human pancreas tissue labeling Collagen XVII with ab184996 at 1/100 dilution followed by Goat Anti-Rabbit IgG H&L (HRP) (ab97051) at 1/500 dilution. Negative on Human pancreas. Counter stained with Hematoxylin.

Secondary antibody only control : Used PBS instead of primary antibody secondary antibody is Goat Anti-Rabbit IgG H&L (HRP) (ab97051) at 1/500 dilution.

Perform heat mediated antigen retrieval with Tris/EDTA buffer pH 9.0 before commencing with IHC staining protocol.

Immunohistochemistry (Formalin/PFA-fixed paraffin-embedded sections) - Anti-Collagen XVII antibody [EPR18614] (AB184996)
  • IHC-P

Supplier Data

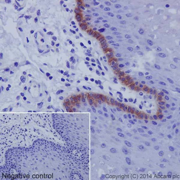
Immunohistochemistry (Formalin/PFA-fixed paraffin-embedded sections) - Anti-Collagen XVII antibody [EPR18614] (AB184996)

Immunohistochemical analysis of paraffin-embedded Human esophagus tissue labeling Collagen XVII with ab184996 at 1/100 dilution followed by Goat Anti-Rabbit IgG H&L (HRP) (ab97051) at 1/500 dilution. Cytoplasmic staining on squamous epithelial cells of Human esophagus is observed. Counter stained with Hematoxylin.

Secondary antibody only control : Used PBS instead of primary antibody secondary antibody is Goat Anti-Rabbit IgG H&L (HRP) (ab97051) at 1/500 dilution.

J Biol Chem. 1991. 266 24064-24069.

Perform heat mediated antigen retrieval with Tris/EDTA buffer pH 9.0 before commencing with IHC staining protocol.

Immunocytochemistry/ Immunofluorescence - Anti-Collagen XVII antibody [EPR18614] (AB184996)
  • ICC/IF

Supplier Data

Immunocytochemistry/ Immunofluorescence - Anti-Collagen XVII antibody [EPR18614] (AB184996)

Immunofluorescent analysis of 4% paraformaldehyde-fixed 0.1% Triton X-100 permeabilized A431 (Human epidermoid carcinoma) cells labeling Collagen XVII with ab184996 at 1/100 dilution followed by Goat anti-rabbit IgG (Alexa Fluor® 488) (ab150077) secondary antibody at 1/1000 dilution (green). Confocal image showing cytoplasmic and membranous staining on A431 cell line. The nuclear counter stain is DAPI (blue). Tubulin is detected with ab7291 (anti-Tubulin mouse mAb) at 1/1000 dilution and ab150120 (AlexaFluor®594 Goat anti-Mouse secondary) at 1/1000 dilution (red).

The negative controls are as follows :
-ve control 1 : ab184996 at 1/100 dilution followed by ab150120 (AlexaFluor®594 Goat anti-Mouse secondary) at 1/1000 dilution.
-ve control 2 : ab7291 (anti-Tubulin mouse mAb) at 1/1000 dilution followed by ab150077 (Alexa Fluor®488 Goat Anti-Rabbit IgG H&L) at 1/1000 dilution.

Immunohistochemistry (Formalin/PFA-fixed paraffin-embedded sections) - Anti-Collagen XVII antibody [EPR18614] (AB184996)
  • IHC-P

Supplier Data

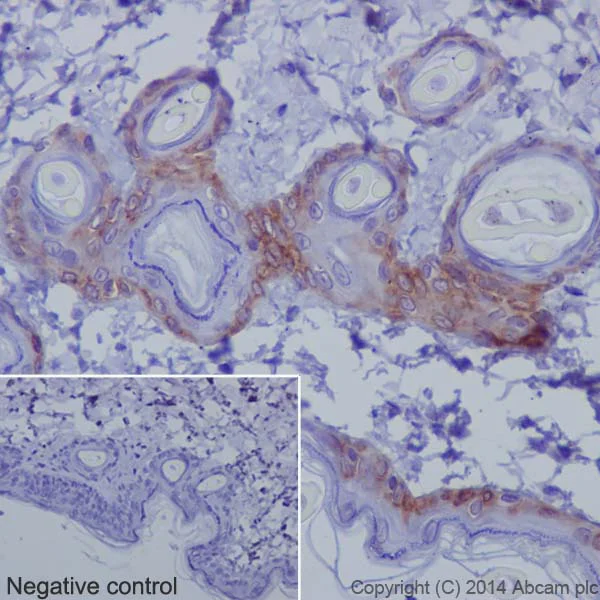
Immunohistochemistry (Formalin/PFA-fixed paraffin-embedded sections) - Anti-Collagen XVII antibody [EPR18614] (AB184996)

Immunohistochemical analysis of paraffin-embedded mouse skin tissue labeling Collagen XVII with ab184996 at 1/100 dilution followed by Goat Anti-Rabbit IgG H&L (HRP) (ab97051) at 1/500 dilution. Cytoplasmic and membrane staining on squamous epithelial cells of mouse skin is observed. Counter stained with Hematoxylin.

Secondary antibody only control : Used PBS instead of primary antibody secondary antibody is Goat Anti-Rabbit IgG H&L (HRP) (ab97051) at 1/500 dilution.

Perform heat mediated antigen retrieval with Tris/EDTA buffer pH 9.0 before commencing with IHC staining protocol.

Immunohistochemistry (Formalin/PFA-fixed paraffin-embedded sections) - Anti-Collagen XVII antibody [EPR18614] (AB184996)
  • IHC-P

Supplier Data

Immunohistochemistry (Formalin/PFA-fixed paraffin-embedded sections) - Anti-Collagen XVII antibody [EPR18614] (AB184996)

Immunohistochemical analysis of paraffin-embedded rat skin tissue labeling Collagen XVII with ab184996 at 1/100 dilution followed by Goat Anti-Rabbit IgG H&L (HRP) (ab97051) at 1/500 dilution. Cytoplasmic staining on epithelial cells of rat skin is observed. Counter stained with Hematoxylin.

Secondary antibody only control : Used PBS instead of primary antibody secondary antibody is Goat Anti-Rabbit IgG H&L (HRP) (ab97051) at 1/500 dilution.

Perform heat mediated antigen retrieval with Tris/EDTA buffer pH 9.0 before commencing with IHC staining protocol.

Western blot - Anti-Collagen XVII antibody [EPR18614] (AB184996)
  • WB

Supplier Data

Western blot - Anti-Collagen XVII antibody [EPR18614] (AB184996)

Blocking/Dilution buffer : 5% NFDM/TBST.

The expression profile/ molecular weight observed is consistent with what has been described in the literature (PMID : 15161638).

All lanes:

Western blot - Anti-Collagen XVII antibody [EPR18614] (ab184996) at 1/5000 dilution

Lane 1:

Human skin lysate at 10 µg

Lane 2:

Human fetal liver lysate at 10 µg

Lane 3:

Human fetal lung lysate at 10 µg

Secondary

All lanes:

Anti-Rabbit IgG (HRP), specific to the non-reduced form of IgG at 1/10000 dilution

Predicted band size: 150 kDa

Observed band size: 130 kDa,180 kDa

false

Exposure time: 3min

Western blot - Anti-Collagen XVII antibody [EPR18614] (AB184996)
  • WB

Supplier Data

Western blot - Anti-Collagen XVII antibody [EPR18614] (AB184996)

Blocking/Dilution buffer : 5% NFDM/TBST.

The expression profile/ molecular weight observed is consistent with what has been described in the literature (PMID : 15161638).

All lanes:

Western blot - Anti-Collagen XVII antibody [EPR18614] (ab184996) at 1/1000 dilution

All lanes:

Rat skin lysate at 10 µg

Secondary

All lanes:

Western blot - Goat Anti-Rabbit IgG H&L (HRP) (<a href='/en-us/products/secondary-antibodies/goat-rabbit-igg-h-l-hrp-ab97051'>ab97051</a>) at 1/50000 dilution

Predicted band size: 150 kDa

Observed band size: 130 kDa,180 kDa

false

Exposure time: 3min

Immunoprecipitation - Anti-Collagen XVII antibody [EPR18614] (AB184996)
  • IP

Supplier Data

Immunoprecipitation - Anti-Collagen XVII antibody [EPR18614] (AB184996)

Collagen XVII was immunoprecipitated from 1mg of A431 (Human epidermoid carcinoma) whole cell lysate with ab184996 at 1/50 dilution. Western blot was performed from the immunoprecipitate using ab184996 at 1/1000 dilution. VeriBlot for IP Detection Reagent (HRP) (ab131366), was used for detection at 1/10000 dilution.

Lane 1 : A431 whole cell lysate 10ug (Input).

Lane 2 : ab184996 IP in A431 whole cell lysate.

Lane 3 : Rabbit monoclonal IgG (ab172730) instead of ab184996 in A431 whole cell lysate.

Blocking and dilution buffer and concentration : 5% NFDM/TBST.

Exposure time : 10 seconds.

All lanes:

Immunoprecipitation - Anti-Collagen XVII antibody [EPR18614] (ab184996)

Predicted band size: 150 kDa

Observed band size: 130 kDa

false

Western blot - Anti-Collagen XVII antibody [EPR18614] (AB184996)
  • WB

Supplier Data

Western blot - Anti-Collagen XVII antibody [EPR18614] (AB184996)

Blocking/Dilution buffer : 5% NFDM/TBST.

The expression profile/ molecular weight observed is consistent with what has been described in the literature (PMID : 15161638).

All lanes:

Western blot - Anti-Collagen XVII antibody [EPR18614] (ab184996) at 1/2000 dilution

All lanes:

Mouse skin lysate at 10 µg

Secondary

All lanes:

Western blot - Goat Anti-Rabbit IgG H&L (HRP) (<a href='/en-us/products/secondary-antibodies/goat-rabbit-igg-h-l-hrp-ab97051'>ab97051</a>) at 1/50000 dilution

Predicted band size: 150 kDa

Observed band size: 130 kDa,180 kDa

false

Exposure time: 2min

Western blot - Anti-Collagen XVII antibody [EPR18614] (AB184996)
  • WB

Supplier Data

Western blot - Anti-Collagen XVII antibody [EPR18614] (AB184996)

Blocking/Dilution buffer : 5% NFDM/TBST.

The expression profile/ molecular weight observed is consistent with what has been described in the literature (PMID : 15161638).

All lanes:

Western blot - Anti-Collagen XVII antibody [EPR18614] (ab184996) at 1/5000 dilution

All lanes:

A431 (Human epidermoid carcinoma) whole cell lysate at 10 µg

Secondary

All lanes:

Western blot - Goat Anti-Rabbit IgG H&L (HRP) (<a href='/en-us/products/secondary-antibodies/goat-rabbit-igg-h-l-hrp-ab97051'>ab97051</a>) at 1/50000 dilution

Predicted band size: 150 kDa

Observed band size: 130 kDa,180 kDa

false

Exposure time: 1min

Key facts

Host species

Rabbit

Clonality

Monoclonal

Clone number

EPR18614

Isotype

IgG

Carrier free

No

Reacts with

Mouse, Rat, Human

Applications

ICC/IF, IHC-P, WB, IP

applications

Immunogen

The exact immunogen used to generate this antibody is proprietary information.

Reactivity data

{ "title": "Reactivity Data", "filters": { "stats": ["", "Species", "Dilution Info", "Notes"], "tabs": { "all-applications": {"fullname" : "All Applications", "shortname": "All Applications"}, "IP" : {"fullname" : "Immunoprecipitation", "shortname":"IP"}, "WB" : {"fullname" : "Western blot", "shortname":"WB"}, "ICCIF" : {"fullname" : "Immunocytochemistry/ Immunofluorescence", "shortname":"ICC/IF"}, "IHCP" : {"fullname" : "Immunohistochemistry (Formalin/PFA-fixed paraffin-embedded sections)", "shortname":"IHC-P"} }, "product-promise": { "all": "all", "testedAndGuaranteed": "tested", "guaranteed": "expected", "predicted": "predicted", "notRecommended": "not-recommended" } }, "values": { "Human": { "IP-species-checked": "testedAndGuaranteed", "IP-species-dilution-info": "1/50", "IP-species-notes": "<p></p>", "WB-species-checked": "testedAndGuaranteed", "WB-species-dilution-info": "1/1000", "WB-species-notes": "<p></p>", "ICCIF-species-checked": "testedAndGuaranteed", "ICCIF-species-dilution-info": "1/100", "ICCIF-species-notes": "<p></p>", "IHCP-species-checked": "testedAndGuaranteed", "IHCP-species-dilution-info": "1/100", "IHCP-species-notes": "<p></p> Perform heat-mediated antigen retrieval with Tris/EDTA buffer pH 9.0 before commencing with IHC staining protocol." }, "Mouse": { "IP-species-checked": "guaranteed", "IP-species-dilution-info": "", "IP-species-notes": "", "WB-species-checked": "testedAndGuaranteed", "WB-species-dilution-info": "1/1000", "WB-species-notes": "<p></p>", "ICCIF-species-checked": "guaranteed", "ICCIF-species-dilution-info": "", "ICCIF-species-notes": "", "IHCP-species-checked": "testedAndGuaranteed", "IHCP-species-dilution-info": "1/100", "IHCP-species-notes": "<p></p> Perform heat-mediated antigen retrieval with Tris/EDTA buffer pH 9.0 before commencing with IHC staining protocol." }, "Rat": { "IP-species-checked": "guaranteed", "IP-species-dilution-info": "", "IP-species-notes": "", "WB-species-checked": "testedAndGuaranteed", "WB-species-dilution-info": "1/1000", "WB-species-notes": "<p></p>", "ICCIF-species-checked": "guaranteed", "ICCIF-species-dilution-info": "", "ICCIF-species-notes": "", "IHCP-species-checked": "testedAndGuaranteed", "IHCP-species-dilution-info": "1/100", "IHCP-species-notes": "<p></p> Perform heat-mediated antigen retrieval with Tris/EDTA buffer pH 9.0 before commencing with IHC staining protocol." } } }

Product details

What is this antibody validated in?
Anti-Collagen XVII antibody [EPR18614] (ab184996) is a rabbit recombinant monoclonal antibody and is validated for use in Western Blot (WB), Immunoprecipitation (IP), Immunohistochemistry (IHC-P), Immunocytochemistry/immunofluorescence (ICC/IF) in Human, Mouse, Rat samples.

What is the molecular weight of Collagen XVII?
Anti-Collagen XVII [EPR18614] (ab184996) specifically detects a band for Collagen XVII (UniProt: Q9UMD9) at a molecular weight of 150kDa.

Trusted by the scientific community
Anti-Collagen XVII [EPR18614] (ab184996) was first used in a scientific publication in 2015 and has been cited over 30 times in peer-reviewed journals.

Trial sizes available!
Test your antibody or perform pre-screening before committing to a larger quantity. Sold in 10µl. Discover our selection of trial-size antibodies.

Other related products
We have a range of other formats of antibody clone [EPR18614] also available for your convenience: ab184996, Alexa Fluor® 647 - ab218594, Carrier free - ab271950

Patented technology
Our RabMAb® technology is a patented hybridoma-based technology for making rabbit monoclonal antibodies. For details on our patents, please refer to RabMAb® patents.

What are the advantages of a recombinant monoclonal antibody?
This product is a recombinant monoclonal antibody, which offers several advantages including:

  • - High batch-to-batch consistency and reproducibility
  • - Improved sensitivity and specificity
  • - Long-term security of supply
  • - Animal-free batch production

For more information, read more on recombinant antibodies.

Properties and storage information

Form
Liquid
Purification technique
Affinity purification Protein A
Storage buffer
pH: 7.2 - 7.4 Preservative: 0.01% Sodium azide Constituents: PBS, 40% Glycerol (glycerin, glycerine), 0.05% BSA
Shipped at conditions
Blue Ice
Appropriate short-term storage duration
1-2 weeks
Appropriate short-term storage conditions
+4°C
Appropriate long-term storage conditions
-20°C
Aliquoting information
Upon delivery aliquot
Storage information
Avoid freeze / thaw cycle

Supplementary information

This supplementary information is collated from multiple sources and compiled automatically.

Collagen XVII also known as collagen 17 or 17a1 collagen is a transmembrane protein that primarily functions as a structural component in epithelial cells. It weighs approximately 180 kDa and is mainly expressed in the basement membrane of stratified epithelia. Collagen XVII forms hemidesmosomes which are essential for the attachment of epithelial cells to the underlying basement membrane. The protein ensures mechanical stability and integrity of tissues where it is found.
Biological function summary

Collagen XVII contributes to the maintenance of cell adhesion and tissue architecture. It acts as a component of the hemidesmosome complex connecting the extracellular matrix to the cytoskeleton through integrins. This interaction promotes structural stability and supports tissue repair processes. The protein's expression reaches high levels in skin mucous membranes and the cornea playing a significant role in maintaining the barrier function of these tissues.

Pathways

Collagen XVII interacts with cellular signaling pathways related to cell adhesion and migration. The protein is involved in the integrin-mediated signaling pathway which regulates cell survival and differentiation. Additionally it participates in the basement membrane pathway collaborating with proteins such as laminin and bullous pemphigoid antigens to maintain tissue cohesion and repair.

Collagen XVII is closely associated with bullous pemphigoid and junctional epidermolysis bullosa. In bullous pemphigoid antibodies target collagen XVII leading to skin blistering due to weakened cell adhesion. In junctional epidermolysis bullosa mutations in the gene encoding collagen XVII disrupt its function resulting in fragile skin and mucosa. These disorders highlight the important role this protein plays in maintaining epithelial tissue integrity and function.

Product protocols

For this product, it's our understanding that no specific protocols are required. You can visit:

Target data

May play a role in the integrity of hemidesmosome and the attachment of basal keratinocytes to the underlying basement membrane.. The 120 kDa linear IgA disease antigen is an anchoring filament component involved in dermal-epidermal cohesion. Is the target of linear IgA bullous dermatosis autoantibodies.
See full target information COL17A1

Publications (43)

Recent publications for all applications. Explore the full list and refine your search

Nature communications 16:8572 PubMed41022734

2025

In vivo CRISPR screening in head and neck cancer reveals Uchl5 as an immunotherapy target.

Applications

Unspecified application

Species

Unspecified reactive species

Cong Fu,Robert Saddawi-Konefka,Jordan M Chinai,Sarah Y Kim,Ashwin V Kammula,Jonathan J Perera,Aiping Jiang,Payal Tiwari,Erin N Kistler,Shiqi Tang,Sarah M Luna,Kayla J Colvin,Juan Dubrot,Seth Anderson,Rachel A Fetterman,Cun Lan Chuong,Sarah K Lane-Reticker,Collins K Cheruiyot,Audrey J Muscato,Zahra Alipour,Douglas R Adkins,Gabriel K Griffin,Bradley E Bernstein,Ann Marie Egloff,Kathleen B Yates,Rebecca D Chernock,J Silvio Gutkind,Ravindra Uppaluri,Robert T Manguso

Cancer research communications 5:1319-1331 PubMed40728119

2025

Collagen XVII Promotes Pancreatic Ductal Adenocarcinoma Tumor Growth through Regulation of PIK3R5.

Applications

Unspecified application

Species

Unspecified reactive species

Thomas Hank,Annie Li,Louisa Bolm,Marta Sandini,Taisuke Baba,Natalie Petruch,Julia Strässer,Kenzui Taniue,Jon M Harrison,Mari Mino-Kenudson,David T Ting,Keith D Lillemoe,Andrew L Warshaw,Carlos Fernández-Del Castillo,Kim C Honselmann,Andrew S Liss

Journal of ginseng research 49:326-330 PubMed40453350

2025

Compound K suppresses epidermal aging induced by IL-17A treatment and UVB irradiation.

Applications

Unspecified application

Species

Unspecified reactive species

A Young Kim,Ji-Yong Jung,Donghyun Kim,Jeong Hun Cho,Yong Deog Hong,Hyoung-June Kim,Si-Young Cho

Pharmaceuticals (Basel, Switzerland) 18: PubMed40430436

2025

Epigallocatechin Gallate in Ameliorates Skin Aging by Reducing Mitochondrial ROS Production.

Applications

Unspecified application

Species

Unspecified reactive species

Ji Ho Park,Eun Young Jeong,Ye Hyang Kim,So Yoon Cha,Ha Yeon Kim,Yeon Kyung Nam,Jin Seong Park,So Yeon Kim,Yoo Jin Lee,Jee Hee Yoon,Byeonghyeon So,Duyeol Kim,Minseon Kim,Youngjoo Byun,Yun Haeng Lee,Song Seok Shin,Joon Tae Park

Nature communications 16:1663 PubMed39955307

2025

Identification of Meibomian gland stem cell populations and mechanisms of aging.

Applications

Unspecified application

Species

Unspecified reactive species

Xuming Zhu,Mingang Xu,Celine Portal,Yvonne Lin,Alyssa Ferdinand,Tien Peng,Edward E Morrisey,Andrzej A Dlugosz,Joseph M Castellano,Vivian Lee,John T Seykora,Sunny Y Wong,Carlo Iomini,Sarah E Millar

Cell & bioscience 15:15 PubMed39915800

2025

Plectin, a novel regulator in migration, invasion and adhesion of ovarian cancer.

Applications

Unspecified application

Species

Unspecified reactive species

Lanning Bai,Xueqian Qian,Hui Zhang,Yi Yuan,Xiaodong Cui,Min Cheng,Yangyang Han

JCI insight 10: PubMed39841618

2025

PKM2-mediated collagen XVII expression is critical for wound repair.

Applications

Unspecified application

Species

Unspecified reactive species

Yangdan Liu,Chiakang Ho,Dongsheng Wen,Jiaming Sun,Yuxin Liu,Qingfeng Li,Yifan Zhang,Ya Gao

The clinical respiratory journal 18:e13824 PubMed39143031

2024

The Deubiquitinase USP22-Stabilized COL17A1 Promotes Lung Adenocarcinoma Progression.

Applications

Unspecified application

Species

Unspecified reactive species

Guangxi Chen,Dandan Du,Haihua Wang,Huifeng Li

PloS one 18:e0292456 PubMed37796769

2023

Functional analysis of Collagen 17a1: A genetic modifier of junctional epidermolysis bullosa in mice.

Applications

Unspecified application

Species

Unspecified reactive species

Thomas J Sproule,Robert Y Wilpan,Benjamin E Low,Kathleen A Silva,Deepak Reyon,J Keith Joung,Michael V Wiles,Derry C Roopenian,John P Sundberg

Nature communications 14:4404 PubMed37479688

2023

MOF-mediated histone H4 Lysine 16 acetylation governs mitochondrial and ciliary functions by controlling gene promoters.

Applications

Unspecified application

Species

Unspecified reactive species

Dongmei Wang,Haimin Li,Navdeep S Chandel,Yali Dou,Rui Yi
View all publications

Product promise

We are committed to supporting your work with high-quality reagents, and we're here for you every step of the way. In the unlikely event that one of our products does not perform as expected, you're protected by our Product Promise.
For full details, please see our Terms & Conditions

Please note: All products are 'FOR RESEARCH USE ONLY. NOT FOR USE IN DIAGNOSTIC OR THERAPEUTIC PROCEDURES'.

For licensing inquiries, please contact partnerships@abcam.com