JavaScript is disabled in your browser. Please enable JavaScript to view this website.
AB271950

Anti-Collagen XVII antibody [EPR18614] - BSA and Azide free

Be the first to review this product! Submit a review

|

(0 Publication)

Rabbit Recombinant Monoclonal Collagen XVII antibody. Carrier free. Suitable for IP, WB, IHC-P, ICC/IF and reacts with Human, Mouse, Rat samples.

View Alternative Names

BP180, BPAG2, COL17A1, Collagen alpha-1(XVII) chain, 180 kDa bullous pemphigoid antigen 2, Bullous pemphigoid antigen 2

7 Images
Immunocytochemistry/ Immunofluorescence - Anti-Collagen XVII antibody [EPR18614] - BSA and Azide free (AB271950)
  • ICC/IF

Supplier Data

Immunocytochemistry/ Immunofluorescence - Anti-Collagen XVII antibody [EPR18614] - BSA and Azide free (AB271950)

Immunofluorescent analysis of 4% paraformaldehyde-fixed, 0.1% Triton X-100 permeabilized HaCaT (Human keratinocyte cells) cells labeling Collagen XVII with ab184996 at 1/100 dilution, followed by Goat anti-rabbit IgG (Alexa Fluor® 488) (ab150077) secondary antibody at 1/1000 dilution (green). Confocal image showing cytoplasmic and membranous staining on HaCaT cell line. The nuclear counter stain is DAPI (blue). Tubulin is detected with ab7291 (anti-Tubulin mouse mAb) at 1/1000 dilution and ab150120 (AlexaFluor®594 Goat anti-Mouse secondary) at 1/1000 dilution (red).

The negative controls are as follows :
-ve control 1 : ab184996 at 1/100 dilution followed by ab150120 (AlexaFluor®594 Goat anti-Mouse secondary) at 1/1000 dilution.
-ve control 2 : . ab7291 (anti-Tubulin mouse mAb) at 1/1000 dilution followed by ab150077 (Alexa Fluor®488 Goat Anti-Rabbit IgG H&L) at 1/1000 dilution.

This data was developed using the same antibody clone in a different buffer formulation containing PBS, BSA, glycerol, and sodium azide (ab184996).

Immunohistochemistry (Formalin/PFA-fixed paraffin-embedded sections) - Anti-Collagen XVII antibody [EPR18614] - BSA and Azide free (AB271950)
  • IHC-P

Supplier Data

Immunohistochemistry (Formalin/PFA-fixed paraffin-embedded sections) - Anti-Collagen XVII antibody [EPR18614] - BSA and Azide free (AB271950)

Immunohistochemical analysis of paraffin-embedded Human pancreas tissue labeling Collagen XVII with ab184996 at 1/100 dilution, followed by Goat Anti-Rabbit IgG H&L (HRP) (ab97051) at 1/500 dilution. Negative on Human pancreas. Counter stained with Hematoxylin.

Secondary antibody only control : Used PBS instead of primary antibody, secondary antibody is Goat Anti-Rabbit IgG H&L (HRP) (ab97051) at 1/500 dilution.

Perform heat mediated antigen retrieval with Tris/EDTA buffer pH 9.0 before commencing with IHC staining protocol.

This data was developed using the same antibody clone in a different buffer formulation containing PBS, BSA, glycerol, and sodium azide (ab184996).

Immunohistochemistry (Formalin/PFA-fixed paraffin-embedded sections) - Anti-Collagen XVII antibody [EPR18614] - BSA and Azide free (AB271950)
  • IHC-P

Supplier Data

Immunohistochemistry (Formalin/PFA-fixed paraffin-embedded sections) - Anti-Collagen XVII antibody [EPR18614] - BSA and Azide free (AB271950)

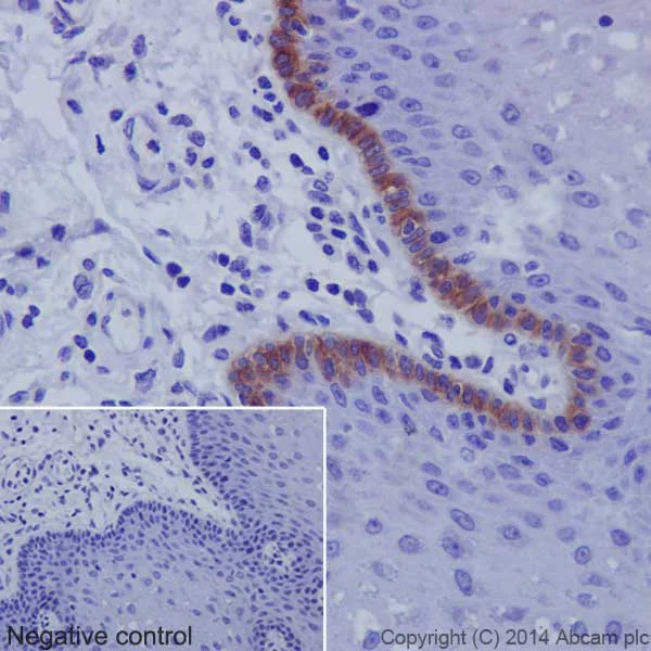
Immunohistochemical analysis of paraffin-embedded Human esophagus tissue labeling Collagen XVII with ab184996 at 1/100 dilution, followed by Goat Anti-Rabbit IgG H&L (HRP) (ab97051) at 1/500 dilution. Cytoplasmic staining on squamous epithelial cells of Human esophagus is observed. Counter stained with Hematoxylin.

Secondary antibody only control : Used PBS instead of primary antibody, secondary antibody is Goat Anti-Rabbit IgG H&L (HRP) (ab97051) at 1/500 dilution.

J Biol Chem. 1991. 266, 24064-24069.

Perform heat mediated antigen retrieval with Tris/EDTA buffer pH 9.0 before commencing with IHC staining protocol.

This data was developed using the same antibody clone in a different buffer formulation containing PBS, BSA, glycerol, and sodium azide (ab184996).

Immunocytochemistry/ Immunofluorescence - Anti-Collagen XVII antibody [EPR18614] - BSA and Azide free (AB271950)
  • ICC/IF

Supplier Data

Immunocytochemistry/ Immunofluorescence - Anti-Collagen XVII antibody [EPR18614] - BSA and Azide free (AB271950)

Immunofluorescent analysis of 4% paraformaldehyde-fixed, 0.1% Triton X-100 permeabilized A431 (Human epidermoid carcinoma) cells labeling Collagen XVII with ab184996 at 1/100 dilution, followed by Goat anti-rabbit IgG (Alexa Fluor® 488) (ab150077) secondary antibody at 1/1000 dilution (green). Confocal image showing cytoplasmic and membranous staining on A431 cell line. The nuclear counter stain is DAPI (blue). Tubulin is detected with ab7291 (anti-Tubulin mouse mAb) at 1/1000 dilution and ab150120 (AlexaFluor®594 Goat anti-Mouse secondary) at 1/1000 dilution (red).

The negative controls are as follows :
-ve control 1 : ab184996 at 1/100 dilution followed by ab150120 (AlexaFluor®594 Goat anti-Mouse secondary) at 1/1000 dilution.
-ve control 2 : ab7291 (anti-Tubulin mouse mAb) at 1/1000 dilution followed by ab150077 (Alexa Fluor®488 Goat Anti-Rabbit IgG H&L) at 1/1000 dilution.

This data was developed using the same antibody clone in a different buffer formulation containing PBS, BSA, glycerol, and sodium azide (ab184996).

Immunoprecipitation - Anti-Collagen XVII antibody [EPR18614] - BSA and Azide free (AB271950)
  • IP

Supplier Data

Immunoprecipitation - Anti-Collagen XVII antibody [EPR18614] - BSA and Azide free (AB271950)

Collagen XVII was immunoprecipitated from 1mg of A431 (Human epidermoid carcinoma) whole cell lysate with ab184996 at 1/50 dilution. Western blot was performed from the immunoprecipitate using ab184996 at 1/1000 dilution. VeriBlot for IP Detection Reagent (HRP) (ab131366), was used for detection at 1/10000 dilution.

Lane 1 : A431 whole cell lysate 10ug (Input).

Lane 2 : ab184996 IP in A431 whole cell lysate.

Lane 3 : Rabbit monoclonal IgG (ab172730) instead of ab184996 in A431 whole cell lysate.

Blocking and dilution buffer and concentration : 5% NFDM/TBST.

Exposure time : 10 seconds.

This data was developed using the same antibody clone in a different buffer formulation containing PBS, BSA, glycerol, and sodium azide (ab184996).

All lanes:

Immunoprecipitation - Anti-Collagen XVII antibody [EPR18614] (<a href='/en-us/products/primary-antibodies/collagen-xvii-antibody-epr18614-ab184996'>ab184996</a>)

Predicted band size: 150 kDa

Observed band size: 130 kDa

false

Immunohistochemistry (Formalin/PFA-fixed paraffin-embedded sections) - Anti-Collagen XVII antibody [EPR18614] - BSA and Azide free (AB271950)
  • IHC-P

Supplier Data

Immunohistochemistry (Formalin/PFA-fixed paraffin-embedded sections) - Anti-Collagen XVII antibody [EPR18614] - BSA and Azide free (AB271950)

Immunohistochemical analysis of paraffin-embedded rat skin tissue labeling Collagen XVII with ab184996 at 1/100 dilution, followed by Goat Anti-Rabbit IgG H&L (HRP) (ab97051) at 1/500 dilution. Cytoplasmic staining on epithelial cells of rat skin is observed. Counter stained with Hematoxylin.

Secondary antibody only control : Used PBS instead of primary antibody, secondary antibody is Goat Anti-Rabbit IgG H&L (HRP) (ab97051) at 1/500 dilution.

Perform heat mediated antigen retrieval with Tris/EDTA buffer pH 9.0 before commencing with IHC staining protocol.

This data was developed using the same antibody clone in a different buffer formulation containing PBS, BSA, glycerol, and sodium azide (ab184996).

Immunohistochemistry (Formalin/PFA-fixed paraffin-embedded sections) - Anti-Collagen XVII antibody [EPR18614] - BSA and Azide free (AB271950)
  • IHC-P

Supplier Data

Immunohistochemistry (Formalin/PFA-fixed paraffin-embedded sections) - Anti-Collagen XVII antibody [EPR18614] - BSA and Azide free (AB271950)

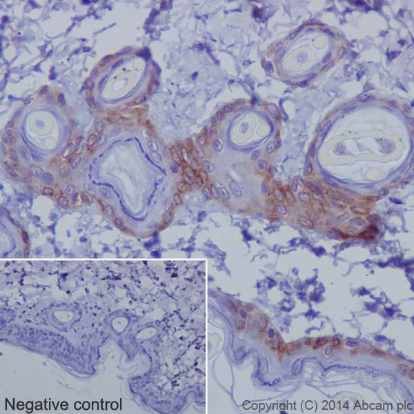
Immunohistochemical analysis of paraffin-embedded mouse skin tissue labeling Collagen XVII with ab184996 at 1/100 dilution, followed by Goat Anti-Rabbit IgG H&L (HRP) (ab97051) at 1/500 dilution. Cytoplasmic and membrane staining on squamous epithelial cells of mouse skin is observed. Counter stained with Hematoxylin.

Secondary antibody only control : Used PBS instead of primary antibody, secondary antibody is Goat Anti-Rabbit IgG H&L (HRP) (ab97051) at 1/500 dilution.

Perform heat mediated antigen retrieval with Tris/EDTA buffer pH 9.0 before commencing with IHC staining protocol.

This data was developed using the same antibody clone in a different buffer formulation containing PBS, BSA, glycerol, and sodium azide (ab184996).

Key facts

Host species

Rabbit

Clonality

Monoclonal

Clone number

EPR18614

Isotype

IgG

Carrier free

Yes

Reacts with

Mouse, Rat, Human

Applications

IP, WB, ICC/IF, IHC-P

applications

Immunogen

The exact immunogen used to generate this antibody is proprietary information.

Reactivity data

{ "title": "Reactivity Data", "filters": { "stats": ["", "Species", "Dilution Info", "Notes"], "tabs": { "all-applications": {"fullname" : "All Applications", "shortname": "All Applications"}, "IP" : {"fullname" : "Immunoprecipitation", "shortname":"IP"}, "WB" : {"fullname" : "Western blot", "shortname":"WB"}, "IHCP" : {"fullname" : "Immunohistochemistry (Formalin/PFA-fixed paraffin-embedded sections)", "shortname":"IHC-P"}, "ICCIF" : {"fullname" : "Immunocytochemistry/ Immunofluorescence", "shortname":"ICC/IF"} }, "product-promise": { "all": "all", "testedAndGuaranteed": "tested", "guaranteed": "expected", "predicted": "predicted", "notRecommended": "not-recommended" } }, "values": { "Human": { "IP-species-checked": "testedAndGuaranteed", "IP-species-dilution-info": "", "IP-species-notes": "<p></p>", "WB-species-checked": "guaranteed", "WB-species-dilution-info": "", "WB-species-notes": "<p></p>", "IHCP-species-checked": "testedAndGuaranteed", "IHCP-species-dilution-info": "", "IHCP-species-notes": "<p></p>", "ICCIF-species-checked": "testedAndGuaranteed", "ICCIF-species-dilution-info": "", "ICCIF-species-notes": "<p></p>" }, "Mouse": { "IP-species-checked": "predicted", "IP-species-dilution-info": "", "IP-species-notes": "", "WB-species-checked": "guaranteed", "WB-species-dilution-info": "", "WB-species-notes": "<p></p>", "IHCP-species-checked": "predicted", "IHCP-species-dilution-info": "", "IHCP-species-notes": "", "ICCIF-species-checked": "predicted", "ICCIF-species-dilution-info": "", "ICCIF-species-notes": "" }, "Rat": { "IP-species-checked": "predicted", "IP-species-dilution-info": "", "IP-species-notes": "", "WB-species-checked": "guaranteed", "WB-species-dilution-info": "", "WB-species-notes": "<p></p>", "IHCP-species-checked": "predicted", "IHCP-species-dilution-info": "", "IHCP-species-notes": "", "ICCIF-species-checked": "predicted", "ICCIF-species-dilution-info": "", "ICCIF-species-notes": "" } } }

Product details

ab271950 is the carrier-free version of ab184996.

Patented technology
Our RabMAb® technology is a patented hybridoma-based technology for making rabbit monoclonal antibodies. For details on our patents, please refer to RabMAb® patents.

What are the advantages of a recombinant monoclonal antibody?
This product is a recombinant monoclonal antibody, which offers several advantages including:

  • - High batch-to-batch consistency and reproducibility
  • - Improved sensitivity and specificity
  • - Long-term security of supply
  • - Animal-free batch production

For more information, read more on recombinant antibodies.

Conjugation ready
Our carrier-free antibodies are typically supplied in a PBS-only formulation, purified and free of BSA, sodium azide and glycerol. This conjugation-ready format is designed for use with fluorochromes, metal isotopes, oligonucleotides, and enzymes, which makes them ideal for antibody labelling, functional and cell-based assays, flow-based assays (e.g. mass cytometry) and Multiplex Imaging applications.

Use our conjugation kits for antibody conjugates that are ready-to-use in as little as 20 minutes with 1 minute hands-on-time and 100% antibody recovery: available for fluorescent dyes, HRP, biotin and gold.

Compatibility
This product is compatible with the Maxpar® Antibody Labeling Kit from Fluidigm, without the need for antibody preparation. Maxpar® is a trademark of Fluidigm Canada Inc.

Properties and storage information

Form
Liquid
Purification technique
Affinity purification Protein A
Storage buffer
pH: 7.2 - 7.4 Constituents: PBS
Shipped at conditions
Blue Ice
Appropriate short-term storage conditions
+4°C
Appropriate long-term storage conditions
+4°C
Storage information
Do Not Freeze

Supplementary information

This supplementary information is collated from multiple sources and compiled automatically.

Collagen XVII also known as collagen 17 or 17a1 collagen is a transmembrane protein that primarily functions as a structural component in epithelial cells. It weighs approximately 180 kDa and is mainly expressed in the basement membrane of stratified epithelia. Collagen XVII forms hemidesmosomes which are essential for the attachment of epithelial cells to the underlying basement membrane. The protein ensures mechanical stability and integrity of tissues where it is found.
Biological function summary

Collagen XVII contributes to the maintenance of cell adhesion and tissue architecture. It acts as a component of the hemidesmosome complex connecting the extracellular matrix to the cytoskeleton through integrins. This interaction promotes structural stability and supports tissue repair processes. The protein's expression reaches high levels in skin mucous membranes and the cornea playing a significant role in maintaining the barrier function of these tissues.

Pathways

Collagen XVII interacts with cellular signaling pathways related to cell adhesion and migration. The protein is involved in the integrin-mediated signaling pathway which regulates cell survival and differentiation. Additionally it participates in the basement membrane pathway collaborating with proteins such as laminin and bullous pemphigoid antigens to maintain tissue cohesion and repair.

Collagen XVII is closely associated with bullous pemphigoid and junctional epidermolysis bullosa. In bullous pemphigoid antibodies target collagen XVII leading to skin blistering due to weakened cell adhesion. In junctional epidermolysis bullosa mutations in the gene encoding collagen XVII disrupt its function resulting in fragile skin and mucosa. These disorders highlight the important role this protein plays in maintaining epithelial tissue integrity and function.

Product protocols

For this product, it's our understanding that no specific protocols are required. You can visit:

Target data

May play a role in the integrity of hemidesmosome and the attachment of basal keratinocytes to the underlying basement membrane.. The 120 kDa linear IgA disease antigen is an anchoring filament component involved in dermal-epidermal cohesion. Is the target of linear IgA bullous dermatosis autoantibodies.
See full target information COL17A1

Product promise

We are committed to supporting your work with high-quality reagents, and we're here for you every step of the way. In the unlikely event that one of our products does not perform as expected, you're protected by our Product Promise.
For full details, please see our Terms & Conditions

Please note: All products are 'FOR RESEARCH USE ONLY. NOT FOR USE IN DIAGNOSTIC OR THERAPEUTIC PROCEDURES'.

For licensing inquiries, please contact partnerships@abcam.com